Life-Threatening Anemia and Thrombocytopenia in a Toddler with Influenza B: Case Report and Literature Review
Abstract
1. Introduction
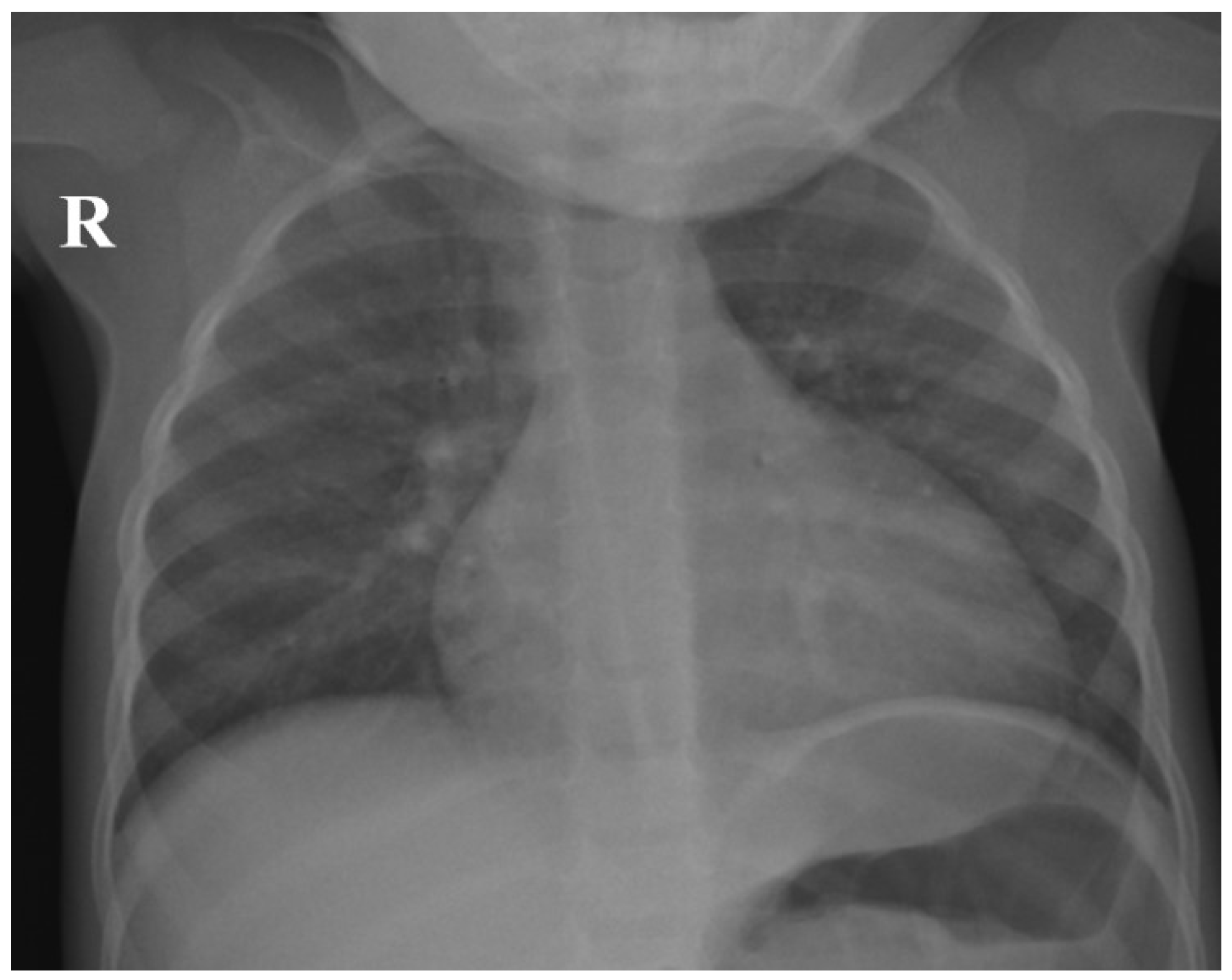
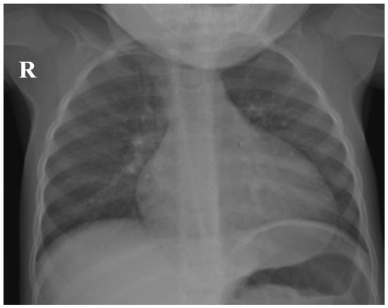
2. Case Report
3. Discussion
4. Conclusions
Author Contributions
Funding
Institutional Review Board Statement
Informed Consent Statement
Data Availability Statement
Conflicts of Interest
Abbreviations
| aHUS | Atypical hemolytic uremic syndrome |
| AIHA | Autoimmune hemolytic anemia |
| ALC | Absolute lymphocyte count |
| AMC | Absolute monocyte count |
| ANC | Absolute neutrophil count |
| ARC | Absolute reticulocyte count |
| COVID-19 | Coronavirus disease 2019 |
| DAT | Direct antiglobulin test |
| Hb | Hemoglobin |
| HCT | Hematocrit |
| HLH | Hemophagocytic lymphohistiocytosis |
| HUS | Hemolytic uremic syndrome |
| IDA | Iron deficiency anemia |
| ITP | Immune thrombocytopenic purpura |
| IV | Intravenous |
| MCH | Mean corpuscular hemoglobin |
| MCHC | Mean corpuscular hemoglobin concentration |
| MCV | Mean corpuscular volume |
| PCH | Paroxysmal cold hemoglobinuria |
| Plt | Platelet |
| PLT | Platelet count |
| RBC | Red blood cell |
| RET % | Reticulocyte percentage |
| SARS-CoV-2 | Severe acute respiratory syndrome coronavirus 2 |
| TMA | Thrombotic microangiopathy |
| TTP | Thrombotic thrombocytopenic purpura |
| WBC | White blood cell |
References
- Hoy, G.; Kuan, G.; López, R.; Sánchez, N.; López, B.; Ojeda, S.; Maier, H.; Patel, M.; Wraith, S.; Meyers, A.; et al. The Spectrum of Influenza in Children. Clin. Infect. Dis. 2023, 76, e1012–e1020. [Google Scholar] [CrossRef] [PubMed]
- Wolf, R.M.; Antoon, J.W. Influenza in Children and Adolescents: Epidemiology, Management, and Prevention. Pediatr. Rev. 2023, 44, 605–617. [Google Scholar] [CrossRef] [PubMed]
