One Year of Lung Ultrasound in Children with SARS-CoV-2 Admitted to a Tertiary Referral Children’s Hospital: A Retrospective Study during 2020–2021
Abstract
:1. Introduction
2. Materials and Methods
2.1. Study Sample
2.2. LU performance
2.3. Ethics
2.4. Statistical Analysis
3. Results
4. Discussion
5. Conclusions
Author Contributions
Funding
Institutional Review Board Statement
Informed Consent Statement
Data Availability Statement
Conflicts of Interest
References
- Shen, K.L.; Yang, Y.H.; Jiang, R.M.; Wang, T.Y.; Zhao, D.C.; Jiang, Y.; Lu, X.X.; Jin, R.M.; Zheng, Y.J.; Xu, B.P.; et al. Updated diagnosis, treatment and prevention of COVID-19 in children: Experts’ consensus statement (condensed version of the second edition). World J. Pediatr. 2020, 16, 232–239. [Google Scholar] [CrossRef] [PubMed] [Green Version]
- Zimmermann, P.; Curtis, N. Coronavirus infections in children including COVID-19: An overview of the epidemiology, clinical features, diagnosis, treatment and prevention options in children. Pediatr. Infect. Dis. J. 2020, 39, 3553–3568. [Google Scholar] [CrossRef] [PubMed]
- Guan, W.J.; Ni, Z.Y.; Hu, Y.; Liang, W.H.; Ou, C.Q.; He, J.X.; Liu, L.; Shan, H.; Hui, D.S.C.; Du, B.; et al. Clinical Characteristics of Coronavirus Disease 2019 in China. N. Engl. J. Med. 2020, 382, 1708–1720. [Google Scholar] [CrossRef] [PubMed]
- Fang, Y.; Zhang, H.; Xu, Y.; Xie, J.; Pang, P.; Ji, W. CT manifestations of two cases of 2019 novel coronavirus (2019-nCoV) pneumonia. Radiology 2020, 295, 208–209. [Google Scholar] [CrossRef] [PubMed] [Green Version]
- Ma, H.; Hu, J.; Tian, J.; Zhou, X.; Li, H.; Laws, M.T.; Wesemann, L.D.; Zhu, B.; Chen, W.; Ramos, R.; et al. A single-center, retrospective study of COVID-19 features in children: A descriptive investigation. BMC Med. 2020, 18, 123. [Google Scholar] [CrossRef]
- American College of Radiology (ACR). Recommendations for the Use of Chest Radiography and Computed Tomography (CT) for Suspected COVID-19 Infection. Available online: www.acr.org/Advocacy-and-Economics/ACR-Position-Statements/Recommendations-for-Chest-Radiography-and-CT-for-Suspected-COVID19-Infection (accessed on 31 May 2021).
