Hypertriglyceridemia Induced Acute Pancreatitis Caused by a Novel LIPC Gene Variant in a Pediatric Patient
Abstract
1. Introduction
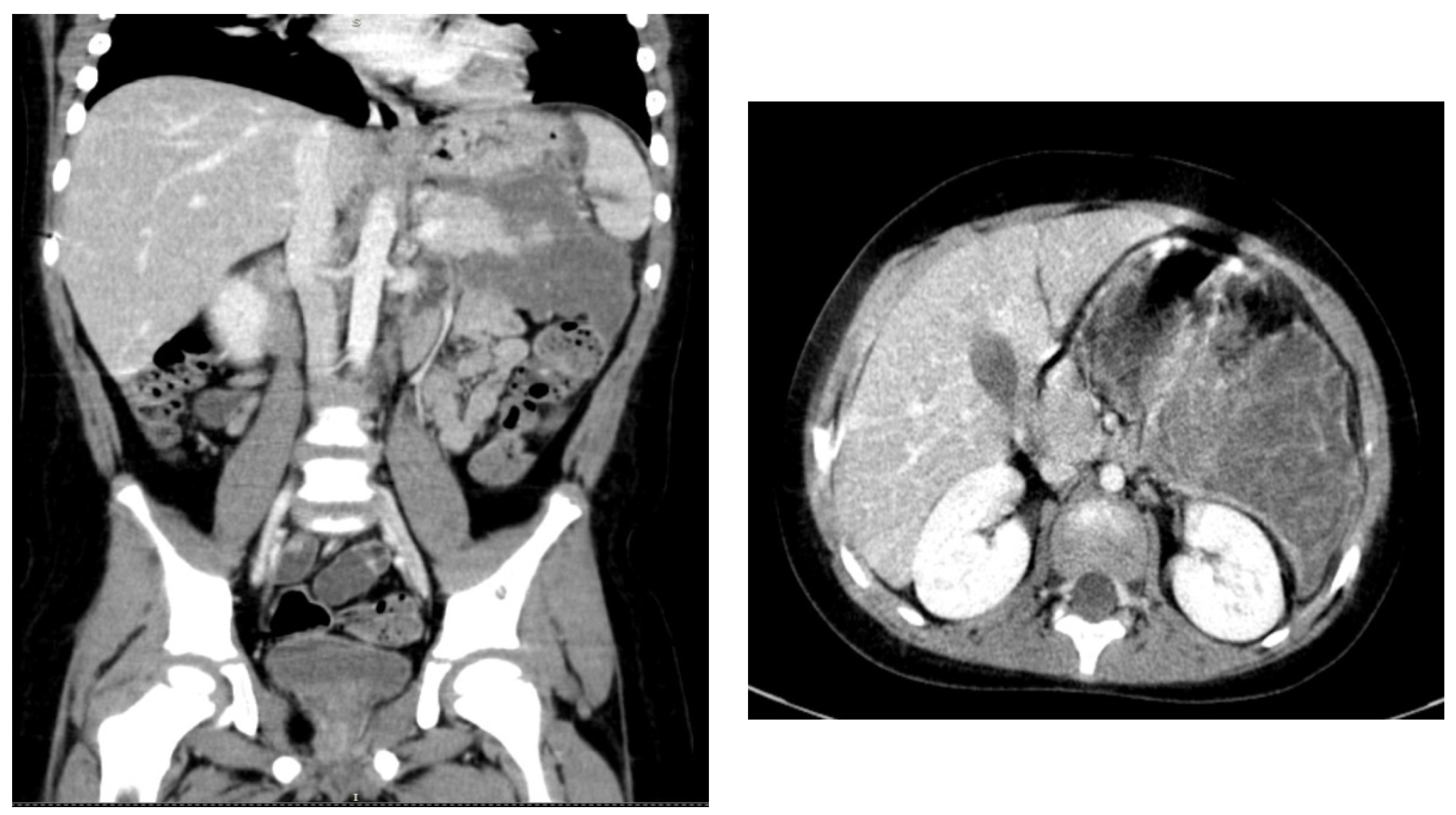
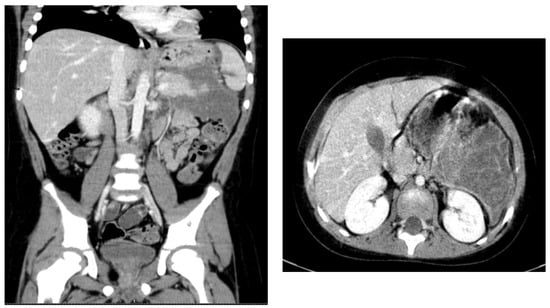
2. Case Report
3. Discussion
4. Conclusions
Author Contributions
Funding
Institutional Review Board Statement
Informed Consent Statement
Data Availability Statement
Conflicts of Interest
References
- Shah, A.S.; Wilson, D.P. Primary hypertriglyceridemia in children and adolescents. J. Clin. Lipidol. 2015, 9, S20–S28. [Google Scholar] [CrossRef] [PubMed]
- Ippisch, H.M.; Alfaro-Cruz, L.; Fei, L.; Zou, Y.; Thompson, T.; Abu-El-Haija, M. Hypertriglyceridemia Induced Pancreatitis: Inpatient Management at a Single Pediatric Institution. Pancreas 2020, 49, 429–434. [Google Scholar] [CrossRef] [PubMed]
- Ruel, I.L.; Couture, P.; Gagné, C.; Deshaies, Y.; Simard, J.; Hegele, R.A.; Lamarche, B. Characterization of a novel mutation causing hepatic lipase deficiency among French Canadians. J. Lipid Res. 2003, 44, 1508–1514. [Google Scholar] [CrossRef] [PubMed]
- Ruel, I.L.; Couture, P.; Cohn, J.S.; Bensadoun, A.; Marcil, M.; Lamarche, B. Evidence that hepatic lipase deficiency in humans is not associated with proatherogenic changes in HDL composition and metabolism. J Lipid Res. 2004, 45, 1528–1537. [Google Scholar] [CrossRef]
- Murtomäki, S.; Tahvanainen, E.; Antikainen, M.; Tiret, L.; Nicaud, V.; Jansen, H.; Ehnholm, C. Hepatic lipase gene polymorphisms influence plasma HDL levels: Results from Finnish EARS participants. Arterioscler. Thromb. Vasc. Biol. 1997, 17, 1879–1884. [Google Scholar] [CrossRef]
- Morinville, V.D.; Barmada, M.M.; Lowe, M.E. Increasing incidence of acute pancreatitis at an American pediatric tertiary care center: Is greater awareness among physicians responsible? Pancreas 2010, 39, 5–8. [Google Scholar] [CrossRef]
- Majbar, A.A.; Cusick, E.; Johnson, P.; Lynn, R.M.; Hunt, L.P.; Shield, J.P.H. Incidence and Clinical Associations of Childhood Acute Pancreatitis. Pediatrics 2016, 138, e20161198. [Google Scholar] [CrossRef]
- Gilbert, B.; Rouis, M.; Griglio, S.; de Lumley, L.; Laplaud, P. Lipoprotein lipase (LPL) deficiency: A new patient homozygote for the preponderant mutation Gly188Glu in the human LPL gene and review of reported mutations: 75% are clustered in exons 5 and 6. Ann. Genet. 2001, 44, 25–32. [Google Scholar] [CrossRef]
