Abstract
Introduction: Septic arthritis of the sternoclavicular joint (SCJ) is a rare phenomenon in healthy individuals. It is generally described in patients with predisposing risk factors such as diabetes mellitus, intravenous drug use, immunosuppression, chronic liver disease and central venous catheters. Case report: We describe a case of Escherichia coli related SCJ septic arthritis in an otherwise healthy adult with review of the literature. Discussion: There were only two previous reports of patients with E. coli and to our knowledge, this is the third case of a patient with SCJ septic arthritis secondary to E. coli without predisposing factors. A review of literature on SCJ septic arthritis among otherwise healthy adults showed that pain and redness of the SCJ are the most common presentation symptoms, with Staphylococcus aureus being the most common causative organism. More than half of these patients required surgical intervention for associated complications, but all patients had complete recovery with appropriate treatment with no reported mortality. Conclusions: SCJ infection is rare and has a significant morbidity. It should be identified and treated properly to avoid the development of complications. Imaging studies are used to assist in making the diagnosis, and culture results help to identify the pathogen.
Introduction
Septic arthritis of the sternoclavicular joint (SCJ) in immunocompetent individuals is a very rare condition. It is usually associated with predisposing risk factors including trauma, diabetes mellitus, subclavian vein catheter placement, intravenous drug use, malignancy and rheumatoid arthritis [1].
It is noted secondary to Staphylococcus aureus bacteremia in most cases, but other organisms such as Gram-negative organisms can be pathogens as well in rare situations [2,3,4].
SCJ infection is a potentially life-threatening condition, given the risk of developing serious complications including mediastinitis, osteomyelitis and superior vena cava syndrome [3]. A high index of suspicion is essential in making the diagnosis early, as it has a significant morbidity [1,3].
We report a case of Escherichia coli bacteremia from a urinary source with secondary seeding to the SCJ causing septic arthritis and dysphagia in a patient without predisposing risk factors. To our knowledge, this is the third reported case of E. coli related SCJ septic arthritis in an immunocompetent individual.
Case report
An 87-year-old man with a medical history of hypertension and peripheral vascular disease presented to the Emergency Department for evaluation of lethargy. He had been in his usual state of health until two days prior to presentation when he started to feel weak and complain of dysuria and polyuria. His family also noted some changes of his mentation. Otherwise, he denied any fever, rigors, or other complaints.
The physical examination revealed the general appearance of an elderly man without any distress. He was febrile with a temperature of 39.4°C (102.9°F). He had tachycardia and tachypnea, with a heart rate of 124 beats/min, and a respiratory rate of 28 breaths/min. His blood pressure was 156/98 mmHg. He was alert, but only oriented to himself. His mucous membranes were dry, his neck was supple without any lymphadenopathy, and his heart and lung sounds were normal without any murmurs or crackles. His abdomen was soft but tender to palpation mainly in the suprapubic area. There was no costovertebral angle tenderness. The prostate was enlarged in size, normal in texture and was not tender during palpation.
His labs were significant for leukocytosis with a white blood cell count of 15.9 thousand/microliter with 89% neutrophils without bandemia. His lactic acid level was elevated at 3.1 mmol/L. He was also found to have an acute kidney injury, and his urinalysis was significant for blood, protein, nitrites and leukocyte esterase.
The patient was diagnosed with sepsis secondary to pyelonephritis. Blood and urine cultures were obtained and ceftriaxone (1 g intravenous daily) was started. A kidney ultrasound did not reveal any hydronephrosis or nephrolithiasis.
On hospital day one, blood and urine cultures yielded Gram-negative bacilli that were later identified as pan-susceptible E. coli. Mental status improved significantly on the second day of admission. On the third day of appropriate therapy, the patient continued to be febrile. His physical exam revealed a new finding of tenderness over the left upper sternal border associated with swelling and erythema, which was concerning for left SCJ septic arthritis (Figure 1). The patient also started to have new complaints of dysphagia and odynophagia on the third day as well.
Figure 1.
Overt appearance.
