Effect of Cladosporium cladosporioides on the Composition of Mycoflora and the Quality Parameters of Table Eggs during Storage
Abstract
1. Introduction
2. Materials and Methods
2.1. Materials
2.2. Enumeration of Molds
2.3. Identification of Mold Genera
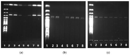
2.4. Genus Confirmation with the Help of PCR Method
2.5. Characteristics of Growth and Interactions of Selected Mold Species
2.6. Statistical Analysis
3. Results
3.1. Effect of Storage Conditions on the Growth of C. cladosporioides and Competetive Fungal Species
3.2. Growth Characteristics of Cladosporium, Penicillium and Fusarium Species
3.3. Effect of Storage Conditions on Egg Quality Parameters
3.4. Statistical Analysis
4. Discussion
5. Conclusions
Author Contributions
Funding
Institutional Review Board Statement
Informed Consent Statement
Data Availability Statement
Conflicts of Interest
References
- Aihara, M.; Tanaka, T.; Takatori, K. Cladosporium as the main fungal contaminant of locations in dwelling environments. Biocontrol Sci. 2001, 6, 49–52. [Google Scholar] [CrossRef][Green Version]
- Ohta, T.; Park, B.J.; Aihara, M.; Ri, N.; Saito, T.; Sawada, T.; Takatori, K. Morphological significance of Cladosporium contaminants on materials and utensils in contact with food. Biocontrol Sci. 2006, 11, 55–60. [Google Scholar] [CrossRef][Green Version]
- Aira, M.J.; Rodríguez-Rajo, F.J.; Fernández-González, M.; Seijo, C.; Elvira-Rendueles, B.; Gutiérrez-Bustillo, M.; Abreu, I.; Pérez-Sánchez, E.; Oliveira, M.; Recio, M.; et al. Cladosporium airborne spore incidence in the environmental quality of the Iberian Peninsula. Grana 2012, 51, 293–304. [Google Scholar] [CrossRef]
- Bensch, K.; Braun, U.; Groenewald, J.Z.; Crous, P.W. The genus Cladosporium. Stud. Mycol. 2012, 72, 1–401. [Google Scholar] [CrossRef]
- Ogórek, R.; Lejman, A.; Pusz, W.; Miłuch, A.; Miodyńska, P. Characteristics and taxonomy of Cladosporium fungi. Mikologia Lekarska 2012, 19, 80–85. [Google Scholar]
- Temperini, C.V.; Franchi, M.L.; Rozo, M.E.B.; Grecob, M.; Pardo, A.G.; Pose, G.P. Diversity and abundance of airborne fungal spores in a rural cold dry desert environment in Argentinean Patagonia. Sci. Total Environ. 2019, 665, 513–520. [Google Scholar] [CrossRef]
- Bensch, K.; Groenewald, J.Z.; Meijer, M.; Dijksterhuis, J.; Jurjević, Ž.; Andersen, B.; Houbraken, J.; Crous, P.W.; Samson, R.A. Cladosporium species in indoor environments. Stud. Mycol. 2018, 89, 177–301. [Google Scholar] [CrossRef]
- Bensch, K.; Groenewald, J.Z.; Braun, U.; Dijksterhuis, J.; de Jesús Yánez-Morales, M.; Crous, P.W. Common but different: The expanding realm of Cladosporium. Stud. Mycol. 2015, 82, 23–74. [Google Scholar] [CrossRef]
- Marin-Felix, Y.; Groenewald, J.Z.; Cai, L.; Chen, Q.; Marincowitz, S.; Barnes, I.; Bensch, K.; Braun, U.; Camporesi, E.; Damm, U.; et al. Genera of phytopathogenic fungi: GOPHY 1. Stud. Mycol. 2017, 86, 99–216. [Google Scholar] [CrossRef]
- Costanzo, N.; Rodolfi, M.; Musarella, R.; Ceniti, C.; Santoro, A.; Britti, D.; Casalinuovo, F. Microbial quality evaluation of grated cheese samples collected at retail level in Calabria (Italy). J. Food Saf. 2018, 38, e12530. [Google Scholar] [CrossRef]
- Biango-Daniels, M.N.; Hodge, K.T. Sea salts as a potential source of food spoilage fungi. Food Microbiol. 2018, 69, 89–95. [Google Scholar] [CrossRef] [PubMed]
- Regecová, I.; Pipová, M.; Jevinová, P.; Demjanová, S.; Semjon, B. Quality and mycobiota composition of stored eggs. Ital. J. Food Sci. 2020, 32, 540–561. [Google Scholar] [CrossRef]
- Vlčková, J.; Tůmová, E.; Ketta, M.; Englmaierová, M.; Chodová, D. Effect of housing system and age of laying hens on eggshell quality, microbial contamination, and penetration of microorganisms into eggs. Czech J. Anim. Sci. 2018, 63, 51–60. [Google Scholar] [CrossRef]
