Characterization and Biological Studies of Synthesized Titanium Dioxide Nanoparticles from Leaf Extract of Juniperus phoenicea (L.) Growing in Taif Region, Saudi Arabia
Abstract
1. Introduction
2. Materials and Methods
2.1. Collection of Plant Samples
2.2. Extraction of Green Plants
2.3. GC/MS Analysis of Juniperus phoenicea Leaf Aqueous Extract
2.4. Bio-Synthesis and Purification of TiO2 NPs
2.5. Characterization of TiO2 Nanoparticles
2.5.1. UV-Visible Spectra Analysis
2.5.2. Dynamic Light Scattering (DLS)
2.5.3. Transmission Electron Microscopy (TEM)
2.5.4. X-ray Diffraction Spectroscopic Analysis (XRD)
2.5.5. Fourier Transform Infrared Spectroscopy (FTIR)
2.6. Antimicrobial Efficacy of TiO2 NPs
2.6.1. Preparation of Inoculum
2.6.2. Disc Diffusion Assay
2.6.3. Minimum Inhibitory Concentration (MIC) of TiO2 Nanoparticles
2.6.4. Minimum Bactericidal Concentration (MBC) of TiO2 Nanoparticles
2.7. Cytotoxic Assay of TiO2 Nanoparticles
2.7.1. Mammalian Cell Line
2.7.2. Cytotoxicity Evaluation
2.8. Statistical Analysis
3. Results
3.1. Chemical Constituents of Juniperus phoenicea Leaf Extract
3.2. Synthesis and Characterization of TiO2 Nanoparticles
3.2.1. UV-Vis spectroscopy of TiO2 NPs
3.2.2. Dynamic Light Scattering (DLS)
3.2.3. Transmission Electron Microscopy (TEM)
3.2.4. X-ray Diffraction Spectroscopic Analysis (XRD)
3.2.5. Fourier Transform Infrared Spectroscopy (FTIR)
3.3. Antimicrobial Efficacy of TiO2 NPs
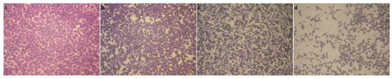
3.4. Cytotoxic Activity
4. Discussion
5. Conclusions
Author Contributions
Funding
Institutional Review Board Statement
Informed Consent Statement
Data Availability Statement
Acknowledgments
Conflicts of Interest
Sample Availability
References
- Ciesla, W.M. Non-Wood Forest Products from Conifers; Food and Agriculture Organization of the United Nations (FAO): Rome, Italy, 1998. [Google Scholar]
- Tilford, G.L. Edible and Medicinal Plants of the West; Mountain Press Publishing Company: Missoula, Montana, 1997. [Google Scholar]
- Manniche, L. Sacred Luxuries: Fragrance, Aromatherapy, and Cosmetics in Ancient Egypt; Cornell University Press: New York, NY, USA, 1999; p. 21. [Google Scholar]
- Bolous, L. Flora of Egypt; Al Hadara Publishing: Cairo, Egypt, 1999. [Google Scholar]
- El-Sawi, S.A.; Motawae, H.M.; Sleem, M.A.; El-Shabrawy, A.O.; Sleem, A.; Ismail, M.A. Phytochemical screening, investigation of carbohydrate contents, and antiviral activity of Juniperus phoenicea L. growing in Egypt. J. Herbs Spices Med. Plants 2014, 20, 83–91. [Google Scholar] [CrossRef]
- Aljaiyash, A.A.; Gonaid, M.H.G.; Islam, M.; Chaouch, A. Antibacterial and cytotoxic activities of some Libyan medicinal plants. J. Nat. Prod. Plant Resour. 2014, 4, 43–51. [Google Scholar]
- Tavares, L.; Carrilho, D.; Tyagi, M.; Barata, D.; Serra, A.T.; Duarte, C.M.M.; Duarte, R.O.; Feliciano, R.P.; Bronze, M.R.; Chicau, P.; et al. Neuroprotective effect of blackberry (Rubus sp.) polyphenols is potentiated after simulated gastrointestinal digestion. Food Chem. 2012, 131, 1443–1452. [Google Scholar] [CrossRef]
