Abstract
In this study, a novel crude oil degrading bacterium was isolated from an oil-contaminated freshwater lake using crude oil as the sole carbon source. The strain was named Pseudomonas aeruginosa AQNU-1 based on the analyses of its morphological characteristics and 16S rRNA gene sequencing. Gas chromatography-mass spectrometry (GC-MS) was carried out to investigate the degradation of crude oil fractions under dynamic (37 °C, 180 r/min) and static (37 °C, 0 r/min) cultivation over three months of continuous enrichment in the laboratory. It was found that strain AQNU-1 exhibited stronger biodegradation efficiency for n-alkanes of C13–C35 under dynamic cultivation with degradation ratios of 87–100% compared to ratios of 74–100% under static cultivation. Furthermore, this strain could fully utilize alkylcyclohexane (M/Z 82), alkylbenzene (M/Z 92) and alkyltoluene (M/Z 106) in crude oil under both conditions. It also had better biodegradability of partial aromatic compounds in the crude oil, showing differences within compound families of aromatic hydrocarbons. Further, the potential degradation ability of this isolated strain decreased with increasing molecular weight, with the dynamic condition performing better in general. These results suggest that the isolated strain has great potential to assimilate indigestible crude-oil contaminants under different hydrological conditions, providing a valuable microbiological resource for in situ remediation of natural wetlands.
1. Introduction
Crude oil is composed of diverse organic fractions, thus it can be used as energy and also as a raw material to synthesize products for our daily life and agricultural fertilizers. Due to human activities, such as refining, processing, storage and transportation, petroleum chemicals have become a major pollutant in the aquatic environment [1]. In general, the presence of petroleum hydrocarbons can reduce and shift the microbial diversity in various ecosystems. Notably, it also successfully stimulates the enrichment of hydrocarbon-degrading bacteria [2,3]. It is well known that natural wetlands are able to provide many ecosystem services, such as species storage, climate regulation and ecological protection. However, the issue of hydrocarbon contamination in natural wetlands cannot be ignored. As summarized by Zhang et al. [4], the Sundarban Mangrove Wetland in India (634 ng/g), the Liaohe Estuarine Wetland (1001.9 ng/g) and Yellow River Delta (150.9 ng/g) in China, and the Seine River Basin in France (450 ng/g), as well as other wetlands, suffer from severe polycyclic aromatic hydrocarbon (PAH) contamination. In addition, the Σ16PAH concentration in wetland sediment that we studied ranged from 450–3640 ng/g. Thus, more attention should be paid to wetlands contaminated by petroleum hydrocarbons to ensure their ecological balance and sustainability.
As an alternative technology to the traditional methods of dumping, landfilling and incineration, microbial remediation is considered as environmentally benign, highly efficient and widely acceptable for removing crude oil contaminants in various environments [5,6]. Moreover, some microorganisms utilize n-alkanes, PAHs, resins, asphaltenes and other hydrocarbons as carbon sources in oil-polluted soils, displaying tolerability under different concentrations of these chemicals. For example, Jia et al. [7] showed that Rhodococcus sp. T1 is able to deplete 90.81% of n-hexadecane (2% v/v) and 42.79% of pyrene (200 mg/L) within 5 days, while Varjani and Upasani [8] revealed that 60.63% of crude oil (C8-C36) was assimilated by Pseudomonas aeruginosa NCIM 5514. In addition, Kshirsagar et al. [9] isolated six asphaltene-degrading bacterial strains from oil-contaminated sites, with the bacterium Ochrobactrum intermedium removing 30% of the asphaltene within 15 days. Until now, most studies have focused on the biodegradation of a few representative components in crude oil, while reports on the degradation of most components by highly efficient strains are not common. Generally, the hydrocarbon components in crude oil-contaminated wetlands are extremely complex; however, isolating and the screening of highly efficient hydrocarbon-degrading bacteria may provide a potential resource for oil-contaminated ecological bioremediation.
Microorganisms exhibit diverse functional mechanisms related to crude oil degradation, such as possessing multiple catabolic genes, which enhance access to target petroleum hydrocarbons and mineralizes hydrocarbon substrates. There are many genes responsible for the transformation and metabolism of petroleum hydrocarbons, such as alkB, LadA, pcaG, nahAc, nahH and alkJ, encoding alkane monooxygenase, ring-hydroxylating dioxygenase, naphthalene dioxygenase, catechol 2,3-dioxygenase and aliphatic alcohol dehydrogenase, respectively [10,11,12,13,14]. Furthermore, some microbial biosurfactants can effectively reduce the surface and interfacial tension between the aqueous and organic phases, which is especially important for improving the low solubility and bioavailability of hydrophobic hydrocarbon-related contaminants [15]. Special functional secretions are produced by a variety of microorganisms, such as the genera Pseudomonas, Bacillus, Acinetobacter and Meyerozyma [16,17,18]. Furthermore, many enzymes show broad substrate specificity during the petroleum hydrocarbon degradation process. For example, catechol 2,3-dioxygenase, dehydrogenase and peroxidase can mediate the degradation of three-ring PAHs, such as phenanthrene, anthracene and fluorene [19]. Additionally, ring-hydroxylating dioxygenases, dihydrodiol dehydrogenases and ring-cleaving dioxygenases can cooperate to efficiently degrade fluoranthene [11]. In general, various alkane hydroxylases present different degradation abilities, which are associated with the chain length of alkanes. Medium-chain n-alkanes can usually be degraded by most of the AlkB or AlkB-like family, as well as by cytochrome P450, while LadA and AlmA prefer to assimilate long-chain n-alkanes larger than C20 [20]. Meanwhile, the degree of petroleum hydrocarbon degradation is associated with multiple factors related to the reaction system, such as nutrients, salts, pH, oxygen content, temperature, and substrate concentration. Adding appropriate nutrients can enhance the microbial degradation process of petroleum hydrocarbons. Sun et al. [21] demonstrated that sufficient nitrogen and phosphorus content could ensure the survival and degradation activity of the engineered strain Acinetobacter sp. HC8-3S-9 during bioaugmentation of crude oil. Additionally, high salinity can significantly inhibit biodegradation. The hydrophobicity of the cell surface is reduced under high salinity, restricting the productivity of bio-emulsifiers and the degradation of insoluble long-chain n-alkanes [22]. Furthermore, molecular oxygen is involved in substrate oxidation mediated by oxidase during the aerobic degradation process, aiding in ring cleavage and serving as a terminal electron acceptor [23]. In natural lake wetlands, oxygen can be a limiting factor for hydrocarbon biodegradation due to the low solubility. Meanwhile, there are various factors that affect oxygen availability, such as the disturbance of wave and water flow, the physical state of the crude oil and the amount of available substrates [24].
Presently, studies addressing lake wetlands exposed to long-term oil pollution are still scarce. Screening endogenous and efficient crude-oil degrading bacteria from oil-contaminated lake wetlands should be helpful for in situ ecological restoration of lake contamination. In this study, a novel strain P. aeruginosa AQNU-1, isolated with crude oil as the sole carbon source, was profiled by studying its morphological characteristics, 16S rRNA gene sequence, carbon metabolic characteristics through Biolog-EcoPlateTM microplate and crude oil degradation by GC-MS. The objectives of this study were to: (1) screen highly efficient hydrocarbon-degrading bacteria from an oil-contaminated lake wetland; (2) assess the hydrocarbon-degrading potential and metabolic characteristics of the isolated bacteria; and (3) discover the degradation differences under dynamic and static culture processes in order to explore the bioremediation capability of the functional strain for oil-contaminated lake wetlands.
