Updates on the Care of Cloacal Exstrophy
Abstract
1. Introduction
2. Epidemiology
3. Embryology and Genetics
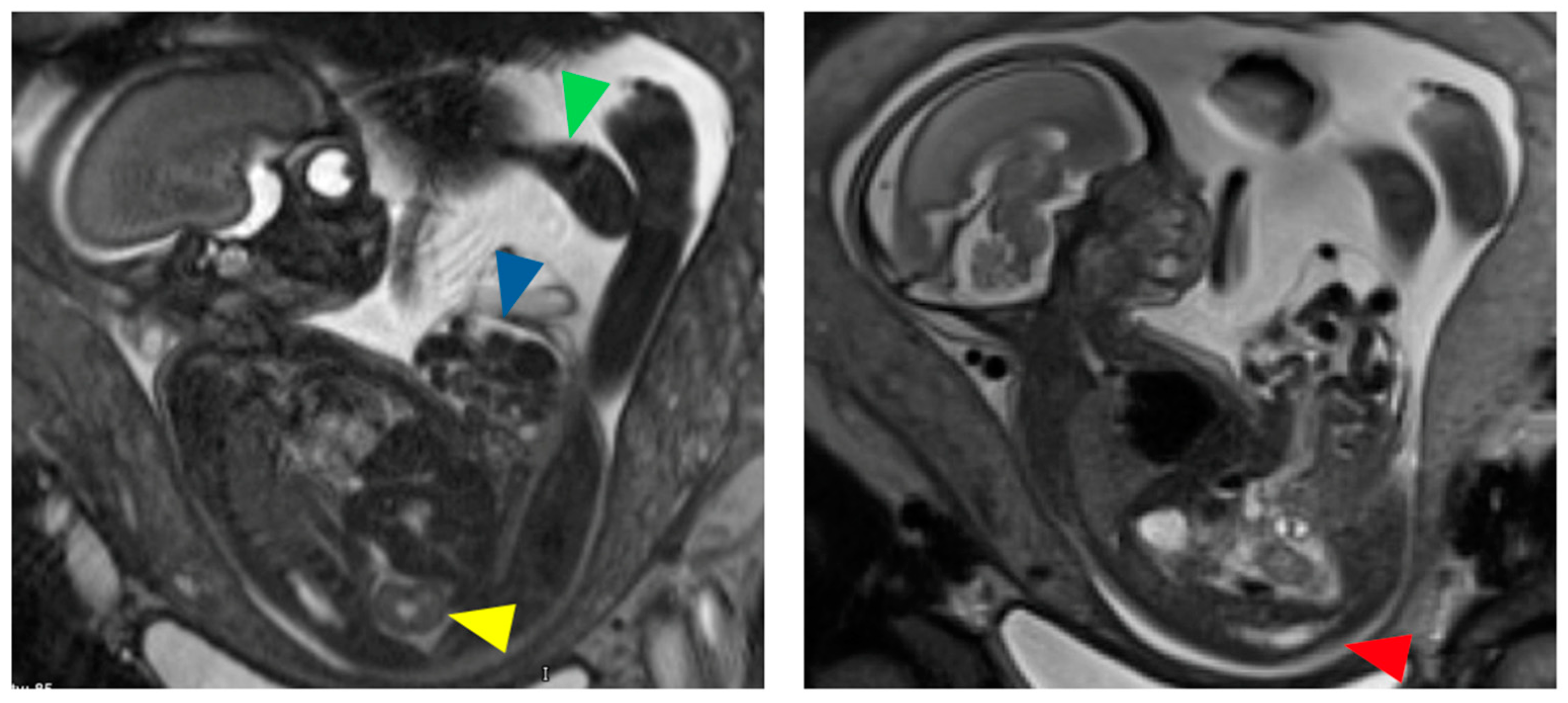
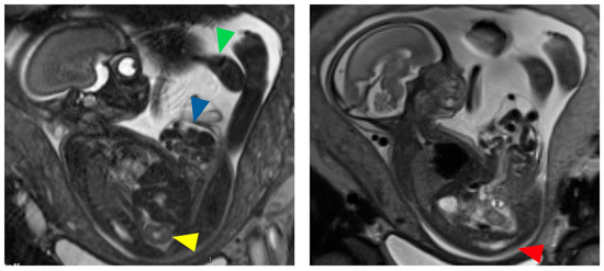
4. Prenatal Findings and Diagnosis
5. Anatomy and Associated Anomalies
5.1. Gastrointestinal Anomalies
5.2. Genitourinary Anomalies
5.3. Neurospinal Anomalies
5.4. Musculoskeletal Anomalies
5.5. Differential Diagnosis
6. Postnatal Evaluation and Management
7. Operative Management
7.1. Stage 1 Closure (Newborn)
7.1.1. Bowel Reconstruction
7.1.2. Bladder Reconstruction
7.1.3. Omphalocele Closure
7.2. Stage 2 Closure (6 Months–2 Years of Age)
7.3. Additional Interventions
8. Gender Assignment and Identity
9. Long-Term Outcomes
9.1. Urinary Outcomes
9.2. Gastrointestinal Outcomes
9.3. Renal Outcomes
9.4. Growth and Ambulation Outcomes
9.5. Sexual Function and Fertility
9.6. Psychosocial Outcomes
10. Discussion
11. Conclusions
Author Contributions
Funding
Institutional Review Board Statement
Informed Consent Statement
Data Availability Statement
Acknowledgments
Conflicts of Interest
References
- Lee, T.; Borer, J. Exstrophy-Epispadias Complex. Urol. Clin. N. Am. 2023, 50, 403–414. [Google Scholar] [CrossRef] [PubMed]
- Inouye, B.M.; Tourchi, A.; Di Carlo, H.N.; Young, E.E.; Gearhart, J.P. Modern Management of the Exstrophy-Epispadias Complex. Surg. Res. Pract. 2014, 2014, 587064. [Google Scholar] [CrossRef] [PubMed]
- Littre, A. Diverse Observations Anatomique. Mem. Acad. Roy. Sc. 1709, 4, 9. [Google Scholar]
- Meckel, J.F. Handbuch Der Pathologischen Anatomie; Reclam: Leipzig, Germany, 1812; Volume 1, p. 734. [Google Scholar]
- Haney, N.M.; Morrill, C.C.; Haffar, A.; Crigger, C.; Gabrielson, A.T.; Galansky, L.; Gearhart, J.P. Long-Term Management of Problems in Cloacal Exstrophy: A Single-Institution Review. J. Pediatr. Surg. 2024, 59, 26–30. [Google Scholar] [CrossRef] [PubMed]
- Phillips, T.M. Spectrum of Cloacal Exstrophy. Semin. Pediatr. Surg. 2011, 20, 113–118. [Google Scholar] [CrossRef]
- Rickham, P.P. Vesico-Intestinal Fissure. Arch. Dis. Child. 1960, 35, 97–102. [Google Scholar] [CrossRef] [PubMed]
- Wilcox, D.; Bischoff, A.; Ziegler, M.M. Cloacal Exstrophy. In Pediatric Surgery Diagnosis and Management; Springer: Cham, Switzerland, 2023. [Google Scholar]
- Reutter, H.; Keppler-Noreuil, K.; E Keegan, C.; Thiele, H.; Yamada, G.; Ludwig, M. Genetics of Bladder-Exstrophy-Epispadias Complex (BEEC): Systematic Elucidation of Mendelian and Multifactorial Phenotypes. Curr. Genom. 2016, 17, 4–13. [Google Scholar] [CrossRef] [PubMed]
- Martínez-Frías, M.L.; Bermejo, E.; Rodríguez-Pinilla, E.; Frías, J.L. Exstrophy of the Cloaca and Exstrophy of the Bladder: Two Different Expressions of a Primary Developmental Field Defect. Am. J. Med. Genet. 2001, 99, 261–269. [Google Scholar] [CrossRef] [PubMed]
- Caton, A.R.; Bloom, A.; Druschel, C.M.; Kirby, R.S. Epidemiology of Bladder and Cloacal Exstrophies in New York State, 1983–1999. Birth Defects Res. Part A Clin. Mol. Teratol. 2007, 79, 781–787. [Google Scholar] [CrossRef]
