Next Article in Journal
Impact of Carbon Nanotubes and Graphene Oxide Nanomaterials on the Performance and Emissions of Diesel Engine Fueled with Diesel/Biodiesel Blend
Previous Article in Journal
Effect of Non-Uniform Minerals Distribution on Hydraulic Fracture Evolution during Unconventional Geoenergy Exploration
 
 
Font Type:
Arial Georgia Verdana
Font Size:
Aa Aa Aa
Line Spacing:
Column Width:
Background:
Article

Bacterial Cultural Media Containing Lipopeptides for Heavy Oil Recovery Enhancement: The Results of Sand-Packed Column Experiment

by
Polina Galitskaya
1,
Alexander Gordeev
1,*,
Nikita Ezhkin
1,2,
Liliya Biktasheva
1,
Polina Kuryntseva
1 and
Svetlana Selivanovskaya
1
1
Institute of Environmental Sciences, Kazan Federal University, 18 Kremlyovskaya St., 420008 Kazan, Russia
2
LLC Organic Park, 420095 Kazan, Russia
*
Author to whom correspondence should be addressed.
Processes 2023, 11(11), 3203; https://doi.org/10.3390/pr11113203
Submission received: 1 October 2023 / Revised: 25 October 2023 / Accepted: 7 November 2023 / Published: 9 November 2023
(This article belongs to the Topic Enhanced Oil Recovery Technologies, 2nd Volume)

Abstract

:
Currently, microbial enhanced oil recovery (MEOR) is of great interest because of its potential high efficiency and low environmental impact. Biosurfactants, in the purified form or contained in the bacterial cultural media, are one of the promising directions in MEOR because they are more stable in response to different environmental factors than life microorganisms are. However, the extraction and purification of biosurfactants, as well as their working concentrations and efficacy in real oilfield conditions remain a challenge. In the present work, cultural media of two novel bacterial isolates (Bacillus pumilus and Peribacillus simplex) were used in a model experiment with sand pack columns to enhance the recovery of heavy oil from Romashkino oilfield (Russia). Using FTIR and TLC methods, it was demonstrated that both cultural media contained lipopeptides. In the genome of both bacterial isolates, genes srfAA, fenD and bamC encoding synthesis of surfactin, fengycin, and bacillomycin, respectively, were revealed. The oil recovery efficacy of cell-free cultural media after 24 h of cultivation was 34% higher and 16% lower as compared with synthetic surfactant for B. pumilus and P. simplex, respectively. It can be concluded that the high-cost step of biosurfactants separation and purification may be excluded, and cell free cultural media of the isolates may be directly used in field conditions to enhance the recovery of heavy oils.

1. Introduction

Conventional methods for oil recovery merely extract a fraction of crude oil due to its high interfacial tension and viscosity [1,2]. Microbial enhanced oil recovery (MEOR) stands out as an effective and secure technique for oil recovery, employing microbes and their metabolites [3,4].
A prominent MEOR approach involves utilizing biosurfactants as a biological substitute for chemical surfactants. Biosurfactants, as surface active molecules, can diminish surface and interfacial tension in solutions [5]. Notably, biosurfactants exhibit remarkable stability across a wide pH and temperature range. Purwasena et al. (2019) have observed that lipopeptide biosurfactants maintain their efficacy in pH levels ranging from 4 to 10, temperatures exceeding 120 °C, and salinity surpassing 10% [6].
The properties of biosurfactants hinge on their composition, which is dictated by the hydrophilic group they contain. Furthermore, the type of microorganism being synthesized and the specific nutrient substrate selected play pivotal roles in determining biosurfactant composition and properties. For instance, lipopeptides are primarily synthesized by Bacillus sp., glycolipids by Pseudomonas sp. and Rhodococcus, and phospholipids by Acinetobacter sp. and Brevibacterium [7]. Surfactins, produced by Bacillus, and rhamnolipids, produced by Pseudomonas, are well-known biosurfactants employed in MEOR [8,9]. Biosurfactants are categorized based on their molecular weight, with low molecular weight variants such as glycolipids, lipopeptides, fatty acids, neutral lipids, and phospholipids exhibiting the ability to reduce surface and interfacial tension in liquids [10]. Conversely, high molecular weight biosurfactants (including polysaccharides, liposans, alasanes, emulsans, and protein complexes) enable the formation of stable emulsions but lack significant potential in reducing surface tension.
Numerous authors have emphasized the preference for indigenous microorganisms when producing biosurfactants for specific oil wells. Indigenous microorganisms are typically adapted to the unique conditions of their respective deposits. These essential microorganisms can be found not only in crude oils but also in oil-contaminated soils and waste materials [11,12]. Enhanced oil recovery through the use of biosurfactants primarily occurs via emulsification and alterations in wettability. It has been observed that changes in wettability are contingent upon the pore size and morphology of the reservoir rock [13]. Sarafzadeh et al. [14] have pointed out that the highest oil recovery is attained with an average moisture content on the rock surface. Consequently, the careful selection of biosurfactants is crucial and is contingent upon the specific conditions of oil production and the characteristics of the deposits. In the initial stages, the evaluation of biosurfactants’ effectiveness in microbial enhanced oil recovery (MEOR) is frequently conducted using model systems [15]. The potential use of a cell-free culture supernatant as a reagent for enhanced oil recovery is advantageous due to the elimination of the biosurfactant extraction stage involving organic solvents and the drying procedure. This streamlined process enhances efficiency. The ability to produce a reagent directly at the production site holds promise for reducing the costs associated with biosurfactant extraction and transportation to the field. However, this approach necessitates stringent production conditions and demands an evaluation of efficiency through measurements comparing the increase in oil recovery with that achieved using traditional industrial surfactants.
The objective of this study was to explore the feasibility of utilizing a cell-free culture supernatant containing biosurfactants for enhanced oil recovery.

2. Materials and Methods

2.1. Isolation and Characterization of Microorganisms Capable of Producing Biosurfactants

2.1.1. Strain Screening and Growth Parameters

Bacterial strains were isolated from oil samples obtained from the Romashkino field. To ensure anaerobic conditions, 5 L of oil samples were collected and placed in sterile plastic containers for transportation to the laboratory. Subsequently, these samples were cultivated aerobically in LB medium at 28 °C for 24 h. The LB medium composition per liter included 5.0 g of yeast extract, 10.0 g of sodium chloride, and 10.0 g of peptone.
Liquid cultures were then transferred onto Petri dishes containing solid PCA medium composed of 5 g of enzymatic digest of casein, 2.5 g of yeast extract, 1.0 g of glucose, and 15.0 g of agar per liter. Incubation was carried out at 28 °C for 24 h. Fifteen distinct morphological colonies of aerobic microbes were isolated from the oil fluids. Identification of individual microorganism strains was based on morphological characteristics observed on the surface plate culture, supplemented by microscopic examination using a light microscope (ZEISS Axio Lab.A1, Carl Zeiss AG, Oberkochen, Germany).
The isolated strains were cultivated on a culture medium containing glycerol (40 g L−1), NaNO3 (1.38 g L−1), KH2PO4 (3.0 g L−1), K2HPO4 (7.0 g L−1), and MgSO4·7H2O (0.2 g L−1). The ability of these colonies to produce biosurfactants was evaluated through emulsification tests employing the E24 method (Cooper, 1987 [16]) and surface tension (ST) reduction assessments. Based on these screening methods, the two most active strains (designated as 2A and 2B) were selected (Table 1).

