Elsberg Syndrome with Mixed Presentation as Meningitis Retention Syndrome: A Pediatric Case Report and Comprehensive Review of the Literature
Abstract
1. Introduction
Elsberg Syndrome
2. Case Report
3. Discussion
3.1. Methods
3.2. Neuroanatomy
3.3. Peripheral Innervation of the Urinary Tract
4. Mechanism of Urinary Retention, Potential Pathologies, and Localization That May Occur along the Pathways
4.1. Ischemic Stroke and Bladder Control
4.2. Basal Ganglia and Bladder Control
4.3. Brainstem Lesion and Bladder Control
4.4. Spinal Cord Injury and Bladder Control
4.5. Spinal Cord Disease and Bladder Control
- Inflammatory
- Transverse myelitis (TM): TM is a rare, acquired focal inflammatory disorder that often presents with symptoms such as bowel and bladder dysfunction, deficits in sensation, and rapid onset weakness. Inflammation may occur at any level of the spinal cord, but most commonly, it will affect the thoracic region of the spinal cord and lead to bilateral deficiencies. Less commonly, it can cause partial or asymmetric involvement. Idiopathic, postinfectious, systemic inflammation, and multifocal central nervous system disease are common etiologies of TM. The most common etiology of TM is idiopathic. Enteroviruses, West Nile virus, human immunodeficiency virus (HIV), human T-cell leukemia virus type 1 (HTV-1), herpes virus, neuroborreliosis (Lyme), Zika virus, Mycoplasma, and Treponema pallidum are just a few examples of infectious causes that may lead to TM [22].MS, neuromyelitis optica spectrum disorder (NMO), and ADEM are a few other conditions that may cause acquired central nervous system autoimmune disorders. The presentation for these diseases may be acute or subacute. Motor, sensory, and autonomic dysfunction are common neurologic symptoms of these diseases. Motor deficits, such as rapidly growing paraparesis, are sometimes caused by damage to spinal cord white matter. This would present as upper extremity flaccidity followed by spasticity. Sensory involvement along with symptoms such as pain, dysthesia, and parasthesia is most common. Patients with TM may often demonstrate urinary urgency, bladder or bowel incontinence, bowel constipation, difficulty or inability to void, and finally, sexual dysfunction. When considering myelitis, urinary retention is often the first sign.
- Multiple sclerosis: The most common urinary symptom that patients with MS complain of is urinary urgency. Urodynamic studies of MS patients have shown underlying detrusor hyperreflexia is the cause of this urinary urgency [15].
- Structural
- Cervical myelopathy: The most common urodynamic finding in cervical myelopathy is a variable combination of detrusor hyperreflexia and detrusor sphincter dyssynergia. Most of these patients will demonstrate long tract symptoms and signs. However, neurogenic features associated with voiding disorder, such as urinary hesitancy, poor stream, and incomplete emptying, can appear similar to features that occur due to an obstructed [18] outlet and are easily confused.
- Syringomyelia: Syringomyelia may be an incidental finding initially but can later lead to spinal cord dysfunction from fluid expansion in the central spinal canal. Typically, spinothalamic tract neurons are compressed as they decussate in the anterior white commissure,; however, the pyramidal tract can also be impacted, causing detrusor hyperreflexia. The dorsal column is typically spared in syringomyelia [23].
- Infectious
- Tropical spastic paraparesis: Tropical spastic paraparesis is a disease of progressive myelopathy caused by HTLV1 virus infection [24]. The disease progresses slowly over the course of a decade before having onset usually before age 40. Back pain is often prominent [19]. An early and often presenting feature of this disease is urge incontinence due to detrusor hyperreflexia [20], which is also the most common urodynamic abnormality in tropical spastic paraparesis.
- Neurosyphilis: Neurosyphilis is now rarely seen, though it was once a common cause of bladder dysfunction. Tabes dorsalis commonly leads to an areflexic and hyposensitive bladder that is the result of dorsal column and root involvement [25]. A range of abnormal urodynamic findings have been reported in patients with Tabes dorsalis [26].