- Mattila, J.M.; Vuorinen, T.; Heikkinen, T. Comparative Severity of Influenza A and B Infections in Hospitalized Children. Pediatr. Infect. Dis. J. 2020, 39, 489–493. [Google Scholar] [CrossRef] [PubMed]
- Nair, H.; Brooks, W.A.; Katz, M.; Roca, A.; Berkley, J.A.; Madhi, S.A.; Simmerman, J.M.; Gordon, A.; Sato, M.; Howie, S.; et al. Global burden of respiratory infections due to seasonal influenza in young children: A systematic review and meta-analysis. Lancet 2011, 378, 1917–1930. [Google Scholar] [CrossRef] [PubMed]
- Ávila-Morales, S.; Ospina-Henao, S.; Ulloa-Gutierrez, R.; Ávila-Agüero, M.L. Epidemiological and clinical profile between influenza A and B virus in Costa Rican children. Int. J. Infect. Dis. 2021, 105, 763–768. [Google Scholar] [CrossRef] [PubMed]
- Sun, R.; Zhang, X.; Jia, W.; Li, P.; Song, C. Analysis of clinical characteristics and risk factors for death due to severe influenza in children. Eur. J. Clin. Microbiol. Infect. Dis. 2024, 43, 567–575. [Google Scholar] [CrossRef] [PubMed]
- Akçay, N.; Bingöl, İ.; Tosun, D.; Umur, Ö.; Çitak, A.; Başak, G.; Şik, G.; Telhan, L.; Kangin, M.; Menentoğlu, M.E.; et al. Severe Influenza Virus Infection After COVID-19 Pandemic: Comparison of Influenza A and Influenza B. Pediatr. Infect. Dis. J. 2025. [Google Scholar] [CrossRef] [PubMed]
- Yazici Özkaya, P.; Turanli, E.E.; Metin, H.; Aydın Uysal, A.; Çiçek, C.; Karapinar, B. Severe influenza virus infection in children admitted to the PICU: Comparison of influenza A and influenza B virus infection. J. Med. Virol. 2022, 94, 575–581. [Google Scholar] [CrossRef] [PubMed]
- Available online: https://www.cdc.gov/flu/hcp/antivirals/summary-clinicians.html?CDC_AAref_Val=https://www.cdc.gov/flu/professionals/antivirals/summary-clinicians.htm (accessed on 2 May 2025).
