Lung Ultrasound and Neutrophil Lymphocyte Ratio in Early Diagnosis and Differentiation between Viral and Bacterial Pneumonia in Young Children
Abstract
1. Introduction
2. Material and Methods
2.1. Patient’s Characteristics
2.2. CXR Examination
2.3. LUS Examination
2.4. Statistical Analysis
3. Results
3.1. Patient Characteristics
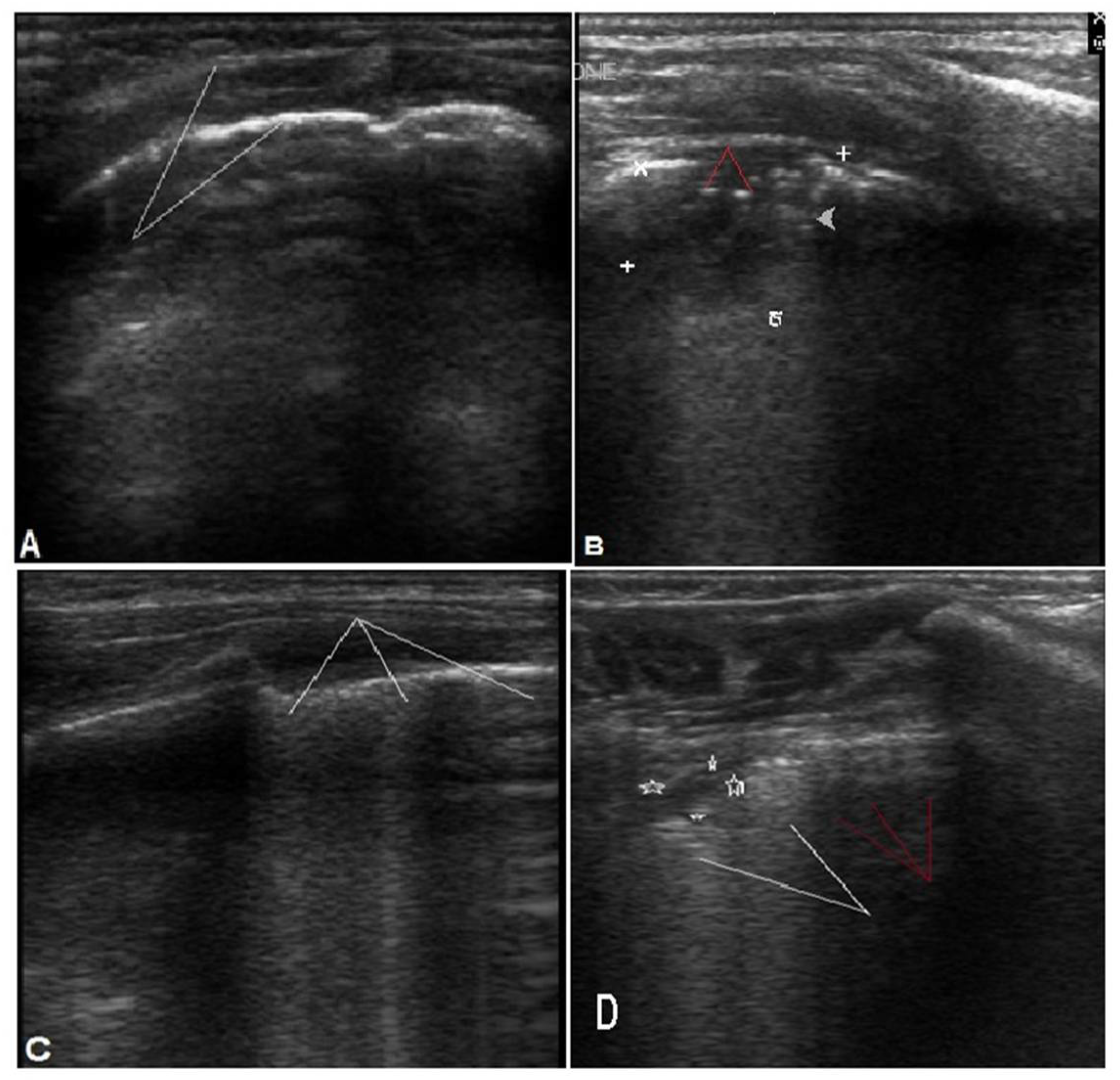
3.2. CXR and LUS Findings
3.3. Pneumonic Patch Site and Size and CXR Findings
3.4. Diagnostic Performances of LUS, CXR and NLR
3.5. Sensitivity, Specificity, PPV and NPV for Each CXR and LUS Findings
4. Discussion
5. Conclusions
Author Contributions
Funding
Institutional Review Board Statement
Informed Consent Statement
Data Availability Statement
Conflicts of Interest
References
- Liu, L.; Oza, S.; Hogan, D.; Perin, J.; Rudan, I.; Lawn, J.E.; Cousens, S.; Mathers, C.; Black, R.E. Global, regional, and national causes of child mortality in 2000-13, with projections to inform post-2015 priorities: An updated systematic analysis. Lancet 2015, 31, 430–440. [Google Scholar] [CrossRef]
- Virkki, R.; Juven, T.; Rikalainen, H.; Svedström, E.; Mertsola, J.; Ruuskanen, O. Differentiation of bacterial and viral pneumonia in children. Thorax. 2002, 57, 438–441. [Google Scholar] [CrossRef] [PubMed]
- Isaacs, D. Problems in determining the etiology of community-acquired childhood pneumonia. Pediatr. Infect. Dis. J. 1989, 8, 143–148. [Google Scholar] [PubMed]
- Courtoy, I.; Lande, A.E.; Turner, R.B. Accuracy of radiographic differentiation of bacterial from nonbacterial pneumonia. Clin. Pediatr. (Phila) 1989, 28, 261–264. [Google Scholar] [CrossRef] [PubMed]
- Yilmaz, H.L.; Özkaya, A.K.; SarıGökay, S.; Kendir, Ö.T.; Şenol, H. Point-of-care lung ultrasound in children with community acquired pneumonia. Am. J. Emerg. Med. 2017, 35, 964–969. [Google Scholar] [CrossRef] [PubMed]
- Claes, A.S.; Clapuyt, P.; Menten, R.; Michoux, N.; Dumitriu, D. Performance of chest ultrasound in pediatric pneumonia. Eur. J. Radiol. 2017, 88, 82–87. [Google Scholar] [CrossRef] [PubMed]
- Ambroggio, L.; Sucharew, H.; Rattan, M.S.; O’Hara, S.M.; Babcock, D.S.; Clohessy, C.; Steinhoff, M.C.; Macaluso, M.; Shah, S.S.; Coley, B.D. Lung Ultrasonography: A Viable Alternative to Chest Radiography in Children with Suspected Pneumonia? J. Pediatr. 2016, 176, 93–98.e7. [Google Scholar] [CrossRef] [PubMed]
