Next Article in Journal
Incidence and Characteristics of Pediatric Patients with Acute Otitis Hospitalized in a Romanian Infectious Diseases Hospital
Previous Article in Journal
The Influence of Children’s Discrimination Experiences on Parents’ Mental and Self-Rated Health: Results from the National Health Interview Survey
Previous Article in Special Issue
Body Image and Other Mood Vulnerabilities in Adolescents with Polycystic Ovary Syndrome and Metabolic Alterations
 
 
Font Type:
Arial Georgia Verdana
Font Size:
Aa Aa Aa
Line Spacing:
Column Width:
Background:
Case Report

Van Wyk–Grumbach Syndrome and Gonadectomy

by
Abril Adriana Arellano-Llamas
1,*,
Alvaro Hernandez-Caballero
2,
Efren Delgado-Mendoza
3 and
Manuel Alejandro Catalan-Ruiz
3
1
Instituto Mexicano del Seguro Social, UMAE Hospital de Gineco Obstetricia No. 3 La Raza, Mexico City 02990, Mexico
2
Instituto Mexicano del Seguro Social, División de Evaluación de Tecnologías en Salud, Mexico City 02990, Mexico
3
Instituto Mexicano del Seguro Social, UMAE Hospital General La Raza, Mexico City 02990, Mexico
*
Author to whom correspondence should be addressed.
Children 2024, 11(7), 831; https://doi.org/10.3390/children11070831
Submission received: 17 June 2024 / Revised: 1 July 2024 / Accepted: 3 July 2024 / Published: 8 July 2024
(This article belongs to the Special Issue Endocrine Diseases in Pediatrics: Diagnosis and Treatment)

Abstract

Van Wyk–Grumbach syndrome (VWGS) refers to the development of peripheral precocious puberty, long-standing hypothyroidism, and gonadal masses; when not diagnosed, an unnecessary gonadectomy may be performed. Herein, we present a case of a 10-year-old girl with Down’s syndrome, short stature, and vitiligo who presented to our hospital with vaginal bleeding and a palpable pelvic mass. Upon ultrasound and topographical examination, bilateral ovarian masses with negative tumor markers were detected. After bilateral gonadectomy, endocrine studies revealed profound hypothyroidism and peripheral puberty that led to the VWGS syndrome diagnosis (TSH 367.3 mUI/mL, isolated menstruation, indetectable LH, and elevated estradiol). Levothyroxine treatment improved obesity and short stature, and sexual hormone replacement began at 13 years of age. The literature on Van Wyk–Grumbach syndrome shows that it presents most often in women, and classic hypothyroidism symptoms always precede the diagnosis. Approximately 11% of patients have Down’s syndrome, sometimes tumor markers are elevated, and some develop severe symptoms (myopathy, short stature, mental delay, ascites, pericardial effusion, Cullen’s sign, pituitary hyperplasia, and severe anemia) that respond to levothyroxine treatment. Conclusions: Children with peripheral precocious puberty and gonadal masses must be studied for hypothyroidism before any radical decision is made.

1. Introduction

Unnecessary gonadectomies are frequently performed in girls with benign ovarian masses (21 to 77% of cases), resulting in infertility, osteopenia, and increased cardiovascular risk. Preoperative risk stratification algorithms can reduce the incidence of unnecessary oophorectomies and prevent negative lifelong consequences [1,2].
Hypothyroidism has a significant burden of disease [3]; congenital hypothyroidism affects 1:2000 to 1/4000 newborns, but screening only covers 30% of them worldwide [4,5]. Hypothyroidism symptoms are subtle and insidious; therefore, populations at high risk, such as people with Down’s syndrome, must be screened annually to prevent severe symptoms (short stature, pericardial effusion, muscle injury, dyslipidemia, and mental retardation) [6]. Primary hypothyroidism is caused by the thyroid’s inability to secrete thyroid hormones. It leads through negative feedback to a rise in TSH hormone levels induced by the hypophysis.
Down’s syndrome affects about 12.59/10,000 to 23.71/10,000 live births [7,8]. Thyroid dysfunction in these patients is common and autoimmune mediated in the majority of cases; the optimal timing to screen for hypothyroidism is controversial, but when symptoms are evident (lethargy, anemia, short stature, and obesity), thyroid function tests are mandatory [9].
In normal circumstances, the gonads activate the follicle maturation process, including the rise in estrogen or testosterone levels and its effects (menstruation or virilization) when follicle-stimulating hormone activates its receptor. Thyroid-stimulating hormone (TSH) can activate the human FSH receptor because glycoproteins in both hormones share a common α-subunit. As a result, hypothyroidism patients may present symptoms related to FSH stimulation, including precocious puberty and ovarian cysts [10].
Van Wyk–Grumbach syndrome is a rare form of hypothyroidism. There is no information about its prevalence, but after an exhaustive search, 54 cases were found in the literature. It is the expression of gonad activation via the elevation of TSH levels. It can include peripheral precocious puberty, gonad enlargement, menstruation, virilization, and, in some cases, pituitary enlargement.
The aim of this paper is to present the case of a girl with Down’s syndrome who underwent bilateral gonadectomy due to benign cysts resulting from untreated chronic primary hypothyroidism. Additionally, we analyzed the literature related to Van Wyk–Grumbach syndrome in other patients.