- Thompson, W.W.; Shay, D.K.; Weintraub, E.; Brammer, L.; Bridges, C.B.; Cox, N.J.; Fukuda, K. Influenza-associated hospitalizations in the United States. JAMA 2004, 292, 1333–1340. [Google Scholar] [CrossRef] [PubMed]
- Hoy, G.; Maier, H.E.; Kuan, G.; Sánchez, N.; López, R.; Meyers, A.; Plazaola, M.; Ojeda, S.; Balmaseda, A.; Gordon, A. Increased influenza severity in children in the wake of SARS-CoV-2. Influenza Other Respir. Viruses 2023, 17, e13178. [Google Scholar] [CrossRef] [PubMed] [PubMed Central]
- Ozsurekci, Y.; Aykac, K.; Bal, F.; Bayhan, C.; Basaranoglu, S.T.; Alp, A.; Cengiz, A.B.; Kara, A.; Ceyhan, M. Outcome predictors of influenza for hospitalization and mortality in children. J. Med. Virol. 2021, 93, 6148–6154. [Google Scholar] [CrossRef] [PubMed] [PubMed Central]
- Wang, C.C.; Chen, P.Y.; Wang, J.D.; Liu, F.C.; Huang, F.L.; Lee, C.Y. Clinical and laboratory analysis of influenza B infection in children in Taichung, Taiwan during the 2006-2007 flu season. Pediatr. Neonatol. 2009, 50, 54–58. [Google Scholar] [CrossRef] [PubMed][Green Version]
- Rice, J.; Resar, L.M. Hematologic abnormalities associated with influenza A infection: A report of 3 cases. Am. J. Med. Sci. 1998, 316, 401–403. [Google Scholar] [CrossRef] [PubMed]
- Cohen, A.; Owolabi, F.S.; Dowdell-Smith, C.P.; Laufman, J.; Iacobas, I.; Bass, L.; Foradori, D. Weakness, Anemia, and Neutropenia in a 9-Year-Old Girl with Influenza. Pediatrics 2020, 145, e20192574. [Google Scholar] [CrossRef] [PubMed]
- Lalueza, A.; Trujillo, H.; Laureiro, J.; Ayuso, B.; Hernández-Jiménez, P.; Castillo, C.; Torres, M.; Folgueira, D.; Madrid, O.; Díaz-Pedroche, C.; et al. Impact of severe hematological abnormalities in the outcome of hospitalized patients with influenza virus infection. Eur. J. Clin. Microbiol. Infect. Dis. 2017, 36, 1827–1837. [Google Scholar] [CrossRef] [PubMed] [PubMed Central]
- Bitzan, M.; Zieg, J. Influenza-associated thrombotic microangiopathies. Pediatr. Nephrol. 2018, 33, 2009–2025. [Google Scholar] [CrossRef] [PubMed] [PubMed Central]
- Camaschella, C. Iron deficiency. Blood 2019, 133, 30–39, Erratum in Blood 2023, 141, 682. [Google Scholar] [CrossRef] [PubMed]
- Kulik-Rechberger, B.; Dubel, M. Iron deficiency, iron deficiency anaemia and anaemia of inflammation—An overview. Ann. Agric. Environ. Med. 2024, 31, 151–157. [Google Scholar] [CrossRef] [PubMed]
- Lopez, A.; Cacoub, P.; Macdougall, I.C.; Peyrin-Biroulet, L. Iron deficiency anaemia. Lancet 2016, 387, 907–916. [Google Scholar] [CrossRef] [PubMed]
- Foolchand, A.; Ghazi, T.; Chuturgoon, A.A. Malnutrition and Dietary Habits Alter the Immune System Which May Consequently Influence SARS-CoV-2 Virulence: A Review. Int. J. Mol. Sci. 2022, 23, 2654. [Google Scholar] [CrossRef] [PubMed] [PubMed Central]
- Lakhan, N.; Clarke, M.; Mathew, S.M.; Marshall, H. Retrospective review of factors associated with severe hospitalised community-acquired influenza in a tertiary paediatric hospital in South Australia. Influenza Other Respir. Viruses 2016, 10, 479–485. [Google Scholar] [CrossRef] [PubMed] [PubMed Central]
- Physicians Committee for Responsible Medicine. Nutrition Guide for Clinicians–Influenza. 2021. Available online: https://nutritionguide.pcrm.org/nutritionguide/view/Nutrition_Guide_for_Clinicians/1342035/all/Influenza (accessed on 13 April 2025).