- De Reu, K.; Messens, W.; Heyndrickx, M.; Rodenburg, T.B.; Uyttendaele, M.; Herman, L. Bacterial contamination of table eggs and the influence of housing systems. World’s Poult. Sci. J. 2008, 64, 5–19. [Google Scholar] [CrossRef]
- Salem, R.M.; El-Kaseh, R.M.; El-Diaty, E.M. A study on the fungal contamination and prevalence of aflatoxins and some antibiotic residues in table eggs. Arab. J. Biotechnol. 2009, 12, 65–71. [Google Scholar]
- Obi, C.N.; Igbokwe, A.J. Microbiological analyses of freshly laid and stored domestic poultry eggs in selected poultry farms in Umuahia, Abia State, Nigeria. Res. J. Biol. Sci. 2009, 4, 1297–1303. [Google Scholar] [CrossRef]
- Mounam, M.A.W.A.; Al-Ameed, A.I.; Al-Gburi, N.M. A study of moulds contamination of, table eggs in Baghdad city. J. Genet. Environ. Resour. Conserv. 2014, 2, 107–111. [Google Scholar]
- Salihu, M.D.; Garba, B.; Isah, Y. Evaluation of microbial contents of table eggs at retail outlets in Sokoto metropolis, Nigeria. Sok. J. Vet. Sci. 2015, 13, 22–28. [Google Scholar] [CrossRef]
- Tančinová, D.; Kačániová, M.; Felšőciová, S.; Mašková, Z. Mikrobiológia Potravín, 1st ed.; Slovak University of Agriculture: Nitra, Slovakia, 2017; p. 239. ISBN 978-80-552-1642-3. [Google Scholar]
- Aihara, M.; Tanaka, T.; Takatori, T.O.K. Effect of temperature and water activity on the growth of Cladosporium sphaerospermum and Cladosporium cladosporioides. Biocontrol. Sci. 2002, 7, 193–196. [Google Scholar] [CrossRef]
- Sørhaug, T. Yeasts and molds. Spoilage molds in dairy products. In Encyclopedia of Dairy Sciences, 2nd ed.; Fuquay, J.W., Ed.; Academic Press: Cambridge, MA, USA, 2011; pp. 780–784. ISBN 978-0-12-374407-4. [Google Scholar]
- Cupáková, Š.; Karpíšková, R.; Necidová, L. Mikrobiologie Potravin. Praktická Cvičení, 2nd ed.; University of Veterinary and Pharmaceutical Sciences: Brno, Czech Republic, 2010; pp. 30–31. ISBN 978-80-7305-126-6. [Google Scholar]
- ISO. Microbiology of the Food Chain. Preparation of Test Samples, Initial Suspensions and Decimal Dilutions for Microbiological Examination. Part. 1: General Rules for the Preparation of the Initial Suspension and Decimal Dilutions; ISO 6887-1:2017; Slovak Standards Institute: Bratislava, Slovakia, 2017. [Google Scholar]
- ISO. Microbiology of Food and Animal Feeding Stuffs. Horizontal Method for the Enumeration of Yeasts and Molds. Part. 2: Colony Count Technique in Products with Water Activity less than or Equal to 0.95; ISO 21527-2:2008; Slovak Standards Institute: Bratislava, Slovakia, 2010. [Google Scholar]
- Frisvad, J.C.; Samson, R.A. Polyphasic taxonomy of Penicillium subgenus Penicillium. A guide to identification of food and air-borne terverticillate penicillia and their mycotoxins. Stud. Mycol. 2004, 49, 1–175. [Google Scholar]
- Tančinová, D.; Mašková, Z.; Felšőciová, S.; Dovičičová, M.; Barboráková, Z. Úvod do Potravinárskej Mykológie, 1st ed.; Slovak University of Agriculture: Nitra, Slovakia, 2012; pp. 143–244. ISBN 97-880-5520-753-7. [Google Scholar]
- Pedersen, L.H.; Skouboe, P.; Boysen, M.; Souleb, J.; Rossen, L. Detection of Penicillium species in complex food samples using the polymerase chain reaction. Int. J. Food Microbiol. 1997, 35, 169–177. [Google Scholar] [CrossRef]
- Abd-Elsalam, K.A.; Aly, I.N.; Abdel-Satar, M.A.; Khalil, M.S.; Verreet, J.A. PCR identification of Fusarium genus based on nuclear ribosomal-DNA sequence data. Afr. J. Biotechnol. 2003, 2, 82–85. [Google Scholar] [CrossRef]
- Zeng, Q.Y.; Westermark, S.O.; Lestanderb, R.; Wang, X.R. Detection and quantification of Cladosporium in aerosols by real-time PCR. J. Environ. Monit. 2006, 8, 153–160. [Google Scholar] [CrossRef]
- R Core Team. A Language and Environment for Statistical Computing; Version 3.5.1.; Foundation for Statistical Computing: Vienna, Austria, 2018; Available online: https://www.R-project.org/ (accessed on 9 May 2019).