2. Materials and Methods

This study was developed in two stages. The first stage is the presentation of a clinical case; the second stage consists of a review and analysis of the literature. In brief, the terms van Wyk–Grumbach syndrome, precocious puberty, ovarian cyst, children, and hypothyroidism were searched in PubMed, Imbiomed, Google Scholar, and Scopus. We included all articles that describe a Van Wyk syndrome-compatible phenotype. For each clinical case, we describe the sex, age at presentation in the hospital, age at first hypothyroidism sign, the continent of origin, comorbidities, typical hypothyroidism signs, bone age, height in cm, height in standard deviation by CDC charts, TSH concentration at diagnosis, pubertal signs, severe hypothyroidism signs, ultrasound findings, surgical treatment. SPSS V25 was used to analyze the data.

3. Results

3.1. Case Presentation

A 10-year-old female with Down’s syndrome (karyotype 47XX(20)+21), vitiligo, and a two-month history of vaginal bleeding presented to pediatric consultation with abdominal pain. An abdominopelvic ultrasound revealed an ovarian tumor of 21 cm × 8 cm.
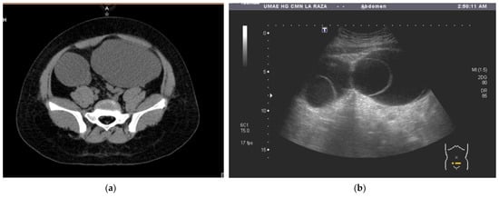
The patient was referred to our hospital, where a second ultrasound found anechoic abdominal lesions with round, dense material inside. A subsequent CT showed two pelvic lesions of 20 HU, one of 174 cc (right ovary) and the other of 333 cc (left ovary). The left one had a round interior image of 250 HU inside. The radiological diagnosis was adnexal vs. mesenteric cystic tumors (Figure 1a,b). Blood tumor markers were negative (Table 1).
A bilateral gonadectomy and salpingectomy were performed on the patient, and the histopathological study found normal salpinges, mucinous cystadenoma, and follicular cysts of the ovaries.
Biochemical tests performed after surgery because of the patient’s Down’s syndrome condition showed severe primary hypothyroidism, LH suppression, elevated estrogen, and hyperlipidemia (Table 1). An endocrine-targeted approach to the patient revealed a history of asthenia, bone pain, progressive weight gain, dry skin one year before surgery, obesity (BMI 59.7 kg/m2), short stature (120 cm), and signs of peripheral puberty (Tanner stage 1 in breast and pubic hair and vaginal bleeding).
Finally, Van Wyk–Grumbach syndrome (severe primary hypothyroidism and isosexual peripheral precocious puberty) was diagnosed; she was treated with levothyroxine, and obesity, dry skin, asthenia, and short stature were resolved. Sexual hormone replacement started at the age of 13 years.

3.2. Literature Review

We found 54 patients reported to have Van Wyk–Grumbach syndrome [11,12,13,14,15,16,17,18,19,20,21,22,23,24,25,26,27,28,29,30,31,32,33,34,35,36,37,38,39,40,41,42,43,44,45,46,47,48,49,50,51,52,53,54,55,56], with most patients from Asia. Their main characteristics are in Table 2, Table 3, Table 4, Table 5, Table 6, Table 7 and Table 8. The age at diagnosis was from 1.5 to 24 years. All but one case [15] had typical hypothyroidism findings, and short stature was present in more than 60% of the patients. The most common symptoms that led to diagnosis were abdominal pain and vaginal bleeding. Other manifestations were severe anemia [30,31,33,36], ascites [15,31,38], ovarian torsion [16,55], intracranial mass effect [24], and Cullen’s sign [48]. Ultrasound findings included cysts in 80% of cases and complex images in 6.7%. In some cases, tumor markers were measured (31.5%), resulting in positive results in less than one-fifth of the cases (18.5%). Although thyroid substitution can reverse ovarian cysts, seven patients underwent surgery (13%) (11,24,44,51), and in one case, an oophorectomy was avoided just in time [13].