- Feldkamp, M.L.; Botto, L.D.; Amar, E.; Bakker, M.K.; Bermejo-Sánchez, E.; Bianca, S.; Canfield, M.A.; Castilla, E.E.; Clementi, M.; Csaky-Szunyogh, M.; et al. Cloacal Exstrophy: An Epidemiologic Study from the International Clearinghouse for Birth Defects Surveillance and Research. Am. J. Med. Genet. C Semin. Med. Genet. 2011, 157, 333–343. [Google Scholar] [CrossRef]
- Boyadjiev, S.A.; Dodson, J.L.; Radford, C.L.; Ashrafi, G.H.; Beaty, T.H.; Mathews, R.I.; Broman, K.W.; Gearhart, J.P. Clinical and Molecular Characterization of the Bladder Exstrophy-Epispadias Complex: Analysis of 232 Families. BJU Int. 2004, 94, 1337–1343. [Google Scholar] [CrossRef] [PubMed]
- Gambhir, L.; Höller, T.; Müller, M.; Schott, G.; Vogt, H.; Detlefsen, B.; Ebert, A.-K.; Fisch, M.; Beaudoin, S.; Stein, R.; et al. Epidemiological Survey of 214 Families With Bladder Exstrophy-Epispadias Complex. J. Urol. 2008, 179, 1539–1543. [Google Scholar] [CrossRef] [PubMed]
- Wood, H.M.; Babineau, D.; Gearhart, J.P. In Vitro Fertilization and the Cloacal/Bladder Exstrophy-Epispadias Complex: A Continuing Association. J. Pediatr. Urol. 2007, 3, 305–310. [Google Scholar] [CrossRef] [PubMed]
- Wood, H.M.; Trock, B.J.; Gearhart, J.P. In Vitro Fertilization and the Cloacal-Bladder Exstrophy-Epispadias Complex: Is There an Association? J. Urol. 2003, 169, 1512–1515. [Google Scholar] [CrossRef] [PubMed]
- Zwink, N.; Jenetzky, E.; Hirsch, K.; Reifferscheid, P.; Schmiedeke, E.; Schmidt, D.; Reckin, S.; Obermayr, F.; Boemers, T.M.; Stein, R.; et al. Assisted Reproductive Techniques and Risk of Exstrophy-Epispadias Complex: A German Case-Control Study. J. Urol. 2013, 189, 1524–1529. [Google Scholar] [CrossRef]
- Reutter, H.; Boyadjiev, S.A.; Gambhir, L.; Ebert, A.-K.; Rösch, W.H.; Stein, R.; Schröder, A.; Boemers, T.M.; Bartels, E.; Vogt, H.; et al. Phenotype Severity in the Bladder Exstrophy-Epispadias Complex: Analysis of Genetic and Nongenetic Contributing Factors in 441 Families from North America and Europe. J. Pediatr. 2011, 159, 825–831.e1. [Google Scholar] [CrossRef]
- Reefhuis, J.; Honein, M.A.; Schieve, L.A.; Rasmussen, S.A. National Birth Defects Prevention Study Use of Clomiphene Citrate and Birth Defects, National Birth Defects Prevention Study, 1997–2005. Hum. Reprod. 2011, 26, 451–457. [Google Scholar] [CrossRef]
- Smith, N.M.; Chambers, H.M.; Furness, M.E.; Haan, E.A. The OEIS Complex (Omphalocele-Exstrophy-Imperforate Anus-Spinal Defects): Recurrence in Sibs. J. Med. Genet. 1992, 29, 730–732. [Google Scholar] [CrossRef] [PubMed]
- Fullerton, B.S.; Sparks, E.A.; Hall, A.M.; Velazco, C.S.; Modi, B.P.; Lund, D.P.; Jaksic, T.; Hendren, W.H. High Prevalence of Same-Sex Twins in Patients with Cloacal Exstrophy: Support for Embryological Association with Monozygotic Twinning. J. Pediatr. Surg. 2017, 52, 807–809. [Google Scholar] [CrossRef]
- Lee, D.H.; Cottrell, J.R.; Sanders, R.C.; Meyers, C.M.; Wulfsberg, E.A.; Sun, C.C. OEIS Complex (Omphalocele-Exstrophy-Imperforate Anus-Spinal Defects) in Monozygotic Twins. Am. J. Med. Genet. 1999, 84, 29–33. [Google Scholar] [CrossRef]
- Casale, P.; Grady, R.W.; Waldhausen, J.H.T.; Joyner, B.D.; Wright, J.; Mitchell, M.E. Cloacal Exstrophy Variants. Can Blighted Conjoined Twinning Play a Role? J. Urol. 2004, 172, 1103–1106, discussion 1106–1107. [Google Scholar] [CrossRef] [PubMed]
