Infective Endocarditis in Children as an Increasing Clinical Problem—A Case Series
Abstract
1. Introduction
2. Materials and Methods
3. Case Presentation
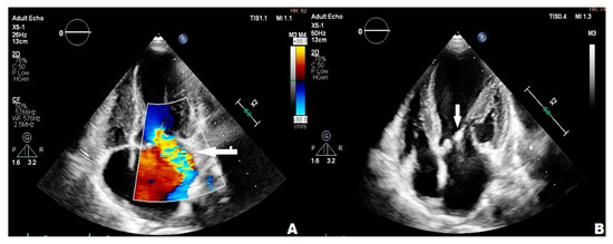
3.1. Case 1
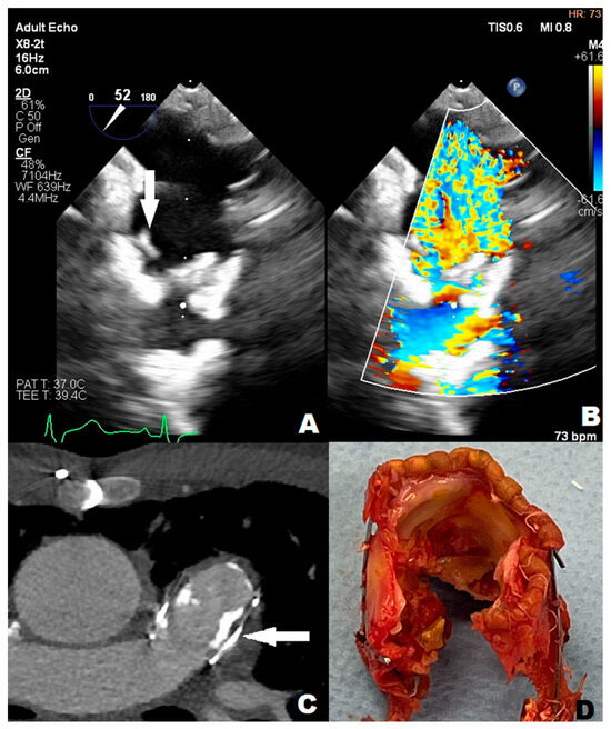
3.2. Case 2
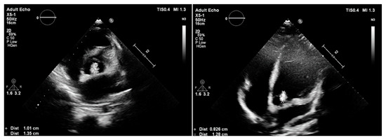
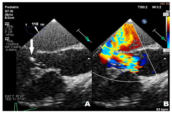
3.3. Case 3
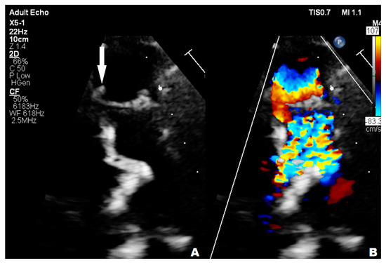
3.4. Case 4
4. Discussion
5. Conclusions
Supplementary Materials
Author Contributions
Funding
Institutional Review Board Statement
Informed Consent Statement
Data Availability Statement
Acknowledgments
Conflicts of Interest
References
- Delgado, V.; Marsan, N.A.; Waha, S.; Bonaros, N.; Brida, M.; Burri, H.; Caselli, S.; Doenst, T.; Ederhy, S.; Erba, P.A.; et al. 2023 ESC Guidelines for the management of endocarditis: Developed by the task force on the management of endocarditis of the European Society of Cardiology (ESC) Endorsed by the European Association for Cardio-Thoracic Surgery (EACTS) and the European Ass. Eur. Heart J. 2023, 133, 3948–4042. [Google Scholar] [CrossRef] [PubMed]
- Hubers, S.A.; DeSimone, D.C.; Gersh, B.J.; Anavekar, N.S. Infective Endocarditis: A Contemporary Review. Mayo Clin. Proc. 2020, 95, 982–997. [Google Scholar] [CrossRef]
- Rajani, R.; Klein, J.L. CME: Cardiovascular Medicine Infective endocarditis: A contemporary update. Clin. Med. 2020, 20, 31–36. [Google Scholar] [CrossRef] [PubMed]
- Baddour, L.M.; Weimer, M.B.; Wurcel, A.G.; McElhinney, D.B.; Marks, L.R.; Fanucchi, L.C.; Esquer Garrigos, Z.; Pettersson, G.B.; DeSimone, D.C. Management of Infective Endocarditis in People Who Inject Drugs: A Scientific Statement from the American Heart Association. Circulation 2022, 146, E187–E201. [Google Scholar] [CrossRef] [PubMed]
- Cahill, T.J.; Prendergast, B.D. Infective endocarditis. Lancet 2016, 387, 882–893. [Google Scholar] [CrossRef] [PubMed]
- Habib, G.; Erba, P.A.; Iung, B.; Donal, E.; Cosyns, B.; Laroche, C.; Popescu, B.A.; Prendergast, B.; Tornos, P.; Sadeghpour, A.; et al. Clinical presentation, aetiology and outcome of infective endocarditis. Results of the ESC-EORP EURO-ENDO (European infective endocarditis) registry: A prospective cohort study. Eur. Heart J. 2019, 40, 3222–3232B. [Google Scholar] [CrossRef] [PubMed]
- McPherson, Z.; Hariprakash, S. Infant with Kingella kingae native valve endocarditis in regional Victoria. J. Paediatr. Child Health 2022, 58, 337–339. [Google Scholar] [CrossRef]
- Eleyan, L.; Khan, A.A.; Musollari, G.; Chandiramani, A.S.; Shaikh, S.; Salha, A.; Tarmahomed, A.; Harky, A. Infective endocarditis in paediatric population. Eur. J. Pediatr. 2021, 180, 3089–3100. [Google Scholar] [CrossRef]
- Tseng, W.C.; Chiu, S.N.; Shao, P.L.; Wang, J.K.; Chen, C.A.; Lin, M.T.; Lu, C.W.; Wu, M.H. Changing spectrum of infective endocarditis in children: A 30 years experiences from a tertiary care center in Taiwan. Pediatr. Infect. Dis. J. 2014, 33, 467–471. [Google Scholar] [CrossRef]
- Baltimore, R.S.; Gewitz, M.; Baddour, L.M.; Beerman, L.B.; Jackson, M.A.; Lockhart, P.B.; Pahl, E.; Schutze, G.E.; Shulman, S.T.; Willoughby, R., Jr. Infective endocarditis in childhood: 2015 update: A scientific statement from the American Heart Association. Circulation 2015, 132, 1487–1515. [Google Scholar] [CrossRef]