4. Discussion

Van Wyk–Grumbach syndrome is caused by peripheral gonadal stimulation mediated by elevated TSH, which results in peripheral precocious puberty. Absent negative feedback by thyroid hormones causes pituitary hyperplasia. Gonadal enlargement and vaginal bleeding in girls can lead to gonadectomy and subsequent lifetime hormonal function loss [22].
The pathophysiology of Van Wyk–Grumbach syndrome remains unclear. It is associated with variable FSH receptor sensitivity and ovarian overstimulation by elevated TSH levels. This phenomenon is seen not only in children but also in adults with recombinant TSH treatment [57,58,59]. In some cases, there are typical FSH receptors. Almost all cases had very high levels of TSH, like in this case.
In almost every case of Grumbach syndrome, classic hypothyroidism symptoms precede precocious puberty, and some symptoms may be severe or life-threatening, such as severe hypercholesterolemia, anemia, intracranial mass effect, myopathy, galactorrhea, or mental retardation. In some reports, ovarian cysts due to hypothyroidism may elevate tumor markers. In this case, short stature and progressive obesity were classical hypothyroidism symptoms. The delayed bone age found in the literature led us to think that a minimal time of TSH exposure is needed to trigger pubertal symptoms.
In all cases, treatment with levothyroxine reversed precocious puberty, ovarian cysts, tumor marker elevation, and dyslipidemia. Typical symptoms of hypothyroidism were also improved, like in this patient, with improvement in obesity and short stature.
As in this case, delayed diagnosis of hypothyroidism results in unnecessary medical visits, tests, and treatments (gonadotrophin tests for precocious puberty, invasive tests for short stature, and surgery). We believe that many cases like ours have not been published [60,61].
Hypothyroidism diagnosis can be a challenge; non-diagnosed congenital hypothyroidism has a 4-year delay in diagnosis even with typical symptoms [62]. It is not unusual to find patients with hypothyroidism with atypical manifestations that have emerged because of a long-standing disease [63]. In particular, growth restriction is found in hypothyroidism, as in our case in 63% of VWG syndrome cases reported in the literature. This is accompanied by a severely delayed bone age, which we believe is directly related to hypothyroidism evolution time [64]. In this case, the evaluation of an endocrinologist after surgery was needed to diagnose the condition, evading the suspicion of the pediatric emergency team and the surgical service.
About 11% of patients with Van Wyk–Grumbach syndrome have Down’s syndrome. Persons living with Down’s syndrome must be screened for thyroid disorders annually, before any surgery or when another autoimmune disease appears. Approximately 50% will develop some form of thyroid dysfunction in their lives (hypothyroidism 39%, congenital hypothyroidism 7%, and hyperthyroidism 3%) [65,66]. The patient presented in this case did not have this annual evaluation, nor was it performed before surgery. This group of patients needs a very diligent pediatric team to prevent this outcome.
Irreversible treatment decisions in children, such as gonadectomy, must be based on reliable tools to avoid overtreatment and its long-term consequences [2].
Children with peripheral precocious puberty and gonadal masses must be studied for hypothyroidism before any radical decision is made, and complete clinical and metabolic evaluation is warranted in the search for other consequences of long-standing hypothyroidism.

Author Contributions

Conceptualization, A.A.A.-L. and A.H.-C.; methodology, A.A.A.-L. and A.H.-C.; software, A.A.A.-L. and A.H.-C.; validation, E.D.-M. and M.A.C.-R.; formal analysis, A.A.A.-L.; investigation, E.D.-M. and M.A.C.-R.; resources, A.A.A.-L.; data curation, A.A.A.-L.; writing—original draft preparation, A.A.A.-L.; writing—review and editing, A.H.-C.; visualization, A.H.-C.; supervision, A.H.-C.; project administration, A.H.-C.; funding acquisition, A.H.-C. All authors have read and agreed to the published version of the manuscript.

Funding

This research received no external funding.

Institutional Review Board Statement

The study was conducted in accordance with the Declaration of Helsinki and approved by the Institutional Review Board of Instituto Mexicano del Seguro Social 7 March 2024 (R-2024-3504-023).

Informed Consent Statement

Written informed consent was obtained from the patient to publish this paper.

Data Availability Statement

Data are contained within the article.

Acknowledgments

We acknowledge Instituto Mexicano del Seguro Social for its support.

Conflicts of Interest

The authors declare no conflicts of interest.

