Pneumomediastinum Mimicking Congenital Pulmonary Airway Malformation
Abstract
1. Introduction
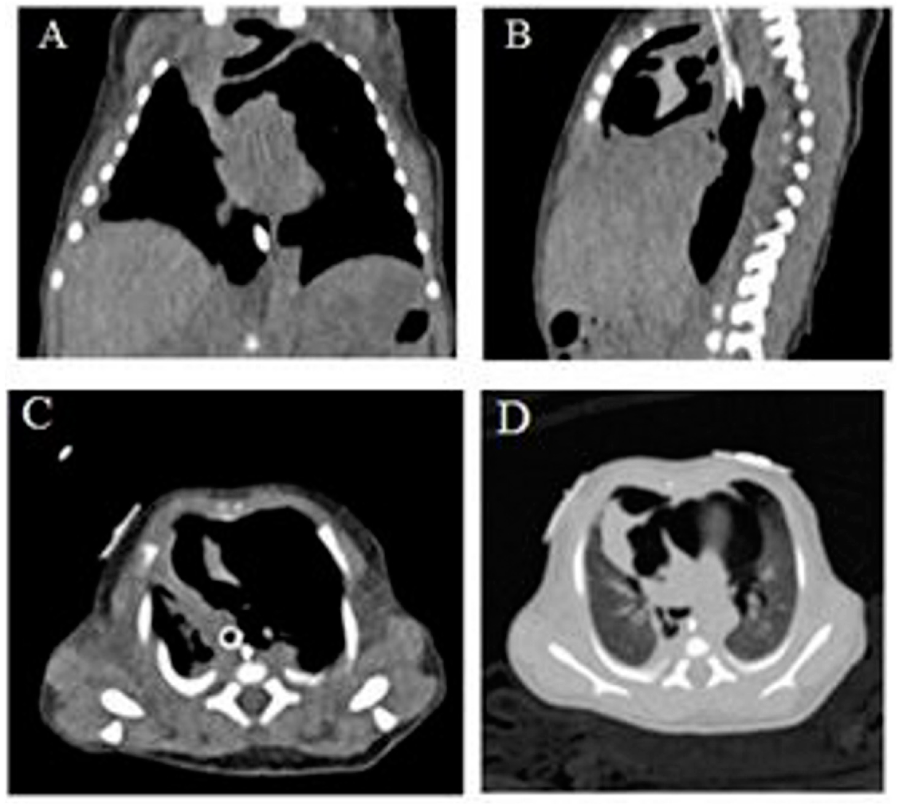
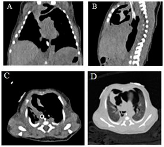
2. Case Summary
3. Discussion
Funding
Conflicts of Interest
References
- Lee, C.C.; Tsao, P.P.; Peng, S.S.; Jeng, S.S.; Chou, H.H.; Chen, C.C.; Hsieh, W.W. Spontaneous multiseptated cystic pneumomediastinum in a term newborn. Pediatr. Neonatol. 2008, 49, 197–200. [Google Scholar] [CrossRef]
- Kim, E.E.; Kim, J.J. Development of pulmonary air leak in an extremely-low-birth-weight infant without mechanical ventilation: A case report. Korean J. Anesthesiol. 2017, 70, 217–220. [Google Scholar] [CrossRef] [PubMed]
- Hauri-Hohl, A.; Baenziger, O.; Frey, B. Pneumomediastinum in the neonatal and paediatric intensive care unit. Eur. J. Pediatr. 2008, 167, 415–418. [Google Scholar] [CrossRef] [PubMed]
- Horbar, J.J.; Badger, G.G.; Carpenter, J.J.; Fanaroff, A.A.; Kilpatrick, S.; LaCorte, M.; Phibbs, R.; Soll, R.F. Members of the Vermont Oxford Network. Trends in mortality and morbidity for very low birth weight infants, 1991–1999. Pediatrics 2002, 110 Pt 1, 143–151. [Google Scholar] [CrossRef] [PubMed]
- Silva, I.I.; Flôr-de-Lima, F.; Rocha, G.; Alves, I.; Guimarães, H. Pneumothorax in neonates: A level III Neonatal Intensive Care Unit experience. J. Pediatr. Neonatal Individ. Med. 2016, 5, e050220. [Google Scholar] [CrossRef]
- Sherlock, L.L.; Wright, C.C. 50 Years Ago in The Journal of Pediatrics: Pneumomediastinum, a Silent Lesion in the Newborn. J. Pediatr. 2017, 183, 93. [Google Scholar] [CrossRef] [PubMed]
- Low, A.A.; Tan-Kendrick, A.A.; Loh, M.; Chui, C.C. Spontaneous multiloculated multiseptated pneumomediastinum in a newborn baby: The spinnaker sail is rigged-CT features with pathologic correlation. Pediatr. Radiol. 2003, 33, 712–715. [Google Scholar] [CrossRef] [PubMed]
- Alves, N.N.; Sousa, M. Images in pediatrics: The thymic sail sign and thymic wave sign. Eur. J. Pediatr. 2013, 172, 133. [Google Scholar] [CrossRef] [PubMed]
- Corsini, I.; Dani, C. Pneumomediastinum in term and late preterm newborns: What is the proper clinical approach? J. Matern. Fetal Neonatal Med. 2015, 28, 1332–1335. [Google Scholar] [CrossRef] [PubMed]
- Jung, A.Y.; Yang, I.; Go, H.S.; Shin, S.M.; Yoon, H.K.; Woo, J.Y.; Hong, H.S.; Kim, H.M. Imaging neonatal spontaneous pneumomediastinum using ultrasound. J. Med. Ultrason. 2014, 41, 45–49. [Google Scholar] [CrossRef][Green Version]
- Killinger, J.J.; Ross, S.S.; Pass, R.R. Pneumomediastinum and tension pneumopericardium after congenital diaphragmatic hernia repair: Presentation and transcatheter drainage. Pediatr. Cardiol. 2009, 30, 1048–1049. [Google Scholar] [CrossRef] [PubMed]


© 2019 by the author. Licensee MDPI, Basel, Switzerland. This article is an open access article distributed under the terms and conditions of the Creative Commons Attribution (CC BY) license (http://creativecommons.org/licenses/by/4.0/).
Share and Cite
Kylat, R.I. Pneumomediastinum Mimicking Congenital Pulmonary Airway Malformation. Children 2019, 6, 104. https://doi.org/10.3390/children6090104
Kylat RI. Pneumomediastinum Mimicking Congenital Pulmonary Airway Malformation. Children. 2019; 6(9):104. https://doi.org/10.3390/children6090104
Chicago/Turabian StyleKylat, Ranjit I. 2019. "Pneumomediastinum Mimicking Congenital Pulmonary Airway Malformation" Children 6, no. 9: 104. https://doi.org/10.3390/children6090104
APA StyleKylat, R. I. (2019). Pneumomediastinum Mimicking Congenital Pulmonary Airway Malformation. Children, 6(9), 104. https://doi.org/10.3390/children6090104