- Hong, J.Y.; Han, K.; Jung, J.H.; Kim, J.S. Association of exposure to diagnostic low-dose ionizing radiation with risk of cancer among youths in South Korea. JAMA Netw. Open 2019, 2, e1910584. [Google Scholar] [CrossRef] [Green Version]
- Feng, K.; Yun, Y.X.; Wang, X.F.; Yang, G.D.; Zheng, Y.J.; Lin, C.M.; Wang, L.F. Analysis of CT features of 15 children with 2019 novel coronavirus infection. Zhonghua Er Ke Za Zhi 2020, 58, 275–278. [Google Scholar]
- Li, K.; Wu, J.; Wu, F.; Guo, D.; Chen, L.; Fang, Z.; Li, C. The clinical and chest CT features associated with severe and critical COVID-19 pneumonia. Investig. Radiol. 2020, 55, 327–331. [Google Scholar] [CrossRef]
- Denina, M.; Scolfaro, C.; Silvestro, E.; Pruccoli, G.; Mignone, F.; Zoppo, M.; Ramenghi, U.; Garazzino, S. Lung Ultrasound in Children with COVID-19. Pediatrics 2020, 146, e20201157. [Google Scholar] [CrossRef] [Green Version]
- Dennie, C.; Hague, C.; Lim, R.S.; Manos, D.; Memauri, B.F.; Nguyen, E.T.; Taylor, J. Canadian Association of Thoracic Radiology/Canadian Association of Radiologists Consensus statement regarding chest imaging in suspected and confirmed COVID-19. Can. Assoc. Radiol. J. 2020, 71, 470–481. [Google Scholar] [CrossRef]
- Matsuoka, M.W.; da Rocha, S.M.S.; Gibelli, M.A.B.C.; Nicolau, C.M.; de Carvalho, W.B.; Suzuki, L. Use of lung ultrasound in neonates during the COVID-19 pandemic. Radiol. Bras. 2020, 53, 401–404. [Google Scholar] [CrossRef] [PubMed]
- Musolino, A.M.; Supino, M.C.; Buonsenso, D.; Ferro, V.; Valentini, P.; Magistrelli, A.; Lombardi, M.H.; Romani, L.; D’Argenio, P.; Campana, A.; et al. Lung ultrasound in children with COVID-19: Preliminary findings. Ultrasound Med. Biol. 2020, 46, 2094–2098. [Google Scholar] [CrossRef]
- Giorno, E.P.C.; De Paulis, M.; Sameshima, Y.T.; Weerdenburg, K.; Savoia, P.; Nanbu, D.; Couto, T.B.; Sa, F.V.M.; Farhat, S.C.L.; Carvalho, W.B.; et al. Point-of-care lung ultrasound imaging in pediatric COVID-19. Ultrasound J. 2020, 12, 50. [Google Scholar] [CrossRef]
- Fleming, S.; Thompson, M.; Stevens, R.; Heneghan, C.; Plüddemann, A.; Maconochie, I.; Tarassenko, L.; Mant, D. Normal ranges of heart rate and respiratory rate in children from birth to 18 years of age: A systematic review of observational studies. Lancet 2011, 377, 1011–1018. [Google Scholar] [CrossRef] [Green Version]
