Orofacial Muscle Weakening in Facioscapulohumeral Muscular Dystrophy (FSHD) Patients
Abstract
:1. Introduction
1.1. Genetics of FSHD
1.2. Craniofacial Discrepancies in Muscular Dystrophies
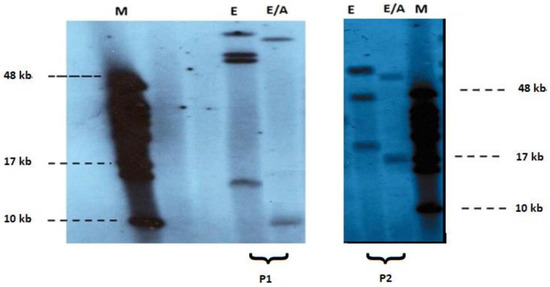
2. Materials and Methods
3. Results
4. Discussion
5. Limitations
6. Conclusions
- In FSHD patients, the molecular genetic testing depicted altered DNA fragments sized from 7.5 to 39 kb with a mean of 23.89 kb;
- Fragment size provided a weak to moderate correlation with the severity of muscle weakness in the muscular triad (frontalis, periocular, right and left perioral muscles) that was examined;
- Orofacial muscle weakening and its association with a D4Z4 contraction alone may not have the significance to serve as a prognostic biomarker, due to the weak to moderate association;
- Further investigation is needed to clarify the degree of genetic involvement in the growth and development of the facial musculature and the dentofacial complex in FSHD patients.
Author Contributions
Funding
Institutional Review Board Statement
Informed Consent Statement
Data Availability Statement
Conflicts of Interest
References
- Tupler, R.; Gabellini, D. Molecular basis of facioscapulohumeral muscular dystrophy. Cell. Mol. Life Sci. 2004, 61, 557–566. [Google Scholar] [CrossRef] [PubMed]
- Winokur, S.T.; Chen, Y.-W.; Masny, P.S.; Martin, J.H.; Ehmsen, J.T.; Tapscott, S.J.; van der Maarel, S.M.; Hayashi, Y.; Flanigan, K.M. Expression profiling of FSHD muscle supports a defect in specific stages of myogenic differentiation. Hum. Mol. Genet. 2003, 12, 2895–2907. [Google Scholar] [CrossRef] [Green Version]
- Deenen, J.C.; Arnts, H.; van der Maarel, S.M.; Padberg, G.W.; Verschuuren, J.J.G.M.; Bakker, E.; Weinreich, S.S.; Verbeek, A.L.; van Engelen, B.G. Population-based incidence and prevalence of facioscapulohumeral dystrophy. Neurology 2014, 83, 1056–1059. [Google Scholar] [CrossRef] [Green Version]
- Ruggiero, L.; Mele, F.; Manganelli, F.; Bruzzese, D.; Ricci, G.; Vercelli, L.; Govi, M.; Vallarola, A.; Tripodi, S.; Villa, L.; et al. Phenotypic Variability Among Patients With D4Z4 Reduced Allele Facioscapulohumeral Muscular Dystrophy. JAMA Netw. Open 2020, 3, e204040. [Google Scholar] [CrossRef]
- Nikolic, A.; Ricci, G.; Sera, F.; Bucci, E.; Govi, M.; Mele, F.; Rossi, M.; Ruggiero, L.; Vercelli, L.; Ravaglia, S.; et al. Clinical expression of facioscapulohumeral muscular dystrophy in carriers of 1–3 D4Z4 reduced alleles: Experience of the FSHD Italian National Registry. BMJ Open 2016, 6, e007798. [Google Scholar] [CrossRef] [Green Version]
- Ricci, G.; Mele, F.; Govi, M.; Ruggiero, L.; Sera, F.; Vercelli, L.; Bettio, C.; Santoro, L.; Mongini, T.; Villa, L.; et al. Large genotype–phenotype study in carriers of D4Z4 borderline alleles provides guidance for facioscapulohumeral muscular dystrophy diagnosis. Sci. Rep. 2020, 10, 21648. [Google Scholar] [CrossRef]
- Tonini, M.; Passos-Bueno, M.; Cerqueira, A.; Matioli, S.; Pavanello, R.; Zatz, M. Asymptomatic carriers and gender differences in facioscapulohumeral muscular dystrophy (FSHD). Neuromuscul. Disord. 2004, 14, 33–38. [Google Scholar] [CrossRef]
