Heart Failure Post-SARS-CoV-2 Infection in Children with Duchenne Muscular Dystrophy: The Additive Value of Cardiovascular Magnetic Resonance
Abstract
1. Introduction
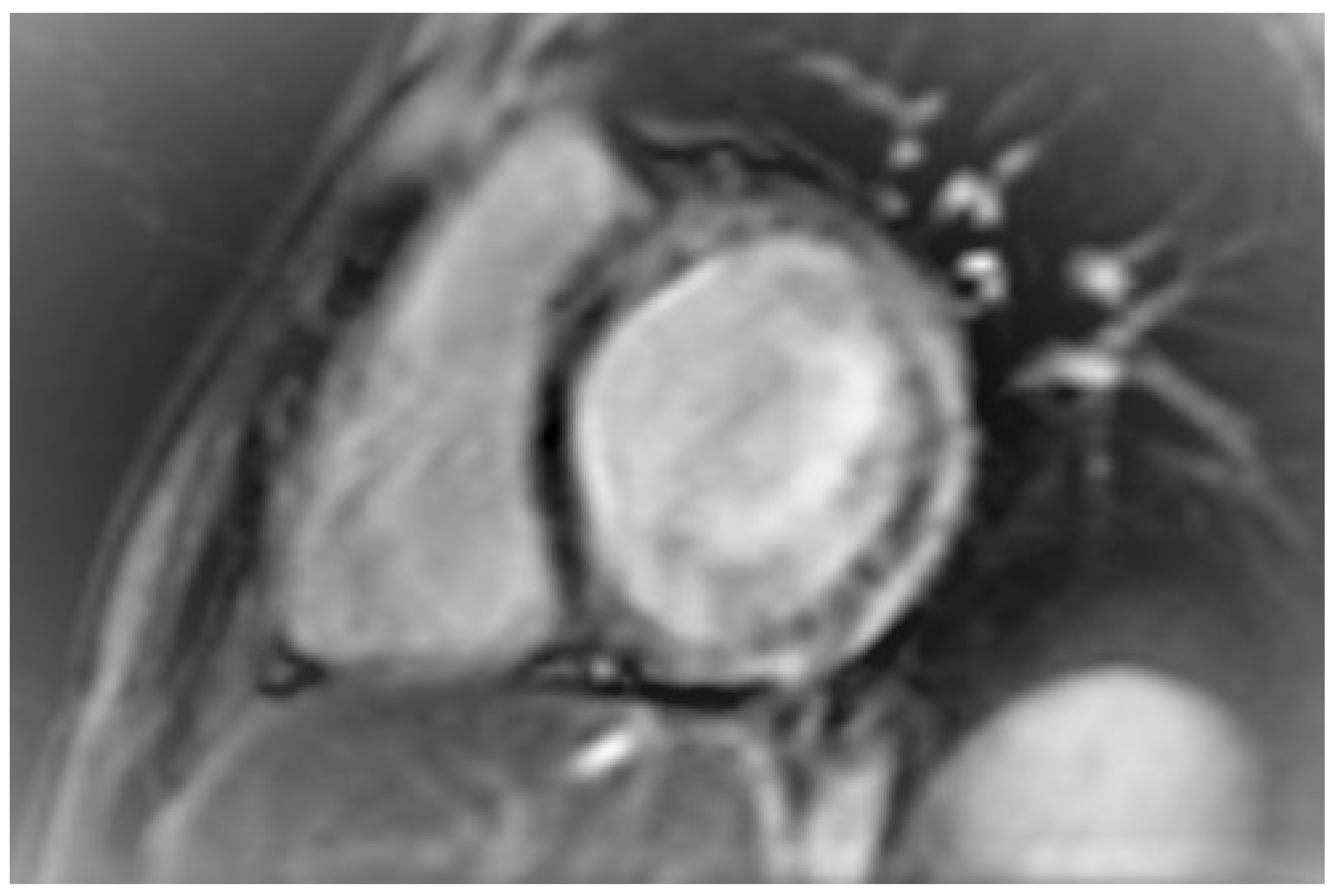
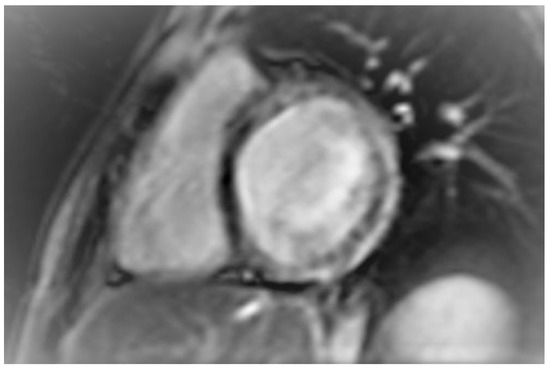
2. Case Presentation
3. Discussion
Limitations of the Study
- Given the relatively small number of patients, the true incidence of cardiac involvement post-COVID-19 in patients with DMD cannot be accurately estimated. Additionally, comparisons between patients with and without DMD are necessary in order to determine whether this patient subgroup is at greater risk of COVID-19-related cardiac injury.
