An Unusual Case of Torticollis: Split Cord Malformation with Vertebral Fusion Anomaly: A Case Report and a Review of the Literature
Abstract
1. Introduction
2. Case Report
2.1. Presenting Concerns and Past Medical History
2.2. Physical Examination
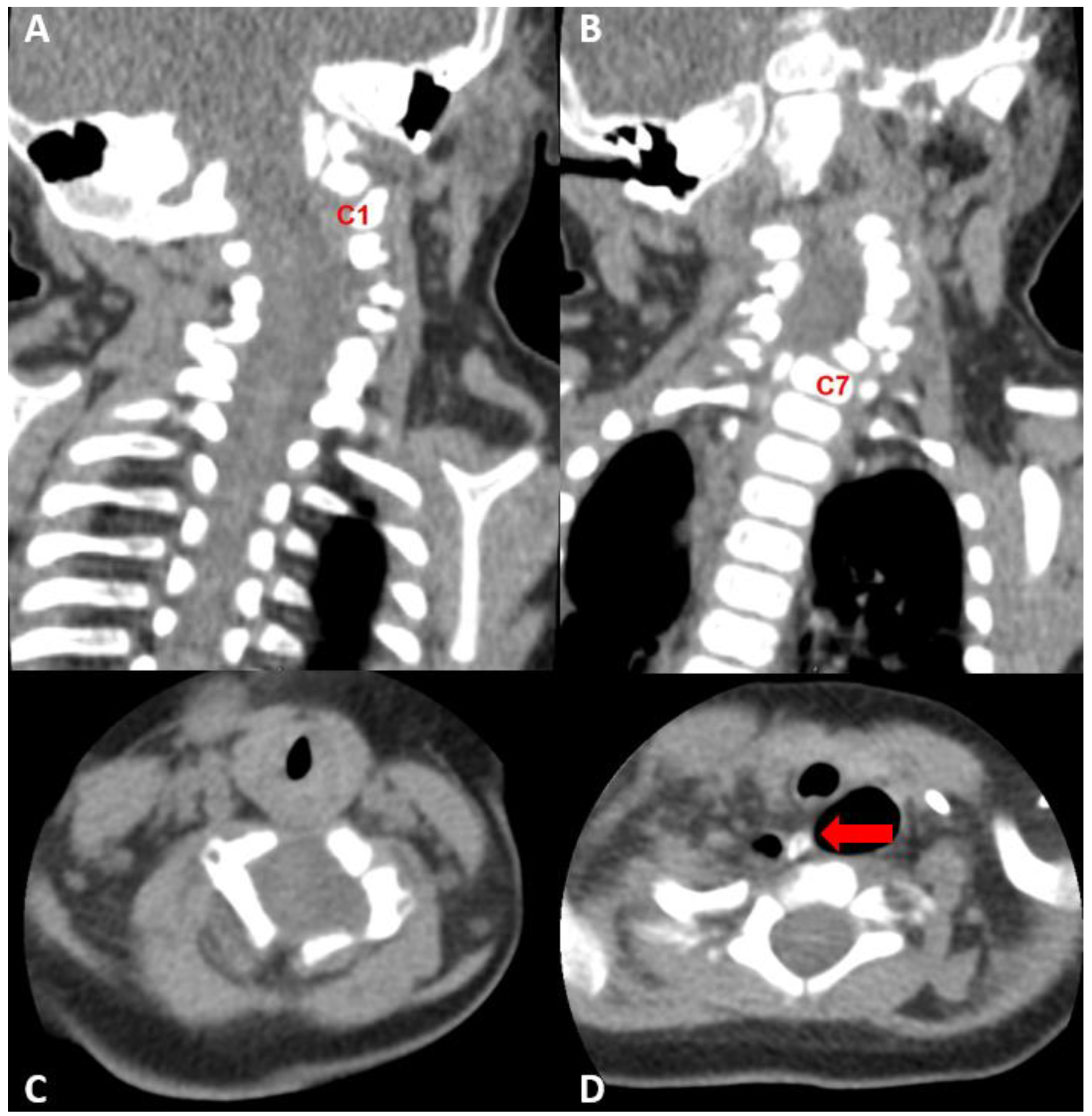
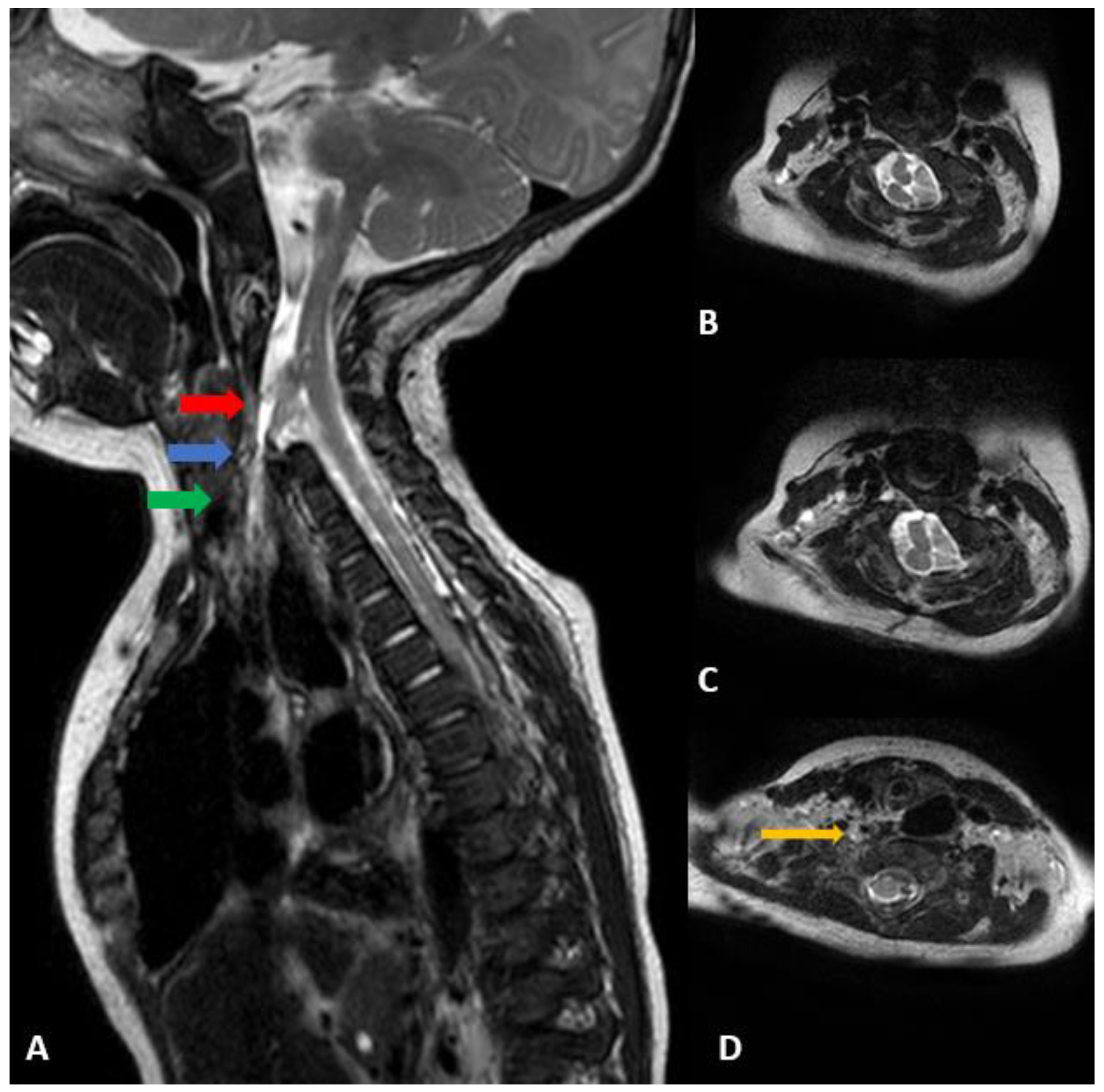
2.3. Diagnostic Assessment
2.4. Management and Follow-Up
3. Discussion
4. Conclusions
Author Contributions
Funding
Institutional Review Board Statement
Informed Consent Statement
Data Availability Statement
Acknowledgments
Conflicts of Interest
References
- Ben Zvi, I.; Thompson, D.N.P. Torticollis in childhood-a practical guide for initial assessment. Eur. J. Pediatr. 2022, 181, 865–873. [Google Scholar] [CrossRef] [PubMed]
- Dubousset, J. Torticollis in children caused by congenital anomalies of the atlas. J. Bone Jt. Surg. Am. 1986, 68, 178–188. [Google Scholar] [CrossRef]
- Wang, S.; Li, J.; Lü, G.; Wang, B.; Wang, X. Cervical hemivertebra resection and torticollis correction: Report on two cases and literature review. Eur. Spine J. 2018, 27, 501–509. [Google Scholar] [CrossRef] [PubMed]
- Pang, D.; Dias, M.S.; Ahab-Barmada, M. Split cord malformation: Part I: A unified theory of embryogenesis for double spinal cord malformations. Neurosurgery 1992, 31, 451–480. [Google Scholar] [CrossRef] [PubMed]
- Rajpal, S.; Salamat, M.S.; Tubbs, R.S.; Kelly, D.R.; Oakes, W.J.; Iskandar, B.J. Tethering tracts in spina bifida occulta: Revisiting an established nomenclature. J. Neurosurg. Spine 2007, 7, 315–322. [Google Scholar] [CrossRef] [PubMed]