- Parri, N.; Magistà, A.M.; Marchetti, F.; Cantoni, B.; Arrighini, A.; Romanengo, M.; Felici, E.; Urbino, A.; Da Dalt, L.; Verdoni, L.; et al. Characteristic of COVID-19 infection in pediatric patients: Early findings from two Italian Pediatric Research Networks. Eur. J. Pediatr. 2020, 179, 1315–1323. [Google Scholar] [CrossRef] [PubMed]
- Dong, Y.; Mo, X.; Hu, Y.; Qi, X.; Jiang, F.; Jiang, Z.; Tong, S. Epidemiological characteristics of 2143 pediatric patients with 2019 coronavirus disease in China. Pediatrics 2020, 145, e20200702. [Google Scholar] [CrossRef] [Green Version]
- De Rose, C.; Inchingolo, R.; Smargiassi, A.; Zampino, G.; Valentini, P.; Buonsenso, D. How to Perform Pediatric Lung Ultrasound Examinations in the Time of COVID-19. J. Ultrasound Med. 2020, 39, 2081–2082. [Google Scholar] [CrossRef]
- Musolino, A.M.; Supino, M.C. The role of lung ultrasound in diagnosis and follow-up of children with coronavirus disease 2019. Pediatr. Crit. Care Med. 2020, 21, 783. [Google Scholar] [CrossRef]
- Soldati, G.; Smargiassi, A.; Inchingolo, R.; Buonsenso, D.; Perrone, T.; Briganti, D.F.; Perlini, S.; Torri, E.; Mariani, A.; Mossolani, E.E.; et al. Proposal for international standardization of the use of lung ultrasound for patients with COVID-19: A simple, quantitative, reproducible method. J. Ultrasound Med. 2020, 39, 1413–1419. [Google Scholar] [CrossRef] [Green Version]
- Musolino, A.M.; Supino, M.C.; Buonsenso, D.; Papa, R.E.; Chiurchiù, S.; Magistrelli, A.; Barbieri, M.A.; Raponi, M.; D’Argenio, P.; Villani, A.; et al. Lung ultrasound in the diagnosis and monitoring of 30 children with coronavirus disease 2019. Pediatr. Pulmonol. 2021, 56, 1045–1052. [Google Scholar] [CrossRef]
- Senter, R.; Capone, F.; Pasqualin, S.; Cerruti, L.; Molinari, L.; Fonte Basso, E.; Zanforlin, N.; Previato, L.; Toffolon, A.; Sensi, C.; et al. Lung ultrasound patterns and clinical-laboratory correlates during COVID-19 pneumonia: A retrospective study from North East Italy. J. Clin. Med. 2021, 10, 1288. [Google Scholar] [CrossRef] [PubMed]