References

  1. Gonzalez, D.O.; Cooper, J.N.; Aldrink, J.H.; Hewitt, G.D.; Fallat, M.E.; Minneci, P.C.; Deans, K.J. Variability in Surgical Management of Benign Ovarian Neoplasms in Children. J. Pediatr. Surg. 2017, 52, 944–950. [Google Scholar] [CrossRef] [PubMed]
  2. Minneci, P.C.; Bergus, K.C.; Lutz, C.; Aldrink, J.; Bence, C.; Breech, L.; Dillon, P.A.; Downard, C.; Ehrlich, P.F.; Fallat, M.; et al. Reducing Unnecessary Oophorectomies for Benign Ovarian Neoplasms in Pediatric Patients. JAMA 2023, 330, 1247–1254. [Google Scholar] [CrossRef] [PubMed]
  3. Hepp, Z.; Lage, M.J.; Espaillat, R.; Gossain, V.V. The Direct and Indirect Economic Burden of Hypothyroidism in the United States: A Retrospective Claims Database Study. J. Med. Econ. 2021, 24, 440–446. [Google Scholar] [CrossRef] [PubMed]
  4. Rendón-Macías, M.E.; Morales-García, I.; Huerta-Hernández, E.; Silva-Batalla, A.; Villasís-Keever, M.A. Birth Prevalence of Congenital Hypothyroidism in Mexico. Paediatr. Perinat. Epidemiol. 2008, 22, 478–485. [Google Scholar] [CrossRef] [PubMed]
  5. Ford, G.; LaFranchi, S.H. Screening for Congenital Hypothyroidism: A Worldwide View of Strategies. Best Pract. Res. Clin. Endocrinol. Metab. 2014, 28, 175–187. [Google Scholar] [CrossRef] [PubMed]
  6. Feldt-Rasmussen, U.; Effraimidis, G.; Bliddal, S.; Klose, M. Risks of Suboptimal and Excessive Thyroid Hormone Replacement across Ages. J. Endocrinol. Investig. 2023, 47, 1083–1090. [Google Scholar] [CrossRef]
  7. Forrester, M.B.; Merz, R.D. Epidemiology of Down Syndrome (Trisomy 21), Hawaii, 1986–1997. Teratology 2002, 65, 207–212. [Google Scholar] [CrossRef] [PubMed]
  8. Martini, J.; Bidondo, M.P.; Duarte, S.; Liascovich, R.; Barbero, P.; Groisman, B. Birth Prevalence of Down Syndrome in Argentina. Salud Colect. 2019, 15, e1863. [Google Scholar] [CrossRef]
  9. Graber, E.; Chacko, E.; Regelmann, M.O.; Costin, G.; Rapaport, R. Down Syndrome and Thyroid Function. Endocrinol. Metab. Clin. N. Am. 2012, 41, 735–745. [Google Scholar] [CrossRef]
  10. Pierce, J.G.; Parsons, T.F. Glycoprotein Hormones: Structure and Function. Annu. Rev. Biochem. 1981, 50, 465–495. [Google Scholar] [CrossRef]
  11. Baranowski, E.; Högler, W. An Unusual Presentation of Acquired Hypothyroidism: The Van Wyk-Grumbach Syndrome. Eur. J. Endocrinol. 2012, 166, 537–542. [Google Scholar] [CrossRef]
  12. Barbero, A.; Pagano, M.; Tuli, G.; Buganza, R.; de Sanctis, L.; Bondone, C. Menorrhagia as Main Presentation Sign of Severe Hypothyroidism in a Pediatric Patient: A Case Report. Ital. J. Pediatr. 2022, 48, 171. [Google Scholar] [CrossRef] [PubMed]
  13. Bhagwat, N.M.; Dalwadi, P.P.; Joshi, A.S.; Pawal, P.S.; Varthakavi, P.K. Asymmetrical Ovarian Enlargement: Caught Timely Before the Cut! J. Pediatr. Adolesc. Gynecol. 2015, 28, e83–e85. [Google Scholar] [CrossRef] [PubMed]
  14. Biswas, M.; Sinha, M.K.; Das, M.K.; Sarkar, S. Van Wyk-Grumbach Syndrome with Hemangioma in an Infant. J. Pediatr. Endocrinol. Metab. JPEM 2018, 31, 1057–1060. [Google Scholar] [CrossRef]
  15. Browne, L.P.; Boswell, H.B.; Crotty, E.J.; O’Hara, S.M.; Birkemeier, K.L.; Guillerman, R.P. Van Wyk and Grumbach Syndrome Revisited: Imaging and Clinical Findings in Pre- and Postpubertal Girls. Pediatr. Radiol. 2008, 38, 538–542. [Google Scholar] [CrossRef] [PubMed]
  16. Burns, L.P.; Pennesi, C.M.; Rosen, M.W.; Araya, A.; Baruch, A.; Arnold, M.A.; Quint, E.H. Interdisciplinary Care and a Focus on Fertility Preservation When Multi-Cystic Ovaries Cause Ovarian Torsion: A Case of a 9-Year-Old Girl with Severe, Undiagnosed Hypothyroidism. J. Pediatr. Adolesc. Gynecol. 2020, 33, 723–726. [Google Scholar] [CrossRef] [PubMed]
  17. Campaner, A.B.; Scapinelli, A.; Machado, R.O.; Dos Santos, R.E.; Beznos, G.W.; Aoki, T. Primary Hypothyroidism Presenting as Ovarian Tumor and Precocious Puberty in a Prepubertal Girl. Gynecol. Endocrinol. Off. J. Int. Soc. Gynecol. Endocrinol. 2006, 22, 395–398. [Google Scholar] [CrossRef]
  18. Chattopadhyay, A.; Kumar, V.; Marulaiah, M. Polycystic Ovaries, Precocious Puberty and Acquired Hypothyroidism: The Van Wyk and Grumbach Syndrome. J. Pediatr. Surg. 2003, 38, 1390–1392. [Google Scholar] [CrossRef] [PubMed]
  19. Chemaitilly, W.; Trivin, C.; Adan, L.; Gall, V.; Sainte-Rose, C.; Brauner, R. Central Precocious Puberty: Clinical and Laboratory Features. Clin. Endocrinol. 2001, 54, 289–294. [Google Scholar] [CrossRef]
  20. Christens, A.; Sevenants, L.; Toelen, J.; Bullens, D.; Casteels, K. Van Wyk and Grumbach Syndrome: An Unusual Form of Precocious Puberty. Gynecol. Endocrinol. Off. J. Int. Soc. Gynecol. Endocrinol. 2014, 30, 272–276. [Google Scholar] [CrossRef] [PubMed]
  21. Durbin, K.L.; Diaz-Montes, T.; Loveless, M.B. Van Wyk and Grumbach Syndrome: An Unusual Case and Review of the Literature. J. Pediatr. Adolesc. Gynecol. 2011, 24, e93–e96. [Google Scholar] [CrossRef] [PubMed]