- Eissa, T.A.; Palomino, O.M.; Carretero, M.E.; Gómez-Serranillos, M.P. Ethnopharmacological study of medicinal plants used in the treatment of CNS disorders in Sinai Peninsula, Egypt. J. Ethnopharmacol. 2014, 151, 317–332. [Google Scholar] [CrossRef]
- Amer, M.M.A.; Wasif, M.M.; Abo-Aytta, A.M. Chemical and biological evaluation of Juniperus phoenicea as a hypoglycaemic agent. J. Agric. Res. 1994, 21, 1077–1091. [Google Scholar]
- Pardos, J.A.; Pardos, M. Enzyklopädie der Holzgewächse: Handbuch und Atlas der Dendrologie; Roloff, A., Weisgerber, H., Lang, U.M., Stimm, B., Schütt, P., Eds.; Wiley-Vch Verlag: Weinheim, Germany, 2000; p. 3. [Google Scholar]
- Farjon, A. The IUCN Red List of Threatened Species; The International Union for Conservation of Nature (IUCN): Gland, Switzerland, 2013; p. 42244/0+. [Google Scholar]
- Öztürk, M.; Tümen, I.; Uǧur, A.; Aydoǧmus-Öztürk, F.; Topçu, G. Evaluation of fruit extracts of six Turkish Juniperus species for their antioxidant, anticholinesterase and antimicrobial activities. J. Sci. Food Agric. 2011, 91, 867–876. [Google Scholar] [CrossRef]
- Šaric´-Kundalic´, B.; Dobeš, C.; Klatte-Asselmeyer, V.; Saukel, J. Ethnobotanical survey of traditionally used plants in human therapy of east, north and northeast Bosnia and Herzegovina. J. Ethnopharmacol. 2011, 133, 1051–1076. [Google Scholar] [CrossRef]
- Ponarulselvam, S.; Panneerselvam, C.; Murugan, K.; Aarthi, N.; Kalimuthu, K.; Thangamani, S. Synthesis of silver nanoparticles using leaves of Catharanthus roseus Linn. G. Don and their ant plasmodial activities. Asian Pac. J. Trop. Biomed. 2012, 2, 574–580. [Google Scholar] [CrossRef]
- Rajasekharreddy, P.; Rani, P.U. Biofabrication of Ag nanoparticles using Sterculia foetida L. seed extract and their toxic potential against mosquito vectors and HeLa cancer cells. Mater. Sci. Eng. C Mater. Biol. Appl. 2014, 39, 203–212. [Google Scholar] [CrossRef]
- Verma, A.; Mehata, M.S. Controllable synthesis of silver nanoparticles using neem leaves and their antimicrobial activity. J. Radiat. Res. Appl. Sci. 2016, 9, 109–115. [Google Scholar] [CrossRef]
- Rajkumari, J.; Magdalane, C.M.; Siddhardha, B.; Madhavan, J.; Ramalingam, G.; Al-Dhabi, N.A.; Arasu, M.V.; Ghilan, A.; Duraipandiayan, V.; Kaviyarasu, K. Synthesis of titanium oxide nanoparticles using Aloe barbadensis mill and evaluation of its antibiofilm potential against Pseudomonas aeruginosa PAO1. J. Photochem. Photobiol. B. 2019, 201, 111667. [Google Scholar] [CrossRef]
- Maham, M.; Nasrollahzadeh, M.; Bagherzadeh, M.; Akbari, R. Green synthesis of palladium/titanium dioxide nanoparticles and their application for the reduction of methyl orange, congo red and rhodamine B in aqueous medium. Comb Chem High Throughput Screen. 2017, 20, 787–795. [Google Scholar] [CrossRef]