2. Materials and Methods
2.1. Water Sampling
For screening highly efficient hydrocarbon-degrading bacteria, water was sampled from a long-term oil-contaminated lake wetland (30°32′04″ N, 117°02′50″ E) close to a large number of petrochemical industries in Anqing City. This sampling area is located in the middle and lower reaches of the Yangtze River. Statistically, a large amount of industrial wastewater from the petrochemical industries (over 8 million tons per year) is emitted into the lake wetlands. The oil content of the partial wetland water reaches 0.18 mg/L, while the total nitrogen, ammonium nitrogen and total phosphorus contents are 3.5 mg/L, 0.8 mg/L and 0.02 mg/L, respectively [25].
2.2. Isolation and Selection of Crude Oil-Degrading Bacteria
First, 5% wetland freshwater was inoculated in 250 mL Erlenmeyer flasks containing 100 mL of mineral salts medium (MSM). The medium (pH 7.2) contained 5.0 g L−1 of NaCl, 5.0 g L−1 of KH2PO4, 2.0 g L−1 of NaNO3, 1.0 g L−1 of (NH4)2SO4, 1.0 g L−1 of KH2PO4·3H2O, 0.25 g L−1 of MgSO4·7H2O, 0.02 g L−1 of FeCl2·4H2O, 0.02 g L−1 of CaCl2 and 1.0 g L−1 of crude oil, and was sterilized at 121 °C for 30 min. All flasks were sealed with 0.4 μm sealing film, covered with craft paper to reduce evaporation, and then enriched for 1 month at 37 °C and 180 rpm on a rotary shaker. The culture was inoculated three times consecutively by transferring 5 mL of inoculum to 100 mL of fresh MSM. Finally, a portion of the enriched medium was plated onto the aforementioned MSM containing 2.0% of agarose, and cultured in a thermostatic culture box for 7 days to obtain various pure colonies [26]. At present, all isolated strains are preserved in the microbiology laboratory at our university.
2.3. Analysis of Morphological Observation
The morphological characteristics of P. aeruginosa AQNU-1 were profiled by Gram staining and scanning electron microscopy (SEM). Gram staining was carried out after culturing for 18 h in beef extract-peptone liquid medium (3.0 g L−1 of beef extract, 10.0 g L−1 of peptone, 5.0 g L−1 of NaCl; pH 7.2), and the results were photographed using a Leica DM500 microscope (Leica Microsystems, Wetzlar, Germany). Gram-positive bacteria have a violet color, while Gram-negative bacteria are pink. For SEM analysis, bacterial colonies from a beef-extract solid medium were fixed with 2.5% glutaraldehyde overnight at 37 °C. Cell pellets were then collected and rinsed thrice with 0.1 M phosphate buffered solution (PBS, pH 7.0) for 15 min. The cell sample was post-fixed for 1–2 h in 1% osmium tetroxide, after which the osmium tetroxide was carefully removed. The sample was then dehydrated twice using an ethanol gradient (30%, 50%, 70%, 80%, 90% and 95%; 20 min per concentration). Next, the specimen was treated for 30 min with ethanol-isoamyl acetate (1:1 v/v), and further processed for 1 h with isoamyl acetate. Finally, the specimen was dried overnight in a fume hood, mounted on aluminum stubs, sputtered-coated with gold and then visualized using an electronic microscope.
2.4. 16S rRNA Gene Sequencing
Total DNA of P. aeruginosa AQNU-1 was extracted using the SDS method [27]. The 16S rRNA sequence was PCR-amplified using the universal primer of 27f (5′-AGAGTTTGATCCTGGCTCAG-3′) and the reverse primer of 1492r (5′-TACGGCTACCTTACGACTT-3′) [26]. The amplification reaction was performed in a total volume of 25 μL containing 15.5 μL of sterile deionized water, 2.0 μL of Mg2+ (25 mM), 2.0 μL of dNTPs (2.5 mM), 1.0 μL of each forward and reverse primer (25 μM), 0.5 μL of DNA template, 0.5 μL of TaqDNA polymerase (5 u μL−1) and 2.5 μL 10 × buffer solution (20 mM). Amplification was performed using the GeneAmp® PCR System 9700. The temperature profile of the PCR was as follows: 95 °C for 5 min (pre-denaturation); 35 cycles at 94 °C for 30 s (denaturation), 53 °C for 1 min (annealing) and 72 °C for 2 min (extension); and finally 72 °C for 10 min (extension). Amplicons were checked by 1.0% agarose gel electrophoresis, purified with the Tiangel Midi Purification Kit (Sangon Biotech Co., Ltd., Shanghai, China) and then sequenced (Sangon Biotech Co., Ltd., Beijing, China). The phylogenetic tree was constructed using the neighbor-joining method with the MEGA 5.0 software.
2.5. Carbon Source Utilization
First, 1.5 mL of cultivation (beef extract-peptone liquid medium, 18 h) was placed in a 2.0 mL centrifuge tube, centrifuged at 10,000 r/min for 20 min, and then the supernatant was discarded. Next, 1 mL of sterilized NaCl solution (0.85%) was added and shaken for 5 min, and then the mixture was centrifuged at 10,000 r/min for 20 min. This process was repeated twice to remove carbon sources in the seed liquid. Another 1 mL of NaCl solution was then added and shaken for 5 min, and the mixture was centrifuged at 2000 r/min for 1 min. The supernatant was diluted with 20 mL of sterilized NaCl solution to an optical density at 590 nm (OD590) of 0.13 ± 0.02. Finally, 150 μL of the diluted solution was inoculated in each well of a Biology EcoplateTM and incubated at 20 °C for 5 days. All processes required aseptic manipulation. The OD590 and OD750 were measured directly every 24 h for 5 days, using a Multi-mode Reader (Thermo Fisher Multiskan FC, Waltham, MA, USA). To minimize the risk of contamination, all solutions were prepared with sterile water.
2.6. Growth Assay with Different Mediums
Growth assays of strain AQNU-1 were conducted using beef extract-peptone liquid medium and liquid MSM. Seed liquid of the tested strain was incubated at 37 °C and 180 r/min for 18 h in beef extract-peptone liquid medium. Then, 5 mL of seed liquid was collected and washed twice with 7.5 mL of sterilized NaCl solution. Each washed inoculation was added to 100 mL of sterilized beef extract-peptone liquid medium or MSM containing 5.0 g crude oil. All experiments were carried out under aseptic conditions. Cultivation flasks were sealed with 0.4 μm sealing film and covered with craft paper to reduce the evaporation. The cultivation in the beef extract-peptone liquid medium was conducted at 37 °C and 180 r/min for 96 h, while MSM was chosen for dynamic (180 r/min) and static (0 r/min) cultivations at 37 °C for 148 h. The growth in different mediums was assessed by measuring the turbidity at 600 nm.