4.6. Cauda Equina and Bladder Control
4.7. Peripheral Innervation and Bladder Control
- Guillain-Barré syndrome: GBS is an acute distal autonomic neuropathy. About one-quarter of patients with GBS have bladder symptoms. Both detrusor areflexia and bladder overactivity have been noted. Painful urinary retention usually occurs in both cholinergic and pan dysautonomia.
- Pelvic nerve injuries: Peripheral innervation of pelvic organs may be damaged by extirpative visceral surgery, such as resection of rectal carcinoma, radical prostatectomy, or radical hysterectomy. A prospective study of patients undergoing sphincter sparing surgery for low rectal carcinomas in which each patient acted as their own control showed that post-operatively there was a significant increase in post-micturition residual urine volume. In 15%, there appeared to have been severe damage to the parasympathetic innervation of the detrusor, resulting in long-term painless retention, a poor stream, loss of normal bladder sensation during filling, and near loss of detrusor contraction pressure [27] (Table 1).
5. West Nile Virus
5.1. West Nile Virus Biochemical Profile and Pathogenesis
5.2. Epidemiology
5.3. Related Neurological Disorders
- West Nile meningitis is clinically similar to other viral meningitides, with the abrupt onset of fever and headache, as well as meningeal signs such as nuchal rigidity, Kernig’s and/or Brudzinski’s signs, and photophobia or phonophobia. The associated headache may be severe, requiring hospitalization for pain control. The associated gastrointestinal disturbance may result in dehydration, exacerbating head pain, and systemic symptoms [36].
- West Nile encephalitis may range in severity from a mild, self-limited confused state to severe encephalopathy, coma, and death. Several neurological syndromes, primarily extrapyramidal disorders, have been observed in patients with West Nile encephalitis [37]. Increased intracranial pressure and cerebral edema are infrequently associated with West Nile encephalitis.
- West Nile encephalitis generally develops soon after illness onset, usually within the first 24 to 48 h. Acute flaccid paralysis generally develops rapidly and may be abrupt, occasionally raising clinical concerns of stroke [38]. The weakness is usually asymmetric and often results in monoplegia. Patients with severe and extensive spinal cord involvement develop more symmetric dense quadriplegia. Central facial weakness can also be seen. Sensory loss or numbness is generally absent, though some patients experience intense pain in the affected limbs just before or during the onset of weakness, and this limb pain may be persistent [39]. In particular, quadriplegia and respiratory failure are associated with high morbidity and mortality, and recovery is slow and incomplete. More than 50% of the mortality associated with WNV-associated acute flaccid myelitis occurs in patients with acute neuromuscular respiratory failure.