- Scherer, J.; Singh, V.P.; Pitchumoni, C.S.; Yadav, D. Issues in hypertriglyceridemic pancreatitis: An update. J. Clin. Gastroenterol. 2014, 48, 195–203. [Google Scholar] [CrossRef]
- Werlin, S.L.; Kungathasan, S.; Frautschy, B.C. Pancreatitis in children. J. Pediatr. Gastroenterol. Nutr. 2003, 37, 591–595. [Google Scholar] [CrossRef]
- Huff, M.W.; Sawyez, C.G.; Connelly, P.W.; Maguire, G.F.; Little, J.A.; Hegele, R.A. β-VLDL in hepatic lipase deficiency induces apoE-mediated cholesterol ester accumulation in macrophages. Arterioscler. Thromb. 1993, 13, 1282–1290. [Google Scholar] [CrossRef]
- Oliva, C.P.; Pisciotta, L.; Volti, G.L.; Sambataro, M.P.; Cantafora, A.; Bellocchio, A.; Catapano, A.L.; Tarugi, P.; Bertolini, S.; Calandra, S. Inherited apolipoprotein A-V deficiency in severe hypertriglyceridemia. Arterioscler. Thromb. Vasc. Biol. 2005, 25, 411–417. [Google Scholar] [CrossRef]
- Buonuomo, P.S.; Rabacchi, C.; Macchiaiolo, M.; Trenti, C.; Fasano, T.; Tarugi, P.; Bartuli, A.; Bertolini, S.; Calandra, S. Incidental finding of severe hypertriglyceridemia in children. Role of multiple rare variants in genes affecting plasma triglyceride. J. Clin. Lipidol. 2017, 11, 1329–1337.e3. [Google Scholar] [CrossRef]
- Connelly, P.W.; Ranganathan, S.; Maguire, G.F.; Lee, M.; Myher, J.J.; Kottke, B.A.; Kuksis, A.; Little, J.A. The β very low density lipoprotein present in hepatic lipase deficiency competitively inhibits low density lipoprotein binding fibroblasts and stimulates fibroblast acyl-Coa:cholesterol acyltransferase. J. Biol. Chem. 1988, 263, 14184–14188. [Google Scholar] [CrossRef]
- Huttunen, J.K.; Ehnholm, C.; Kekki, M.; Nikkilä, E.A. Post-heparin plasma lipoprotein lipase and hepatic lipase in normal subjects and in patients with hypertriglyceridaemia: Correlations to sex, age and various parameters of triglyceride metabolism. Clin. Sci. Mol. Med. 1976, 50, 249–260. [Google Scholar] [CrossRef]
- Perret, B.; Mabile, L.; Martinez, L.; Tercé, F.; Barbaras, R.; Collet, X. Hepatic lipase: Structure/function relationship, synthesis, and regulation. J. Lipid Res. 2002, 43, 1163–1169. [Google Scholar] [CrossRef]