- Bhat, Y.R. Influenza B infections in children: A review. World J. Clin. Pediatr. 2020, 9, 44–52. [Google Scholar] [CrossRef] [PubMed] [PubMed Central]
- Silecchia, V.; D’Onofrio, G.; Valerio, E.; Rubin, G.; Vidal, E.; Murer, L. Influenza-associated hemolytic uremic syndrome: The pathogenic role of the virus. Clin. Nephrol. Case Stud. 2021, 9, 45–48. [Google Scholar] [CrossRef] [PubMed] [PubMed Central]
- McGraw, K.E.; Porter, A.P.; Moffitt, A.M.; Golden, M.E.M.; Stewart, H. Atypical Hemolytic Uremic Syndrome Following Influenza B: A Case Report. HCA Healthc. J. Med. 2024, 5, 459–464. [Google Scholar] [CrossRef] [PubMed] [PubMed Central]
- van Hoeve, K.; Vandermeulen, C.; Van Ranst, M.; Levtchenko, E.; van den Heuvel, L.; Mekahli, D. Occurrence of atypical HUS associated with influenza B. Eur. J. Pediatr. 2017, 176, 449–454. [Google Scholar] [CrossRef] [PubMed]
- Ranka, R.; Kalita, D.; Panda, P.K. Influenza B presenting with bicytopenia in an adult—An unusual presentation and failure of antimicrobial stewardship by a practicing physician. J. Family Med. Prim. Care 2020, 9, 3737–3740. [Google Scholar] [CrossRef] [PubMed] [PubMed Central]
- Raadsen, M.; Du Toit, J.; Langerak, T.; van Bussel, B.; van Gorp, E.; Goeijenbier, M. Thrombocytopenia in Virus Infections. J. Clin. Med. 2021, 10, 877. [Google Scholar] [CrossRef]
- Unal, S.; Gökçe, M.; Aytaç-Elmas, S.; Karabulut, E.; Altan, I.; Ozkaya-Parlakay, A.; Kara, A.; Ceyhan, M.; Cengiz, A.B.; Tuncer, M.; et al. Hematological consequences of pandemic influenza H1N1 infection: A single center experience. Turk. J. Pediatr. 2010, 52, 570–575. [Google Scholar] [PubMed]
- Rand, M.L.; Wright, J.F. Virus-associated idiopathic thrombocytopenic purpura. Transfus. Sci. 1998, 19, 253–259. [Google Scholar] [CrossRef] [PubMed]
- Jung, S.; Kang, S.; Kang, J.H.; Ma, S.H. A Case of Acute Idiopathic Thrombocytopenic Purpura Following Influenza B Virus Infection. Pediatr. Infect. Vaccine 2015, 22, 117–120. [Google Scholar] [CrossRef]
- Bandyopadhyay, P.; Biswas, T.; Lahiri, M. Autoimmune hemolytic anemia following influenza a pandemic H1N1 infection: A case report. J. Paediatr. Nurs. Sci. 2020, 3, 28–29. [Google Scholar] [CrossRef]
- Maslak, İ.C.; Selver, M.B.; Kaşkaya, Ö.; Yıldırım, M.B.; Sivrice, A.Ç.; Keskin, M.; Sagay, E.; Keskin, E.Y. Life-Threatening Recurrence of Paroxysmal Cold Hemoglobinuria in a Child During Influenza A Infection. Turk. Arch. Pediatr. 2024, 59, 419–421. [Google Scholar] [CrossRef] [PubMed] [PubMed Central]
- Bote, J.; Corkrey, H.A.; Koupenova, M. Human Platelets and Influenza Virus: Internalization and Platelet Activation. Platelets 2022, 33, 184–191. [Google Scholar] [CrossRef]
- Zama, D.; Pancaldi, L.; Baccelli, F.; Guida, F.; Gottardi, F.; Dentale, N.; Esposito, F.; Masetti, R.; Viale, P.; Pession, A. Autoimmune hemolytic anemia in children with COVID-19. Pediatr. Blood Cancer 2022, 69, e29330. [Google Scholar] [CrossRef]
