Morphometric Comparison and Prognostic Analysis of Permanent Maxillary Central Incisors with Eruption Disturbances—A Cross-Sectional Study
Abstract
1. Introduction
- the contralateral incisor erupted more than six months previously;
- the upper central incisors remained unerupted for more than one year after the lower incisors had already erupted;
- significant deviation from the normal eruption sequence exists, such as lateral incisors erupting prior to central incisors
2. Materials and Methods
2.1. Subjects
- Unilateral eruption disturbance of maxillary central incisor
- Patient with both initial panoramic and CBCT images
- Low quality of radiographic records
- History of previous orthodontic treatment
- Downs syndrome, cleft lip and/or palate, or other systemic factors associated with eruption disturbances
2.2. Electronic Medical Records
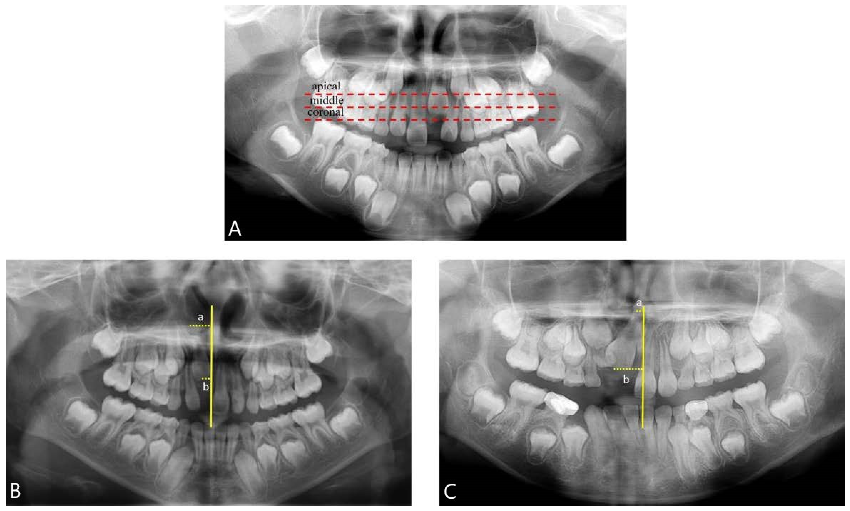
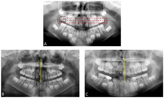
2.3. Panoramic Radiograph
2.4. CBCT Measurement
2.5. Statistical Analysis
3. Results
4. Discussion
5. Conclusions
Author Contributions
Funding
Institutional Review Board Statement
Informed Consent Statement
Data Availability Statement
Conflicts of Interest
References
- Mehndiratta, A.; Bembalagi, M.; Patil, R. Evaluating the Association of Tooth Form of Maxillary Central Incisors with Face Shape Using AutoCAD Software: A Descriptive Study. J. Prosthodont. 2019, 28, e469–e472. [Google Scholar] [CrossRef] [PubMed]
- Pedrosa, V.O.; França, F.M.G.; Flório, F.M.; Basting, R.T. Study of the morpho-dimensional relationship between the maxillary central incisors and the face. Braz. Oral Res. 2011, 25, 210–216. [Google Scholar] [CrossRef] [PubMed]
- Shaw, W.C.; Rees, G.; Dawe, M.; Charles, C.R. The influence of dentofacial appearance on the social attractiveness of young adults. Am. J. Orthod. 1985, 87, 21–26. [Google Scholar] [CrossRef] [PubMed]
- Chaushu, S.; Becker, T.; Becker, A. Impacted central incisors: Factors affecting prognosis and treatment duration. Am. J. Orthod. Dentofac. Orthop. 2015, 147, 355–362. [Google Scholar] [CrossRef] [PubMed]
- Choi, H.; Nam, S.; Kim, H. Factors and Treatments Influencing the Unilaterally Unerupted Maxillary Central Incisor. J. Korean Acad. Pediatr. Dent. 2018, 45, 334–343. [Google Scholar] [CrossRef]
- Chaushu, S.; Weill, T.; Perillo, L.; Becker, A.; Dekel, E.; Abdalla-Aslan, R.; Nadler, C. Root Development and Morphology of Impacted Maxillary Central Incisors due to Obstruction: A CBCT Study. Semin. Orthod. 2023, 29, 146–152. [Google Scholar] [CrossRef]