- Pirim, D.; Bunker, C.H.; Hokanson, J.E.; Hamman, R.F.; Demirci, F.Y.; Kamboh, M.I. Hepatic lipase (LIPC) sequencing in individuals with extremely high and low high-density lipoprotein cholesterol levels. PLoS ONE 2020, 15, e0243919. [Google Scholar] [CrossRef]
- Hide, W.A.; Chan, L.; Li, W.H. Structure and evolution of the lipase superfamily. J. Lipid Res. 1992, 33, 167–178. [Google Scholar] [CrossRef]
- Sparkes, R.S.; Zollman, S.; Klisak, I.; Kirchgessner, T.G.; Komaromy, M.C.; Mohandas, T.; Schotz, M.C.; Lusis, A.J. Human genes involved in lipolysis of plasma lipoproteins: Mapping of loci for lipoprotein lipase to 8p22 and hepatic lipase to 15q21. Genomics 1987, 1, 138–144. [Google Scholar] [CrossRef]
- Jansen, H.; Verhoeven, A.J.M.; Sijbrands, E.J.G. Hepatic lipase: A pro- or anti-atherogenic protein? J. Lipid Res. 2002, 43, 1352–1362. [Google Scholar] [CrossRef]
- Datta, S.; Luo, C.C.; Li, W.H.; Vantuinen, P.; Ledbetter, D.H.; Brown, M.A.; Chen, S.H.; Liu, S.W.; Chan, L. Human hepatic lipase. Cloned cDNA sequence, restriction fragment length polymorphisms, chromosomal localization, and evolutionary relationships with lipoprotein lipase and pancreatic lipase. J. Biol. Chem. 1988, 263, 1107–1110. [Google Scholar] [CrossRef]
- Tahvanainen, E.; Syvänne, M.; Frick, M.H.; Murtomäki-Repo, S.; Antikainen, M.; Kesäniemi, Y.A.; Kauma, H.; Pasternak, A.; Taskinen, M.R.; Ehnholm, C. Association of variation in hepatic lipase activity with promoter variation in the hepatic lipase gene. J. Clin. Investig. 1998, 101, 956–960. [Google Scholar] [CrossRef] [PubMed]
- Deeb, S.S.; Zambon, A.; Carr, M.C.; Ayyobi, A.F.; Brunzell, J.D. Hepatic lipase and dyslipidemia: Interactions among genetic variants, obesity, gender, and diet. J. Lipid Res. 2003, 44, 1279–1286. [Google Scholar] [CrossRef] [PubMed]
- Vega, G.L.; Gao, J.; Bersot, T.P.; Mahley, R.W.; Verstraete, R.; Grundy, S.M.; White, A.; Cohen, J.C. The -514 polymorphism in the hepatic lipase gene (LIPC) does not influence androgen-mediated stimulation of hepatic lipase activity. J. Lipid Res. 1998, 39, 1520–1524. [Google Scholar] [CrossRef]
- Variations for Hepatic Lipase Deficiency. 2022. Available online: https://www.malacards.org/card/hepatic_lipase_deficiency?limit[ClinVarVariations]=58#sources (accessed on 7 December 2021).
