Application of Ultrasound in Primary Vesicoureteral Reflux: From Diagnosis to Follow Up
Abstract
1. Introduction
2. Materials and Methods: Papers Selection
3. Results
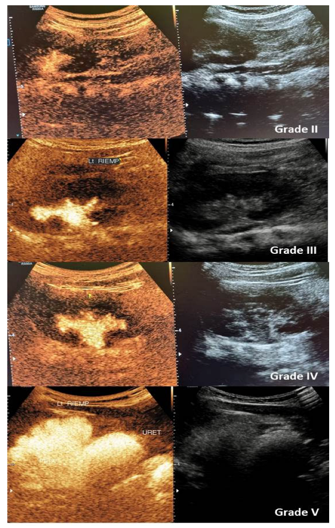
4. Diagnosis of VUR
- B-mode US investigation: in supine position, to visualize kidneys and bladder.
- Bladder catheterization: a sterile gentle procedure to be performed with great care in order to reduce the risk for iatrogenic UTI.
- Contrast agent preparation: The agent should be prepared according to the manufacturer’s indications, a few minutes before the procedure. The agent is diluted in saline solution and gently agitated. Some authors have suggested the use of pre-warmed solution to be inserted into the bladder, as a rapid change in solution temperature could compromise the agent microbubble stability. The contrast agent is inserted into the bladder via a three-way stopcock linked to the catheter and to the saline solution. A dose of 0.5–1 mL of contrast solution is considered adequate for a single examination.
- Voiding examination: A complete cycle of bladder filling and emptying should be observed. The scans should start from the bladder in order to visualize the ureters and continue to both kidneys during the filling and emptying phases.
5. Operative US in VUR
6. Follow-Up
7. Conclusions
Supplementary Materials
Author Contributions
Funding
Institutional Review Board Statement
Informed Consent Statement
Data Availability Statement
Conflicts of Interest
Abbreviations
| VUR | Vesicoureteral reflux |
| US | Ultrasound |
| CEVUS | Contrast-enhanced voiding ultrasound |
| PRISMA | Preferred Reporting Items for Systematic reviews and Meta-Analyses |
| UTI | Urinary tract infections |
| CAKUT | Congenital anomalies of the kidney and urinary tract |
| UT | Urinary tract |
| UTD | Urinary tract dilatation |
| APRPD | Antero/posterior renal pelvis diameter |
| VCUG | Voiding cystourethrography |
| DMSA | Dimercaptosuccinic acid |
| RBUS | Renal–bladder ultrasound |
| LUTS | Lower urinary tract symptoms |
| DX/Ha | Dextranomer/Hyaluronic acid Copolymer |
References
- Awais, M.; Rehman, A.; Baloch, N.U.-A.; Khan, F.; Khan, N. Evaluation and management of recurrent urinary tract infections in children: State of the art [Review of Evaluation and management of recurrent urinary tract infections in children: State of the art]. Expert Rev. Anti-Infect. Ther. 2014, 13, 209. [Google Scholar] [CrossRef]
- Robinson, J.; Finlay, J.C.; Lang, M.; Bortolussi, R. Urinary tract infections in infants and children: Diagnosis and management. Paediatr. Child Health 2014, 19, 315. [Google Scholar] [CrossRef]
- Ansari, B.; Jewkes, F.; Davies, S.L. Urinary tract infection in children Part I: Epidemiology, natural history, diagnosis and management [Review of Urinary tract infection in children Part I: Epidemiology, natural history, diagnosis and management]. J. Infect. 1995, 30, 3. [Google Scholar] [CrossRef]
- Schlager, T.A. Urinary Tract Infections in Infants and Children. Microbiol Spectr. 2016, 4, 10.1128. [Google Scholar] [CrossRef]
