Successful Use of Multidisciplinary Palliative Care in the Outpatient Treatment of Disseminated Histoplasmosis in an HIV Positive Child
Abstract
1. Introduction
2. Methods—Case Report
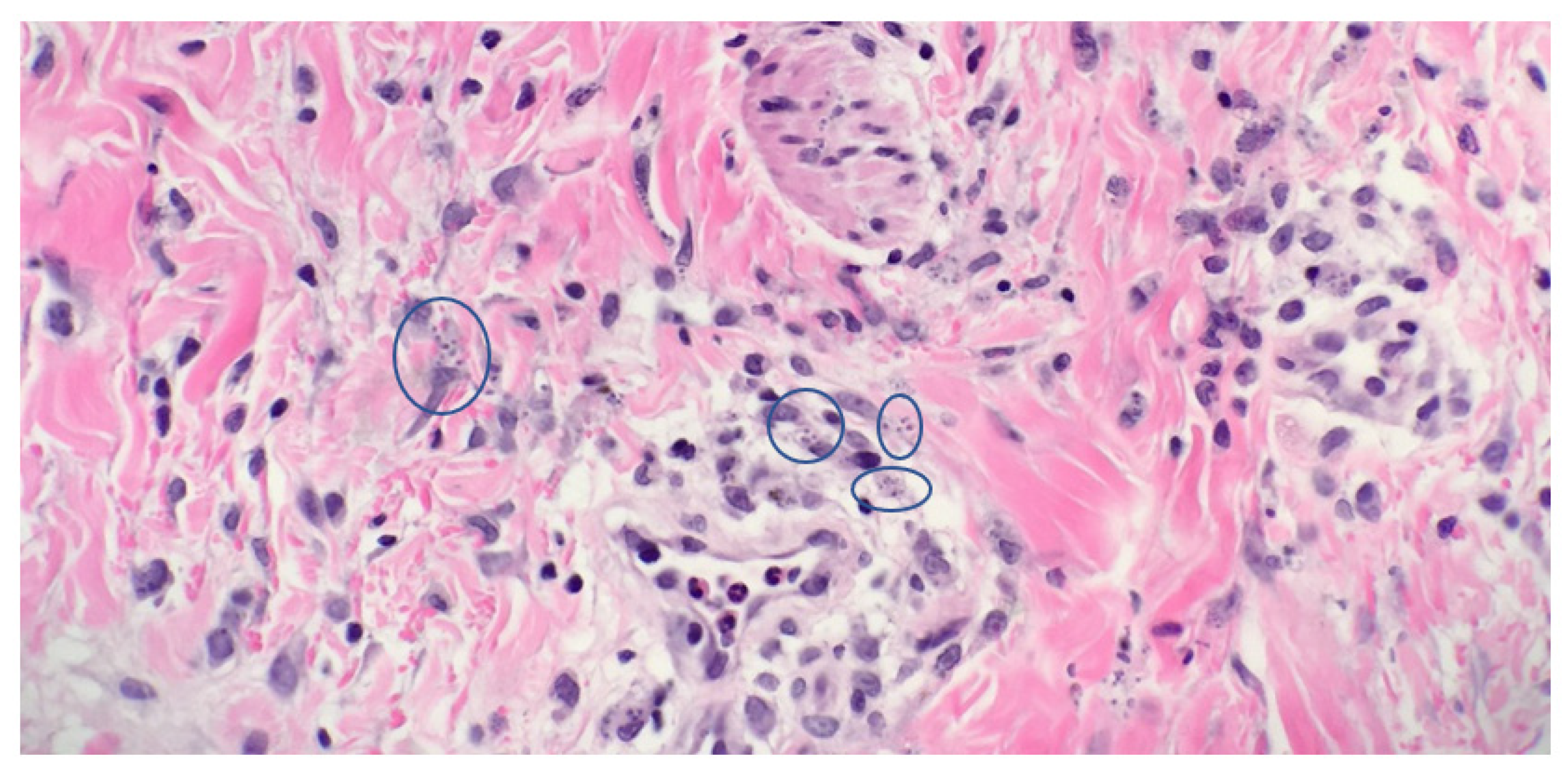
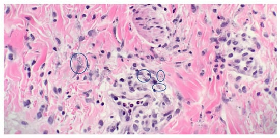
3. Case Report—Results
4. Discussion
5. Conclusions
Author Contributions
Funding
Institutional Review Board Statement
Informed Consent Statement
Data Availability Statement
Acknowledgments
Conflicts of Interest
Abbreviations
| AIDS | acquired immunodeficiency syndrome |
| ART | antiretroviral therapy |
| CALHIV | children and adolescents living with HIV |
| CD4 | cluster of differentiation 4 immune cells |
| COE | Center of Excellence |
| DOT | directly observed therapy |
| GMS | Grocott-Gomori’s (or Gömöri) methenamine silver stain |
| Hcc | Histoplasma capsulatum var capsulatum |
| Hcd | Histoplasma capsulatum var duboisii |
| HIV | Human Immunodeficiency Virus |
| IV | intravenous |
| LMIC | low- and middle-income country |
| PDH | progressive disseminated histoplasmosis |
| OPAT | outpatient parental antimicrobial therapy |
| VL | viral load |
| WBC | white blood cell |
References
- Oladele, R.O.; Ayanlowo, O.O.; Richardson, M.D.; Denning, D.W. Histoplasmosis in Africa: An emerging or a neglected disease? PLoS Negl. Trop. Dis. 2018, 12, e0006046. [Google Scholar] [CrossRef] [PubMed]
- Adenis, A.; Nacher, M.; Hanf, M.; Vantilcke, V.; Boukhari, R.; Blachet, D.; Demar, M.; Aznar, C.; Carme, B.; Couppie, P. HIV-associated histoplasmosis early mortality and incidence trends: From neglect to priority. PLoS Negl. Trop. Dis. 2014, 8, e3100. [Google Scholar] [CrossRef] [PubMed]
- García-Boyano, M.; Vega, W.; Prieto, L.; Chávez-Solórzano, N.; Solís Montiel, D.; Miño-León, G. Progressive disseminated histoplasmosis in children living with HIV: A case series study. Eur. J. Pediatr. 2021. [Google Scholar] [CrossRef] [PubMed]
- AIDSinfo. Guidelines for the Prevention and Treatment of Opportunistic Infections in HIV—Exposed and HIV—Infected Children: Histoplasmosis. Available online: https://aidsinfo.nih.gov/guidelines/html/5/pediatric-opportunistic-infection/406/histoplasmosis (accessed on 13 May 2020).
- World Health Organization. WHO Growth Reference 5–19 Years. Available online: http://www.who.int/growthref/who2007_bmi_for_age/en/ (accessed on 13 March 2021).