6. Differential Diagnoses and Neuroimaging
6.1. Differential Diagnoses of Urinary Retention with Meningoencephalitis and Myeloencephalitis
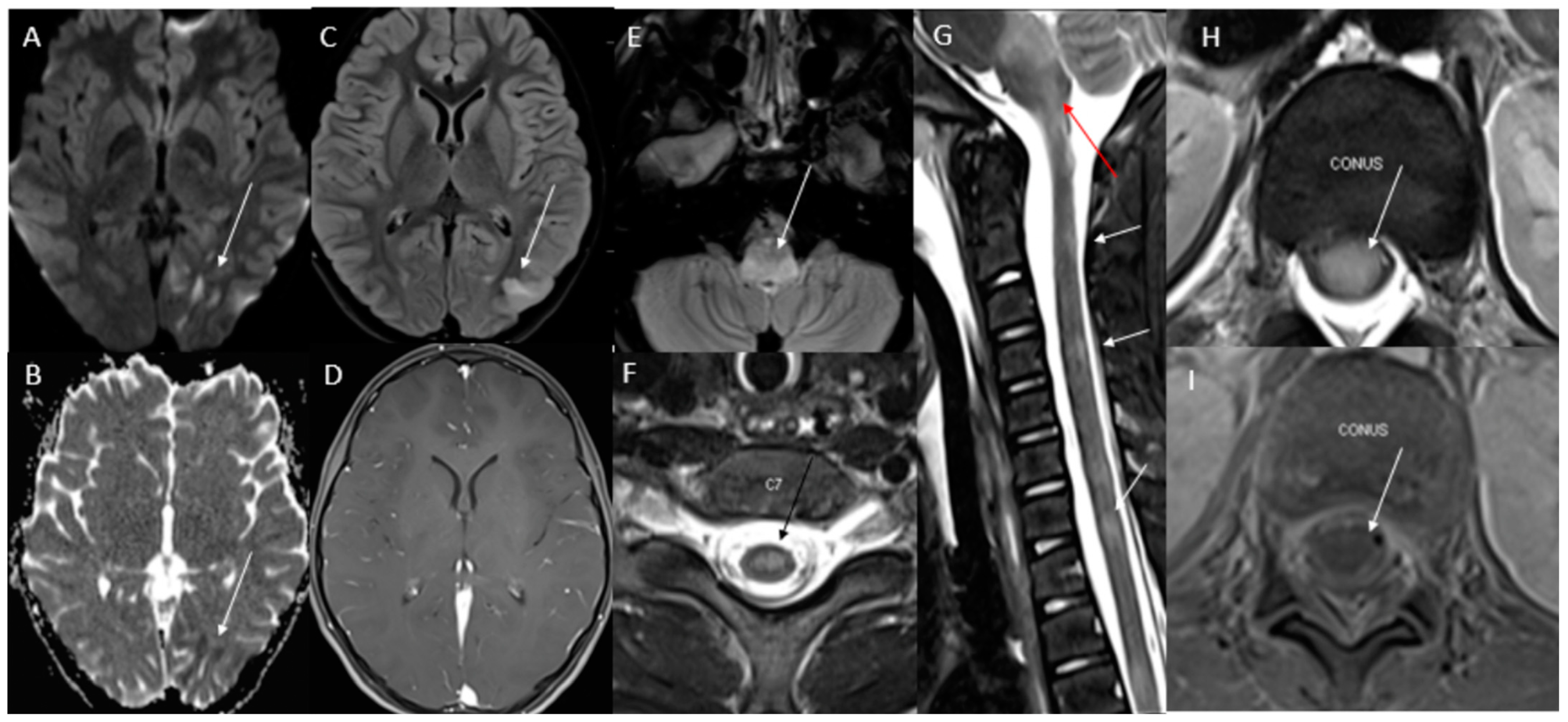
6.2. Neuroimaging Findings and Pathways Affected Leading to Urinary Retention
7. Summary and Conclusions
7.1. Case Summary
7.2. Conclusions and Future Directions
Author Contributions
Funding
Institutional Review Board Statement
Informed Consent Statement
Data Availability Statement
Conflicts of Interest
References
- Savoldi, F.; Kaufmann, T.J.; Flanagan, E.P.; Toledano, M.; Weinshenker, B.G. Elsberg syndrome: A rarely recognized cause of cauda equina syndrome and lower thoracic myelitis. Neurol. Neuroimmunol. Neuroinflamm. 2017, 4, e355. [Google Scholar] [CrossRef] [PubMed]
- Abrams, R.M.C.; Desland, F.; Lehrer, H.; Yeung, A.; Tse, W.; Young, J.J.; Mendu, D.R.; Vickrey, B.G.; Shin, S.C. A Case of Elsberg Syndrome in the Setting of Asymptomatic SARS-CoV-2 Infection. J. Clin. Neuromuscul. Dis. 2021, 22, 228–231. [Google Scholar] [CrossRef] [PubMed]
- Yang, L.S.; Zhang, K.; Zhou, D.F.; Zheng, S.Z.; Zhang, J. Acupuncture for the Elsberg Syndrome Secondary to Varicella-Zoster Virus Infection: A Case Report and Brief Review. J. Acupunct. Meridian Stud. 2022, 15, 152–156. [Google Scholar] [CrossRef] [PubMed]
- Tavanaei, R.; Oraee-Yazdani, M.; Allameh, F.; Eliaspour, D.; Zali, A.R.; Oraee-Yazdani, S. Cauda equina syndrome due to herpes simplex virus type 2-associated meningoradiculitis (Elsberg syndrome) after posterior lumbar spinal fusion surgery: Case report and review of literature. Clin. Neurol. Neurosurg. 2021, 205, 106624. [Google Scholar] [CrossRef] [PubMed]
- Suarez-Calvet, M.; Rojas-Garcia, R.; Querol, L.; Sarmiento, L.M.; Domingo, P. Polyradiculoneuropathy associated to human herpesvirus 2 in an HIV-1-infected patient (Elsberg syndrome): Case report and literature review. Sex. Transm. Dis. 2010, 37, 123–125. [Google Scholar] [CrossRef]
- Choudhury, N.A.; Castrodad-Molina, R.M.; Hutton, J.G.; Cuascut, F.X. Elsberg syndrome following acute immunosuppressive treatment for multiple sclerosis relapse. Mult. Scler. Relat. Disord. 2022, 58, 103498. [Google Scholar] [CrossRef]
- Kawamura, M.; Kaku, H.; Takayama, N.; Ushimi, T.; Kishida, S. Acute urinary retention secondary to aseptic meningoencephalitis in an infant--case report. Brain Nerve 2007, 59, 1287–1291. [Google Scholar]
- Eberhardt, O.; Küker, W.; Dichgans, J.; Weller, M. HSV-2 sacral radiculitis (Elsberg syndrome). Neurology 2004, 63, 758–759. [Google Scholar] [CrossRef]
- Saito, H.; Ebashi, M.; Kushimoto, M.; Ikeda, J.; Egashira, F.; Yamaguchi, S.; Watanabe, K.; Ogawa, K.; Suzuki, Y.; Ishihara, H.; et al. Elsberg syndrome related to varicella zoster virus infection with painless skin lesions in an elderly woman with poorly controlled type 2 diabetes mellitus. Ther. Clin. Risk Manag. 2018, 14, 1951–1954. [Google Scholar] [CrossRef]