- Wagner, K.R. Facioscapulohumeral Muscular Dystrophies. Contin. Lifelong Learn. Neurol. 2019, 25, 1662–1681. [Google Scholar] [CrossRef]
- Balatsouras, D.G.; Korres, S.; Manta, P.; Panousopoulou, A.; Vassilopoulos, D. Cochlear Function in Facioscapulohumeral Muscular Dystrophy. Otol. Neurotol. 2007, 28, 7–10. [Google Scholar] [CrossRef]
- Statland, J.M.; McDermott, M.P.; Heatwole, C.; Martens, W.B.; Pandya, S.; van der Kooi, E.; Kissel, J.T.; Wagner, K.R.; Tawil, R. Reevaluating measures of disease progression in facioscapulohumeral muscular dystrophy. Neuromuscul. Disord. 2013, 23, 306–312. [Google Scholar] [CrossRef] [PubMed] [Green Version]
- Wijmenga, C.; Padberg, G.W.; Moerer, P.; Wiegant, J.; Liem, L.; Brouwer, O.F.; Milner, E.C.; Weber, J.L.; van Ommen, G.B.; Sandkuyl, L.A.; et al. Mapping of facioscapulohumeral muscular dystrophy gene to chromosome 4q35-qter by multipoint linkage analysis and in situ hybridization. Genomics 1991, 9, 570–575. [Google Scholar] [CrossRef]
- Van Deutekom, J.C.T.; Wijmenga, C.; Van Tlenhoven, E.A.E.; Gruter, A.-M.; Hewitt, J.E.; Padberg, G.W.; Van Ommen, G.-J.B.; Hofker, M.H.; Fronts, R.R. FSHD associated DNA rearrangements are due to deletions of integral copies of a 3.2 kb tandemly repeated unit. Hum. Mol. Genet. 1993, 2, 2037–2042. [Google Scholar] [CrossRef] [PubMed]
- Jia, F.; Drew, A.P.; Nicholson, G.A.; Corbett, A.; Kumar, K.R. Facioscapulohumeral muscular dystrophy type 2: An update on the clinical, genetic, and molecular findings. Neuromuscul. Disord. 2021, 31, 1101–1112. [Google Scholar] [CrossRef] [PubMed]
- van den Boogaard, M.L.; Lemmers, R.J.L.F.; Balog, J.; Wohlgemuth, M.; Auranen, M.; Mitsuhashi, S.; van der Vliet, P.J.; Straasheijm, K.R.; van den Akker, R.F.P.; Kriek, M.; et al. Mutations in DNMT3B Modify Epigenetic Repression of the D4Z4 Repeat and the Penetrance of Facioscapulohumeral Dystrophy. Am. J. Hum. Genet. 2016, 98, 1020–1029. [Google Scholar] [CrossRef] [PubMed] [Green Version]
- Cascella, R.; Strafella, C.; Caputo, V.; Galota, R.M.; Errichiello, V.; Scutifero, M.; Petillo, R.; Marella, G.L.; Arcangeli, M.; Colantoni, L.; et al. Digenic Inheritance of Shortened Repeat Units of the D4Z4 Region and a Loss-of-Function Variant in SMCHD1 in a Family With FSHD. Front. Neurol. 2018, 9, 1027. [Google Scholar] [CrossRef]
- Lemmers, R.J.; Goeman, J.; Van Der Vliet, P.J.; Van Nieuwenhuizen, M.P.; Balog, J.; Vos-Versteeg, M.; Camaño, P.; Arroyo, M.A.R.; Jerico, I.; Rogers, M.T.; et al. Inter-individual differences in CpG methylation at D4Z4 correlate with clinical variability in FSHD1 and FSHD2. Hum. Mol. Genet. 2015, 24, 659–669. [Google Scholar] [CrossRef] [Green Version]
- Banerji, C.R.S.; Zammit, P.S. Pathomechanisms and biomarkers in facioscapulohumeral muscular dystrophy: Roles of DUX4 and PAX7. EMBO Mol. Med. 2021, 13, e13695. [Google Scholar] [CrossRef]
- Joshi, N.; Hamdan, A.M.; Fakhouri, W.D. Skeletal Malocclusion: A Developmental Disorder With a Life-Long Morbidity. J. Clin. Med. Res. 2014, 6, 399–408. [Google Scholar] [CrossRef] [PubMed] [Green Version]