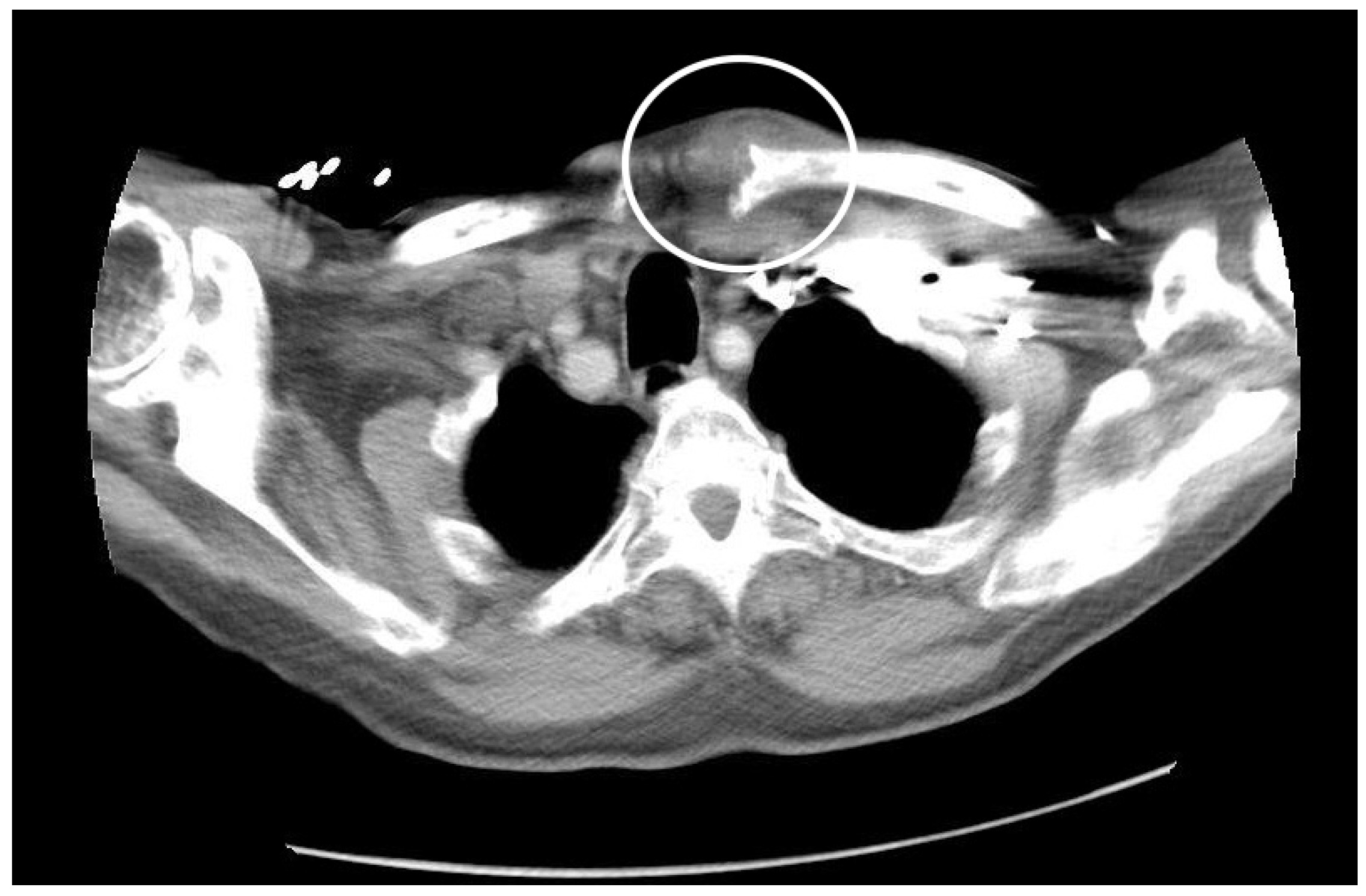
As it was believed that the E. coli bacteremia had seeded the SCJ, leading to septic arthritis, the ceftriaxone dose was increased to 2 g intravenous daily, and a computed tomography (CT) scan of the chest with contrast was obtained and showed widening of the left sternoclavicular joint and increased soft tissue fullness surrounding the joint, consistent with a septic joint. There was no fluid collection, or signs of osteomyelitis (Figure 2).
Figure 2.
CT scan of the chest with contrast.
The CT scan shows widening of the left sternoclavicular joint and increased soft tissue fullness surrounding the joint, consistent with septic joint.
Aspiration of joint fluid was done and revealed purulent fluid. No organisms were seen on Gram-stained smear under microscopy. Cultures from the joint fluid yielded no growth.
The patient was treated with 4 weeks total of IV antibiotics (ceftriaxone 2 g intravenously daily). No surgical debridement was needed. He was discharged from the hospital on day 11 in stable condition. His dysphagia resolved within 72 hours (day 6). A 6-month follow-up did not reveal any recurrence.
Literature review
We reviewed PubMed for cases of SCJ septic arthritis in healthy patients using appropriate keywords. The articles were reviewed to gather information about patients’ demographics, microbiology and treatment options.
We found a total of thirty-seven cases; after adding our patient, we analyzed a total of thirty-eight cases. The characteristics of these cases are shown in Table 1.
Table 1.
Epidemiologic and clinical characteristics of 38 healthy adults with SCJ infection.
The mean age of patients with SCJ septic arthritis was 50 years, 53% being males. S. aureus was the most commonly found pathogen, responsible for 50% of cases, whereas Gram-negative organisms were found in only 9 out of 38 cases, representing 23.7%. E. coli was seen in only three cases including our patient, representing 7.9% of cases. In three cases, the causative organism could not be identified.
Complications occurred in 16 out of 38 patients (42%), with abscess formation being the most common. The majority of patients required surgical intervention besides antibiotics management (52.6%). All patients had complete recovery and there was no observed mortality.