- Kurol, J. Early treatment of tooth-eruption disturbances. Am. J. Orthod. Dentofac. Orthop. 2002, 121, 588–591. [Google Scholar] [CrossRef] [PubMed]
- Chaushu, S.; Zilberman, Y.; Becker, A. Maxillary incisor impaction and its relationship to canine displacement. Am. J. Orthod. Dentofac. Orthop. 2003, 124, 144–150. [Google Scholar] [CrossRef] [PubMed]
- Lana Mattiello, F.D.; Deon Rizzatto, S.M.; Macedo de Menezes, L.; Martinelli de Lima, E.; Araújo, E.A.; Kim, K.B. Dimensional and morphologic characteristics of unilateral impacted maxillary central incisors. Am. J. Orthod. Dentofac. Orthop. 2022, 162, 340–347. [Google Scholar] [CrossRef]
- Zhang, M.; McGrath, C.; HÄGg, U. The impact of malocclusion and its treatment on quality of life: A literature review. Int. J. Paediatr. Dent. 2006, 16, 381–387. [Google Scholar] [CrossRef]
- Lee, J.Y.; Divaris, K. Hidden Consequences of Dental Trauma: The Social and Psychological Effects. Pediatr. Dent. 2009, 31, 96–101. [Google Scholar] [PubMed]
- Pavlidis, D.; Daratsianos, N.; Jäger, A. Treatment of an impacted dilacerated maxillary central incisor. Am. J. Orthod. Dentofac. Orthop. 2011, 139, 378–379. [Google Scholar] [CrossRef] [PubMed]
- Harila-Kaera, V.; Heikkinen, T.; Alvesalo, L. The eruption of permanent incisors and first molars in prematurely born children. Eur. J. Orthod. 2003, 25, 293–299. [Google Scholar] [CrossRef] [PubMed]
- Almonaitiene, R.; Balciuniene, I.; Tutkuviene, J. Factors influencing permanent teeth eruption. Part one—General factors. Stomatologija 2010, 12, 67–72. [Google Scholar] [PubMed]
- Pavoni, C.; Mucedero, M.; Laganà, G.; Paoloni, V.; Cozza, P. Impacted maxillary incisors: Diagnosis and predictive measurements. Ann. Stomatol. 2012, 3, 100–105. [Google Scholar]
- Huber, K.; Suri, L.; Taneja, P. Eruption Disturbances of the Maxillary Incisors:A Literature Review. J. Clin. Pediatr. Dent. 2008, 32, 221–230. [Google Scholar] [CrossRef] [PubMed]
- Bodenham, R.S. The treatment and prognosis of unerupted maxillary incisors associated with the presence of supernumerary teeth. Br. Dent. J. 1967, 123, 173–177. [Google Scholar] [PubMed]
- Gregg, T.A.; Kinirons, M.J. The effect of the position and orientation of unerupted premaxillary supernumerary teeth on eruption and displacement of permanent incisors. Int. J. Paediatr. Dent. 1991, 1, 3–7. [Google Scholar] [CrossRef]
- Yaqoob, O.; O’Neill, J.; Patel, S.; Seehra, J.; Bryant, C.; Noar, J.; Gregg, T.; Morris, D.; Cobourne, M. Management of Unerupted Maxillary Incisors. Available online: https://www.rcseng.ac.uk/dental-faculties/fds/publications-guidelines/clinical-guidelines/ManMaxIncisors2022.pdf (accessed on 8 February 2024).