2.7. Degradation Properties
In order to explore the potential degrading capability of P. aeruginosa AQNU-1 in the oil-contaminated lake wetland, degradation experiments were designed under dynamic and static culture processes. The approach was divided into two parts: dynamic cultivation (37 °C, 180 r/min) and static cultivation (37 °C, 0 r/min). Briefly, 5 mL of activated seed liquid was inoculated into 100 mL of MSM medium with 1.0% crude oil as the sole carbon source. Each cultivation was performed in triple using 250 mL Erlenmeyer flasks. All flasks were sealed with 0.4 μm sealing film and tightly covered with craft paper. The dynamic cultivations were incubated on a rotary shaker at 37 °C and 180 rpm, while the static cultivations were conducted in a constant temperature incubator at 37 °C. After the continuous enrichment culture finished, the residual oil of the last batch was extracted with dichloromethane, and then dehydrated and cleaned using anhydrous Na2SO4 columns and Al2O3 columns. Hydrocarbon fractions were determined by GC-MS using a 7890A gas chromatograph coupled to a 5975C MS spectrometer (HP-5MS, 30 m × 0.25 mm i.d., 0.25 μm film). The internal conservative molecular marker 17 α(H),21β(H)-hopane (M/Z 191) was selected as an internal standard to calculate the degradation rate of n-alkanes and aromatic compound families. Determination of n-alkanes was based on the special fragment ion of M/Z 85, while detection of aromatic compound families was conducted according to corresponding molecular ions: naphthalenes, N-N4 (M/Z 128, 142, 156, 170, 184); fluorenes, F-F3 (M/Z 166, 180, 194, 208); phenanthrenes, P-P3 (M/Z 178, 192, 206, 220); dibenzothiophenes, D-D3 (M/Z 184, 198, 212, 226); fluoranthenes and pyrenes, Py-Py3 (M/Z 202, 216, 230, 244); and chrysenes, C-C3 (M/Z 228, 242, 256, 270) [25].
3. Results
3.1. Isolation and Identification of a Crude Oil-Degrading Strain
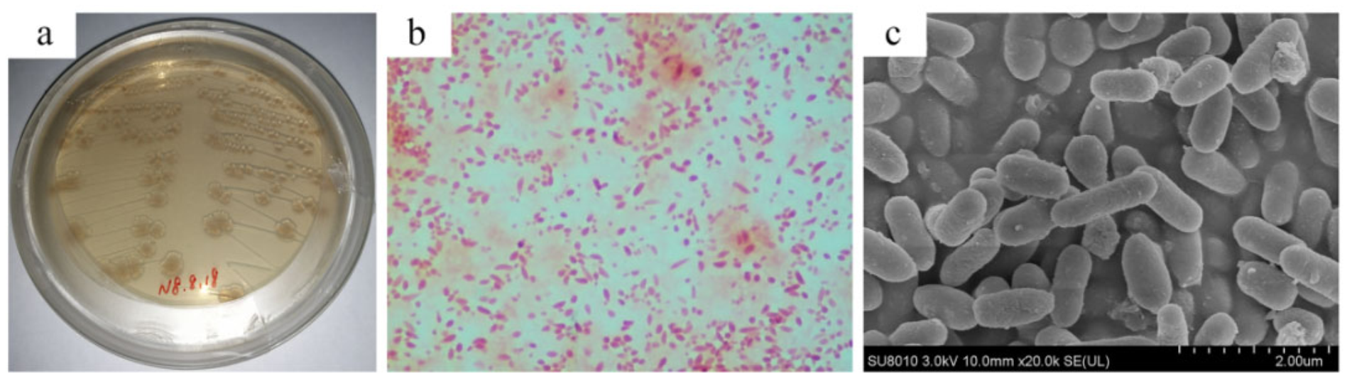
A highly efficient hydrocarbon-degrading strain was successfully isolated from a lake wetland. This strain grows rapidly on beef extract-peptone solid medium. Colonies are yellow-brown and have spreading irregular edges (Figure 1a). In addition, this strain produces light pink pigment in the liquid MSM (data not shown). The strain is Gram-negative and has a short-rod shape with a size of about 0.4 μm × 1.0 μm according to SEM analysis (Figure 1b,c). The 16S rRNA gene sequence contains 1389 bp, with a G+C content of 54.2%. In addition, the 16S rRNA gene fragment shows a stable genetic clade with reported strains of Pseudomonas, with nearly 100% similarity to P. aeruginosa PAO1CT according to the neighbor-joining method (Figure 2). Phylogenetic analysis revealed that this strain belongs to the genus Pseudomonas. Thus, this strain was named P. aeruginosa AQNU-1 in our study.
Figure 1.
Morphological observations of P. aeruginosa AQNU-1. (a) Bacterial colonies on the beef extract-peptone solid medium, (b) Gram staining of strain AQNU-1, and (c) SEM photograph of strain AQNU-1 (10.0 mm × 20.0 k).
Figure 2.
Phylogenetic relationship between P. aeruginosa AQNU-1 and related species using software Mega 5.0 with the neighbor-joining method based on 16S rRNA sequences.
3.2. Growth Characterization
The growth curves of P. aeruginosa AQNU-1 in two different mediums are shown in Figure 3. In beef extract-peptone liquid medium, strain AQNU-1 showed a complete growth curve over 96 h including the delay, exponential, plateau and decline phases, whereas the decline phase did not emerge during 148 h in the MSM. In addition, this strain quickly reached the plateau phase after 12 h, and new fast growth happened during the stable period, which could be related to the metabolism of a microbial-mediated substrate. At the same time, the cell turbidity reached OD600 1.03. Furthermore, strain AQNU-1 still maintained a higher cell turbidity (>0.39 OD600) during a relatively long decline phase. However, this strain possessed a longer delay period of 52 h in the MSM with 1.0% crude oil under dynamic cultivation, indicating that high hydrophobicity and toxicity of petroleum hydrocarbons may limit the microbial growth. After adapting to the harsh environment, strain AQNU-1 started a longer exponential phase of 48 h, and the cell turbidity reached OD600 0.90. Furthermore, this strain started another fast growth period after a short decrease in growth, with the turbidity reaching OD600 1.44 over 48 h. After the one-month cultivation, the turbidity of strain AQNU-1 was OD600 1.5~1.7 in our experiments. Furthermore, the delay period was longer (up to 80 h) for the static culture, while the turbidity still reached OD600 1.3~1.4 over one month. It was found that once strain AQNU-1 adapted to the crude oil, it could utilize crude oil and metabolic intermediates as a carbon source for rapid growth. The growth curves demonstrate that strain AQNU-1 has good potential for oil-contaminated remediation.
Figure 3.
Growth curves of P. aeruginosa AQNU-1 on beef extract-peptone and crude oil as the carbon and energy source at 37 °C. Beef extract-peptone liquid medium (180 r/min for 96 h), mineral salt medium (180 r/min and 0 r/min for 148 h, respectively).
3.3. Carbon Source Utilization
The Biolog EcoPlateTM is a useful approach for studying the physiological profiles of microorganisms based on the carbon substrate utilization. The principle is that electrons produced by microbial respiration change the color of the redox dye within each micropore, revealing microbial growth. The carbon source utilization of strain AQNU-1 was determined using the absorbance at OD590 and OD750 over 5 days. As shown in Table 1, the carbon substrates utilized by strain AQNU-1 were mainly in six categories, namely, carbohydrates, amino acids, carboxylic acids, polymer, phenolic acids and amines, and included thirteen different carbon substrates (D-xylose, D-mannitol, N-acetyl-D-glucosamine, L-asparagine, L-arginine, L-serine, γ-hydroxybutyric acid, itaconic acid, pyruvic acid methyl ester, Tween 40, Tween 80, 4-hydroxybenzoic acid and putrescine). The optical density for each substrate over 5 days is profiled in Figure 4. In this study, the OD590 was a better indicator of carbon source metabolism. Additionally, strain AQNU-1 showed an extensive carbon source utilization ability, especially in relation to polymers, and carboxylic or phenolic acids. These compounds are highly consistent with hydrocarbons in crude oil or their metabolites. The substrate utilization properties indirectly demonstrate that strain AQNU-1 has good crude oil degradation potential.