- No previous CMR examination was available, which limited our ability to infer changes over time, secondary to SARS-CoV-2 infection.
- Lastly, there was no long-term follow-up available, and thus, no comments could be made regarding the potential effects of CMR findings on prognosis.
4. Conclusions
Author Contributions
Funding
Institutional Review Board Statement
Informed Consent Statement
Data Availability Statement
Conflicts of Interest
References
- Veerapandiyan, A.; Wagner, K.R.; Apkon, S.; McDonald, C.M.; Mathews, K.D.; Parsons, J.A.; Wong, B.L.; Eichinger, K.; Shieh, P.B.; Butterfield, R.J.; et al. The care of patients with Duchenne, Becker, and other muscular dystrophies in the COVID-19 pandemic. Muscle Nerve 2020, 62, 41–45. [Google Scholar] [CrossRef] [PubMed]
- Mauri, E.; Abati, E.; Musumeci, O.; Rodolico, C.; D’Angelo, M.G.; Mirabella, M.; Lucchini, M.; Bello, L.; Pegoraro, E.; Maggi, L.; et al. Estimating the impact of COVID-19 pandemic on services provided by Italian Neuromuscular Centers: An Italian Association of Myology survey of the acute phase. Acta Myol. 2020, 39, 57–66. [Google Scholar] [PubMed]
- Scalco, R.S.; Gardiner, A.R.; Pitceathly, R.D.; Zanoteli, E.; Becker, J.; Holton, J.L.; Houlden, H.; Jungbluth, H.; Quinlivan, R. Rhabdomyolysis: A genetic perspective. Orphanet. J. Rare Dis. 2015, 10, 51. [Google Scholar] [CrossRef] [PubMed]
- Costamagna, G.; Abati, E.; Bresolin, N.; Comi, G.P.; Corti, S. Management of patients with neuromuscular disorders at the time of the SARS-CoV-2 pandemic. J. Neurol. 2021, 268, 1580–1591. [Google Scholar] [CrossRef] [PubMed]
- Markousis-Mavrogenis, G.; Belegrinos, A.; Giannakopoulou, A.; Papavasiliou, A.; Koulouri, V.; Marketos, N.; Patsilinakou, E.; Lazarioti, F.; Bacopoulou, F.; Mavragani, C.P.; et al. Cardiovascular Magnetic Resonance Demonstrates Myocardial Inflammation of Differing Etiologies and Acuities in Patients with Genetic and Inflammatory Myopathies. J. Clin. Med. 2023, 12, 1575. [Google Scholar] [CrossRef] [PubMed]
- Ferreira, V.M.; Schulz-Menger, J.; Holmvang, G.; Kramer, C.M.; Carbone, I.; Sechtem, U.; Kindermann, I.; Gutberlet, M.; Cooper, L.T.; Liu, P.; et al. Cardiovascular Magnetic Resonance in Nonischemic Myocardial Inflammation: Expert Recommendations. J. Am. Coll. Cardiol. 2018, 72, 3158–3176. [Google Scholar] [CrossRef] [PubMed]
- Levine, H.; Prais, D.; Aharoni, S.; Nevo, Y.; Katz, J.; Rahmani, E.; Goldberg, L.; Scheuerman, O. COVID-19 in advanced Duchenne/Becker muscular dystrophy patients. Neuromuscul. Disord. 2021, 31, 607–611. [Google Scholar] [CrossRef] [PubMed]
- Shchendrygina, A.; Nagel, E.; Puntmann, V.O.; Valbuena-Lopez, S. COVID-19 myocarditis and prospective heart failure burden. Expert Rev. Cardiovasc. Ther. 2021, 19, 5–14. [Google Scholar] [CrossRef] [PubMed]
- Wasilewska, E.; Sobierajska-Rek, A.; Śledzińska, K.; Małgorzewicz, S.; Jassem, E.; Wierzba, J. Morbidity, Clinical Course and Vaccination against SARS-CoV-2 Virus in Patients with Duchenne Muscular Dystrophy: A Patient Reported Survey. Int. J. Environ. Res. Public Health 2021, 19, 406. [Google Scholar] [CrossRef] [PubMed]
- Quinlivan, R.; Desikan, M.; Cruces, F.; Pietrusz, A.; Savvatis, K. Clinical outcome of SARS-CoV-2 infection in 7 adults with Duchenne muscular dystrophy attending a specialist neuromuscular centre. Neuromuscul. Disord. 2021, 31, 603–606. [Google Scholar] [CrossRef] [PubMed]
- Tam, H.; El Tal, T.; Go, E.; Yeung, R.S.M. Pediatric inflammatory multisystem syndrome temporally associated with COVID-19: A spectrum of diseases with many names. CMAJ 2020, 192, E1093–E1096. [Google Scholar] [CrossRef] [PubMed]
