Evaluating the Nolla Method for Dental Age Estimation in Children from Northwestern Romania
Abstract
1. Introduction
- Compare the dental age estimated using the Nolla method with the chronological age of the participants to assess the method’s precision.
- Determine whether the Nolla method provides consistent and reliable results in the Romanian pediatric population, given potential genetic, environmental, and socio-economic influences on dental development.
- Highlight any discrepancies or patterns that may necessitate adaptations or recalibrations of the Nolla method for this specific population.
2. Materials and Methods
2.1. Ethical Considerations
2.2. Sample Selection
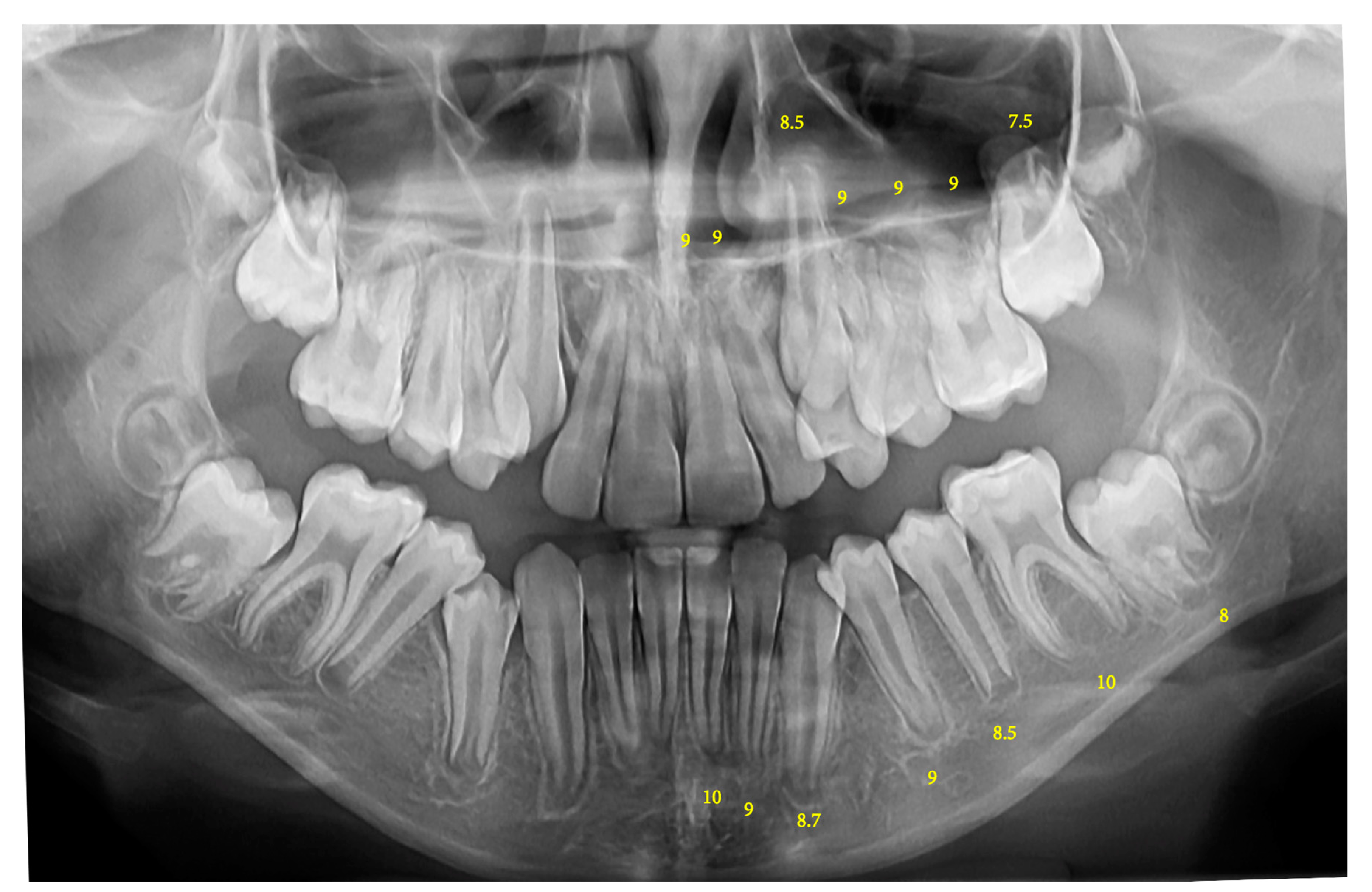
2.3. Evaluation of Chronological and Dental Ages
2.4. Statistical Analysis
3. Results
4. Discussion
5. Conclusions
Author Contributions
Funding
Institutional Review Board Statement
Informed Consent Statement
Data Availability Statement
Conflicts of Interest
References
- Grover, S.; Marya, C.M.; Avinash, J.; Pruthi, N. Estimation of dental age and its comparison with chronological age: Accuracy of two radiographic methods. Med. Sci. Law. 2012, 52, 32–35. [Google Scholar] [CrossRef] [PubMed]
- Diz, P.; Limeres, J.; Salgado, A.; Tomás, I.; Delgado, L.; Vázquez, E.; Feijoo, J. Correlation between dental maturation and chronological age in patients with cerebral palsy, mental retardation, and Down syndrome. Res. Dev. Disabil. 2010, 32, 808–817. [Google Scholar] [CrossRef] [PubMed]
- Baccetti, T.; Franchi, L.; McNamara, J.A., Jr. An Improved Version of the Cervical Vertebral Maturation (CVM) Method for the Assessment of Mandibular Growth. Angle Orthod. 2002, 72, 316–323. [Google Scholar] [CrossRef]
- Franchi, L.; Baccetti, T.; McNamara, J.A., Jr. Mandibular Growth as Related to Cervical Vertebral Maturation and Body Height. Am. J. Orthod. Dentofac. Orthop. 2000, 118, 335–340. [Google Scholar] [CrossRef]
- Baccetti, T.; Franchi, L.; McNamara, J.A., Jr. The Cervical Vertebral Maturation (CVM) Method for the Assessment of Optimal Treatment Timing in Dentofacial Orthopedics. Semin. Orthod. 2005, 11, 119–129. [Google Scholar] [CrossRef]
- Heil, A.; Gonzalez, E.L.; Hilgenfeld, T.; Kickingereder, P.; Bendszus, M.; Heiland, S.; Ozga, A.-K.; Sommer, A.; Lux, C.J.; Zingler, S. Lateral Cephalometric Analysis for Treatment Planning in Orthodontics Based on MRI Compared with Radiographs: A Feasibility Study in Children and Adolescents. PLoS ONE 2017, 12, e0174524. [Google Scholar] [CrossRef] [PubMed]
- Moca, A.E.; Vaida, L.L.; Moca, R.T.; Țuțuianu, A.V.; Bochiș, C.F.; Bochiș, S.A.; Iovanovici, D.C.; Negruțiu, B.M. Chronological Age in Different Bone Development Stages: A Retrospective Comparative Study. Children 2021, 8, 142. [Google Scholar] [CrossRef]