- Jones, B.P.; Tay, E.T.; Elikashvili, I.; Sanders, J.E.; Paul, A.Z.; Nelson, B.P.; Spina, L.A.; Tsung, J.W. Feasibility and Safety of Substituting Lung Ultrasonography for Chest Radiography When Diagnosing Pneumonia in Children: A Randomized Controlled Trial. Chest 2016, 150, 131–138. [Google Scholar] [CrossRef] [PubMed]
- Omran, A.; Eesai, S.; Ibrahim, M.; El-Sharkawy, S. Lung ultrasound in diagnosis and follow up of community acquired pneumonia in infants younger than 1-year old. Clin. Respir. J. 2018, 12, 2204–2211. [Google Scholar] [CrossRef]
- Labbas, A.; Choudhary, R.; Gullapalli, D.; Mistry, S.; Farzana, M.H.; Mallick, A.H.; Kevu, E.P.; Asif, J.; Mostafa, J.A. Lung Ultrasonography Beyond the Diagnosis of Pediatrics Pneumonia. Cureus 2022, 14, e22460. [Google Scholar]
- Ho, M.C.; Ker, C.R.; Hsu, J.H.; Wu, J.-R.; Dai, Z.-K.; Chen, I.-C. Usefulness of lung ultrasound in the diagnosis of community-acquired pneumonia in children. Pediatr. Neonatol. 2015, 56, 40–45. [Google Scholar] [CrossRef] [PubMed]
- Reali, F.; Sferrazza Papa, G.F.; Carlucci, P.; Fracasso, P.; Di Marco, F.; Mandelli, M.; Soldi, S.; Riva, E.; Centanni, S. Can lung ultrasound replace chest radiography for the diagnosis of pneumonia in hospitalized children? Respiration 2014, 88, 112–115. [Google Scholar] [CrossRef]
- Varshney, T.; Mok, E.; Shapiro, A.J.; Li, P.; Dubrovsky, A.S. Point-of-care lung ultrasound in young children with respiratory tract infections and wheeze. Emerg. Med. J. 2016, 33, 603–610. [Google Scholar] [CrossRef]
- Omran, A.; Ali, M.; Saleh, M.H.; Zekry, O. Salivary C-reactive protein and mean platelet volume in diagnosis of late-onset neonatal pneumonia. Clin. Respir. J. 2018, 12, 1644–1650. [Google Scholar] [CrossRef]
- Omran, A.; Abohadid, H.; Mohammad, M.H.S.; Shalaby, S. Salivary C-Reactive Protein and Mean Platelet Volume in the Diagnosis and Follow-Up of Community-Acquired Pneumonia in Infants. Pediatr. Allergy Immunol. Pulmonol. 2021, 34, 141–146. [Google Scholar] [CrossRef]
- Wu, J.; Wang, X.; Zhou, M.; Chen, G.B.; Du, J.; Wang, Y.; Ye, C. The value of lymphocyte-to-monocyte ratio and neutrophil-to-lymphocyte ratio in differentiating pneumonia from upper respiratory tract infection (URTI) in children: A cross-sectional study. BMC Pediatr. 2021, 21, 545. [Google Scholar] [CrossRef] [PubMed]
- Qi, X.; Dong, Y.; Lin, X.; Xin, W. Value of Neutrophil to Lymphocyte Ratio, Platelet to Lymphocyte Ratio, and Red Blood Cell Distribution Width in Evaluating the Prognosis of Children with Severe Pneumonia. Evid. Based Complement. Alternat. Med. 2021, 39, 1818469. [Google Scholar] [CrossRef] [PubMed]