- Graber, T.M.; Andreasen, J.O.; Peterson, J.K.; Laskin, D.M. Textbook and color atlas of tooth impactions. Am. J. Orthod. Dentofac. Orthop. 1997, 112, 354. [Google Scholar] [CrossRef]
- Yaqoob, O.; O’Neill, J.; Gregg, T.; Noar, J.; Cobourne, M.; Morris, D. Management of Unerupted Maxillary Incisors. Available online: http://www.rcseng.ac.uk/fds/publications-clinical-guidelines/clinical_guidelines/docu-ments/ManMaxIncisors2010.pdf (accessed on 8 February 2024).
- Jacobs, S.G. Radiographic localization of unerupted maxillary anterior teeth using the vertical tube shift technique: The history and application of the method with some case reports. Am. J. Orthod. Dentofac. Orthop. 1999, 116, 415–423. [Google Scholar] [CrossRef]
- Chawla, O.; Atack, N. The management of unerupted maxillary incisors. Fac. Dent. J. 2012, 3, 208–209. [Google Scholar] [CrossRef]
- Chokron, A.; Reveret, S.; Salmon, B.; Vermelin, L. Strategies for treating an impacted maxillary central incisor. Int. Orthod. 2010, 8, 152–176. [Google Scholar] [CrossRef] [PubMed]
- De Waele Souchois de Marsillac, M.; Andrade, M.R.T.; De Oliveira Fonseca Sonia Lucia Macedo Marcal, R.; Santos, V.L.C. Dental anomalies in panoramic radiographs of pediatric patients. Gen. Dent. 2013, 61, e29–e33. [Google Scholar]
- Chaushu, S.; Chaushu, G.; Becker, A. The role of digital volume tomography in the imaging of impacted teeth. World J. Orthod. 2004, 5, 120–132. [Google Scholar] [PubMed]
- Hui, J.; Niu, Y.; Jin, R.; Yang, X.; Wang, J.; Pan, H.; Zhang, J. An analysis of clinical and imaging features of unilateral impacted maxillary central incisors: A cross-sectional study. Am. J. Orthod. Dentofac. Orthop. 2022, 161, e96–e104. [Google Scholar] [CrossRef] [PubMed]
- Leyland, L.; Batra, P.; Wong, F.; Llewelyn, R. A retrospective evaluation of the eruption of impacted permanent incisors after extraction of supernumerary teeth. J. Clin. Pediatr. Dent. 2006, 30, 225–232. [Google Scholar] [CrossRef] [PubMed]
- Díaz-González, L.; Guinot, F.; García, C.; Baltà, L.; Chung-Leng, I. Evaluation of the position of the permanent maxillary canine and its relationship to dental anomaly patterns in the paediatric patient. Eur. J. Paediatr. Dent. 2022, 23, 281–287. [Google Scholar] [PubMed]
- Jung, Y.H.; Liang, H.; Benson, B.W.; Flint, D.J.; Cho, B.H. The assessment of impacted maxillary canine position with panoramic radiography and cone beam CT. Dentomaxillofacial Radiol. 2012, 41, 356–360. [Google Scholar] [CrossRef]
- Wafa, A.; Sarah Al, T. Evaluation of impacted maxillary canine position using panoramic radiography and cone beam computed tomography. Saudi Dent. J. 2021, 33, 738–744. [Google Scholar] [CrossRef]
- Kucukkaraca, E. Characteristics of Unilaterally Impacted Maxillary Canines and Effect on Environmental Tissues: A CBCT Study. Children 2023, 10, 1694. [Google Scholar] [CrossRef]