- World Health Organization. Guidelines for an Integrated Approach to Nutritional Care of HIV-Infected Children (6 Months–14 Years); World Health Organization, Ed.; World Health Organization: Geneva, Switzerland, 2009. [Google Scholar]
- Lofgren, S.M.; Kirsch, E.J.; Maro, V.P.; Morrissey, A.B.; Msuya, L.J.; Kinabo, G.D.; Saganda, W.; Diefenthal, H.C.; Ramadhani, H.O.; Wheat, L.J.; et al. Histoplasmosis among hospitalized febrile patients in northern Tanzania. Trans. R. Soc. Trop. Med. Hyg. 2012, 106, 504–507. [Google Scholar] [CrossRef] [PubMed][Green Version]
- Azar, M.M.; Hage, C.A. Clinical Perspectives in the Diagnosis and Management of Histoplasmosis. Clin. Chest Med. 2017, 38, 403–415. [Google Scholar] [CrossRef] [PubMed]
- Long, S.; Prober, C.; Fischer, M. Principles and Practice of Pediatric Infectious Diseases, 5th ed.; Elsevier: Philadelphia, PA, USA, 2018. [Google Scholar]
- Wheat, L.J.; Freifeld, A.G.; Kleiman, M.B.; Baddley, J.W.; McKinsey, D.S.; Loyd, J.E.; Kauffman, C.A. Clinical practice guidelines for the management of patients with histoplasmosis: 2007 update by the Infectious Diseases Society of America. Clin. Infect. Dis. Off. Publ. Infect. Dis. Soc. Am. 2007, 45, 807–825. [Google Scholar] [CrossRef] [PubMed]
- Azar, M.M.; Hage, C.A. Laboratory Diagnostics for Histoplasmosis. J. Clin. Microbiol. 2017, 55, 1612–1620. [Google Scholar] [CrossRef] [PubMed]
- Gonçalves, D.; Ferraz, C.; Vaz, L. Posaconazole as rescue therapy in African histoplasmosis. Braz. J. Infect. Dis. Off. Publ. Braz. Soc. Infect. Dis. 2013, 17, 102–105. [Google Scholar] [CrossRef] [PubMed]
- Wheat, L.J.; Connolly, P.; Smedema, M.; Brizendine, E.; Hafner, R. Emergence of resistance to fluconazole as a cause of failure during treatment of histoplasmosis in patients with acquired immunodeficiency disease syndrome. Clin. Infect. Dis. Off. Publ. Infect. Dis. Soc. Am. 2001, 33, 1910–1913. [Google Scholar] [CrossRef] [PubMed]
- Restrepo, A.; Tobón, A.; Clark, B.; Graham, D.R.; Corcoran, G.; Bradsher, R.W.; Goldman, M.; Pankey, G.; Moore, T.; Negroni, R.; et al. Salvage treatment of histoplasmosis with posaconazole. J. Infect. 2007, 54, 319–327. [Google Scholar] [CrossRef] [PubMed]
- Mazzella, A.; Stone, N.R.H.; Pool, E.R.M.; García Mingo, A.; Bolache, S.; Wood, C. HIV-associated disseminated histoplasmosis successfully treated with isavuconazole consolidation therapy. Med. Mycol. Case Rep. 2020, 27, 42–43. [Google Scholar] [CrossRef] [PubMed]