- Nasrollahzadeh, M.; Atarod, M.; Jaleh, B.; Gandomirouzbahani, M. In situ green synthesis of Ag nanoparticles on graphene oxide/TiO2 nanocomposite and their catalytic activity for the reduction of 4-nitrophenol, congo red and methylene blue. Ceram. Int. 2016, 42, 8587–8596. [Google Scholar] [CrossRef]
- Rostami-Vartooni, A.; Nasrollahzadeh, M.; Salavati-Niasari, M.; Atarod, M. Photocatalytic degradation of azo dyes by titanium dioxide supported silver nanoparticles prepared by a green method using Carpobrotus acinaciformis extract. J. Alloys Compd. 2016, 689, 15–20. [Google Scholar] [CrossRef]
- Saxena, A.; Tripathi, R.M.; Zafar, F.; Singh, P. Green synthesis of silver nanoparticles using aqueous solution of Ficus benghalensis leaf extract and characterization of their antibacterial activity. Mater. Lett. 2012, 67, 91–94. [Google Scholar] [CrossRef]
- Dubey, S.B.; Lahtinen, M.; Sillanpää, M. Green synthesis and characterizations of silver and gold nanoparticles using leaf extract of Rosa rugosa. Colloids Surf. A Physicochem. Eng. Asp. 2010, 364, 34–41. [Google Scholar] [CrossRef]
- Rai, R.V.; Bai, J.A. Nanoparticles and Their Potential Application as Antimicrobials, Science against Microbial Pathogens: Communicating Current Research and Technological Advances; Méndez-Vilas, A., Ed.; Microbiology Series, No. 3, 1; Formatex: Badajoz, Spain, 2011; pp. 197–209. [Google Scholar]
- Luo, P.G.; Tzeng, T.R.; Shah, R.R.; Stutzenberger, F.J. Nanomaterials for antimicrobial applications and pathogen detection. Curr. Trends Microbiol. 2007, 3, 111–128. [Google Scholar]
- Amarnath, C.A.; Nanda, S.S.; Papaefthymiou, G.C.; Yi, D.K.; Paik, U. Nanohybridization of low-dimensional nanomaterials: Synthesis, classification and application. Crit. Rev. Solid State Mater. Sci. 2013, 38, 1–56. [Google Scholar] [CrossRef]
- Anjum, S.; Ishaque, S.; Fatima, H.; Farooq, W.; Hano, C.; Abbasi, B.H.; Anjum, I. Emerging Applications of Nanotechnology in Healthcare Systems: Grand Challenges and Perspectives. Pharmaceuticals 2021, 14, 707. [Google Scholar] [CrossRef]
- Anjum, S.; Hashim, M.; Malik, S.A.; Khan, M.; Lorenzo, J.M.; Abbasi, B.H.; Hano, C. Recent Advances in Zinc Oxide Nanoparticles (ZnO NPs) for Cancer Diagnosis, Target Drug Delivery, and Treatment. Cancers 2021, 13, 4570. [Google Scholar] [CrossRef]
- Anjum, S.; Khan, A.K.; Qamar, A.; Fatima, N.; Drouet, S.; Renouard, S.; Blondeau, J.P.; Abbasi, B.H.; Hano, C. Light Tailoring: Impact of UV-C Irradiation on Biosynthesis, Physiognomies, and Clinical Activities of Morus macroura-Mediated Monometallic (Ag and ZnO) and Bimetallic (Ag–ZnO) Nanoparticles. Int. J. Mol. Sci. 2021, 22, 11294. [Google Scholar] [CrossRef]
- Khan, A.K.; Renouard, S.; Drouet, S.; Blondeau, J.-P.; Anjum, I.; Hano, C.; Abbasi, B.H.; Anjum, S. Effect of UV Irradiation (A and C) on Casuarina equisetifolia-Mediated Biosynthesis and Characterization of Antimicrobial and Anticancer Activity of Biocompatible Zinc Oxide Nanoparticles. Pharmaceutics 2021, 13, 1977. [Google Scholar] [CrossRef]