- Bekdas, M.; Goksugur, S.B.; Sarac, E.G.; Erkocoglu, M.; Demircioglu, F. Neutrophil/lymphocyte and C-reactive protein/mean platelet volume ratios in differentiating between viral and bacterial pneumonias and diagnosing early complications in children. Saudi Med. J. 2014, 35, 442–447. [Google Scholar]
- Zar, H.J.; Tannenbaum, E.; Apolles, P.; Roux, P.; Hanslo, D.; Hussey, G. Sputum induction for the diagnosis of pulmonary tuberculosis in infants and young children in an urban setting in South Africa. Arch. Dis. Child. 2000, 82, 305–308. [Google Scholar] [CrossRef] [PubMed][Green Version]
- Harris, M.; Clark, J.; Coote, N.; Fletcher, P.; Harnden, A.; Mckean, M.; Thomson, A.; on behalf of the British Thoracic Society Standards of Care Committee. British Thoracic Society guidelines for the management of community acquired pneumonia in children: Update 2011. Thorax 2011, 66, ii1–ii23. [Google Scholar] [CrossRef] [PubMed]
- Copetti, R.; Cattarossi, L. Ultrasound diagnosis of pneumonia in children. Radiol. Med. 2008, 113, 190–198. [Google Scholar] [CrossRef]
- Caiulo, V.A.; Gargani, L.; Caiulo, S.; Fisicaro, A.; Moramarco, F.; Latini, G.; Picano, E.; Mele, G. Lung ultrasound characteristics of community-acquired pneumonia in hospitalized children. Pediatr. Pulmonol. 2013, 48, 280–287. [Google Scholar] [CrossRef] [PubMed]
- World Health Organization. World Health Statistics; World Health Organization: Geneva, Switzerland, 2014. [Google Scholar]
- Loens, K.; Van Heirstraeten, L.; Malhotra-Kumar, S.; Goossens, H.; Ieven, M. Optimal sampling sites and methods for detection of pathogens possibly causing community-acquired lower respiratory tract infections. J. Clin. Microbiol. 2009, 47, 21–31. [Google Scholar] [CrossRef] [PubMed]
- Huang, W.Y.; Lee, M.S.; Lin, L.M.; Liu, Y.C. Diagnostic performance of the Sputum Gram Stain in predicting sputum culture results for critically ill pediatric patients with pneumonia. Pediatr. Neonatol. 2020, 61, 420–425. [Google Scholar] [CrossRef]
- Ogawa, H.; Kitsios, G.D.; Iwata, M.; Terasawa, T. Sputum Gram Stain for Bacterial Pathogen Diagnosis in Community-acquired Pneumonia: A Systematic Review and Bayesian Meta-analysis of Diagnostic Accuracy and Yield. Clin. Infect. Dis. 2020, 71, 499–513. [Google Scholar] [CrossRef]
- Iorio, G.; Capasso, M.; De Luca, G.; Prisco, S.; Mancusi, C.; Laganà, B.; Comune, V. Lung ultrasound in the diagnosis of pneumonia in children: Proposal for a new diagnostic algorithm. Peer J 2015, 3, e1374. [Google Scholar] [CrossRef]