- Cho, Y.J.; Song, K.H.; Lee, Y.; Yoon, J.H.; Park, J.Y.; Jung, J.; Lim, S.Y.; Lee, H.; Yoon, H.I.; Park, K.U.; et al. Lung ultrasound for early diagnosis and severity assessment of pneumonia in patients with coronavirus disease 2019. Korean J. Intern Med. 2020, 35, 771–781. [Google Scholar] [CrossRef] [PubMed]
- Zhu, F.; Zhao, X.; Wang, T.; Wang, Z.; Guo, F.; Xue, H.; Chang, P.; Liang, H.; Ni, W.; Wang, Y.; et al. Ultrasonic Characteristics and Severity Assessment of Lung Ultrasound in COVID-19 Pneumonia in Wuhan, China: A Retrospective, Observational Study. Engineering 2021, 7, 367–375. [Google Scholar] [CrossRef] [PubMed]
- Burkert, J.; Dunlop, H.; Stewart, R.; Treacy, A.; Jarman, R.; Deol, P. Lung Ultrasound Findings in COVID-19 Respiratory Disease and Correlation to Disease Severity. Available online: https://www.medrxiv.org/content/10.1101/2020.09.28.20182626v2.full.pdf (accessed on 15 September 2021).
- Lichter, Y.; Topilsky, Y.; Taieb, P.; Banai, A.; Hochstadt, A.; Merdler, I.; Gal Oz, A.; Vine, J.; Goren, O.; Cohen, B.; et al. Lung ultrasound predicts clinical course and outcomes in COVID-19 patients. Intensive Care Med. 2020, 46, 1873–1883. [Google Scholar] [CrossRef]
- Guitart, C.; Suárez, R.; Girona, M.; Bobillo-Perez, S.; Hernández, L.; Balaguer, M.; Cambra, F.J.; Jordan, I.; KIDS-Corona study group, Kids Corona Platform. Lung ultrasound findings in pediatric patients with COVID-19. Eur. J. Pediatr. 2021, 180, 1117–1123. [Google Scholar] [CrossRef]
- Saito, S.; Asai, Y.; Matsunaga, N.; Hayakawa, K.; Terada, M.; Ohtsu, H.; Tsuzuki, S.; Ohmagari, N. First and second COVID-19 waves in Japan: A comparison of disease severity and characteristics. J. Infect. 2021, 82, 84–123. [Google Scholar] [CrossRef]
- Fan, G.; Yang, Z.; Lin, Q.; Zhao, S.; Yang, L.; He, D. Decreased Case Fatality Rate of COVID-19 in the Second Wave: A study in 53 countries or regions. Transbound. Emerg. Dis. 2021, 68, 213–215. [Google Scholar] [CrossRef]
- Soriano, V.; Ganado-Pinilla, P.; Sanchez-Santos, M.; Gómez-Gallego, F.; Barreiro, P.; de Mendoza, C.; Corral, O. Main differences between the first and second waves of COVID-19 in Madrid, Spain. Int. J. Infect. Dis. 2021, 105, 374–376. [Google Scholar] [CrossRef]