- Alam, H.; Khatoon, N.; Raza, M.; Prahlad Ghosh, C.; Sardar, M. Synthesis and Characterization of Nano Selenium Using Plant Biomolecules and Their Potential Applications. BioNanoSci. 2019, 9, 96–104. [Google Scholar] [CrossRef]
- Davies, N.W. Gas chromatographic retention indices of monoterpenes on methyl silicone and Carbowax 20M phases. J. Chromatogr. 1990, 503, 1–24. [Google Scholar] [CrossRef]
- Javed, B.; Raja, N.I.; Nadhman, A.; Mashwani, Z.-R. Understanding the potential of bio-fabricated non-oxidative silver nanoparticles to eradicate Leishmania and plant bacterial pathogens. Appl. Nanosci. 2020, 10, 2057–2067. [Google Scholar] [CrossRef]
- Mangadlao, J.D.; Wang, X.; McCleese, C.; Escamilla, M.; Ramamurthy, G.; Wang, Z.; Govande, M.; Basilion, J.P.; Burda, C. Prostate-Specific Membrane Antigen Targeted Gold Nanoparticles for Theranostics of Prostate Cancer. ACS Nano 2018, 12, 3714–3725. [Google Scholar] [CrossRef]
- Zhang, H.; Chen, G. Potent antibacterial activities of Ag/TiO2 nanocomposite powders synthesized by a one-pot sol-gel method. Environ. Sci. Technol. 2009, 15, 2905–2910. [Google Scholar] [CrossRef]
- National Committee for Clinical Laboratory Standards. Performance Standards for Antimicrobial Disk Susceptibility Tests; Approved standard; NCCLS document M2-A5; National Committee for Clinical Laboratory Standards: Wayne, PA, USA, 1993. [Google Scholar]
- Vijayan, P.; Raghu, C.; Ashok, G.; Dhanaraj, S.A.; Suresh, B. Antiviral activity of medicinal plants of Nilgiris. Indian J. Med. Res. 2004, 120, 24–29. [Google Scholar]
- Mosmann, T. Rapid colorimetric assay for cellular growth and survival: Application to proliferation and cytotoxicity assays. J. Immunol. Methods 1983, 65, 55–63. [Google Scholar] [CrossRef]
- Al-Mustafa, A.; Al-Tawarah, M.; Al-Sheraideh, M.S.; Al-Zahrany, F.A. Phytochemical analysis, antioxidant and in vitro β-galactosidase inhibition activities of Juniperus phoenicea and Calicotome villosa methanolic extracts. BMC Chem. 2021, 15, 55. [Google Scholar] [CrossRef]
- Ennajar, M.; Bouajila, J.; Lebrihi, A.; Mathieu, F.; Abderraba, M.; Raies, A.; Romdhane, M. Chemical composition and antimicrobial and antioxidant activities of essential oils and various extracts of Juniperus phoenicea L. (Cupressacees) . J. Food Sci. 2009, 74, M364–M371. [Google Scholar] [CrossRef]
- Al-Attar, A.M. Hepatoprotective influence of vitamin C on thioacetamide— induced liver cirrhosis in Wistar male rats. J. Pharmacol. Toxicol. 2011, 6, 218–288. [Google Scholar] [CrossRef]
- Lai, J.-P.; Lim, Y.H.; Su, J.; Shen, H.-M.; Ong, C.N. Identification and characterization of major flavonoids and caffeoylquinic acids in three Compositae plants by LC/DAD-APCI/MS. J. Chromatogr. B 2007, 848, 215–225. [Google Scholar] [CrossRef]
- Mehrizi, M.K.; Shahi, Z. Application of Plant-Based Natural Product to Synthesize Nanomaterial; Srivastava, M., Srivastava, N., Mishra, P., Gupta, V., Eds.; Nanomaterials in Biofuels Research. Clean Energy Production Technologies; Springer: Singapore, 2020; pp. 53–73. [Google Scholar]