- Shah, V.P.; Tunik, M.G.; Tsung, J.W. Prospective evaluation of point-of-care ultrasonography for the diagnosis of pneumonia in children and young adults. JAMA Pediatr. 2013, 167, 119–125. [Google Scholar] [CrossRef] [PubMed]
- Esposito, S.; Papa, S.S.; Borzani, I.; Pinzani, R.; Giannitto, C.; Consonni, D.; Principi, N. Performance of lung ultrasonography in children with community-acquired pneumonia. Ital. J. Pediatr. 2014, 40, 37. [Google Scholar] [CrossRef] [PubMed]
- Pereda, M.A.; Chavez, M.A.; Hooper-Miele, C.C.; Gilman, R.H.; Steinhoff, M.C.; Ellington, L.E.; Gross, M.; Price, C.; Price, J.M.; Checkley, W. Lung ultrasound for the diagnosis of pneumonia in children: A meta-analysis. Pediatrics 2015, 135, 714–722. [Google Scholar] [CrossRef]
- Malla, D.; Rathi, V.; Gomber, S.; Upreti, L. Can lung ultrasound differentiate between bacterial and viral pneumonia in children? J. Clin. Ultrasound 2021, 49, 91–100. [Google Scholar] [CrossRef] [PubMed]
- Berce, V.; Tomazin, M.; Gorenjak, M.; Berce, T.; Lovrenčič, B. The Usefulness of Lung Ultrasound for the Aetiological Diagnosis of Community-Acquired Pneumonia in Children. Sci. Rep. 2019, 9, 17957. [Google Scholar] [CrossRef] [PubMed]
- Tsung, J.W.; Kessler, D.O.; Shah, V.P. Prospective application of clinician performed lung ultrasonography during the 2009 H1N1 influenza A pandemic: Distinguishing viral from bacterial pneumonia. Crit. Ultrasound J. 2012, 4, 16. [Google Scholar] [CrossRef] [PubMed]
- Caiulo, V.A.; Gargani, L.; Caiulo, S.; Fisicaro, A.; Moramarco, F.; Latini, G.; Picano, E. Lung ultrasound in bronchiolitis: Comparison with chest X-ray. Eur. J. Pediatr. 2011, 170, 1427–1433. [Google Scholar] [CrossRef]
- Basile, V.; Di Mauro, A.; Scalini, E.; Comes, P.; Lofù, I.; Mostert, M.; Tafuri, S.; Manzionna, M.M. Lung ultrasound: A useful tool in diagnosis and management of bronchiolitis. BMC Pediatr. 2015, 15, 63. [Google Scholar] [CrossRef]
- King, S.; Thomson, A. Radiological perspectives in empyema. Br. Med. Bull. 2002, 61, 203–214. [Google Scholar] [CrossRef][Green Version]
- Berce, V.; Tomazin, M.; Koren, B. Ultrasound characteristics of community acquired pneumonia in children. Eur. Respir. J. 2016, 48, PA3792. [Google Scholar] [CrossRef]
- Omran, A.; Maaroof, A.; Mohammad, M.H.S.; Abdelwahab, A. Salivary C-reactive protein, mean platelet volume and neutrophil lymphocyte ratio as diagnostic markers for neonatal sepsis. J. Pediatr. (Rio. J.) 2018, 94, 82–87. [Google Scholar] [CrossRef]