- Moca, A.E.; Ciavoi, G.; Todor, B.I.; Negruțiu, B.M.; Cuc, E.A.; Dima, R.; Moca, R.T.; Vaida, L.L. Validity of the Demirjian Method for Dental Age Estimation in Romanian Children. Children 2022, 9, 567. [Google Scholar] [CrossRef]
- Ciapparelli, L. The Chronology of Dental Development and Age Assessment. In Practical Forensic Odontology; Clark, D.H., Ed.; Wright Butterworth-Heinemann Ltd.: Oxford, UK, 1992; pp. 22–42. [Google Scholar]
- Panchbhai, A.S. Dental Radiographic Indicators, a Key to Age Estimation. Dentomaxillofac. Radiol. 2011, 40, 199–212. [Google Scholar] [CrossRef] [PubMed]
- Demirjian, A.; Goldstein, H.; Tanner, J.M. A New System of Dental Age Assessment. Hum. Biol. 1973, 45, 211–227. [Google Scholar]
- Willmann, C.; Fernandez De Grado, G.; Kolb, C.; Raul, J.-S.; Musset, A.-M.; Gros, C.-I.; Offner, D. Accuracy of Age Estimation Using Three Dental Age Estimation Methods in a Young, Large, and Multiethnic Patient Sample. Dent. J. 2023, 11, 288. [Google Scholar] [CrossRef]
- Nolla, C.M. The Development of the Permanent Teeth. J. Dent. Child. 1960, 27, 254–266. [Google Scholar]
- Duruk, G.; Ozdal, T.P.G.; Duman, S. Accuracy of Age Estimation with Demirjian and Nolla Methods in Eastern Turkish Children Aged 3–17 Years Old. Eur. Oral Res. 2022, 56, 80–87. [Google Scholar] [CrossRef] [PubMed]
- Hato, E.; Coşgun, A.; Altan, H. Comparative Evaluation of Nolla, Willems and Cameriere Methods for Age Estimation of Turkish Children in the Central Black Sea Region: A Preliminary Study. J. Forensic Legal Med. 2022, 91, 102400. [Google Scholar] [CrossRef] [PubMed]
- Paz Cortés, M.M.; Rojo, R.; Mourelle Martínez, M.R.; Pérez, M.D.; Prados-Frutos, J.C. Evaluation of the Accuracy of the Nolla Method for the Estimation of Dental Age of Children Between 4–14 Years Old in Spain: A Radiographic Study. Forensic Sci. Int. 2019, 301, 318–325. [Google Scholar] [CrossRef] [PubMed]
- Balwant, R.; Anand, S.C. Tooth Developments: An Accuracy of Age Estimation of Radiographic Methods. World J. Med. Sci. 2006, 1, 130–132. [Google Scholar]
- Available online: https://www.citypopulation.de/en/romania/admin/nord_vest/RO111__bihor/ (accessed on 21 December 2024).
- Marconi, V.; Iommi, M.; Monachesi, C.; Faragalli, A.; Skrami, E.; Gesuita, R.; Ferrante, L.; Carle, F. Validity of Age Estimation Methods and Reproducibility of Bone/Dental Maturity Indices for Chronological Age Estimation: A Systematic Review and Meta-Analysis of Validation Studies. Sci. Rep. 2022, 12, 15607. [Google Scholar] [CrossRef]