- Sebastien, L.; Josse, J.; Husson, F. FactoMineR: An R package for multivariate analysis. J. Stat. Soft. 2008, 25, 1–18. [Google Scholar] [CrossRef]
- Kassambara, A.; Mundt, F. Factoextra: Extract and Visualize the Results of Multivariate Data Analysis. In R Package Version 1.0.5.; Foundation for Statistical Computing: Vienna, Austria, 2007; Available online: https://CRAN.R-project.org/package=factoextra (accessed on 9 May 2019).
- Semjon, B.; Král, M.; Pospiech, M.; Reitznerová, A.; Mal’ová, J.; Tremlová, B.; Dudriková, E. Application of multiple factor analysis for the descriptive sensory evaluation and instrumental measurements of bryndza cheese as affected by vacuum packaging. Int. J. Food Prop. 2018, 21, 1508–1522. [Google Scholar] [CrossRef]
- Danková, M. The Effect of Temperature and Packing on the Contamination of Chicken Eggs with Micromycetes. Master’s Thesis, University of Veterinary Medicine and Pharmacy, Košice, Slovakia, 2017. [Google Scholar]
- Ševčíková, P. Impact of Farming Method on the Contamination of Eggs with Microscopic Filamentous Fungi. Master’s Thesis, University of Veterinary Medicine and Pharmacy, Košice, Slovakia, 2017. [Google Scholar]
- Altunatmaz, S.S.; Issa, G.; Aydin, A. Detection of airborne psychrotrophic bacteria and fungi in food storage refrigerators. Braz. J. Microbiol. 2012, 43, 1436–1443. [Google Scholar] [CrossRef] [PubMed]
- Commission Regulation (EC) No. 589/2008 of 23 June 2008 Laying Down Detailed Rules for Implementing Council Regulation (EC) No. 1234/2007 as Regards Marketing Standards for Eggs. Available online: https://eur-lex.europa.eu/LexUriServ/LexUriServ.do?uri=OJ:L:2008:163:0006:0023:EN:PDF (accessed on 20 October 2020).
- Wu, H.; Wong, J.W.C. The role of oxidative stress in the growth of the indoor mould Cladosporium cladosporioides under water dynamics. Indoor Air 2019, 30, 117–125. [Google Scholar] [CrossRef]
- Osherov, N.; May, G.S. The molecular mechanisms of conidial germination. FEMS Microbiol. Lett. 2001, 199, 153–160. [Google Scholar] [CrossRef]
- Magan, N.; Lacey, J. Effect of temperature and pH on water relations of field and storage fungi. Trans. Br. Mycol. Soc. 1984, 82, 71–81. [Google Scholar] [CrossRef]
- Wang, X.; Radwan, M.M.; Taráwneh, A.H.; Gao, J.; Wedge, D.E.; Rosa, L.H.; Cutler, H.G.; Cutler, S.J. Antifungal activity against plant pathogens of metabolites from the endophytic fungus Cladosporium cladosporioides. J. Agric. Food Chem. 2013, 19, 4551–4555. [Google Scholar] [CrossRef]
- Frisvad, J.C.; Thrane, U.; Samson, R.A.; Pitt, J.I. Important mycotoxins and the fungi which produce them. Adv. Food Mycol. 2006, 571, 3–31. [Google Scholar] [CrossRef]
- Smith, M.C.; Madec, S.; Coton, E.; Hymery, N. Natural co-occurrence of mycotoxins in foods and feeds and their in vitro combined toxicological effects. Toxins 2016, 8, 94. [Google Scholar] [CrossRef]
- Abbas, M. Co-occurrence of mycotoxins and its detoxification strategies. In Mycotoxins—Impact and Management Strategies; Njobeh, P.B., Francois Stepman, F., Eds.; IntechOpen: London, UK, 2019; pp. 91–107. [Google Scholar] [CrossRef]