- Siebert, J.R.; Rutledge, J.C.; Kapur, R.P. Association of Cloacal Anomalies, Caudal Duplication, and Twinning. Pediatr. Dev. Pathol. 2005, 8, 339–354. [Google Scholar] [CrossRef] [PubMed]
- Gray, S.K.; Skandalakis, J. The Colon and Rectum. In Embryology for Surgeons; W.B. Saunders: Philadelphia, PA, USA, 1972; pp. 187–216. [Google Scholar]
- Marshall, V.F.; Muecke, E.C. Variations in Exstrophy of the Bladder. J. Urol. 1962, 88, 766–796. [Google Scholar] [CrossRef]
- Bruch, S.W.; Adzick, N.S.; Goldstein, R.B.; Harrison, M.R. Challenging the Embryogenesis of Cloacal Exstrophy. J. Pediatr. Surg. 1996, 31, 768–770. [Google Scholar] [CrossRef] [PubMed]
- Sahoo, S.P.; Gangopadhyay, A.N.; Sinha, C.K.; Gupta, D.K.; Gopal, S.C. Covered Exstrophy: A Rare Variant of Classical Bladder Exstrophy. Scand. J. Urol. Nephrol. 1997, 31, 103–106. [Google Scholar] [CrossRef]
- Borwankar, S.S.; Kasat, L.S.; Naregal, A.; Jain, M.; Bajaj, R. Covered Exstrophy: A Rare Variant. Pediatr. Surg. Int. 1998, 14, 129–130. [Google Scholar] [CrossRef]
- Männer, J.; Kluth, D. The Morphogenesis of the Exstrophy-Epispadias Complex: A New Concept Based on Observations Made in Early Embryonic Cases of Cloacal Exstrophy. Anat. Embryol. 2005, 210, 51–57. [Google Scholar] [CrossRef]
- Männer, J.; Kluth, D. A Chicken Model to Study the Embryology of Cloacal Exstrophy. J. Pediatr. Surg. 2003, 38, 678–681. [Google Scholar] [CrossRef]
- Lee, T.; Weiss, D.; Roth, E.; Bortnick, E.; Jarosz, S.; Eftekharzadeh, S.; Groth, T.; Shukla, A.; Kryger, J.V.; Lee, R.S.; et al. Prenatal Diagnosis of Bladder Exstrophy and OEIS over 20 Years. Urology 2023, 172, 174–177. [Google Scholar] [CrossRef]
- Austin, P.F.; Homsy, Y.L.; Gearhart, J.P.; Porter, K.; Guidi, C.; Madsen, K.; Maizels, M. The Prenatal Diagnosis of Cloacal Exstrophy. J. Urol. 1998, 160, 1179–1181. [Google Scholar] [CrossRef]
- Hamada, H.; Takano, K.; Shiina, H.; Sakai, T.; Sohda, S.; Kubo, T. New Ultrasonographic Criterion for the Prenatal Diagnosis of Cloacal Exstrophy: Elephant Trunk-like Image. J. Urol. 1999, 162, 2123–2124. [Google Scholar] [CrossRef] [PubMed]
- Weiss, D.A.; Oliver, E.R.; Borer, J.G.; Kryger, J.V.; Roth, E.B.; Groth, T.W.; Shukla, A.R.; Mitchell, M.E.; Canning, D.A.; Victoria, T. Key Anatomic Findings on Fetal Ultrasound and MRI in the Prenatal Diagnosis of Bladder and Cloacal Exstrophy. J. Pediatr. Urol. 2020, 16, 665–671. [Google Scholar] [CrossRef] [PubMed]
- Morrill, C.C.; Haffar, A.; Crigger, C.; Black, M.; Jelin, A.; Nasr, I.; Gearhart, J.P. A Single-Institutional Experience With Prenatal Diagnosis of Cloacal Exstrophy: Room for Improvement. J. Pediatr. Surg. 2023, 58, 1949–1953. [Google Scholar] [CrossRef] [PubMed]
- Bischoff, A.; Calvo-Garcia, M.A.; Baregamian, N.; Levitt, M.A.; Lim, F.-Y.; Hall, J.; Peña, A. Prenatal Counseling for Cloaca and Cloacal Exstrophy-Challenges Faced by Pediatric Surgeons. Pediatr. Surg. Int. 2012, 28, 781–788. [Google Scholar] [CrossRef] [PubMed]
- Woo, L.L.; Thomas, J.C.; Brock, J.W. Cloacal Exstrophy: A Comprehensive Review of an Uncommon Problem. J. Pediatr. Urol. 2010, 6, 102–111. [Google Scholar] [CrossRef] [PubMed]