- Peart, O. Split cord malformation. Radiol. Technol. 2004, 76, 168–170. [Google Scholar] [PubMed]
- Karim Ahmed, A.; Howell, E.P.; Harward, S.; Sankey, E.W.; Ehresman, J.; Schilling, A.; Wang, T.; Pennington, Z.; Gray, L.; Sciubba, D.M.; et al. Split cord malformation in adults: Literature review and classification. Clin. Neurol. Neurosurg. 2020, 193, 105733. [Google Scholar] [CrossRef] [PubMed]
- Ozturk, E.; Sonmez, G.; Mutlu, H.; Sildiroglu, H.O.; Velioglu, M.; Basekim, C.C.; Kizilkaya, E. Split-cord malformation and accompanying anomalies. J. Neuroradiol. 2008, 35, 150–156. [Google Scholar] [CrossRef] [PubMed]
- Mahapatra, A.K.; Gupta, D.K. Split cord malformations: A clinical study of 254 patients and a proposal for a new clinical-imaging classification. J. Neurosurg. 2005, 103, 531–536. [Google Scholar] [CrossRef] [PubMed]
- Kim, Y.D.; Sung, J.H.; Hong, J.T.; Lee, S.W. Split cord malformation combined with tethered cord syndrome in an adult. J. Korean Neurosurg. Soc. 2013, 54, 363–365. [Google Scholar] [CrossRef] [PubMed]
- Riggs, E.R. Technical standards for the interpretation and reporting of constitutional copy-number variants: A joint consensus recommendation of the American College of Medical Genetics and Genomics (ACMG) and the Clinical Genome Resource (ClinGen). Genet. Med. 2020, 22, 245–257. [Google Scholar] [CrossRef] [PubMed]
- Misawa, H.; Ohtsubo, M.; Copeland, N.G.; Gilbert, D.J.; Jenkins, N.A.; Yoshimura, A. Cloning and characterization of a novel class II phosphoinositide 3-kinase containing C2 domain. Biochem. Biophys. Res. Commun. 1998, 244, 531–539. [Google Scholar] [CrossRef] [PubMed]