- Khan, Z.; Starer, P.; Yang, W.C.; Bhola, A. Analysis of voiding disorders in patients with cerebrovascular accidents. Urology 1990, 35, 265–270. [Google Scholar] [CrossRef]
- Chandiramani, V.A.; Palace, J.; Fowler, C.J. How to recognize patients with parkinsonism who should not have urological surgery. Br. J. Urol. 1997, 80, 100–104. [Google Scholar] [CrossRef] [PubMed]
- Pavlakis, A.J.; Siroky, M.B.; Goldstein, I.; Krane, R.J. Neurourologic findings in Parkinson’s disease. J. Urol. 1983, 129, 80–83. [Google Scholar] [CrossRef] [PubMed]
- Sakakibara, R.; Hattori, T.; Yasuda, K.; Yamanishi, T. Micturitional disturbance and the pontine tegmental lesion: Urodynamic and MRI analyses of vascular cases. J. Neurol. Sci. 1996, 141, 105–110. [Google Scholar] [CrossRef] [PubMed]
- Anderson, K.E. Pharmacology of lower urinary tract smooth muscles and penile erectile tissues. Pharmacol. Rev. 1993, 45, 253–308. [Google Scholar]
- Chancellor, M.B.; Blaivas, J.G. Urological and sexual problems in multiple sclerosis. Clin. Neurosci. 1994, 2, 189–195. [Google Scholar]
- Yoshimura, N.; Chancellor, M.B. Neurophysiology of lower urinary tract function and dysfunction. Rev. Urol. 2003, 5 (Suppl. 8), S3–S10. [Google Scholar]
- Fry, C.H.; Brading, A.F.; Hussain, M.; Lewis, S.A.; Takeda, M.; Tuttle, J.B.; Uvelitus, B.; Wood, D.N.; Drake, M. Cell Biology. In Incontinence; Abrams, P., Cardozo, L., Khoury, S., Wein, A., Eds.; Health Publications Ltd.: Plymouth, UK, 2005; pp. 313–362. [Google Scholar]
- Hattori, T.; Yasuda, K.; Hirayama, K. Disorders of micturition in tabes dorsalis. Br. J. Urol. 1990, 65, 497–499. [Google Scholar] [CrossRef]
- Montgomery, R.G.; Cruickshank, E.K.; Robertson, W.B.; McMenemey, W.H. Clinical And Pathological Observations On Jamaican Neuropathy; A Report On 206 Cases. Brain 1964, 87, 425–462. [Google Scholar] [CrossRef]
- Cruickshank, J.K.; Rudge, P.; Dalgleish, A.G.; Newton, M.; McLean, B.N.; Barnard, R.O.; Kendall, B.E.; Miller, D.H. Tropical spastic paraparesis and human T cell lymphotropic virus type 1 in the United Kingdom. Brain 1989, 112, 1057–1090. [Google Scholar] [CrossRef]
- O’Flynn, K.J.; Murphy, R.; Thomas, D.G. Neurogenic bladder dysfunction in lumbar intervertebral disc prolapse. Br. J. Urol. 1992, 69, 38–40. [Google Scholar] [CrossRef]
- Beh, S.C.; Greenberg, B.M.; Frohman, T.; Frohman, E.M. Transverse myelitis. Neurol. Clin. 2013, 31, 79–138. [Google Scholar] [CrossRef] [PubMed]
- Greitz, D. Unraveling the riddle of syringomyelia. Neurosurg. Rev. 2006, 29, 251–263. [Google Scholar] [CrossRef] [PubMed]
- Mozhgani, S.H.; Piran, M.; Zarei-Ghobadi, M.; Jafari, M.; Jazayeri, S.M.; Mokhtari-Azad, T.; Teymoori-Rad, M.; Valizadeh, N.; Farajifard, H.; Mirzaie, M.; et al. An insight to HTLV-1-associated myelopathy/tropical spastic paraparesis (HAM/TSP) pathogenesis; evidence from high-throughput data integration and meta-analysis. Retrovirology 2019, 16, 46. [Google Scholar] [CrossRef] [PubMed]
