Acute Hepatic and Renal Toxicity Assessment of Euphorbia huanchahana (Klotzsch & Garcke) Boissier (Huachangana) in Holtzman Rats
Abstract
1. Introduction
2. Materials and Methods
2.1. Study Design and Animal for Experimentation
2.2. Obtaining the Ethanolic Extract, Solubility Test and Phytochemical Analysis
2.3. Toxicologic Assay
2.4. Hepatic Biomarkers and Histopathological Analysis
2.5. Data Analysis
3. Results
3.1. Biochemical Assay
3.2. Changes and Liver and Renal Markers
3.3. Tracking the Weight Variation
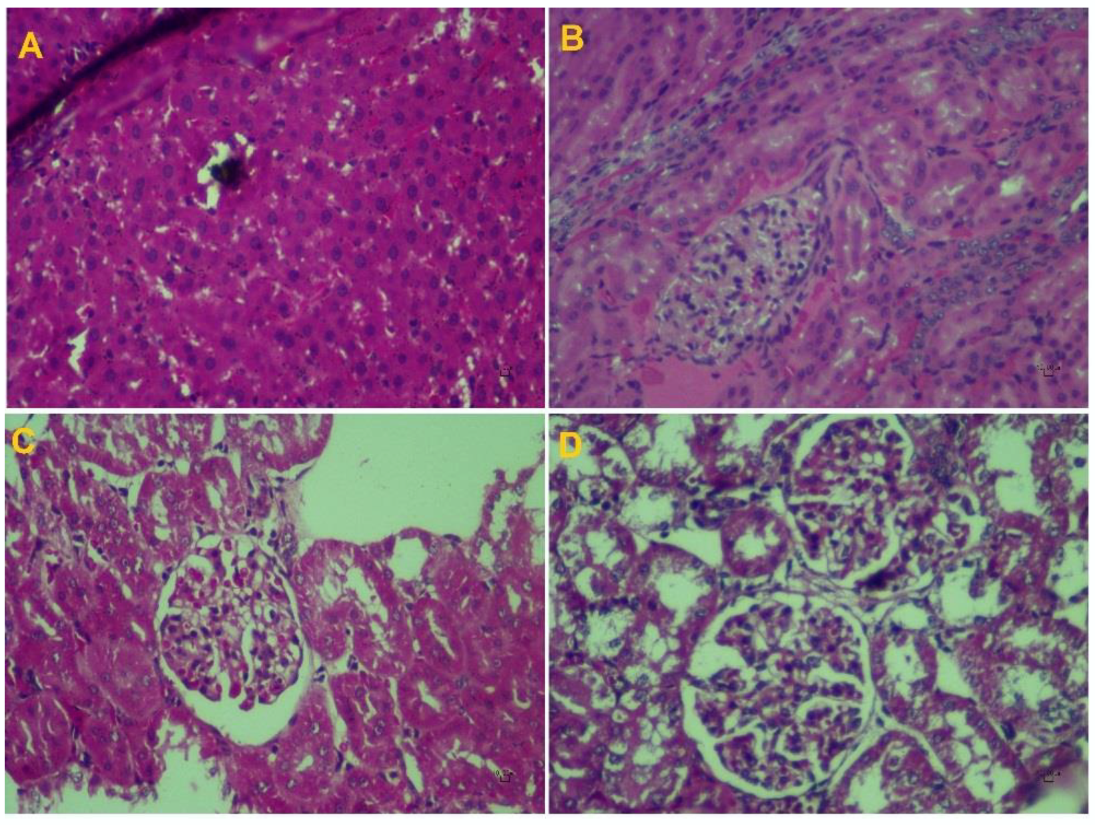
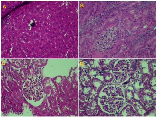
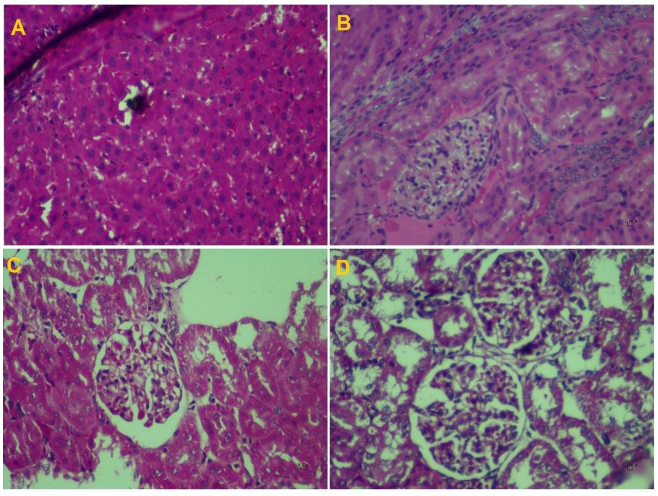
3.4. Tissue Toxicity
4. Discussion
Limitations
5. Conclusions
Author Contributions
Funding
Institutional Review Board Statement
Informed Consent Statement
Data Availability Statement
Acknowledgments
Conflicts of Interest
Appendix A


References
- Ghasemian, M.; Owlia, S.; Owlia, M.B. Review of Anti-Inflammatory Herbal Medicines. Adv. Pharm. Pharmac. Sci. 2016, 2016, 9130979. [Google Scholar] [CrossRef] [PubMed]
- Gupta, N.; Vishnoi, G.; Wal, A.; Wal, P. Medicinal Value of Euphorbia Tirucalli. Syst. Rev. Pharm. 2013, 4, 31–40. [Google Scholar] [CrossRef]
- Da Silva, S.; Oliveira, G.; Dias, R.; Alvarenga, M.R. Representaciones y usos de las plantas medicinales en mayores. Rev. Latino-Am. Enfermagem. 2018, 20, 778–786. [Google Scholar]
- Pauro, R.J.; Gonzáles, M.J.; Gamarra, C.B.M.; Pauro, J.R.; Mamani, F.; Huerta, R.B. Plantas Alimenticias, Medicinales y Biosidas de las Comunidades de Muñani y Suatia, Provincia de Lampa (Puno–Perú). Ecol Aplic. 2011, 10, 41–49. [Google Scholar] [CrossRef][Green Version]
- Lottus, J.O. Infusiones, tisanas o té de hierbas permitidas y nocivas durante el embarazo y la lactancia. Rev. Obs. Ginecol.-Hosp. Santiago Oriente Dr. Luis Tisné Brousse. 2015, 10, 148–159. [Google Scholar]
- Leiva, L.L.; Escobar, R.R.; Morales, J.A.; Sori, L.Y.; Escobar, V.E. Intoxicaciones agudas por plantas tóxicas reportadas por Centro de Toxicología de Villa Clara en período 2008–2011. Rev. Cubana. Plant Med. 2014, 19, 399–406. [Google Scholar]
- Ccama, C. Toxicología de Adsorción y Excreción. Master’s Thesis, Escuela Académico Profesional de Ingeniería e Industrias Alimentaria, Facultad de Ingeniería de Procesos, Universidad Nacional de San Agustín de Arequipa, Arequipa, Peru, 2014. [Google Scholar]