  22. Egodawaththe, N.S.; Seneviratne, S.N.; Gunasekara, S.; Amarasekara, S.M.; Weerasekara, K. Van Wyk-Grumbach Syndrome and Oligosyndactyly in a 6-Year-Old Girl: A Case Report. J. Med. Case Rep. 2020, 14, 166. [Google Scholar] [CrossRef] [PubMed]
  23. Esen, I.; Demirel, F. Hypothyroidism-Associated Testicular Enlargement: Is It a Form of Precocious Puberty or Not? A Case Report. Turk. J. Pediatr. 2011, 53, 210–212. [Google Scholar] [PubMed]
  24. Guerrero, N.; Athanassaki, I.D.; Sebastian, M.R. Prolonged Untreated Disease and Limited English Proficiency: A Case of Van Wyk-Grumbach Syndrome. J. Adolesc. Health Off. Publ. Soc. Adolesc. Med. 2021, 69, 171–174. [Google Scholar] [CrossRef] [PubMed]
  25. Gordon, C.M.; Austin, D.J.; Radovick, S.; Laufer, M.R. Primary Hypothyroidism Presenting as Severe Vaginal Bleeding in a Prepubertal Girl. J. Pediatr. Adolesc. Gynecol. 1997, 10, 35–38. [Google Scholar] [CrossRef]
  26. Lee, S.-J.; Moon, J.-E.; Lee, G.-M.; Cho, M.-H.; Ko, C.W. An Alport Syndrome Boy with Van Wyk-Grumbach Syndrome Induced by Prolonged Untreated Congenital Hypothyroidism. Ann. Pediatr. Endocrinol. Metab. 2020, 25, 132–136. [Google Scholar] [CrossRef] [PubMed]
  27. Gupta, J.; Lin-Su, K. Van Wyk-Grumbach Syndrome in a Female Pediatric Patient with Trisomy 21: A Case Report. Int. J. Pediatr. Endocrinol. 2020, 2020, 2. [Google Scholar] [CrossRef] [PubMed]
  28. Hansen, K.A.; Tho, S.P.; Hanly, M.; Moretuzzo, R.W.; McDonough, P.G. Massive Ovarian Enlargement in Primary Hypothyroidism. Fertil. Steril. 1997, 67, 169–171. [Google Scholar] [CrossRef] [PubMed]
  29. Hunold, A.; Alzen, G.; Wudy, S.A.; Bluetters-Sawatzki, R.; Landmann, E.; Reiter, A.; Wagner, H.-J. Ovarian Tumor in a 12-Year Old Female with Severe Hypothyroidism: A Case of Van Wyk and Grumbach Syndrome. Pediatr. Blood Cancer 2009, 52, 677–679. [Google Scholar] [CrossRef]
  30. Indumathi, C.K.; Bantwal, G.; Patil, M. Primary Hypothyroidism with Precocious Puberty and Bilateral Cystic Ovaries. Indian J. Pediatr. 2007, 74, 781–783. [Google Scholar] [CrossRef] [PubMed]
  31. Krishnamurthy, S.; Seth, A.; Puri, A.; Anand, R.; Aneja, S. Ovarian Tumors with Elevated CA-125 Levels and Severe Juvenile Hypothyroidism: A Need for Increased Awareness. Indian J. Pediatr. 2010, 77, 693–694. [Google Scholar] [CrossRef] [PubMed]
  32. Kubota, K.; Itho, M.; Kishi, H.; Igarashi, S.; Minegishi, T. Primary Hypothyroidism Presenting as Multiple Ovarian Cysts in an Adult Woman: A Case Report. Gynecol. Endocrinol. Off. J. Int. Soc. Gynecol. Endocrinol. 2008, 24, 586–589. [Google Scholar] [CrossRef]
  33. Kumar, S.; Mahesh, D.M.; Vignesh, G.; Sagili, H.; Dhanapathi, H.; Hamide, A. Congenital Hypothyroidism Presenting as Menorrhagia in Adulthood. J. Assoc. Physicians India 2013, 61, 660–661. [Google Scholar] [PubMed]
  34. Leonardi, A.; Penta, L.; Cofini, M.; Lanciotti, L.; Principi, N.; Esposito, S. Rhabdomyolysis in a Young Girl with Van Wyk-Grumbach Syndrome Due to Severe Hashimoto Thyroiditis. Int. J. Environ. Res. Public Health 2018, 15, 704. [Google Scholar] [CrossRef] [PubMed]
  35. Lim, H.H.; Kil, H.R.; Kim, J.Y. Unusual Presentations of a Girl with Down Syndrome: Van Wyk-Grumbach Syndrome. J. Pediatr. Endocrinol. Metab. JPEM 2012, 25, 1209–1212. [Google Scholar] [CrossRef]
  36. Marr, A.; Hardy, K.; Curtis, J. A 14-Year-Old Girl with Short Stature, Incomplete Puberty and Severe Menstrual Bleeding. Paediatr. Child Health 2018, 23, 85–88. [Google Scholar] [CrossRef] [PubMed]
  37. Moreno-Guzmán, L.; Sandoval-Benítez, M.; Núñez-Hernández, J.; Sánchez-Castillo, J. Virilización Secundaria a Hiperandrogenismo Ovárico En Síndrome de Van Wyk-Grumbach: Reporte de Un Caso. Arch. Investig. Mater. Inf. 2015, 7, 104–106. [Google Scholar]
  38. Motamed, F.; Eftekhari, K.; Kiani, M.A.; Rabbani, A. Ovarian Cyst Enlargement in a 14 Year Old Female with Persistent Ascities, Severe Hypothyroidism and Elevated Serum CA-125 Level. Iran. Red Crescent Med. J. 2012, 14, 379–381. [Google Scholar]
  39. Oden Akman, A.; Tayfun, M.; Demirel, F.; Ucakturk, S.A.; Gungor, A. Association of Van Wyk Grumbach and Debre Semelaigne Syndromes with Severe Hypothyroidism. J. Pediatr. Adolesc. Gynecol. 2015, 28, e161–e163. [Google Scholar] [CrossRef] [PubMed]
  40. Patni, N.; Cervantes, L.F.; Diaz, A. Elevated Alpha-Fetoprotein Levels in Van Wyk-Grumbach Syndrome: A Case Report and Review of Literature. J. Pediatr. Endocrinol. Metab. JPEM 2012, 25, 761–767. [Google Scholar] [CrossRef] [PubMed]
  41. Rastogi, A.; Bhadada, S.K.; Bhansali, A. An Unusual Presentation of a Usual Disorder: Van Wyk-Grumbach Syndrome. Indian J. Endocrinol. Metab. 2011, 15, S141–S143. [Google Scholar] [CrossRef] [PubMed]
  42. Reddy, P.; Tiwari, K.; Kulkarni, A.; Parikh, K.; Khubchandani, R. Van Wyk Grumbach Syndrome: A Rare Consequence of Hypothyroidism. Indian J. Pediatr. 2018, 85, 1028–1030. [Google Scholar] [CrossRef] [PubMed]