2.1.2. Molecular Analysis

The extraction of total genomic DNA from the samples was carried out utilizing the FastDNA SPIN Kit for Soil (Bio101, Qbiogene, Heidelberg, Germany) following the manufacturer’s guidelines. The extracted DNA samples were either stored at −20 °C or promptly analyzed. Strains 2A and 2B were identified through 16S rRNA gene sequencing conducted on an ABI 3730 DNA Analyzer (Life Technologies, Carlsbad, CA, USA).
Quantitative polymerase chain reaction (qPCR) was performed using specific primers detailed in Table 2. The thermal cycler was programmed for an initial denaturation cycle at 94 °C for 5 min, followed by 39 cycles of denaturation at 94 °C for 30 s, annealing at the temperature specified in Table 2 for 30 s, and extension at 72 °C for 30 s. Cycle thresholds were determined by comparing the results with standard curves constructed using various concentrations of a positive clone. The plasmid DNA concentration was assessed using a Qubit 2.0 Fluorometer (Invitrogen, Thermo Fisher Scientific, Waltham, MA, USA), and the copy number of the target gene was directly calculated from the concentration of the extracted plasmid DNA.
To establish an external standard curve, ten-fold serial dilutions of plasmid DNA with a known copy number were subjected to real-time PCR in five replicates. For each sample, three replicates were analyzed in qPCR assays. All qPCR assays were executed with an efficiency exceeding 94%, and R2 values greater than 0.99 were achieved.

2.2. Characterization of Biosurfactants

2.2.1. Isolation and Purification of Biosurfactants

Biosurfactants derived from strains 2A and 2B were isolated following a standard procedure [21], involving acid precipitation, redissolution of the precipitate in a 2:1 chloroform–methanol mixture, subsequent filtration of the solution, overnight drying of the filtrate at 50 °C, and further freeze-drying.
Optical density (OD600) was analyzed every 12 h to assess the dynamics of culture growth using a spectrophotometer LOIP LEKI SS1207 (LOIP, Saint-Petersburg, Russia).

2.2.2. Emulsification Test and Surface Tension Measurement

The emulsifying activity of biosurfactants was evaluated by determining the emulsification index (E24) through a procedure described by Cooper in 1987 [16]. Specifically, 5 mL of crude oil and 5 mL of cell-free culture supernatant were vigorously shaken for 2 min. The tube was then allowed to stand undisturbed for 24 h. E24 was calculated as a percentage of the total liquid volume, based on the height of the emulsified liquid column.
Surface tension measurements were performed at room temperature every 12 h using a K20 tensiometer (KRUSS, Hamburg, Germany) employing the Du Nouy ring method.

2.2.3. FTIR and TLC

The chemical structure of the obtained biosurfactants was determined using Fourier transform infrared spectroscopy with frustrated total internal reflection (ATR FTIR spectroscopy). Measurements were conducted on an IR spectrometer equipped with a macro attachment, specifically the Bruker Lumos (Bruker Optics, Ettlingen, Germany). Prior to each measurement, the ATR crystal was meticulously cleaned with 95% ethyl alcohol. Spectral data processing was carried out using the OPUS-IR software (Bruker Optics, Coventry, UK, version 7.2). Pre-processing techniques, including normalization (offset correction), smoothing, and correction for water vapor and carbon dioxide signals, were applied using the features available in the OPUS-IR software 7.2. The IR source operated at a current of 6.3 V and a voltage of 1030 mA [22]. Biosurfactant samples were deposited onto the ATR crystal at a temperature of 24 °C, and IR spectra were acquired by averaging 256 scans in the range of 600–4000 cm−1 at a spectral resolution of 4 cm−1.
To visually identify the composition of the biosurfactant and assess the potential multicomponent nature of the product (indicating the presence of lipopeptides with various compositions), thin-layer chromatography was employed. Specifically, 10 mg of purified biosurfactant was dissolved in 1.5 mL of a chloroform and methanol mixture (1:2, v/v). Subsequently, 20 μL of the solution was applied to glass plates coated with a silica gel stationary phase containing a fluorescent indicator (Silica gel 60 F254, Merck Millipore, Darmstadt, Germany). Application and elution were performed using an automatic thin-layer chromatography system (Camag ATS 4 and ADC 2, CAMAG, Muttenz, Switzerland), with an eluent comprising a mixture of chloroform:methanol:ethyl acetate (13:3:0.4, v/v/v). The separation of product components was recorded under ultraviolet light at λ = 254 nm. Iodine vapor was utilized as a coloring agent, while a 1% solution of ninhydrin in absolute alcohol and a 1% solution of p-anisaldehyde in a mixture of sulfuric and acetic acids were employed to detect lipid fragments and the presence of peptides and carbohydrate residues, respectively.

2.3. MEOR Simulation

In order to replicate the impact of a cell-free culture supernatant containing a biosurfactant on oil within an oil reservoir, vertically oriented cylindrical PVC columns, each with a volume of 200 mL, were employed. These columns were filled with river sand that had been pre-calcined at 800 °C and possessed a particle size ranging from 0.1 to 1.0 mm (Figure 1), following the design outlined in Suthar et al., (2008) [23].
The upper section of the column remained sand-free, creating a gap of 3 cm. Both the upper and lower sand surfaces were confined by a metal mesh with a mesh size of 0.1 mm. Additionally, the upper part was sealed with a polymer plug featuring a hole for the injection device. Prior to experimentation, the columns were purged with a stream of nitrogen gas to eliminate any residual air in the pores. Brine, an aqueous solution containing 20 g L−1 NaCl and 10 g L−1 CaCl2, was introduced for the primary column flooding using a syringe through a silicone tube. The volume of brine needed to completely fill the columns, indicated by the appearance of the first drops in the lower part, was considered the pore volume (PV). Two pore volumes were passed through the columns to thoroughly displace gas residues and saturate the pore space with the liquid.
Next, the columns were filled with oil sourced from the Romashkino field, characterized as high-viscosity heavy oil with a density of approximately 24 degrees API or 0.939 g cm−3 [24]. Oil was introduced at a rate of 5 mL min−1, corresponding to two pore volumes. The oil displacement of the brine was monitored, and the volume of displaced brine was measured using a graduated cylinder, representing the original oil in place (OOIP). The ratio of OOIP to PV allowed calculation of the initial oil saturation (Soi), expressed as a percentage. After the columns were filled with oil for 48 h at room temperature, they were flushed again with brine at a rate of 10 mL min−1 until the oil ceased to flow from the column. The volume of recovered oil was measured using a graduated cylinder after centrifugation to separate the oil from partially mixed water. This volume was considered the oil recovered by brine flood (Sorbf). The percentage of oil recovered was determined by the ratio of Sorbf to OOIP, expressed as a percentage.
The remaining oil, Sor, was subjected to one pore volume (PV) of a cell-free culture supernatant containing a biosurfactant and an aqueous solution of an industrial preparation at concentrations of 0.3%, which aligns with the working concentrations for anionic surfactants used in oil production [25]. The columns were maintained at room temperature for 24 h, and the flowing water–oil emulsion was separated by centrifugation to determine the volume of oil obtained. The volume of oil recovered through the surfactant-containing cell-free culture supernatant flooding (Sorsf—oil recovered by surfactant flood) was utilized to calculate the total oil recovery (TOR) and additional oil recovery (AOR). AOR represents the volume of oil recovered by the biosurfactant relative to the remaining oil after brine flooding, while TOR signifies the volume of oil recovered by the biosurfactant in relation to the original volume of oil that initially filled the pore space (OOIP). AOR is expressed as the proportion of oil recovered by the cell-free culture supernatant flooding relative to the volume of oil remaining after brine flooding, and TOR is expressed as the proportion of oil recovered by the cell-free culture supernatant flooding relative to the original volume of oil that occupied the pore space.
As the cell-free culture supernatant samples containing surfactant were regarded as an alternative to industrial surfactants, their efficacy was quantified as a ratio to the AOR and TOR values obtained for the industrial surfactant. For each experimental condition, three columns were employed. Additional oil recovery calculations were conducted following the methodology proposed by Suthar et al., (2008) [23].