- De Sousa, M.; Alves, S. Especies de interés de familia Euphorbiaceae en Brasil. Rev. Cub. Plantas Med. 2014, 19, 292–309. [Google Scholar]
- Silvero-Isidre, A.; Morínigo-Guayuán, S.; Meza-Ojeda, A.; Mongelós-Cardozo, M.; González-Ayala, A.; Figueredo-Thiel, S. Toxicidad Aguda de las hojas de Xanthium spinosum en ratones Balb/C. Rev. Perú Med. Exp. Salud Pública 2016, 33, 113–119. [Google Scholar] [CrossRef]
- Salazar, W.; Cárdenas, J.; Núñez, M.; Fernández, I.; Villegas, L.; Pacheco, L.; Untiveros, G. Estudio fitoquímico y de la actividad antihelmíntica de los extractos de Euphorbia huanchahana y Baccharis salicifolia. Rev. Soc. Quim. Perú 2007, 73, 150–157. [Google Scholar]
- Olorunnisola, O.; Adetutu, A.; Owoade, A.; Ajayi, F.; Ajibade, A.; Adegbola, P. Acute and Sub-acute Toxicity Assessment of Euphorbia lateriflora (Schum and Thonn) in Wistar Albino Rats. Eur. J. Med. Plants. 2019, 29, 1–10. [Google Scholar] [CrossRef]
- Ping, K.Y.; Darah, I.; Chen, Y.; Sreeramanan, S.; Sasidharan, S. Acute and Subchronic Toxicity Study of Euphorbia hirta L. Methanol Extract in Rats. BioMed. Res. Int. 2013, 2013, 182064. [Google Scholar] [CrossRef]
- Bussmann, R.; Sharon, D. Medicinal Plants and Their Ecology in Northern Peru and Southern Ecuador; Lila State University: Tbilisi, Georgia, 2015. [Google Scholar]
- Ñañez, D.; Mendoza, M.; Félix, L.; Rivas, W.; Mendoza, M.; Torres, E.R. Determinación de Fitoconstituyentes y evaluación de la actividad catártica en el extracto hidroalcohólico de Euphorbia huanchahana (Huachangana). Rev. Perú Med. Integrativa. 2018, 3, 71–77. [Google Scholar] [CrossRef][Green Version]
- Nogué, J.; Blanché, C.; Piqueras, J. Intoxicación por Plantas y Setas; Laboratorios Menarini S.A.: Barcelona, Spain, 2009. [Google Scholar]
- Jian, W.; Liu, H. Traditional Herbal Medicine Research Methods: Identification, Analysis, Bioassay, and Pharmaceutical and Clinical Studies; Wiley: Hoboken, NJ, USA, 2011. [Google Scholar]
- Lock, O. Investigación Fitoquímica, Métodos en el Estudio de Productos Naturales, 3rd ed.; Pontificia Universidad Católica del Perú: Lima, Peru, 2016. [Google Scholar]
- Ramírez, A.; Isaza, G.; Pérez, J.; Martínez, M. Estudio fitoquímico preliminar y evaluación de la actividad antibacteriana del Solanum dolichosepalum bitter (Frutillo). Rev. Cub. Plantas Med. 2017, 22, 1–11. [Google Scholar]