  43. Rivera-Hernández, A.; Madrigal-González, M.M.; Espinosa-Peniche, R.; Zurita-Cruz, J.; Balcázar-Hernández, L. Van Wyk-Grumbach Syndrome and Trisomy 21. Proc. Bayl. Univ. Med. Cent. 2022, 35, 569–571. [Google Scholar] [CrossRef]
  44. Sherwani, P.; Nandolia, K.K.; Joshi, K.; Lourembam, R. Imaging in Van Wyk Grumbach Syndrome: An Uncommon Presentation of Hypothyroidism. SA J. Radiol. 2023, 27, 2572. [Google Scholar] [CrossRef] [PubMed]
  45. Shivaprasad, K.S.; Dutta, D.; Jain, R.; Kumar, M.; Maisnam, I.; Biswas, D.; Ghosh, S.; Mukhopadhyay, S.; Chowdhury, S. Huge Bilateral Ovarian Cysts in Adulthood as the Presenting Feature of Van Wyk Grumbach Syndrome Due to Chronic Uncontrolled Juvenile Hypothyroidism. Indian J. Endocrinol. Metab. 2013, 17, S164–S166. [Google Scholar] [CrossRef] [PubMed]
  46. Singh, B.M.; Ammini, A.C.; Kriplani, A. Ovarian Cyst in Juvenile Hypothyroidism. Arch. Gynecol. Obstet. 2005, 271, 262–263. [Google Scholar] [CrossRef] [PubMed]
  47. Sneha, L.M.; Thanasegarapandian, K.; Paramasivam, V.; Scott, J.X. Short Stature and an Interesting Association. Indian J. Hum. Genet. 2013, 19, 101–103. [Google Scholar] [CrossRef] [PubMed][Green Version]
  48. Sultan, A.; Velaga, M.R.; Fleet, M.; Cheetham, T. Cullen’s Sign and Massive Ovarian Enlargement Secondary to Primary Hypothyroidism in a Patient with a Normal FSH Receptor. Arch. Dis. Child. 2006, 91, 509–510. [Google Scholar] [CrossRef]
  49. Takeuchi, K.; Deguchi, M.; Takeshima, Y.; Maruo, T. A Case of Multiple Ovarian Cysts in a Prepubertal Girl with Severe Hypothyroidism Due to Autoimmune Thyroiditis. Int. J. Gynecol. Cancer Off. J. Int. Gynecol. Cancer Soc. 2004, 14, 543–545. [Google Scholar] [CrossRef]
  50. Ozgen, T.; Güven, A.; Aydin, M. Precocious Puberty in a Girl with Down Syndrome Due to Primary Hypothyroidism. Turk. J. Pediatr. 2009, 51, 381–383. [Google Scholar] [PubMed]
  51. Tran, S.; Kim, E.E.; Chin, A.C. Severe Menorrhagia, Unilateral Ovarian Mass, Elevated Inhibin Levels, and Severe Hypothyroidism: An Unusual Presentation of Van Wyk and Grumbach Syndrome. J. Pediatr. Surg. 2013, 48, e51–e54. [Google Scholar] [CrossRef]
  52. Waddankeri, S.; Waddankeri, M.; Waddankeri, S.; Arora, K. The Clinical Septet of Van Wyk-Grumbach Syndrome: A Case Series from a Tertiary Care Centre in Kalyana Karnataka, India. Touchrev. Endocrinol. 2023, 19, 98–102. [Google Scholar] [CrossRef] [PubMed]
  53. Iqbal, M.Z.; Saleem, M.; Shahzad, Z.A. A Case of van Wyk-Grumbach Syndrome. APSP J. Case Rep. 2013, 4, 24. [Google Scholar] [PubMed]
  54. Zhang, S.; Yang, J.; Zheng, R.; Jiang, L.; Wei, Y.; Liu, G. VanWyk-Grumbach Syndrome in a Male Pediatric Patient: A Rare Case Report and Literature Review. Exp. Ther. Med. 2017, 13, 1151–1154. [Google Scholar] [CrossRef] [PubMed]
  55. Zhang, H.; Geng, N.; Wang, Y.; Tian, W.; Xue, F. Van Wyk and Grumbach Syndrome: Two Case Reports and Review of the Published Work. J. Obstet. Gynaecol. Res. 2014, 40, 607–610. [Google Scholar] [CrossRef] [PubMed]
  56. Zhu, W.; Yang, Y.; Zhao, Y.; Tang, H.; Zhang, X.; Shi, R.; Zhao, Y.; Han, R. Primary Juvenile Hypothyroidism Concurrent with Huge Bilateral Cystic Ovaries: Case Report and Literature Review. Arch. Pediatr. Organe Off. Soc. Fr. Pediatr. 2021, 28, 96–100. [Google Scholar] [CrossRef] [PubMed]
  57. Vasseur, C.; Rodien, P.; Beau, I.; Desroches, A.; Gérard, C.; de Poncheville, L.; Chaplot, S.; Savagner, F.; Croué, A.; Mathieu, E.; et al. A Chorionic Gonadotropin-Sensitive Mutation in the Follicle-Stimulating Hormone Receptor as a Cause of Familial Gestational Spontaneous Ovarian Hyperstimulation Syndrome. N. Engl. J. Med. 2003, 349, 753–759. [Google Scholar] [CrossRef] [PubMed]
  58. Smits, G.; Olatunbosun, O.; Delbaere, A.; Pierson, R.; Vassart, G.; Costagliola, S. Ovarian Hyperstimulation Syndrome Due to a Mutation in the Follicle-Stimulating Hormone Receptor. N. Engl. J. Med. 2003, 349, 760–766. [Google Scholar] [CrossRef]
  59. Rizvi, T.; Rehm, P.K. Recombinant Human Thyrotropin Use Resulting in Ovarian Hyperstimulation: An Unusual Side Effect. Eur. Thyroid J. 2014, 3, 125–129. [Google Scholar] [CrossRef] [PubMed][Green Version]
  60. Easterbrook, P.J.; Berlin, J.A.; Gopalan, R.; Matthews, D.R. Publication Bias in Clinical Research. Lancet 1991, 337, 867–872. [Google Scholar] [CrossRef] [PubMed]
  61. Nair, A.S. Publication Bias-Importance of Studies with Negative Results! Indian J. Anaesth. 2019, 63, 505–507. [Google Scholar] [CrossRef]
  62. Seth, A.; Aggarwal, V.; Maheshwari, A. Hypothyroidism in Children beyond 5 y of Age: Delayed Diagnosis of Congenital Hypothyroidism. Indian J. Pediatr. 2012, 79, 891–895. [Google Scholar] [CrossRef] [PubMed]
  63. Khera, S.; Venkateshwar, V.; Kanitkar, M.; Devgan, A. Varied Presentations of Hypothyroidism in Children. Med. J. Armed Forces India 2011, 67, 174–176. [Google Scholar] [CrossRef]
  64. Gutch, M.; Philip, R.; Philip, R.; Toms, A.; Saran, S.; Gupta, K.K. Skeletal Manifestations of Juvenile Hypothyroidism and the Impact of Treatment on Skeletal System. Indian J. Endocrinol. Metab. 2013, 17, S181–S183. [Google Scholar] [CrossRef] [PubMed]
