Intercepting of Class III Malocclusion with a Novel Mechanism Built on the Orthopaedic Appliance: A Case Report
Abstract
:1. Introduction
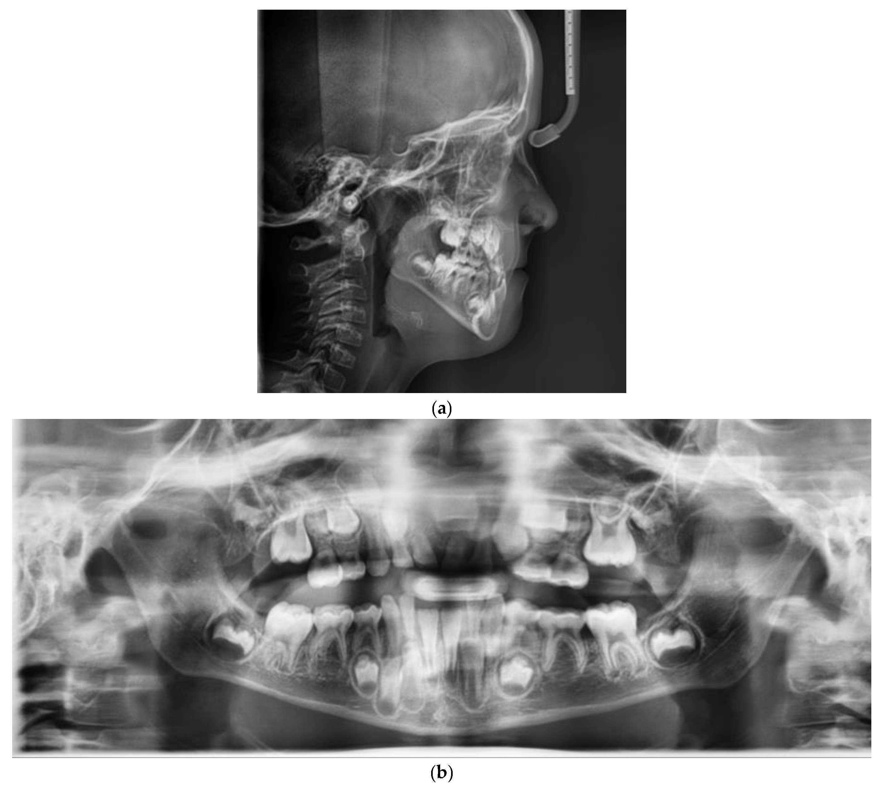
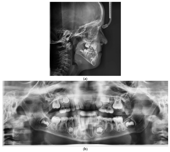
2. Case Report
3. Treatment Objectives and Alternatives
- −
- Opening the space with implant-prosthetic rehabilitation or a Maryland bridge in the 11 area and finishing the treatment in the molar and canine class I on both sides;
- −
- Closing the space in the 11 area, ending the treatment in the molar and canine class II on the right side and molar and canine class I on the left side.
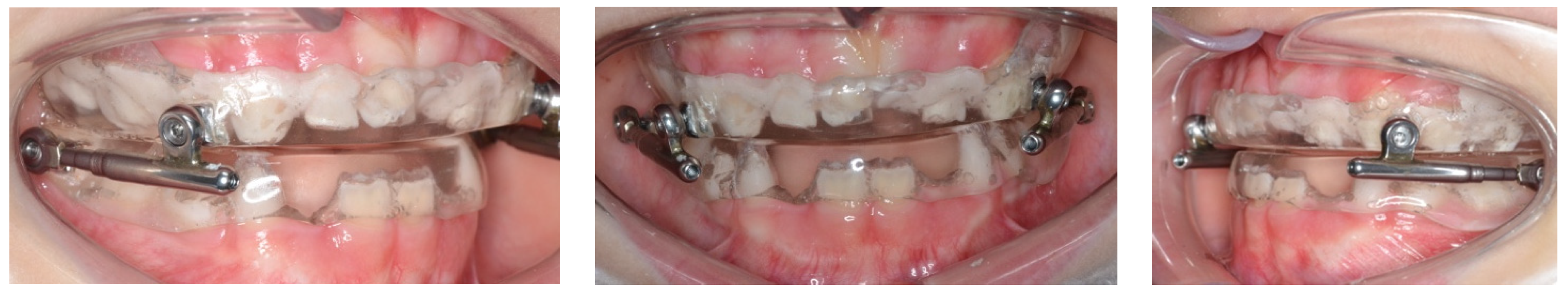
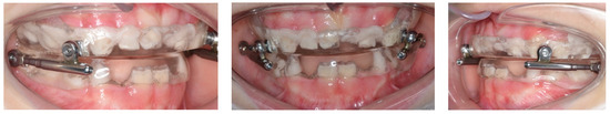
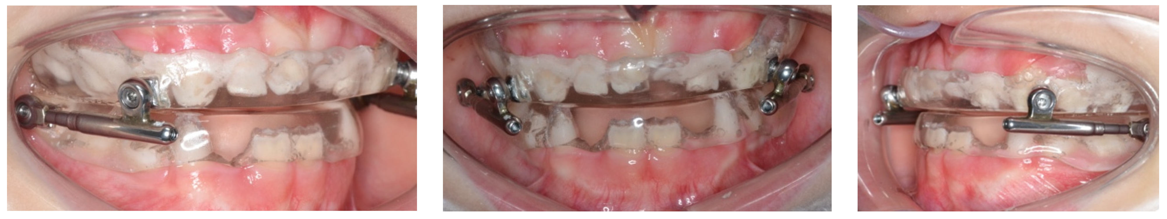
4. Treatment Progress
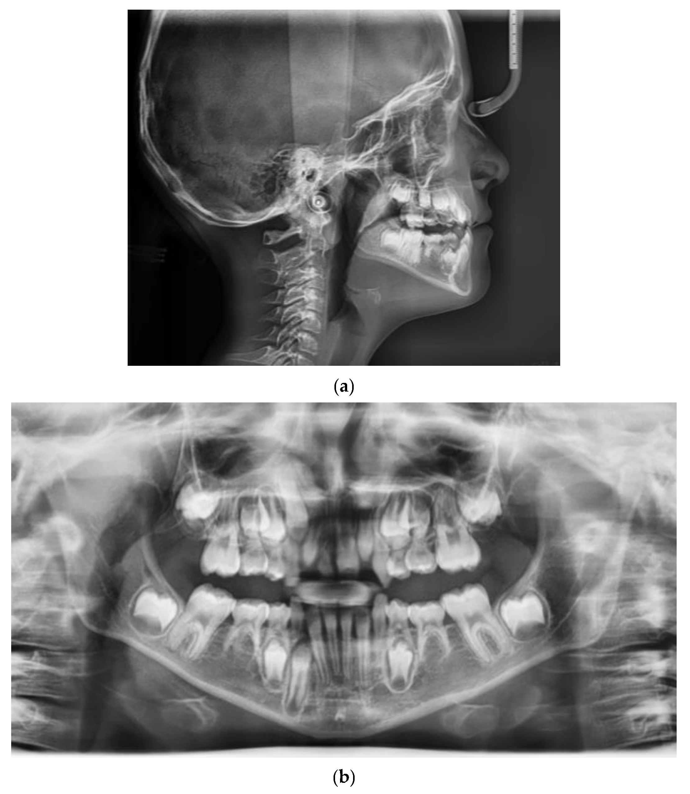
5. Results
6. Discussion
6.1. Sagittal Changes
6.2. Vertical Changes
7. Conclusions
8. Limits
Author Contributions
Funding
Informed Consent Statement
Data Availability Statement
Acknowledgments
Conflicts of Interest
References
- Sidlauskas, A.; Lopatiene, K. The prevalence of malocclusion among 7–15-year-old Lithuanian schoolchildren. Medicina 2009, 45, 147–152. [Google Scholar] [CrossRef] [PubMed] [Green Version]
- Perillo, L.; Masucci, C.; Ferro, F.; Apicella, D.; Baccetti, T. Prevalence of orthodontic treatment need in southern Italian schoolchildren. Eur. J. Orthod. 2010, 32, 49–53. [Google Scholar] [CrossRef] [PubMed]
- Proffit, W.R. The timing of early treatment: An overview. Am. J. Orthod. Dentofac. Orthop. 2006, 129, S47–S49. [Google Scholar] [CrossRef] [PubMed]
- Fleming, P.S. Timing orthodontic treatment: Early or late? Aust. Dent. J. 2017, 62 (Suppl. 1), 11–19. [Google Scholar] [CrossRef] [Green Version]
- Toffol, L.D.; Pavoni, C.; Baccetti, T.; Franchi, L.; Cozza, P. Orthopedic treatment outcomes in Class III malocclusion. A systematic review. Angle Orthod. 2008, 78, 561–573. [Google Scholar] [CrossRef]
- Perillo, L.; Monsurrò, A.; Bonci, E.; Torella, A.; Mutarelli, M.; Nigro, V. Genetic association of ARHGAP21 gene variant with mandibular prognathism. J. Dent. Res. 2015, 94, 569–576. [Google Scholar] [CrossRef]