- Jansen, A.J.G.; Spaan, T.; Low, H.Z.; Di Iorio, D.; van den Brand, J.; Tieke, M.; Barendrecht, A.; Rohn, K.; van Amerongen, G.; Stittelaar, K.; et al. Influenza-induced thrombocytopenia is dependent on the subtype and sialoglycan receptor and increases with virus pathogenicity. Blood Adv. 2020, 4, 2967–2978. [Google Scholar] [CrossRef] [PubMed] [PubMed Central]
- Fettah, A.; Kara, S.S.; Hafizoglu, D.; Volkan, B.; Özel, M.; Erten, I.; Çayir, A. Respiratory Viral Infectious Aetiologies of Transient Cytopenia in Previously Healthy Children 呼吸道病毒感染導致健康兒童一過性全血細胞減少的研究. HK J. Paediatr. (New Ser.) 2017, 22, 10–13. [Google Scholar]
- Halasa, N.B.; Spieker, A.J.; Young, C.C.; Olson, S.M.; Newhams, M.M.; Amarin, J.Z.; Moffitt, K.L.; Nakamura, M.M.; Levy, E.R.; Soma, V.L.; et al. Life-Threatening Complications of Influenza vs Coronavirus Disease 2019 (COVID-19) in US Children. Clin. Infect. Dis. 2023, 76, e280–e290. [Google Scholar] [CrossRef] [PubMed] [PubMed Central]
- Ayatollahi, J.; Shahcheraghi, S.H. Cytopenia in Influenza and possible treatment strategies. Health Biotechnol. Biopharma 2019, 3, 1–11. [Google Scholar] [CrossRef]
- Hanula, R.; Bortolussi-Courval, É.; Mendel, A.; Ward, B.J.; Lee, T.C.; McDonald, E.G. Evaluation of Oseltamivir Used to Prevent Hospitalization in Outpatients with Influenza: A Systematic Review and Meta-Analysis. JAMA Intern. Med. 2024, 184, 18–27, Erratum in JAMA Intern. Med. 2024, 184, 121. [Google Scholar] [CrossRef]
- Abbas, S.; Zafar, R.; Kitchloo, K. Influenza A-related pancytopenia: A rare complication in adults. In Hospital Medicine 2020 Virtual Competition; Abstract No. 513; Albert Einstein College of Medicine, Montefiore Medical Center: Bronx, NY, USA, 2020. [Google Scholar]
- Callejas Caballero, I.; Illán Ramos, M.; Berzosa Sánchez, A.; Anguita, E.; Ramos Amador, J.T. Autoimmune neutropenia associated with influenza virus infection in childhood: A case report. BMC Infect. Dis. 2021, 21, 830. [Google Scholar] [CrossRef]
- Gao, J.; Pasion, J.; Sanchez-Petitto, G.; Law, J. Influenza virus B-associated hemophagocytic lymphohistiocytosis. Hematol. Rep. 2019, 11, 8268. [Google Scholar] [CrossRef] [PubMed] [PubMed Central]
- Grohskopf, L.A.; Ferdinands, J.M.; Blanton, L.H.; Broder, K.R.; Loehr, J. Prevention and Control of Seasonal Influenza with Vaccines: Recommendations of the Advisory Committee on Immunization Practices—United States, 2024–2025 Influenza Season. MMWR Recomm. Rep. 2024, 73, 1–25. [Google Scholar] [CrossRef] [PubMed] [PubMed Central]


| Day | Clinical Findings | Interventions |
|---|---|---|
| 1–3 | Fever (39.4 °C), dry cough, vomiting | Supportive care at home |
| 4 | Pallor, lethargy | RBC/platelet transfusions, oseltamivir |
| 5 | Afebrile | Corticosteroids, monitoring |
| 8 | No notable clinical findings | Discharged with outpatient follow-up |