- Brodie, E.; Helfert, I.I.; Phifer, I.A. Cystometric observations in asymptomatic neurosyphilis II. J. Urol. 1940, 43, 496–510. [Google Scholar] [CrossRef]
- Garber, S.J.; Christmas, T.J.; Rickards, D. Voiding dysfunction due to neurosyphilis. Br. J. Urol. 1990, 66, 19–21. [Google Scholar] [CrossRef]
- Neal, D.E.; Williams, N.S.; Johnston, D. A prospective study of bladder function before and after sphincter-saving resections for low carcinoma of the rectum. Br. J. Urol. 1981, 53, 558–564. [Google Scholar] [CrossRef]
- Mackenzie, J.S.; Barrett, A.D.T.; Deubel, V. The Japanese encephalitis serological group of flaviviruses: A brief introduction to the group. Curr. Top Microbiol. Immunol. 2002, 267, 1–10. [Google Scholar]
- Chambers, T.J.; Halevy, M.; Nestorowicz, A.; Rice, C.M.; Lustig, S. West Nile virus envelope proteins: Nucleotide sequence analysis of strains differing in mouse neuroinvasiveness. J. Gen. Virol. 1998, 79, 2375–2380. [Google Scholar] [CrossRef]
- Lim, S.M.; Koraka, P.; Osterhaus, A.D.M.E.; Martina, B.E.E. West Nile virus: Immunity and pathogenesis. Viruses 2011, 3, 811–828. [Google Scholar] [CrossRef]
- Nasci, R.S.; Savage, H.M.; White, D.J.; Miller, J.R.; Cropp, B.C.; Godsey, M.S.; Kerst, A.J.; Bennett, P.; Gottfried, K.; Lanciotti, R.S. West Nile virus in overwintering Culex mosquitoes, New York City, 2000. Emerg. Infect. Dis. 2001, 7, 742–744. [Google Scholar] [CrossRef]
- Lanciotti, R.S.; Roehrig, J.T.; Duebel, V.; Smith, J.; Parker, M.; Steele, K.; Crise, B.; Volpe, K.E.; Crabtree, M.B.; Scherret, J.H.; et al. Origin of the West Nile virus responsible for an outbreak of encephalitis in the northeastern United States. Science 1999, 286, 2333–2337. [Google Scholar] [CrossRef] [PubMed]
- Centers for Disease Control and Prevention. Update: Surveillance for West Nile virus in overwintering mosquitoes—New York, 2000. MMWR Morb. Mortal. Wkly. Rep. 2000, 49, 178–179. [Google Scholar]
- Lindsey, N.P.; Hayes, E.B.; Staples, J.E.; Fischer, M. West Nile virus disease in children, United States, 1999–2007. Pediatrics 2009, 123, e1084–e1089. [Google Scholar] [CrossRef]
- Ravindra, K.V.; Freifeld, A.G.; Kalil, A.C.; Mercer, D.F.; Grant, W.J.; Botha, J.F.; Wrenshall, L.E.; Stevens, R.B. West Nile virus-associated encephalitis in recipients of renal and pancreas transplants: Case series and literature review. Clin. Infect. Dis. 2004, 38, 1257–1260. [Google Scholar] [CrossRef] [PubMed]
- Sejvar, J.J.; Curns, A.T.; Welburg, L.; Jones, J.J.; Lundgren, L.M.; Capuron, L.; Pape, J.; Reeves, W.C.; Campbel, G.L. Neurocognitive and functional outcomes in persons recovering from West Nile virus illness. J. Neuropsychol. 2008, 2, 477–499. [Google Scholar] [CrossRef] [PubMed]