- Enlow, D.H. Facial Growth, 3rd ed.; W.B. Saunders Company: Philadelphia, PA, USA, 1990. [Google Scholar]
- Sarnat, H.B. Neonatal Encephalopathy Following Fetal Distress. Arch. Neurol. 1976, 33, 696–705. [Google Scholar] [CrossRef]
- Kiliaridis, S.; Mejersjö, C.; Thilander, B. Muscle function and craniofacial morphology: A clinical study in patients with myotonic dystrophy. Eur. J. Orthod. 1989, 11, 131–138. [Google Scholar] [CrossRef] [Green Version]
- Fontinha, C.; Engvall, M.; Sjögreen, L.; Kiliaridis, S. Craniofacial morphology and growth in young patients with congenital or childhood onset myotonic dystrophy. Eur. J. Orthod. 2018, 40, 544–548. [Google Scholar] [CrossRef] [PubMed] [Green Version]
- Moss, M.L.; Salentijn, L. The primary role of functional matrices in facial growth. Am. J. Orthod. 1969, 55, 566–577. [Google Scholar] [CrossRef]
- Kriwalsky, M.S.; Deschauer, M.; Eckert, A.W.; Schubert, J.; Zierz, S. Orthognathic surgery in a case of infantile facioscapulohumeral muscular dystrophy with macroglossia. Oral Maxillofac. Surg. 2008, 12, 195–198. [Google Scholar] [CrossRef] [PubMed]
- Kawasaki, T.; Ohba, S.; Fujimura, Y.; Asahina, I. Bimaxillary Osteotomy for Jaw Deformity with Facioscapulohumeral Muscular Dystrophy. J. Craniofacial Surg. 2016, 27, 776–778. [Google Scholar] [CrossRef]
- Padberg, G.; Lunt, P.; Koch, M.; Fardeau, M. Diagnostic criteria for facioscapulohumeral muscular dystrophy. Neuromuscul. Disord. 1991, 1, 231–234. [Google Scholar] [CrossRef]
- Kekou, K.; Fryssira, H.; Sophocleous, C.; Mavrou, A.; Manta, P.; Metaxotou, C. Facioscapulohumeral muscular dystrophy molecular testing using a non radioactive protocol. Mol. Cell. Probes 2005, 19, 422–424. [Google Scholar] [CrossRef] [PubMed]
- Dunnen, J.T.D.; Bakker, E.; Breteler, E.G.K.; Pearson, P.L.; Van Ommen, G.J.B. Direct detection of more than 50% of the Duchenne muscular dystrophy mutations by field inversion gels. Nat. Cell Biol. 1987, 329, 640–642. [Google Scholar] [CrossRef]
- Kazakov, V.M.; Rudenko, D.I. Clinical variability of facioscapulohumeral muscular dystrophy in russia. Muscle Nerve 1995, 18, S85–S95. [Google Scholar] [CrossRef]
- A Prospective, Quantitative Study of the Natural History of Facioscapulohumeral Muscular Dystrophy (FSHD): Implications for Therapeutic Trials. Neurology 1997, 48, 38–46. [CrossRef]
- Graber, T.M. Orthodontic diagnosis and treatment planning. Am. J. Orthod. Dentofac. Orthop. 1984, 85, 97. [Google Scholar] [CrossRef]
- Johnson, L.; Genco, R.J.; Damsky, C.; Haden, N.K.; Hart, S.; Hart, T.C.; Shuler, C.F.; Tabak, L.A.; Tedesco, L.A. Genetics and its implications for clinical dental practice and education: Report of panel 3 of the Macy study. J. Dent. Educ. 2008, 72, 86–94. [Google Scholar]
- Klingenberg, C.P.; Leamy, L.J.; Cheverud, J.M. Integration and Modularity of Quantitative Trait Locus Effects on Geometric Shape in the Mouse Mandible. Genetics 2004, 166, 1909–1921. [Google Scholar] [CrossRef]
- Zebrick, B.; Teeramongkolgul, T.; Nicot, R.; Horton, M.J.; Raoul, G.; Ferri, J.; Vieira, A.R.; Sciote, J.J. ACTN3 R577X genotypes associate with Class II and deepbite malocclusions. Am. J. Orthod. Dentofac. Orthop. 2014, 146, 603–611. [Google Scholar] [CrossRef] [Green Version]