Table 1.
Carbon source utilization of P. aeruginosa AQNU-1 using a Biolog EcoPlateTM analysis.
Figure 4.
Optical density properties of different carbon sources used by P. aeruginosa AQNU-1 during a 120 h incubation at 20 °C.
3.4. Crude Oil Degradation under Dynamic and Static Cultivation
During the strain AQNU-1 cultivation process, crude oil heavily dispersed into the aqueous phase, especially under the dynamic condition. The crude oil degradation properties in different experimental groups were profiled using GC-MS. Crude oil was significantly depleted under both the dynamic and static cultivation due to the microbial metabolic process, and most of them were completely consumed based on the ion chromatogram analysis. Moreover, hopane (M/Z 191), as an indigenous molecular marker, did not change in all experimental groups, and thus was used as the internal standard to assess crude oil degradation. In our study, the crude oil had abundant n-alkanes (nC13-nC35, M/Z 85). Interestingly, for both the dynamic and static cultivation, all n-alkanes were greatly reduced, indicating that strain AQNU-1 has high potential for n-alkane degradation (Figure 5). Additionally, nC13-nC18 were completely depleted by strain AQNU-1 in all of the different groups, indicating that low molecular weight n-alkanes are more susceptible to degradation (Table 2). For higher molecular weight n-alkanes (nC19-nC35), the dynamic degradation efficiency was better than the static condition. The degradation ratios were 87–100% for dynamic cultivation and 74–98% for static cultivation. In particular, for nC34-nC35, the degradation efficiency appeared to decrease with a percentage of 74–87% in both conditions. According to our observation, the degradation effects of strain AQNU-1 showed a downward trend with increasing molecular weight, which is consistent with current reports related to hydrocarbon degradation. Additionally, the isolated strain still had extensive degradation capacity under dynamic cultivation. At the same time, linear alkylcyclohexanes (M/Z 82), alkylbenzenes (M/Z 92) and alkyltoluenes (M/Z 106) were severely degraded by strain AQNU-1 in the different groups. However, the endogenous isoprenoid alkanes, pristane (Pr) and phytane (Ph), in the crude oil were hard to reduce with the strain (Figure 6), thereby demonstrating the limited degradation capacity of branched alkanes. In general, strain AQNU-1 shows a high degradation potential for n-alkanes and alkyl-compounds under both dynamic and static cultivation conditions.
Figure 5.
Ion chromatograms of linear alkylcyclohexanes (M/Z 82), n-alkanes (M/Z 85), alkylbenzenes (M/Z 92), and alkyltoluenes (M/Z 106) in crude oil samples with different degradation degrees by P. aeruginosa AQNU-1 under the dynamic and static cultivation (180 r/min and 0 r/min at 37 °C, respectively).
Table 2.
Degradation ratio of n-alkanes and aromatic compound families by P. aeruginosa AQNU-1 under dynamic and static cultivation conditions.
Figure 6.
GC-MS ion current (TIC) profiles and ion chromatograms of C4-naphthalenes (M/Z 184), C1-phenanthrenes (M/Z 192), C1-dibenzothiophenes (M/Z 198), C2-dibenzothiophenes (M/Z 212) and terpanes (M/Z 191) for the same samples. Each profile is presented on a scale relative to the largest peak. The identification of the different isomers is mentioned below.
Meanwhile, isolated strain AQNU-1 possessed degradation potential for aromatic compounds to a certain extent in different cultivations (M/Z 138, 142, 152, 154, 168, 184, 192, 198 and 212) (Figure 6, Table 2). The degradation of alkylated PAH analogues and aromatic compound families was profiled by the absence or increase in ion chromatogram peaks, as well as an increase or decrease in their intensity. According to the determination of aromatic compounds in the residual crude oil, the degradation ratios of PAHs were 15–100% under dynamic cultivation, while they were 10–100% under the static condition. Interestingly, biphenyl (M/Z 154) showed a high degradation efficiency of 100% among the different groups, and in regard to the biodegradation efficiency under static cultivation, 2-ring or 3-ring PAHs (such as naphthalene, biphenyl, acenaphthene and dibenzofuran) were easier to fully degrade than high molecular weight 3-ring PAHs (such as phenanthrene, dibenzothiophene and their alkylated analogues). The degradation trend of aromatic hydrocarbons was similar to that of alkanes, and the degradation potential decreased with the increasing number of aromatic rings and alkyl substituents. These results are consistent with previous reports [28,29]. Furthermore, there were apparent differences in degradation among aromatic compound families within the same M/Z index (Figure 6), and the PAH compound families also had a similar degradation trend under the two cultivations. For example, 1,2,6,7-TMN (tetramethylnaphalenes) was easier to degrade compared with other TMN isomers, while 3-MP (methylphenanthrenes) was more easily consumed than other MP isomers. When investigating the degradation of crude oil in an extreme reservoir, Jiménez et al. [30] showed that 1- and 3-MP are more easily utilized by the microbial communities. In our study, it was found that higher molecular weight C1-dibenzothiophenes (M/Z 198) and C2-dibenzothiophenes (M/Z 212) were also degraded according to the obvious change in specific ion peaks. However, Cheng et al. [29] pointed out that 4-methyldibenzothiophene was most readily biodegraded, while 1-methyldibenzothiophene showed greater resistance to microbial utilization. Generally, strain AQNU-1 has good degradation potential for different PAHs and aromatic compound families under both dynamic and static cultivation conditions, and the biodegradability decreases with an increasing number of aromatic rings and alkyl groups.
4. Discussion
Wetlands are considered the most biologically diverse ecosystem on earth, and they perform diverse ecological functions and provide socio-economic value, such as water purification, sediment stabilization, carbon sequestration and food supplementation [25]. However, as a fragile ecosystem, global wetlands have been lost or degraded rapidly in the past decades. Thus, there is a pressing need to protect this delicate ecosystem so as to maintain ecological balance and sustainability. In actuality, crude oil contamination, which commonly occurs due to natural spillage and anthropogenic activity, is a significant driver of wetland degradation. Moreover, contamination is particularly common in coastal wetlands; thus, it is gaining increasing attention [31]. Nevertheless, studies related to long-term crude oil contamination in freshwater wetlands are still very scarce. Additionally, how to execute ecological restoration and functional reconstruction of contaminated wetlands is an important research topic. The existence of indigenous functional microorganisms provides a potential tool to solve this scientific problem. Microorganisms not only serve as a sensitive indicator for versatile contaminants, but also drive the biogeochemical cycling of various elements [32,33]. In particular, hydrocarbon-degrading microorganisms in wetlands could be screened and acclimatized for use in hydrocarbon contamination remediation. Wu et al. [34] used high-throughput DNA sequencing to show that urban wetlands possess a strong potential for PAH degradation due to the wide distribution of dioxygenase and dehydrogenase genes. Nkem et al. [35] isolated two strains, namely, Cellulosimicrobium cellulans DSM 43879 and Acinetobacter baumannii ATCC 19606, from Rhu Sepuluh beach that exhibited great potential for degradation of diesel-oil alkanes with a degradation efficiency of 10–95.4% and 0.2–95.9%, respectively. Additionally, Sakshi et al. [19] revealed that Kocuria flava and Rhodococcus pyridinivorans, isolated from oil-contaminated soil, could fully utilize 3-ring PAHs, such as phenanthrene, anthracene and fluorine. In our study, a novel strain of P. aeruginosa AQNU-1 was successfully isolated from a crude-oil polluted freshwater wetland, and this strain was clearly able to utilize crude oil as the sole carbon source. Furthermore, the isolated strain exhibited good potential for the degradation of major crude oil components, including n-alkanes, alkylcyclohexane, alkylbenzene and alkyltoluene, as well as various PAHs and aromatic compound families in crude oil under both dynamic and static cultivation conditions. Crude-oil contaminated wetlands are an important source of hydrocarbon-degrading bacteria, and screening indigenous bacteria with high degradation efficiency and the ability to degrade a wide range of crude oil components could provide a valuable microbial resource for wetland restoration.