2.4. Statistical Analysis

All measurements were performed in 3 replicates. Statistical analysis was performed in Microsoft Excel 2016 MSO (Microsoft, Redmond, WA, USA). In the figures and tables, mean values from the replicates with standard deviation are presented. The Mann–Whitney U test was used to determine statistically significant differences (p < 0.05) (the results are presented in Supplementary Tables S1–S10). Graphs were prepared using Microsoft Excel 2016 MSO (Microsoft, Redmond, WA, USA).

3. Results and Discussions

3.1. Characterization of Isolates

The taxonomic classifications of the two selected strains were determined through 16S rRNA gene sequencing. The sequencing data obtained were published in the National Center for Biotechnological Information (SRX21838258–SRX21838259). Strain 2A was identified as belonging to the species B. pumilus, while strain 2B was classified as P. simplex.
Both B. pumilus and P. simplex were cultivated in a medium with glycerol as the sole carbon source (Figure 2A,B). The figure presents the dynamics of optical density (A) and surface tension of water (B) measured every 12 h within the 12–72 h time interval. Optical density at 600 nm (OD600) was used to estimate cell density in the solution and assess the culture growth stage. Dynamic surface tension measurements enabled the estimation of biosurfactant production during culture growth.
Based on the obtained data, the B. pumilus culture reached the stationary phase after 60 h of cultivation, whereas the P. simplex culture reached this phase after 36 h. Notably, the maximum decrease in surface tension for both cultures occurred at the 72nd hour of cultivation, measuring 15.4 mN m−1 for B. pumilus and 5.1 mN m−1 for P. simplex. These changes in surface tension align with results reported by other researchers, demonstrating the effectiveness of biosurfactant production [26].
The capacity of the new isolates to produce specific groups of lipopeptides was evaluated by examining the presence of genes encoding the synthesis of surfactin, bacillomycin, iturin, and fengycin through quantitative polymerase chain reaction (qPCR) (Figure 3).
The strains were found to possess the srfAA, bamC, and fenD genes, responsible for the synthesis of surfactin, bacillomycin, and fengycin, respectively. However, the ituC gene, responsible for iturin synthesis, was not detected. The highest number of gene copies was observed for the srfAA gene, with counts of 9.0 × 104 and 8.3 × 104, while the lowest counts were recorded for the bamC gene, with counts of 3.7 × 102 and 4.6 × 102 gene copies per gram for isolates B. pumilus and P. simplex, respectively. Consequently, these strains are primarily inclined toward surfactin synthesis and do not possess the capability for iturin production. The presence of srfAA, bamC, and fenD genes aligns with findings reported by other researchers and represents the most common genetic characteristic within the genus Bacillus [27].

3.2. Characterization of Biosurfactants

Biosurfactant production during cultivation in a liquid nutrient medium is accompanied by alterations in the medium’s parameters. Consequently, the content of lipopeptides increases throughout the growth phase, and changes occur in the medium composition due to the involvement of its components in microbial metabolic pathways and the formation of new compounds resulting from microbial activity. It is well established that the component composition of the medium influences biosurfactant yield and the surface tension of the medium [28]. In our study, both the culture medium itself, utilized as a reagent for microbial enhanced oil recovery (MEOR), and the biosurfactant isolated from it were examined. To elucidate its structure, attenuated total reflection Fourier transform infrared spectroscopy (ATR FTIR) was employed, with the corresponding spectra depicted in Figure 4.
The infrared spectrum derived from biosurfactant samples and a control sample of surfactin (Sigma-Aldrich, St. Louis, MO, USA) displays characteristic lines of peptide groups in the 3300–3400 cm−1 range. Vibrations specific to amino acid fragments, represented by -NH2, are evident in this range, with contributions from OH hydroxyl group stretching vibrations, particularly a strong intensity peak at 3360 cm−1. Peptide fragments typical of bio-surfactants produced by Bacillus bacteria are typically recorded within the 1600–1700 cm−1 range. These fragments correspond to the deformation vibrations of -NH3+ (termed “amino acid band I”) and -CO-N bonds. The absorption of these fragments is particularly prominent at 1639 cm−1. Additionally, intense bands, manifesting as doublets or triplets in the 2800–3000 cm−1 range, correspond to asymmetric vibrations in alkyl fragments (-CH3 and -CH2-). These vibrations also appear in the 1200–1400 cm−1 region as bending vibrations, with peaks at the 2944, 2892, and 1370 wave numbers. These segments of the absorption spectra typically serve as reference points when identifying characteristic features of lipopeptide biosurfactants.
Furthermore, weak peaks at 2356 cm−1 indicate vibrations specific to the -COO- carboxyl group, a characteristic feature shared by all amino acids. Peaks of moderate-to-low intensity at wave numbers 1040 cm−1 and 922 cm−1 correspond to vibrations in aliphatic fragments with C-O-C bonds. These findings are consistent with the results obtained for lipopeptides and align with a standard sample of surfactin [29,30].
The growth of microorganisms that produce biosurfactants often results in the formation of metabolic byproducts. Due to their physicochemical resemblance to the target products, namely lipopeptides, these byproducts are co-extracted using conventional methods, such as acid precipitation followed by redissolution in a mixture of polar organic solvents. To comprehensively characterize the resulting product, isolated lipopeptide samples were analyzed utilizing high-performance thin-layer chromatography (TLC) techniques.
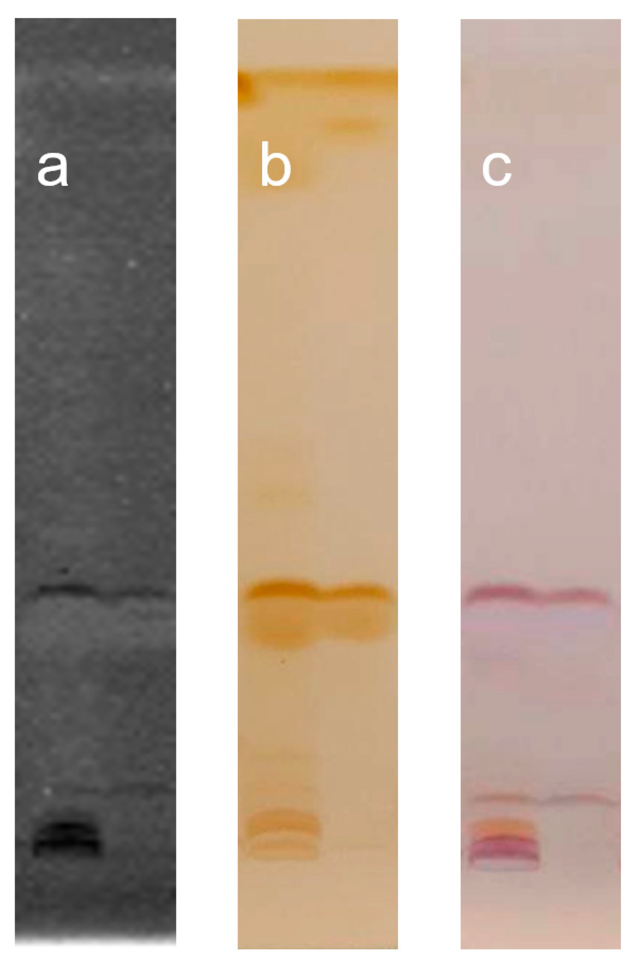
In order to assess the potential polycomponent nature of the isolated biosurfactant samples, spots were visualized under ultraviolet light at a wavelength of 254 nm and treated with specific staining agents: iodine vapor for lipid fragments and ninhydrin solution to visualize amino acid fragments. Figure 5 illustrates the distillation results that indicate the presence of lipid fragments in biosurfactant samples from B. pumilus and P. simplex. The spots, stained in iodine vapor at Rf = 0.4 and clear staining in ninhydrin solution at Rf = 0.4, demonstrate the presence of amino acid fragments in the peptide chain of the P. simplex sample. In the case of biosurfactant samples from B. pumilus, spots in this eluent system indicate the presence of individual organic molecules structurally dissimilar to lipopeptide surfactants but containing amino acid fragments. These impurities in the B. pumilus biosurfactant sample showed Rf values ranging from 0.15 to 0.2.

