Pictorial Review of MRI Findings in Acute Neck Infections in Children
Abstract
1. Introduction
2. MRI Protocol and Practical Performance
3. Anatomical Considerations, MRI Terminology, and Edema Patters
3.1. Neck Anatomy and Key Areas of Scrutiny
3.2. Terminology of Pathology
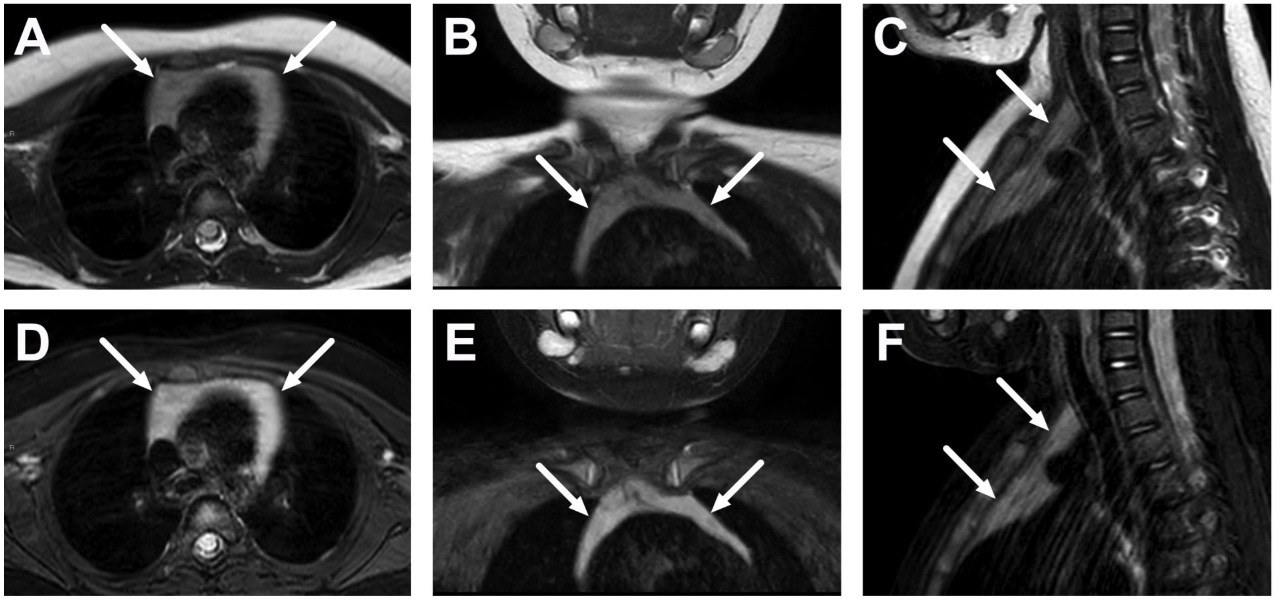
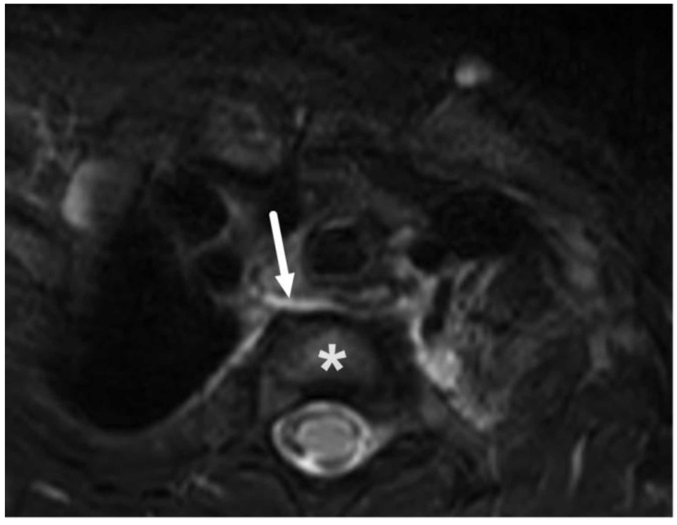
3.3. Edema Patterns
4. Typical Pediatric Deep Neck Infections
4.1. Tonsillitis, Peritonsillar Abscesses, and Parapharyngeal Abscesses
4.2. Retropharyngeal Abscesses and Suppurative Lymphadenitis
4.3. Oral Cavity
4.4. Sialadenitis
5. Challenging MRI Findings and Pitfalls
5.1. Lymphadenitis with Purulence vs. Necrosis
5.2. Cystic Masses
5.3. Artifacts
6. Complications
6.1. Mediastinitis
6.2. Venous Thrombosis
7. Conclusions
Author Contributions
Funding
Institutional Review Board Statement
Informed Consent Statement
Data Availability Statement
Conflicts of Interest
References
- Boscolo-Rizzo, P.; Stellin, M.; Muzzi, E.; Mantovani, M.; Fuson, R.; Lupato, V.; Trabalzini, F.; Da Mosto, M.C. Deep neck infections: A study of 365 cases highlighting recommendations for management and treatment. Eur. Arch. Oto-Rhino-Laryngol. 2012, 269, 1241–1249. [Google Scholar] [CrossRef] [PubMed]
- Velhonoja, J.; Lääveri, M.; Soukka, T.; Hirvonen, J.; Kinnunen, I.; Irjala, H. Early surgical intervention enhances recovery of severe pediatric deep neck infection patients. Int. J. Pediatr. Otorhinolaryngol. 2021, 144, 110694. [Google Scholar] [CrossRef] [PubMed]
- Cheng, J.; Elden, L. Children with Deep Space Neck Infections: Our Experience with 178 Children. Otolaryngol. Head Neck Surg. 2013, 148, 1037–1042. [Google Scholar] [CrossRef]
- Donà, D.; Gastaldi, A.; Campagna, M.; Montagnani, C.; Galli, L.; Trapani, S.; Pierossi, N.; De Luca, M.; D’Argenio, P.; Tucci, F.M.; et al. Deep Neck Abscesses in Children: An Italian Retrospective Study. Pediatr. Emerg. Care 2021, 37, e1358–e1365. [Google Scholar] [CrossRef] [PubMed]
- Garca, M.F.; Budak, A.; Demir, N.; Cankaya, H.; Kiroglu, A.F. Characteristics of Deep Neck Infection in Children According to Weight Percentile. Clin. Exp. Otorhinolaryngol. 2014, 7, 133–137. [Google Scholar] [CrossRef]