- Ladhani, S.N.; Amin-Chowdhury, Z.; Davies, H.G.M.; Aiano, F.; Hayden, I.; Lacy, J. COVID-19 in children: Analysis of the first pandemic peak in England. Arch. Dis. Child 2020, 105, 1180–1185. [Google Scholar] [CrossRef]
- Swann, O.V.; Holden, K.A.; Turtle, L.; Pollock, L.; Fairfield, C.J.; Drake, T.M. Clinical characteristics of children and young people admitted to hospital with covid-19 in United Kingdom: Prospective multicentre observational cohort study. BMJ 2020, 370, m3249. [Google Scholar] [CrossRef]
- Bogiatzopoulou, A.; Mayberry, H.; Hawcutt, D.B.; Whittaker, E.; Munro, A.; Roland, D.; Simba, J.; Gale, C.; Felsenstein, S.; Abrams, E.; et al. COVID-19 in children: What did we learn from the first wave? Paediatr. Child Health 2020, 30, 438–443. [Google Scholar] [CrossRef] [PubMed]
- Götzinger, F.; Santiago-García, B.; Noguera-Julián, A.; Lanaspa, M.; Lancella, L.; Calò Carducci, F.I.; Gabrovska, N.; Velizarova, S.; Prunk, P.; Osterman, V.; et al. COVID-19 in children and adolescents in Europe: A multinational, multicentre cohort study. Lancet Child Adolesc. Health 2020, 4, 653–661. [Google Scholar] [CrossRef]
- Swann, O.V.; Pollock, L.; Holden, K.A.; Munro, P.S.A.; Bennett, A.; Williams, T.C.; Turtle, L.; Fairfield, C.J.; Drake, T.M.; Faust, S.N.; et al. Comparison of Children and Young People Admitted with SARS-CoV-2 across the UK in the First and Second Pandemic Waves: Prospective Multicenter Observational Cohort Study. Available online: https://www.medrxiv.org/content/10.1101/2021.09.14.21263567v1 (accessed on 15 October 2021).
- Velavan, T.P.; Meyer, C.G. Mild versus severe COVID-19: Laboratory markers. Int. J. Infect. Dis. 2020, 95, 304–307. [Google Scholar] [CrossRef] [PubMed]
- Henry, B.M.; Benoit, S.W.M.; de Oliveira, M.H.S.; Hsieh, W.C.; Benoit, J. Laboratory abnormalities in children with mild and severe coronavirus disease 2019 (COVID-19): Laboratory abnormalities in children with mild and severe coronavirus disease 2019 (COVID-19): A pooled analysis and review. Clin. Biochem. 2020, 81, 1–8. [Google Scholar] [CrossRef] [PubMed]
- Henry, B.M.; Lippi, G.; Plebani, M. Laboratory abnormalities in children with novel coronavirus disease 2019. Clin. Chem. Lab. Med. 2020, 58, 1135–1138. [Google Scholar] [CrossRef] [Green Version]