- Uribe, L.M.M.; Miller, S.F. Genetics of the dentofacial variation in human malocclusion. Orthod. Craniofacial Res. 2015, 18, 91–99. [Google Scholar] [CrossRef] [Green Version]
- Suntornlohanakul, S.; Rapeepattana, S.; Thearmontree, A. Etiology of malocclusion and dominant orthodontic problems in mixed dentition: A cross-sectional study in a group of Thai children aged 8–9 years. J. Int. Soc. Prev. Community Dent. 2019, 9, 383–389. [Google Scholar] [CrossRef]
- Mul, K.; Lassche, S.; Voermans, N.C.; Padberg, G.W.; Horlings, C.G.C.; van Engelen, B. What’s in a name? The clinical features of facioscapulohumeral muscular dystrophy. Pract. Neurol. 2016, 16, 201–207. [Google Scholar] [CrossRef]
- Brouwer, O.F.; Padberg, G.W.; Wijmenga, C.; Frants, R.R. Facioscapulohumeral Muscular Dystrophy in Early Childhood. Arch. Neurol. 1994, 51, 387–394. [Google Scholar] [CrossRef]
- Padberg, G.W.; van der Kooi, E.L.; Wohlgemuth, M.; Frants, R.R.; van der Maarel, S. Phenotype-genotype correlation in facioscapulohumeral muscular dystrophy. In Neuromuscular Disorders; Elsevier: Amsterdam, The Netherlands, 2001; pp. 615–674. [Google Scholar]
- Padberg, G.; Eriksson, A.; Volkers, W.; Bernini, L.; Van Loghem, E.; Khan, P.; Nijenhuis, L.; Pronk, J.; Schreuder, G. Linkage studies in autosomal dominant facioscapulohumeral muscular dystrophy. J. Neurol. Sci. 1984, 65, 261–268. [Google Scholar] [CrossRef]
- Tawil, R. Facioscapulohumeral muscular dystrophy. Handb. Clin. Neurol. 2018, 148, 541–548. [Google Scholar] [CrossRef] [Green Version]
- Shimizu, T.; Miyamoto, K.; Hayashi, H.; Nagashima, T.; Hirose, K.; Tanabe, H. Congenital facioscapulohumeral muscular dystrophy associated with tongue atrophy and sensorineural hearing disturbance. Rinsho Shinkeigaku 1991, 31, 433–438. [Google Scholar]
- Yamanaka, G.; Goto, K.; Ishihara, T.; Oya, Y.; Miyajima, T.; Hoshika, A.; Nishino, I.; Hayashi, Y.K. FSHD-like patients without 4q35 deletion. J. Neurol. Sci. 2004, 219, 89–93. [Google Scholar] [CrossRef]
- Mul, K.; Voermans, N.C.; Lemmers, R.J.; Jonker, M.A.; Van Der Vliet, P.J.; Padberg, G.W.; Van Engelen, B.G.; van der Maarel, S.; Horlings, C.G.C. Phenotype-genotype relations in facioscapulohumeral muscular dystrophy type 1. Clin. Genet. 2018, 94, 521–527. [Google Scholar] [CrossRef]
- Pastorello, E.; Cao, M.; Trevisan, C.P. Atypical onset in a series of 122 cases with FacioScapuloHumeral Muscular Dystrophy. Clin. Neurol. Neurosurg. 2012, 114, 230–234. [Google Scholar] [CrossRef] [Green Version]
- Felice, K.J.; Whitaker, C.H. The Clinical Features of Facioscapulohumeral Muscular Dystrophy Associated With Borderline (≥35 kb) 4q35 EcoRI Fragments. J. Clin. Neuromuscul. Dis. 2005, 6, 119–126. [Google Scholar] [CrossRef]
- Bosnakovski, D.; Toso, E.A.; Hartweck, L.M.; Magli, A.; Lee, H.A.; Thompson, E.R.; Dandapat, A.; Perlingeiro, R.C.R.; Kyba, M. The DUX4 homeodomains mediate inhibition of myogenesis and are functionally exchangeable with the Pax7 homeodomain. J. Cell Sci. 2017, 130, 3685–3697. [Google Scholar] [CrossRef] [Green Version]