- Bittencourt, M.V.; Cericato, G.; Franco, A.; Girão, R.; Lima, A.P.B.; Paranhos, L. Accuracy of dental development for estimating the pubertal growth spurt in comparison to skeletal development: A systematic review and meta-analysis. Dentomaxillofac Radiol. 2018, 47, 20170362. [Google Scholar] [CrossRef]
- Guideline on prescribing dental radiographs for infants, children, adolescents, and persons with special health care needs. Available online: https://www.aapd.org/assets/1/7/E_Radiographs1.PDF (accessed on 21 December 2024).
- Espelid, I.; Mejàre, I.; Weerheijm, K.; EAPD. EAPD guidelines for use of radiographs in children. Eur. J. Paediatr. Dent. 2003, 4, 40–48. [Google Scholar]
- Ratson, T.; Dagon, N.; Aderet, N.; Dolev, E.; Laviv, A.; Davidovitch, M.; Blumer, S. Assessing Children’s Dental Age with Panoramic Radiographs. Children 2022, 9, 1877. [Google Scholar] [CrossRef] [PubMed]
- Miloglu, O.; Celikoglu, M.; Dane, A.; Cantekin, K.; Yilmaz, A.B. Is the Assessment of Dental Age by the Nolla Method Valid for Eastern Turkish Children? J. Forensic Sci. 2011, 56, 1025–1028. [Google Scholar] [CrossRef]
- Han, M.-Q.; Jia, S.-X.; Wang, C.-X.; Chu, G.; Chen, T.; Zhou, H.; Guo, Y.-C. Accuracy of the Demirjian, Willems and Nolla Methods for Dental Age Estimation in a Northern Chinese Population. Arch. Oral Biol. 2020, 118, 104875. [Google Scholar] [CrossRef]
- Wen, D.; Ding, Z.; Tian, Z.; Wu, W.; Qu, W.; He, W.; Wang, C.; Li, J.; Zha, L.; Liu, Y. Comparing the Accuracy of Demirjian and Nolla Methods and Establishing a New Method for Dental Age Estimation in Northeastern Chinese Children. Forensic Sci. Res. 2023, 7, 685–693. [Google Scholar] [CrossRef] [PubMed]
- Pliska, B.; Nahvi, A.; Pakdaman, N.; Dadgar, S.; Aryana, M.; Sobouti, F. Radiological Evaluation of the Accuracy of Demirjian, Nolla, and Willems Methods for Dental Age Estimation in 3–17-Year-Old Iranian Children. Biomed. Res. Int. 2024, 2024, 8783660. [Google Scholar] [CrossRef] [PubMed]
- Khalaf, K.; Brook, A.H.; Smith, R.N. Genetic, Epigenetic and Environmental Factors Influence the Phenotype of Tooth Number, Size and Shape: Anterior Maxillary Supernumeraries and the Morphology of Mandibular Incisors. Genes 2022, 13, 2232. [Google Scholar] [CrossRef] [PubMed]
- Vinereanu, A.; Munteanu, A.; Clauss, F.; Gorduza, E.V. Rare Case of First Permanent Molar Primary Failure of Eruption with Agenesis of Premolars. Children 2024, 11, 152. [Google Scholar] [CrossRef] [PubMed]
- Herrera-Escudero, T.M.; Toro, D.A.; Parada-Sanchez, M.T. How Teeth Can Be Used to Estimate Sexual Dimorphism? A Scoping Review. Forensic Sci. Int. 2024, 360, 112061. [Google Scholar] [CrossRef]