- Lund, D.P.; Hendren, W.H. Cloacal Exstrophy: A 25-Year Experience with 50 Cases. J. Pediatr. Surg. 2001, 36, 68–75. [Google Scholar] [CrossRef] [PubMed]
- Sawaya, D.; Goldstein, S.; Seetharamaiah, R.; Suson, K.; Nabaweesi, R.; Colombani, P.; Gearhart, J. Gastrointestinal Ramifications of the Cloacal Exstrophy Complex: A 44-Year Experience. J. Pediatr. Surg. 2010, 45, 171–175; discussion 175–176. [Google Scholar] [CrossRef] [PubMed]
- Tirrell, T.F.; Demehri, F.R.; Henry, O.S.; Cullen, L.; Lillehei, C.W.; Warf, B.C.; Gates, R.L.; Borer, J.G.; Dickie, B.H. Safety of Delayed Surgical Repair of Omphalocele-Exstrophy-Imperforate Anus-Spinal Defects (OEIS) Complex in Infants with Significant Comorbidities. Pediatr. Surg. Int. 2021, 37, 93–99. [Google Scholar] [CrossRef] [PubMed]
- Argyle, J.C. Pulmonary Hypoplasia in Infants with Giant Abdominal Wall Defects. Pediatr. Pathol. 1989, 9, 43–55. [Google Scholar] [CrossRef]
- McHoney, M.; Ransley, P.G.; Duffy, P.; Wilcox, D.T.; Spitz, L. Cloacal Exstrophy: Morbidity Associated with Abnormalities of the Gastrointestinal Tract and Spine. J. Pediatr. Surg. 2004, 39, 1209–1213. [Google Scholar] [CrossRef]
- Davidoff, A.M.; Hebra, A.; Balmer, D.; Templeton, J.M.; Schnaufer, L. Management of the Gastrointestinal Tract and Nutrition in Patients with Cloacal Exstrophy. J. Pediatr. Surg. 1996, 31, 771–773. [Google Scholar] [CrossRef] [PubMed]
- Suson, K.D.; Inouye, B.; Carl, A.; Gearhart, J.P. Congenital Renal Anomalies in Cloacal Exstrophy: Is There a Difference? J. Pediatr. Urol. 2016, 12, e1–e5. [Google Scholar] [CrossRef] [PubMed]
- Rehfuss, A.; Bourgeois, T.; Thompson, B.; Sebastião, Y.V.; Wood, R.J.; Jayanthi, V.R.; Fuchs, M.E. Baseline Renal Volumes in Children Born With Cloacal Anomalies. Urology 2021, 148, 250–253. [Google Scholar] [CrossRef]
- Stolar, C.H.; Randolph, J.G.; Flanigan, L.P. Cloacal Exstrophy: Individualized Management through a Staged Surgical Approach. J. Pediatr. Surg. 1990, 25, 505–507. [Google Scholar] [CrossRef] [PubMed]
- Lee, T.; Roth, E.; Shukla, A.; Gupta, N.; Lee, R.; Kryger, J.; Groth, T.; Canning, D.; Mitchell, M.; Weiss, D.; et al. Pelvic Ectopic Kidney Prevalence and Pressure Changes During Cloacal Exstrophy (Omphalocele-Exstrophy-Imperforate Anus-Spinal Defects Syndrome) Closure. Urology 2023, 181, 124–127. [Google Scholar] [CrossRef] [PubMed]
- Mathews, R.I.; Perlman, E.; Marsh, D.W.; Gearhart, J.P. Gonadal Morphology in Cloacal Exstrophy: Implications in Gender Assignment. BJU Int. 1999, 84, 99–100. [Google Scholar] [CrossRef] [PubMed]
- Benz, K.; Maruf, M.; Hatheway, C.; Kasprenski, M.; Jayman, J.; Docimo, S.; Schneck, F.; Gearhart, J. The Intravesical Phallus in Patients with Cloacal Exstrophy: An Embryologic Conundrum. J. Pediatr. Urol. 2018, 14, 428.e1–428.e5. [Google Scholar] [CrossRef]
- Tomaszewski, J.J.; Smaldone, M.C.; Cannon, G.M.; Schneck, F.X.; Hackam, D.J.; Docimo, S.G. Cloacal Exstrophy Variant with Intravesical Phallus: Further Description of Anatomy and Implications for Gender Reassignment. J. Pediatr. Urol. 2012, 8, 426–430. [Google Scholar] [CrossRef]
- Suson, K.D.; Preece, J.; Di Carlo, H.N.; Baradaran, N.; Gearhart, J.P. Complexities of Müllerian Anatomy in 46XX Cloacal Exstrophy Patients. J. Pediatr. Adolesc. Gynecol. 2016, 29, 424–428. [Google Scholar] [CrossRef]