- Brook, I. Microbiology and management of peritonsillar, retropharyngeal, and parapharyngeal abscesses. J. Oral Maxillofac. Surg. 2004, 62, 1545–1550. [Google Scholar] [CrossRef]
- Elden, L.M.; Grundfast, K.M.; Vezina, G. Accuracy and Usefulness of Radiographic Assessment of Cervical Neck Infections in Children. J. Otolaryngol. 2001, 30, 082–089. [Google Scholar] [CrossRef]
- Vural, C.; Gungor, A.; Comerci, S. Accuracy of computerized tomography in deep neck infections in the pediatric population. Am. J. Otolaryngol. 2003, 24, 143–148. [Google Scholar] [CrossRef]
- Malloy, K.M.; Christenson, T.; Meyer, J.S.; Tai, S.; Deutsch, E.S.; Barth, P.C.; O’reilly, R.C. Lack of association of CT findings and surgical drainage in pediatric neck abscesses. Int. J. Pediatr. Otorhinolaryngol. 2008, 72, 235–239. [Google Scholar] [CrossRef]
- Nurminen, J.; Velhonoja, J.; Heikkinen, J.; Happonen, T.; Nyman, M.; Irjala, H.; Soukka, T.; Mattila, K.; Hirvonen, J. Emergency neck MRI: Feasibility and diagnostic accuracy in cases of neck infection. Acta Radiol. 2021, 62, 735–742. [Google Scholar] [CrossRef]
- Nurminen, J.; Heikkinen, J.; Happonen, T.; Velhonoja, J.; Irjala, H.; Soukka, T.; Ivaska, L.; Mattila, K.; Hirvonen, J. Magnetic resonance imaging findings in pediatric neck infections—A comparison with adult patients. Pediatr. Radiol. 2022, 52, 1158–1166. [Google Scholar] [CrossRef]
- Hagelberg, J.; Pape, B.; Heikkinen, J.; Nurminen, J.; Mattila, K.; Hirvonen, J. Diagnostic accuracy of contrast-enhanced CT for neck abscesses: A systematic review and meta-analysis of positive predictive value. PLoS ONE 2022, 17, e0276544. [Google Scholar] [CrossRef]
- Ogura, I.; Kaneda, T.; Kato, M.; Mori, S.; Motohashi, J.; Lee, K. MR study of lateral retropharyngeal lymph nodes at different ages. Oral Surg. Oral Med. Oral Pathol. Oral Radiol. Endodontology 2004, 98, 355–358. [Google Scholar] [CrossRef]
- D’arco, F.; Lee, P.; Siddiqui, A.; Nash, R.; Ugga, L. Radiologic diagnosis of non-traumatic paediatric head and neck emergencies. Pediatr. Radiol. 2023, 53, 768–782. [Google Scholar] [CrossRef]
- Hirvonen, J.; Heikkinen, J.; Nyman, M.; Happonen, T.; Velhonoja, J.; Irjala, H.; Soukka, T.; Mattila, K.; Nurminen, J. MRI of acute neck infections: Evidence summary and pictorial review. Insights Imaging 2023, 14, 5. [Google Scholar] [CrossRef]