- Page, M.J.; McKenzie, J.E.; Bossuyt, P.M.; Boutron, I.; Hoffmann, T.C.; Mulrow, C.D.; Shamseer, L.; Tetzlaff, J.M.; Akl, E.A.; Brennan, S.E.; et al. The PRISMA 2020 statement: An updated guideline for reporting systematic reviews. BMJ 2021, 372, n71. [Google Scholar] [CrossRef]
- Balthazar, A.; Herndon, C.D.A. Prenatal Urinary Tract Dilatation. Urol. Clin. N. Am. 2018, 45, 641–657. [Google Scholar] [CrossRef] [PubMed]
- Nguyen, H.T.; Benson, C.B.; Bromley, B.; Campbell, J.B.; Chow, J.; Coleman, B.; Cooper, C.; Crino, J.; Darge, K.; Herndon, C.D.; et al. Multidisciplinary consensus on the classification of prenatal and postnatal urinary tract dilation (UTD classification system). J. Pediatr. Urol. 2014, 10, 982–998. [Google Scholar] [CrossRef] [PubMed]
- Odibo, A.O.; Marchiano, D.; Quinones, J.N.; Riesch, D.; Egan, J.F.; Macones, G.A. Mild pyelectasis: Evaluating the relationship between gestational age and renal pelvic anterior-posterior diameter. Prenat. Diagn. 2003, 23, 824–827. [Google Scholar] [CrossRef]
- American Institute of Ultrasound in Medicine. AIUM practice guideline for the performance of obstetric ultrasound examinations. J. Ultrasound Med. 2013, 32, 1083–1101. [Google Scholar] [CrossRef]
- Herthelius, M. Antenatally detected urinary tract dilatation: Long-term outcome. Pediatr. Nephrol. 2023, 38, 3221–3227. [Google Scholar] [CrossRef] [PubMed] [PubMed Central]
- Sairam, S.; Al-Habib, A.; Sasson, S.; Thilaganathan, B. Natural history of fetal hydronephrosis diagnosed on mid-trimester ultrasound. Ultrasound Obs. Gynecol. 2001, 17, 191–196. [Google Scholar] [CrossRef]
- Coelho, G.M.; Bouzada, M.C.; Pereira, A.K.; Figueiredo, B.F.; Leite, M.R.; Oliveira, D.S.; Oliveira, E.A. Outcome of isolated antenatal hydronephrosis: A prospective cohort study. Pediatr. Nephrol. 2007, 22, 1727–1734. [Google Scholar] [CrossRef]
- Barbosa, J.A.; Chow, J.S.; Benson, C.B.; Yorioka, M.A.; Bull, A.S.; Retik, A.B.; Nguyen, H.T. Postnatal longitudinal evaluation of children diagnosed with prenatal hydronephrosis: Insights in natural history and referral pattern. Prenat. Diagn. 2012, 32, 1242–1249. [Google Scholar] [CrossRef]
- Ismaili, K.; Hall, M.; Donner, C.; Thomas, D.; Vermeylen, D.; Avni, F.E. Brussels Free University Perinatal Nephrology study group. Results of systematic screening for minor degrees of fetal renal pelvis dilatation in an unselected population. Am. J. Obs. Gynecol. 2003, 188, 242–246. [Google Scholar] [CrossRef]
- Scarborough, P.L.; Ferrara, E.; Storm, D.W. Should prenatal hydronephrosis that resolves before birth be followed postnatally? Analysis and comparison to persistent prenatal hydronephrosis. Pediatr. Nephrol. 2015, 30, 1485–1491. [Google Scholar] [CrossRef]
- Farrugia, M.K.; Montini, G. Does vesicoureteric reflux diagnosed following prenatal urinary tract dilatation need active management? A narrative review. J. Pediatr. Urol. 2025, 21, 115–122. [Google Scholar] [CrossRef]
- Demède, D.; Cheikhelard, A.; Hoch, M.; Mouriquand, P. Médecine factuelle et reflux vésico-urétéral [Evidence-based medicine and vesicoureteral reflux]. Ann. Urol. 2006, 40, 161–174. [Google Scholar] [CrossRef]