- David, K.M.; Copp, A.J.; Stevens, J.M.; Hayward, R.D.; Crockard, H.A. Split cervical spinal cord with Klippel-Feil syndrome: Seven cases. Brain 1996, 119 Pt 6, 1859–1872. [Google Scholar] [CrossRef] [PubMed]
- Andro, C.; Pecquery, R.; De Vries, P.; Forlodou, P.; Fenoll, B. Split cervical spinal cord malformation and vertebral dysgenesis. Orthop. Traumatol. Surg. Res. 2009, 95, 547–550. [Google Scholar] [CrossRef] [PubMed][Green Version]
- McGaughran, J.M.; Oates, A.; Donnai, D.; Read, A.P.; Tassabehji, M. Mutations in PAX1 may be associated with Klippel-Feil syndrome. Eur. J. Hum. Genet. 2003, 11, 468–474. [Google Scholar] [CrossRef] [PubMed]
- Giampietro, P.F.; Raggio, C.L.; Reynolds, C.E.; Shukla, S.K.; McPherson, E.; Ghebranious, N.; Jacobsen, F.S.; Kumar, V.; Faciszewski, T.; Pauli, R.M.; et al. An analysis of PAX1 in the development of vertebral malformations. Clin. Genet. 2005, 68, 448–453. [Google Scholar] [CrossRef] [PubMed]
- Kessel, M.; Balling, R.; Gruss, P. Variations of cervical vertebrae after expression of a Hox-1.1 transgene in mice. Cell 1990, 61, 301–308. [Google Scholar] [CrossRef]
- Proctor, M.R.; Scott, R.M. Long-term outcome for patients with split cord malformation. Neurosurg. Focus 2001, 10, e5. [Google Scholar] [CrossRef] [PubMed]
- Beuriat, P.A.; Di Rocco, F.; Szathmari, A.; Mottolese, C. Management of split cord malformation in children: The Lyon experience. Childs Nerv. Syst. 2018, 34, 883–891. [Google Scholar] [CrossRef] [PubMed]