- Moosmann, J.; Krusemark, A.; Dittrich, S.; Ammer, T.; Rauh, M.; Woelfle, J.; Metzler, M.; Zierk, J. Age- and sex-specific pediatric reference intervals for neutrophil-to-lymphocyte ratio, lymphocyte-to-monocyte ratio, and platelet-to-lymphocyte ratio. Int. J. Lab. Hematol. 2022, 44, 296–301. [Google Scholar] [CrossRef]
- Chen, Y.; Hua, Y.; Zhang, C.; Chen, S.; Zhang, Q.; Liao, Y.; Yan, H.; Wang, Y.; Liu, P.; Qi, J.; et al. Neutrophil-to-Lymphocyte Ratio Predicts Intravenous Immunoglobulin-Resistance in Infants Under 12-Months Old With Kawasaki Disease. Front. Pediatr. 2019, 19, 81. [Google Scholar] [CrossRef]
- Forget, P.; Khalifa, C.; Defour, J.P.; Latinne, D.; Van Pel, M.C.; De Kock, M. What is the normal value of the neutrophil-to-lymphocyte ratio? BMC Res. Notes 2017, 10, 12. [Google Scholar] [CrossRef]
- Regolo, M.; Vaccaro, M.; Sorce, A.; Stancanelli, B.; Colaci, M.; Natoli, G.; Russo, M.; Alessandria, I.; Motta, M.; Santangelo, N.; et al. Neutrophil-to-Lymphocyte Ratio (NLR) Is a Promising Predictor of Mortality and Admission to Intensive Care Unit of COVID-19 Patients. J. Clin. Med. 2022, 11, 2235. [Google Scholar] [CrossRef] [PubMed]
- Nazerian, P.; Cerini, G.; Vanni, S.; Gigli, C.; Zanobetti, M.; Bartolucci, M.; Grifoni, S.; Volpicelli, G. Diagnostic accuracy of lung ultrasonography combined with procalcitonin for the diagnosis of pneumonia: A pilot study. Crit. Ultrasound J. 2016, 8, 17. [Google Scholar] [CrossRef] [PubMed]




| Bacterial Pneumonia (n =34) Mean ± SD | Viral Pneumonia (n =18) Mean ± SD | p-Value | ||
|---|---|---|---|---|
| Demographic data | ||||
| Age (Months) | 7.4± 6.8 | 12± 8.3 | 0.03 * | |
| Gender | Male | 14 (41.2%) | 10 (55.5%) | 0.5 |
| Female | 20 (58.8%) | 8 (44.5%) | ||
| Weight (Kg) | 7.6± 3.5 | 8.8± 2.2 | 0.19 | |
| Average hospital stay (days) | 5.7±2.3 | 4.5±2.1 | 0.07 | |
| Complaint | ||||
| Cough | 30 (88.2%) | 10 (55.5%) | 0.02 * | |
| Fever > 38 | 25 (73.5%) | 8 (44.4%) | 0.07 * | |
| RD | 25 (73.5%) | 16 (88.8%) | 0.8 | |
| Feeding difficulties | 20 (58.8%) | 15 (83.3%) | 0.13 | |
| Chest examination | ||||
| Diminished air entry | 30 (88.2%) | 4 (22.2%) | <0.0001 * | |
| Fine crepitation | 29 (85.2%) | 7 (38.8%) | <0.0001 * | |
| Wheezes | 11 (32.3%) | 16 (88.8%) | 0.0003 * | |
| Laboratory findings | ||||
| TLC (mean) | 14,000/cmm | 8000/cmm | <0.0001 * | |