- Sejvar, J.J.; Haddad, M.B.; Tierney, B.C.; Campbell, G.L.; Marfin, A.A.; Van Gerpen, J.A.; Fleischauer, A.; Leis, A.A.; Stokic, D.S.; Petersen, L.R. Neurologic manifestations and outcome of West Nile virus infection. JAMA 2003, 290, 511–515. [Google Scholar] [CrossRef] [PubMed]
- Kulstad, E.B.; Wichter, M.D. West Nile encephalitis presenting as a stroke. Ann. Emerg. Med. 2003, 41, 283. [Google Scholar] [CrossRef]
- Sejvar, J.J.; Bode, A.V.; Marfin, A.A.; Campbell, G.L.; Ewing, D.; Mazowiecki, M.; Pavot, P.V.; Schmitt, J.; Pape, J.; Biggerstaff, B.J.; et al. West Nile virus-associated flaccid paralysis. Emerg. Infect. Dis. 2005, 11, 1021–1027. [Google Scholar] [CrossRef]
- Sakakibara, R.; Kishi, M.; Tsuyusaki, Y.; Tateno, A.; Tateno, F.; Uchiyama, T.; Yamamoto, T.; Yamanishi, T.; Yano, M. Meningitis-retention syndrome: A review. Neurourol. Urodyn. 2013, 32, 19–23. [Google Scholar] [CrossRef]
- Tascilar, N.; Aydemir, H.; Emre, U.; Unal, A.; Atasoy, H.T.; Ekem, S. Unusual combination of reversible splenial lesion and meningitis-retention syndrome in aseptic meningomyelitis. Clinics (Sao Paulo) 2009, 64, 932–937. [Google Scholar] [CrossRef]
- Sakakibara, R.; Uchiyama, T.; Liu, Z.; Yamamoto, T.; Ito, T.; Uzawa, A.; Suenaga, T.; Kanai, K.; Awa, Y.; Sugiyama, Y.; et al. Meningitis-retention syndrome. An unrecognized clinical condition. J. Neurol. 2005, 252, 1495–1499. [Google Scholar] [CrossRef] [PubMed]
- Zenda, T.; Soma, R.; Muramoto, H.; Hayase, H.; Orito, M.; Okada, T.; Mabuchi, H.; Okino, S. Acute urinary retention as an unusual manifestation of aseptic meningitis. Intern. Med. 2002, 41, 392–394. [Google Scholar] [CrossRef] [PubMed]
- Kavia, R.B.; Dasgupta, R.; Fowler, C.J. Functional imaging and the central control of the bladder. J. Comp. Neurol. 2005, 493, 27–32. [Google Scholar] [CrossRef] [PubMed]
- Khavari, R.; Boone, T.B. Functional brain imaging in voiding dysfunction. Curr. Bladder. Dysfunct. Rep. 2019, 14, 24–30. [Google Scholar] [CrossRef] [PubMed]
- Deleu, D.; El Siddij, A.; Kamran, S.; Hamad, A.; Salim, K. Urinary retention associated with mild rhombencephalitis. J. Neurol. Neurosurg. Psychiatry 2004, 75, 1505–1506. [Google Scholar] [CrossRef]




| Pathologies | Localization | Associated Symptoms/Features |
|---|---|---|
| Transverse myelitis | Spinal cord | Bowel and bladder dysfunction, rapid onset weakness, and sensory deficits |
| Multiple sclerosis | Central nervous system/spinal cord | Urgency and detrusor hyperreflexia |
| Cervical myelopathy | Spinal cord | Detrusor hyperreflexia and detrusor sphincter dyssynergia |
| Syringomyelia | Spinal cord | Can cause progressive spinal cord dysfunction |
| Tropical spastic paraparesis | Spinal cord | Back pain and detrusor hyperreflexia |
| Neurosyphilis | Brain/spinal cord | Areflexic and hyposensitive bladder |
| Diabetic cystopathy | Peripheral nervous system | Often asymptomatic |
| Guillain–Barré syndrome | Peripheral nervous system | Detrusor areflexia, bladder overactivity, and can cause painful retention |