To better understand the substrate utilization of strain AQNU-1, a Biolog EcoPlateTM with 31 carbon sources was chosen in our study. According to our observations, the isolated strain has a wide metabolic substrate range within six categories, namely, carbohydrates, amino acids, carboxylic acids, polymer, phenolic acids and amines. More interestingly, half of the carbon sources that can be utilized by strain AQNU-1 are hydrocarbon analogues (Tween 40 and Tween 80) or their metabolic intermediates (γ-hydroxybutyric acid, itaconic acid, pyruvic acid methyl ester and 4-hydroxybenzoic acid). Furthermore, the degradation rate for these specific substrates is relatively rapid according to the substrate utilization curves (Figure 4). This finding suggests that the isolated strain possesses good degradation potential for different crude oil components. As reported by Reddy et al. [36], Tween 40 and Tween 80 not only enhance fluorene degradation by Paenibacillus sp. PRNK-6, but also serve as carbon substrates. An alkane-degrading strain Alkanindiges illinoisensis, isolated from oilfield soil, exhibited a narrow carbon source range, as only Tween 40 and Tween 80 support significant growth [37]. Carboxylic or phenolic acids are usually metabolic intermediates of hydrocarbon biodegradation. For instance, Muralidharan et al. [38] showed that halotolerant bacterial strains mediate the oxidative cleavage of the aromatic ring of Benzo[a]pyrene to form intermediary metabolites, including carboxylic acids. In addition, Janniche et al. [39] demonstrated that a groundwater microbial community, with similar substrate utilizations revealed by Biology EcoPlateTM, has the ability to mineralize petrochemical products such as atrazine and isoproturon. The carbon-source utilization properties provided a valuable perspective in our screening of highly efficient hydrocarbon-degrading microorganisms.
According to the observations, strain AQNU-1 has an efficient wide hydrocarbon degradation range under dynamic cultivation. However, the degradation capacity decreases with increases in the molecular weight of the hydrocarbons under dynamic cultivation. This degradation trend is consistent with previous reports. The results suggest that the microbial degradation efficiency of larger molecular weight hydrocarbons not only depends on the inherent potential of microorganisms involved in functional genes, but is also closely associated with external habitats. Under aerobic conditions, various functional genes involved in transport and catalysis determine the diversity and differences in the degradation pathways. For instance, some bacteria prefer to utilize alkanes, while others can metabolize alicyclic or aromatic compounds. Sabirova et al. [40] demonstrated that Alcanivorax borkumensis encodes an outer membrane lipoprotein Blc to uptake small alkanes based on the alkane-induced gene blc. Furthermore, when studying the alkane hydroxylase AlkB structure of Pseudomonas putida GPo1 and Alcanivorax borkumensis AP1, van Beilen et al. [41] found that the chain-length of the utilized alkanes that the enzyme AlkB catalyzes is closely related to the specific amino acid composition in the transmembrane helix, and that these strains can degrade alkanes longer than nC13 if tryptophan in the enzyme domain is replaced by smaller serine or cysteine. At the same time, long-chain alkanes (>nC12) can be degraded by flavin-binding monooxygenase AlmA and LadA of the luciferase protein families [14,42]. For alkyl-substituted cycloaliphatic compounds, oxidative decomposition may occur at side-chain alkanes or alicyclic rings through a more complicated enzymatic system. As revealed by Abbasian et al. [43], cyclohexane degradation by Acinetobacter sp. depends on five enzymes co-encoded by two operons, namely, the chnBER and chnADC ORFs. Generally, linear alkanes can be degraded more easily than branched-chain alkanes and cycloalkanes, while branched alkanes are more preferentially degraded than cycloalkanes [44]. These differences are closely associated with inherent functional genes carried out by the microorganisms. Thus, the structure and function of genes involved in hydrocarbon degradation by strain AQNU-1 will be a focus of our subsequent experiments.
At the same time, strain AQNU-1 can efficiently utilize various PAHs and aromatic compound families under both dynamic and static cultivation conditions. Generally, the biodegradation of aromatic compounds exhibits a decreasing trend with an increasing number of aromatic rings and alkyl substitutions. Many factors affect the degradation process of aromatic compounds, such as the bioavailability, toxicity and presence of degradation-related functional genes. PAH bioavailability is an important factor affecting the degrading process. Bezza and Chirwa [45] reported that biosurfactants are able to alleviate the low bioavailability caused by high hydrophobicity and lipophilicity of high molecular weight PAHs (5–6 rings), thus helping to accelerate the degradation process. Further, substituents such as methyl, hydroxyl and carboxyl groups, can usually alter the stability of aromatic compounds in favor of an electrophilic reaction, thereby improving bioavailability. For strain AQNU-1, the differences in degradation within aromatic compound families should be closely related with their specific structures. Cheng et al. [29] reported that the susceptibility of PAH isomers is associated with the positions and stereochemical structures of alkyl substituents. Moreover, aromatic compounds with a similar molecular structure still have different fates. Our study reveals that aromatic sulfur derivatives, such as dibenzothiphenes, are more resistant to degradation compared to dibenzofurans, suggesting that these compounds may have greater toxicity than aromatic oxygen derivatives. In addition, Pasumarthi et al. [46] showed that P. aeruginosa and Escherichia fergusonii exhibit differences in degradation among the 4-ring aromatic hydrocarbons pyrene and chrysene, suggesting that increased hydrophobicity is caused by the greater size and angularity of the aromatic rings. In theory, the aromatic compound degradation process depends on the inherent functional genes and their encoded enzymes. As revealed by Ferraro et al. [47], Rieske oxygenase is the key enzyme that aerobically degrades aromatic compounds; a characteristic that is closely related to the specificity, stereoselectivity and regioselectivity of the metabolites. Additionally, Khara et al. [48] showed that the α- and β-subunit structures of Rieske oxygenase can affect the substrate specificity of the enzyme, and reported that the specificity relies on the properties of the catalytic subunit, specifically, the volume, size and shape. In addition, many factors influence enzymatic reactions, including the structure of the catalytic center, entry and exit channels of substrates, and the physicochemical properties of size, geometry and hydrophobicity of the ligands [49]. Furthermore, the unique loop structure linking the α- and β- subunits in Rieske oxygenase plays a significant role in maintaining its structural stability and catalytic activity, and is important for NADPH binding and screening substrates [50]. In essence, the functional variability of aromatic oxygenases should stem from their encoding genes, which ultimately leads to significant differences in the biodegradation of aromatic compounds.
