Incidence and Characteristics of Cerebellar Atrophy/Volume Loss in Children with Confirmed Diagnosis of Tuberous Sclerosis Complex
Abstract
1. Introduction
2. Materials and Methods
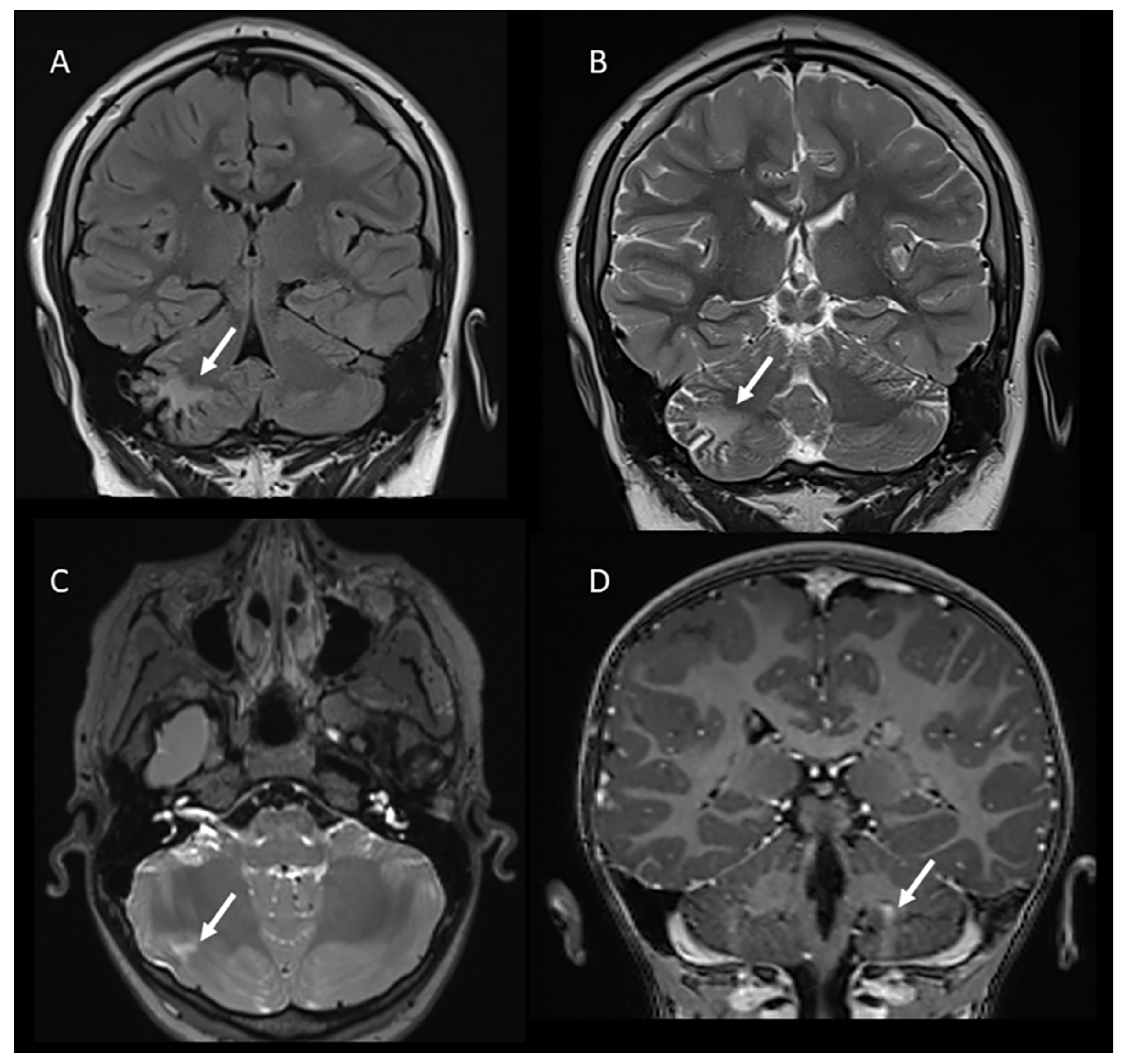
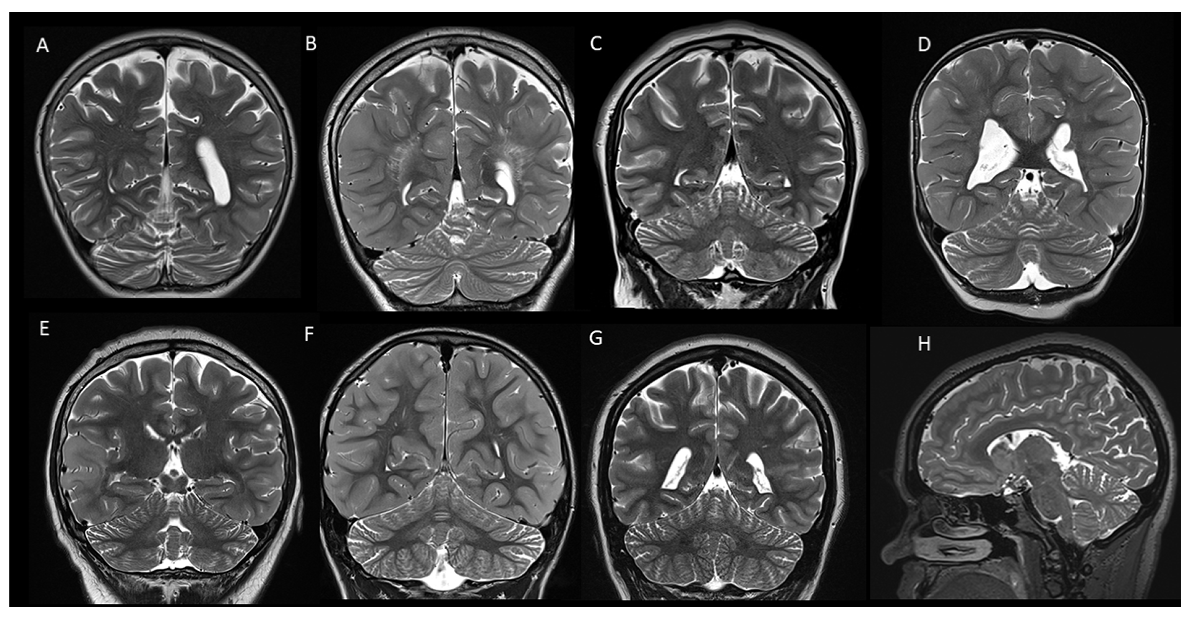
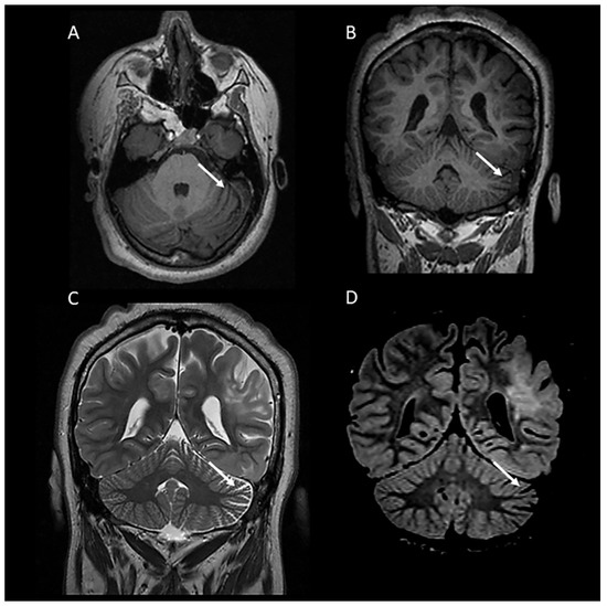
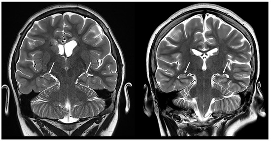
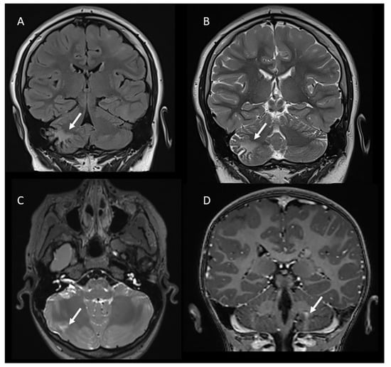
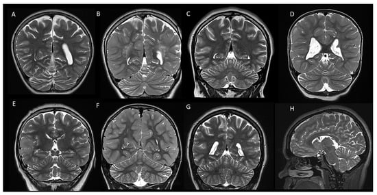
3. Results
4. Discussion
5. Conclusions
Author Contributions
Funding
Institutional Review Board Statement
Informed Consent Statement
Data Availability Statement
Conflicts of Interest
Abbreviations
References
- Islam, M.P. Tuberous Sclerosis Complex. Semin. Pediatr. Neurol. 2021, 37, 100875. [Google Scholar] [CrossRef] [PubMed]
- Reith, R.M.; Way, S.; McKenna, J., 3rd; Haines, K.; Gambello, M.J. Loss of the tuberous sclerosis complex protein tuberin causes Purkinje cell degeneration. Neurobiol. Dis. 2011, 43, 113–122. [Google Scholar] [CrossRef] [PubMed]
- Fu, J.; Liang, P.; Zheng, Y.; Xu, C.; Xiong, F.; Yang, F. A large deletion in TSC2 causes tuberous sclerosis complex by dysregulating PI3K/AKT/mTOR signaling pathway. Gene 2024, 909, 148312. [Google Scholar] [CrossRef] [PubMed]
- Weisenfeld, N.I.; Peters, J.M.; Tsai, P.T.; Prabhu, S.P.; Dies, K.A.; Sahin, M.; Warfield, S.K. A magnetic resonance imaging study of cerebellar volume in tuberous sclerosis complex. Pediatr. Neurol. 2013, 48, 105–110. [Google Scholar] [CrossRef] [PubMed]
- Northrup, H.; Koenig, M.K.; Pearson, D.A.; Au, K.S. Tuberous Sclerosis Complex. In GeneReviews® [Internet]; Northrup, H., Koenig, M.K., Pearson, D.A., Au, K.S., Adam, M.P., Feldman, J., Mirzaa, G.M., Pagon, R.A., Wallace, S.E., Bean, L.J.H., et al., Eds.; University of Washington: Seattle, WA, USA, 1993. Available online: https://www.ncbi.nlm.nih.gov/books/NBK1220/ (accessed on 20 December 2023).
