Nutraceutical and Functional Properties of Lupin Protein Extracts Obtained via a Combined Ultrasonication and Microwave-Assisted Process
Abstract
:1. Introduction
2. Materials and Methods
2.1. Materials
2.2. Preparation of Lupin Extracts
2.3. Phytochemical Properties of Lupin Extracts
2.3.1. Extraction Preparation
2.3.2. Total Phenolic Content
2.3.3. Total Antioxidant Activity
2.3.4. Inhibitory Activity of α-Amylase Enzyme
2.4. Particle Size
2.5. Electrophoresis
2.5.1. Sample Preparation
2.5.2. Gradient PAGE
2.5.3. PAGE Staining
2.6. Statistical Analysis
3. Results and Discussion
3.1. Chemical Composition
3.2. Antioxidant Activity
3.3. Total Phenol Content
3.4. Alpha-Amylase Inhibitory Activity
3.5. Particle Size of Lupin Protein Particles
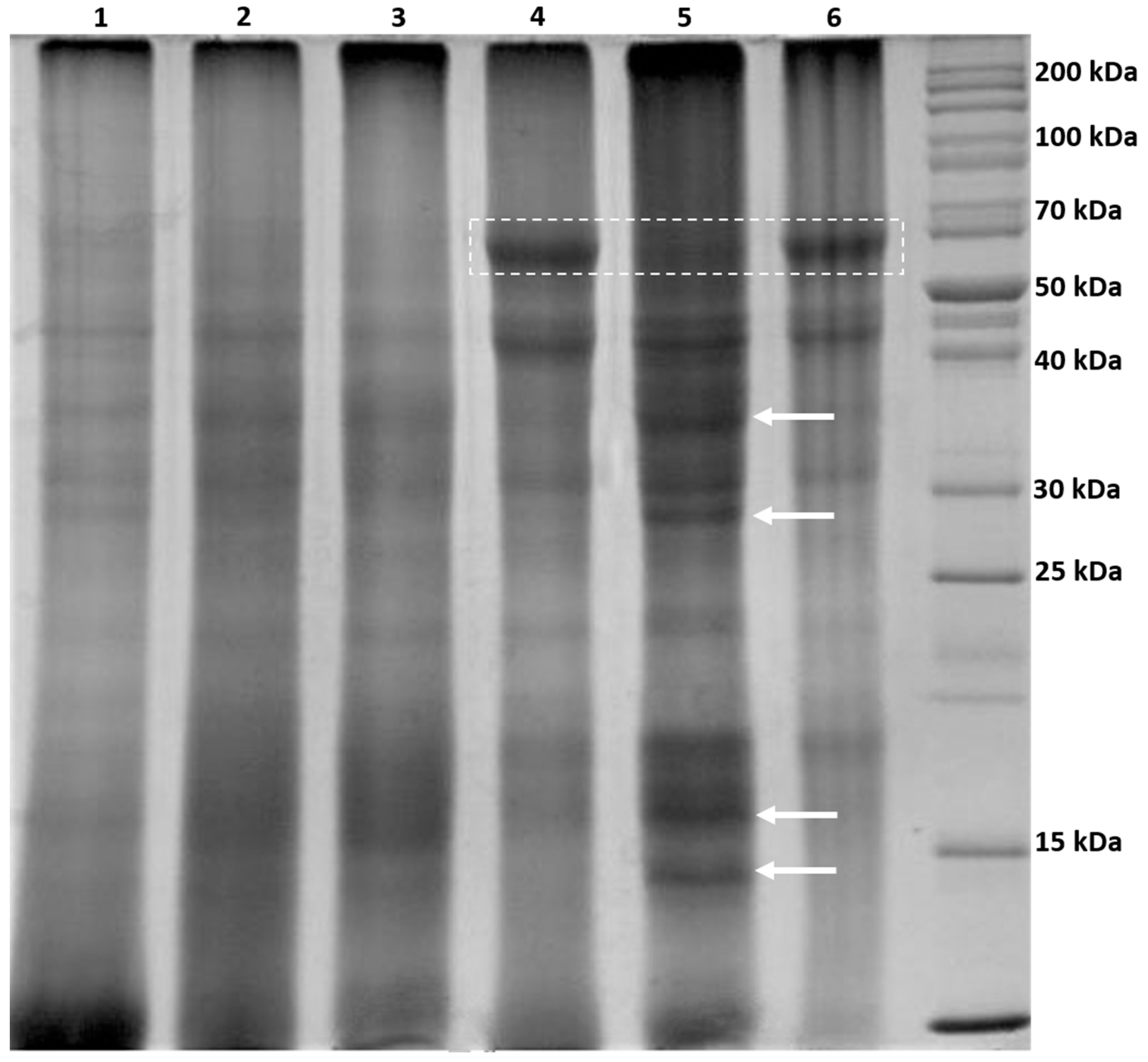
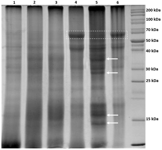
3.6. Sodium Dodecyl Sulfate-Polyacrylamide Gel Electrophoresis (SDS-PAGE)
4. Conclusions
Author Contributions
Funding
Data Availability Statement
Acknowledgments
Conflicts of Interest
References
- Bryant, L.; Rangan, A.; Grafenauer, S. Lupins and health outcomes: A systematic literature review. Nutrients 2022, 14, 327. [Google Scholar] [CrossRef] [PubMed]
- Villarino, C.B.J.; Jayasena, V.; Coorey, R.; Chakrabarti-Bell, S.; Johnson, S.K. Nutritional, health, and technological functionality of lupin protein addition to bread and other baked products: Benefits and challenges. Crit. Rev. Food Sci. Nutr. 2016, 56, 835–857. [Google Scholar] [CrossRef] [PubMed]
- Guemes-Vera, N.; Martinez-Herrera, J.; Hernandez-Chavez, J.F.; Yanez-Fernandez, J.; Totosaus, A. Comparison of chemical composition and protein digestibility, carotenoids, tanins and alkaloids content of wild lupinus varieties protein. Pak. J. Nutr. 2012, 11, 676–682. [Google Scholar] [CrossRef]
- Zayas, J. Functionality of Proteins in Food, 1st ed.; Springer: Berlin/Heidelberg, Germany, 1997; p. 916. [Google Scholar]
- Lo, B.; Kasapis, S.; Farahnaky, A. Lupin protein: Isolation and techno-functional properties, a review. Food Hydrocoll. 2021, 112, 106318. [Google Scholar] [CrossRef]
- Jayasena, V.; Chih, H.J.; Nasar-Abbas, S. In Efficient isolation of lupin protein. Food Aust. 2011, 63, 306–309. [Google Scholar]
- Muranyi, I.S.; Volke, D.; Hoffmann, R.; Eisner, P.; Herfellner, T.; Brunnbauer, M.; Koehler, P.; Schweiggert-Weisz, U. Protein distribution in lupin protein isolates from Lupinus angustifolius L. prepared by various isolation techniques. Food Chem. 2016, 207, 6–15. [Google Scholar] [CrossRef]