Discussion
Septic arthritis of the SCJ is rare, accounting for 1% of all bone and joint infections [2]. Only 37 cases have been reported so far in previously healthy patients. It is generally unilateral but can affect both SCJs in rare situations [3]. It is more commonly seen in diabetics, alcoholics, intravenous drug users and patients with rheumatoid or other autoimmune arthritis [5,6]. Bacteremia is the most often assumed mechanism of infection [1]. The most common clinical presentation includes fever, pain and erythema of the SCJ [2,4,5].
Overall, S. aureus is the most common causative organism [5]. Pseudomonas aeruginosa used to be reported as the most frequent organism in intravenous drug users (IVDU) and other patients with predisposing factors [4]. However, in the past thirty years, S. aureus is more often seen than P. aeruginosa in the IVDU population [5].
Besides arthrocentesis, a CT scan of the chest is recommended as initial imaging study, for determining the diagnosis, as well as for evaluating for possible serious complications or the retrosternal spread of infection [3,7].
Serious complications may include abscess formation, osteomyelitis, superior vena cava thrombosis and mediastinitis [3,5]. Dysphagia was only reported previously in 2 cases [6]. Our patient complained of dysphagia that was felt to be secondary to external compression on the esophagus because of soft tissue edema. It resolved within 72 hours of making the diagnosis, and our patient could eat and drink afterwards with no difficulties or complications.
For suspected cases of SCJ septic arthritis, the recommendation is antibiotic treatment against S. aureus, since it was found in about one half of the suspected SCJ cases [3]. However, a patient with known bacteremia with a different organism does not warrant anti-staphylococcal antibiotics, as seen in our case.
Surgical debridement might be indicated if there is abscess formation, evidence of mediastinitis, osteomyelitis, or failure to medical therapy [2,3]. Our patient was successfully treated non-operatively. It is usually recommended to continue antibiotic therapy for four to six weeks in the absence of complications [3,7].
Conclusions
Septic arthritis of the SCJ is an uncommon disease in both immunocompetent and immunocompromised patients. A high index of suspicion is the key to achieve successful outcomes [5,8]. Early imaging helps to confirm the diagnosis and to define any associated complications such as retrosternal infection spread or bone destruction [3,8]. Conservative treatment with a long-term parenteral antibiotic is the treatment of choice, although certain patients may require surgical intervention if they fail conservative measures [4,6,9].
Consent
Written informed consent was obtained from the patient for publication of this Case report and any accompanying images.
Author Contributions
All authors have equally contributed to this paper. All authors revised and approved the final version of the manuscript.
Funding
None to disclose.
Conflicts of interest
All authors—none to disclose.
References
- Gallucci, F.; Esposito, P.; Carnovale, A.; Madrid, E.; Russo, R.; Uomo, G. Primary sternoclavicular septic arthritis in patients without predisposing risk factors. Adv Med Sci 2007, 52, 125–128. [Google Scholar] [PubMed]
- Bar-Natan, M.; Salai, M.; Sidi, Y.; Gur, H. Sternoclavicular infectious arthritis in previously healthy adults. Semin Arthritis Rheum 2002, 32, 189–195. [Google Scholar] [CrossRef] [PubMed]
- El Ibrahimi, A.; Daoudi, A.; Boujraf, S.; Elmrini, A.; Boutayeb, F. Sternoclavicular septic arthritis in a previously healthy patient: a case report and review of the literature. Int J Infect Dis 2009, 13, e119–e121. [Google Scholar] [CrossRef] [PubMed][Green Version]
- Bayer, A.S.; Chow, A.W.; Louie, J.S.; Guze, L.B. Sternoarticular pyoarthrosis due to gram-negative bacilli: report of eight cases. Arch Intern Med 1977, 137, 1036–1040. [Google Scholar] [CrossRef] [PubMed]
- Ross, J.J.; Shamsuddin, H. Sternoclavicular septic arthritis: review of 180 cases. Medicine (Baltimore) 2004, 83, 139–148. [Google Scholar] [CrossRef]
- Das, A.K.; Monga, P. Septic arthritis of the sterno-clavicular joint as a cause of dysphagia: a report of two cases and review of literature. J Clin Rheumatol 2014, 33, 141–143. [Google Scholar] [CrossRef]
- Mozen, P.H.; Zell, S.C. Sternoclavicular bacterial arthritis. West J Med. 1988, 148, 310–312. [Google Scholar] [PubMed]
- Womack, J. Septic arthritis of the sternoclavicular joint. J Am Board Fam Med 2012, 25, 908–912. [Google Scholar] [CrossRef] [PubMed]
- Rodchuae, M.; Ruangpin, C.; Katchamart, W. Clinical manifestations, treatment outcomes, and risk factors for sternoclavicular septic arthritis. Rheumatol Int 2017, 37, 819–824. [Google Scholar] [CrossRef] [PubMed]
© GERMS 2019.