- Fabozzi, F.F.; Nucci, L.; Correra, A.; D’Apuzzo, F.; Franchi, L.; Perillo, L. Comparison of two protocols for early treatment of dentoskeletal Class III malocclusion: Modified SEC III versus RME/FM. Orthod. Craniofac. Res. 2021, 24, 344–350. [Google Scholar] [CrossRef]
- Martina, R.; D’Antò, V.; De Simone, V.; Galeotti, A.; Rongo, R.; Franchi, L. Cephalometric outcomes of a new orthopaedic appliance for Class III malocclusion treatment. Eur. J. Orthod. 2020, 42, 187–192. [Google Scholar] [CrossRef]
- Caruso, S.; Nota, A.; Caruso, S.; Severino, M.; Gatto, R.; Meuli, S.; Mattei, A.; Tecco, S. Mandibular advancement with clear aligners in the treatment of skeletal Class II. A retrospective controlled study. Eur. J. Paediatr. Dent. 2021, 22, 26–30. [Google Scholar]
- Pradal, A.; Nucci, L.; Derton, N.; De Felice, M.E.; Turco, G.; Grassia, V.; Contardo, L. Mechanical Evaluation of the Stability of One or Two Miniscrews under Loading on Synthetic Bone. J. Funct. Biomater. 2020, 11, 80. [Google Scholar] [CrossRef]
- Severino, M.; Caruso, S.; Ferrazzano, G.F.; Pisaneschi, A.; Fiasca, F.; Caruso, S.; De Giorgio, S. Prevalence of Early Childhood Caries (ECC) in a paediatric italian population: An epidemiological study. Eur. J. Paediatr. Dent. 2021, 22, 189–198. [Google Scholar] [PubMed]
- Caruso, S.; Dinoi, T.; Marzo, G.; Campanella, V.; Giuca, M.R.; Gatto, R.; Pasini, M. Clinical and radiographic evaluation of biodentine versus calcium hydroxide in primary teeth pulpotomies: A retrospective study. BMC Oral Health 2018, 18, 54. [Google Scholar] [CrossRef] [PubMed]
- McNamara, J.A., Jr. An orthopedic approach to the treatment of Class III malocclusion in young patients. J. Clin. Orthod. 1987, 21, 598–608, Erratum in: J. Clin. Orthod. 1987, 21, 804. [Google Scholar]
- Guyer, E.C.; Ellis, E.E., 3rd; McNamara, J.A., Jr.; Behrents, R.G. Components of class III malocclusion in juveniles and adolescents. Angle Orthod. 1986, 56, 7–30. [Google Scholar]
- Sarangal, H.; Namdev, R.; Garg, S.; Saini, N.; Singhal, P. Treatment Modalities for Early Management of Class III Skeletal Malocclusion: A Case Series. Contemp. Clin. Dent. 2020, 11, 91–96. [Google Scholar] [CrossRef]