- Environmental Protection Agency. Health Effects Test Guidelines OPPTS 870.1100. In Acute Oral Toxicity; EPA 712–C–02–190; OECD Publishing: Washington, DC, USA, 2002. [Google Scholar]
- National Research Council. Guide for the Care and Use of Laboratory Animals, 8th ed.; National Academies Press: Washington, DC, USA, 2011.
- Organisation for Economic Cooperation and Development. OECD Guideline for Testing of Chemicals, Test No. 423: Acute Oral Toxicity-Acute Toxic Class Method; OECD Press: Paris, France, 2001. [Google Scholar] [CrossRef]
- Gorriti, A.; Arroyo, J.; Quispe, F.; Cisneros, B.; Condorhuaman, M.; Almora, J.; Chumpitaz, V. Toxicidad oral a 60 días del aceite de sacha inchi (plukenetia volubilis L.) y linaza (linum usitatissimum L.) y determinación de la dosis letal 50 en roedores. Rev. Peru Med. Exp. Salud Publica. 2010, 27, 352–360. [Google Scholar] [CrossRef][Green Version]
- Fuentes, F.; Mendoza, R.; Rosales, A.; Cisneros, R. Guía de Manejo y Cuidado de Animales de Laboratorio; Centro Nacional de Productos Biológicos, Instituto Nacional de Salud: Lima, Peru, 2008. [Google Scholar]
- Torres, M.; García, E.; García, S.G.; Aradillas, C.; Cubillas, A. Evaluación de la toxicidad aguda In Vivo del extracto etanólico y acuoso de Calea urticifolia. Bot. Sci. 2016, 94, 133–140. [Google Scholar] [CrossRef][Green Version]
- Romero, W.; Zenia, B.Z.; De Lucca, M.; Ruano, A.; García, M.; Rivera, M.; García, J.; Sánchez, S. EL 1, 2, 3 de la Experimentación con Animales de Laboratorio. Rev. Perú Med. Exp. Salud Pública 2016, 33, 288–299. [Google Scholar] [CrossRef]
- Moya, S.J.; Pio, D.L. Enzymatic biochemical parameters (ALT, AST, ALP, γ-GT, LDH) in children with acute lymphoblastic leukemia before antineoplastic treatment. Horiz. Med. 2015, 15, 51–58. [Google Scholar]
- Cui, D.; Naftel, P.N.; Daley, W.P.; Lynch, J.C.; Haines, D.E.; Yang, G.; Fratkin, J.D. Atlas of Histology with Functional and Clinical Correlations, 1st ed.; Wolters Kluwer: Alphen aan den Rijn, The Netherlands, 2011; p. 482. [Google Scholar]
- Culling, C.F.A. Handbook of Histopathological and Histochemical Techniques, 3rd ed.; Butterworth: London, England, 1974; pp. 489–490. [Google Scholar]
- Ridtitid, W.; Sae-Wong, C.; Reanmongkol, W.; Wongnawa, M. Antinociceptive activity of the methanolic extract of Kaempferia galanga Linn. in experimental animals. J. Ethnopharm. 2008, 118, 225–230. [Google Scholar] [CrossRef]
