The Efficacy of a Novel Hybrid Brace in the Treatment of Adolescent Idiopathic Scoliosis: A Prospective Case-Series Study
Abstract
1. Introduction
2. Materials and Methods
2.1. Study Design and Participants
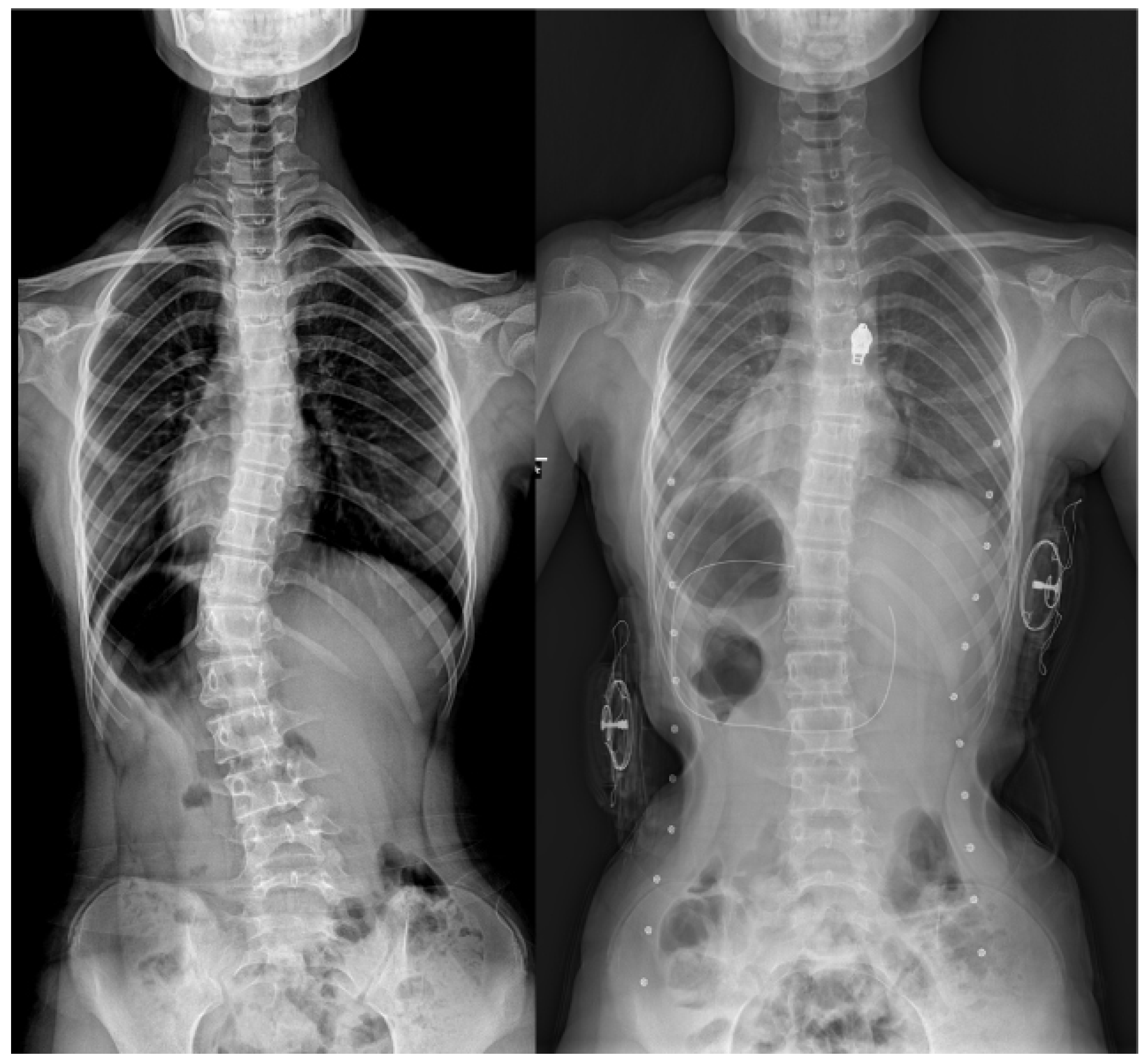
2.2. Hybrid Brace Treatment and Follow-Up
2.3. Data Collection and Outcome Assessment
2.4. Statistical Analysis
3. Results
4. Discussion
5. Conclusions
Author Contributions
Funding
Institutional Review Board Statement
Informed Consent Statement
Data Availability Statement
Conflicts of Interest
Abbreviations
| AIS | Adolescent idiopathic scoliosis |
| IBC | In-brace correction |
| SRS | Scoliosis Research Society |
| DRU | Distal radioulnar |
| AV | Apical vertebra |
| AP | Anteroposterior |
References
- Konieczny, M.R.; Senyurt, H.; Krauspe, R. Epidemiology of adolescent idiopathic scoliosis. J. Child Orthop. 2013, 7, 3–9. [Google Scholar] [CrossRef] [PubMed]
- Kim, H.; Chang, B.S.; Chang, S.Y. Current issues in the treatment of adolescent idiopathic scoliosis: A comprehensive narrative review. Asian Spine J. 2024, 18, 731–742. [Google Scholar] [CrossRef] [PubMed]
- Weinstein, S.L.; Dolan, L.A.; Wright, J.G.; Dobbs, M.B. Effects of bracing in adolescents with idiopathic scoliosis. N. Engl. J. Med. 2013, 369, 1512–1521. [Google Scholar] [CrossRef] [PubMed]
- Ghorbani, F.; Ranjbar, H.; Kamyab, M.; Babaee, T.; Kamali, M.; Razavi, H.; Sharifi, P.; Janani, L. Effect of Brace Treatment on Craniovertebral to Lumbopelvic Sagittal Parameters in Adolescents with Idiopathic Scoliosis: A Systematic Review. Asian Spine J. 2023, 17, 401–417. [Google Scholar] [CrossRef]
- Babaee, T.; Moradi, V.; Hashemi, H.; Shariat, A.; Anastasio, A.T.; Khosravi, M.; Bagheripour, B. Does Bracing Control the Progression of Adolescent Idiopathic Scoliosis in Curves Higher Than 40°? A Systematic Review and Meta-analysis. Asian Spine J. 2023, 17, 203–212. [Google Scholar] [CrossRef]
- Kuroki, H. Brace Treatment for Adolescent Idiopathic Scoliosis. J. Clin. Med. 2018, 7, 136. [Google Scholar] [CrossRef]
- Costa, L.; Schlosser, T.P.C.; Jimale, H.; Homans, J.F.; Kruyt, M.C.; Castelein, R.M. The Effectiveness of Different Concepts of Bracing in Adolescent Idiopathic Scoliosis (AIS): A Systematic Review and Meta-Analysis. J. Clin. Med. 2021, 10, 2145. [Google Scholar] [CrossRef]
- Guo, J.; Lam, T.P.; Wong, M.S.; Ng, B.K.; Lee, K.M.; Liu, K.L.; Hung, L.H.; Lau, A.H.; Sin, S.W.; Kwok, W.K.; et al. A prospective randomized controlled study on the treatment outcome of SpineCor brace versus rigid brace for adolescent idiopathic scoliosis with follow-up according to the SRS standardized criteria. Eur. Spine J. 2014, 23, 2650–2657. [Google Scholar] [CrossRef]