3.3. MEOR Simulation

The efficacy of using cell-free culture supernatant containing biosurfactant was evaluated on a series of PVC cylinders filled with quartz sand, simulating conditions similar to oil production in highly porous rock. The results are presented in Table 3.
Based on pore volume and oil content within the pores, as well as the volume of oil recovered using brine and either biosurfactant or synthesized surfactant, secondary and tertiary oil recovery parameters were calculated. Sorbf was determined to be 41.00 and 36.25 mL, for B. pumilus and P. simplex, respectively, while Sorsf was 2.50 mL for both. Consequently, the oil yield after treatment with a cell-free culture was 14–16 times lower than the yield after displacement with brine. The ratio between Sorbf and Sorst obtained in our study falls within the range reported in the literature for cell-free supernatants and biosurfactants used for MEOR, namely 4.1 and 2.3, respectively. However, the unusually high ratio between Sorbf and Sorst observed in our study might be attributed to the relatively large volume of oil that was flushed out with brine during secondary recovery, influenced by the sand core’s characteristics, particularly its porosity and permeability. Indeed, the efficiency of oil production is significantly influenced by the permeability of formations and model objects. The particle size distribution of the sand and the uniformity of the fractions used to fill the sand columns have a substantial impact on the permeability parameters [31,32].
Therefore, in rocks with high permeability, the impact of material composition and shape, along with the elimination of biological clogging effects, becomes evident. Despite this, the efficiency of MEOR often remains low, increasing by up to three-fold when utilizing native reservoir rocks [33]. The broad diversity in sand composition and materials filling the cores, such as glass beads and rock fragments, enables the authors to achieve MEOR results spanning wide ranges of values. The relevance of employing the bulk sand column method for modeling reservoir conditions is discussed due to the expense and time constraints associated with using real cores for screening studies [34]. Indeed, oil recovery efficiency is intricately linked to the geological characteristics of the formation [35]. The original oil reserves and their composition are closely intertwined with the volumes of oil recoverable through conventional extraction methods [36]. Consequently, substantial amounts of oil extracted from highly permeable rock formations have diminished the effective impact of chemical and microbiological methods employed for enhanced oil recovery [37]. Furthermore, the interaction of surfactants within the porous system of an oil reservoir goes beyond mere emulsification. Some surfactant molecules can be adsorbed onto mineral particles’ surfaces, thereby diminishing the active substance’s mass fraction in the solution. However, such systems have been extensively studied, primarily for commercially available industrial surfactants [38]. In our case, the column was filled with highly permeable sand, possibly resulting in values that might be lower than those reported for similar MEOR experiments [39].
On the basis of Sorbf and Sorst, AOR values obtained for both isolates’ cultural media were calculated (Supplementary Table S11) and related to those for the chemically synthesized surfactant widely used in the oil industry, Atren (0.3% solution), to assess their effectiveness (Table 3). It was revealed that the effectiveness of B. pumilus-produced biosurfactant was 34% higher and that of P. simplex was 16% lower, as compared with Atren solution. In the literature, both purified biosurfactants and cell-free cultural media are described as being used to enhance oil recovery. The last might be less efficient as the concentration of biosurfactants in the cultural medium is quite low. Thus, Hamzah et al. [37] have noted that additional oil production reaches 7.9% when the core was treated with cell-free biosurfactant supernatant compared with washing out with saline solution [37]. In contrast, acid-precipitated biosurfactant caused an increase in oil production of 30–56% [40,41,42]. However, should strains with high biosurfactant activity be found, the usage of cell-free supernatants to enhance oil recovery is promising because of its simplicity and inexpensiveness. It should be noted that publications regarding cell-free cultural media usage for MEOR are mainly based on lab-scale studies of emulsification and surface tension alterations [43,44]. There is scarce literature on the scaling-up of the application of culture supernatants that contain biosurfactant under lab models, reservoir conditions or on the oilfield site. Consequently, the potential of utilizing cell-free supernatant has not been extensively explored in the literature, despite its advantage in eliminating the biosurfactant extraction stage and the use of large volumes of toxic solvents [45,46,47].
Publications that include efficacy comparison of widely used surfactants that are biologically or chemically produced are rare [48,49]. From this perspective, the results presented in Table 3 and Supplementary Table S11 might be important for further industrial scale studies [50,51]. Our results regarding AOR allow us to assert that even the effectiveness of cell-free supernatants containing biosurfactant is comparable to or exceeds the effectiveness of commercial analogues. This indicates the high potential of this method; however, additional research is needed on the effectiveness of cell-free supernatants under conditions of high salinity and elevated temperatures and pressures, as well as under conditions of less porous models, such as low-permeability columns and cores.
Typically, when evaluating the efficacy of commercial and biological surfactants, their mass concentrations in solution are provided, and comparisons are made based on this criterion [52]. We advocate for an alternative approach, where the effectiveness of MEOR surfactants is compared by equalizing their surface tensions. This parameter is simpler to assess and eliminates errors associated with the presence of numerous impurities in biosurfactants, which can occur due to different cultivation media and isolation methods. The disposal of these impurities can be costly and sometimes involve impractical technological processes [53,54]. It is noteworthy that, even with the same surface tension, the effectiveness of biosurfactants in MEOR, under real as well as laboratory conditions, can vary significantly. This variation is attributed to several factors, including the composition and structure of the mineral phase in the column or core, temperature, medium acidity, salinity, and the chemical structure of the surfactant. It is well known that the steric characteristics of molecules play a vital role in the formation of micelles [6,55,56,57,58,59].
One of the primary advantages of the use of culture media for MEOR lies in the reduction of purification and biosurfactant preparation costs. However, achieving optimal results necessitates precise control of the environmental components’ influence on oil emulsification processes. Additionally, research and optimization of cultural media usage conditions are essential, considering parameters such as pressure, temperature, and formation composition.