- D’arco, F.; Mertiri, L.; de Graaf, P.; De Foer, B.; Popovič, K.S.; Argyropoulou, M.I.; Mankad, K.; Brisse, H.J.; Juliano, A.; Severino, M.; et al. Guidelines for magnetic resonance imaging in pediatric head and neck pathologies: A multicentre international consensus paper. Neuroradiology 2022, 64, 1081–1100. [Google Scholar] [CrossRef]
- Callahan, M.J.; Cravero, J.P. Should I irradiate with computed tomography or sedate for magnetic resonance imaging? Pediatr. Radiol. 2022, 52, 340–344. [Google Scholar] [CrossRef]
- Runge, S.B.; Christensen, N.L.; Jensen, K.; Jensen, I.E. Children centered care: Minimizing the need for anesthesia with a multi-faceted concept for MRI in children aged 4–6. Eur. J. Radiol. 2018, 107, 183–187. [Google Scholar] [CrossRef]
- Rosenberg, T.L.; Nolder, A.R. Pediatric Cervical Lymphadenopathy. Otolaryngol. Clin. North Am. 2014, 47, 721–731. [Google Scholar] [CrossRef]
- Block, S.L. Managing Cervical Lymphadenitis—A Total Pain in the Neck! Pediatr. Ann. 2014, 43, 390–396. [Google Scholar] [CrossRef]
- Kontturi, A.; Soini, H.; Ollgren, J.; Salo, E. Increase in Childhood Nontuberculous Mycobacterial Infections after Bacille Calmette-Guérin Coverage Drop: A Nationwide, Population-Based Retrospective Study, Finland, 1995–2016. Clin. Infect. Dis. 2018, 67, 1256–1261. [Google Scholar] [CrossRef]
- Lyly, A.; Kontturi, A.; Salo, E.; Nieminen, T.; Nokso-Koivisto, J. Childhood nontuberculous mycobacterial lymphadenitis-observation alone is a good alternative to surgery. Int. J. Pediatr. Otorhinolaryngol. 2020, 129, 109778. [Google Scholar] [CrossRef] [PubMed]
- Zimmermann, P.; Tebruegge, M.; Curtis, N.; Ritz, N. The management of non-tuberculous cervicofacial lymphadenitis in children: A systematic review and meta-analysis. J. Infect. 2015, 71, 9–18. [Google Scholar] [CrossRef] [PubMed]
- Hoang, J.K.; Branstetter, B.F., IV; Eastwood, J.D.; Glastonbury, C.M. Multiplanar CT and MRI of Collections in the Retropharyngeal Space: Is It an Abscess? Am. J. Roentgenol. 2011, 196, W426–W432. [Google Scholar] [CrossRef] [PubMed]
- Tomita, H.; Yamashiro, T.; Ikeda, H.; Fujikawa, A.; Kurihara, Y.; Nakajima, Y. Fluid collection in the retropharyngeal space: A wide spectrum of various emergency diseases. Eur. J. Radiol. 2016, 85, 1247–1256. [Google Scholar] [CrossRef]