- Negrini, S.; Aulisa, A.G.; Cerny, P.; de Mauroy, J.C.; McAviney, J.; Mills, A.; Donzelli, S.; Grivas, T.B.; Hresko, M.T.; Kotwicki, T.; et al. The classification of scoliosis braces developed by SOSORT with SRS, ISPO, and POSNA and approved by ESPRM. Eur. Spine J. 2022, 31, 980–989. [Google Scholar] [CrossRef]
- Richards, B.S.; Bernstein, R.M.; D’Amato, C.R.; Thompson, G.H. Standardization of criteria for adolescent idiopathic scoliosis brace studies: SRS Committee on Bracing and Nonoperative Management. Spine 2005, 30, 2068–2075. [Google Scholar] [CrossRef]
- Negrini, S.; Hresko, T.M.; O’Brien, J.P.; Price, N. Recommendations for research studies on treatment of idiopathic scoliosis: Consensus 2014 between SOSORT and SRS non-operative management committee. Scoliosis 2015, 10, 8. [Google Scholar] [CrossRef] [PubMed]
- Rigo, M.; Jelačić, M. Brace technology thematic series: The 3D Rigo Chêneau-type brace. Scoliosis Spinal Disord. 2017, 12, 10. [Google Scholar] [CrossRef] [PubMed]
- Cheung, P.W.H.; Cheung, J.P.Y. Sanders stage 7b: Using the appearance of the ulnar physis improves decision-making for brace weaning in patients with adolescent idiopathic scoliosis. Bone Jt. J. 2021, 103-B, 141–147. [Google Scholar] [CrossRef] [PubMed]
- Swaby, L.; Cui, M.; Cole, A. Discontinuation of brace treatment in adolescent idiopathic scoliosis (AIS): A scoping review. Spine Deform. 2024, 12, 1217–1228. [Google Scholar] [CrossRef]
- Davis, L.; Murphy, J.S.; Shaw, K.A.; Cash, K.; Devito, D.P.; Schmitz, M.L. Nighttime bracing with the Providence thoracolumbosacral orthosis for treatment of adolescent idiopathic scoliosis: A retrospective consecutive clinical series. Prosthet. Orthot. Int. 2019, 43, 158–162. [Google Scholar] [CrossRef]
- Ohrt-Nissen, S.; Hallager, D.W.; Gehrchen, M.; Dahl, B. Flexibility Predicts Curve Progression in Providence Nighttime Bracing of Patients with Adolescent Idiopathic Scoliosis. Spine 2016, 41, 1724–1730. [Google Scholar] [CrossRef]
- Bohl, D.D.; Telles, C.J.; Golinvaux, N.S.; Basques, B.A.; DeLuca, P.A.; Grauer, J.N. Effectiveness of Providence nighttime bracing in patients with adolescent idiopathic scoliosis. Orthopedics 2014, 37, e1085–e1090. [Google Scholar] [CrossRef]
- Simony, A.; Beuschau, I.; Quisth, L.; Jespersen, S.M.; Carreon, L.Y.; Andersen, M.O. Providence nighttime bracing is effective in treatment for adolescent idiopathic scoliosis even in curves larger than 35°. Eur. Spine J. 2019, 28, 2020–2024. [Google Scholar] [CrossRef]