- Milićević, D.R.; Škrinjar, M.; Baltić, T. Real and perceived risks for mycotoxin contamination in foods and feeds: Challenges for food safety control. Toxins 2010, 2, 572–592. [Google Scholar] [CrossRef] [PubMed]
- Perrone, G.; Susca, A. Penicillium species and their associated mycotoxins. In Mycotoxigenic Fungi; Chapter 5; Springer: Cham, Switzerland, 2016; pp. 107–119. [Google Scholar] [CrossRef]
- Demjanová, S.; Jevinová, P.; Pipová, M.; Regecová, I. Identification of Penicillium verrucosum, Penicillium commune, and Penicillium crustosum isolated from chicken eggs. Processes 2021, 9, 53. [Google Scholar] [CrossRef]
- Nesic, K.; Ivanovic, S.; Nesic, V. Fusarial toxins: Secondary metabolites of Fusarium fungi. Rev. Environ. Contam. Toxicol. 2013, 228, 101–120. [Google Scholar] [CrossRef]
- Tomczyk, Ł.; Stępień, Ł.; Urbaniak, M.; Szablewski, T.; Cegielska-Radziejewska, R.; Stuper-Szablewska, K. Characterisation of the mycobiota on the shell surface of table eggs acquired from different egg-laying hen breeding systems. Toxins 2018, 10, 293. [Google Scholar] [CrossRef]
- El Malt, L.M. Assesment of the microbial quality and aflatoxins content in poultry farms eggs sold in Qena city—Upper Egypt. Assiut Vet. Med. J. 2015, 61, 141–151. [Google Scholar]
- Mansour, A.F.A.; Zayed, A.F.; Basha, O.A.A. Contamination of the shell and internal content of table eggs with some pathogens during different storage periods. Assiut Vet. Med. J. 2015, 61, 8–15. [Google Scholar]
- Morón-Ríos, A.; Gómez-Cornelio, S.; Ortega-Morales, B.O.; De la Rosa-García, S.; Partida-Martínez, L.P.; Quintana, P.; Alayo-Gamboa1, J.A.; Cappello-Garcia, S.; González-Gómez, S. Interactions between abundant fungal species influence the fungal community assemblage on limestone. PLoS ONE 2017, 12, e0188443. [Google Scholar] [CrossRef]
- Scott, P.M.; Walbeek, W.V.; Maclean, W.M. Cladosporin, a new antifungal metabolite from Cladosporium cladosporioides. J. Antibiot. 1971, 24, 747–755. [Google Scholar] [CrossRef]
- Nicolett, R.; Stefano, M.D.; Stefano, S.D.; Trincone, A.; Marziano, F. Antagonism against Rhizoctonia solani and fungitoxic metabolite production by some Penicillium isolates. Mycopathologia 2004, 158, 465–474. [Google Scholar] [CrossRef] [PubMed]
- Khokhar, I.; Mukhtar, I.; Mushtaq, S. Antifungal effect of Penicillium metabolites against some fungi. Arch. Phytopathol. Pflanzenschutz. 2011, 44, 1347–1351. [Google Scholar] [CrossRef]
- Boutheina, M.T.; Abdallah Rania, A.B.; Nawaim, A.; Mejda, D.R. Antifungal potential of extracellular metabolites from Penicillium spp. and Aspergillus spp. Naturally Associated to Potato against Fusarium species Causing Tuber Dry Rot. J. Microb. Biochem. Technol. 2017, 9, 181–190. [Google Scholar] [CrossRef]
- Acosta, R.; Rodríguez-Martín, A.; Martín, A.; Núñez, F.; Asensio, M.A. Selection of antifungal protein-producing molds from dry-cured meat products. Inter. J. Food Microbiol. 2009, 135, 39–46. [Google Scholar] [CrossRef]