- Pellegrino, M.; Caruso, S.; Cantile, T.; Pellegrino, G.; Ferrazzano, G.F. Early Treatment of Anterior Crossbite with Eruption Guidance Appliance: A Case Report. Int. J. Environ. Res. Public Health 2020, 17, 3587. [Google Scholar] [CrossRef] [PubMed]
- Baldini, A.; Nota, A.; Santariello, C.; Caruso, S.; Assi, V.; Ballanti, F.; Gatto, R.; Cozza, P. Sagittal dentoskeletal modifications associated with different activation protocols of rapid maxillary expansion. Eur. J. Paediatr. Dent. 2018, 19, 151–155. [Google Scholar]
- Arveda, N.; De Felice, M.E.; Derton, N.; Lombardo, L.; Gatto, R.; Caruso, S. Management of Class III Extraction with the Miniscrew-Supported Orthodontic Pseudo-Ankylosis (MSOPA) Using Direct Tads. Appl. Sci. 2022, 12, 2464. [Google Scholar] [CrossRef]
- Westwood, P.V.; McNamara, J.A., Jr.; Baccetti, T.; Franchi, L.; Sarver, D.M. Long-term effects of Class III treatment with rapid maxillary expansion and facemask therapy followed by fixed appliances. Am. J. Orthod. Dentofac. Orthop. 2003, 123, 306–320. [Google Scholar] [CrossRef] [Green Version]
- Chong, Y.H.; Ive, J.C.; Årtun, J. Changes following the use of protraction headgear for early correction of Class III malocclusion. Angle Orthod. 1996, 66, 351–362. [Google Scholar]
- Rongo, R.; D’Antò, V.; Bucci, R.; Polito, I.; Martina, R.; Michelotti, A. Skeletal and dental effects of Class III orthopaedic treatment: A systematic review and meta-analysis. J. Oral Rehabil. 2017, 44, 545–562. [Google Scholar] [CrossRef] [PubMed] [Green Version]
- Ko, Y.I.; Baek, S.H.; Mah, J.; Yang, W.S. Determinants of successful chincup therapy in skeletal class III malocclusion. Am. J. Orthod. Dentofac. Orthop. 2004, 126, 33–41. [Google Scholar] [CrossRef] [PubMed]
- Liu, H.; Wu, C.; Lin, J.; Shao, J.; Chen, Q.; Luo, E. Genetic Etiology in Nonsyndromic Mandibular Prognathism. J. Craniofac. Surg. 2017, 28, 161–169. [Google Scholar] [CrossRef] [PubMed]
- Paglia, L.; Gallus, S.; de Giorgio, S.; Cianetti, S.; Lupatelli, E.; Lombardo, G.; Montedori, A.; Eusebi, P.; Gatto, R.; Caruso, S. Reliability and validity of the Italian versions of the Children’s Fear Survey Schedule—Dental Subscale and the Modified Child Dental Anxiety Scale. Eur. J. Paediatr. Dent. 2017, 18, 305–312. [Google Scholar]