| NLR (mean) | 1.8 | 0.66 | <0.0001 * | |
| CRP (mean) Positive sputum culture PCR for respiratory viral testing | 13 mg/L 24 (70.5%) 0 (0%) | 5 mg/L 0 (0%) 18 (100%) | <0.0001 * <0.0001 * <0.0001 * | |
| Bacterial Pneumonia (n =34) Mean ± SD | Viral Pneumonia (n =18) Mean ± SD | p-Value | ||
|---|---|---|---|---|
| CXR Findings | ||||
| Increased bronchovascular markings | 6 (17.6%) | 8 (38.8%) | 0.04 * | |
| Consolidation | Present | 24 (70.5%) | 4 (22.2%) | 0.002 * |
| Absent | 10 (29.5%) | 14 (77.8%) | ||
| Reticulonodular opacities | 0 (0%) | 8 (38.8%) | 0.02 * | |
| Air bronchogram | 11 (32.3%) | 2 (11.1%) | 0.17 | |
| LUS Findings | ||||
| Pleural line | Regular | 7 (20.5%) | 11 (61.2%) | 0.009 * |
| Disturbed | 27 (79.5%) | 7 (38.8%) | ||
| Subpleural consolidation | >1 cm | 30 (88.2%) | 4 (22.2%) | <0.0001 * |
| <1 cm | 4 (11.8%) | 14 (77.8%) | ||
| Air bronchogram | Yes | 30 (88.2%) | 1 (5.5%) | <0.0001 * |
| No | 4 (11.8%) | 17 (94.4%) | ||
| B-lines | Yes | 4 (11.8%) | 15 (83.8%) | <0.0001 * |
| No | 30 (88.2%) | 3 (16.2%) | ||
| Lung sliding | Normal | 8 (23.5%) | 16 (88.8%) | <0.0001 * |
| Decreased | 26 (76.4%) | 2 (11.2%) | ||
| Sensitivity (95% CI) | Specificity (95% CI) | NPV (95% CI) | PPV (95% CI) | +LR (95% CI) | −LR (95% CI) | ||
|---|---|---|---|---|---|---|---|
| LUS | Bacterial Pneumonia | 88.2 (72.5–96.7%) | 100 (76.8–100%) | 77.8 (58.2–89.8%) | 100.00 | 0.0 | 0.12 (0.05–0.3) |
| Viral Pneumonia | 83.3 (85.6–96.4%) | 85.7 (57.1–98.2%) | 80 (58.2–92%) | 88.2 (67.1–96.4%) | 5.8 (1.6–21.4) | 0.19 (0.07–0.56) | |
| CXR | Bacterial Pneumonia | 70.6(52.2–84.9%) | 85.7(57.1–98.2%) | 54.5(40.6–67.8%) | 92.3(76.5–97.8%) | 4.9 (1.3–18.1) | 0.34(0.2–0.6) |
| Viral Pneumonia | 33.3 (13.3–59%) | 78.5 (49.2–95.3%) | 47.8 (37.4–58.4%) | 66.7 (37.7–86.9%) | 1.5 (0.5–5.1) | 0.85 (0.55–1.30) | |
| Bacterial pneumonia | |||||||
| NLR | 73.5(55.6–87.1%) | 94.4(72.7–99.7%) | 65.4(51.6–77%) | 96.1(78.6–99.4%) | 13.24 (1.95–89.87) | 0.28(0.16–0.50) | |
| Sensitivity (95% CI) | Specificity (95% CI) | NPV (95% CI) | PPV (95% CI) | +LR (95% CI) | −LR (95% CI) | |
|---|---|---|---|---|---|---|
| CXR Findings | ||||||
| Increased bronchovascular markings | 82.8(66.3–93.4%) | 38.8(17.3–64.2%) | 53.8 (31.5–74.7%) | 72.5 (63.9–79.7%) | 1.36 (0.91–2.02) | 0.44 (0.17–1.12) |
| Consolidation | 70.5 (52.5–84.9%) | 87.5 (71–96.5%) | 73.7 (62–82.7%) | 85.7 (71.1–93.6%) | 5.6 (2.2–14.4) | 0.34 (0.21–0.67) |