- Kirunda, D.F.K.; McKEE, S.R. Relating quality characteristics of aged eggs and fresh eggs to vitelline membrane strenght as determined by a texture analyzer. Poult. Sci. 2000, 79, 1189–1193. [Google Scholar] [CrossRef]
- Feddern, V.; De Prá, M.C.; Mores, R.; da Silveira Nicoloso, R.; Coldebella, A.; de Abreu, P.G. Egg quality assessment at different storage conditions, seasons and laying hen strains. Ciência e Agrotecnologia 2017, 41, 322–333. [Google Scholar] [CrossRef]
- Al-Obaidi, F.A.; Shahrasad, M.J.; Al-Shadedi; Al-Dalawi, R.H. Quality, chemical and microbial characteristics of table eggs at retail stores in Baghdad. Int. J. Poult. Sci. 2011, 10, 381–385. [Google Scholar] [CrossRef]
- Nadia, N.A.A.; Bushra, S.R.Z.; Layla, A.F.; Fira, M.A. Effect of coating materials (gelatin) and storage time on internal quality of chicken and quail eggs under refrigeration storage. Egypt. Poult. Sci. J. 2012, 32, 107–115. [Google Scholar]
- Saleh, G.; El Darra, N.; Kharroubi, S.; Farran, M.T. Influence of storage conditions on quality and safety of eggs collected from Lebanese farms. Food Control. 2019, 111, 107058. [Google Scholar] [CrossRef]
- Luo, W.; Xue, H.; Xiong, C.; Li, J.; Tu, Y.; Zhao, Y. Effects of temperature on quality of preserved eggs during storage. Poult. Sci. 2020, 99, 314–3157. [Google Scholar] [CrossRef] [PubMed]
- Scott, T.A.; Silversides, F.G. The effect of storage and strain of hen on egg quality. Poult. Sci. 2000, 79, 1725–1729. [Google Scholar] [CrossRef]
- Jin, Y.H.; Lee, K.T.; Han, Y.K. Effects of storage temperature and time on the quality of eggs from laying hens at peak production. Asian-Aust. J. Anim. Sci. 2011, 24, 279–284. [Google Scholar] [CrossRef]
- Samli, H.E.; Agma, A.; Senkoylu, N. Effects of storage time and temperature on egg quality in old laying hens. J. Appl. Poult. Res. 2005, 14, 548–553. [Google Scholar] [CrossRef]
- Coutts, J.A.; Wilson, G.C. Optimum Egg Quality—A Practical Approach, 1st ed.; 5M Publishing: Sheffield, UK, 2007; p. 64. ISBN 97-809-5301-506-1. [Google Scholar]
- Eke, M.O.; Olaitan, N.I.; Ochefu, J.H. Effect of storage conditions on the quality attributes of shell (table) eggs. Niger. Food J. 2013, 31, 18–24. [Google Scholar] [CrossRef]
- Santos, J.S.; Maciel, L.G.; Seixa, V.N.C.; Araújo, J.A. Parâmetros avaliativos da qualidade física de ovos de codornas (Coturnix coturnix japonica) em função das características de armazenamento. Revista Desafios 2016, 3, 54–67. [Google Scholar] [CrossRef]
- Jones, D.R. Conserving and monitoring shell egg quality. In Proceedings of the 18th Annual Australian Poultry Science Symposium, Sydney, Australia, 20–22 February 2006; pp. 157–165. [Google Scholar]
- Yimenu, S.M.; Koo, J.; Kim, J.-Y.; Kim, J.-H.; Kim, B.-S. Kinetic modeling impacts of relative humidity, storage temperature, and air flow velocity on various indices of hen egg freshness. Poult. Sci. 2018, 97, 4384–4391. [Google Scholar] [CrossRef] [PubMed]