- Baskin, H.J. The pathogenesis and imaging of the tuberous sclerosis complex. Pediatr. Radiol. 2008, 38, 936–952. [Google Scholar] [CrossRef] [PubMed]
- Kalantari, B.N.; Salamon, N. Neuroimaging of tuberous sclerosis: Spectrum of pathologic findings and frontiers in imaging. AJR Am. J. Roentgenol. 2008, 190, W304–W309. [Google Scholar] [CrossRef] [PubMed]
- Jurkiewicz, E.; Jóźwiak, S.; Bekiesińska-Figatowska, M.; Pakieła-Domańska, D.; Pakuła-Kościesza, I.; Walecki, J. Cerebellar lesions in children with tuberous sclerosis complex. Neuroradiol. J. 2006, 19, 577–582. [Google Scholar] [CrossRef] [PubMed]
- Ertan, G.; Arulrajah, S.; Tekes, A.; Jordan, L.; Huisman, T.A. Cerebellar abnormality in children and young adults with tuberous sclerosis complex: MR and diffusion weighted imaging findings. J. Neuroradiol. 2010, 37, 231–238. [Google Scholar] [CrossRef] [PubMed]
- Toldo, I.; Bugin, S.; Perissinotto, E.; Pelizza, M.F.; Vignoli, A.; Parazzini, C.; Canevini, M.P.; Nosadini, M.; Sartori, S.; Manara, R. Cerebellar lesions as potential predictors of neurobehavioural phenotype in tuberous sclerosis complex. Dev. Med. Child. Neurol. 2019, 61, 1221–1228. [Google Scholar] [CrossRef]
- Weerasinghe, S.; Sato, T.S. All tubers are not created equal: Cerebellar tubers in a pediatric patient with tuberous sclerosis. Radiol. Case Rep. 2021, 16, 497–499. [Google Scholar] [CrossRef]
- Gama, H.P.; da Rocha, A.J.; Valério, R.M.; da Silva, C.J.; Garcia, L.A. Hippocampal abnormalities in an MR imaging series of patients with tuberous sclerosis. AJNR Am. J. Neuroradiol. 2010, 31, 1059–1062. [Google Scholar] [CrossRef]
- Northrup, H.; Krueger, D.A. Tuberous sclerosis complex diagnostic criteria update: Recommendations of the 2012 Iinternational Tuberous Sclerosis Complex Consensus Conference. Pediatr. Neurol. 2013, 49, 243–254. [Google Scholar] [CrossRef]
- Inoue, Y.; Nemoto, Y.; Murata, R.; Tashiro, T.; Shakudo, M.; Kohno, K.; Matsuoka, O.; Mochizuki, K. CT and MR imaging of cerebral tuberous sclerosis. Brain Dev. 1998, 20, 209–221. [Google Scholar] [CrossRef] [PubMed]
- Eluvathingal, T.J.; Behen, M.E.; Chugani, H.T.; Janisse, J.; Bernardi, B.; Chakraborty, P.; Juhasz, C.; Muzik, O.; Chugani, D.C. Cerebellar lesions in tuberous sclerosis complex: Neurobehavioral and neuroimaging correlates. J. Child. Neurol. 2006, 21, 846–851. [Google Scholar] [CrossRef]
- Boronat, S.; Thiele, E.A.; Caruso, P. Cerebellar lesions are associated with TSC2 mutations in tuberous sclerosis complex: A retrospective record review study. Dev. Med. Child. Neurol. 2017, 59, 1071–1076. [Google Scholar] [CrossRef]
- Martí-Bonmatí, L.; Menor, F.; Dosdá, R. Tuberous sclerosis: Differences between cerebral and cerebellar cortical tubers in a pediatric population. AJNR Am. J. Neuroradiol. 2000, 21, 557–560. [Google Scholar]
- Srivastava, S.; Prohl, A.K.; Scherrer, B.; Kapur, K.; Krueger, D.A.; Warfield, S.K.; Sahin, M. Cerebellar volume as an imaging marker of development in infants with tuberous sclerosis complex. Neurology 2018, 90, e1493–e1500. [Google Scholar] [CrossRef] [PubMed]
- Marcián, V.; Filip, P.; Bareš, M.; Brázdil, M. Cerebellar Dysfunction and Ataxia in Patients with Epilepsy: Coincidence, Consequence, or Cause? Tremor Other Hyperkinetic Mov. 2016, 6, 376, Erratum in Tremor Other Hyperkinetic Mov. 2016, 6, 416. [Google Scholar] [CrossRef] [PubMed]