- Judy, B.F.; Materi, J.; Lee, R.P.; Tracz, J.A.; Patel, J.; Weber-Levine, C.; Crigger, C.; Mistry, P.; Gearhart, J.P.; Jackson, E.M. Spinal Dysraphism in Exstrophy: A Single-Center Study of a 39-Year Prospective Database. J. Neurosurg. Pediatr. 2023, 32, 98–105. [Google Scholar] [CrossRef]
- Kumar, N.; Chatur, C.; Balani, A.; Bisharat, M.; Tahir, Z.; Johal, N.; Sudhakar, S.; Cuckow, P.; Thompson, D.N.P.; Mankad, K. Patterns of Spinal Cord Malformation in Cloacal Exstrophy. J. Neurosurg. Pediatr. 2021, 28, 236–243. [Google Scholar] [CrossRef] [PubMed]
- Suson, K.D.; Colombani, P.M.; Jallo, G.I.; Gearhart, J.P. Intracranial Anomalies and Cloacal Exstrophy--Is There a Role for Screening? J. Pediatr. Surg. 2013, 48, 2256–2260. [Google Scholar] [CrossRef] [PubMed]
- Haffar, A.; Hirsch, A.M.; Crigger, C.B.; Harris, T.G.W.; Haney, N.M.; Galansky, L.B.; Nasr, I.W.; Sponseller, P.D.; Gearhart, J.P. Multi-Staged vs Single-Staged Pelvic Osteotomy in the Modern Treatment of Cloacal Exstrophy: Bridging the Gap. J. Pediatr. Surg. 2023, 58, 2308–2312. [Google Scholar] [CrossRef] [PubMed]
- Mundy, A.; Kushare, I.; Jayanthi, V.R.; Samora, W.P.; Klingele, K.E. Incidence of Hip Dysplasia Associated With Bladder Exstrophy. J. Pediatr. Orthop. 2016, 36, 860–864. [Google Scholar] [CrossRef] [PubMed]
- Bischoff, A.; Levitt, M.A.; Breech, L.; Peña, A. Covered Cloacal Exstrophy--a Poorly Recognized Condition: Hints for a Correct Diagnosis. J. Pediatr. Surg. 2013, 48, 2389–2392. [Google Scholar] [CrossRef] [PubMed]
- Weiss, D.A.; Borer, J.G.; Lee, R.S.; Kryger, J.V.; Roth, E.B.; Groth, T.W.; Shukla, A.R.; Mitchell, M.E.; Canning, D.A. Bladder and Cloacal Exstrophy. In Fundamentals of Pediatric Surgery; Mattei, P., Ed.; Springer International Publishing: Cham, Switzerland, 2022; pp. 969–978. ISBN 978-3-031-07524-7. [Google Scholar]
- Holcomb, G.W.; Murphy, J.P. Ashcraft’s Pediatric Surgery, 7th ed.; St Peter, S.D., Ed.; Elsevier: Amsterdam, The Netherlands, 2019. [Google Scholar]
- Jayman, J.; Tourchi, A.; Feng, Z.; Trock, B.J.; Maruf, M.; Benz, K.; Kasprenski, M.; Baumgartner, T.; Friedlander, D.; Sponseller, P.; et al. Predictors of a Successful Primary Bladder Closure in Cloacal Exstrophy: A Multivariable Analysis. J. Pediatr. Surg. 2019, 54, 491–494. [Google Scholar] [CrossRef] [PubMed]
- Thomas, J.C.; DeMarco, R.T.; Pope, J.C.; Adams, M.C.; Brock, J.W. First Stage Approximation of the Exstrophic Bladder in Patients with Cloacal Exstrophy--Should This Be the Initial Surgical Approach in All Patients? J. Urol. 2007, 178, 1632–1635; discussion 1635–1636. [Google Scholar] [CrossRef] [PubMed]
- Hurwitz, R.S.; Manzoni, G.A.; Ransley, P.G.; Stephens, F.D. Cloacal Exstrophy: A Report of 34 Cases. J. Urol. 1987, 138, 1060–1064. [Google Scholar] [CrossRef]
- Mathews, R.; Jeffs, R.D.; Reiner, W.G.; Docimo, S.G.; Gearhart, J.P. Cloacal Exstrophy--Improving the Quality of Life: The Johns Hopkins Experience. J. Urol. 1998, 160, 2452–2456. [Google Scholar] [CrossRef]
- Haney, N.M.; Crigger, C.B.; Sholklapper, T.; Mudalegundi, S.; Griggs-Demmin, A.; Nasr, I.W.; Sponseller, P.D.; Gearhart, J.P. Pelvic Osteotomy in Cloacal Exstrophy: A Changing Perspective. J. Pediatr. Surg. 2023, 58, 478–483. [Google Scholar] [CrossRef]