- Tjendra, Y.; Al Mana, A.F.M.; Espejo, A.P.; Akgun, Y.; Millan, N.C.; Gomez-Fernandez, C.; Cray, C. Predicting Disease Severity and Outcome in COVID-19 Patients: A Review of Multiple Biomarkers. Arch. Pathol. Lab. Med. 2020, 144, 1465–1474. [Google Scholar] [CrossRef]
- Cheng, L.; Li, H.; Li, L.; Liu, C.; Yan, S.; Chen, H.; Li, Y. Ferritin in the coronavirus disease 2019 (COVID-19): A systematic review and meta-analysis. J. Clin. Lab. Anal. 2020, 34, e23618. [Google Scholar] [CrossRef]



Asymptomatic: All the following must be present
|
Mild: Any of the following (AND absence of criteria for more severe cases)
|
Moderate: All the following (AND absence of criteria for more severe cases)
|
Severe: Any of the following (AND absence of criteria as for critical case)
|
Critical: Any of the following
|
| Characteristics | First COVID-19 Period n = 28 | Second COVID-19 Period n = 28 | p Value |
|---|---|---|---|
| Sex, n (%) Female Male | 13 (46.43) 15 (53.57) | 9 (32.14) 19 (67.86) | 0.2 |
| Age (months), median (IQR) | 113.5 (73.5–165.5) | 168.5 (47.5–204.5) | 0.08 |
| Underlying disease, n (%) | 5 (17.86) | 12(42.86) | 0.042 |
| Fever, n (%) | 17 (60.71) | 19 (67.86) | 0.57 |
| Respiratory symptoms, n (%) | 11 (39.29) | 16 (57.14) | 0.28 |
| Other symptoms, n (%) | 13 (46.43) | 16 (57.14) | 0.46 |
| Respiratory distress, n (%) | 4 (14.29) | 4 (14.29) | 1 |
| SpO2 at admission, median (IQR) | 99 (98–99) | 98 (96–98) | 0.26 |
| RR age percentile at admission, median (IQR) | 50 (10–50) | 50 (10–50) | 1 |
| Oxygen need, n (%) | 0 | 3 (10.71) | 0.118 |
| Intensive recovery need, n (%) | 2 (7.14) | 4 (14.29) | 0.33 |
| Disease severity score, median (IQR) | 0 (0–1) | 2 (0–2) | 0.015 |
| CRP (mg/dL), median (IQR) | 0.075 (0.04–0.22) | 0.185 (0.035–0.72) | 0.36 |
| White cell count (×103/L), median (IQR) | 5505 (4465–8460) | 6254.5 (4370–9080) | 0.8 |
| Ferritin (ng/mL), median (IQR) | 74 (40–112) | 173.5 (83.5–570) | 0.007 |
| Neutrophils (×103/L), median (IQR) | 2260 (1890–3825) | 2810 (1980–5710) | 0.18 |
| Lymphocytes (×103/L), median (IQR) | 2280.5 (1870–3930) | 1470 (835–2490) | 0.01 |
| Platelets (103/L), median (IQR) | 253,500 (220,500–306,500) | 217,000 (145,500–260,500) | 0.012 |