- Ibdali, M.; Hadjivassiliou, M.; Grünewald, R.A.; Shanmugarajah, P.D. Cerebellar Degeneration in Epilepsy: A Systematic Review. Int. J. Environ. Res. Public Health 2021, 18, 473. [Google Scholar] [CrossRef]
- Algahtani, H.; Shirah, B.; Alqahtani, A.J.; Al-Malki, A.Q. Irreversible Cerebellar Atrophy as a Complication of Short-Term Phenytoin Exposure: Clinical Improvement Following Discontinuation of the Culprit. J. Epilepsy Res. 2020, 10, 96–99. [Google Scholar] [CrossRef]
- Curatolo, P.; Bombardieri, R.; Verdecchia, M.; Seri, S. Intractable seizures in tuberous sclerosis complex: From molecular pathogenesis to the rationale for treatment. J. Child. Neurol. 2005, 20, 318–325. [Google Scholar] [CrossRef] [PubMed]
- Lang, M.; Prayson, R.A. Tuberous sclerosis complex coexistent with hippocampal sclerosis. J. Clin. Neurosci. 2016, 24, 28–29. [Google Scholar] [CrossRef] [PubMed]
- Cavazos, J.E.; Sutula, T.P. Progressive neuronal loss induced by kindling: A possible mechanism for mossy fiber synaptic reorganization and hippocampal sclerosis. Brain Res. 1990, 527, 1–6. [Google Scholar] [CrossRef] [PubMed]
- Ho, S.S.; Kuzniecky, R.I.; Gilliam, F.; Faught, E.; Morawetz, R. Temporal lobe developmental malformations and epilepsy: Dual pathology and bilateral hippocampal abnormalities. Neurology 1998, 50, 748–754. [Google Scholar] [CrossRef] [PubMed]




Disclaimer/Publisher’s Note: The statements, opinions and data contained in all publications are solely those of the individual author(s) and contributor(s) and not of MDPI and/or the editor(s). MDPI and/or the editor(s) disclaim responsibility for any injury to people or property resulting from any ideas, methods, instructions or products referred to in the content. |
© 2024 by the authors. Licensee MDPI, Basel, Switzerland. This article is an open access article distributed under the terms and conditions of the Creative Commons Attribution (CC BY) license (https://creativecommons.org/licenses/by/4.0/).
Share and Cite
Mertiri, L.; Boltshauser, E.; Kralik, S.F.; Desai, N.K.; Lequin, M.H.; Huisman, T.A.G.M. Incidence and Characteristics of Cerebellar Atrophy/Volume Loss in Children with Confirmed Diagnosis of Tuberous Sclerosis Complex. Children 2024, 11, 627. https://doi.org/10.3390/children11060627
Mertiri L, Boltshauser E, Kralik SF, Desai NK, Lequin MH, Huisman TAGM. Incidence and Characteristics of Cerebellar Atrophy/Volume Loss in Children with Confirmed Diagnosis of Tuberous Sclerosis Complex. Children. 2024; 11(6):627. https://doi.org/10.3390/children11060627
Chicago/Turabian StyleMertiri, Livja, Eugen Boltshauser, Stephen F. Kralik, Nilesh K. Desai, Maarten H. Lequin, and Thierry A. G. M. Huisman. 2024. "Incidence and Characteristics of Cerebellar Atrophy/Volume Loss in Children with Confirmed Diagnosis of Tuberous Sclerosis Complex" Children 11, no. 6: 627. https://doi.org/10.3390/children11060627
APA StyleMertiri, L., Boltshauser, E., Kralik, S. F., Desai, N. K., Lequin, M. H., & Huisman, T. A. G. M. (2024). Incidence and Characteristics of Cerebellar Atrophy/Volume Loss in Children with Confirmed Diagnosis of Tuberous Sclerosis Complex. Children, 11(6), 627. https://doi.org/10.3390/children11060627