In fact, the hydrocarbon degradation capability not only relies on the inherent potential related to functional genes, but is also connected to the external habitats of microorganisms. As revealed by Liu et al. [51], the low biodegradation rate of hydrocarbons with a larger molecular weight is related to their poor water-solubility. Additionally, Cerniglia [52] reported that incomplete biodegradation of diesel hydrocarbons is intrinsic to the limited amount of dissolved oxygen in the reaction system. Cai et al. [53] also revealed that the aerobic oxidation of alkanes and aromatics to organic acids is a significant process for the microbial degradation of petroleum, according to the determination of metabolic products such as fatty acid, naphthenic acid and aromatic carboxylic acid from aerobic culture. Furthermore, Hamzah et al. [54] noted that the rapid growth of a microbial population during crude oil degradation will result in lower dissolved oxygen in the aquatic system, thereby decreasing the hydrocarbon degradation rate. In our experiment, the isolated strain AQNU-1 was selected for its ability to assimilate crude oil under both dynamic and static cultivation conditions. The results reveal that the degradation efficiency under the dynamic condition is better than that under the static condition, especially for n-alkanes with a larger molecular weight. This phenomenon demonstrates the effect of dissolved oxygen on the degradation of petroleum hydrocarbons to a certain extent. The dynamic degradation process is not only conducive to full contact between cells and hydrocarbons, but it also effectively strengthens oxygen delivery between the two gas and liquid phases. According to our research, the isolated strain possesses good environmental adaptability, despite living in harsh conditions with recalcitrant substrates and a lack of oxygen. Isolating functional microorganisms from a hydrocarbon-polluted wetland is very important for its in situ bioremediation. Moreover, exploring the degradation potential under dynamic and static conditions can provide basic information about the microbial adaptability under various flow regimes, such as the static state, slow-flow state and turbulent movement of wetland waters.
5. Conclusions
A crude oil-degrading strain, P. aeruginosa AQNU-1, was isolated from a long-term hydrocarbon-polluted lake wetland, and it presented a high degradation efficiency for major crude oil components. Specifically, n-alkane, alkylcyclohexane, alkylbenzene and alkyltoluene were fully depleted. Additionally, partial aromatic hydrocarbons were assimilated to a certain extent, and aromatic compound families exhibited differences in degradation. Although the degradation capacity decreases with increasing hydrocarbon molecular weight, strain AQNU-1 still possesses a wide hydrocarbon-substrate range under both dynamic and static cultivation conditions. Based on the experimental design, which considered both dynamic and static cultivation conditions, the isolated strain demonstrated good environmental adaptability for the different hydrologic conditions of the wetlands, despite living in harsh conditions with recalcitrant substrates and a lack of oxygen. Thus, isolating functional microorganisms from hydrocarbon-polluted wetlands can provide useful microbial resources for in situ bioremediation.
Author Contributions
Conceptualization, methodology, supervision and writing, H.L.; experimental execution, data collection and editing, G.Y.; visualization, H.J.; experimental execution, B.S. All authors have read and agreed to the published version of the manuscript.
Funding
This work was supported in part by grants from the National Natural Science Foundation of China (41603083), Key Project Supported by the Natural Science Foundation of the Higher Education Institutions of Anhui Province (KJ2020A0501), the Program for Innovative Research Team at Anqing Normal University (Pollution Ecology in the Wetland), and the Funding Project for Cultivating Top Talents in Universities of Anhui Provincial Education Department (gxgnfx2021129). We gratefully acknowledge all the support provided.
Institutional Review Board Statement
Not applicable.
Informed Consent Statement
Not applicable.
Data Availability Statement
The data presented in this study are available from the corresponding author upon request, which are not publicly available due to privacy.
Conflicts of Interest
The authors declare no conflict of interest.
References
- Phulpoto, I.A.; Hu, B.W.; Wang, Y.F.; Ndayisenga, F.; Li, J.M.; Yu, Z.S. Effect of natural microbiome and culturable biosurfactants-producing bacterial consortia of freshwater lake on petroleum-hydrocarbon degradation. Sci. Total Environ. 2021, 751, 141720. [Google Scholar] [CrossRef] [PubMed]
- Lee, J.; Han, I.; Kang, B.R.; Kim, S.H.; Sul, W.J.; Lee, T.K. Degradation of crude oil in a contaminated tidal flat area and the resilience of bacterial community. Mar. Pollut. Bull. 2017, 114, 296–301. [Google Scholar] [CrossRef]
- Abena, M.T.B.; Chen, G.Q.; Chen, Z.Y.; Zheng, X.C.; Li, S.S.; Li, T.T.; Zhong, W.H. Microbial diversity changes and enrichment of potential petroleum hydrocarbon degraders in crude oil-, diesel-, and gasoline-contaminated soil. 3 Biotech 2020, 10, 1–15. [Google Scholar]
- Zhang, Y.G.; Liu, M.Z.; Chen, H.H.; Hou, G.H. Source identification of polycyclic aromatic hydrocarbons in different ecological wetland components of the Qinkenpao Wetland in Northeast China. Ecotoxicol. Environ. Saf. 2014, 102, 160–167. [Google Scholar] [CrossRef] [PubMed]
- Liu, W.X.; Luo, Y.M.; Teng, Y.; Li, Z.G.; Ma, L.Q. Bioremediation of oily sludge-contaminated soil by stimulating indigenous microbes. Environ. Geochem. Health 2010, 32, 23–29. [Google Scholar] [CrossRef] [PubMed]
- Dua, M.; Singh, A.; Sethunathan, N.; Johri, A.K. Biotechnology and bioremediation: Successes and limitations. Appl. Microbiol. Biotechnol. 2002, 59, 143–152. [Google Scholar]
- Jia, X.Q.; He, Y.; Huang, L.; Jiang, D.W.; Lu, W.Y. n-Hexadecane and pyrene biodegradation and metabolization by Rhodococcus sp. T1 isolated from oil contaminated soil. Chin. J. Chem. Eng. 2019, 27, 411–417. [Google Scholar] [CrossRef]