- Loonen, T.G.J.; Horlings, C.G.C.; Vincenten, S.C.C.; Beurskens, C.H.G.; Knuijt, S.; Padberg, G.W.A.M.; Statland, J.M.; Voermans, N.C.; Maal, T.J.J.; van Engelen, B.G.M.; et al. Characterizing the face in facioscapulohumeral muscular dystrophy. J. Neurol. 2020, 268, 1342–1350. [Google Scholar] [CrossRef]
- Zernov, N.; Skoblov, M. Genotype-phenotype correlations in FSHD. BMC Med. Genom. 2019, 12, 43. [Google Scholar] [CrossRef]
- Tawil, R.; Kissel, J.T.; Heatwole, C.R.; Pandya, S.; Gronseth, G.S.; Benatar, M. Evidence-based guideline summary: Evaluation, diagnosis, and management of facioscapulohumeral muscular dystrophy:Report of the Guideline Development, Dissemination, and Implementation Subcommittee of the American Academy of Neurology and the Practice Issues Review Panel of the American Association of Neuromuscular & Electrodiagnostic Medicine. Neurology 2015, 85, 357–364. [Google Scholar] [CrossRef] [Green Version]
- Wang, L.H.; Shaw, D.W.W.; Faino, A.; Budech, C.B.; Lewis, L.M.; Statland, J.; Eichinger, K.; Tapscott, S.J.; Tawil, R.N.; Friedman, S.D. Longitudinal study of MRI and functional outcome measures in facioscapulohumeral muscular dystrophy. BMC Musculoskelet. Disord. 2021, 22, 262. [Google Scholar] [CrossRef]





| Patient | Gender | Age | DNA Fragment (kb) | Frontalis Muscle | Periocular Muscles | Perioral Muscles Right | Perioral Muscles Left |
|---|---|---|---|---|---|---|---|
| 1. | M | 64 | 24 | - | - | 3 | 3 |
| 2. | M | 34 | 24 | - | 4 | - | - |
| 3. | M | 39 | 24 | 5 | - | 4 | - |
| 4. | M | 72 | 24 | - | 5 | - | 5 |
| 5. | F | 13 | - | - | - | - | - |
| 6. | F | 13 | - | - | - | - | - |
| 7. | M | 33 | 23 | - | - | 5 | - |
| 8. | F | 42 | - | - | - | - | - |
| 9. | F | 23 | 23 | - | 2 | 3 | - |
| 10. | F | 36 | 23 | - | 5 | - | - |
| 11. | M | 70 | - | - | - | - | - |
| 12. | F | 28 | 13 | 5 | 5 | 3 | 4 |
| 13. | F | 30 | 35 | 5 | 5 | 4 | 5 |
| 14. | M | 52 | 17 | 3 | - | - | - |
| 15. | F | 26 | 17 | - | 3 | - | 4 |
| 16. | M | 62 | 23 | - | 4 | - | 4 |
| 17. | F | 30 | 23 | 5 | - | 4 | 5 |
| 18. | M | 55 | 32 | 5 | - | 5 | - |
| 19. | M | 54 | 32 | - | 5 | - | - |
| 20. | F | 48 | 16 | 5 | - | 5 | 4 |
| 21. | F | 20 | 16 | 4 | 4 | 4 | 3 |
| 22. | F | 51 | 33 | - | - | 5 | - |
| 23. | F | 50 | 33 | - | 5 | 4 | - |
| 24. | M | 55 | 27 | 5 | - | - | 3 |
| 25. | F | 50 | 27 | - | - | - | 5 |
| 26. | M | 28 | 27 | - | - | 4 | - |
| 27. | F | 36 | 33 | - | 4 | 3 | 4 |
| 28. | M | 20 | 33 | - | - | - | 5 |
| 29. | M | 71 | 17 | - | 4 | 3 | 3 |
| 30. | F | 33 | 17 | 4 | - | - | - |
| 31. | M | 41 | 17 | - | - | 4 | - |
| 32. | F | 66 | 19 | - | 4 | 4 | 3 |
| 33. | F | 66 | 32 | 4 | - | - | 3 |
| 34. | F | 37 | 32 | - | - | 4 | - |
| 35. | F | 42 | 32 | - | - | - | 4 |
| 36. | M | 71 | 20 | 4 | 4 | 3 | 3 |
| 37. | F | 82 | 31 | 2 | 1 | 1 | 1 |
| 38. | M | 49 | 25 | 2 | 2 | 2 | 2 |
| 39. | M | 36 | 14 | 3 | 3 | 3 | 3 |
| 40. | M | 54 | 32 | - | 4 | - | - |
| 41. | M | 23 | 33 | 5 | - | - | - |
| 42. | M | 46 | 26 | 4 | 4 | 4 | 4 |
| 43. | M | 21 | 23 | 2 | - | 2 | 2 |
| 44. | M | 18 | 7.5 | 2 | 2 | 2 | 2 |