- Skitioui, M.A.-O.; Jaoui, D.; Haj Khalaf, L.; Touré, B.A.-O. Mandibular Second Molars and Their Pathologies Related to the Position of the Mandibular Third Molar: A Radiographic Study. Clin. Cosmet. Investig. Dent. 2023, 15, 215–223. [Google Scholar] [CrossRef] [PubMed]
- Haddad, Z.; Khorasani, M.; Bakhshi, M.A.-O.; Tofangchiha, M.A.-O.; Shalli, Z. Radiographic Position of Impacted Mandibular Third Molars and Their Association with Pathological Conditions. Int. J. Dent. 2021, 2021, 8841297. [Google Scholar] [CrossRef] [PubMed]
- Magalhães, J.A.-O.; Velozo, C.A.-O.; Albuquerque, D.A.-O.; Soares, C.; Oliveira, H.; Pontual, M.L.; Ramos-Perez, F.; Pontual, A. Morphological Study of Root Canals of Maxillary Molars by Cone-Beam Computed Tomography. Sci. World J. 2022, 2022, 4766305. [Google Scholar] [CrossRef] [PubMed]
- Mockutė, G.; Klimaitė, G.; Smailienė, D. The Morphology of Impacted Maxillary Central Incisors: A Systematic Review. Medicina 2022, 58, 462. [Google Scholar] [CrossRef] [PubMed]
- Rizzatto, S.M.D.; de Menezes, L.M.; Rabin, P.; Petersen, R.C.; Mattiello, F.D.L.; de Lima, E.M.S. Crown and root lengths of impacted maxillary central incisors and contralateral teeth evaluated with cone beam computed tomography. Pesqui. Bras. Odontopediatria Clin. Integr. 2017, 17, 1–7. [Google Scholar]
- Shi, X.; Xie, X.; Quan, J.; Wang, X.; Sun, X.; Zhang, C.; Zheng, S. Evaluation of root and alveolar bone development of unilateral osseous impacted immature maxillary central incisors after the closed-eruption technique. Am. J. Orthod. Dentofac. Orthop. 2015, 148, 587–598. [Google Scholar] [CrossRef] [PubMed]
- Lyu, J.; Lin, Y.; Lin, H.; Zhu, P.; Xu, Y. New clues for early management of maxillary impacted central incisors based on 3-dimensional reconstructed models. Am. J. Orthod. Dentofac. Orthop. 2018, 154, 390–396. [Google Scholar] [CrossRef] [PubMed]
- Raghoebar, G.M.; Boering, G.; Stegenga, B.; Vissink, A. Eruption disturbances of permanent molars: A review. J. Oral Pathol. Med. 1991, 20, 159–166. [Google Scholar] [CrossRef] [PubMed]
- Demirjian, A.; Goldstein, H.; Tanner, J.M. A new system of dental age assessment. Hum. Biol. 1973, 45, 211–227. [Google Scholar]
- Liversidge, H.M. The assessment and interpretation of Demirjian, Goldstein and Tanner’s dental maturity. Ann. Hum. Biol. 2012, 39, 412–431. [Google Scholar] [CrossRef]
- Smailiene, D.; Sidlauskas, A.; Bucinskiene, J. Impaction of the central maxillary incisor associated with supernumerary teeth: Initial position and spontaneous eruption timing. Stomatologija 2006, 8, 103–107. [Google Scholar] [PubMed]
- Pinchi, V.; Pradella, F.; Focardi, M.; Norelli, G.A.; Buti, J.; Baldinotti, C. A new age estimation procedure based on the 3D CBCT study of the pulp cavity and hard tissues of the teeth for forensic purposes: A pilot study. J. Forensic Leg. Med. 2015, 36, 150–157. [Google Scholar] [CrossRef] [PubMed]
- Tan, C.; Ekambaram, M.; Yiu, C.K.Y. Prevalence, characteristic features, and complications associated with the occurrence of unerupted permanent incisors. PLoS ONE 2018, 13, e0199501. [Google Scholar] [CrossRef] [PubMed]