- Vijayalakshmi, R.; Rajendran, V. Synthesis and characterization of nano-TiO2 via different methods. Arch. Appl. Sci. Res. 2012, 4, 1183–1190. [Google Scholar]
- Anbalagan, K.; Mohanraj, S.; Pugalenthi, V. Rapid phytosynthesis of nano-sized titanium using leaf extract of Azadirachta indica. Int. J. Chem. Tech. Res. 2015, 8, 2047–2052. [Google Scholar]
- Thakur, B.K.; Kumar, A.; Kumar, D. Green synthesis of titanium dioxide nanoparticles using Azadirachta indica leaf extract and evaluation of their antibacterial activity. S. Afr. J. Bot. 2019, 124, 223–227. [Google Scholar] [CrossRef]
- Ibrahim, E.; Kilany, M.; Ghramh, H.A.; Khan, K.; Islam, S.U. Cellular proliferation/cytotoxicity and antimicrobial potentials of green synthesized silver nanoparticles (AgNPs) using Juniperus procera. Saudi J. Biol. Sci. 2019, 26, 1689–1694. [Google Scholar] [CrossRef]
- Lin, J.; Heo, Y.U.; Nattestad, A.; Sun, Z.; Wang, L.; Kim, J.H.; Dou, S.X. 3D hierarchical rutile TiO2 and metal-free organic sensitizer producing dye-sensitized solar cells 8.6% conversion efficiency. Sci. Rep. 2014, 4, 5769. [Google Scholar] [CrossRef]
- Kuchekar, S.R.; Patil, M.P.; Gaikwad, V.B.; Han, S.-H. Synthesis and characterization of silver nanoparticles using Azadirachta indica (Neem) leaf extract. Int. J. Eng. Sci. Invent. 2017, 6, 66–70. [Google Scholar]
- Bekele, E.T.; Gonfa, B.A.; Zelekew, O.A.; Belay, H.H.; Sabir, F.K. Synthesis of Titanium Oxide Nanoparticles Using Root Extract of Kniphofia foliosa as a Template, Characterization, and Its Application on Drug Resistance Bacteria. J. Nanomater. 2020, 2020, 2817037. [Google Scholar] [CrossRef]
- Ravikumar, P.; Kumar, S.S. Antifungal activity of extracellularly synthesized silver nanoparticles from Morinda citrifolia L. Int. J. Tech. Res. Appl. 2014, 2, 108–111. [Google Scholar]
- Vasconcelos, D.C.; Costa, V.C.; Nunes, E.H.; Sabioni, A.C.; Gasparon, M.; Vasconcelos, W.L. Infrared spectroscopy of titania sol-gel coatings on 316L stainless steel. Mater. Sci. Appl. 2011, 2, 1375–1382. [Google Scholar] [CrossRef]
- Yilmaz, M.; Turkdemir, H.; Kilic, M.A.; Bayram, E.; Cicek, A.; Mete, A.; Ulug, B. Biosynthesis of silver nanoparticles using leaves of Stevia rebaudiana. Mater. Chem. Phys. 2011, 130, 1195–1202. [Google Scholar] [CrossRef]
- Khan, M.; Karuppiah, P.; Alkhathlan, H.Z.; Kuniyil, M.; Khan, M.; Adil, S.F.; Shaik, M.R. Green Synthesis of Silver Nanoparticles Using Juniperus procera Extract: Theirn Characterization, and Biological Activity. Crystals 2022, 12, 420. [Google Scholar] [CrossRef]
- Ansari, A.; Siddiqui, V.U.; Rehman, W.U.; Akram, M.K.; Siddiqi, W.A.; Alosaimi, A.M.; Hussein, M.A.; Rafatullah, M. Green Synthesis of TiO2 Nanoparticles Using Acorus calamus Leaf Extract and Evaluating Its Photocatalytic and In Vitro Antimicrobial Activity. Catalysts 2022, 12, 181. [Google Scholar] [CrossRef]
