Juvenile Osteochondral Lesions of the Talus: Current Concepts Review and an Update on the Literature
Abstract
1. Introduction
2. Etiology and Epidemiology
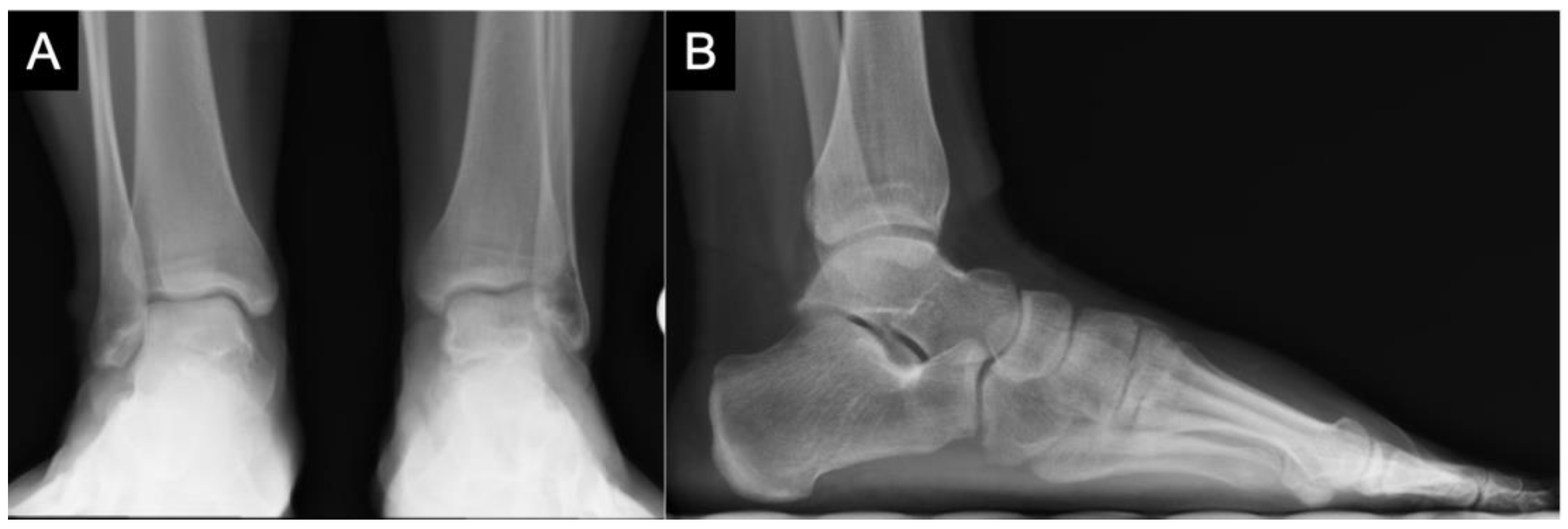
3. Diagnostics
4. Treatment
5. Literature Review
6. Conclusions
Author Contributions
Funding
Institutional Review Board Statement
Informed Consent Statement
Data Availability Statement
Conflicts of Interest
References
- Dahmen, J.; Steman, J.A.H.; Buck, T.M.F.; Struijs, P.A.A.; Stufkens, S.A.S.; van Bergen, C.J.A.; Kerkhoffs, G. Treatment of Osteochondral Lesions of the Talus in the Skeletally Immature Population: A Systematic Review. J. Pediatr. Orthop. 2022, 42, e852–e860. [Google Scholar] [CrossRef]
- Cerrato, R. Particulated juvenile articular cartilage allograft transplantation for osteochondral lesions of the talus. Foot Ankle Clin. 2013, 18, 79–87. [Google Scholar] [CrossRef] [PubMed]
- Vannini, F.; Cavallo, M.; Baldassarri, M.; Castagnini, F.; Olivieri, A.; Ferranti, E.; Buda, R.; Giannini, S. Treatment of juvenile osteochondritis dissecans of the talus: Current concepts review. Joints 2014, 2, 188–191. [Google Scholar] [CrossRef]
- Wang, C.C.; Yang, K.C.; Chen, I.H. Current treatment concepts for osteochondral lesions of the talus. Tzu Chi Med. J. 2021, 33, 243–249. [Google Scholar] [CrossRef]
- Powers, R.T.; Dowd, T.C.; Giza, E. Surgical Treatment for Osteochondral Lesions of the Talus. Arthroscopy 2021, 37, 3393–3396. [Google Scholar] [CrossRef] [PubMed]
- Krause, F.; Anwander, H. Osteochondral lesion of the talus: Still a problem? EFORT Open Rev. 2022, 7, 337–343. [Google Scholar] [CrossRef]
- Choi, W.J.; Jo, J.; Lee, J.W. Osteochondral lesion of the talus: Prognostic factors affecting the clinical outcome after arthroscopic marrow stimulation technique. Foot Ankle Clin. 2013, 18, 67–78. [Google Scholar] [CrossRef]
- Dekker, T.J.; Steele, J.R.; Federer, A.E.; Easley, M.E.; Hamid, K.S.; Adams, S.B. Efficacy of Particulated Juvenile Cartilage Allograft Transplantation for Osteochondral Lesions of the Talus. Foot Ankle Int. 2018, 39, 278–283. [Google Scholar] [CrossRef] [PubMed]
- LaPrade, R.F.; Bursch, L.S.; Olson, E.J.; Havlas, V.; Carlson, C.S. Histologic and immunohistochemical characteristics of failed articular cartilage resurfacing procedures for osteochondritis of the knee: A case series. Am. J. Sport. Med. 2008, 36, 360–368. [Google Scholar] [CrossRef] [PubMed]
- Nehrer, S.; Spector, M.; Minas, T. Histologic analysis of tissue after failed cartilage repair procedures. Clin. Orthop. Relat. Res. 1999, 365, 149–162. [Google Scholar] [CrossRef] [PubMed]
- Seo, S.G.; Kim, J.S.; Seo, D.K.; Kim, Y.K.; Lee, S.H.; Lee, H.S. Osteochondral lesions of the talus. Acta Orthop. 2018, 89, 462–467. [Google Scholar] [CrossRef]