- Le, T.; Graham, N.J.; Naeem, A.; Clemence, J., Jr.; Caceres, J.; Wu, X.; Patel, H.J.; Kim, K.M.; Deeb, G.M.; Yang, B. Aortic valve endocarditis in patients with bicuspid and tricuspid aortic valves. JTCVS Open 2021, 8, 228–236. [Google Scholar] [CrossRef]
- Lacalzada-Almeida, J.; Izquierdo-Gomez, M.M.; Duque-Gonzalez, A.; Alonso-Socas, M.d.M.; Munoz-Rodriguez, R. Infectious Endocarditis Caused by Pseudomona aeruginosa on Bicuspid Aortic Valve. J. Med. Cases 2022, 13, 297–301. [Google Scholar] [CrossRef]
- Hou, C.; Wang, W.C.; Chen, H.; Zhang, Y.Y.; Wang, W.M. Infective bicuspid aortic valve endocarditis causing acute severe regurgitation and heart failure: A case report. World J. Clin. Cases 2021, 9, 1221–1227. [Google Scholar] [CrossRef]
- Boutaybi, M.; Doudouh, O.; Assoweh, C.D.; El Abbassi, O.; Ismaili, N.; El Ouafi, N. Mitro-aortic infective endocarditis on bicuspid aortic valve multicomplicated: A case report. Ann. Med. Surg. 2023, 85, 3017–3021. [Google Scholar] [CrossRef] [PubMed]
- Gierlinger, G.; Sames-Dolzer, E.; Kreuzer, M.; Mair, R.; Zierer, A.; Mair, R. Surgical therapy of infective endocarditis following interventional or surgical pulmonary valve replacement. Eur. J. Cardio-Thorac. Surg. 2021, 59, 1322–1328. [Google Scholar] [CrossRef]
- Ivanovic, B.; Trifunovic, D.; Matic, S.; Petrovic, J.; Sacic, D.; Tadic, M. Prosthetic valve endocarditis—A trouble or a challenge? J. Cardiol. 2019, 73, 126–133. [Google Scholar] [CrossRef]
- Kahrovic, A.; Angleitner, P.; Herkner, H.; Kocher, A.; Ehrlich, M.; Laufer, G.; Andreas, M. Mechanical versus biological valve prostheses for left-sided infective endocarditis. Eur. J. Cardio-Thorac. Surg. 2022, 62, 13–16. [Google Scholar] [CrossRef]
- Berisha, B.; Ragnarsson, S.; Olaison, L.; Rasmussen, M. Microbiological etiology in prosthetic valve endocarditis: A nationwide registry study. J. Intern. Med. 2022, 292, 428–437. [Google Scholar] [CrossRef]
- Hussain, S.T.; Shrestha, N.K.; Witten, J.; Gordon, S.M.; Houghtaling, P.L.; Tingleff, J.; Navia, J.L.; Blackstone, E.H.; Pettersson, G.B. Rarity of invasiveness in right-sided infective endocarditis. J. Thorac. Cardiovasc. Surg. 2018, 155, 54–61.e1. [Google Scholar] [CrossRef]
- Shmueli, H.; Thomas, F.; Flint, N.; Setia, G.; Janjic, A.; Siegel, R.J. Right-sided infective endocarditis 2020: Challenges and updates in diagnosis and treatment. J. Am. Heart Assoc. 2020, 9, e017293. [Google Scholar] [CrossRef] [PubMed]
- Chowdhury, M.A.; Moukarbel, G.V. Isolated Pulmonary Valve Endocarditis. Cardiology 2016, 133, 79–82. [Google Scholar] [CrossRef]
- Van Dijck, I.; Budts, W.; Cools, B.; Eyskens, B.; Boshoff, D.E.; Heying, R.; Frerich, S.; Vanagt, W.Y.; Troost, E.; Gewillig, M. Infective endocarditis of a transcatheter pulmonary valve in comparison with surgical implants. Heart 2014, 101, 788–793. [Google Scholar] [CrossRef]
- Yagupsky, P. Kingella kingae: From medical rarity to an emerging paediatric pathogen. Lancet Infect. Dis. 2004, 4, 358–367. [Google Scholar] [CrossRef] [PubMed]