- Hegele, R.A.; Tu, L.; Connelly, P.W. Human hepatic lipase mutations and polymorphisms. Hum. Mutat. 1992, 1, 320–324. [Google Scholar] [CrossRef] [PubMed]
- Knudsen, P.; Antikainen, M.; Ehnholm, S.; Uusi-Oukari, M.; Tenkanen, H.; Lahdenperä, S.; Kahri, J.; Tilly-Kiesi, M.; Bensadoun, A.; Taskinen, M.R.; et al. A compound heterozygote for hepatic lipase gene mutations Leu334 → Phe and Thr383 → Met: Correlation between hepatic lipase activity and phenotypic expression. J. Lipid Res. 1996, 37, 825–834. [Google Scholar] [CrossRef]
- Knudsen, P.; Antikainen, M.; Uusi-Oukari, M.; Ehnholm, S.; Lahdenperä, S.; Bensadoun, A.; Funke, H.; Wiebusch, H.; Ass-mann, G.; Taskinen, M.-R.; et al. Heterozygous hepatic lipase deficiency, due to two missense mutations R186H and L334F, in the HL gene. Atherosclerosis 1997, 128, 165–174. [Google Scholar] [CrossRef]
- Al Riyami, N.; Al-Ali, A.M.; Al-Sarraf, A.J.; Hill, J.; Sachs-Barrable, K.; Hegele, R.; Wasan, K.M.; Frohlich, J. Hepatic lipase deficiency in a Middle-Eastern-Arabic male. BMJ Case Rep. 2010, 2010, 2009–2011. [Google Scholar] [CrossRef]
- Durstenfeld, A.; Ben-zeev, O.; Reue, K.; Stahnke, G.; Doolittle, M.H. Molecular Characterization of Human Hepatic Lipase Deficiency. In vitro expression of two naturally occurring mutations. Arterioscler. Thromb. J. Vasc. Biol. 1994, 14, 381–385. [Google Scholar] [CrossRef][Green Version]
- Hegele, R.A. The molecular basis of hepatic lipase deficiency. CMAJ 1991, 145, 1277. [Google Scholar]
- Breckenridge, W.; Little, J.; Alaupovic, P.; Wang, C.; Kuksis, A.; Kakis, G.; Lindgren, F.; Gardiner, G. Lipoprotein abnormalities associated with a familial deficiency of hepatic lipase. Atherosclerosis 1982, 45, 161–179. [Google Scholar] [CrossRef]
- Carlson, L.A.; Holmquist, L.; Nilsson-Ehle, P. Deficiency of Hepatic Lipase Activity in Post-heparin Plasma in Familial Hyper-α-Triglyceridemia. Acta Med. Scand. 1986, 219, 435–447. [Google Scholar] [CrossRef]
- Auwerx, J.H.; Marzetta, C.A.; Hokanson, J.E.; Brunzell, J.D. Large buoyant LDL-like particles in hepatic lipase deficiency. Arteriosclerosis 1989, 9, 319–325. [Google Scholar] [CrossRef]
- Sheriff, D.S.; El Fakhri, M.; Ghwarsha, K. Libyan family with hypercholesterolemia and increased high-density lipoprotein cholesterol in plasma. Clin. Chem. 1994, 40, 2313–2316. [Google Scholar] [CrossRef]
- Kobayashi, J.; Miyashita, K.; Nakajima, K.; Mabuchi, H. Hepatic Lipase: A Comprehensive View of its Role on Plasma Lipid and Lipoprotein Metabolism. J. Atheroscler. Thromb. 2015, 22, 1001–1011. [Google Scholar] [CrossRef]
- Brand, K.; Dugi, K.A.; Brunzell, J.D.; Nevin, D.N.; Santamarina-Fojo, S. A novel A → G mutation in intron I of the hepatic lipase gene leads to alternative splicing resulting in enzyme deficiency. J. Lipid Res. 1996, 37, 1213–1223. [Google Scholar] [CrossRef]

| ABCA1 | LCAT |
|---|---|
| ABCG5 | LDLR |
| ABCG8 | LDLRAP1 |
| ANGPTL3 | LIPA |
| APOA1 | LIPC |
| APOA4 | LIPG |