- Marks, S.C., Jr.; Schroeder, H.E. Tooth eruption: Theories and facts. Anat. Rec. 1996, 245, 374–393. [Google Scholar] [CrossRef]
- Jo, W.; Lee, N.; Lee, S. A Statistical Study on Characteristics and Treatment of Child and Adolescent Patients with Tooth Impaction. J. Korean Acad. Pediatr. Dent. 2014, 41, 306–313. [Google Scholar] [CrossRef]
- Lygidakis, N.N.; Chatzidimitriou, K.; Theologie-Lygidakis, N.; Lygidakis, N.A. Εvaluation of a treatment protocol for unerupted maxillary central incisors: Retrospective clinical study of 46 children. Eur. Arch. Paediatr. Dent. 2015, 16, 153–164. [Google Scholar] [CrossRef] [PubMed]
- Betts, A.; Camilleri, G.E. A review of 47 cases of unerupted maxillary incisors. Int. J. Paediatr. Dent. 1999, 9, 285–292. [Google Scholar] [CrossRef] [PubMed]
- Bryan, R.A.; Cole, B.O.; Welbury, R.R. Retrospective analysis of factors influencing the eruption of delayed permanent incisors after supernumerary tooth removal. Eur. J. Paediatr. Dent. 2005, 6, 84–89. [Google Scholar] [PubMed]
- Butera, A.; Gallo, S.; Pascadopoli, M.; Montasser, M.A.; Abd El Latief, M.H.; Modica, G.G.; Scribante, A. Home Oral Care with Biomimetic Hydroxyapatite vs. Conventional Fluoridated Toothpaste for the Remineralization and Desensitizing of White Spot Lesions: Randomized Clinical Trial. Int. J. Environ. Res. Public Health 2022, 19, 8676. [Google Scholar] [CrossRef]
- Scribante, A.; Dermenaki Farahani, M.R.; Marino, G.; Matera, C.; Rodriguez y Baena, R.; Lanteri, V.; Butera, A. Biomimetic Effect of Nano-Hydroxyapatite in Demineralized Enamel before Orthodontic Bonding of Brackets and Attachments: Visual, Adhesion Strength, and Hardness in In Vitro Tests. BioMed Res. Int. 2020, 2020, 6747498. [Google Scholar] [CrossRef]
- Wu, G.; He, S.; Chi, J.; Sun, H.; Ye, H.; Bhikoo, C.; Du, W.; Pan, W.; Voliere, G.; Hu, R. The differences of root morphology and root length between different types of impacted maxillary central incisors: A retrospective cone-beam computed tomography study. Am. J. Orthod. Dentofac. Orthop. 2022, 161, 548–556. [Google Scholar] [CrossRef] [PubMed]




| Characteristic | |
|---|---|
| Age | Year |
| Mean ± SD | 8.32 ± 1.27 |
| Gender | N (%) |
| Male | 29 (41.4) |
| Female | 41 (58.6) |
| Side | N (%) |
| Right | 38 (54.3) |
| Left | 32 (45.7) |
| Normal (n = 70) | ED (n = 70) | p-Value | |
|---|---|---|---|
| Volume (mm3) | 424.7 ± 90.9 | 376.4 ± 90.6 | 0.001 1 |
| median (IQR) | 405.3 | 367.6 | |
| Length (mm) | 9.49 ± 2.43 | 6.70 ± 2.14 | <0.001 2 |
| Boys (n = 29) | Girls (n = 41) | p-Value | |||
|---|---|---|---|---|---|
| Normal | ED | Normal | ED | ||
| Volume (mm3) | 449.1 ± 106.6 | 404.5 ± 90.6 | 407.6 ± 75.5 | 357.3 ± 71.14 | 0.101 |
| Length (mm) | 9.95 ± 2.75 | 7.18 ± 2.37 | 9.16 ± 2.15 | 6.36 ± 1.93 | 0.182 |
| 6–7 (n = 29) | 8–9 (n = 33) | 10–11 (n = 8) | p-Value | ||||
|---|---|---|---|---|---|---|---|
| Normal | ED | Normal | ED | Normal | ED | ||