| Reticulonodular opacities | 100 (89.7–100%) | 22.2 (6.4–47.6%) | 100% | 70.8 (65.4–75.6%) | 1.29 (1.00–1.65) | 0.00 |
| Air bronchogram | 47.8 (26.8–69.4%) | 93.5 (79.1–99.2%) | 71.4 (62.6–78.9%) | 84.6 (57.3–95.7%) | 7.5 (1.8–31.2) | 0.56 (0.37–0.83) |
| LUS Findings | ||||||
| Pleural line | 79.4 (62.1–91.3%) | 61.1 (35.7–82.7%) | 61.1 (42.4–77%) | 79.4 (67.8–87.5%) | 2.04 (1.12–3.74) | 0.34 (0.16–0.72) |
| Subpleural consolidation | 88.2 (72.5–96.7%) | 77.7 (52.3–93.5%) | 77.7 (57.4–90%) | 88.2 (75.8–94.7%) | 3.97 (1.66–9.51) | 0.15 (0.06–0.39) |
| Air bronchogram | 88.2 (72.5–96.7%) | 94.4 (72.7–99.9%) | 80.9 (62.7–91.5%) | 96.8 (81.6–99.5%) | 15.9 (2.35–107.1) | 0.12 (0.05–0.31) |
| B-lines | 83.3 (58.6–96.4%) | 88.2 (72.5–96.7%) | 90.9 (77.9–96.6%) | 78.9 (59.3–90.6%) | 7.08 (2.76–18.2) | 0.19 (0.07–0.53) |
| Lung sliding | 76.5 (58.8–89.2%) | 88.9 (65.3–98.6%) | 66.7 (51.6–78.9%) | 92.9 (77.6–98%) | 6.88 (1.84–25.76) | 0.26 (0.14–0.50) |
Publisher’s Note: MDPI stays neutral with regard to jurisdictional claims in published maps and institutional affiliations. |
© 2022 by the authors. Licensee MDPI, Basel, Switzerland. This article is an open access article distributed under the terms and conditions of the Creative Commons Attribution (CC BY) license (https://creativecommons.org/licenses/by/4.0/).
Share and Cite
Omran, A.; Awad, H.; Ibrahim, M.; El-Sharkawy, S.; Elfiky, S.; Rezk, A.R. Lung Ultrasound and Neutrophil Lymphocyte Ratio in Early Diagnosis and Differentiation between Viral and Bacterial Pneumonia in Young Children. Children 2022, 9, 1457. https://doi.org/10.3390/children9101457
Omran A, Awad H, Ibrahim M, El-Sharkawy S, Elfiky S, Rezk AR. Lung Ultrasound and Neutrophil Lymphocyte Ratio in Early Diagnosis and Differentiation between Viral and Bacterial Pneumonia in Young Children. Children. 2022; 9(10):1457. https://doi.org/10.3390/children9101457
Chicago/Turabian StyleOmran, Ahmed, Heba Awad, Mostafa Ibrahim, Sonya El-Sharkawy, Samar Elfiky, and Ahmed R. Rezk. 2022. "Lung Ultrasound and Neutrophil Lymphocyte Ratio in Early Diagnosis and Differentiation between Viral and Bacterial Pneumonia in Young Children" Children 9, no. 10: 1457. https://doi.org/10.3390/children9101457
APA StyleOmran, A., Awad, H., Ibrahim, M., El-Sharkawy, S., Elfiky, S., & Rezk, A. R. (2022). Lung Ultrasound and Neutrophil Lymphocyte Ratio in Early Diagnosis and Differentiation between Viral and Bacterial Pneumonia in Young Children. Children, 9(10), 1457. https://doi.org/10.3390/children9101457

