The Tibial Tuberosity–Trochlear Groove Distance Can either Increase or Decrease during Adolescent Growth
Abstract
1. Introduction
2. Materials and Methods
2.1. Ethics
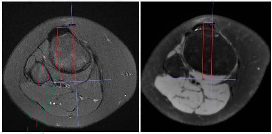
2.2. Radiological Measurement
2.3. Statistical Analyses
3. Results
4. Discussion
5. Conclusions
Author Contributions
Funding
Institutional Review Board Statement
Informed Consent Statement
Data Availability Statement
Conflicts of Interest
References
- Hysing-Dahl, T.; Inderhaug, E.; Faleide, A.G.H.; Magnussen, L.H. Patients’ experiences of living with patellar instability before and after surgery: A qualitative interview study. BMJ Open 2023, 13, e072141. [Google Scholar] [CrossRef] [PubMed]
- Sanders, T.L.; Pareek, A.; Hewett, T.E.; Stuart, M.J.; Dahm, D.L.; Krych, A.J. High rate of recurrent patellar dislocation in skeletally immature patients: A long-term population-based study. Knee Surg. Sports Traumatol. Arthrosc. 2018, 26, 1037–1043. [Google Scholar] [CrossRef] [PubMed]
- Christensen, T.C.; Sanders, T.L.; Pareek, A.; Mohan, R.; Dahm, D.L.; Krych, A.J. Risk Factors and Time to Recurrent Ipsilateral and Contralateral Patellar Dislocations. Am. J. Sports Med. 2017, 45, 2105–2110. [Google Scholar] [CrossRef] [PubMed]
- Fithian, D.C.; Paxton, E.W.; Stone, M.L.; Silva, P.; Davis, D.K.; Elias, D.A.; White, L.M. Epidemiology and natural history of acute patellar dislocation. Am. J. Sports Med. 2004, 32, 1114–1121. [Google Scholar] [CrossRef] [PubMed]
- Straume-Næsheim, T.M.; Randsborg, P.-H.; Mikaelsen, J.R.; Sivertsen, E.A.; Devitt, B.; Granan, L.-P.; Årøen, A. Recurrent lateral patella dislocation affects knee function as much as ACL deficiency—However patients wait five times longer for treatment. BMC Musculoskelet. Disord. 2019, 20, 318. [Google Scholar] [CrossRef] [PubMed]
- Weber, A.E.; Nathani, A.; Dines, J.S.; Allen, A.A.; Shubin-Stein, B.E.; Arendt, E.A.; Bedi, A. An Algorithmic Approach to the Management of Recurrent Lateral Patellar Dislocation. J. Bone Jt. Surg. Am. 2016, 98, 417–427. [Google Scholar] [CrossRef] [PubMed]
- Clark, D.; Metcalfe, A.; Wogan, C.; Mandalia, V.; Eldridge, J. Adolescent patellar instability: Current concepts review. Bone Jt. J. 2017, 99, 159–170. [Google Scholar] [CrossRef]
- White, A.E.; Otlans, P.T.; Horan, D.P.; Calem, D.B.; Emper, W.D.; Freedman, K.B.; Tjoumakaris, F.P. Radiologic Measurements in the Assessment of Patellar Instability: A Systematic Review and Meta-analysis. Orthop. J. Sports Med. 2021, 9, 2325967121993179. [Google Scholar] [CrossRef] [PubMed]
- Smith, T.O.; Davies, L.; Toms, A.P.; Hing, C.B.; Donell, S.T. The reliability and validity of radiological assessment for patellar instability. A systematic review and meta-analysis. Skelet. Radiol. 2011, 40, 399–414. [Google Scholar] [CrossRef]
- Balcarek, P.; Jung, K.; Frosch, K.-H.; Stürmer, K.M. Value of the tibial tuberosity-trochlear groove distance in patellar instability in the young athlete. Am. J. Sports Med. 2011, 39, 1756–1761. [Google Scholar] [CrossRef]
- Dickens, A.J.; Morrell, N.T.; Doering, A.; Tandberg, D.; Treme, G. Tibial tubercle-trochlear groove distance: Defining normal in a pediatric population. J. Bone Jt. Surg. Am. 2014, 96, 318–324. [Google Scholar] [CrossRef]
- Pruneski, J.; O’mara, L.; Perrone, G.S.; Kiapour, A.M. Changes in Anatomic Risk Factors for Patellar Instability During Skeletal Growth and Maturation. Am. J. Sports Med. 2022, 50, 2424–2432. [Google Scholar] [CrossRef]
- Wittstein, J.R.; Bartlett, E.C.; Easterbrook, J.; Byrd, J.C. Magnetic resonance imaging evaluation of patellofemoral malalignment. Arthroscopy 2006, 22, 643–649. [Google Scholar] [CrossRef] [PubMed]