- Marceau, K.; Ram, N.; Houts, R.M.; Grimm, K.J.; Susman, E.J. Individual Differences in Boys’ and Girls’ Timing and Tempo of Puberty: Modeling Development with Nonlinear Growth Models. Dev. Psychol. 2011, 47, 1389–1409. [Google Scholar] [CrossRef] [PubMed]
- Tabakcilar, D.; Bundak, R.; Gencay, K. Dental Age in Precocious and Delayed Puberty Periods. Eur. J. Dent. 2021, 15, 539–545. [Google Scholar] [CrossRef]
- Bhanat, S.; Patel, D. Dental & Skeletal Maturity Indicators of Chronological Age: Radiographic Evaluation Amongst Children in Gujarat, India. IOSR J. Dent. Med. Sci. 2013, 6, 6–12. [Google Scholar]
- Koç, A.; Özlek, E.; Öner Talmaç, A.G. Accuracy of the London Atlas, Willems, and Nolla Methods for Dental Age Estimation: A Cross-Sectional Study on Eastern Turkish Children. Clin. Oral Investig. 2021, 25, 4833–4840. [Google Scholar] [CrossRef] [PubMed]
- Zirk, M.; Zoeller, J.E.; Lentzen, M.-P.; Bergeest, L.; Buller, J.; Zinser, M. Comparison of Two Established 2D Staging Techniques to Their Appliance in 3D Cone Beam Computer-Tomography for Dental Age Estimation. Sci. Rep. 2021, 11, 9024. [Google Scholar] [CrossRef]
- Badrov, J.; Lauc, T.; Nakaš, E.; Galić, I. Dental Age and Tooth Development in Orthodontic Patients with Agenesis of Permanent Teeth. Biomed. Res. Int. 2017, 2017, 8683970. [Google Scholar] [CrossRef] [PubMed]
- Kazimierczak, N.; Kazimierczak, W.; Serafin, Z.; Nowicki, P.; Nożewski, J.; Janiszewska-Olszowska, J. AI in Orthodontics: Revolutionizing Diagnostics and Treatment Planning-A Comprehensive Review. J Clin Med. 2024, 13, 344. [Google Scholar] [CrossRef] [PubMed]
- Lauc, T.; Nakaš, E.; Latić-Dautović, M.; Džemidžić, V.; Tiro, A.; Rupić, I.; Kostić, M.; Galić, I. Dental Age in Orthodontic Patients with Different Skeletal Patterns. Biomed Res Int. 2017, 2017, 8976284. [Google Scholar] [CrossRef] [PubMed]
- Park, T.H.; Lin, J.H.; Chung, C.H.; Zheng, Z.; Li, C. The skeletal and dental age advancements of children and adolescents with overweight and obesity: A systematic review and meta-analysis. Am J Orthod Dentofacial Orthop. 2023, 164, 325–339. [Google Scholar] [CrossRef] [PubMed]
- Shamsoddin, E.; Moradi, F. Validity of age estimation methods and reproducibility of bone/dental maturity indices for chronological age estimation. Evid. Based Dent. 2023, 24, 15–16. [Google Scholar] [CrossRef] [PubMed]
- Singh Sehrawat, J.; Singh, M.; Sharma, V. Forensic Dental Age Estimation of Sub-Adult Individuals Using Nolla’s Radiographic Method: A Systematic Review and Meta-Analysis. Braz. J. Forensic Sci. Med. Law Bioeth. 2016, 6, 32–46. [Google Scholar] [CrossRef][Green Version]
- Prajapati, G.; Sarode, S.C.; Sarode, G.S.; Shelke, P.; Awan, K.H.; Patil, S. Role of forensic odontology in the identification of victims of major mass disasters across the world: A systematic review. PLoS ONE 2018, 13, e0199791. [Google Scholar] [CrossRef]