- Heikkinen, J.; Nurminen, J.; Velhonoja, J.; Irjala, H.; Happonen, T.; Soukka, T.; Mattila, K.; Hirvonen, J. Clinical and prognostic significance of emergency MRI findings in neck infections. Eur. Radiol. 2022, 32, 1078–1086. [Google Scholar] [CrossRef]
- Esposito, S.; De Guido, C.; Pappalardo, M.; Laudisio, S.; Meccariello, G.; Capoferri, G.; Rahman, S.; Vicini, C.; Principi, N. Retropharyngeal, Parapharyngeal and Peritonsillar Abscesses. Children 2022, 9, 618. [Google Scholar] [CrossRef]
- Côrte, F.C.; Firmino-Machado, J.; Moura, C.P.; Spratley, J.; Santos, M. Acute pediatric neck infections: Outcomes in a seven-year series. Int. J. Pediatr. Otorhinolaryngol. 2017, 99, 128–134. [Google Scholar] [CrossRef]
- Wong, D.K.; Brown, C.; Mills, N.; Spielmann, P.; Neeff, M. To drain or not to drain—Management of pediatric deep neck abscesses: A case–control study. Int. J. Pediatr. Otorhinolaryngol. 2012, 76, 1810–1813. [Google Scholar] [CrossRef]
- Woods, C.R.; Cash, E.D.; Smith, A.M.; Smith, M.J.; Myers, J.A.; Espinosa, C.M.; Chandran, S.K. Retropharyngeal and Parapharyngeal Abscesses Among Children and Adolescents in the United States: Epidemiology and Management Trends, 2003–2012. J. Pediatr. Infect. Dis. Soc. 2016, 5, 259–268. [Google Scholar] [CrossRef]
- Collins, B.; Stoner, J.A.; Digoy, G.P. Benefits of ultrasound vs. computed tomography in the diagnosis of pediatric lateral neck abscesses. Int. J. Pediatr. Otorhinolaryngol. 2014, 78, 423–426. [Google Scholar] [CrossRef]
- Hoffmann, C.; Pierrot, S.; Contencin, P.; Morisseau-Durand, M.-P.; Manach, Y.; Couloigner, V. Retropharyngeal infections in children. Treatment strategies and outcomes. Int. J. Pediatr. Otorhinolaryngol. 2011, 75, 1099–1103. [Google Scholar] [CrossRef]
- Kirse, D.J.; Roberson, D.W. Surgical Management of Retropharyngeal Space Infections in Children. Laryngoscope 2001, 111, 1413–1422. [Google Scholar] [CrossRef]
- Friedman, E.; Patiño, M.O.; Udayasankar, U.K. Imaging of Pediatric Salivary Glands. Neuroimaging Clin. 2018, 28, 209–226. [Google Scholar] [CrossRef]
- Buch, K.; Reinshagen, K.L.; Juliano, A.F. MR Imaging Evaluation of Pediatric Neck Masses: Review and Update. Magn. Reson. Imaging Clin. 2019, 27, 173–199. [Google Scholar] [CrossRef]