- Sjöström, S.; Jodal, U.; Sixt, R.; Bachelard, M.; Sillén, U. Longitudinal development of renal damage and renal function in infants with high grade vesicoureteral reflux. J. Urol. 2009, 181, 2277–2283. [Google Scholar] [CrossRef]
- Mohammadjafari, H.; Alam, A.; Mohammadi, S.; Mousavi, S.A.; Kosaryan, A.; Khademloo, M.; Abedi, M. Outcome of vesicoureteral reflux in infants: Impact of prenatal diagnosis. Iran. J. Pediatr. 2013, 23, 439. [Google Scholar]
- Skott, M.; Kennedy, U.; Gnech, M.; van Uitert, A.; Bujons, A.; Hoen, L.T.; Rawashdeh, Y.F.; Silay, M.S.; O’kElly, F.; Quaedackers, J.; et al. European Association of Urology-European Society of Paediatric Urology Guidelines on Paediatric Urology: Summary of 2024 Updates. Part II. Eur. Urol. 2025, 88, 190–203. [Google Scholar] [CrossRef]
- Gordon, Z.N.; McLeod, D.J.; Ching, C.B.; Herz, D.B.; Bates, D.G.; Becknell, B.; Alpert, S.A. Uroepithelial thickening improves detection of vesicoureteral reflux in infants with prenatal hydronephrosis. J. Pediatr. Urol. 2016, 12, 257.e1–257.e7. [Google Scholar] [CrossRef] [PubMed] [PubMed Central]
- Visuri, S.; Kivisaari, R.; Jahnukainen, T.; Taskinen, S. Postnatal imaging of prenatally detected hydronephrosis-when is voiding cystourethrogram necessary? Pediatr. Nephrol. 2018, 33, 1751–1757. [Google Scholar] [CrossRef]
- Scott Wang, H.H.; Li, M.; Cahill, D.; Panagides, J.; Logvinenko, T.; Chow, J.; Nelson, C. A machine learning algorithm predicting risk of dilating VUR among infants with hydronephrosis using UTD classification. J. Pediatr. Urol. 2024, 20, 271–278. [Google Scholar] [CrossRef]
- Whiting, P.; Westwood, M.; Watt, I.; Cooper, J.; Kleijnen, J. Rapid tests and urine sampling techniques for the diagnosis of urinary tract infection (UTI) in children under five years: A systematic review. BMC Pediatr. 2005, 5, 4. [Google Scholar] [CrossRef]
- Song, S.; Cheng, K.W.; Farkouh, A.; Carlson, J.; Ritchie, C.; Kuang, R.; Wilkinson, D.; Buell, M.; Pearce, J.; Miles, L.; et al. Upper tract dilation is an independent risk factor for febrile UTI in children with primary vesicoureteral reflux. J. Pediatr. Urol. 2025, 21, 197–203. [Google Scholar] [CrossRef] [PubMed]
- Park, Y.W.; Kim, M.J.; Han, S.W.; Kim, D.W.; Lee, M.J. Meaning of ureter dilatation during ultrasonography in infants for evaluating vesicoureteral reflux. Eur. J. Radiol. 2015, 84, 307–311. [Google Scholar] [CrossRef] [PubMed]
- You, S.K.; Kim, J.C.; Park, W.H.; Lee, S.M.; Cho, H.H. Prediction of High-grade Vesicoureteral Reflux in Children Younger Than 2 Years Using Renal Sonography: A Preliminary Study. J. Ultrasound Med. 2016, 35, 761–765. [Google Scholar] [CrossRef] [PubMed]
- Hung, T.W.; Tsai, J.D.; Liao, P.F.; Sheu, J.N. Role of Renal Ultrasonography in Predicting Vesicoureteral Reflux and Renal Scarring in Children Hospitalized with a First Febrile Urinary Tract Infection. Pediatr. Neonatol. 2016, 57, 113–119. [Google Scholar] [CrossRef] [PubMed]