4. Conclusions

In this study, we conducted a screening of crude oil microorganisms capable of bio-surfactant synthesis. Through evaluations of the emulsification index and water surface tension reduction, we identified the two most effective strains, 2A and 2B. Biosurfactants produced by these strains were classified as lipopeptides using thin layer chromatography (TLC) and Fourier transform infrared spectroscopy (FTIR) methods. Through Sanger sequencing, strain 2A was identified as B. pumilus and strain 2B as P. simplex. Both strains exhibited the presence of srfAA and fengD genes, responsible for surfactin and fengycin synthesis, along with a minor presence of the bamC gene and the absence of the ituC gene, responsible for bacillomycin and iturin synthesis, respectively.
To assess the efficacy of these biosurfactants, we employed a model setup that simulates oil production conditions in highly porous rock formations. The effectiveness of the studied biosurfactants was compared with that of an industrial surfactant at a concentration of 0.3%. B. pumilus culture supernatant exhibited 34% higher efficiency compared with the industrial surfactant. However, the additional oil recovery (AOR) value obtained using P. simplex culture supernatant was 16% lower than the commercial surfactant solution. These findings suggest that the efficacy of cell-free supernatant is comparable to synthetic surfactants, indicating that the extraction and purification of biosurfactants might be omitted from the microbial enhanced oil recovery (MEOR) technological process, especially when bacteria are cultivated in proximity to oil wells.

Supplementary Materials

The following supporting information can be downloaded at: https://www.mdpi.com/article/10.3390/pr11113203/s1, Table S1: Comparison of the significance of the values of Emulsification index differences obtained in our study by Mann–Whitney U-test, p ≤ 0.05; Table S2: Comparison of the significance of the values of Surface tension differences obtained in our study by Mann–Whitney U-test, p ≤ 0.05; Table S3: Comparison of the significance of the values of optical density (OD660) differences obtained in our study by Mann–Whitney U-test, p ≤ 0.05; Table S4: Comparison of the significance of the values of surface tension of water differences obtained in our study by Mann–Whitney U-test, p ≤ 0.05; Table S5: Comparison of the significance of the values of pore volume differences obtained in our study by Mann–Whitney U-test, p ≤ 0.05; Table S6: Comparison of the significance of the values of OOIP differences obtained in our study by Mann–Whitney U-test, p ≤ 0.05; Table S7: Comparison of the significance of the values of Soi differences obtained in our study by Mann–Whitney U-test, p ≤ 0.05; Table S8: Comparison of the significance of the values of Sorbf differences obtained in our study by Mann–Whitney U-test, p ≤ 0.05; Table S9: Comparison of the significance of the values of Sorsf differences obtained in our study by Mann–Whitney U-test, p ≤ 0.05; Table S10: Comparison of the significance of the values of AOR differences obtained in our study by Mann–Whitney U-test, p ≤ 0.05; Table S11: AOR and TOR values of measured samples.

Author Contributions

Conceptualization, P.G. and S.S.; methodology, L.B.; validation, A.G.; formal analysis, P.K.; investigation, A.G. and N.E.; data curation, S.S.; writing—original draft preparation, A.G. and L.B.; writing—review and editing, P.G.; visualization, N.E.; supervision, S.S.; funding acquisition, P.K. All authors have read and agreed to the published version of the manuscript.

Funding

This work was supported by the Ministry of Science and Higher Education of the Russian Federation under agreement No. 075-15-2022-299 within the framework of the development program for a world-class research center “Efficient development of the global liquid hydrocarbon reserves”.

Data Availability Statement

Data are contained within the article.

Conflicts of Interest

Author Nikita Ezhkin was employed by the company LLC Organic Park. The remaining authors declare that the research was conducted in the absence of any commercial or financial relationships that could be construed as a potential conflict of interest.