- Bagattoni, S.; D’Alessandro, G.; Gatto, M.R.; Piana, G. Applicability of Demirjian’s method for age estimation in a sample of Italian children with Down syndrome: A case-control retrospective study. Forensic. Sci. Int. 2019, 298, 336–340. [Google Scholar]









| Pretreatment | Post-Treatment | |
|---|---|---|
| Sagittal Skeletal Relations | ||
| SNA | 75.8° | 76.4° |
| SNB | 79° | 77° |
| ANB | −3.2° | −1.6° |
| Wits | −8 mm | −4 mm |
| Vertical Skeletal Relations | ||
| SN/ANS-PNS | 9.2° | 12.2° |
| SN/Go-Gn | 40° | 40° |
| ANS-PNS/GoGn | 30° | 28° |
| Dento-Basal Relations | ||
| I/ANS-PNS | - | 110.5° |
| i/GoGn | - | 75° |
| i/APg | - | +3.3 mm |
| Dental Relations | ||
| Overjet | −1 mm | +1.2 mm |
| Overbite | - | +0.3 mm |
| Interincisal Angle | - | 154.8° |
| Linear measurements | ||
| Maxillary length | 38.8 mm | 40 mm |
| Mandibular length | 60 mm | 62 mm |
Publisher’s Note: MDPI stays neutral with regard to jurisdictional claims in published maps and institutional affiliations. |
© 2022 by the authors. Licensee MDPI, Basel, Switzerland. This article is an open access article distributed under the terms and conditions of the Creative Commons Attribution (CC BY) license (https://creativecommons.org/licenses/by/4.0/).
Share and Cite
Manzo, P.; De Felice, M.E.; Caruso, S.; Gatto, R.; Caruso, S. Intercepting of Class III Malocclusion with a Novel Mechanism Built on the Orthopaedic Appliance: A Case Report. Children 2022, 9, 784. https://doi.org/10.3390/children9060784
Manzo P, De Felice ME, Caruso S, Gatto R, Caruso S. Intercepting of Class III Malocclusion with a Novel Mechanism Built on the Orthopaedic Appliance: A Case Report. Children. 2022; 9(6):784. https://doi.org/10.3390/children9060784
Chicago/Turabian StyleManzo, Paolo, Maria Elena De Felice, Sara Caruso, Roberto Gatto, and Silvia Caruso. 2022. "Intercepting of Class III Malocclusion with a Novel Mechanism Built on the Orthopaedic Appliance: A Case Report" Children 9, no. 6: 784. https://doi.org/10.3390/children9060784
APA StyleManzo, P., De Felice, M. E., Caruso, S., Gatto, R., & Caruso, S. (2022). Intercepting of Class III Malocclusion with a Novel Mechanism Built on the Orthopaedic Appliance: A Case Report. Children, 9(6), 784. https://doi.org/10.3390/children9060784