- El-Adawy, T.A.; Rahma, E.H.; El-Bedawey, A.A.; Gafar, A.F. Nutritional potential and functional properties of sweet and bitter lupin seed protein isolates. Food Chem. 2001, 74, 455–462. [Google Scholar] [CrossRef]
- Wong, A.; Pitts, K.; Jayasena, V.; Johnson, S. Isolation and foaming functionality of acid-soluble protein from lupin (Lupinus angustifolius) kernels. J. Sci. Food Agric. 2013, 93, 3755–3762. [Google Scholar] [CrossRef]
- Chew, P.G.; Casey, A.J.; Johnson, S.K. Protein quality and physico-functionality of Australian sweet lupin (Lupinus angustifolius cv. Gungurru) protein concentrates prepared by isoelectric precipitation or ultrafiltration. Food Chem. 2003, 83, 575–583. [Google Scholar]
- Muranyi, I.S.; Otto, C.; Pickardt, C.; Koehler, P.; Schweiggert-Weisz, U. Microscopic characterisation and composition of proteins from lupin seed (Lupinus angustifolius L.) as affected by the isolation procedure. Food Res. Int. 2013, 54, 1419–1429. [Google Scholar] [CrossRef]
- Li, J.; Xu, X.; Chen, Z.; Wang, T.; Lu, Z.; Hu, W.; Wang, L. Zein/gum Arabic nanoparticle-stabilized Pickering emulsion with thymol as an antibacterial delivery system. Carbohydr. Polym. 2018, 200, 416–426. [Google Scholar] [CrossRef] [PubMed]
- Odriozola-Serrano, I.; Oms-Oliu, G.; MartÃn-Belloso, O. Nanoemulsion-Based Delivery Systems to Improve Functionality of Lipophilic Components. Front. Nutr. 2014, 1, 24. [Google Scholar] [CrossRef] [PubMed]
- Saini, P.; Kumar, N.; Kumar, S.; Mwaurah, P.W.; Panghal, A.; Attkan, A.K.; Singh, V. Bioactive compounds, nutritional benefits and food applications of colored wheat: A comprehensive review. Crit. Rev. Food Sci. Nutr. 2021, 61, 3197–3210. [Google Scholar] [CrossRef]
- Weiss, D.N.; Brokmann, X.; Calvet, L.E.; Kastner, M.A.; Bawendi, M.G. Multi-island single- electron devices from self-assembled colloidal nanocrystal chains. Appl. Phys. Lett. 2006, 88, 143507. [Google Scholar] [CrossRef]
- Banasaz, S.; Morozova, K.; Ferrentino, G.; Scampicchio, M. Encapsulation of Lipid-Soluble Bioactives by Nanoemulsions. Molecules 2020, 25, 3966. [Google Scholar] [CrossRef]
- Salem, M.A.; Ezzat, S.M.; Salem, M.A.; Ezzat, S.M. Nanoemulsions in Food Industry. In Some New Aspects of Colloidal Systems in Foods; IntechOpen: London, UK, 2018; pp. 31–51. [Google Scholar] [CrossRef]
- Silva, H.D.; Cerqueira, M.Â.; Vicente, A.A. Nanoemulsions for Food Applications: Development and Characterization. Food Bioprocess Technol. 2012, 5, 854–867. [Google Scholar] [CrossRef]
- Joe, M.M.; Chauhan, P.S.; Bradeeba, K.; Shagol, C.; Sivakumaar, P.K.; Sa, T. Influence of sunflower oil based nanoemulsion (AUSN-4) on the shelf life and quality of Indo-Pacific king mackerel (Scomberomorus guttatus) steaks stored at 20 °C. Food Control 2012, 23, 564–570. [Google Scholar] [CrossRef]