- Gallegos, M. Las plantas medicinales: Principal alternativa para el cuidado de la salud, en la población rural de Babahoyo, Ecuador. An. Fac. Med. 2016, 77, 327–332. [Google Scholar] [CrossRef]
- Espejo, D. Ensayo clínico de la Huachangana (Euphorbia Huanchahana) como purgante drástico. Bachelor Thesis, Facultad de Medicina Humana, Universidad Nacional Mayor de San Marcos, Lima, Peru, 1891. [Google Scholar]
- Ramírez-Viena, L.; Mostacero-León, J.; De La Cruz-Castillo, A.J. Flora etnobotánica promisoria empleada por la comunidad de Cuspón, Ancash, Perú. Manglar 2019, 16, 125–131. [Google Scholar] [CrossRef]
- Sharif, H.B.; Mukhtar, M.D.; Mustapha, Y.; Baba, G.; Lawal, A.O. Acute and Subchronic Toxicity Profile of Euphorbia pulcherrima Methanol Extract on Wistar Albino Rats. Adv. Pharm. 2015, 9, 2015. [Google Scholar] [CrossRef]
- Arroyo, J.; Franco, C.; Chávez, R.; Anampa, A.; Rojas, J.; Cabanillas, J. Estudio de toxicidad a 28 días, del extracto atomizado de rizoma de Curcuma longa (a4r), flores de Cordia lutea (a4f) y hojas de Annona muricata (a4l) en un modelo murino. Rev. Per. Med. Integrativa. 2016, 1, 31–37. [Google Scholar]
- Águila, J.; Bartra, J. Determinación sérica de Bilirrubina Directa Toral en Personas Adultas de Ambos Sexos Pertenecientes a la Iglesia Adventista de Trujillo. La Libertad-Julio; 2012. Master’s Thesis, Universidad Nacional de Trujillo, Trujillo, Peru, 2012. [Google Scholar]
- Sandoval, M.; Ayala, S.; Oré, M.; Valdivieso, L.; Loli, R.; Ricra, V.; Huamán, O. Evaluación de la toxicidad hepática y renal aguda y subaguda del látex de Crotón palanostigma (sangre de grado) en animales de experimentación. An. Fac. Med. 2005, 66, 119–126. [Google Scholar] [CrossRef][Green Version]
- Rojas, M. Valores de Referencia de Perfil Hepático y Lipídico en Personas que Viven a 3000 Metros Sobre el Nivel del Mar. Bachelor’s Thesis, Universidad Técnica de Ambato, Ambato, Ecuador, 2019. [Google Scholar]
- Miranda, A. Estudio Fitoquímico, y Evaluación de la Actividad Citotóxica y Antimicrobiana In Vitro del Látex de Euphorbia laurifolia en Patógenos Dérmicos. Master’s Thesis, Escuela Superior Politécnica de Chimborazo, Riobamba, Ecuador, 2015. [Google Scholar]
- Castillo, E.; Castillo, S.; Reyes, C. Estudio fitoquímico de Plukenetia volubilis L. y su efecto antioxidante en la lipoperoxidación inducida por Fe3+/ascorbato en hígado de Rattus rattus var. Albinus. Scientia 2010, 2, 11–21. [Google Scholar]