- Jayman, J.; Michaud, J.; Maruf, M.; Trock, B.J.; Kasprenski, M.; Sponseller, P.; Gearhart, J. The Dual-Staged Pathway for Closure in Cloacal Exstrophy: Successful Evolution in Collaborative Surgical Practice. J. Pediatr. Surg. 2019, 54, 1761–1765. [Google Scholar] [CrossRef]
- Bischoff, A.; Brisighelli, G.; Levitt, M.A.; Peña, A. The “Rescue Operation” for Patients with Cloacal Exstrophy and Its Variants. Pediatr. Surg. Int. 2014, 30, 723–727. [Google Scholar] [CrossRef] [PubMed]
- Husmann, D.A.; McLorie, G.A.; Churchill, B.M.; Ein, S.H. Management of the Hindgut in Cloacal Exstrophy: Terminal Ileostomy versus Colostomy. J. Pediatr. Surg. 1988, 23, 1107–1113. [Google Scholar] [CrossRef] [PubMed]
- Maruf, M.; Kasprenski, M.; Jayman, J.; Goldstein, S.D.; Benz, K.; Baumgartner, T.; Gearhart, J.P. Achieving Urinary Continence in Cloacal Exstrophy: The Surgical Cost. J. Pediatr. Surg. 2018, 53, 1937–1941. [Google Scholar] [CrossRef] [PubMed]
- Hisamatsu, E.; Nakagawa, Y.; Sugita, Y. Vaginal Reconstruction in Female Cloacal Exstrophy Patients. Urology 2014, 84, 681–684. [Google Scholar] [CrossRef]
- Mathews, R. Achieving Urinary Continence in Cloacal Exstrophy. Semin. Pediatr. Surg. 2011, 20, 126–129. [Google Scholar] [CrossRef]
- Tirrell, T.F.; Demehri, F.R.; Lillehei, C.W.; Borer, J.G.; Warf, B.C.; Dickie, B.H. Hindgut Duplication in an Infant with Omphalocele-Exstrophy-Imperforate Anus-Spinal Defects (OEIS) Complex. Eur. J. Pediatr. Surg. Rep. 2022, 10, e45–e48. [Google Scholar] [CrossRef] [PubMed]
- Friedlander, D.A.; Di Carlo, H.N.; Sponseller, P.D.; Gearhart, J.P. Complications of Bladder Closure in Cloacal Exstrophy: Do Osteotomy and Reoperative Closure Factor In? J. Pediatr. Surg. 2017, 52, 1836–1841. [Google Scholar] [CrossRef]
- Ben-Chaim, J.; Peppas, D.S.; Sponseller, P.D.; Jeffs, R.D.; Gearhart, J.P. Applications of Osteotomy in the Cloacal Exstrophy Patient. J. Urol. 1995, 154, 865–867. [Google Scholar] [CrossRef]
- Shah, B.B.; Di Carlo, H.; Goldstein, S.D.; Pierorazio, P.M.; Inouye, B.M.; Massanyi, E.Z.; Kern, A.; Koshy, J.; Sponseller, P.; Gearhart, J.P. Initial Bladder Closure of the Cloacal Exstrophy Complex: Outcome Related Risk Factors and Keys to Success. J. Pediatr. Surg. 2014, 49, 1036–1039; discussion 1039–1040. [Google Scholar] [CrossRef]
- Casey, J.T.; Chan, K.H.; Hasegawa, Y.; Large, T.; Judge, B.; Kaefer, M.; Misseri, R.; Rink, R.C.; Ueoka, K.; Cain, M.P. Long-Term Follow-up of Composite Bladder Augmentation Incorporating Stomach in a Multi-Institutional Cohort of Patients with Cloacal Exstrophy. J. Pediatr. Urol. 2017, 13, 43.e1–43.e6. [Google Scholar] [CrossRef] [PubMed]
- Yano, K.; Sugita, K.; Kawano, T.; Murakami, M.; Harumatsu, T.; Onishi, S.; Yamada, K.; Muto, M.; Ieiri, S.; Kubota, M. The Clinical Features of Patients Who Underwent Bladder Augmentation of Cloacal Exstrophy and Their Functional Outcomes: The Results of a Nationwide Survey in Japan. Pediatr. Surg. Int. 2023, 39, 232. [Google Scholar] [CrossRef] [PubMed]