- Bhargava, K.; Conti, D.S.; da Rocha, S.R.P.; Zhang, Y. Application of an oregano oil nanoemulsion to the control of foodborne bacteria on fresh lettuce. Food Microbiol. 2015, 47, 69–73. [Google Scholar] [CrossRef]
- Ghosh, V.; Saranya, S.; Mukherjee, A.; Chandrasekaran, N. Cinnamon oil nanoemulsion formulation by ultrasonic emulsification: Investigation of its bactericidal activity. J. Nanosci. Nanotechnol. 2013, 13, 114–122. [Google Scholar] [CrossRef]
- Maté, J.; Periago, P.M.; Palop, A. Combined effect of a nanoemulsion of D-limonene and nisin on Listeria monocytogenes growth and viability in culture media and foods. Food Sci. Technol. Int. Cienc. Tecnol. Aliment. Int. 2016, 22, 146–152. [Google Scholar] [CrossRef]
- Jin, W.; Xu, W.; Liang, H.; Li, Y.; Liu, S.; Li, B. Nanoemulsions for food: Properties, production, characterization, and applications. Emulsions 2016, 3, 1–36. [Google Scholar] [CrossRef]
- Öztürk, B. Nanoemulsions for food fortification with lipophilic vitamins: Production challenges, stability, and bioavailability. Eur. J. Lipid Sci. Technol. 2017, 119, 1500539. [Google Scholar] [CrossRef]
- Singh, H. Scope of nanoemulsions in food industry: A review Harmanjot Singh. Pharma Innov. 2023, 12, 3462–3468. [Google Scholar]
- Hadnađev, M.S.; Hadnađev-Dapčević, T.; Pojić, M.M.; Šarić, B.M.; Mišan, A.Č.; Jovanov, P.T.; Sakač, M.B. Progress in vegetable proteins isolation techniques: A review. Food Feed. Res. 2017, 44, 11–21. [Google Scholar] [CrossRef]
- Chemat, F.; Rombaut, N.; Sicaire, A.G.; Meullemiestre, A.; Fabiano-Tixier, A.S.; Abert-Vian, M. Ultrasound assisted extraction of food and natural products. Mechanisms, techniques, combinations, protocols and applications. A review. Ultrason Sonochem. 2017, 34, 540–560. [Google Scholar] [CrossRef] [PubMed]
- Chemat, F.; Khan, M.K. Applications of ultrasound in food technology: Processing, preservation and extraction. Ultrason. Sonochem. 2011, 18, 813–835. [Google Scholar] [CrossRef]
- Jambrak, A. Application of High Power Ultrasound and Microwave in Food Processing: Extraction. J. Food Process Technol. 2012, 3, e111. [Google Scholar] [CrossRef]
- Letellier, M.; Budzinski, H. Microwave assisted extraction of organic compounds. Analusis 1999, 27, 259–270. [Google Scholar] [CrossRef]
- Gohi, B.; Du, J.; Zeng, H.; Cao, X.; Zou, K. Microwave Pretreatment and Enzymolysis Optimization of the Lotus Seed Protein. Bioengineering 2019, 6, 28. [Google Scholar] [CrossRef]