- Edmonds, E.W.; Phillips, L.; Roocroft, J.H.; Bastrom, T.P.; Pennock, A.T.; Chambers, H.G. Stable childhood osteochondral lesions of the talus: Short-term radiographic outcomes suggest risk for early osteoarthritis. J. Pediatr. Orthop. B 2020, 29, 363–369. [Google Scholar] [CrossRef]
- Masquijo, J.; Kothari, A. Juvenile osteochondritis dissecans (JOCD) of the knee: Current concepts review. EFORT Open Rev. 2019, 4, 201–212. [Google Scholar] [CrossRef]
- Johnson, M.A.; Park, K.; Talwar, D.; Maguire, K.J.; Lawrence, J.T.R. Predicting Outcomes of Talar Osteochondritis Dissecans Lesions in Children. Orthop. J. Sport. Med. 2021, 9, 23259671211051769. [Google Scholar] [CrossRef] [PubMed]
- Carlson, M.J.; Antkowiak, T.T.; Larsen, N.J.; Applegate, G.R.; Ferkel, R.D. Arthroscopic Treatment of Osteochondral Lesions of the Talus in a Pediatric Population: A Minimum 2-Year Follow-up. Am. J. Sport. Med. 2020, 48, 1989–1998. [Google Scholar] [CrossRef]
- Edmonds, E.W.; Polousky, J. A review of knowledge in osteochondritis dissecans: 123 years of minimal evolution from Konig to the ROCK study group. Clin. Orthop. Relat. Res. 2013, 471, 1118–1126. [Google Scholar] [CrossRef] [PubMed]
- Edmonds, E.W.; Albright, J.; Bastrom, T.; Chambers, H.G. Outcomes of extra-articular, intra-epiphyseal drilling for osteochondritis dissecans of the knee. J. Pediatr. Orthop. 2010, 30, 870–878. [Google Scholar] [CrossRef]
- Zanon, G.; Di Vico, G.; Marullo, M. Osteochondritis dissecans of the talus. Joints 2014, 2, 115–123. [Google Scholar] [CrossRef] [PubMed]
- Olstad, K.; Shea, K.G.; Cannamela, P.C.; Polousky, J.D.; Ekman, S.; Ytrehus, B.; Carlson, C.S. Juvenile osteochondritis dissecans of the knee is a result of failure of the blood supply to growth cartilage and osteochondrosis. Osteoarthr. Cartil. 2018, 26, 1691–1698. [Google Scholar] [CrossRef]
- Olstad, K.; Hendrickson, E.H.; Carlson, C.S.; Ekman, S.; Dolvik, N.I. Transection of vessels in epiphyseal cartilage canals leads to osteochondrosis and osteochondrosis dissecans in the femoro-patellar joint of foals; a potential model of juvenile osteochondritis dissecans. Osteoarthr. Cartil. 2013, 21, 730–738. [Google Scholar] [CrossRef]
- Masquijo, J.J.; Allende, F.; Carabajal, M. Ankle Morphology and Juvenile Osteochondritis Dissecans (JOCD) of the Talus: Is There an Association? An MRI Study. J. Pediatr. Orthop. 2021, 41, e147–e152. [Google Scholar] [CrossRef] [PubMed]
- Ellermann, J.M.; Ludwig, K.D.; Nissi, M.J.; Johnson, C.P.; Strupp, J.P.; Wang, L.; Zbyn, S.; Toth, F.; Arendt, E.; Tompkins, M.; et al. Three-Dimensional Quantitative Magnetic Resonance Imaging of Epiphyseal Cartilage Vascularity Using Vessel Image Features: New Insights into Juvenile Osteochondritis Dissecans. JB JS Open Access 2019, 4, e0031-1–e0031-9. [Google Scholar] [CrossRef]