- Chawla, V.; Sathaye, S. Biosynthesis of silver nanoparticles using methanolic extracts of Acorus calamus, and assessment of its antioxidant and antimicrobial activity. J. Med. Plants Stud. 2017, 5, 358–363. [Google Scholar]
- Ganesan, R.; Gurumallesh Prabu, H. Synthesis of gold nanoparticles using herbal Acorus calamus rhizome extract and coating on cotton fabric for antibacterial and UV blocking applications. Arab. J. Chem. 2019, 12, 2166–2174. [Google Scholar] [CrossRef]
- Rónavári, A.; Kovács, D.; Igaz, N.; Vágvölgyi, C.; Boros, I.M.; Konya, Z.; Pfeiffer, I.; Kiricsi, M. Biological activity of green-synthesized silver nanoparticles depends on the applied natural extracts: A comprehensive study. Int. J. Nanomed. 2017, 12, 871–883. [Google Scholar] [CrossRef] [PubMed]
- Rónavári, A.; Igaz, N.; Gopisetty, M.K.; Szerencsés, B.; Kovács, D.; Papp, C.G.; Vágvölgyi, C.; Boros, I.M.; Kónya, Z.; Kiricsi, M.; et al. Biosynthesized silver and gold nanoparticles are potent antimycotics against opportunistic pathogenic yeasts and dermatophytes. Int. J. Nanomed. 2018, 13, 695–703. [Google Scholar] [CrossRef]
- Rónavári, A.; Bélteky, P.; Boka, E.; Zakupszky, D.; Igaz, N.; Szerencsés, B.; Pfeiffer, I.; Kónya, Z.; Kiricsi, M. Polyvinyl-Pyrrolidone-Coated Silver Nanoparticles-The Colloidal, Chemical, and Biological Consequences of Steric Stabilization under Biorelevant Conditions. Int. J. Mol. Sci. 2021, 22, 8673. [Google Scholar] [CrossRef]
- Chudasama, B.; Vala, A.K.; Andhariya, N.; Mehta, R.V.; Upadhyay, R.V. Highly bacterial resistant silver nanoparticles: Synthesis and antibacterial activities. J. Nanoparticle Res. 2010, 12, 1677–1685. [Google Scholar] [CrossRef]
- Azizi-Lalabadi, M.; Ehsani, A.; Divband, B.; Alizadeh-Sani, M. Antimicrobial activity of Titanium dioxide and Zinc oxide nanoparticles supported in 4A zeolite and evaluation the morphological characteristic. Sci. Rep. 2019, 9, 17439. [Google Scholar] [CrossRef] [PubMed]
- Morones, J.R.; Elechiguerra, J.L.; Camacho, A.; Holt, K.; Kouri, J.B.; Ramírez, J.T.; Yacaman, M.J. The bactericidal effect of silver nanoparticles. Nanotechnology 2005, 16, 2346–2353. [Google Scholar] [CrossRef]
- Danilczuk, M.; Lund, A.; Sadlo, J.; Yamada, H.; Michalik, J. Conduction electron spin resonance of small silver particles. Spectrochim. Acta Part A Mol. Biomol. Spectrosc. 2006, 63, 189–191. [Google Scholar] [CrossRef]
- Kim, J.S.; Kuk, E.; Yu, K.N.; Kim, J.-H.; Park, S.J.; Lee, H.J.; Kim, S.H.; Park, Y.K.; Park, Y.H.; Hwang, C.-Y.; et al. Antimicrobial effects of silver nanoparticles. Nanomed. Nanotechnol. Boil. Med. 2007, 3, 95–101, Erratum in Nanomed. Nanotechnol. Biol. Med. 2014, 10, e1119. [Google Scholar] [CrossRef] [PubMed]
- Narayanan, M.; Vigneshwari, P.; Natarajan, D.; Kandasamy, S.; Alsehli, M.; Elfasakhany, A.; Pugazhendhi, A. Synthesis and characterization of TiO2 NPs by aqueous leaf extract of Coleus aromaticus and assess their antibacterial, larvicidal, and anticancer potential. Environ. Res. 2021, 200, 111335. [Google Scholar] [CrossRef]