- Mandal, V.; Mohan, Y.; Hemalatha, S. Microwave assisted extraction—An innovative and promising extraction tool for medicinal plant research. Pharmacogn. Rev. 2007, 1, 7–18. [Google Scholar]
- Jiang, S.; Ding, J.; Andrade, J.; Rababah, T.M.; Almajwal, A.; Abulmeaty, M.M.; Feng, H. Modifying the physicochemical properties of pea protein by pH-shifting and ultrasound combined treatments. Ultrason. Sonochem. 2017, 38, 835–842. [Google Scholar] [CrossRef] [PubMed]
- Singleton, V.L.; Rossi, J.A. Colorimetry of total phenolics with phosphomolybdic-phosphotungstic acid reagents. Am. J. Enol. Vitic. 1965, 16, 144–158. [Google Scholar] [CrossRef]
- McCue, P.; Kwon, Y.-I.; Shetty, K. Anti-amylase, anti-glucosidase and anti-angiotensin converting enzyme potential of selected foods. J. Food Biochem. 2005, 29, 278–294. [Google Scholar] [CrossRef]
- Stevenson, D.; Inglett, G.; Chen, D.; Biswas, A.; Eller, F.; Evangelista, R. Phenolic content and antioxidant capacity of supercritical carbon dioxide-treated and air-classified oat bran concentrate microwave-irradiated in water or ethanol at varying temperatures. Food Chem. 2008, 108, 23–30. [Google Scholar] [CrossRef]
- Pinelo, M.; Rubilar, M.; Sineiro, J.; Nuñez, M.J. A thermal treatment to increase the antioxidant capacity of natural phenols: Catechin, resveratrol and grape extract cases. Eur. Food Res. Technol. 2005, 221, 284–290. [Google Scholar] [CrossRef]
- Duan, W.; Jin, S.; Zhao, G.; Sun, P. Microwave-assisted extraction of anthocyanin from Chinese bayberry and its effects on anthocyanin stability. Food Sci. Technol. 2015, 35, 524–530. [Google Scholar] [CrossRef]
- Mangang, K.; Chakraborty, S.; Deka, S. Optimized microwave-assisted extraction of bioflavonoids from Albizia myriophylla bark using response surface methodology. J. Food Sci. Technol. 2020, 57, 2107–2117. [Google Scholar] [CrossRef]
- Kaderides, K.; Papaoikonomou, L.; Serafim, M.; Goula, A. Microwave-assisted extraction of phenolics from pomegranate peels: Optimization, kinetics, and comparison with ultrasounds extraction. Chem. Eng. Process.-Process Intensif. 2019, 137, 1–11. [Google Scholar] [CrossRef]
- Alara, O.; Abdurahman, N.; Olalere, O. Optimization of microwave-assisted extraction of flavonoids and antioxidants from Vernonia amygdalina leaf using response surface methodology. Food Bioprod. Process. 2018, 107, 36–48. [Google Scholar] [CrossRef]
- Azuola, R.; Vargas-Aguilar, P. Extracción de sustancias asistida por ultrasonido (EUA). Rev. Tecnol. Marcha 2007, 20, 30–40. Available online: https://revistas.tec.ac.cr/index.php/tec_marcha/article/view/449 (accessed on 21 April 2021).