- Martijn, H.A.; Lambers, K.T.A.; Dahmen, J.; Stufkens, S.A.S.; Kerkhoffs, G.M.M.J. High incidence of (osteo)chondral lesions in ankle fractures. Knee Surg. Sport. Traumatol. Arthrosc. 2021, 29, 1523–1534. [Google Scholar] [CrossRef]
- Letts, M.; Davidson, D.; Ahmer, A. Osteochondritis dissecans of the talus in children. J. Pediatr. Orthop. 2003, 23, 617–625. [Google Scholar] [CrossRef] [PubMed]
- Kessler, J.I.; Weiss, J.M.; Nikizad, H.; Gyurdzhyan, S.; Jacobs, J.C., Jr.; Bebchuk, J.D.; Shea, K.G. Osteochondritis dissecans of the ankle in children and adolescents: Demographics and epidemiology. Am. J. Sport. Med. 2014, 42, 2165–2171. [Google Scholar] [CrossRef]
- Looze, C.A.; Capo, J.; Ryan, M.K.; Begly, J.P.; Chapman, C.; Swanson, D.; Singh, B.C.; Strauss, E.J. Evaluation and Management of Osteochondral Lesions of the Talus. Cartilage 2017, 8, 19–30. [Google Scholar] [CrossRef]
- Naumetz, V.A.; Schweigel, J.F. Osteocartilagenous lesions of the talar dome. J. Trauma 1980, 20, 924–927. [Google Scholar] [CrossRef]
- Higuera, J.; Laguna, R.; Peral, M.; Aranda, E.; Soleto, J. Osteochondritis dissecans of the talus during childhood and adolescence. J. Pediatr. Orthop. 1998, 18, 328–332. [Google Scholar] [CrossRef]
- De Smet, A.A.; Fisher, D.R.; Burnstein, M.I.; Graf, B.K.; Lange, R.H. Value of MR imaging in staging osteochondral lesions of the talus (osteochondritis dissecans): Results in 14 patients. AJR Am. J. Roentgenol. 1990, 154, 555–558. [Google Scholar] [CrossRef] [PubMed]
- Canale, S.T.; Belding, R.H. Osteochondral lesions of the talus. J. Bone Jt. Surg. Am. 1980, 62, 97–102. [Google Scholar] [CrossRef]
- Alexander, A.H.; Lichtman, D.M. Surgical treatment of transchondral talar-dome fractures (osteochondritis dissecans). Long-term follow-up. J. Bone Jt. Surg Am. 1980, 62, 646–652. [Google Scholar] [CrossRef]
- Pettine, K.A.; Morrey, B.F. Osteochondral fractures of the talus. A long-term follow-up. J. Bone Jt. Surg. Br. 1987, 69, 89–92. [Google Scholar] [CrossRef] [PubMed]
- Bauer, M.; Jonsson, K.; Lindén, B. Osteochondritis dissecans of the ankle. A 20-year follow-up study. J. Bone Jt. Surg. Br. 1987, 69, 93–96. [Google Scholar] [CrossRef]
- Bruns, J.; Rosenbach, B. Osteochondrosis dissecans of the talus. Comparison of results of surgical treatment in adolescents and adults. Arch. Orthop. Trauma Surg. 1992, 112, 23–27. [Google Scholar] [CrossRef] [PubMed]
- Badekas, T.; Takvorian, M.; Souras, N. Treatment principles for osteochondral lesions in foot and ankle. Int. Orthop. 2013, 37, 1697–1706. [Google Scholar] [CrossRef]
- Reilingh, M.L.; Kerkhoffs, G.M.; Telkamp, C.J.; Struijs, P.A.; van Dijk, C.N. Treatment of osteochondral defects of the talus in children. Knee Surg. Sport. Traumatol. Arthrosc. 2014, 22, 2243–2249. [Google Scholar] [CrossRef]
- Omey, M.L.; Micheli, L.J. Foot and ankle problems in the young athlete. Med. Sci. Sport. Exerc. 1999, 31, S470–S486. [Google Scholar] [CrossRef]