- Lenoir, M.; Desnous, B.; Raisky, O.; Vouhé, P. Particular surgical aspects of endocarditis due to Kingella kingae with cerebral complication. Interact. Cardiovasc. Thorac. Surg. 2018, 26, 885–887. [Google Scholar] [CrossRef]
- Kagan, S.; Levy, I.; Ashkenazi-Hoffnung, L.; Lowenthal, A.; Goldstein, R.E.; Landau, D.; Scheuerman, O. Q Fever and Kingella kingae Endocarditis in a Toddler: A Rare Coinfection Case. Pediatr. Infect. Dis. J. 2020, 38, E336–E337. [Google Scholar] [CrossRef]
- Hunt, E.A.K.; Somers, M.J.G. Infection-Related Glomerulonephritis. Pediatr. Clin. N. Am. 2019, 66, 59–72. [Google Scholar] [CrossRef]
- Takata, T.; Mae, Y.; Sugihara, T.; Isomoto, H. Infective Endocarditis-Associated Glomerulonephritis: A Comprehensive Review of the Clinical Presentation, Histopathology, and Management. Yonago Acta Med. 2022, 65, 1–7. [Google Scholar] [CrossRef]
- D’Anna, L. Endovascular treatment of ischemic large-vessel stroke due to infective endocarditis: Case series and review of the literature. Neurol. Sci. 2020, 41, 3517–3525. [Google Scholar] [CrossRef]
- McHugh, J.; Saleh, O.A. Updates in Culture-Negative Endocarditis. Pathogens 2023, 12, 1027. [Google Scholar] [CrossRef]
- Loyens, M.; Thuny, F.; Grisoli, D.; Fournier, P.-E.; Casalta, J.-P.; Vitte, J.; Habib, G.; Raoult, D. Link between endocarditis on porcine bioprosthetic valves and allergy to pork. Int. J. Cardiol. 2013, 167, 600–602. [Google Scholar] [CrossRef]
- Kirk, F.; Vaselli, N.M. Blood culture-negative infective endocarditis: Are we looking hard enough? Infection 2023, 51, 1629–1631. [Google Scholar] [CrossRef] [PubMed]








| Year | 2008–2009 | 2010–2011 | 2012–2013 | 2014–2015 | 2016–2017 | 2018–2019 | 2020–2021 | 2022–2023 |
|---|---|---|---|---|---|---|---|---|
| The number of IE patients | 4 | 4 | 5 | 2 | 0 | 1 | 1 | 8 |
| F/M | 2/2 | 1/3 | 2/3 | 2/0 | 0/0 | 0/1 | 0/1 | 3/5 |
Disclaimer/Publisher’s Note: The statements, opinions and data contained in all publications are solely those of the individual author(s) and contributor(s) and not of MDPI and/or the editor(s). MDPI and/or the editor(s) disclaim responsibility for any injury to people or property resulting from any ideas, methods, instructions or products referred to in the content. |
© 2024 by the authors. Licensee MDPI, Basel, Switzerland. This article is an open access article distributed under the terms and conditions of the Creative Commons Attribution (CC BY) license (https://creativecommons.org/licenses/by/4.0/).
Share and Cite
Abramczyk, U.; Cześniewicz, P.; Kusa, J. Infective Endocarditis in Children as an Increasing Clinical Problem—A Case Series. Children 2024, 11, 371. https://doi.org/10.3390/children11030371
Abramczyk U, Cześniewicz P, Kusa J. Infective Endocarditis in Children as an Increasing Clinical Problem—A Case Series. Children. 2024; 11(3):371. https://doi.org/10.3390/children11030371
Chicago/Turabian StyleAbramczyk, Urszula, Paweł Cześniewicz, and Jacek Kusa. 2024. "Infective Endocarditis in Children as an Increasing Clinical Problem—A Case Series" Children 11, no. 3: 371. https://doi.org/10.3390/children11030371
APA StyleAbramczyk, U., Cześniewicz, P., & Kusa, J. (2024). Infective Endocarditis in Children as an Increasing Clinical Problem—A Case Series. Children, 11(3), 371. https://doi.org/10.3390/children11030371