- Coillard, C.; Circo, A.B.; Rivard, C.H. A prospective randomized controlled trial of the natural history of idiopathic scoliosis versus treatment with the SpineCor brace. Sosort Award 2011 winner. Eur. J. Phys. Rehabil. Med. 2014, 50, 479–487. [Google Scholar]
- Coillard, C.; Vachon, V.; Circo, A.B.; Beauséjour, M.; Rivard, C.H. Effectiveness of the SpineCor brace based on the new standardized criteria proposed by the scoliosis research society for adolescent idiopathic scoliosis. J. Pediatr. Orthop. 2007, 27, 375–379. [Google Scholar] [CrossRef]
- Katz, D.E.; Durrani, A.A. Factors that influence outcome in bracing large curves in patients with adolescent idiopathic scoliosis. Spine 2001, 26, 2354–2361. [Google Scholar] [CrossRef] [PubMed]
- Lin, Y.; Lou, E.; Lam, T.P.; Cheng, J.C.; Sin, S.W.; Kwok, W.K.; Wong, M.S. The Intelligent Automated Pressure-Adjustable Orthosis for Patients with Adolescent Idiopathic Scoliosis: A Bi-Center Randomized Controlled Trial. Spine 2020, 45, 1395–1402. [Google Scholar] [CrossRef] [PubMed]
- Rainoldi, L.; Zaina, F.; Villafañe, J.H.; Donzelli, S.; Negrini, S. Quality of life in normal and idiopathic scoliosis adolescents before diagnosis: Reference values and discriminative validity of the SRS-22. A cross-sectional study of 1205 pupils. Spine J. 2015, 15, 662–667. [Google Scholar] [CrossRef] [PubMed]



| Improved | Stationary | Progressed | p-Value * | ||
|---|---|---|---|---|---|
| All patients (n = 24) | 7 (29.2%) | 15 (62.5) | 2 (8.3%) | ||
| DRU classification | Ulnar grade < 7 (n = 14) | 2 (14.3%) | 10 (71.4%) | 2 (14.3%) | 0.172 |
| Ulnar grade ≥ 7 (n = 10) | 5 (50.0%) | 5 (50.0%) | 0 | ||
| Curve type | Lenke 1, 2 (n = 10) | 2 (20.0%) | 6 (60.0%) | 2 (20.0%) | 1.000 |
| Lenke 5, 6 (n = 14) | 5 (35.7%) | 9 (64.3%) | 0 | ||
| Curve magnitude (pre-brace) | 20–29° (n = 7) | 3 (42.9%) | 4 (57.1%) | 0 | 0.423 |
| 30–39° (n = 11) | 2 (18.2%) | 9 (81.8%) | 0 | ||
| 40–45° (n = 6) | 2 (33.3%) | 2 (33.3%) | 2 (33.3%) | ||
| In-brace correction | <40% (n = 10) | 3 (30.0%) | 5 (50.0%) | 2 (20.0%) | 1.000 |
| ≥40% (n = 14) | 4 (28.6%) | 10 (71.4%) | 0 | ||
| Apical vertebra rotation | Nash–Moe < 2 (n = 19) | 5 (26.3%) | 13 (68.4%) | 1 (5.3%) | 0.565 |
| Nash–Moe ≥ 2 (n = 5) | 2 (40.0%) | 2 (40.0%) | 1 (20.0%) | ||
| Improved Group (n = 7) | Stationary Group (n = 15) | |||||
|---|---|---|---|---|---|---|
| Baseline | 12 Months | p-Value * | Baseline | 12 Months | p-Value * | |
| SRS-22 Mean | 2.6 ± 0.3 | 2.7 ± 0.2 | 0.938 | 2.6 ± 0.2 | 2.8 ± 0.6 | 0.223 |