- Xiong, D.; Lee, G.H.; Badorff, C.; Dorner, A.; Lee, S.; Wolf, P.; Knowlton, K.U. Dystrophin deficiency markedly increases enterovirus-induced cardiomyopathy: A genetic predisposition to viral heart disease. Nat. Med. 2002, 8, 872–877. [Google Scholar] [CrossRef] [PubMed]
- Cannata’, A.; Artico, J.; Gentile, P.; Merlo, M.; Sinagra, G. Myocarditis evolving in cardiomyopathy: When genetics and offending causes work together. Eur. Heart J. Suppl. 2019, 21 (Suppl. B), B90–B95. [Google Scholar] [CrossRef] [PubMed]




| Patient | LVEDV (mL) | LVESV (mL) | LVEF (%) | RVEDV (mL) | RVESV (mL) | RVEF (%) | T2 Ratio | EGE | LGE (% of LV Mass) | LGE Localisation | Native T1 Mapping (ms) | T2 Mapping (ms) | ECV (%) |
|---|---|---|---|---|---|---|---|---|---|---|---|---|---|
| Case 1 | 166 | 126 | 24 | 73 | 41 | 43 | 2.4 | 5 | 28 | IVS, anterior, lateral, and inferior LV | 1350 | 55.5 | 32 |
| Case 2 | 111 | 76 | 38 | 61 | 30 | 46 | 2.7 | 15.5 | 25 | Inferolateral LV | 1557 | 53.5 | 44 |
| Case 3 | 100 | 53 | 46 | 73 | 48 | 34 | 2.8 | 6 | 18 | Inferolateral LV | 1380 | 52 | 30.5 |
| Case 4 | 135 | 102 | 34 | 43 | 25 | 41 | 2.6 | 8 | 18 | Inferolateral LV | 1370 | 59.5 | 32.7 |
Disclaimer/Publisher’s Note: The statements, opinions and data contained in all publications are solely those of the individual author(s) and contributor(s) and not of MDPI and/or the editor(s). MDPI and/or the editor(s) disclaim responsibility for any injury to people or property resulting from any ideas, methods, instructions or products referred to in the content. |
© 2023 by the authors. Licensee MDPI, Basel, Switzerland. This article is an open access article distributed under the terms and conditions of the Creative Commons Attribution (CC BY) license (https://creativecommons.org/licenses/by/4.0/).
Share and Cite
Markousis-Mavrogenis, G.; Belegrinos, A.; Giannakopoulou, A.; Karanasios, E.; Vartela, V.; Patsilinakou, E.; Samantis, P.; Pons, R.-M.; Papavasiliou, A.; Mavrogeni, S.I. Heart Failure Post-SARS-CoV-2 Infection in Children with Duchenne Muscular Dystrophy: The Additive Value of Cardiovascular Magnetic Resonance. Children 2023, 10, 894. https://doi.org/10.3390/children10050894
Markousis-Mavrogenis G, Belegrinos A, Giannakopoulou A, Karanasios E, Vartela V, Patsilinakou E, Samantis P, Pons R-M, Papavasiliou A, Mavrogeni SI. Heart Failure Post-SARS-CoV-2 Infection in Children with Duchenne Muscular Dystrophy: The Additive Value of Cardiovascular Magnetic Resonance. Children. 2023; 10(5):894. https://doi.org/10.3390/children10050894
Chicago/Turabian StyleMarkousis-Mavrogenis, George, Antonios Belegrinos, Aikaterini Giannakopoulou, Evangelos Karanasios, Vasiliki Vartela, Elephtheria Patsilinakou, Paul Samantis, Roser-Marie Pons, Antigoni Papavasiliou, and Sophie I. Mavrogeni. 2023. "Heart Failure Post-SARS-CoV-2 Infection in Children with Duchenne Muscular Dystrophy: The Additive Value of Cardiovascular Magnetic Resonance" Children 10, no. 5: 894. https://doi.org/10.3390/children10050894
APA StyleMarkousis-Mavrogenis, G., Belegrinos, A., Giannakopoulou, A., Karanasios, E., Vartela, V., Patsilinakou, E., Samantis, P., Pons, R.-M., Papavasiliou, A., & Mavrogeni, S. I. (2023). Heart Failure Post-SARS-CoV-2 Infection in Children with Duchenne Muscular Dystrophy: The Additive Value of Cardiovascular Magnetic Resonance. Children, 10(5), 894. https://doi.org/10.3390/children10050894