- Anaya-Esparza, L.M.; Velázquez-Estrada, R.M.; Roig, A.X.; García-Galindo, H.S.; Sayago-Ayerdi, S.G.; Montalvo-González, E. Thermosonication: An alternative processing for fruit and vegetable juices. Trends Food Sci. Technol. 2017, 61, 26–37. [Google Scholar] [CrossRef]
- Djeridane, A.; Yousfi, M.; Nadjemi, B.; Boutassouna, D.; Stocker, P.; Vidal, N. Antioxidant activity of some algerian medicinal plants extracts containing phenolic compounds. Food Chem. 2006, 97, 654–660. [Google Scholar] [CrossRef]
- Zheng, W.; Wang, S. Antioxidant Activity and Phenolic Compounds in Selected Herbs. J. Agric. Food Chem. 2001, 49, 5165–5170. [Google Scholar] [CrossRef] [PubMed]
- Li, H.; Deng, Z.; Wu, T.; Liu, R.; Loewen, S.; Tsao, R. Microwave-assisted extraction of phenolics with maximal antioxidant activities in tomatoes. Food Chem. 2012, 130, 928–936. [Google Scholar] [CrossRef]
- Randhir, R.; Shetty, K. Microwave-induced stimulation of L-DOPA, phenolics and antioxidant activity in fava bean (Vicia faba) for Parkinson’s diet. Process Biochem. 2004, 39, 1775–1784. [Google Scholar] [CrossRef]
- Fang, X.; Wang, J.; Hao, J.; Li, X.; Guo, N. Simultaneous extraction, identification and quantification of phenolic compounds in Eclipta prostrata using microwave-assisted extraction combined with HPLC–DAD–ESI–MS/MS. Food Chem. 2015, 188, 527–536. [Google Scholar] [CrossRef]
- Sutivisedsak, N.; Cheng, H.; Willett, J.; Lesch, W.; Tangsrud, R.; Biswas, A. Microwave-assisted extraction of phenolics from bean (Phaseolus vulgaris L.). Food Res. Int. 2010, 43, 516–519. [Google Scholar] [CrossRef]
- Dinardo, A.; Brar, H.; Subramanian, J.; Singh, A. Optimization of microwave-assisted extraction parameters and characterization of phenolic compounds in Yellow European Plums. Canad J. Chem. Eng. 2018, 97, 256–267. [Google Scholar] [CrossRef]
- Annegowda, H.V.; Anwar, L.N.; Mordi, M.N.; Ramanathan, S.; Mansor, S.M. Influence of sonication on the phenolic content and antioxidant activity of Terminalia catappa L. leaves. Pharmacogn. Res. 2010, 2, 368–373. [Google Scholar] [CrossRef]
- Yuan, Y.; Zhang, J.; Fan, J.; Clark, J.; Shen, P.; Li, Y.; Zhang, C. Microwave assisted extraction of phenolic compounds from four economic brown macroalgae species and evaluation of their antioxidant activities and inhibitory effects on α-amylase, α-glucosidase, pancreatic lipase and tyrosinase. Food Res. Intern. 2018, 113, 288–297. [Google Scholar] [CrossRef]
- Alara, O.; Abdurahman, N. Anti-diabetic activity and mineral elements evaluation of Vernonia amygdalina leaves obtained from Malaysia. J. Res. Pharm. 2019, 23, 514–521. [Google Scholar] [CrossRef]