- Musleh, L.; Privitera, L.; Paraboschi, I.; Polymeropoulos, A.; Mushtaq, I.; Giuliani, S. Long-Term Active Problems in Patients with Cloacal Exstrophy: A Systematic Review. J. Pediatr. Surg. 2022, 57, 339–347. [Google Scholar] [CrossRef] [PubMed]
- Levitt, M.A.; Mak, G.Z.; Falcone, R.A.; Peña, A. Cloacal Exstrophy--Pull-through or Permanent Stoma? A Review of 53 Patients. J. Pediatr. Surg. 2008, 43, 164–168; discussion 168–170. [Google Scholar] [CrossRef]
- Srinivas, S.; Knaus, M.E.; Avansino, J.R.; Badillo, A.; Calkins, C.M.; Dickie, B.H.; Durham, M.M.; Fuller, M.K.; Ralls, M.W.; Reeder, R.W.; et al. Outcomes From Colonic Pull-Through for Cloacal Exstrophy Differ by Colon Length: A Multi-Institutional Study. J. Pediatr. Surg. 2024, 59, 225–229. [Google Scholar] [CrossRef] [PubMed]
- Gordetsky, J.; Joseph, D.B. Cloacal Exstrophy: A History of Gender Reassignment. Urology 2015, 86, 1087–1089. [Google Scholar] [CrossRef] [PubMed]
- Gooren, L. The Biology of Human Psychosexual Differentiation. Horm. Behav. 2006, 50, 589–601. [Google Scholar] [CrossRef] [PubMed]
- Reiner, W.G. Psychosexual Development in Genetic Males Assigned Female: The Cloacal Exstrophy Experience. Child. Adolesc. Psychiatr. Clin. N. Am. 2004, 13, 657–674. [Google Scholar] [CrossRef]
- Reiner, W.G.; Gearhart, J.P. Discordant Sexual Identity in Some Genetic Males with Cloacal Exstrophy Assigned to Female Sex at Birth. N. Engl. J. Med. 2004, 350, 333–341. [Google Scholar] [CrossRef]
- Mukherjee, B.; McCauley, E.; Hanford, R.B.; Aalsma, M.; Anderson, A.M. Psychopathology, Psychosocial, Gender and Cognitive Outcomes in Patients with Cloacal Exstrophy. J. Urol. 2007, 178, 630–635; discussion 634–635. [Google Scholar] [CrossRef]
- Diamond, D.A.; Burns, J.P.; Mitchell, C.; Lamb, K.; Kartashov, A.I.; Retik, A.B. Sex Assignment for Newborns with Ambiguous Genitalia and Exposure to Fetal Testosterone: Attitudes and Practices of Pediatric Urologists. J. Pediatr. 2006, 148, 445–449. [Google Scholar] [CrossRef] [PubMed]
- Diamond, D.A.; Burns, J.P.; Huang, L.; Rosoklija, I.; Retik, A.B. Gender Assignment for Newborns with 46XY Cloacal Exstrophy: A 6-Year Followup Survey of Pediatric Urologists. J. Urol. 2011, 186, 1642–1648. [Google Scholar] [CrossRef] [PubMed]
- Harris, K.T.; Villela, N.A.; Alam, R.; Wu, W.J.; Artigas, P.; DiCarlo, H.N.; Gearhart, J.P. The Exstrophy Experience: A National Survey Assessing Urinary Continence, Bladder Management, and Oncologic Outcomes in Adults. J. Pediatr. Urol. 2023, 19, 178.e1–178.e7. [Google Scholar] [CrossRef] [PubMed]
- Haney, N.M.; Gearhart, J.P. Commentary on Long-Term Active Problems in Patients with Cloacal Exstrophy: A Systematic Review. J. Pediatr. Surg. 2022, 57, 348–349. [Google Scholar] [CrossRef]
- Fuchs, M.E.; Ahmed, M.; Dajusta, D.G.; Gargollo, P.; Kennedy, U.K.; Rosoklija, I.; Strine, A.C.; Whittam, B.; Yerkes, E.; Szymanski, K.M.; et al. Urinary and Bowel Management in Cloacal Exstrophy: A Long-Term Multi-Institutional Cross-Sectional Study. J. Pediatr. Urol. 2023, 19, 35.e1–35.e6. [Google Scholar] [CrossRef] [PubMed]
- Mathews, R.I.; Gan, M.; Gearhart, J.P. Urogynaecological and Obstetric Issues in Women with the Exstrophy-Epispadias Complex. BJU Int. 2003, 91, 845–849. [Google Scholar] [CrossRef]