- Gore, M.R. Lemierre Syndrome: A Meta-analysis. Int. Arch. Otorhinolaryngol. 2020, 24, e379–e385. [Google Scholar] [CrossRef]
- Osowicki, J.; Kapur, S.; Phuong, L.K.; Dobson, S. The long shadow of Lemierre’s syndrome. J. Infect. 2017, 74, S47–S53. [Google Scholar] [CrossRef]
- Ramirez, S.; Hild, T.G.; Rudolph, C.N.; Sty, J.R.; Kehl, S.C.; Havens, P.; Henrickson, K.; Chusid, M.J. Increased Diagnosis of Lemierre Syndrome and Other Fusobacterium necrophorum Infections at a Children’s Hospital. Pediatrics 2003, 112, e380. [Google Scholar] [CrossRef]
- George, E.; Callen, A.L.; Glastonbury, C.M. Atypical thrombophlebitis patterns in head and neck infections. Neuroradiol. J. 2023. [Google Scholar] [CrossRef]
























| Phenomenon | Sequence | Findings | Suggestions | Notices |
|---|---|---|---|---|
| Soft tissue edema | T2 Dixon (water) post-contrast T1W Dixon (water) | Abnormal high signal | Radiologic evidence of an infection; specific edema patterns suggest a more severe course of disease. | All kinds of inflammation |
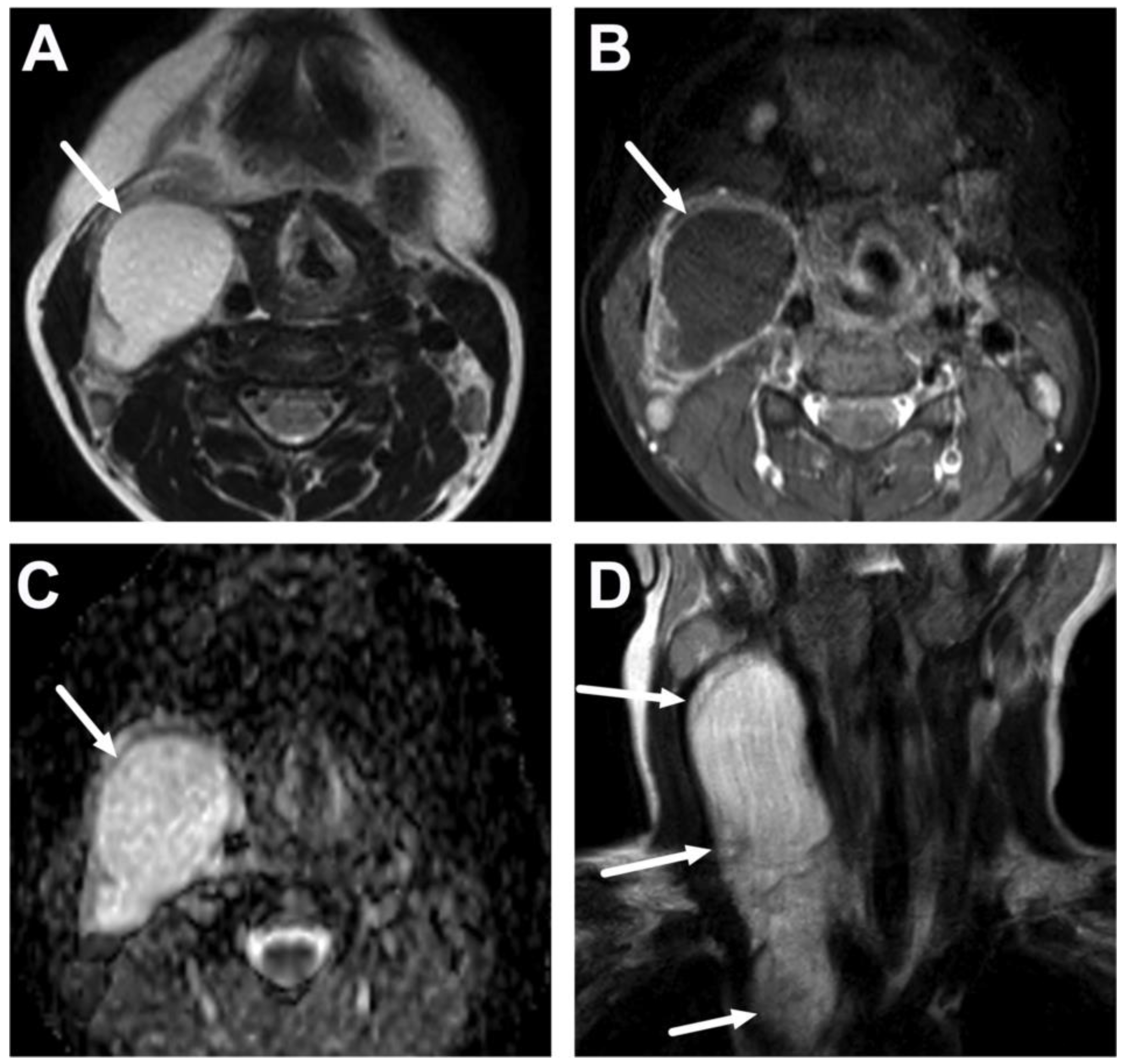
| Abscess | T1 SE T2 Dixon (water) DWI post-contrast T1 Dixon (water) | Non-enhancing collection with low ADC values enclosed in abnormally enhancing soft tissue edema. | Detection of an abscess usually requires operative consideration and exact abscess location, and extensions are useful in operative planning. | Abscesses may have an intermediate T2 signal content; blood products and/or postoperative status may complicate abscess assessment; necrotic lymph nodes may be misinterpreted as suppurative lymphadenitis. |
| Bone marrow edema | T1 SE T2 Dixon (water) post-contrast T1 Dixon (water) | Low signal in T1 and high signal in T2 Dixon (water) and post-contrast T1 Dixon. | Bone marrow edema may confirm odontogenic origin and point to the affected tooth. | Recent dental operations cause similar reactive findings; MRI artifacts may complicate assessment. |
| Complications | Whole protocol | Abscess extending to multiple deep neck spaces, mediastinis, venous thrombosis, and airway compromise. | Detection of potentially life-threatening conditions. | Magnetic resonance angiography (MRA) or CECT may be needed to diagnose venous thrombosis; defining airway compromise is difficult. |