- Adserias-Garriga, J. Age-at-Death Estimation by Dental Means as a Part of the Skeletal Analysis. Forensic Sci. 2023, 3, 357–367. [Google Scholar] [CrossRef]
- Adserias-Garriga, J.; Zapico, S.C. Age assessment in forensic cases: Anthtropological, odontological and biochemical methods for age assessment in the death. Mathews J Foren. 2018, 1, 1. [Google Scholar]
- Rumble, L.; Febrianto, R.F.; Larasati, M.N.; Hamilton, C.; Mathews, B.; Dunne, M.P. Childhood Sexual Violence in Indonesia: A Systematic Review. Trauma Violence Abuse. 2020, 21, 284–299. [Google Scholar] [CrossRef] [PubMed]
- Sykes, L.; Bhayat, A.; Bernitz, H. The Effects of the Refugee Crisis on Age Estimation Analysis over the Past 10 Years: A 16-Country Survey. Int. J. Environ. Res. Public Health 2017, 14, 630. [Google Scholar] [CrossRef] [PubMed]

| Age Group | Girls (n, %) | Boys (n, %) | Total | Percentage |
|---|---|---|---|---|
| 3–3.9 years | 2 (0.2%) | 4 (0.5%) | 6 | 0.7% |
| 4–4.9 years | 4 (0.5%) | 8 (0.9%) | 12 | 1.4% |
| 5–5.9 years | 12 (1.4%) | 10 (1.2%) | 22 | 2.6% |
| 6–6.9 years | 36 (4.2%) | 24 (2.8%) | 60 | 7% |
| 7–7.9 years | 50 (5.8%) | 42 (4.9%) | 92 | 10.7% |
| 8–8.9 years | 60 (7%) | 66 (7.7%) | 126 | 14.7% |
| 9–9.9 years | 74 (8.6%) | 40 (4.7%) | 114 | 13.3% |
| 10–10.9 years | 70 (8.1%) | 34 (4%) | 104 | 12.1% |
| 11–11.9 years | 66 (7.7%) | 48 (5.6%) | 114 | 13.3% |
| 12–12.9 years | 66 (7.7%) | 32 (3.7%) | 98 | 11.4% |
| 13–13.9 years | 40 (4.7%) | 30 (3.5%) | 70 | 8.1% |
| 14–14.9 years | 22 (2.6%) | 18 (2.1%) | 40 | 4.7% |
| 15–15.9 years | 2 (0.2%) | 0 (0%) | 2 | 0.2% |
| Age Group | CA (In Years) | SD (In Years) | DA (In Years) | SD (In Years) |
|---|---|---|---|---|
| 3–3.9 years | 3.30 | 0.26 | 3.00 | 0.00 |
| 4–4.9 years | 4.48 | 0.32 | 3.50 | 0.79 |
| 5–5.9 years | 5.39 | 0.31 | 4.55 | 0.51 |
| 6–6.9 years | 6.46 | 0.31 | 6.13 | 0.77 |
| 7–7.9 years | 7.51 | 0.30 | 6.54 | 0.58 |
| 8–8.9 years | 8.42 | 0.26 | 7.21 | 0.69 |
| 9–9.9 years | 9.46 | 0.31 | 7.98 | 0.78 |
| 10–10.9 years | 10.37 | 0.26 | 8.71 | 0.79 |
| 11–11.9 years | 11.43 | 0.29 | 9.54 | 1.01 |
| 12–12.9 years | 12.41 | 0.30 | 10.2 | 0.90 |
| 13–13.9 years | 13.37 | 0.30 | 11.43 | 0.87 |
| 14–14.9 years | 14.45 | 0.29 | 11.85 | 1.07 |
| 15–15.9 years | 15.00 | 0.00 | 16 | 0 |
| Parameter | Mean Age ± SD | Median (IQR) | p * |
|---|---|---|---|
| Chronological age (p < 0.001 **) | 9.94 ± 2.48 | 9.9 (8.11–11.8) | <0.001 |
| Dental age (p < 0.001 **) | 8.43 ± 2.13 | 8 (7–10) | |
| Average difference | 1.52 ± 1.01 | 1.5 (0.9–2.2) | - |
| Age | Mean ± SD | Median (IQR) | Mean Range | p * |
|---|---|---|---|---|