- Oomah, B.; Kotzeva, L.; Allen, M.; Bassinello, P. Microwave and micronization treatments affect dehulling characteristics and bioactive contents of dry beans (Phaseolus vulgaris L.). J. Sci. Food Agric. 2013, 94, 1349–1358. [Google Scholar] [CrossRef] [PubMed]
- Abdennabi, R.; Gaboriaud, N.; Ahluwalia, V.; Tchoumtchoua, J.; Elgheryeni, A.; Leandros Skaltsounis, A.; Gharsallah, N. Microwave-Assisted Extraction of Phenolic Compounds from Date Palm Saps (Phoenix dactylifera L.) and Their Antioxidant, Antidiabetic and Antibacterial Activities Evaluation. Mathews J. Diabetes Obes. 2017, 2, 1–6. [Google Scholar]
- Orhan, I.; Aslan, S.; Kartal, M.; Şener, B.; Başer, K.H. Inhibitory effect of Turkish Rosmarinus officinalis L. on acetylcholinesterase and butyrylcholinesterase enzymes. Food Chem. 2008, 108, 663–668. [Google Scholar] [CrossRef]
- Feng, H.; Barbosa-Canovas, G.; Weiss, J. Ultrasound technologies for food and bioprocessing. In Ultrasound in Enzyme Activation and Inactivation; Mawson, R., Gamage, M., Terefe, N.S., Knoerzer, K., Eds.; Springer: New York, NY, USA, 2010; pp. 369–404. [Google Scholar]
- Zhu, Z.Y.; Dong, F.; Liu, X.; Lv, Q.; Yingyang; Liu, F.; Chen, L.; Wang, T.; Wang, Z.; Zhang, Y. Effects of extraction methods on the yield, chemical structure and anti-tumor activity of polysaccharides from Cordyceps gunnii mycelia. Carbohydr. Polym. 2016, 140, 461–471. [Google Scholar] [CrossRef] [PubMed]
- Hiranvarachat, B.; Devahastin, S. Enhancement of microwave-assisted extraction via intermittent radiation: Extraction of carotenoids from carrot peels. J. Food Eng. 2014, 126, 17–26. [Google Scholar] [CrossRef]
- Nguyen, V.T.; Vuong, Q.V.; Bowyer, M.C.; Van Altena, I.A.; Scarlett, C.J. Microwave-Assisted Extraction for Saponins and Antioxidant Capacity from Xao Tam Phan (Paramignya trimera) Root. J. Food Process. Preserv. 2017, 41, e12851. [Google Scholar] [CrossRef]
- Panda, D.; Manickam, S. Cavitation Technology—The Future of Greener Extraction Method: A Review on the Extraction of Natural Products and Process Intensification Mechanism and Perspectives. Appl. Sci. 2019, 9, 766. [Google Scholar] [CrossRef]
- Gouda, M.; El-Din Bekhit, A.; Tang, Y.; Huang, Y.; Huang, L.; He, Y.; Li, X. Recent innovations of ultrasound green technology in herbal phytochemistry: A review. Ultrason. Sonochem. 2021, 73, 105538. [Google Scholar] [CrossRef]




| Properties | Sweet | Bitter |
|---|---|---|
| Moisture (%) | 8.8 ± 0.3 a ** | 8.9 ± 0.2 a |
| Ash (%) | 3.7 ± 0.1 a | 2.9 ± 0.1 b |
| Protein (%) | 3.5 ± 0.1 a | 3.1 ± 0.1 b |
| Fat (%) | 9.5 ± 0.4 b | 11.6 ± 0.3 a |
| L* | 68.1 ± 2.1 a | 65.20 ± 0.2 b |
| a* | 6.8 ± 0.2 a | 4.5 ± 0.2 b |