- Thompson, G.R. , 3rd.; Rendon, A.; Ribeiro Dos Santos, R.; Queiroz-Telles, F.; Ostrosky-Zeichner, L.; Azie, N.; Maher, R.; Lee, M.; Kovanda, L.; Engelhardt, M.; et al. Isavuconazole Treatment of Cryptococcosis and Dimorphic Mycoses. Clin. Infect. Dis. Off. Publ. Infect. Dis. Soc. Am. 2016, 63, 356–362. [Google Scholar] [CrossRef] [PubMed]
- Rae, N.; Kenny, C.; Muldoon, E.G. Can intravenous antifungal therapy be safely used in the outpatient parenteral antimicrobial therapy (OPAT) setting? Mycoses 2019, 62, 196–203. [Google Scholar] [CrossRef] [PubMed]
- Malani, P.N.; Depestel, D.D.; Riddell, J.; Bickley, S.; Klein, L.R.; Kauffman, C.A. Experience with community-based amphotericin B infusion therapy. Pharmacotherapy 2005, 25, 690–697. [Google Scholar] [CrossRef] [PubMed][Green Version]
- van de Peppel, R.J.; Schauwvlieghe, A.; Van Daele, R.; Spriet, I.; Van’t Wout, J.W.; Brüggemann, R.J.; Rijnders, B.J.A.; Hendriks, B.J.C.; de Boer, M.G.J. Outpatient parenteral antifungal therapy (OPAT) for invasive fungal infections with intermittent dosing of liposomal amphotericin B. Med. Mycol. 2020, 58, 874–880. [Google Scholar] [CrossRef] [PubMed]
- Bahr, N.C.; Rolfes, M.A.; Musubire, A.; Nabeta, H.; Williams, D.A.; Rhein, J.; Kambugu, A.; Meya, D.B.; Boulware, D.R. Standardized electrolyte supplementation and fluid management improves survival during amphotericin therapy for cryptococcal meningitis in resource-limited settings. Open Forum Infect. Dis. 2014, 1, ofu070. [Google Scholar] [CrossRef] [PubMed]
- World Health Organization. WHO Guidelines Approved by the Guidelines Review Committee. In Rapid Advice: Diagnosis, Prevention and Management of Cryptococcal Disease in HIV-Infected Adults, Adolescents and Children; World Health Organization: Geneva, Switzerland, 2011. [Google Scholar]
- Nanney, E.; Smith, S.; Hartwig, K.; Mmbando, P. Scaling up palliative care services in rural Tanzania. J. Pain Symptom Manag. 2010, 40, 15–18. [Google Scholar] [CrossRef] [PubMed]
- Walters, C.B.; Kynes, J.M.; Sobey, J.; Chimhundu-Sithole, T.; McQueen, K.A.K. Chronic Pediatric Pain in Low- and Middle-Income Countries. Children 2018, 5, 113. [Google Scholar] [CrossRef]