- Collave, H.; García, A. Estudio Farmacognóstico y Cuantificación de Flavonoides Totales en las Hojas de “Manihot esculenta” yuca. Master’s Thesis, Universidad Nacional de Trujillo, Trujillo, Peru, 2014. [Google Scholar]
- Carvajal, L.; Hata, Y.; Sierra, N.; Rueda, D. Análisis fitoquímico preliminar de hojas, tallos y semillas de cupatá (Strychnos schultesiana krukoff). Rev. Col. For. 2009, 12, 161–170. [Google Scholar] [CrossRef]





| Sex | Hepatic Marker | Groups | Mean | SD | U | p-Value |
|---|---|---|---|---|---|---|
| Male | TBIL (mg/dL) | Control | 0.68 | 0.07 | 0.00 | 0.022 |
| EhKGBh | 1.07 | 0.21 | ||||
| CBIL (mg/dL) | Control | 0.16 | 0.11 | 0.00 | 0.021 | |
| EhKGBh | 0.45 | 0.07 | ||||
| UBIL (mg/dL) | Control | 0.49 | 0.07 | 7.00 | 0.199 | |
| EhKGBh | 0.62 | 0.18 | ||||
| AST (U/L) | Control | 76.24 | 7.69 | 0.00 | 0.023 | |
| EhKGBh | 141.80 | 34.57 | ||||
| ALT (U/L) | Control | 31.61 | 10.15 | 5.00 | 0.119 | |
| EhKGBh | 41.16 | 5.69 | ||||
| ALP (U/L) | Control | 142.11 | 53.20 | 0.00 | 0.023 | |
| EhKGBh | 298.00 | 85.29 | ||||
| TP (mg/dL) | Control | 7.87 | 0.89 | 0.00 | 0.021 | |
| EhKGBh | 5.58 | 0.57 | ||||
| ALB (mg/dL) | Control | 3.98 | 0.37 | 3.00 | 0.064 | |
| EhKGBh | 3.59 | 0.31 | ||||
| GLB (mg/dL) | Control | 3.41 | 0.81 | 3.00 | 0.063 | |
| EhKGBh | 1.94 | 0.51 | ||||
| GGT (mg/dL) | Control | 36.00 | 19.80 | 9.00 | 0.320 | |
| EhKGBh | 25.44 | 9.04 |
| Sex | Hepatic Marker | Groups | Mean | SD | U | p-Value |
|---|---|---|---|---|---|---|
| Female | TBIL (mg/dL) | Control | 0.35 | 0.04 | 0.00 | 0.020 |
| EhKGBh | 0.98 | 0.16 | ||||
| CBIL (mg/dL) | Control | 0.17 | 0.12 | 0.00 | 0.023 | |
| EhKGBh | 0.38 | 0.09 | ||||
| UBIL (mg/dL) | Control | 0.43 | 0.10 | 3.00 | 0.062 | |
| EhKGBh | 0.60 | 0.12 | ||||
| AST (U/L) | Control | 53.58 | 4.50 | 0.00 | 0.023 | |
| EhKGBh | 126.43 | 25.53 | ||||
| ALT (U/L) | Control | 37.05 | 9.45 | 13.00 | 0.667 | |
| EhKGBh | 39.79 | 5.98 | ||||
| ALP (U/L) | Control | 93.43 | 15.64 | 0.00 | 0.023 | |
| EhKGBh | 254.75 | 108.53 | ||||
| TP (mg/dL) | Control | 6.49 | 0.01 | 0.00 | 0.023 | |
| EhKGBh | 5.42 | 0.41 | ||||
| ALB (mg/dL) | Control | 4.25 | 0.12 | 0.00 | 0.018 | |
| EhKGBh | 3.58 | 0.25 | ||||
| GLB (mg/dL) | Control | 3.36 | 0.67 | 1.00 | 0.031 | |
| EhKGBh | 1.81 | 0.35 | ||||
| GGT (mg/dL) | Control | 40.90 | 4.10 | 1.00 | 0.033 | |
| EhKGBh | 22.06 | 6.82 |
| Sex | Parameter | Groups | Mean | SD | U | p-Value |