  65. Bull, M.J.; Trotter, T.; Santoro, S.L.; Christensen, C.; Grout, R.W.; Council on Genetics; Burke, L.W.; Berry, S.A.; Geleske, T.A.; Holm, I.; et al. Health Supervision for Children and Adolescents with Down Syndrome. Pediatrics 2022, 149, e2022057010. [Google Scholar] [CrossRef]
  66. Rodriguez, L.; Dinauer, C.; Francis, G. Treatment of Hypothyroidism in Infants, Children and Adolescents. Trends Endocrinol. Metab. TEM 2022, 33, 522–532. [Google Scholar] [CrossRef] [PubMed]
Figure 1. (a) Tomography image of the two pelvic tumors, A: Anterior; (b) ultrasound image of a pelvic tumor, T: Transductor.
Figure 1. (a) Tomography image of the two pelvic tumors, A: Anterior; (b) ultrasound image of a pelvic tumor, T: Transductor.
Children 11 00831 g001
Table 1. Initial laboratory findings in this case.
Table 1. Initial laboratory findings in this case.
LaboratoryResultNormal Range
Alpha-fetoprotein4.86 ng/mL0 to 7 ng/mL
Carcinoembryonic antigen3.84 ng/mL0 to 3.8 ng/mL
Chorionic gonadotropin<0.10non detectable
CA-12525.39 UI/mL0 to 35 UI/mL
TSH367.3 μUI/mL0.27 to 4.2 μUI/mL
Total T40.49 μg/dL5.1 a 14.1 μg/dL
Free T40.06 ng/dL0.93 to 1.7 ng/dL
Total T3<0.20 ng/mL0.8 to 2 ng/mL
Free T31.59 pmol/L1.73 to 6.3 pmol/L
Anti-thyroglobulin150.5 ng/dL5 to 100
LH<0.10 mUI/mL<0.10 mUI/mL
Estradiol63.53 pg/mLNon detectable
FSH5.19 mUI/mL0 to 5 mUI/mL
Total cholesterol305 mg/dL120 to 200 mg/dL
Triglycerides332 mg/dL35 to 135 mg/dL
Table 2. Main characteristics of reports of Van Wyk–Grumbach syndrome.
Table 2. Main characteristics of reports of Van Wyk–Grumbach syndrome.
VariableResult n (%) or * Median (Interquartile Range)
Place of report
   Asia29 (53.7)
   America18 (33.3)
   Europe7 (13)
Female sex51(94)
Age at diagnosis, years 9.95 (7.37 to 14) *
Comorbidities9 (16.6)
Down’s syndrome6 (11.1)
Alport syndrome1(1.9)
Hemangioma1 (1.9)
Table 3. Typical hypothyroidism findings at presentation.
Table 3. Typical hypothyroidism findings at presentation.
Variablen (%) from All Studies or * Median (Interquartile Range)Percentage of Studies That Report the Symptom
Mental retardation12 (22.2)13 (24.1)
Edema/myxedema18 (33.3)19 (35.2)
Dry skin22 (37)22 (37)
Puffy face19 (33.3)19 (33.3)
Hypoactivity or asthenia23 (38.9)23 (38.9)
Constipation13 (24.1)14 (24.1)
Bradycardia8 (14.8)8 (14.8)
Anemia27 (46.3)25 (48.1)
   Hb g/dL9 (7.9 to 10) *
Alopecia1 (1.9)1 (1.9)
Irregular menstrual rhythm6 (11.1)6 (11.1)
Myopathy or muscular weakness6 (11.1)6 (11.1)
Short stature34 (63)39 (72)
   Height (CDC sz)−3.47 (−2.45 to −4.76) *
Obesity15 (27.8)17 (31.5)
Hypercholesterolemia7 (13)7 (13)
   Total cholesterol mg/dL345 (299 to 444) *
Delayed bone age31 (57.4)36 (64.7)
   Bone age delay, years−3 (−4 to −1.5) *
Number of findings
   01 (1.9)
   1 to 535 (64.6)
   6 to 1018 (33.5)
Time from typical hypothyroidism findings to diagnosis, years2 (1 to 5)
TSH mUI/mL490 (100 to 939) *35 (63.3)
   TSH > 10042 (77.8)
   TSH < 10010 (18.5)
CDC: Central Disease Center.
Table 4. Symptoms that led to medical consultation.
Table 4. Symptoms that led to medical consultation.
Symptomn (%)
Vaginal bleeding23 (42.3)
Abdominal pain15 (27.8)
Abdominal bloating3 (5.6)
Abnormal menstruation (irregularity or metrorrhagia)4 (7.4)
Other (ascites, headache, clitoromegaly, Cullen’s sign, abdominal mass, precocious puberty, short stature, and muscular weakness)9 (16.6)
Table 5. Puberal or gonadal-related findings of hypothyroidism at diagnosis.
Table 5. Puberal or gonadal-related findings of hypothyroidism at diagnosis.
Symptomn (%)
Puberal or sexual symptom
 Vaginal bleeding33 (61.1)
 Macroorchidism3 (5.6)
 Clitoromegaly2 (3.7)
 Puberal delay1 (1.9)
Table 6. Severe findings of hypothyroidism at diagnosis.
Table 6. Severe findings of hypothyroidism at diagnosis.
Symptomn (%)
Anemia requiring transfusion2 (3.8)
Ascites4 (7.4)
Pericardial effusion5 (9.2)
Intracranial mass effect1 (1.9)
Cullen’s sign1 (1.9)
Ovarian torsion3 (5.5)
Pituitary hyperplasia18 (33.3)
Hyperprolactinemia29 (53.7)
Elevated AST1 (1.9)
Table 7. Gonadal ultrasound findings at diagnosis.
Table 7. Gonadal ultrasound findings at diagnosis.
Findingsn (%)
Multiple cysts23 (51.1)
Cysts13 (28.9)
Ovarian enlargement5 (11.1)
Ovarian tumor or complex images3 (6.7)
Other1 (2.2)
Table 8. Surgery indications.
Table 8. Surgery indications.
Type of Surgeryn (%)
Cystectomy2 (28.5)
Ovary detorsion2 (28.5)
Ovary biopsy1 (14.2)
Bilateral oophorectomy1 (14.2)
Aborted oophorectomy1 (14.2)
Disclaimer/Publisher’s Note: The statements, opinions and data contained in all publications are solely those of the individual author(s) and contributor(s) and not of MDPI and/or the editor(s). MDPI and/or the editor(s) disclaim responsibility for any injury to people or property resulting from any ideas, methods, instructions or products referred to in the content.