| Bloodwork | Day 1 | Day 2 | Day 3 | Day 4 | Day 5 | Day 6 | Day 7 |
|---|---|---|---|---|---|---|---|
| WBC (103 μL) | 5.66 | 8.2 | 9.49 | 11.27 | 10.93 | 8.5 | 7.72 |
| ANC (103 μL) | 1.9 | 2.12 | 2.18 | 2.17 | 2.03 | 2.36 | 2.68 |
| ALC (103 μL) | 3.47 | 5.4 | 6.53 | 7.07 | 6.89 | 5.6 | 4.66 |
| AMC (103 μL) | 0.12 | 0.54 | 0.57 | 0.60 | 0.47 | 0.40 | 0.35 |
| RBC (106 μL) | 2.16 | 2.80 | 3.85 | 3.60 | 4.36 | 4.95 | 4.81 |
| Hb (g/dL) | 3.1 | 7.2 | 8 | 7.4 | 8.9 | 10.2 | 9.9 |
| HCT % | 12.4 | 20.5 | 27.2 | 27.5 | 26.7 | 35.3 | 34.6 |
| MCV (fL) | 55 | 69 | 70 | 72.5 | 69.2 | 71.2 | 71.9 |
| MCH (pg) | 14.6 | 19.5 | 21.8 | 20.1 | 20 | 20.6 | 20.6 |
| MCHC (g/dL) | 25.3 | 28.2 | 28.4 | 28.5 | 29 | 30.2 | 28.6 |
| PLT (103 mL) | 15 | 48 | 78 | 89 | 110 | 153 | 176 |
| ARC (106 μL) | 0.0146 | 0.2260 | |||||
| RET % | 0.68 | 1.5 | 2.8 | 3.7 | 4.5 | 4.56 | 5.4 |
| Hemolysis Marker | Tested | Result/Status |
|---|---|---|
| LDH | Yes | Normal (329 U/L) |
| Total bilirubin | Yes | Normal (0.18) |
| Direct bilirubin | Yes | 0.18 |
| Indirect bilirubin | Yes | 0.01 |
| Haptoglobin | Yes | Normal (60 mg/dL) |
| RET % | Yes | 0.68% (inappropriately low for anemia) |
| ARC | Yes | 0.0146 × 106/μL (low) |
| Uric acid | Yes | Normal (2.2 mg/dL) |
| Urine hemoglobin | Yes | Negative (no hemoglobinuria) |
Disclaimer/Publisher’s Note: The statements, opinions and data contained in all publications are solely those of the individual author(s) and contributor(s) and not of MDPI and/or the editor(s). MDPI and/or the editor(s) disclaim responsibility for any injury to people or property resulting from any ideas, methods, instructions or products referred to in the content. |
© 2025 by the authors. Licensee MDPI, Basel, Switzerland. This article is an open access article distributed under the terms and conditions of the Creative Commons Attribution (CC BY) license (https://creativecommons.org/licenses/by/4.0/).
Share and Cite
Profir, I.; Popescu, C.-M.; Moraru, I. Life-Threatening Anemia and Thrombocytopenia in a Toddler with Influenza B: Case Report and Literature Review. Children 2025, 12, 632. https://doi.org/10.3390/children12050632
Profir I, Popescu C-M, Moraru I. Life-Threatening Anemia and Thrombocytopenia in a Toddler with Influenza B: Case Report and Literature Review. Children. 2025; 12(5):632. https://doi.org/10.3390/children12050632
Chicago/Turabian StyleProfir, Irina, Cristina-Mihaela Popescu, and Iuliana Moraru. 2025. "Life-Threatening Anemia and Thrombocytopenia in a Toddler with Influenza B: Case Report and Literature Review" Children 12, no. 5: 632. https://doi.org/10.3390/children12050632
APA StyleProfir, I., Popescu, C.-M., & Moraru, I. (2025). Life-Threatening Anemia and Thrombocytopenia in a Toddler with Influenza B: Case Report and Literature Review. Children, 12(5), 632. https://doi.org/10.3390/children12050632