- Goldstein, S.D.; Inouye, B.M.; Reddy, S.; Lue, K.; Young, E.E.; Abdelwahab, M.; Grewal, M.; Wildonger, S.; Stec, A.A.; Gearhart, J.P. Continence in the Cloacal Exstrophy Patient: What Does It Cost? J. Pediatr. Surg. 2016, 51, 622–625. [Google Scholar] [CrossRef] [PubMed]
- Fullerton, B.S.; Sparks, E.A.; Hall, A.M.; Chan, Y.-M.; Duggan, C.; Lund, D.P.; Modi, B.P.; Jaksic, T.; Hendren, W.H. Growth Morbidity in Patients with Cloacal Exstrophy: A 42 Year Experience. J. Pediatr. Surg. 2016, 51, 1017–1021. [Google Scholar] [CrossRef]
- Taskinen, S.; Rintala, R.; Mäkitie, O. Bone Health in Patients with Cloacal Exstrophy and Persistent Cloaca after Bladder Augmentation. J. Pediatr. Surg. 2008, 43, 700–704. [Google Scholar] [CrossRef]
- Gezer, A.; Guralp, O.; Yesilbas, C.; Madazli, R. Spontaneous Pregnancy and Birth with Corrected Cloacal Exstrophy. Acta Obstet. Gynecol. Scand. 2011, 90, 413–414. [Google Scholar] [CrossRef]
- Reppucci, M.L.; Alaniz, V.I.; Wehrli, L.A.; de La Torre, L.; Wood, D.; Wilcox, D.T.; Appiah, L.C.; Peña, A.; Bischoff, A. Reproductive and Family Building Considerations for Female Patients with Anorectal And Urogenital Malformations. J. Pediatr. Surg. 2023, 58, 1450–1457. [Google Scholar] [CrossRef] [PubMed]
- Dy, G.W.; Willihnganz-Lawson, K.H.; Shnorhavorian, M.; Delaney, S.S.; Amies Oelschlager, A.-M.; Merguerian, P.A.; Grady, R.; Miller, J.L.; Cheng, E.Y. Successful Pregnancy in Patients with Exstrophy-Epispadias Complex: A University of Washington Experience. J. Pediatr. Urol. 2015, 11, 213.e1–213.e6. [Google Scholar] [CrossRef] [PubMed]
- Seat, M.; Boxwalla, M.; Hough, A.; Goodwin, G. A Case of Congenital Cloacal Exstrophy/Omphalocele-Exstrophy-Imperforate Anus-Spinal Defects Syndrome and a Successful Pregnancy. Clin. Exp. Reprod. Med. 2022, 49, 215–218. [Google Scholar] [CrossRef] [PubMed]



Disclaimer/Publisher’s Note: The statements, opinions and data contained in all publications are solely those of the individual author(s) and contributor(s) and not of MDPI and/or the editor(s). MDPI and/or the editor(s) disclaim responsibility for any injury to people or property resulting from any ideas, methods, instructions or products referred to in the content. |
© 2024 by the authors. Licensee MDPI, Basel, Switzerland. This article is an open access article distributed under the terms and conditions of the Creative Commons Attribution (CC BY) license (https://creativecommons.org/licenses/by/4.0/).
Share and Cite
Ostertag-Hill, C.A.; Delaplain, P.T.; Lee, T.; Dickie, B.H. Updates on the Care of Cloacal Exstrophy. Children 2024, 11, 544. https://doi.org/10.3390/children11050544
Ostertag-Hill CA, Delaplain PT, Lee T, Dickie BH. Updates on the Care of Cloacal Exstrophy. Children. 2024; 11(5):544. https://doi.org/10.3390/children11050544
Chicago/Turabian StyleOstertag-Hill, Claire A., Patrick T. Delaplain, Ted Lee, and Belinda H. Dickie. 2024. "Updates on the Care of Cloacal Exstrophy" Children 11, no. 5: 544. https://doi.org/10.3390/children11050544
APA StyleOstertag-Hill, C. A., Delaplain, P. T., Lee, T., & Dickie, B. H. (2024). Updates on the Care of Cloacal Exstrophy. Children, 11(5), 544. https://doi.org/10.3390/children11050544