- Ikuta, Y.; Nakasa, T.; Ota, Y.; Kanemitsu, M.; Sumii, J.; Nekomoto, A.; Adachi, N. Retrograde Drilling for Osteochondral Lesion of the Talus in Juvenile Patients. Foot Ankle Orthop. 2020, 5, 2473011420916139. [Google Scholar] [CrossRef]
- Korner, D.; Gonser, C.E.; Dobele, S.; Konrads, C.; Springer, F.; Keller, G. Matrix-associated autologous chondrocyte implantation with autologous bone grafting of osteochondral lesions of the talus in adolescents: Patient-reported outcomes with a median follow-up of 6 years. J. Orthop. Surg. Res. 2021, 16, 243. [Google Scholar] [CrossRef]
- Korner, D.; Gonser, C.E.; Dobele, S.; Konrads, C.; Springer, F.; Keller, G. Re-operation rate after surgical treatment of osteochondral lesions of the talus in paediatric and adolescent patients. J. Orthop. Surg. Res. 2021, 16, 187. [Google Scholar] [CrossRef] [PubMed]
- Heyse, T.J.; Schuttler, K.F.; Schweitzer, A.; Timmesfeld, N.; Efe, T.; Paletta, J.R.; Fuchs-Winkelmann, S.; Fernandez, F.F. Juvenile osteochondritis dissecans of the talus: Predictors of conservative treatment failure. Arch. Orthop. Trauma Surg. 2015, 135, 1337–1341. [Google Scholar] [CrossRef]
- Jurina, A.; Dimnjakovic, D.; Mustapic, M.; Smoljanovic, T.; Bojanic, I. Clinical and MRI Outcomes After Surgical Treatment of Osteochondral Lesions of the Talus in Skeletally Immature Children. J. Pediatr. Orthop. 2018, 38, 122–127. [Google Scholar] [CrossRef] [PubMed]
- Pagliazzi, G.; Baldassarri, M.; Perazzo, L.; Vannini, F.; Castagnini, F.; Buda, R. Tissue Bioengineering in the Treatment of Osteochondritis Dissecans of the Talus in Children With Open Physis: Preliminary Results. J. Pediatr. Orthop. 2018, 38, 375–381. [Google Scholar] [CrossRef]
- Masquijo, J.J.; Ferreyra, A.; Baroni, E. Arthroscopic Retrograde Drilling in Juvenile Osteochondritis Dissecans of the Talus. J. Pediatr. Orthop. 2016, 36, 589–593. [Google Scholar] [CrossRef]
- Minokawa, S.; Yoshimura, I.; Kanazawa, K.; Hagio, T.; Nagatomo, M.; Sugino, Y.; Shibata, Y.; Yamamoto, T. Retrograde Drilling for Osteochondral Lesions of the Talus in Skeletally Immature Children. Foot Ankle Int. 2020, 41, 827–833. [Google Scholar] [CrossRef]
- Zheng, M.H.; Willers, C.; Kirilak, L.; Yates, P.; Xu, J.; Wood, D.; Shimmin, A. Matrix-induced autologous chondrocyte implantation (MACI): Biological and histological assessment. Tissue Eng. 2007, 13, 737–746. [Google Scholar] [CrossRef] [PubMed]
- Yang, H.S.; La, W.G.; Bhang, S.H.; Kim, H.J.; Im, G.I.; Lee, H.; Park, J.H.; Kim, B.S. Hyaline cartilage regeneration by combined therapy of microfracture and long-term bone morphogenetic protein-2 delivery. Tissue Eng. Part A 2011, 17, 1809–1818. [Google Scholar] [CrossRef] [PubMed]



| Study | Design | Number of Participants | Male-to-Female Ratio | Mean Age (Years) | Mean Follow-Up (Years) | Intervention | Outcome | Description of Results |