| APOA5 | LIPI |
| APOB | LMF1 |
| APOC2 | LPL |
| APOC3 | LRP6 |
| CETP | MTTP |
| CREB3L3 | MYLIP |
| CYP27A1 | PCSK9 |
| CYP7A1 | PLTP |
| GALNT2 | PNPLA2 |
| GCKR | SAR1B |
| GPD1 | SCARB1 |
| GIPHBP1 | ZHX3 |
| Nr. | Name | Significance |
|---|---|---|
| 1 | NM_000236.3 (LIPC): c.583G > A (p.Ala195Thr) | Pathogenic |
| 2 | L334F | Pathogenic |
| 3 | NM_000236.3 (LIPC): c.1214C > T (p.Thr405Met) | Uncertain significance |
| 4 | NM_000236.3 (LIPC): c.1226A > C (p.Asp409Ala) | Uncertain significance |
| 5 | NM_000236.3 (LIPC): c.787A > G (p.Ile263Val) | Uncertain significance |
| 6 | NM_000236.3 (LIPC): c.738_739dup (p.Gly247fs) | Uncertain significance |
| 7 | NM_000236.3 (LIPC): c.866C > T (p.Ser289Phe) | Uncertain significance |
| 8 | NM_000236.3 (LIPC): c.986G > A (p.Arg329His) | Uncertain significance |
| 9 | NM_000236.3 (LIPC): c.67C > T (p.Leu23Phe) | Uncertain significance |
| 10 | NM_000236.3 (LIPC): c.88 + 5G > C | Uncertain significance |
| 11 | NM_000236.3 (LIPC): c.132G > A (p.Thr44=) | Uncertain significance |
| 12 | NM_000236.3 (LIPC): c.207G > A (p.Pro69=) | Uncertain significance |
| 13 | NM_000236.3 (LIPC): c.314C > T (p.Ala105Val) | Uncertain significance |
| 14 | NM_000236.3 (LIPC): c.403C > T (p.Arg135Cys) | Uncertain significance |
| 15 | NM_000236.3 (LIPC): c.456 + 5C > T | Uncertain significance |
| 16 | NM_000236.3 (LIPC): c.1170G > A (p.Leu390=) | Uncertain significance |
| 17 | NM_000236.3 (LIPC): c.1215G > T (p.Thr405=) | Uncertain significance |
| 18 | NM_000236.3 (LIPC): c.1232G > T (p.Gly411Val) | Uncertain significance |
| 19 | NM_000236.3 (LIPC): c.867C > T (p.Ser289=) | Uncertain significance |
| 20 | NM_000236.3 (LIPC): c.1052-13TC [6] | Uncertain significance |
| 21 | NM_000236.3 (LIPC): c.1231G > A (p.Gly411Ser) | Uncertain significance |
| 22 | NM_000236.3 (LIPC): c.316G > A (p.Ala106Thr) | Uncertain significance |
| 23 | NM_000236.3 (LIPC): c.206C > T (p.Pro69Leu) | Uncertain significance |
| 24 | NM_000236.3 (LIPC): c.1430G > A (p.Arg477His) | Uncertain significance |
| 25 | NM_000236.3 (LIPC): c.588G > A (p.Ala196=) | Uncertain significance |
| 26 | NM_000236.3 (LIPC): c.317C > T (p.Ala106Val) | Uncertain significance |
| 27 | NM_000236.3 (LIPC): c.1169 + 11G > A | Uncertain significance |
| 28 | NM_000236.3 (LIPC): c.998G > A (p.Arg333Gln) | Uncertain significance |
| 29 | NM_000236.3 (LIPC): c.739G > A (p.Gly247Arg) | Uncertain significance |
| 30 | NM_000236.3 (LIPC): c.1341C > T (p.Gly447=) | Uncertain significance |
| 31 | NM_000236.3 (LIPC): c.461C > A (p.Ser154Tyr) | Uncertain significance |
| 32 | NM_000236.3 (LIPC): c.575-5A > G | Uncertain significance |
| 33 | NM_000236.3 (LIPC): c.1203C > T (p.Ser401=) | Uncertain significance |
| 34 | NM_000236.3 (LIPC): c.1388 + 13T > G | Uncertain significance |
| 35 | NM_000236.3 (LIPC): c.1415A > T (p.Asp472Val) | Uncertain significance |
| 36 | NM_000236.3 (LIPC): c.1421T > C (p.Leu474Pro) | Uncertain significance |