| Cystic masses and potential neoplasms | Whole protocol | Identification of cystic component vs. neoplastic tissue, both with or without signs of infection. | Relevant differential diagnostics; exclusion of findings requiring immediate interventions. | Differential diagnosis may be limited and needs clinical correlation; biopsy may be required. |
Disclaimer/Publisher’s Note: The statements, opinions and data contained in all publications are solely those of the individual author(s) and contributor(s) and not of MDPI and/or the editor(s). MDPI and/or the editor(s) disclaim responsibility for any injury to people or property resulting from any ideas, methods, instructions or products referred to in the content. |
© 2023 by the authors. Licensee MDPI, Basel, Switzerland. This article is an open access article distributed under the terms and conditions of the Creative Commons Attribution (CC BY) license (https://creativecommons.org/licenses/by/4.0/).
Share and Cite
Nurminen, J.; Heikkinen, J.; Happonen, T.; Nyman, M.; Sirén, A.; Vierula, J.-P.; Velhonoja, J.; Irjala, H.; Soukka, T.; Ivaska, L.; et al. Pictorial Review of MRI Findings in Acute Neck Infections in Children. Children 2023, 10, 967. https://doi.org/10.3390/children10060967
Nurminen J, Heikkinen J, Happonen T, Nyman M, Sirén A, Vierula J-P, Velhonoja J, Irjala H, Soukka T, Ivaska L, et al. Pictorial Review of MRI Findings in Acute Neck Infections in Children. Children. 2023; 10(6):967. https://doi.org/10.3390/children10060967
Chicago/Turabian StyleNurminen, Janne, Jaakko Heikkinen, Tatu Happonen, Mikko Nyman, Aapo Sirén, Jari-Pekka Vierula, Jarno Velhonoja, Heikki Irjala, Tero Soukka, Lauri Ivaska, and et al. 2023. "Pictorial Review of MRI Findings in Acute Neck Infections in Children" Children 10, no. 6: 967. https://doi.org/10.3390/children10060967
APA StyleNurminen, J., Heikkinen, J., Happonen, T., Nyman, M., Sirén, A., Vierula, J.-P., Velhonoja, J., Irjala, H., Soukka, T., Ivaska, L., Mattila, K., & Hirvonen, J. (2023). Pictorial Review of MRI Findings in Acute Neck Infections in Children. Children, 10(6), 967. https://doi.org/10.3390/children10060967