| Results at | 4 Months | 7 Months | 12 Months |
|---|---|---|---|
| Personal-Social (months) | 3 | 5 | 11 |
| Fine Motor-Adaptive (months) | 3 | 7 | 11 |
| Language (months) | 3 | 6 | 10 |
| Gross Motor (months) | 1 | 5 | 7 |
Publisher’s Note: MDPI stays neutral with regard to jurisdictional claims in published maps and institutional affiliations. |
© 2022 by the authors. Licensee MDPI, Basel, Switzerland. This article is an open access article distributed under the terms and conditions of the Creative Commons Attribution (CC BY) license (https://creativecommons.org/licenses/by/4.0/).
Share and Cite
Ye, D.H.; Kim, D.Y.; Ko, E.J. An Unusual Case of Torticollis: Split Cord Malformation with Vertebral Fusion Anomaly: A Case Report and a Review of the Literature. Children 2022, 9, 1085. https://doi.org/10.3390/children9071085
Ye DH, Kim DY, Ko EJ. An Unusual Case of Torticollis: Split Cord Malformation with Vertebral Fusion Anomaly: A Case Report and a Review of the Literature. Children. 2022; 9(7):1085. https://doi.org/10.3390/children9071085
Chicago/Turabian StyleYe, Dong Hyun, Da Yeong Kim, and Eun Jae Ko. 2022. "An Unusual Case of Torticollis: Split Cord Malformation with Vertebral Fusion Anomaly: A Case Report and a Review of the Literature" Children 9, no. 7: 1085. https://doi.org/10.3390/children9071085
APA StyleYe, D. H., Kim, D. Y., & Ko, E. J. (2022). An Unusual Case of Torticollis: Split Cord Malformation with Vertebral Fusion Anomaly: A Case Report and a Review of the Literature. Children, 9(7), 1085. https://doi.org/10.3390/children9071085