- Varjani, S.J.; Upasani, V.N. Biodegradation of petroleum hydrocarbons by oleophilic strain of Pseudomonas aeruginosa NCIM 5514. Bioresour. Technol. 2016, 222, 195–201. [Google Scholar] [CrossRef]
- Kshirsagar, S.D.; Mattam, A.J.; Jose, S.; Ramachandrarao, B.; Velankar, H.R. Heavy hydrocarbons as selective substrates for isolation of asphaltene degraders: A substrate-based bacterial isolation strategy for petroleum hydrocarbon biodegradation. Environ. Technol. Innov. 2020, 19, 100832. [Google Scholar] [CrossRef]
- He, C.Q.; Li, Y.P.; Huang, C.; Chen, F.L.; Ma, Y.L. Genome sequence and metabolic analysis of a fluoranthene-degrading strain Pseudomonas aeruginosa DN1. Front. Microbiol. 2018, 9, 2595. [Google Scholar] [CrossRef] [PubMed]
- Arvanitis, N.; Katsifas, E.A.; Chalkou, K.I.; Meintanis, C.; Karagouni, A.D. A refinery sludge deposition site: Presence of nahH and alkJ genes and crude oil biodegradation ability of bacterial isolates. Biotechnol. Lett. 2008, 30, 2105–2110. [Google Scholar] [CrossRef] [PubMed]
- Schneiker, S.; Santos, V.A.M.D.; Bartels, D.; Bekel, T.; Brecht, M.; Buhrmester, J.; Chernikova, T.N.; Denaro, R.; Ferrer, M.; Gertler, C.; et al. Genome sequence of the ubiquitous hydrocarbon-degrading marine bacterium Alcanivorax borkumensis. Nat. Biotechnol. 2006, 24, 997–1004. [Google Scholar] [CrossRef] [PubMed]
- Jin, J.N.; Yao, J.; Zhang, Q.Y.; Liu, J.L. Biodegradation of pyrene by Pseudomonas sp. JPN2 and its initial degrading mechanism study by combining the catabolic nahAc gene and structure-based analyses. Chemosphere 2016, 164, 379–386. [Google Scholar] [CrossRef] [PubMed]
- Liu, L.; Liu, X.Q.; Yang, W.; Xu, F.; Wang, W.; Feng, L.; Bartlam, M.; Wang, L.; Rao, Z.H. Crystal structure of long-chain alkane monooxygenase (LadA) in complex with coenzyme FMN: Unveiling the long-chain alkane hydroxylase. J. Mol. Biol. 2008, 376, 453–465. [Google Scholar] [CrossRef] [PubMed]
- Xia, M.Q.; Fu, D.F.; Chakraborty, R.; Singh, R.P.; Terry, N. Enhanced crude oil depletion by constructed bacterial consortium comprising bioemulsifier producer and petroleum hydrocarbon degraders. Bioresour. Technol. 2019, 282, 456–463. [Google Scholar] [CrossRef]
- Al-Dhabi, N.A.; Esmail, G.A.; Arasu, M.V. Enhanced production of biosurfactant from Bacillus subtilis strain Al-Dhabi-130 under solid-state fermentation using date molasses from Saudi Arabia for bioremediation of crude-oil-contaminated soils. Int. J. Environ. Res. Public Health 2020, 17, 8446. [Google Scholar] [CrossRef]
- Gupta, B.; Puri, S.; Thakur, I.S.; Kaur, J. Enhanced pyrene degradation by a biosurfactant producing Acinetobacter baumannii BJ5: Growth kinetics, toxicity and substrate inhibition studies. Environ. Technol. Innov. 2020, 19, 100804. [Google Scholar] [CrossRef]
- Rehman, R.; Ali, M.I.; Ali, N.; Badshah, M.; Iqbal, M.; Jamal, A.; Huang, Z.X. Crude oil biodegradation potential of biosurfactant-producing Pseudomonas aeruginosa and Meyerozyma sp. J. Hazard. Mater. 2021, 418, 126276. [Google Scholar] [CrossRef]
- Sakshi; Singh, S.K.; Haritash, A.K. Catabolic enzyme activities during biodegradation of three-ring PAHs by novel DTU-1Y and DTU-7P strains isolated from petroleum-contaminated soil. Arch. Microbiol. 2021, 203, 3101–3110. [Google Scholar] [CrossRef]
- Li, Y.P.; Pan, J.C.; Ma, Y.L. Elucidation of multiple alkane hydroxylase systems in biodegradation of crude oil n-alkane pollution by Pseudomonas aeruginosa DN1. J. Appl. Microbiol. 2020, 128, 151–160. [Google Scholar] [CrossRef]
- Sun, Y.Y.; Chen, W.W.; Wang, Y.B.; Guo, J.; Zhang, H.K.; Hu, X.K. Nutrient depletion is the main limiting factor in the crude oil bioaugmentation process. J. Environ. Sci. 2021, 100, 317–327. [Google Scholar] [CrossRef] [PubMed]
- Cao, Y.Q.; Zhang, B.Y.; Zhu, Z.W.; Song, X.; Cai, Q.H.; Chen, B.; Dong, G.H.; Ye, X.D. Microbial eco-physiological strategies for salinity-mediated crude oil biodegradation. Sci. Total Enviro. 2020, 727, 138723. [Google Scholar] [CrossRef] [PubMed]
- Méndez García, M.; García de Llasera, M.P. A review on the enzymes and metabolites identified by mass spectrometry from bacteria and microalgae involved in the degradation of high molecular weight PAHs. Sci. Total Environ. 2021, 797, 149035. [Google Scholar] [CrossRef] [PubMed]
- Venosa, A.D.; Zhu, X.Q. Biodegradation of crude oil contaminating marine shorelines and freshwater wetlands. Spill Sci. Technol. B 2003, 8, 163–178. [Google Scholar] [CrossRef]
- Liu, H.J.; Yang, G.; Jia, H.; Yao, J. Impact of long-term cultivation with crude oil on wetland microbial community shifts and the hydrocarbon degradation potential. Energy Source Part A 2021. [Google Scholar] [CrossRef]
- Liu, H.J.; Yao, J.; Yuan, Z.M.; Shang, Y.F.; Chen, H.L.; Wang, F.; Masakorala, K.; Yu, C.; Cai, M.M.; Blake, R.E.; et al. Isolation and characterization of crude-oil-degrading bacteria from oil-water mixture in Dagang oilfield, China. Int. Biodeterior. Biodegrad. 2014, 87, 52–59. [Google Scholar] [CrossRef]
- Lee, Y.K.; Kim, H.W.; Liu, C.L.; Lee, H.K. A simple method for DNA extraction from marine bacteria that produce extracellular materials. J. Microbiol. Meth. 2003, 52, 245–250. [Google Scholar] [CrossRef]
- Wang, X.W.; Cai, T.; Wen, W.T.; Ai, J.Z.; Ai, J.Y.; Zhang, Z.H.; Zhu, L.; George, S.C. Surfactin for enhanced removal of aromatic hydrocarbons during biodegradation of crude oil. Fuel 2020, 267, 117272. [Google Scholar] [CrossRef]
- Cheng, X.; Hou, D.J.; Mao, R.; Xu, C.G. Severe biodegradation of polycyclic aromatic hydrocarbons in reservoired crude oils from the Miaoxi depression, Bohai Bay Basin. Fuel 2018, 211, 859–867. [Google Scholar] [CrossRef]
- Jiménez, N.; Morris, B.E.L.; Cai, M.M.; Gründger, F.; Yao, J.; Richnow, H.H.; Krüger, M. Evidence for in situ methanogenic oil degradation in the Dagang oil field. Org. Geochem. 2012, 52, 44–54. [Google Scholar] [CrossRef]
- Mojarad, M.; Alemzadeh, A.; Ghoreishi, G.; Javaheri, M. Kerosene biodegradation ability and characterization of bacteria isolated from oil-polluted soil and water. J. Environ. Chem. Eng. 2016, 4, 4323–4329. [Google Scholar] [CrossRef]