- Balcarek, P.; Oberthür, S.; Hopfensitz, S.; Frosch, S.; Walde, T.A.; Wachowski, M.M.; Schüttrumpf, J.P.; Stürmer, K.M. Which patellae are likely to redislocate? Knee Surg. Sports Traumatol. Arthrosc. 2014, 22, 2308–2314. [Google Scholar] [CrossRef]
- Straume-Naesheim, T.M.; Randsborg, P.-H.; Mikaelsen, J.R.; Årøen, A. Medial patellofemoral ligament reconstruction is superior to active rehabilitation in protecting against further patella dislocations. Knee Surg. Sports Traumatol. Arthrosc. 2022, 30, 3428–3437. [Google Scholar] [CrossRef]
- DeJour, H.; Walch, G.; Nove-Josserand, L.; Guier, C. Factors of patellar instability: An anatomic radiographic study. Knee Surg. Sports Traumatol. Arthrosc. 1994, 2, 19–26. [Google Scholar] [CrossRef] [PubMed]
- Schoettle, P.B.; Zanetti, M.; Seifert, B.; Pfirrmann, C.W.; Fucentese, S.F.; Romero, J. The tibial tuberosity-trochlear groove distance; a comparative study between CT and MRI scanning. Knee 2006, 13, 26–31. [Google Scholar] [CrossRef] [PubMed]
- Koo, T.K.; Li, M.Y. A Guideline of Selecting and Reporting Intraclass Correlation Coefficients for Reliability Research. J. Chiropr. Med. 2016, 15, 155–163. [Google Scholar] [CrossRef] [PubMed]
- Pennock, A.T.; Alam, M.; Bastrom, T. Variation in tibial tubercle-trochlear groove measurement as a function of age, sex, size, and patellar instability. Am. J. Sports Med. 2014, 42, 389–393. [Google Scholar] [CrossRef]
- Park, S.J.; Won, S.H.; Park, M.S.; Sung, K.H. Normative Values of Tibial Tubercle-Trochlear Groove Distance and Tibial Tubercle-Posterior Cruciate Ligament Distance in Children. Am. J. Sports Med. 2023, 51, 1785–1791. [Google Scholar] [CrossRef]
- Kim, H.K.; Shiraj, S.; Anton, C.; Horn, P.S. The patellofemoral joint: Do age and gender affect skeletal maturation of the osseous morphology in children? Pediatr. Radiol. 2014, 44, 141–148. [Google Scholar] [CrossRef] [PubMed]



| Patients (n = 13) | |
|---|---|
| Age at presentation, years. Mean (range) | 13.0 (8.1–15.7) |
| Females/males (n) | 11/2 |
| TT-TG at baseline, mean (SD) | 9.4 (2.7) |
| Change in TT-TG after 3 years (95% CI) | 2.9 (2.1–3.7) |
Disclaimer/Publisher’s Note: The statements, opinions and data contained in all publications are solely those of the individual author(s) and contributor(s) and not of MDPI and/or the editor(s). MDPI and/or the editor(s) disclaim responsibility for any injury to people or property resulting from any ideas, methods, instructions or products referred to in the content. |
© 2024 by the authors. Licensee MDPI, Basel, Switzerland. This article is an open access article distributed under the terms and conditions of the Creative Commons Attribution (CC BY) license (https://creativecommons.org/licenses/by/4.0/).
Share and Cite
Randsborg, P.-H.; Banitalebi, H.; Årøen, A.; Straume-Næsheim, T. The Tibial Tuberosity–Trochlear Groove Distance Can either Increase or Decrease during Adolescent Growth. Children 2024, 11, 504. https://doi.org/10.3390/children11050504
Randsborg P-H, Banitalebi H, Årøen A, Straume-Næsheim T. The Tibial Tuberosity–Trochlear Groove Distance Can either Increase or Decrease during Adolescent Growth. Children. 2024; 11(5):504. https://doi.org/10.3390/children11050504
Chicago/Turabian StyleRandsborg, Per-Henrik, Hasan Banitalebi, Asbjørn Årøen, and Truls Straume-Næsheim. 2024. "The Tibial Tuberosity–Trochlear Groove Distance Can either Increase or Decrease during Adolescent Growth" Children 11, no. 5: 504. https://doi.org/10.3390/children11050504
APA StyleRandsborg, P.-H., Banitalebi, H., Årøen, A., & Straume-Næsheim, T. (2024). The Tibial Tuberosity–Trochlear Groove Distance Can either Increase or Decrease during Adolescent Growth. Children, 11(5), 504. https://doi.org/10.3390/children11050504