- Gaither, T.W.; Selekman, R.; Kazi, D.S.; Copp, H.L. Cost-Effectiveness of Screening Ultrasound after a First, Febrile Urinary Tract Infection in Children Age 2–24 Months. J. Pediatr. 2020, 216, 73–81.e1. [Google Scholar] [CrossRef] [PubMed]
- Leahy, C.; Hanson, K.A.; Desai, J.; Alvarez, A.; Rainey, S.C. Predictors of Abnormal Renal Ultrasonography in Children with Urinary Tract Infection. Hosp. Pediatr. 2024, 14, 836–842. [Google Scholar] [CrossRef] [PubMed]
- Ishimori, S.; Fujimura, J.; Nakanishi, K.; Hattori, K.; Hirase, S.; Matsunoshita, N.; Kamiyoshi, N.; Okizuka, Y. Sonographic temporary nephromegaly in children during their first febrile urinary tract infection is a significant prognostic factor for recurrent infection. Sci. Rep. 2024, 14, 19344. [Google Scholar] [CrossRef]
- Shaikh, N.; Spingarn, R.B.; Hum, S.W. Dimercaptosuccinic acid scan or ultrasound in screening for vesicoureteral reflux among children with urinary tract infections. Cochrane Database Syst. Rev. 2016, 7, CD010657. [Google Scholar] [CrossRef]
- Yousefifard, M.; Toloui, A.; Rafiei Alavi, S.N.; Neishaboori, A.M.; Ahmadzadeh, K.; Ghelichkhani, P.; Safari, S.; Abbasi, A.; Ataei, N.; Hosseini, M. Contrast-enhanced voiding urosonography, a possible candidate for the diagnosis of vesicoureteral reflux in children and adolescents; a systematic review and meta-analysis. J. Pediatr. Urol. 2022, 18, 61–74. [Google Scholar] [CrossRef]
- Ye, Z.L.; Zhang, L.H.; Zhu, L.; Chen, W.J.; Xu, D.; Lin, N. Application of contrast-enhanced ultrasound in the surgical treatment of vesicoureteral reflux in children. Pediatr. Surg. Int. 2023, 40, 10. [Google Scholar] [CrossRef]
- Straus Takahashi, M.; Gustavo Ieiri Yamanari, M.; Henrique de Marqui Moraes, P.; Lopes, R.I.; Chammas, M.C. Vesicoureteral reflux by contrast ultrasound, comparison with voiding and retrograde urethrocystography: A prospective accuracy study. J. Pediatr. Urol. 2024, 20, 133.e1–133.e9. [Google Scholar] [CrossRef]
- Jottrand, Z.; Metens, T.; Cassart, M.; Avni, F.; D’Hondt, A. Contrast media viscosity and its potential effect on the diagnosis of vesicoureteral reflux in children. Eur. Radiol. 2025, 35, 1615–1622. [Google Scholar] [CrossRef] [PubMed]
- Back, S.J.; Ntoulia, A. Imaging for Vesicoureteral Reflux: Point-Contrast-Enhanced Voiding Urosonography Is a Sensitive and Radiation-Free Imaging Method That Improves Patient Comfort. AJR Am. J. Roentgenol. 2023, 220, 24–25. [Google Scholar] [CrossRef]
- Seelbach, J.; Krüger, P.C.; Waginger, M.; Renz, D.M.; Mentzel, H.J. Safety and parents´ acceptance of ultrasound contrast agents in children and adolescents—Contrast enhanced voiding urosonography and contrast enhanced ultrasound. Med. Ultrason. 2022, 24, 27–32. [Google Scholar] [CrossRef]
- Duran, C.; Beltrán, V.P.; González, A.; Gómez, C.; Riego, J.D. Contrast-enhanced Voiding Urosonography for Vesicoureteral Reflux Diagnosis in Children. Radiographics 2017, 37, 1854–1869. [Google Scholar] [CrossRef]
- Siomou, E.; Giapros, V.; Serbis, A.; Makrydimas, G.; Papadopoulou, F. Voiding urosonography and voiding cystourethrography in primary vesicoureteral reflux associated with mild prenatal hydronephrosis: A comparative study. Pediatr. Radiol. 2020, 50, 1271–1276. [Google Scholar] [CrossRef]