- Amanulla, A.M.; Sundaram, R. Green synthesis of TiO2 nanoparticles using orange peel extract for antibacterial, cytotoxicity and humidity sensor applications. Mater. Today Proc. 2019, 8, 323–331. [Google Scholar]
- Lu, P.J.; Fang, S.W.; Cheng, W.L.; Huang, S.C.; Huang, M.C.; Cheng, H.F. Characterization of titanium dioxide and zinc oxide nanoparticles in sunscreen powder by comparing different measurement methods. J. Food Drug Anal. 2018, 26, 1192–1200. [Google Scholar] [CrossRef]
- Mahmoudi, M.; Azadmanesh, K.; Shokrgozar, M.A.; Journeay, W.S.; Laurent, S. Effect of nanoparticles on the cell life cycle. Chem. Rev. 2011, 111, 3407–3432. [Google Scholar] [CrossRef]
- Keskes, H.; Belhadj, S.; Jlail, L.; El Feki, A.; Damak, M.; Sayadi, S.; Allouche, N. LC-MS-MS and GC-MS analyses of biologically active extracts and fractions from Tunisian Juniperus phoenice leaves. Pharm. Biol. 2017, 55, 88–95. [Google Scholar] [CrossRef]
- Sneha, K.; Narayanankutty, A.; Job, J.T.; Olatunji, O.J.; Alfarhan, A.; Famurewa, A.C.; Ramesh, V. Antimicrobial and Larvicidal Activities of Different Ocimum Essential Oils Extracted by Ultrasound-Assisted Hydrodistillation. Molecules 2022, 27, 1456. [Google Scholar] [CrossRef]
- Anusmitha, K.M.; Aruna, M.; Job, J.T.; Narayanankutty, A.; Benil, P.B.; Rajagopal, R.; Alfarhan, A.; Barcelo, D. Phytochemical analysis, antioxidant, anti-inflammatory, anti-genotoxic, and anticancer activities of different Ocimum plant extracts prepared by ultrasound-assisted method. Phys. Mol. Plant Pathol. 2022, 117, 101746. [Google Scholar] [CrossRef]
- Sharma, M.; Grewal, K.; Jandrotia, R.; Batish, D.R.; Singh, H.P.; Kohli, R.K. Essential oils as anticancer agents: Potential role in malignancies, drug delivery mechanisms, and immune system enhancement. Biomed. Pharmacother. 2022, 146, 112514. [Google Scholar] [CrossRef] [PubMed]
- Cascaes, M.M.; De Moraes, Â.A.B.; Cruz, J.N.; Franco, C.d.J.P.; Silva, R.C.E.; Nascimento, L.D.d.; Ferreira, O.O.; Anjos, T.O.d.; de Oliveira, M.S.; Guilhon, G.M.S.P.; et al. Phytochemical Profile, Antioxidant Potential and Toxicity Evaluation of the Essential Oils from Duguetia and Xylopia Species (Annonaceae) from the Brazilian Amazon. Antioxidants 2022, 11, 1709. [Google Scholar] [CrossRef] [PubMed]








| Peak No. | Compound Name | RT | RC (%) | Probability |
|---|---|---|---|---|
| 1 | Sabinene | 5.54 | 5.25 | 85.86 |
| 2 | α-Humulene | 7.04 | 20.95 | 71.80 |
| 3 | β-Pinene | 7.49 | 6.71 | 19.41 * |
| 4 | β-Myrcene | 8.09 | 4.485 | 68.40 |
| 5 | β-Phellandrene | 9.46 | 17.55 | 36.60 * |
| 6 | α-Pinene | 9.67 | 1.935 | 35.11 * |
| 7 | L-Limonene | 10.51 | 6.09 | 30.64 * |
| 8 | α-Terpinolene | 10.73 | 5.235 | 47.84 |
| 9 | Linalool | 11.05 | 7.335 | 51.35 |
| 10 | β-Selinene | 15.45 | 2.505 | 62.44 |
| 11 | Elemol | 15.72 | 7.62 | 52.05 |