- Tyler, C.; Geake, F.H. The effect of water on egg shell strength including a study of the translucent areas of the shell. British Poult. Sci. 1964, 5, 277–284. [Google Scholar] [CrossRef]




| Parameter | Group | Storage Period [Days] | ANOVA [p Values] | ||||
|---|---|---|---|---|---|---|---|
| 7 | 14 | 21 | 28 | Impact of Storage Conditions | Impact of Storage Period | ||
| Temperature | A | 11.50 ± 0.30 a2 | 11.44 ± 0.14 a2 | 11.34 ± 0.15 a2 | 11.46 ± 0.27 a2 | ||
| [° C] | B | 2.27 ± 0.55 a3 | 3.19 ± 0.90 a3 | 4.13 ± 1.55 a3 | 3.72 ± 0.77 a3 | p < 0.001 | p > 0.05 |
| C | 20.19 ± 0.78 b1 | 22.09 ± 0.13 a1 | 20.00 ± 0.86 b1 | 20.12 ± 0.36 b1 | |||
| Relative | A | 78.75 ± 4.38 a1 | 80.98 ± 1.41 a1 | 80.02 ± 2.53 a1 | 76.25 ± 1.09 a1 | ||
| humidity [%] | B | 54.00 ± 5.00 b2 | 54.30 ± 4.39 ab2 | 64.00 ± 2.62 a1 | 58.74 ± 2.04 ab2 | p < 0.001 | p > 0.05 |
| C | 45.44 ± 2.87 a2 | 45.47 ± 1.49 a3 | 41.72 ± 11.99 a2 | 40.75 ± 3.42 a3 | |||
| Dew point | A | 7.93 ± 0.54 a1 | 8.28 ± 0.19 a1 | 8.00 ± 0.37 a1 | 7.38 ± 0.31 a1 | ||
| [° C] | B | −6.43 ±0.32 b2 | −4.83 ±1.27 ab2 | −2.07 ±1.63 a2 | −3.68 ±1.20 ab2 | p < 0.001 | p > 0.05 |
| C | 8.02 ± 1.59 a1 | 9.76 ± 0.40 a1 | 6.26 ± 3.19 a1 | 6.36 ± 1.56 a1 | |||
| Parameter | Group | Storage Period [Days] | ANOVA [p Values] | ||||
|---|---|---|---|---|---|---|---|
| 7 | 14 | 21 | 28 | Impact of Storage Conditions | Impact of Storage Period | ||
| Eggshell | A | 4.37 ± 0.31 a | 4.61 ± 0.12 a | 4.10 ± 0.17 a | 4.23 ± 0.72 a | ||
| [log CFU/egg] | B | 4.29 ± 0.03 a | 4.67 ± 0.06 a | 4.75 ± 0.43 a | 4.28 ± 0.10 a | p < 0.001 | p > 0.05 |
| C | 4.29 ± 0.17 ab | 4.78 ± 0.27 a | 4.42 ± 0.15 ab | 3.98 ± 0.32 b | |||
| Egg albumen | A | 0.00 ± 0.00 a | 2.00 ± 1.73 a | 0.67 ± 1.15 a | 0.87 ± 1.50 a | ||
| [log CFU/g] | B | 0.00 ± 0.00 a | 0.67 ± 1.15 a | 2.19 ± 1.90 a | 0.67 ± 1.15 a | p < 0.001 | p > 0.05 |
| C | 0.00 ± 0.00 a | 1.77 ± 1.53 a | 0.67 ± 1.15 a | 0.00 ± 0.00 a | |||
| Egg yolk | A | 0.00 ± 0.00 a | 1.97 ± 1.71 a | 0.00 ± 0.00 a | 0.00 ± 0.00 a | ||
| [log CFU/g] | B | 0.00 ± 0.00 a | 0.67 ± 1.15 a | 2.18 ± 1.89 a | 0.67 ± 1.15 a | p < 0.001 | p > 0.05 |
| C | 0.00 ± 0.00 a | 1.91 ± 1.66 a | 0.00 ± 0.00 a | 0.67 ± 1.15 a | |||
| Day | Group A | Group B | Group C |
|---|---|---|---|
| 1 | C. cladosporioides (100%) | C. cladosporioides (100%) | C. cladosporioides (100%) |
| 7 | C. cladosporioides (94%) | C. cladosporioides (100%) | C. cladosporioides (100%) |
| Penicillium spp. (6%) | |||
| 14 | C. cladosporioides (9%) | C. cladosporioides (32%) | C. cladosporioides (20%) |
| Penicillium spp. (91%) | Penicillium spp. (68%) | Penicillium spp. (80%) | |
| 21 | C. cladosporioides (34%) | C. cladosporioides (12%) | C. cladosporioides (57%) |
| Penicillium spp. (33%) | Penicillium spp. (88%) | Penicillium spp. (29%) | |
| Fusarium spp. (33%) | Yeasts (14%) | ||
| 28 | C. cladosporioides (99%) | C. cladosporioides (100%) | C. cladosporioides (100%) |