References

  1. Youssef, N.; Simpson, D.R.; Duncan, K.E.; McInerney, M.J.; Folmsbee, M.; Fincher, T.; Knapp, R.M. In Situ Biosurfactant Production by Bacillus Strains Injected into a Limestone Petroleum Reservoir. Appl. Environ. Microbiol. 2007, 73, 1239–1247. [Google Scholar] [CrossRef] [PubMed]
  2. Mohammed, T.; Olugbade, T.O.; Nwankwo, I. Determination of the Effect of Oil Exploration on Galvanized Steel in Niger Delta, Nigeria. J. Sci. Res. Rep. 2016, 10, 1–9. [Google Scholar] [CrossRef] [PubMed]
  3. Gudiña, E.J.; Pereira, J.F.B.; Costa, R.; Coutinho, J.A.P.; Teixeira, J.A.; Rodrigues, L.R. Biosurfactant-Producing and Oil-Degrading Bacillus Subtilis Strains Enhance Oil Recovery in Laboratory Sand-Pack Columns. J. Hazard. Mater. 2013, 261, 106–113. [Google Scholar] [CrossRef] [PubMed]
  4. Gudiña, E.J.; Teixeira, J.A. Bacillus Licheniformis: The Unexplored Alternative for the Anaerobic Production of Lipopeptide Biosurfactants? Biotechnol. Adv. 2022, 60, 108013. [Google Scholar] [CrossRef] [PubMed]
  5. Liu, Q.; Niu, J.; Yu, Y.; Wang, C.; Lu, S.; Zhang, S.; Lv, J.; Peng, B. Production, Characterization and Application of Biosurfactant Produced by Bacillus Licheniformis L20 for Microbial Enhanced Oil Recovery. J. Clean. Prod. 2021, 307, 127193. [Google Scholar] [CrossRef]
  6. Purwasena, I.A.; Astuti, D.I.; Syukron, M.; Amaniyah, M.; Sugai, Y. Stability Test of Biosurfactant Produced by Bacillus Licheniformis DS1 Using Experimental Design and Its Application for MEOR. J. Pet. Sci. Eng. 2019, 183, 106383. [Google Scholar] [CrossRef]
  7. Eras-Muñoz, E.; Farré, A.; Sánchez, A.; Font, X.; Gea, T. Microbial Biosurfactants: A Review of Recent Environmental Applications. Bioengineered 2022, 13, 12365–12391. [Google Scholar] [CrossRef] [PubMed]
  8. Biktasheva, L.; Gordeev, A.; Selivanovskaya, S.; Galitskaya, P. Di-and Mono-Rhamnolipids Produced by the Pseudomonas Putida PP021 Isolate Significantly Enhance the Degree of Recovery of Heavy Oil from the Romashkino Oil Field (Tatarstan, Russia). Processes 2022, 10, 779. [Google Scholar] [CrossRef]
  9. Zhang, J.; Xue, Q.; Gao, H.; Lai, H.; Wang, P. Production of Lipopeptide Biosurfactants by Bacillus Atrophaeus 5-2a and Their Potential Use in Microbial Enhanced Oil Recovery. Microb. Cell Factories 2016, 15, 168. [Google Scholar] [CrossRef]
  10. Varjani, S.J.; Upasani, V.N. Carbon Spectrum Utilization by an Indigenous Strain of Pseudomonas Aeruginosa NCIM 5514: Production, Characterization and Surface Active Properties of Biosurfactant. Bioresour. Technol. 2016, 221, 510–516. [Google Scholar] [CrossRef]
  11. Benincasa, M.; Abalos, A.; Oliveira, I.; Manresa, A. Chemical Structure, Surface Properties and Biological Activities of the Biosurfactant Produced by Pseudomonas Aeruginosa LBI from Soapstock. Antonie Van Leeuwenhoek 2004, 85, 1–8. [Google Scholar] [CrossRef]
  12. Benincasa, M.; Accorsini, F.R. Pseudomonas Aeruginosa LBI Production as an Integrated Process Using the Wastes from Sunflower-Oil Refining as a Substrate. Bioresour. Technol. 2008, 99, 3843–3849. [Google Scholar] [CrossRef] [PubMed]
  13. Gong, H.; Li, Y.; Dong, M.; Ma, S.; Liu, W. Effect of Wettability Alteration on Enhanced Heavy Oil Recovery by Alkaline Flooding. Colloids Surf. A Physicochem. Eng. Asp. 2016, 488, 28–35. [Google Scholar] [CrossRef]
  14. Sarafzadeh, P.; Niazi, A.; Oboodi, V.; Ravanbakhsh, M.; Hezave, A.Z.; Ayatollahi, S.S.; Raeissi, S. Investigating the Efficiency of MEOR Processes Using Enterobacter Cloacae and Bacillus Stearothermophilus SUCPM# 14 (Biosurfactant-Producing Strains) in Carbonated Reservoirs. J. Pet. Sci. Eng. 2014, 113, 46–53. [Google Scholar]
  15. Aboelkhair, H.; Diaz, P.; Attia, A. Biosurfactant Production Using Egyptian Oil Fields Indigenous Bacteria for Microbial Enhanced Oil Recovery. J. Pet. Sci. Eng. 2022, 208, 109601. [Google Scholar] [CrossRef]
  16. Cooper, D.G.; Goldenberg, B.G. Surface-Active Agents from Two Bacillus Species. Appl. Environ. Microbiol. 1987, 53, 224–229. [Google Scholar] [CrossRef] [PubMed]
  17. Ndlovu, T.; Rautenbach, M.; Khan, S.; Khan, W. Variants of Lipopeptides and Glycolipids Produced by Bacillus Amyloliquefaciens and Pseudomonas Aeruginosa Cultured in Different Carbon Substrates. AMB Express 2017, 7, 109. [Google Scholar] [CrossRef] [PubMed]
  18. Simpson, D.R.; Natraj, N.R.; McInerney, M.J.; Duncan, K.E. Biosurfactant-Producing Bacillus Are Present in Produced Brines from Oklahoma Oil Reservoirs with a Wide Range of Salinities. Appl. Microbiol. Biotechnol. 2011, 91, 1083–1093. [Google Scholar] [CrossRef] [PubMed]
  19. Plaza, G.; Chojniak, J.; Rudnicka, K.; Paraszkiewicz, K.; Bernat, P. Detection of Biosurfactants in Bacillus Species: Genes and Products Identification. J. Appl. Microbiol. 2015, 119, 1023–1034. [Google Scholar] [CrossRef] [PubMed]
  20. Chung, S.; Kong, H.; Buyer, J.S.; Lakshman, D.K.; Lydon, J.; Kim, S.-D.; Roberts, D.P. Isolation and Partial Characterization of Bacillus Subtilis ME488 for Suppression of Soilborne Pathogens of Cucumber and Pepper. Appl. Microbiol. Biotechnol. 2008, 80, 115–123. [Google Scholar] [CrossRef]
  21. Galitskaya, P.; Karamova, K.; Biktasheva, L.; Galieva, G.; Gordeev, A.; Selivanovskaya, S. Lipopeptides Produced by Bacillus Mojavensis P1709 as an Efficient Tool to Maintain Postharvest Cherry Tomato Quality and Quantity. Agriculture 2022, 12, 609. [Google Scholar] [CrossRef]
  22. Zhao, F.; Wang, Q.; Zhang, Y.; Lei, L. Anaerobic Biosynthesis of Rhamnolipids by Pseudomonas Aeruginosa: Performance, Mechanism and Its Application Potential for Enhanced Oil Recovery. Microb. Cell Factories 2021, 20, 103. [Google Scholar] [CrossRef] [PubMed]
  23. Suthar, H.; Hingurao, K.; Desai, A.; Nerurkar, A. Evaluation of Bioemulsifier Mediated Microbial Enhanced Oil Recovery Using Sand Pack Column. J Microbiol Methods 2008, 75, 225–230. [Google Scholar] [CrossRef] [PubMed]
  24. Gordadze, G.N.; Tikhomirov, V.I. On the Oil Sources in the Northeast of Tatarstan. Pet. Chem. 2007, 47, 389–398. [Google Scholar] [CrossRef]
  25. Al-Sakkaf, M.K.; Onaizi, S.A. Rheology, Characteristics, Stability, and pH-Responsiveness of Biosurfactant-Stabilized Crude Oil/Water Nanoemulsions. Fuel 2022, 307, 121845. [Google Scholar] [CrossRef]
  26. Salehizadeh, H.; Mohammadizad, S. Microbial Enhanced Oil Recovery Using Biosurfactant Produced by Alcaligenes Faecalis. Iran. J. Biotechnol. 2009, 7, 216–223. [Google Scholar]
  27. Mora, I.; Cabrefiga, J.; Montesinos, E. Antimicrobial Peptide Genes in Bacillus Strains from Plant Environments. Int. Microbiol 2011, 14, 213–223. [Google Scholar] [PubMed]
  28. Batista, R.M.; Rufino, R.D.; Luna, J.M.; de Souza, J.E.G.; Sarubbo, L.A. Effect of Medium Components on the Production of a Biosurfactant from Candida Tropicalis Applied to the Removal of Hydrophobic Contaminants in Soil. Water Environ. Res. 2010, 82, 418–425. [Google Scholar] [CrossRef]
  29. Joshi, S.J.; Al-Wahaibi, Y.M.; Al-Bahry, S.N.; Elshafie, A.E.; Al-Bemani, A.S.; Al-Bahri, A.; Al-Mandhari, M.S. Production, Characterization, and Application of Bacillus Licheniformis W16 Biosurfactant in Enhancing Oil Recovery. Front. Microbiol. 2016, 7, 1853. [Google Scholar] [CrossRef]
  30. Kiran, G.S.; Priyadharsini, S.; Sajayan, A.; Priyadharsini, G.B.; Poulose, N.; Selvin, J. Production of Lipopeptide Biosurfactant by a Marine Nesterenkonia Sp. and Its Application in Food Industry. Front. Microbiol. 2017, 8, 1138. [Google Scholar] [CrossRef]
  31. Pathak, K.V.; Keharia, H. Application of Extracellular Lipopeptide Biosurfactant Produced by Endophytic Bacillus Subtilis K1 Isolated from Aerial Roots of Banyan (Ficus Benghalensis) in Microbially Enhanced Oil Recovery (MEOR). 3 Biotech 2014, 4, 41–48. [Google Scholar] [CrossRef] [PubMed]
  32. Gittins, P.; Iglauer, S.; Pentland, C.H.; Al-Mansoori, S.; Al-Sayari, S.; Bijeljic, B.; Blunt, M.J. Nonwetting phase residual saturation in sand packs. J. Porous Media 2010, 13, 591–599. [Google Scholar] [CrossRef]
  33. Kögler, F.; Mahler, E.; Dopffel, N.; Schulze-Makuch, D.; Borovina, A.; Visser, F.; Herold, A.; Alkan, H. The Microbial Enhanced Oil Recovery (MEOR) Potential of Halanaerobiales under Dynamic Conditions in Different Porous Media. J. Pet. Sci. Eng. 2021, 196, 107578. [Google Scholar] [CrossRef]
  34. Nerurkar, A.S.; Suthar, H.G.; Desai, A.J. Biosystem Development for Microbial Enhanced Oil Recovery (MEOR). In Microorganisms in Sustainable Agriculture and Biotechnology; Satyanarayana, T., Johri, B.N., Eds.; Springer: Dordrecht, The Netherlands, 2012; pp. 711–737. ISBN 978-94-007-2214-9. [Google Scholar]
  35. Gandomkar, A.; Rahimpour, M.R. Investigation of Low-Salinity Waterflooding in Secondary and Tertiary Enhanced Oil Recovery in Limestone Reservoirs. Energy Fuels 2015, 29, 7781–7792. [Google Scholar] [CrossRef]