| Volume (mm3) | 404.2 ± 90.9 | 358.4 ± 91.6 | 424.4 ± 74.1 | 377.7 ± 70.1 | 501.6 ± 124.1 | 440.3 ± 141.4 | 0.026 |
| Length (mm) | 8.22 ± 2.11 | 5.41 ± 1.88 | 10.04 ± 2.12 | 7.07 ± 1.30 | 11.79 ± 2.37 | 9.89 ± 2.07 | <0.001 |
| ED | p-Value | ||
|---|---|---|---|
| Primary Retention | Impaction | ||
| Height | |||
| Coronal | 10 (32.3) | 19 (48.7) | 0.279 |
| Middle | 16 (51.6) | 13 (33.3) | |
| Apical | 5 (16.1) | 7 (17.9) | |
| Angle | |||
| Mesial | 20 (64.5) | 13 (33.3) | 0.009 |
| Distal | 11 (35.5) | 26 (66.7) | |
| Normal (n = 62) | ED | p-Value | ||
|---|---|---|---|---|
| Primary Retention (n = 18) | Impaction (n = 44) | |||
| Non-surgical intervention | 24 (38.7) | 4 (13.8) | 20 (60.6) | <0.001 |
| Surgical intervention | 38 (61.3) | 25 (86.2) | 13 (39.4) | |
| Dental Age | Total | p-Value | ||||
|---|---|---|---|---|---|---|
| E | F | G | H | |||
| Non-surgical intervention | 0 | 8 (33.3) | 16 (66.7) | 0 (0.0) | 24 (100.0) | 0.021 |
| Surgical intervention | 2 (5.3) | 8 (21.1) | 19 (50.0) | 9 (23.7) | 38 (100.0) | |
| ED | p-Value | ||
|---|---|---|---|
| Trauma hx. (n = 18) | Non-Trauma hx. (n = 44) | ||
| Non-surgical intervention | 5 (27.8) | 19 (43.2) | 0.258 |
| Surgical intervention | 13 (72.2) | 25 (56.8) | |
Disclaimer/Publisher’s Note: The statements, opinions and data contained in all publications are solely those of the individual author(s) and contributor(s) and not of MDPI and/or the editor(s). MDPI and/or the editor(s) disclaim responsibility for any injury to people or property resulting from any ideas, methods, instructions or products referred to in the content. |
© 2024 by the authors. Licensee MDPI, Basel, Switzerland. This article is an open access article distributed under the terms and conditions of the Creative Commons Attribution (CC BY) license (https://creativecommons.org/licenses/by/4.0/).
Share and Cite
Jeong, Y.; Shin, J.; Park, S.; Jeong, T.; Lee, E. Morphometric Comparison and Prognostic Analysis of Permanent Maxillary Central Incisors with Eruption Disturbances—A Cross-Sectional Study. Children 2024, 11, 307. https://doi.org/10.3390/children11030307
Jeong Y, Shin J, Park S, Jeong T, Lee E. Morphometric Comparison and Prognostic Analysis of Permanent Maxillary Central Incisors with Eruption Disturbances—A Cross-Sectional Study. Children. 2024; 11(3):307. https://doi.org/10.3390/children11030307
Chicago/Turabian StyleJeong, Yuri, Jonghyun Shin, Soyoung Park, Taesung Jeong, and Eungyung Lee. 2024. "Morphometric Comparison and Prognostic Analysis of Permanent Maxillary Central Incisors with Eruption Disturbances—A Cross-Sectional Study" Children 11, no. 3: 307. https://doi.org/10.3390/children11030307
APA StyleJeong, Y., Shin, J., Park, S., Jeong, T., & Lee, E. (2024). Morphometric Comparison and Prognostic Analysis of Permanent Maxillary Central Incisors with Eruption Disturbances—A Cross-Sectional Study. Children, 11(3), 307. https://doi.org/10.3390/children11030307