| Penicillium spp. (1%) |
| Fungal Species | Incubation Period (h) | ||||
|---|---|---|---|---|---|
| 24 | 48 | 72 | 96 | 120 | |
| DRBC (aw = 0.91) Ø (mm) | |||||
| C. cladosporioides CCM F-348 | neg | pos+ | 7.00 ± 0.00 | 9.67 ± 0.58 | 12.67 ± 0.58 |
| C. herbarum CCM F-455 | neg | neg | pos+ | 8.33 ± 0.58 | 11.00 ± 0.00 |
| P. chrysogenum CCM F-362 | pos+ | 8.00 ± 0.00 | 11.67 ± 0.58 | 14.33 ± 0.58 | 18.00 ± 0.00 |
| P. crustosum CCM F-8322 | pos+ | 10.00 ± 0.00 | 12.00 ± 0.58 | 16.67 ± 0.58 | 19.67 ± 0.58 |
| P. griseofulvum CCM F-8006 | pos+ | 8.33 ± 1.25 | 12.17 ± 1.04 | 14.67 ± 0.58 | 17.67 ± 0.58 |
| P. glabrum CCM F-310 | pos++ | 12.00 ± 0.00 | 16.67 ± 0.58 | 20.33 ± 0.58 | 23.67 ± 0.58 |
| F. graminerum CCM F-683 | pos+ | 12.00 ± 0.00 | 24.67 ± 0.58 | 25.67 ± 0.58 | 27.67 ± 1.15 |
| SDA (aw = 0.94) Ø (mm) | |||||
| C. cladosporioides CCM F-348 | pos+ | 8.67 ± 0.58 | 12.33 ± 1.15 | 12.33 ± 1.15 | 13.00 ± 1.00 |
| C. herbarum CCM F-455 | neg | pos+ | 7.67 ± 0.58 | 7.67 ± 0.58 | 10.00 ± 0.00 |
| P. chrysogenum CCM F-8322 | pos+ | 14.67 ± 0.58 | 20.33 ± 0.58 | 20.33 ± 0.58 | 28.67 ± 0.58 |
| P. crustosum CCM F-8322 | pos++ | 13.67 ± 0.58 | 19.00 ± 0.00 | 19.00 ± 0.00 | 25.00 ± 0.00 |
| P. griseofulvum CCM F-8006 | pos+++ | 15.00 ± 0.58 | 19.33 ± 0.58 | 19.33 ± 0.58 | 24.00 ± 0.00 |
| P. glabrum CCM F-310 | pos+++ | 18.33 ± 0.58 | 27.67 ± 0.58 | 27.67 ± 0.58 | 36.67 ± 1.53 |
| F. graminerum CCM F-683 | pos+ | 27.67 ± 1.15 | 43.00 ± 1.00 | 43.00 ± 1.00 | 46.33 ± 1.53 |
| Parameter | Group | Storage Period [Days] | ANOVA [p Values] | ||||
|---|---|---|---|---|---|---|---|
| 7 | 14 | 21 | 28 | Impact of Storage Conditions | Impact of Storage Period | ||
| Egg weight [g] | A | 62.47 ± 3.07 a1 | 60.35 ± 3.55 a1 | 60.37 ± 2.37 a12 | 62.80 ± 1.44 a1 | ||
| B | 62.25 ± 1.55 a1 | 62.05 ± 0.85 a1 | 62.00 ± 0.53 a1 | 62.43 ± 3.29 a1 | p < 0.01 | p > 0.05 | |
| C | 62.43 ± 0.61 a1 | 56.80 ± 4.20 a1 | 57.00 ± 1.60 a2 | 59.15 ± 1.55 a1 | |||
| Eggshell firmness [kgf] | A | 4.33 ± 0.18 a1 | 4.67 ± 0.65 a1 | 4.72 ± 0.29 a1 | 4.99 ± 0.36 a1 | ||
| B | 3.99 ± 2.16 a1 | 4.70 ± 0.38 a1 | 2.60 ± 2.49 a1 | 5.01 ± 0.43 a1 | p > 0.05 | p > 0.05 | |
| C | 5.10 ± 0.22 a1 | 4.08 ± 2.40 a1 | 5.13 ± 0.33 a1 | 5.83 ± 0.96 a1 | |||
| Haugh units [HU] | A | 86.87 ± 2.78 a1 | 83.65 ± 5.35 a1 | 78.57 ± 6.49 a1 | 78.27 ± 7.51 a1 | ||
| B | 70.05 ± 5.05 a2 | 84.40 ± 2.90 a1 | 69.93 ± 8.56 a1 | 70.77 ± 12.64 a1 | p < 0.01 | p < 0.05 | |
| C | 78.10 ± 4.65 a12 | 74.85 ± 3.15 a1 | 70.90 ± 2.40 ab1 | 66.75 ± 0.25 b1 | |||
| Yolk color | A | 10.00 ±0.00 a1 | 7.00 ± 3.00 a1 | 9.00 ± 1.00 a1 | 7.00 ± 2.65 a1 | ||
| B | 10.00 ± 0.00 a1 | 10.33 ± 0.58 a1 | 7.67 ± 2.31 a1 | 9.67 ± 1.15 a1 | p > 0.05 | p < 0.05 | |
| C | 10.00 ± 0.00 a1 | 9.33 ± 0.58 a1 | 9.00 ± 1.00 ab1 | 6.67 ± 1.53 b1 | |||
| Grade of quality | A | AA a1 | AA a1 | AA a1 | A–AA a1 | ||
| B | A–AA a1 | A–AA a1 | A–AA a1 | B–AA a1 | p > 0.05 | p > 0.05 | |
| C | AA a1 | A–AA a1 | B–AA a1 | B–A a1 | |||