| Hemoglobin (g/dL), median (IQR) | 13 (12.2–13.8) | 13.25 (11.7–14.85) | 0.30 |
| INR, median (IQR) | 1 (0.95–1.06) | 1.105 (1.02–1.17) | 0.004 |
| PTT sec, median (IQR) | 30.95 (27.7–32.6) | 31.2 (28.4–34) | 0.96 |
| Fibrinogen (mg/dL), median (IQR) | 309.5 (261–376) | 309 (237–358) | 0.95 |
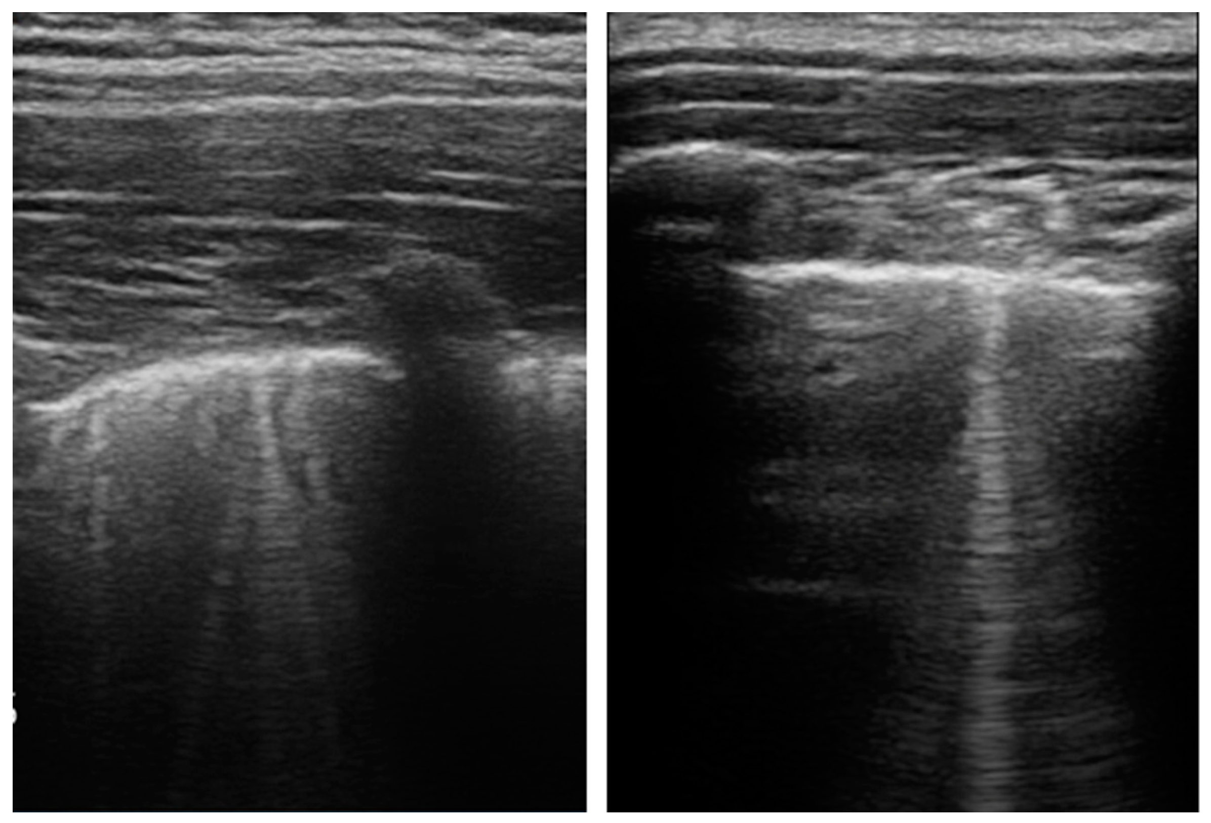
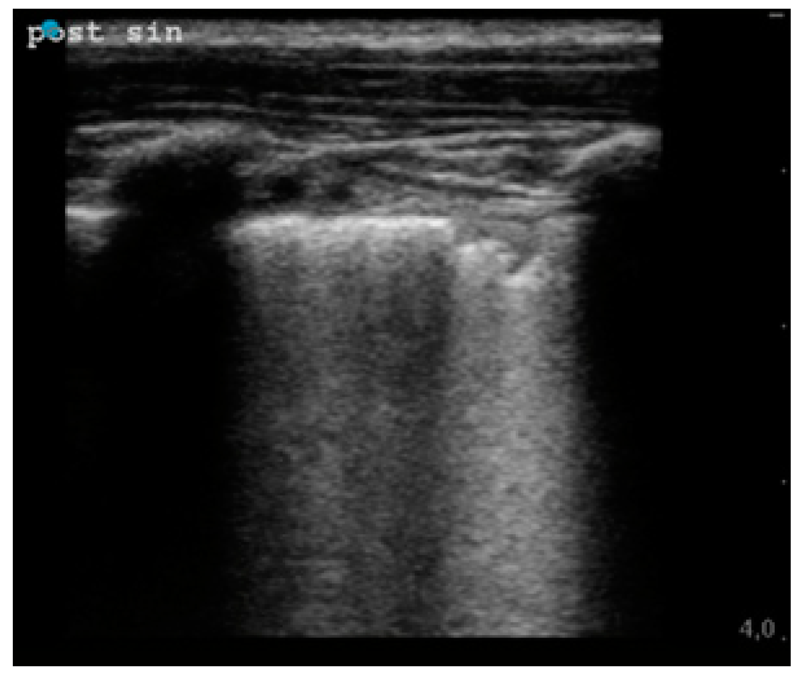
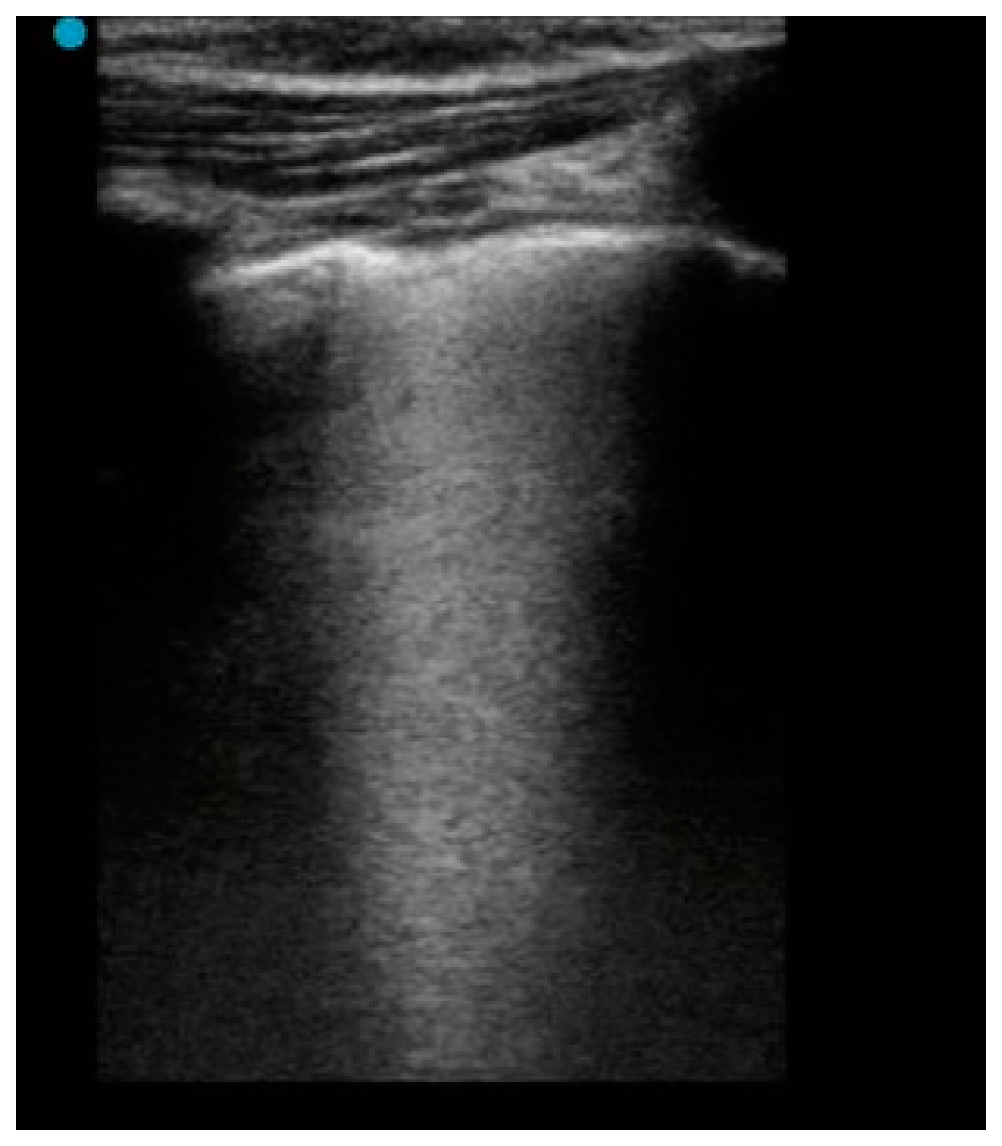
| Irregular pleural line, n (%) | 17 (60.71) | 24 (85.71) | 0.035 |
| Irregularity pleural line in multiple segments, n (%) | 13 (46.43) | 9 (32.14) | 0.27 |
| Bilateral location of irregularity pleural line, n (%) | 8 (28.57) | 11 (39.29) | 0.39 |
| B-Lines, n (%) | 15 (60.00) | 25 (89.29) | 0.003 |
| B-Lines in multiple segments, n (%) | 6 (21.43) | 6 (21.43) | 1 |
| Bilateral location of B-Lines, n (%) | 4 (14.29) | 10 (35.71) | 0.06 |
| Several, non-coalescent B-Lines, n (%) | 3 (10.71) | 13 (46.43) | 0.003 |
| Several, coalescent B-Lines (white lung), n (%) | 2 (7.14) | 7 (25.00) | 0.07 |
| Sub-pleural consolidation, n (%) | 2 (7.14) | 8 (28.57) | 0.04 |
| Pleural effusion, n (%) | 3 (10.71) | 2 (7.14) | 0.63 |
| Pneumothorax, n (%) | 0 | 3 (10.7) | 0.12 |
| LUS score, median (IQR) | 0 (0–3) | 2 (1–4) | 0.011 |
| Characteristic | Lung Ultrasound Severity (LUS) Score | |
|---|---|---|
| Correlation Coefficient (r) | p Value | |
| Age (months) | 0.22 | 0.18 |
| SpO2, at admission | −0.43 | 0.01 |
| RR age percentile, at admission | 0.23 | 0.17 |
| Disease Severity Score (DSS) | 0.51 | <0.001 |
| CRP (mg/dL) | 0.04 | 0.82 |
| White cell count (×103/L) | −0.24 | 0.15 |
| Neutrophils (×103/L) | −0.07 | 0.63 |
| Lymphocytes (×103/L) | −0.22 | 0.19 |
| Ferritin (ng/mL) | 0.09 | 0.58 |
| Platelets (103/L) | −0.12 | 0.49 |
| Hemoglobin (g/dL) | −0.03 | 0.86 |
| INR | −0.08 | 0.65 |
| PTT sec | −0.32 | 0.05 |
| Fibrinogen (mg/dL) | 0.06 | 0.75 |
| Characteristic | Disease Severity Score (DSS) | |
|---|---|---|
| Correlation Coefficient (r) | p Value | |
| Age (months) | 0.35 | 0.03 |
| SpO2, at admission | −0.52 | 0.0008 |
| RR age percentile, at admission | 0.44 | 0.006 |
| Lung Ultrasoud Severity (LUS) Score | 0.51 | <0.001 |
| CRP (mg/dL) | 0.18 | 0.29 |