| 3–3.9 years (p = 0.167 **) | 0.3 ± 0.26 | 0.3 (0–0.6) | 100.83 | <0.001 |
| 4–4.9 years (p = 0.011 **) | 0.98 ± 0.68 | 0.9 (0.4–1.1) | 272.33 | |
| 5–5.9 years (p = 0.001 **) | 0.84 ± 0.72 | 0.9 (0.1–1.7) | 258.77 | |
| 6–6.9 years (p = 0.060 **) | 0.32 ± 0.82 | 0.2 (−0.1–0.9) | 154.70 | |
| 7–7.9 years (p < 0.001 **) | 0.97 ± 0.68 | 1 (0.4–1.6) | 291.91 | |
| 8–8.9 years (p = 0.007 **) | 1.21 ± 0.71 | 1.3 (0.7–1.7) | 356.40 | |
| 9–9.9 years (p = 0.035 **) | 1.48 ± 0.76 | 1.6 (0.9–2.12) | 428.34 | |
| 10–10.9 years (p = 0.001 **) | 1.66 ± 0.78 | 1.6 (1.13–2.1) | 474.06 | |
| 11–11.9 years (p = 0.001 **) | 1.89 ± 1.02 | 2.1 (1.07–2.6) | 524.61 | |
| 12–12.9 years (p = 0.001 **) | 2.21 ± 0.94 | 2.1 (1.4–3) | 588.48 | |
| 13–13.9 ani (p = 0.093 **) | 1.95 ± 0.93 | 2.11 (1.11–2.5) | 538.24 | |
| 14–14.9 ani (p = 0.009 **) | 2.60 ± 1.07 | 3 (1.62–3.35) | 658.15 | |
| 15–15.9 ani (p = - **) | −1 ± 0 | −1 (−1–−1) | 3.50 |
| Gender | Mean Age ± SD | Median (IQR) | p * |
|---|---|---|---|
| Girls (p = 0.011 **) | 1.707 ± 1.009 | 1.7 (1.1–2.3) | <0.001 |
| Boys (p = 0.001 **) | 1.256 ± 0.965 | 1.15 (0.6–1.8) |
Disclaimer/Publisher’s Note: The statements, opinions and data contained in all publications are solely those of the individual author(s) and contributor(s) and not of MDPI and/or the editor(s). MDPI and/or the editor(s) disclaim responsibility for any injury to people or property resulting from any ideas, methods, instructions or products referred to in the content. |
© 2025 by the authors. Licensee MDPI, Basel, Switzerland. This article is an open access article distributed under the terms and conditions of the Creative Commons Attribution (CC BY) license (https://creativecommons.org/licenses/by/4.0/).
Share and Cite
Moga, L.I.; Moca, A.E.; Iurcov, R.; Slăvescu, D.; Vaida, L.L. Evaluating the Nolla Method for Dental Age Estimation in Children from Northwestern Romania. Children 2025, 12, 69. https://doi.org/10.3390/children12010069
Moga LI, Moca AE, Iurcov R, Slăvescu D, Vaida LL. Evaluating the Nolla Method for Dental Age Estimation in Children from Northwestern Romania. Children. 2025; 12(1):69. https://doi.org/10.3390/children12010069
Chicago/Turabian StyleMoga, Ligia Ioana, Abel Emanuel Moca, Raluca Iurcov, Dan Slăvescu, and Ligia Luminița Vaida. 2025. "Evaluating the Nolla Method for Dental Age Estimation in Children from Northwestern Romania" Children 12, no. 1: 69. https://doi.org/10.3390/children12010069
APA StyleMoga, L. I., Moca, A. E., Iurcov, R., Slăvescu, D., & Vaida, L. L. (2025). Evaluating the Nolla Method for Dental Age Estimation in Children from Northwestern Romania. Children, 12(1), 69. https://doi.org/10.3390/children12010069