| Parameter | Shell Firmness | Haugh Units | Yolk Color | Egg Weight | CFU/* Eggshell * | CFU/g Albumen * | CFU/g Yolk * | Grade of Quality | Temperature | Relative Humidity | Dew Point |
|---|---|---|---|---|---|---|---|---|---|---|---|
| Shell firmness | 0.188 | 0.078 | −0.101 | −0.385 | −0.204 | −0.242 | 0.074 | 0.267 | −0.136 | 0.199 | |
| Haugh units | 0.188 | 0.206 | 0.109 | 0.108 | 0.054 | −0.031 | 0.717 | −0.079 | 0.440 | 0.205 | |
| Yolk color | 0.078 | 0.206 | 0.215 | 0.046 | −0.252 | −0.345 | 0.233 | −0.154 | −0.155 | −0.249 | |
| Egg weight | −0.101 | 0.109 | 0.215 | −0.146 | −0.148 | −0.239 | 0.136 | −0.490 | 0.334 | −0.308 | |
| CFU/eggshell * | −0.385 | 0.108 | 0.046 | −0.146 | 0.031 | 0.209 | 0.073 | −0.130 | −0.030 | −0.147 | |
| CFU/g albumen * | −0.204 | 0.054 | −0.252 | −0.148 | 0.031 | 0.748 | 0.148 | −0.038 | 0.148 | 0.067 | |
| CFU/g yolk * | −0.242 | −0.031 | −0.345 | −0.239 | 0.209 | 0.748 | −0.075 | −0.011 | 0.054 | 0.009 | |
| Grade of quality | 0.074 | 0.717 | 0.233 | 0.136 | 0.073 | 0.148 | −0.075 | −0.135 | 0.351 | 0.084 | |
| Temperature | 0.267 | −0.079 | −0.154 | −0.490 | −0.130 | −0.038 | −0.011 | −0.135 | −0.402 | 0.816 | |
| Relative humidity | −0.136 | 0.440 | −0.155 | 0.334 | −0.030 | 0.148 | 0.054 | 0.351 | −0.402 | 0.189 | |
| Dew point | 0.199 | 0.205 | −0.249 | −0.308 | −0.147 | 0.067 | 0.009 | 0.084 | 0.816 | 0.189 |
Publisher’s Note: MDPI stays neutral with regard to jurisdictional claims in published maps and institutional affiliations. |
© 2021 by the authors. Licensee MDPI, Basel, Switzerland. This article is an open access article distributed under the terms and conditions of the Creative Commons Attribution (CC BY) license (https://creativecommons.org/licenses/by/4.0/).
Share and Cite
Jevinová, P.; Pipová, M.; Regecová, I.; Demjanová, S.; Semjon, B.; Marcinčák, S.; Nagy, J.; Kožárová, I. Effect of Cladosporium cladosporioides on the Composition of Mycoflora and the Quality Parameters of Table Eggs during Storage. Processes 2021, 9, 613. https://doi.org/10.3390/pr9040613
Jevinová P, Pipová M, Regecová I, Demjanová S, Semjon B, Marcinčák S, Nagy J, Kožárová I. Effect of Cladosporium cladosporioides on the Composition of Mycoflora and the Quality Parameters of Table Eggs during Storage. Processes. 2021; 9(4):613. https://doi.org/10.3390/pr9040613
Chicago/Turabian StyleJevinová, Pavlina, Monika Pipová, Ivana Regecová, Soňa Demjanová, Boris Semjon, Slavomír Marcinčák, Jozef Nagy, and Ivona Kožárová. 2021. "Effect of Cladosporium cladosporioides on the Composition of Mycoflora and the Quality Parameters of Table Eggs during Storage" Processes 9, no. 4: 613. https://doi.org/10.3390/pr9040613
APA StyleJevinová, P., Pipová, M., Regecová, I., Demjanová, S., Semjon, B., Marcinčák, S., Nagy, J., & Kožárová, I. (2021). Effect of Cladosporium cladosporioides on the Composition of Mycoflora and the Quality Parameters of Table Eggs during Storage. Processes, 9(4), 613. https://doi.org/10.3390/pr9040613