| SRS-22 Function | 2.5 ± 0.3 | 2.5 ± 0.2 | 1.000 | 2.8 ± 0.3 | 2.8 ± 0.6 | 1.000 |
| SRS-22 Pain | 3.2 ± 0.2 | 3.1 ± 0.1 | 0.750 | 3.2 ± 0.1 | 3.2 ± 0.5 | 0.231 |
| SRS-22 Self-image | 2.5 ± 0.8 | 2.6 ± 0.8 | 0.797 | 2.1 ± 0.5 | 2.5 ± 0.9 | 0.116 |
| SRS-22 Mental health | 2.3 ± 0.4 | 2.3 ± 0.2 | 0.875 | 2.2 ± 0.3 | 2.3 ± 0.7 | 0.902 |
| Hybrid Brace (n = 24) | Rigid Brace (n = 24) | Cohen’s d | p-Value | |
|---|---|---|---|---|
| Initial Cobb angle (°) | 34.5 ± 6.3 | 32.3 ± 5.2 | 0.39 | 0.189 |
| In-brace correction (%) | 41.5 ± 16.0 | 61.1 ± 19.2 | 1.11 | 0.001 |
| Final Cobb angle (°) | 31.6 ± 8.6 | 32.6 ± 7.6 | 0.12 | 0.678 |
| Success rate (%) | 91.7 (22/24) | 83.3 (20/24) | NA | 0.666 |
| Improved group (%) | 29.2 (7/24) | 12.5 (3/24) | NA | 0.287 |
| Final Risser grade | 3.9 ± 1.1 | 3.8 ± 0.7 | 0.18 | 0.541 |
| Follow-up (months) | 21.1 ± 6.4 | 31.6 ± 15.5 | 0.89 | 0.003 |
Disclaimer/Publisher’s Note: The statements, opinions and data contained in all publications are solely those of the individual author(s) and contributor(s) and not of MDPI and/or the editor(s). MDPI and/or the editor(s) disclaim responsibility for any injury to people or property resulting from any ideas, methods, instructions or products referred to in the content. |
© 2025 by the authors. Licensee MDPI, Basel, Switzerland. This article is an open access article distributed under the terms and conditions of the Creative Commons Attribution (CC BY) license (https://creativecommons.org/licenses/by/4.0/).
Share and Cite
Kim, H.; Chang, S.Y.; Chang, B.S.; Lee, J.Y.; Jang, S.; Kim, S.T. The Efficacy of a Novel Hybrid Brace in the Treatment of Adolescent Idiopathic Scoliosis: A Prospective Case-Series Study. Children 2025, 12, 328. https://doi.org/10.3390/children12030328
Kim H, Chang SY, Chang BS, Lee JY, Jang S, Kim ST. The Efficacy of a Novel Hybrid Brace in the Treatment of Adolescent Idiopathic Scoliosis: A Prospective Case-Series Study. Children. 2025; 12(3):328. https://doi.org/10.3390/children12030328
Chicago/Turabian StyleKim, Hyoungmin, Sam Yeol Chang, Bong Soon Chang, Jun Yeop Lee, Seonpyo Jang, and Sung Taeck Kim. 2025. "The Efficacy of a Novel Hybrid Brace in the Treatment of Adolescent Idiopathic Scoliosis: A Prospective Case-Series Study" Children 12, no. 3: 328. https://doi.org/10.3390/children12030328
APA StyleKim, H., Chang, S. Y., Chang, B. S., Lee, J. Y., Jang, S., & Kim, S. T. (2025). The Efficacy of a Novel Hybrid Brace in the Treatment of Adolescent Idiopathic Scoliosis: A Prospective Case-Series Study. Children, 12(3), 328. https://doi.org/10.3390/children12030328