| White cell count (×103/L) | 0.08 | 0.64 |
| Neutrophils (×103/L) | 0.25 | 0.14 |
| Lymphocytes (×103/L) | −0.22 | 0.18 |
| Ferritin (ng/mL) | 0.19 | 0.26 |
| Platelets (103/L) | −0.2 | 0.24 |
| Hemoglobin (g/dL) | 0.09 | 0.59 |
| INR | −0.16 | 0.33 |
| PTT sec | −0.28 | 0.09 |
| Fibrinogen (mg/dL) | 0.13 | 0.45 |
Publisher’s Note: MDPI stays neutral with regard to jurisdictional claims in published maps and institutional affiliations. |
© 2022 by the authors. Licensee MDPI, Basel, Switzerland. This article is an open access article distributed under the terms and conditions of the Creative Commons Attribution (CC BY) license (https://creativecommons.org/licenses/by/4.0/).
Share and Cite
Musolino, A.M.; Ferro, V.; Supino, M.C.; Boccuzzi, E.; Scateni, S.; Sinibaldi, S.; Cursi, L.; Schingo, P.M.S.; Reale, A.; Campana, A.; et al. One Year of Lung Ultrasound in Children with SARS-CoV-2 Admitted to a Tertiary Referral Children’s Hospital: A Retrospective Study during 2020–2021. Children 2022, 9, 761. https://doi.org/10.3390/children9050761
Musolino AM, Ferro V, Supino MC, Boccuzzi E, Scateni S, Sinibaldi S, Cursi L, Schingo PMS, Reale A, Campana A, et al. One Year of Lung Ultrasound in Children with SARS-CoV-2 Admitted to a Tertiary Referral Children’s Hospital: A Retrospective Study during 2020–2021. Children. 2022; 9(5):761. https://doi.org/10.3390/children9050761
Chicago/Turabian StyleMusolino, Anna Maria, Valentina Ferro, Maria Chiara Supino, Elena Boccuzzi, Simona Scateni, Serena Sinibaldi, Laura Cursi, Paolo Maria Salvatore Schingo, Antonino Reale, Andrea Campana, and et al. 2022. "One Year of Lung Ultrasound in Children with SARS-CoV-2 Admitted to a Tertiary Referral Children’s Hospital: A Retrospective Study during 2020–2021" Children 9, no. 5: 761. https://doi.org/10.3390/children9050761
APA StyleMusolino, A. M., Ferro, V., Supino, M. C., Boccuzzi, E., Scateni, S., Sinibaldi, S., Cursi, L., Schingo, P. M. S., Reale, A., Campana, A., Raponi, M., Villani, A., & Tomà, P. (2022). One Year of Lung Ultrasound in Children with SARS-CoV-2 Admitted to a Tertiary Referral Children’s Hospital: A Retrospective Study during 2020–2021. Children, 9(5), 761. https://doi.org/10.3390/children9050761