|---|---|---|---|---|---|---|
| Male | Weight day one (gr) | Control | 266.50 | 0.71 | 14.00 | 0.779 |
| EhKGBh | 254.25 | 32.09 | ||||
| Weight day seven (gr) | Control | 270.50 | 2.12 | 16.00 | 1 | |
| EhKGBh | 267.56 | 32.05 | ||||
| Weight day fourteen (g) | Control | 264.00 | 1.41 | 13.50 | 0.724 | |
| EhKGBh | 256.25 | 31.70 | ||||
| Female | Weight day one (gr) | Control | 233.50 | 7.78 | 4.00 | 0.091 |
| EhKGBh | 221.56 | 9.93 | ||||
| Weight day seven (gr) | Control | 241.50 | 4.95 | 8.00 | 0.258 | |
| EhKGBh | 235.06 | 10.39 | ||||
| Weight day fourteen (g) | Control | 236.50 | 4.95 | 9.50 | 0.354 | |
| EhKGBh | 232.81 | 11.54 |
Publisher’s Note: MDPI stays neutral with regard to jurisdictional claims in published maps and institutional affiliations. |
© 2022 by the authors. Licensee MDPI, Basel, Switzerland. This article is an open access article distributed under the terms and conditions of the Creative Commons Attribution (CC BY) license (https://creativecommons.org/licenses/by/4.0/).
Share and Cite
Villafuerte, G.; Ñañez, D.; Félix, L.M.; Moya-Salazar, M.M.; Torres-Véliz, E.R.; Ramos, A.G.; Contreras-Pulache, H.; Moya-Salazar, J. Acute Hepatic and Renal Toxicity Assessment of Euphorbia huanchahana (Klotzsch & Garcke) Boissier (Huachangana) in Holtzman Rats. Processes 2022, 10, 1286. https://doi.org/10.3390/pr10071286
Villafuerte G, Ñañez D, Félix LM, Moya-Salazar MM, Torres-Véliz ER, Ramos AG, Contreras-Pulache H, Moya-Salazar J. Acute Hepatic and Renal Toxicity Assessment of Euphorbia huanchahana (Klotzsch & Garcke) Boissier (Huachangana) in Holtzman Rats. Processes. 2022; 10(7):1286. https://doi.org/10.3390/pr10071286
Chicago/Turabian StyleVillafuerte, Graciela, Daniel Ñañez, Luis M. Félix, Marcia M. Moya-Salazar, Ernesto R. Torres-Véliz, Antonio G. Ramos, Hans Contreras-Pulache, and Jeel Moya-Salazar. 2022. "Acute Hepatic and Renal Toxicity Assessment of Euphorbia huanchahana (Klotzsch & Garcke) Boissier (Huachangana) in Holtzman Rats" Processes 10, no. 7: 1286. https://doi.org/10.3390/pr10071286
APA StyleVillafuerte, G., Ñañez, D., Félix, L. M., Moya-Salazar, M. M., Torres-Véliz, E. R., Ramos, A. G., Contreras-Pulache, H., & Moya-Salazar, J. (2022). Acute Hepatic and Renal Toxicity Assessment of Euphorbia huanchahana (Klotzsch & Garcke) Boissier (Huachangana) in Holtzman Rats. Processes, 10(7), 1286. https://doi.org/10.3390/pr10071286