Share and Cite

MDPI and ACS Style

Arellano-Llamas, A.A.; Hernandez-Caballero, A.; Delgado-Mendoza, E.; Catalan-Ruiz, M.A. Van Wyk–Grumbach Syndrome and Gonadectomy. Children 2024, 11, 831. https://doi.org/10.3390/children11070831

AMA Style

Arellano-Llamas AA, Hernandez-Caballero A, Delgado-Mendoza E, Catalan-Ruiz MA. Van Wyk–Grumbach Syndrome and Gonadectomy. Children. 2024; 11(7):831. https://doi.org/10.3390/children11070831

Chicago/Turabian Style

Arellano-Llamas, Abril Adriana, Alvaro Hernandez-Caballero, Efren Delgado-Mendoza, and Manuel Alejandro Catalan-Ruiz. 2024. "Van Wyk–Grumbach Syndrome and Gonadectomy" Children 11, no. 7: 831. https://doi.org/10.3390/children11070831

APA Style

Arellano-Llamas, A. A., Hernandez-Caballero, A., Delgado-Mendoza, E., & Catalan-Ruiz, M. A. (2024). Van Wyk–Grumbach Syndrome and Gonadectomy. Children, 11(7), 831. https://doi.org/10.3390/children11070831

Note that from the first issue of 2016, this journal uses article numbers instead of page numbers. See further details here.

Article Metrics

Back to TopTop