|---|---|---|---|---|---|---|---|---|
| Ikuta et al., 2020 [38] * | Retrospective case series | 8 | 5:3 | 14.9 | 2 | RD | Benefit | The mean total ROM was 65.6° preoperatively and 67.5° postoperatively (p = 0.55). The AOFAS score improved from 69.3 to 97.1 postoperatively (p = 0.012). The ankle activity score improved from 2.0 to 6.6 postoperatively (p = 0.011). |
| Carlson et al., 2020 [15] | Retrospective case series | 22 | 11:11 | 14.4 | 8.3 | Arthroscopy with marrow stimulation | Benefit | Of 22 patients, 20 were satisfied with their results and would recommend it to others. The overall mean follow-up score for the VAS for pain was 2.2. The overall mean AOFAS score at follow-up was 86.6. |
| Körner et al., 2021 [39] | Retrospective case series | 12 | 4:9 | 17.7 | 6 | MACI with autologous bone grafting | Heterogeneous results | The mean overall FAOS score was 78 ± 13. The FAOS subscale scores were as follows: symptoms, 70 ± 14; pain, 83 ± 10; activities of daily living, 89 ± 12; sports/recreational activities, 66 ± 26; quality of life, 51 ± 17. |
| Körner et al., 2021 [40] | Retrospective case series | 27 | 10:17 | 16.9 | 3.5 | Arthroscopy + BMS, n = 8; arthroscopy + RD, n = 8; ACI/autologous bone grafting, n = 9; arthroscopy + BMS + RD, n = 1; flake fixation, n = 1 | Heterogenous results | The reoperation rate was 25.9% (7 of 27 patients). Patients with reoperation had significantly lower ICRS classification stages compared to patients without reoperation. |
| Heyse et al., 2015 * [41] | Retrospective comparative study | 67 patients (77 lesions) | 27:40 | 11.4 | 5.8 | Conservative treatment | Inferior | Every patient but one received conservative treatment initially. Overall, 61% of lesions failed conservative treatment. Increased age and grade 3 lesions at diagnosis were predictive for failure of conservative treatment. Higher-grade lesions were generally predictive of inferior outcomes. |
| Jurina et al., 2018 * [42] | Case series | 13 | 7:6 | 15 | 5.6 | Arthroscopic microfracture | Benefit | According to Berndt and Harty outcomes, good clinical results were reported in 10 (76.9%) patients, and fair clinical results were reported in 3 (23.1%) patients. There was a statistically significant improvement in the postoperative AOFAS score compared to the pre-operative AOFAS score, with a mean increase of 35 points. |
| Pagliazzi et al., 2018 * [43] | Retrospective review | 7 | 1:6 | 12.8 | 4.0 | Arthroscopic BMAC | Benefit | Six lesions were Stage 3 according to the Berndt and Harty classification and 1 lesion was Stage 4. There was a statistically significant postoperative improvement in AOFAS score compared to preoperative, with a mean increase of 36.9 points. VAS scores significantly improved from 6.3 preoperatively to 0.4 at final follow-up. |