- Wilkins, M.L.; Dallas, R.H.; Fanone, K.E.; Lyon, M.E. Pediatric palliative care for youth with HIV/AIDS: Systematic review of the literature. HIV/AIDS 2013, 5, 165–179. [Google Scholar] [CrossRef] [PubMed][Green Version]





| Diagnostic Information | Result |
|---|---|
| Body mass index | 12.1 kg/m2 1 |
| Mid-upper arm circumference | 12.5 cm 2 |
| Absolute lymphocyte cell count | 0.3 × 109/L |
| Hemoglobin | 2.98 mmol/L |
| CD4 count | 24 cells/µL |
| HIV viral load | 196,658 cp/mL |
| Chest radiograph | Bilateral infiltrates with mild hilar adenopathy |
| Skull radiograph | No abnormalities |
| Laboratory Value | At Presentation 1 | 6 Months after Switch to ABC-3TC-LPV/r | 12 Months after Switch to ABC-3TC-LPV/r | 4 Years after Presentation; Treatment with ABC-3TC-DTG |
|---|---|---|---|---|
| CD4 count (cells/µL) | 24 | 213 | 422 | 404 |
| HIV viral load (cp/mL) | 196,658 | 35 | <20 | <20 |
| Hemoglobin (mmol/L) | 2.98 | 5.52 | 6.14 | 9.06 |
| White blood cell count (×109/L) | 3.43 | 4.63 | 5.5 | No data available |
Publisher’s Note: MDPI stays neutral with regard to jurisdictional claims in published maps and institutional affiliations. |
© 2021 by the authors. Licensee MDPI, Basel, Switzerland. This article is an open access article distributed under the terms and conditions of the Creative Commons Attribution (CC BY) license (http://creativecommons.org/licenses/by/4.0/).
Share and Cite
Lopez, A.; Bacha, J.; Kovarik, C.; Campbell, L. Successful Use of Multidisciplinary Palliative Care in the Outpatient Treatment of Disseminated Histoplasmosis in an HIV Positive Child. Children 2021, 8, 273. https://doi.org/10.3390/children8040273
Lopez A, Bacha J, Kovarik C, Campbell L. Successful Use of Multidisciplinary Palliative Care in the Outpatient Treatment of Disseminated Histoplasmosis in an HIV Positive Child. Children. 2021; 8(4):273. https://doi.org/10.3390/children8040273
Chicago/Turabian StyleLopez, Alison, Jason Bacha, Carrie Kovarik, and Liane Campbell. 2021. "Successful Use of Multidisciplinary Palliative Care in the Outpatient Treatment of Disseminated Histoplasmosis in an HIV Positive Child" Children 8, no. 4: 273. https://doi.org/10.3390/children8040273
APA StyleLopez, A., Bacha, J., Kovarik, C., & Campbell, L. (2021). Successful Use of Multidisciplinary Palliative Care in the Outpatient Treatment of Disseminated Histoplasmosis in an HIV Positive Child. Children, 8(4), 273. https://doi.org/10.3390/children8040273