| Pelvic nerve injury | Peripheral nervous system | Poor stream, loss of normal bladder sensation, and lasting painless retention |
| Myotonic dystrophy | Skeletal and smooth muscle | Involves bladder smooth muscle |
| Elsberg Syndrome | Meningitis Retention Syndrome | |
|---|---|---|
| Urinary retention/constipation/pelvic floor dysfunction | + | + |
| Impaired sensation during filling phase | + | + |
| Underactive detrusor muscle | + | + |
| Meningitis symptoms | +/− | + |
| Fever | +/− | + |
| CSF analysis | +/− | + |
| Herpetic skin lesion | + | − |
| Sensory paresthesias/hypoesthesia | + | − |
| Muscle weakness | + | − |
| Lower back pain due to radiculitis | + | − |
| Evidence of lumbosacral radiculitis with concomitant thoracic and lumbosacral myelitis on neuroimaging | + | − |
Disclaimer/Publisher’s Note: The statements, opinions and data contained in all publications are solely those of the individual author(s) and contributor(s) and not of MDPI and/or the editor(s). MDPI and/or the editor(s) disclaim responsibility for any injury to people or property resulting from any ideas, methods, instructions or products referred to in the content. |
© 2023 by the authors. Licensee MDPI, Basel, Switzerland. This article is an open access article distributed under the terms and conditions of the Creative Commons Attribution (CC BY) license (https://creativecommons.org/licenses/by/4.0/).
Share and Cite
Hsu, M.; El Seblani, N.; Zhu, Z.; Ramisetty, B.; Day, C.; Zachariah, J.; Kaur, D.; Kumar, A.; Paudel, S.; Paul, D.; et al. Elsberg Syndrome with Mixed Presentation as Meningitis Retention Syndrome: A Pediatric Case Report and Comprehensive Review of the Literature. Children 2023, 10, 724. https://doi.org/10.3390/children10040724
Hsu M, El Seblani N, Zhu Z, Ramisetty B, Day C, Zachariah J, Kaur D, Kumar A, Paudel S, Paul D, et al. Elsberg Syndrome with Mixed Presentation as Meningitis Retention Syndrome: A Pediatric Case Report and Comprehensive Review of the Literature. Children. 2023; 10(4):724. https://doi.org/10.3390/children10040724
Chicago/Turabian StyleHsu, Mandy, Nader El Seblani, Zahra Zhu, Bhuvaneswari Ramisetty, Christopher Day, Jikku Zachariah, Divpreet Kaur, Ashutosh Kumar, Sita Paudel, Dustin Paul, and et al. 2023. "Elsberg Syndrome with Mixed Presentation as Meningitis Retention Syndrome: A Pediatric Case Report and Comprehensive Review of the Literature" Children 10, no. 4: 724. https://doi.org/10.3390/children10040724
APA StyleHsu, M., El Seblani, N., Zhu, Z., Ramisetty, B., Day, C., Zachariah, J., Kaur, D., Kumar, A., Paudel, S., Paul, D., Kochar, P. S., Carney, P. R., & Naik, S. (2023). Elsberg Syndrome with Mixed Presentation as Meningitis Retention Syndrome: A Pediatric Case Report and Comprehensive Review of the Literature. Children, 10(4), 724. https://doi.org/10.3390/children10040724