| b* | 16.5 ± 1.1 b | 19.7 ± 0.1 a |
| Sample (Treatment) | Antioxidant Activity (%) | Total Phenol Content (mg of GAE/g) | α-Amylase Inhibitory Activity (%) |
|---|---|---|---|
| Sweet protein (M) | 70.35 ± 0.21 a * | 61.40 ± 1.31 a | 83.78 ± 0.31 a |
| Sweet protein (M + U) | 67.35 ± 0.21 bc | 15.00 ± 0.71 e | 75.76 ± 0.36 c |
| Sweet protein (U + M) | 70.10 ± 0.85 ab | 27.35 ± 0.77 d | 70.50 ± 0.71 d |
| Bitter protein (M) | 65.85 ± 1.20 c | 56.35 ± 0.64 b | 80.66 ± 0.47 b |
| Bitter protein (M+ U) | 61.40± 0.14 d | 41.65 ± 2.19 c | 75.78 ± 0.31 c |
| Bitter protein (U + M) | 65.25 ± 1.06 c | 41.55 ± 1.34 c | 69.62 ± 0.54 d |
Disclaimer/Publisher’s Note: The statements, opinions and data contained in all publications are solely those of the individual author(s) and contributor(s) and not of MDPI and/or the editor(s). MDPI and/or the editor(s) disclaim responsibility for any injury to people or property resulting from any ideas, methods, instructions or products referred to in the content. |
© 2023 by the authors. Licensee MDPI, Basel, Switzerland. This article is an open access article distributed under the terms and conditions of the Creative Commons Attribution (CC BY) license (https://creativecommons.org/licenses/by/4.0/).
Share and Cite
Rababah, T.; Al Udatt, M.; Angor, M.; Gammoh, S.; Almahasneh, M.; Magableh, G.; Abu Kayed, A.; Almajwal, A.; AL-Rayyan, N. Nutraceutical and Functional Properties of Lupin Protein Extracts Obtained via a Combined Ultrasonication and Microwave-Assisted Process. Processes 2023, 11, 2858. https://doi.org/10.3390/pr11102858
Rababah T, Al Udatt M, Angor M, Gammoh S, Almahasneh M, Magableh G, Abu Kayed A, Almajwal A, AL-Rayyan N. Nutraceutical and Functional Properties of Lupin Protein Extracts Obtained via a Combined Ultrasonication and Microwave-Assisted Process. Processes. 2023; 11(10):2858. https://doi.org/10.3390/pr11102858
Chicago/Turabian StyleRababah, Taha, Muhammad Al Udatt, Malak Angor, Sana Gammoh, Majdi Almahasneh, Ghazi Magableh, Aseel Abu Kayed, Ali Almajwal, and Numan AL-Rayyan. 2023. "Nutraceutical and Functional Properties of Lupin Protein Extracts Obtained via a Combined Ultrasonication and Microwave-Assisted Process" Processes 11, no. 10: 2858. https://doi.org/10.3390/pr11102858
APA StyleRababah, T., Al Udatt, M., Angor, M., Gammoh, S., Almahasneh, M., Magableh, G., Abu Kayed, A., Almajwal, A., & AL-Rayyan, N. (2023). Nutraceutical and Functional Properties of Lupin Protein Extracts Obtained via a Combined Ultrasonication and Microwave-Assisted Process. Processes, 11(10), 2858. https://doi.org/10.3390/pr11102858