| 45. | F | 30 | 12 | 2 | 2 | 2 | 2 |
| 46. | F | 36 | 11 | 5 | 5 | 4 | 4 |
| 47. | F | 18 | 39 | 5 | 5 | 4 | 4 |
| 48. | F | 36 | 19 | 4 | - | - | - |
| 49. | F | 42 | 24 | 4 | - | - | 4 |
| 50. | F | 62 | 27 | - | 5 | 5 | 4 |
| 51. | M | 36 | 16 | - | 5 | - | - |
| 52. | M | 25 | 19 | 5 | 5 | - | 4 |
| Frontalis Muscle | Coef. | 95% C.I. | p-Value | |
|---|---|---|---|---|
| DNA Fragment (kb) | per unit | 0.05 | (−0.01, 0.11) | 0.120 |
| Gender | F | - | - | - |
| M | −0.38 | (−1.34, 0.59) | 0.426 | |
| Age at first examination (years) | per unit | −0.01 | (−0.04, 0.02) | 0.347 |
| Intercept | 3.63 | (1.95, 5.31) | <0.001 | |
| Periocular muscles | ||||
| DNA Fragment (kb) | per unit | 0.04 | (−0.03, 0.10) | 0.237 |
| Gender | F | - | - | - |
| M | 0.14 | (−0.91, 1.19) | 0.786 | |
| Age at first examination (years) | per unit | −0.01 | (−0.04, 0.02) | 0.651 |
| Intercept | 3.28 | (1.51, 5.04) | 0.001 | |
| Right perioral muscles | ||||
| DNA Fragment (kb) | per unit | 0.03 | (−0.02, 0.09) | 0.225 |
| Gender | F | - | - | - |
| M | −0.19 | (−1.04, 0.66) | 0.655 | |
| Age at first examination (years) | per unit | −0.00 | (−0.03, 0.02) | 0.776 |
| Intercept | 3.03 | (1.43, 4.63) | 0.001 | |
| Left perioral muscles | ||||
| DNA Fragment (kb) | per unit | 0.04 | (−0.01, 0.09) | 0.120 |
| Gender | F | - | - | - |
| M | −0.25 | (−1.04, 0.54) | 0.519 | |
| Age at first examination (years) | per unit | −0.01 | (−0.03, 0.01) | 0.240 |
| Intercept | 3.27 | (1.81, 4.72) | <0.001 |
Publisher’s Note: MDPI stays neutral with regard to jurisdictional claims in published maps and institutional affiliations. |
© 2022 by the authors. Licensee MDPI, Basel, Switzerland. This article is an open access article distributed under the terms and conditions of the Creative Commons Attribution (CC BY) license (https://creativecommons.org/licenses/by/4.0/).
Share and Cite
Konstantonis, D.; Kekou, K.; Papaefthymiou, P.; Vastardis, H.; Konstantoni, N.; Athanasiou, M.; Svingou, M.; Margariti, A.; Panousopoulou, A. Orofacial Muscle Weakening in Facioscapulohumeral Muscular Dystrophy (FSHD) Patients. Children 2022, 9, 96. https://doi.org/10.3390/children9010096
Konstantonis D, Kekou K, Papaefthymiou P, Vastardis H, Konstantoni N, Athanasiou M, Svingou M, Margariti A, Panousopoulou A. Orofacial Muscle Weakening in Facioscapulohumeral Muscular Dystrophy (FSHD) Patients. Children. 2022; 9(1):96. https://doi.org/10.3390/children9010096
Chicago/Turabian StyleKonstantonis, Dimitrios, Kyriaki Kekou, Petros Papaefthymiou, Heleni Vastardis, Nikoleta Konstantoni, Maria Athanasiou, Maria Svingou, Anastasia Margariti, and Angeliki Panousopoulou. 2022. "Orofacial Muscle Weakening in Facioscapulohumeral Muscular Dystrophy (FSHD) Patients" Children 9, no. 1: 96. https://doi.org/10.3390/children9010096
APA StyleKonstantonis, D., Kekou, K., Papaefthymiou, P., Vastardis, H., Konstantoni, N., Athanasiou, M., Svingou, M., Margariti, A., & Panousopoulou, A. (2022). Orofacial Muscle Weakening in Facioscapulohumeral Muscular Dystrophy (FSHD) Patients. Children, 9(1), 96. https://doi.org/10.3390/children9010096