- Damasio, M.B.; Donati, F.; Bruno, C.; Darge, K.; Mentzel, H.-J.; Ključevšek, D.; Napolitano, M.; Ozcan, H.N.; Riccabona, M.; Smets, A.M.; et al. Update on imaging recommendations in paediatric uroradiology: The European Society of Paediatric Radiology workgroup session on voiding cystourethrography. Pediatr. Radiol. 2024, 54, 606–619. [Google Scholar] [CrossRef]
- Cvitkovic-Roic, A.; Turudic, D.; Milosevic, D.; Palcic, I.; Roic, G. Contrast-enhanced voiding urosonography in the diagnosis of intrarenal reflux. J. Ultrasound. 2022, 25, 89–95. [Google Scholar] [CrossRef] [PubMed] [PubMed Central]
- Perisinakis, K.; Raissaki, M.; Damilakis, J.; Stratakis, J.; Neratzoulakis, J.; Gourtsoyiannis, N. Fluoroscopy-controlled voiding cystourethrography in infants and children: Are the radiation risks trivial? Eur. Radiol. 2006, 16, 846–851. [Google Scholar] [CrossRef]
- Yi, H.; Cui, X.; Cai, B.; Qiu, L.; Song, P.; Zhang, W. A quantitative grading system of vesicoureteral reflux by contrastenhanced voiding urosonography. Med. Ultrason. 2020, 22, 287–292. [Google Scholar] [CrossRef]
- Ntoulia, A.; Back, S.J.; Shellikeri, S.; Poznick, L.; Morgan, T.; Kerwood, J.; Edgar, J.C.; Bellah, R.D.; Reid, J.R.; Jaramillo, D.; et al. Contrast-enhanced voiding urosonography (ceVUS) with the intravesical administration of the ultrasound contrast agent Optison™ for vesicoureteral reflux detection in children: A prospective clinical trial. Pediatr. Radiol. 2018, 48, 216–226. [Google Scholar] [CrossRef]
- Velasquez, M.; Emerson, M.G.; Diaz, E.; Kennedy, W.; Rubesova, E.; Barth, R.A. The learning curve of contrast-enhanced ‘microbubble’ voiding urosonography—Validation study. J. Pediatr. Urol. 2019, 15, 385.e1–385.e6. [Google Scholar] [CrossRef]
- Darge, K.; Trusen, A.; Gordjani, N.; Riedmiller, H. Intrarenal reflux: Diagnosis with contrast-enhanced harmonic US. Pediatr. Radiol. 2003, 33, 729–731. [Google Scholar] [CrossRef]
- Ntoulia, A.; Aguirre Pascual, E.; Back, S.J.; Bellah, R.D.; Beltrán Salazar, V.P.; Chan, P.K.J.; Chow, J.S.; Coca Robinot, D.; Darge, K.; Duran, C.; et al. Contrast-enhanced voiding urosonography, part 1: Vesicoureteral reflux evaluation. Pediatr. Radiol. 2021, 51, 2351–2367. [Google Scholar] [CrossRef] [PubMed]
- Xiuzhen, Y.; Zheming, X.; Li, L.; Jingjing, W.; Chang, T.; Ran, T.; Jingjing, Y. Effects of Intrarenal Reflux on Renal Growth in Children with Grades III-V Primary Vesicoureteral Reflux. J. Ultrasound Med. 2024, 43, 2295–2302. [Google Scholar] [CrossRef]
- Yeung, C.K.; Chowdhary, S.K.; Sreedhar, B. Minimally Invasive Management for Vesicoureteral Reflux in Infants and Young Children. Clin. Perinatol. 2017, 44, 835–849. [Google Scholar] [CrossRef] [PubMed]
- Zambaiti, E.; Pensabene, M.; Montano, V.; Casuccio, A.; Sergio, M.; Cimador, M. Ultrasonographic mound height as predictor of vesicoureteral reflux resolution after endoscopic treatment in children. J. Pediatr. Surg. 2016, 51, 1366–1369. [Google Scholar] [CrossRef] [PubMed]