| 37 | NM_000236.3 (LIPC): c.829T > C (p.Cys277Arg) | Uncertain significance |
| 38 | NM_000236.3 (LIPC): c.1273G > C (p.Val425Leu) | Uncertain significance |
| 39 | NM_000236.3 (LIPC): c.947G > T (p.Cys316Phe) | Uncertain significance |
| 40 | NM_000236.3 (LIPC): c.981C > T (p.His327=) | Likely benign |
| 41 | NM_000236.3 (LIPC): c.1314A > G (p.Pro438=) | Likely benign |
| 42 | NM_000236.3 (LIPC): c.575-15C > T | Likely benign |
| 43 | NM_000236.3 (LIPC): c.1233C > T (p.Gly411=) | Likely benign |
| 44 | NM_000236.3 (LIPC): c.1052-10C > G | Likely benign |
| 45 | NM_000236.3 (LIPC): c.213G > A (p.Thr71=) | Likely benign |
| 46 | NM_000236.3 (LIPC): c.1029G > A (p.Thr343=) | Likely benign |
| 47 | NM_000236.3 (LIPC): c.1064A > G (p.Gln355Arg) | Benign |
| 48 | NM_000236.3 (LIPC): c.1098A > G (p.Thr366=) | Benign |
| 49 | NM_000236.3 (LIPC): c.644A > G (p.Asn215Ser) | Benign |
| 50 | NM_000236.3 (LIPC): c.264C > T (p.His88=) | Benign |
| 51 | NM_000236.3 (LIPC): c.591A > G (p.Gly197=) | Benign |
| 52 | NM_000236.3 (LIPC): c.1437C > A (p.Thr479=) | Benign |
| 53 | NM_000236.3 (LIPC): c.672C > G (p.Thr224=) | Benign |
| 54 | NM_000236.3 (LIPC): c.465G > T (p.Val155=) | Benign |
| 55 | NM_000236.3 (LIPC): c.575-8C > A | Benign |
| 56 | NM_000236.3 (LIPC): c.1068C > A (p.Phe356Leu) | Benign |
| 57 | NM_000236.3 (LIPC): c.283G > A (p.Val95Met) | Benign |
| 58 | NM_000236.3 (LIPC): c.837C > T (p.His279=) | Benign |
Publisher’s Note: MDPI stays neutral with regard to jurisdictional claims in published maps and institutional affiliations. |
© 2022 by the authors. Licensee MDPI, Basel, Switzerland. This article is an open access article distributed under the terms and conditions of the Creative Commons Attribution (CC BY) license (https://creativecommons.org/licenses/by/4.0/).
Share and Cite
Balanescu, L.; Cardoneanu, A.; Stanciu, G.; Balanescu, R.; Minulescu, C.; Pacurar, D.; Moga, A. Hypertriglyceridemia Induced Acute Pancreatitis Caused by a Novel LIPC Gene Variant in a Pediatric Patient. Children 2022, 9, 188. https://doi.org/10.3390/children9020188
Balanescu L, Cardoneanu A, Stanciu G, Balanescu R, Minulescu C, Pacurar D, Moga A. Hypertriglyceridemia Induced Acute Pancreatitis Caused by a Novel LIPC Gene Variant in a Pediatric Patient. Children. 2022; 9(2):188. https://doi.org/10.3390/children9020188
Chicago/Turabian StyleBalanescu, Laura, Ancuta Cardoneanu, Gabriel Stanciu, Radu Balanescu, Cristian Minulescu, Daniela Pacurar, and Andreea Moga. 2022. "Hypertriglyceridemia Induced Acute Pancreatitis Caused by a Novel LIPC Gene Variant in a Pediatric Patient" Children 9, no. 2: 188. https://doi.org/10.3390/children9020188
APA StyleBalanescu, L., Cardoneanu, A., Stanciu, G., Balanescu, R., Minulescu, C., Pacurar, D., & Moga, A. (2022). Hypertriglyceridemia Induced Acute Pancreatitis Caused by a Novel LIPC Gene Variant in a Pediatric Patient. Children, 9(2), 188. https://doi.org/10.3390/children9020188