| Masquijo et al., 2016 * [44] | Retrospective chart review | 6 | 5:1 | 13 | 3.1 | Arthroscopic RD | Heterogenous results | All patients were asymptomatic at final follow-up; however, only 3 out of 6 of them had a complete radiographic healing at last follow-up. The average AOFAS score significantly improved from 69 points preoperatively to 98 points postoperatively. VAS scores significantly improved from 6.2 preoperatively to 0.3 postoperatively. |
| Minokawa et al., 2020 * [45] | Retrospective case series | 6 patients (8 ankles) | 4:2 | 11.1 | 1.9 | RD | Benefit | The mean JSSF scale in all ankles improved significantly from 79.4 points preoperatively to 98.4 points at final follow-up. Final follow-up CT findings showed that 4 ankles demonstrated good healing, 3 were fair, and 1 was poor. |
| Dahmen et al., 2022 [1] | Systematic review | 381 lesions (20 studies) | 213:168 | 13 | 4.9 | Conservative treatment, n = 8 studies; BMS, n = 8 studies; RD, n = 6 studies; fixation, n = 4 studies | Heterogenous results | The mean MINORS score of the included studies was 7.6. The pooled success rate was 44% in the conservative group, 77% in the BMS group, 95% in the RD group, 79% in the fixation group, and 67% in the autograft group. |
Disclaimer/Publisher’s Note: The statements, opinions and data contained in all publications are solely those of the individual author(s) and contributor(s) and not of MDPI and/or the editor(s). MDPI and/or the editor(s) disclaim responsibility for any injury to people or property resulting from any ideas, methods, instructions or products referred to in the content. |
© 2023 by the authors. Licensee MDPI, Basel, Switzerland. This article is an open access article distributed under the terms and conditions of the Creative Commons Attribution (CC BY) license (https://creativecommons.org/licenses/by/4.0/).
Share and Cite
Anastasio, A.T.; Bagheri, K.; Peairs, E.M.; Grant, C.; Adams, S.B. Juvenile Osteochondral Lesions of the Talus: Current Concepts Review and an Update on the Literature. Children 2023, 10, 884. https://doi.org/10.3390/children10050884
Anastasio AT, Bagheri K, Peairs EM, Grant C, Adams SB. Juvenile Osteochondral Lesions of the Talus: Current Concepts Review and an Update on the Literature. Children. 2023; 10(5):884. https://doi.org/10.3390/children10050884
Chicago/Turabian StyleAnastasio, Albert T., Kian Bagheri, Emily M. Peairs, Caitlin Grant, and Samuel B. Adams. 2023. "Juvenile Osteochondral Lesions of the Talus: Current Concepts Review and an Update on the Literature" Children 10, no. 5: 884. https://doi.org/10.3390/children10050884
APA StyleAnastasio, A. T., Bagheri, K., Peairs, E. M., Grant, C., & Adams, S. B. (2023). Juvenile Osteochondral Lesions of the Talus: Current Concepts Review and an Update on the Literature. Children, 10(5), 884. https://doi.org/10.3390/children10050884