| 12 | Hexadecane | 16.00 | 1.47 | 29.44 * |
| 13 | α-Cadinol | 16.08 | 1.45 | 72.76 |
| 14 | Isospathulenol | 16.35 | 0.75 | 20.02 * |
| 15 | α-Amorphene | 16.93 | 2.69 | 29.37 * |
| 16 | β-Citronellol | 17.18 | 0.16 | 17.95 * |
| 17 | Cedrol | 19.17 | 0.26 | 61.71 |
| 18 | α-Muurolene | 21.04 | 0.31 | 52.43 |
| 19 | Cedreanol | 25.15 | 0.2 | 26.73 * |
| 20 | δ-Cadinene | 27.27 | 0.19 | 25.59 * |
| 21 | α-Cubebene | 29.43 | 0.22 | 19.65 * |
| 22 | Nonacosane | 33.10 | 0.23 | 25.32 * |
| 23 | Hexadecanoic acid | 34.84 | 0.1 | 21.39 * |
| 24 | Benzenepropanoic acid | 38.65 | 0.12 | 22.62 * |
| Microbial Strains | Zone of Inhibition (mm, mean ± SE) | MIC (μL/mL) | MBC (μL/mL) | * Oxytetracycline 30 mg | * Penicillin 10 mg |
|---|---|---|---|---|---|
| S. aureus | 23.3 ± 0.27 | 40 | 80 | ND | - |
| B. subtilis | 25.5 ± 0.31 | 40 | 80 | ND | - |
| E. coli | 20.9 ± 0.28 | 80 | 120 | ND | - |
| K. pneumoniae | 15.7 ± 0.45 | 80 | 140 | ND | - |
| S. cerevisiae | 25.4 ± 0.36 | 40 | 80 | - | 15 ± 0.3 |
| Asp. niger | 30.3 ± 0.25 | 20 | 40 | - | 15 ± 0.2 |
| Pen. digitatum | 25.2 ± 0.27 | 40 | 100 | - | 17 ± 0.1 |
Disclaimer/Publisher’s Note: The statements, opinions and data contained in all publications are solely those of the individual author(s) and contributor(s) and not of MDPI and/or the editor(s). MDPI and/or the editor(s) disclaim responsibility for any injury to people or property resulting from any ideas, methods, instructions or products referred to in the content. |
© 2023 by the authors. Licensee MDPI, Basel, Switzerland. This article is an open access article distributed under the terms and conditions of the Creative Commons Attribution (CC BY) license (https://creativecommons.org/licenses/by/4.0/).
Share and Cite
Al Masoudi, L.M.; Alqurashi, A.S.; Abu Zaid, A.; Hamdi, H. Characterization and Biological Studies of Synthesized Titanium Dioxide Nanoparticles from Leaf Extract of Juniperus phoenicea (L.) Growing in Taif Region, Saudi Arabia. Processes 2023, 11, 272. https://doi.org/10.3390/pr11010272
Al Masoudi LM, Alqurashi AS, Abu Zaid A, Hamdi H. Characterization and Biological Studies of Synthesized Titanium Dioxide Nanoparticles from Leaf Extract of Juniperus phoenicea (L.) Growing in Taif Region, Saudi Arabia. Processes. 2023; 11(1):272. https://doi.org/10.3390/pr11010272
Chicago/Turabian StyleAl Masoudi, Luluah M., Abeer S. Alqurashi, Abeer Abu Zaid, and Hamida Hamdi. 2023. "Characterization and Biological Studies of Synthesized Titanium Dioxide Nanoparticles from Leaf Extract of Juniperus phoenicea (L.) Growing in Taif Region, Saudi Arabia" Processes 11, no. 1: 272. https://doi.org/10.3390/pr11010272
APA StyleAl Masoudi, L. M., Alqurashi, A. S., Abu Zaid, A., & Hamdi, H. (2023). Characterization and Biological Studies of Synthesized Titanium Dioxide Nanoparticles from Leaf Extract of Juniperus phoenicea (L.) Growing in Taif Region, Saudi Arabia. Processes, 11(1), 272. https://doi.org/10.3390/pr11010272