- Reddy, K.R.; D’Angelo, E.M. Biogeochemical indicators to evaluate pollutant removal efficiency in constructed wetlands. Water Sci. Technol. 1997, 35, 1–10. [Google Scholar] [CrossRef]
- Barbier, E.B.; Hacker, S.D.; Kennedy, C.; Koch, E.W.; Stier, A.C.; Silliman, B.R. The value of estuarine and coastal ecosystem services. Ecol. Monogr. 2011, 81, 169–193. [Google Scholar] [CrossRef]
- Wu, H.L.; Sun, B.H.; Li, J.H. Influence of polycyclic aromatic hydrocarbon pollution on the diversity and function of bacterial communities in urban wetlands. Environ. Sci. Pollut. Res. 2021, 28, 56281–56293. [Google Scholar] [CrossRef] [PubMed]
- Nkem, B.M.; Halimoon, N.; Yusoff, F.M.; Johari, W.L.W.; Zakaria, M.P.; Medipally, S.R.; Kannan, N. Isolation, identification and diesel-oil biodegradation capacities of indigenous hydrocarbon-degrading strains of Cellulosimicrobium cellulans and Acinetobacter baumannii from tarball at Terengganu beach, Malaysia. Mar. Pollut. Bull. 2016, 107, 261–268. [Google Scholar] [CrossRef]
- Reddy, P.V.; Karegoudar, T.B.; Nayak, A.S. Enhanced utilization of fluorene by Paenibacillus sp. PRNK-6: Effect of rhamnolipid biosurfactant and synthetic surfactants. Ecotoxicol. Environ. Saf. 2018, 151, 206–211. [Google Scholar] [CrossRef] [PubMed]
- Bogan, B.W.; Sullivan, W.R.; Kayser, K.J.; Derr, K.D.; Aldrich, H.C.; Paterek, J.R. Alkanindiges illinoisensis gen. nov., sp. nov., an obligately hydrocarbonoclastic, aerobic squalane-degrading bacterium isolated from oilfield soils. Int. J. Syst. Evol. Microbiol. 2003, 53, 1389–1395. [Google Scholar] [CrossRef] [PubMed]
- Muralidharan, M.; Kavitha, R.; Kumar, P.S.; Pooja, M.; Rajagopal, R.; Gayathri, K.V. Performance evaluation and mechanism analysis of halotolerant bacterial strains and cerium oxide nanoparticle to degrade Benzo[a]pyrene. Environ. Technol. Innov. 2021, 24, 101980. [Google Scholar] [CrossRef]
- Janniche, G.S.; Spliid, H.; Albrechtsen, H.J. Microbial community-level physiological profiles (CLPP) and herbicide mineralization potential in groundwater affected by agricultural land use. J. Contam. Hydrol. 2012, 140–141, 45–55. [Google Scholar] [CrossRef] [PubMed]
- Sabirova, J.S.; Becker, A.; Lünsdorf, H.; Nicaud, J.M.; Timmis, K.N.; Golyshin, P.N. Transcriptional profiling of the marine oil-degrading bacterium Alcanivorax borkumensis during growth on n-alkanes. FEMS Microbiol. Lett. 2011, 319, 160–168. [Google Scholar] [CrossRef] [PubMed]
- Van Beilen, J.B.; Smits, T.H.M.; Roos, F.F.; Brunner, T.; Balada, S.B.; Rothlisberger, M.; Witholt, B. Identification of an amino acid position that determines the substrate range of integral membrane alkane hydroxylases. J. Bacteriol. 2005, 187, 85–91. [Google Scholar] [CrossRef] [PubMed]
- Throne-Holst, M.; Wentzel, A.; Ellingsen, T.E.; Kotlar, H.K.; Zotchev, S.B. Identification of novel genes involved in long-chain n-alkane degradation by Acinetobacter sp. strain DSM 17874. Appl. Environ. Microbiol. 2007, 73, 3327–3332. [Google Scholar] [CrossRef] [PubMed]
- Abbasian, F.; Lockington, R.; Mallavarapu, M.; Naidu, R. A aomprehensive review of aliphatic hydrocarbon biodegradation by bacteria. Appl. Biochem. Biotechnol. 2015, 176, 670–699. [Google Scholar] [CrossRef] [PubMed]
- Varjani, S.J.; Upasani, V.N. A new look on factors affecting microbial degradation of petroleum hydrocarbon pollutants. Int. Biodeterior. Biodegrad. 2017, 120, 71–83. [Google Scholar] [CrossRef]
- Bezza, F.A.; Chirwa, E.M.N. The role of lipopeptide biosurfactant on microbial remediation of aged polycyclic aromatic hydrocarbon (PAHs)-contaminated Soil. Chem. Eng. J. 2017, 309, 563–576. [Google Scholar] [CrossRef]
- Pasumarthi, R.; Chandrasekaran, S.; Mutnuri, S. Biodegradation of crude oil by Pseudomonas aeruginosa and Escherichia fergusonii isolated from the Goan coast. Mar. Pollut. Bull. 2013, 76, 276–282. [Google Scholar] [CrossRef] [PubMed]
- Ferraro, D.J.; Okerlund, A.L.; Mowers, J.C.; Ramaswamy, S. Structural basis for regioselectivity and stereoselectivity of product formation by naphthalene 1,2-dioxygenase. J. Bacteriol. 2006, 188, 6986–6994. [Google Scholar] [CrossRef] [PubMed][Green Version]
- Khara, P.; Roy, M.; Chakraborty, J.; Dutta, A.; Dutta, T.K. Characterization of a topologically unique oxygenase from Sphingobium sp. PNB capable of catalyzing a broad spectrum of aromatics. Enzyme Microb. Technol. 2018, 111, 74–80. [Google Scholar] [CrossRef]
- Musumeci, M.A.; Loviso, C.L.; Lozada, M.; Ferreira, F.V.; Dionisi, H.M. Substrate specificities of aromatic ring-hydroxylating oxygenases of an uncultured gammaproteobacterium from chronically-polluted subantarctic sediments. Int. Biodeterior. Biodegrad. 2019, 137, 127–136. [Google Scholar] [CrossRef]
- Musumeci, M.A.; Lozada, M.; Rial, D.V.; Mac Cormack, W.P.; Jansson, J.K.; Sjöling, S.; Carroll, J.; Dionisi, H.M. Prospecting biotechnologically-relevant monooxygenases from cold sediment metagenomes: An in silico approach. Mar. Drugs 2017, 15, 114. [Google Scholar] [CrossRef]
- Liu, Y.; Wan, Y.Y.; Wang, C.J.; Ma, Z.Y.; Liu, X.L.; Li, S.J. Biodegradation of n-alkanes in crude oil by three identified bacterial strains. Fuel 2020, 275, 117897. [Google Scholar] [CrossRef]
- Cerniglia, C.E. Biodegradation of polycyclic aromatic hydrocarbons. Biodegradation 1992, 3, 351–368. [Google Scholar] [CrossRef]
- Cai, M.M.; Yao, J.; Yang, H.J.; Wang, R.X.; Kanaji, M. Aerobic biodegradation process of petroleum and pathway of main compounds in water flooding well of Dagang oil field. Bioresour. Technol. 2013, 144, 100–106. [Google Scholar] [CrossRef] [PubMed]
- Hamzah, A.; Phan, C.W.; Abu Bakar, N.F.; Wong, K.K. Biodegradation of crude oil by constructed bacterial consortia and the constituent single bacteria isolated from Malaysia. Bioremediat. J. 2013, 17, 1–10. [Google Scholar] [CrossRef]
Publisher’s Note: MDPI stays neutral with regard to jurisdictional claims in published maps and institutional affiliations. |
© 2022 by the authors. Licensee MDPI, Basel, Switzerland. This article is an open access article distributed under the terms and conditions of the Creative Commons Attribution (CC BY) license (https://creativecommons.org/licenses/by/4.0/).