- Zambaiti, E.; Sergio, M.; Casuccio, A.; Salerno, S.; Cimador, M. Intraoperative ultrasound-assisted approach for endoscopic treatment of vesicoureteral reflux in children. J. Pediatr. Surg. 2017, 52, 1661–1665. [Google Scholar] [CrossRef] [PubMed]
- Zambaiti, E.; Sergio, M.; Di Pace, M.R.; Casuccio, A.; Cimador, M. The fate of implant after endoscopic injection of dextranomer/hyaluronic acid in vesicoureteral reflux: Time to partial reabsorption and stabilization. J. Pediatr. Urol. 2020, 16, 191.e1–191.e6. [Google Scholar] [CrossRef] [PubMed]
- Pensabene, M.; Cimador, M.; Spataro, B.; Serra, G.; Baldanza, F.; Grasso, F.; Corsello, G.; Salerno, S.; Di Pace, M.R.; Sergio, M. Intraoperative ultrasound-assisted endoscopic treatment of primary intermediate and high-grade vesicoureteral reflux in children in a long-term follow-up. J. Pediatr. Urol. 2024, 20, 132.e1–132.e11. [Google Scholar] [CrossRef] [PubMed]
- Ben-Meir, D.; Bahouth, Z.; Halachmi, S. Late-onset Uretero-vesical Junction Obstruction Following Endoscopic Injection of Bulking Material for the Treatment of Vesico-ureteral Reflux. Urology 2017, 101, 60–62. [Google Scholar] [CrossRef] [PubMed]



Disclaimer/Publisher’s Note: The statements, opinions and data contained in all publications are solely those of the individual author(s) and contributor(s) and not of MDPI and/or the editor(s). MDPI and/or the editor(s) disclaim responsibility for any injury to people or property resulting from any ideas, methods, instructions or products referred to in the content. |
© 2025 by the authors. Licensee MDPI, Basel, Switzerland. This article is an open access article distributed under the terms and conditions of the Creative Commons Attribution (CC BY) license (https://creativecommons.org/licenses/by/4.0/).
Share and Cite
Pensabene, M.; Spataro, B.; Baldanza, F.; Grasso, F.; Serra, G.; Notarbartolo, V.; Giuffrè, M.; Corsello, G.; Zambaiti, E.; Di Pace, M.R.; et al. Application of Ultrasound in Primary Vesicoureteral Reflux: From Diagnosis to Follow Up. Children 2025, 12, 1363. https://doi.org/10.3390/children12101363
Pensabene M, Spataro B, Baldanza F, Grasso F, Serra G, Notarbartolo V, Giuffrè M, Corsello G, Zambaiti E, Di Pace MR, et al. Application of Ultrasound in Primary Vesicoureteral Reflux: From Diagnosis to Follow Up. Children. 2025; 12(10):1363. https://doi.org/10.3390/children12101363
Chicago/Turabian StylePensabene, Marco, Benedetto Spataro, Fabio Baldanza, Francesco Grasso, Gregorio Serra, Veronica Notarbartolo, Mario Giuffrè, Giovanni Corsello, Elisa Zambaiti, Maria Rita Di Pace, and et al. 2025. "Application of Ultrasound in Primary Vesicoureteral Reflux: From Diagnosis to Follow Up" Children 12, no. 10: 1363. https://doi.org/10.3390/children12101363
APA StylePensabene, M., Spataro, B., Baldanza, F., Grasso, F., Serra, G., Notarbartolo, V., Giuffrè, M., Corsello, G., Zambaiti, E., Di Pace, M. R., & Sergio, M. (2025). Application of Ultrasound in Primary Vesicoureteral Reflux: From Diagnosis to Follow Up. Children, 12(10), 1363. https://doi.org/10.3390/children12101363