  36. Nazar, M.F.; Shah, S.S.; Khosa, M.A. Microemulsions in Enhanced Oil Recovery: A Review. Pet. Sci. Technol. 2011, 29, 1353–1365. [Google Scholar] [CrossRef]
  37. Hamzah, A.F.; Al-Mossawy, M.I.; Al-Tamimi, W.H.; Al-Najm, F.M.; Hameed, Z.M. Enhancing the Spontaneous Imbibition Process Using Biosurfactants Produced from Bacteria Isolated from Al-Rafidiya Oil Field for Improved Oil Recovery. J. Pet. Explor. Prod. Technol. 2020, 10, 3767–3777. [Google Scholar] [CrossRef]
  38. Bera, A.; Kumar, T.; Ojha, K.; Mandal, A. Adsorption of Surfactants on Sand Surface in Enhanced Oil Recovery: Isotherms, Kinetics and Thermodynamic Studies. Appl. Surf. Sci. 2013, 284, 87–99. [Google Scholar] [CrossRef]
  39. Saravanan, A.; Kumar, P.S.; Vardhan, K.H.; Jeevanantham, S.; Karishma, S.B.; Yaashikaa, P.R.; Vellaichamy, P. A Review on Systematic Approach for Microbial Enhanced Oil Recovery Technologies: Opportunities and Challenges. J. Clean. Prod. 2020, 258, 120777. [Google Scholar] [CrossRef]
  40. Hamzah, A.F.; Al-Tamimi, W.H. Enhanced Oil Recovery by Sand Packed Column Supplemented with Biosurfactants Produced by Local Oil Fields Bacteria. Marsh Bull. 2021, 16, 135–143. [Google Scholar]
  41. Makkar, R.S.; Cameotra, S.S. Production of Biosurfactant at Mesophilic and Thermophilic Conditions by a Strain of Bacillus Subtilis. J. Ind. Microbiol. Biotechnol. 1998, 20, 48–52. [Google Scholar] [CrossRef]
  42. Wang, H.; Xiu, J.; Huang, L.; Yu, L.; Wu, B. Study on the Application Potential of Lipopeptide Fermentation Broth in Oil Recovery. Energy Sci. Eng. 2022, 10, 2065–2075. [Google Scholar] [CrossRef]
  43. Bordoloi, N.K.; Konwar, B.K. Microbial Surfactant-Enhanced Mineral Oil Recovery under Laboratory Conditions. Colloids Surf. B Biointerfaces 2008, 63, 73–82. [Google Scholar] [CrossRef] [PubMed]
  44. Waghmode, S.; Sharma, D.; Joshi, S.J.; Banpurkar, A.; Satpute, S. Prospective Use of a Cell-Free Supernatant from the Biosurfactant-Producing Marine Planococcus Maritimus SAMP MCC 3013 for Oil Removal and Enhanced Oil Recovery. Environ. Qual. Manag. 2023. [Google Scholar] [CrossRef]
  45. Zargar, A.N.; Patil, N.; Kumar, M.; Srivastava, P. Enhanced Oil Recovery Using a Combination of Biosurfactants. J. Vis. Exp. 2022, 184, e63207. [Google Scholar] [CrossRef]
  46. Kuyukina, M.S.; Ivshina, I.B.; Philp, J.C.; Christofi, N.; Dunbar, S.A.; Ritchkova, M.I. Recovery of Rhodococcus Biosurfactants Using Methyl Tertiary-Butyl Ether Extraction. J. Microbiol. Methods 2001, 46, 149–156. [Google Scholar] [CrossRef] [PubMed]
  47. Jimoh, A.A.; Lin, J. Biosurfactant: A New Frontier for Greener Technology and Environmental Sustainability. Ecotoxicol. Environ. Saf. 2019, 184, 109607. [Google Scholar] [CrossRef] [PubMed]
  48. Pereira, J.F.B.; Gudiña, E.J.; Costa, R.; Vitorino, R.; Teixeira, J.A.; Coutinho, J.A.P.; Rodrigues, L.R. Optimization and Characterization of Biosurfactant Production by Bacillus Subtilis Isolates towards Microbial Enhanced Oil Recovery Applications. Fuel 2013, 111, 259–268. [Google Scholar] [CrossRef]
  49. de Castilho, L.V.A.; Pasqualino, I.P.; Duarte, A.M.; Waldow, V.D.A.; de Sousa, M.P.; Seldin, L.; Freire, D.M.G. Biosurfactant Versus Commercial Surfactant: Study on Effectiveness for Application in EOR; American Society of Mechanical Engineers Digital Collection: Pittsburgh, PA, USA, 2018. [Google Scholar]
  50. Wu, B.; Xiu, J.; Yu, L.; Huang, L.; Yi, L.; Ma, Y. Biosurfactant Production by Bacillus Subtilis SL and Its Potential for Enhanced Oil Recovery in Low Permeability Reservoirs. Sci. Rep. 2022, 12, 7785. [Google Scholar] [CrossRef]
  51. Aparna, A.; Srinikethan, G.; Smitha, H. Production and Characterization of Biosurfactant Produced by a Novel Pseudomonas Sp. 2B. Colloids Surf. B Biointerfaces 2012, 95, 23–29. [Google Scholar] [CrossRef]
  52. Aguirre-Ramírez, M.; Silva-Jiménez, H.; Banat, I.M.; Díaz De Rienzo, M.A. Surfactants: Physicochemical Interactions with Biological Macromolecules. Biotechnol. Lett. 2021, 43, 523–535. [Google Scholar] [CrossRef]
  53. Kosaric, N.; Sukan, F.V. Biosurfactants: Production and Utilization-Processes, Technologies, and Economics; CRC Press: Boca Raton, FL, USA, 2014; ISBN 978-1-4665-9670-2. [Google Scholar]
  54. Invally, K.; Sancheti, A.; Ju, L.-K. A New Approach for Downstream Purification of Rhamnolipid Biosurfactants. Food Bioprod. Process. 2019, 114, 122–131. [Google Scholar] [CrossRef]
  55. Johnson, P.; Trybala, A.; Starov, V.; Pinfield, V.J. Effect of Synthetic Surfactants on the Environment and the Potential for Substitution by Biosurfactants. Adv. Colloid Interface Sci. 2021, 288, 102340. [Google Scholar] [CrossRef] [PubMed]
  56. Rezaei Gomari, S.; Elyasi Gomari, K.; Islam, M.; Hughes, D. New Insight into the Influence of Rhamnolipid Bio-Surfactant on the Carbonate Rock/Water/Oil Interaction at Elevated Temperature. Resources 2018, 7, 75. [Google Scholar] [CrossRef]
  57. Jahanbani Veshareh, M.; Ganji Azad, E.; Deihimi, T.; Niazi, A.; Ayatollahi, S. Isolation and Screening of Bacillus Subtilis MJ01 for MEOR Application: Biosurfactant Characterization, Production Optimization and Wetting Effect on Carbonate Surfaces. J. Pet. Explor. Prod. Technol. 2019, 9, 233–245. [Google Scholar] [CrossRef]
  58. Vecino Bello, X.; Devesa-Rey, R.; Cruz, J.M.; Moldes, A.B. Study of the Synergistic Effects of Salinity, pH, and Temperature on the Surface-Active Properties of Biosurfactants Produced by Lactobacillus Pentosus. J. Agric. Food Chem. 2012, 60, 1258–1265. [Google Scholar] [CrossRef] [PubMed]
  59. Uzoigwe, C.; Burgess, J.G.; Ennis, C.J.; Rahman, P.K.S.M. Bioemulsifiers Are Not Biosurfactants and Require Different Screening Approaches. Front. Microbiol. 2015, 6, 245. [Google Scholar] [CrossRef]
Figure 1. Sand-packed columns used to estimate the efficiency of biosurfactants for MEOR.
Figure 1. Sand-packed columns used to estimate the efficiency of biosurfactants for MEOR.
Processes 11 03203 g001
Figure 2. Dynamics of optical density OD600 (A), surface tension of water (B).
Figure 2. Dynamics of optical density OD600 (A), surface tension of water (B).
Processes 11 03203 g002
Figure 3. Number copies of genes encoding biosurfactant synthesis.
Figure 3. Number copies of genes encoding biosurfactant synthesis.
Processes 11 03203 g003
Figure 4. FTIR absorption spectra of biosurfactants, isolated from cultural medium of B. pumilus and P. simplex strain and of standard surfactin.
Figure 4. FTIR absorption spectra of biosurfactants, isolated from cultural medium of B. pumilus and P. simplex strain and of standard surfactin.
Processes 11 03203 g004
Figure 5. TLC of biosurfactants, isolated from the cultural medium of the B. pumilus and P. simplex strains, visualized in UV254 (a), iodine vapors (b) and ninhydrin solution (c).
Figure 5. TLC of biosurfactants, isolated from the cultural medium of the B. pumilus and P. simplex strains, visualized in UV254 (a), iodine vapors (b) and ninhydrin solution (c).
Processes 11 03203 g005
Table 1. Characterization of biosurfactants of isolates.
Table 1. Characterization of biosurfactants of isolates.
StrainsEmulsification Index, E24, %Surface Tension, mN m−1
2A50 ± 529.42 ± 0.09
2B70 ± 225.17 ± 0.04
8A5 ± 063.43 ± 0.53
8B10 ± 164.91 ± 0.31
14A30 ± 259.78 ± 0.22
1A50 ± 148.61 ± 0.18
10A30 ± 229.92 ± 0.07
3A10 ± 151.50 ± 0.17
3B110 ± 062.45 ± 0.32
3B220 ± 347.90 ± 0.19
3B350 ± 429.15 ± 0.04
4B20 ± 555.33 ± 0.15
5A20 ± 257.70 ± 0.66
5B15 ± 067.66 ± 0.51
5C10 ± 250.11 ± 0.45
Table 2. Specific primers used in this study.
Table 2. Specific primers used in this study.
PrimerBiosurfactantPrimer Sequence (5′-3′)TReferences
bamCBacillomycinTGCAGGAGGAGAGAGCAGAT
AGGTTGTCCGATGTTGCTTC
60 °C[17]
srfAASurfactinTCGGGACAGGAAGACATCAT
CCACTCAAACGGATAATCCTGA
60 °C[18]
ituCIturinGGCTGCTGCAGATGCTTTAT
TCGCAGATAATCGCAGTGAG
58 °C[19]
fenDFengycinGGCCCGTTCTCTAAATCCAT
GTCATGCTGACGAGAGCAAA
58 °C[20]
Table 3. Efficacy of Atren (0.3%) and cell-free cultural media for oil recovery from sand-packed columns.
Table 3. Efficacy of Atren (0.3%) and cell-free cultural media for oil recovery from sand-packed columns.
SamplePV, mLOOIP, mLSoi, %Sorbf, mLSorsf, mLThe Effectiveness of Biosurfactants in Relation to Chemical Surfactants
Atren62.50 ± 0.2521.25 ± 0.4033.90 ± 0.4841.25 ± 0.402.75 ± 0.14-
B. pumilus55.00 ± 0.4014.00 ± 0.2525.50 ± 0.1241.00 ± 0.752.50 ± 0.2034% higher
P. simplex59.00 ± 0.2022.25 ± 0.2537.70 ± 0.4036.25 ± 0.102.50 ± 0.1016% lower
Disclaimer/Publisher’s Note: The statements, opinions and data contained in all publications are solely those of the individual author(s) and contributor(s) and not of MDPI and/or the editor(s). MDPI and/or the editor(s) disclaim responsibility for any injury to people or property resulting from any ideas, methods, instructions or products referred to in the content.

Share and Cite

MDPI and ACS Style

Galitskaya, P.; Gordeev, A.; Ezhkin, N.; Biktasheva, L.; Kuryntseva, P.; Selivanovskaya, S. Bacterial Cultural Media Containing Lipopeptides for Heavy Oil Recovery Enhancement: The Results of Sand-Packed Column Experiment. Processes 2023, 11, 3203. https://doi.org/10.3390/pr11113203

AMA Style

Galitskaya P, Gordeev A, Ezhkin N, Biktasheva L, Kuryntseva P, Selivanovskaya S. Bacterial Cultural Media Containing Lipopeptides for Heavy Oil Recovery Enhancement: The Results of Sand-Packed Column Experiment. Processes. 2023; 11(11):3203. https://doi.org/10.3390/pr11113203

Chicago/Turabian Style

Galitskaya, Polina, Alexander Gordeev, Nikita Ezhkin, Liliya Biktasheva, Polina Kuryntseva, and Svetlana Selivanovskaya. 2023. "Bacterial Cultural Media Containing Lipopeptides for Heavy Oil Recovery Enhancement: The Results of Sand-Packed Column Experiment" Processes 11, no. 11: 3203. https://doi.org/10.3390/pr11113203

APA Style

Galitskaya, P., Gordeev, A., Ezhkin, N., Biktasheva, L., Kuryntseva, P., & Selivanovskaya, S. (2023). Bacterial Cultural Media Containing Lipopeptides for Heavy Oil Recovery Enhancement: The Results of Sand-Packed Column Experiment. Processes, 11(11), 3203. https://doi.org/10.3390/pr11113203

Note that from the first issue of 2016, this journal uses article numbers instead of page numbers. See further details here.

Article Metrics

Back to TopTop