“Multisystem Inflammatory Syndrome in Children”-Like Disease after COVID-19 Vaccination (MIS-V) with Potential Significance of Functional Active Autoantibodies Targeting G-Protein-Coupled Receptors (GPCR-fAAb) for Pathophysiology and Therapy
Abstract
:1. Introduction
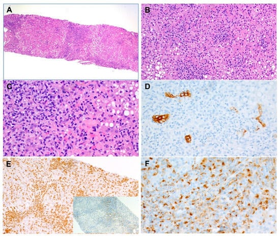
2. Case Presentation
Symptoms at First Visit
3. Discussion
4. Conclusions
Supplementary Materials
Author Contributions
Funding
Institutional Review Board Statement
Informed Consent Statement
Data Availability Statement
Conflicts of Interest
Abbreviations
References
- Lee, I.T.; Lin, P.J.; Yen, H.H. Pediatric Neuroimaging Findings and Clinical Presentations of COVID-19: A Systematic Review. Int. J. Infect. Dis. 2023. online ahead of print. [Google Scholar] [CrossRef]
- Cersosimo, A.; Di Pasquale, M.; Arabia, G.; Metra, M.; Vizzardi, E. COVID myocarditis: A review of the literature. Monaldi Arch. Chest Dis. 2023. online ahead of print. [Google Scholar] [CrossRef] [PubMed]
- Magar, S.T.; Gyawali, B.R. Otorhinolaryngological and Ophthalmological Manifestations of COVID-19 in the Pediatric Population. JNMA J. Nepal. Med. Assoc. 2020, 58, 1093–1096. [Google Scholar] [CrossRef]
- Ciechanowicz, P.; Dopytalska, K.; Szczerba, M.; Szymańska, E.; Walecka, I. Dermatological manifestations of the Coronavirus disease 2019 in children: A systemic review. Postep. Dermatol. Alergol. 2022, 39, 491–508. [Google Scholar] [CrossRef]
- Gurugubelli, K.R.; Bhat, B.V. Coronavirus Disease 2019 Infection among Children: Pathogenesis, Treatment, and Outcome. J. Pediatr. Intensive Care 2021, 10, 167–173. [Google Scholar] [CrossRef]
- Castaldo, P.; d’Alanno, G.; Biserni, G.B.; Moratti, M.; Conti, F.; Fabi, M.; Lanari, M. Exploring Factors Influencing Changes in Incidence and Severity of Multisystem Inflammatory Syndrome in Children. Pathogens 2023, 12, 997. [Google Scholar] [CrossRef] [PubMed]
- Bregel, L.V.; Efremova, O.S.; Kostyunin, K.Y.; Rudenko, N.Y.; Kozlov, Y.A.; Albot, V.V.; Knyzeva, N.A.; Tolmacheva, O.V.; Ovanesyan, S.V.; Barakin, A.O.; et al. Thrombosis in Multisystem Inflammatory Syndrome Associated with COVID-19 in Children: Retrospective Cohort Study Analysis and Review of the Literature. Biomedicines 2023, 11, 2206. [Google Scholar] [CrossRef]
- Oragui, C.C. Cardiovascular Manifestations of Multisystem Inflammatory Syndrome in Children (MIS-C) Associated with COVID-19. Cureus 2023, 15, e41950. [Google Scholar] [CrossRef]
- Shati, A.A.; Mahmood, S.E.; Alsuheel Asseri, A.; Alhanshani, A.A.; Alqahtani, Y.A.; Ahmad, A. SARS-CoV-2 infections and MIS-C among children: A narrative review. Medicine 2023, 102, e34475. [Google Scholar] [CrossRef] [PubMed]
- Ghazizadeh Esslami, G.; Mamishi, S.; Pourakbari, B.; Mahmoudi, S. Systematic review and meta-analysis on the serological, immunological, and cardiac parameters of the multisystem inflammatory syndrome (MIS-C) associated with SARS-CoV-2 infection. J. Med. Virol. 2023, 95, e28927. [Google Scholar] [CrossRef]
- Yousaf, A.R.; Cortese, M.M.; Taylor, A.W.; Broder, K.R.; Oster, M.E.; Wong, J.M.; Guh, A.Y.; McCormick, D.W.; Kamidani, S.; Schlaudecker, E.P.; et al. Reported cases of multisystem inflammatory syndrome in children aged 12–20 years in the USA who received a COVID-19 vaccine, December, 2020, through August, 2021: A surveillance investigation. Lancet Child Adolesc. Health 2022, 6, 303–312. [Google Scholar] [CrossRef]
- McGann, P.H.; Krim, A.O.; Green, J.; Venturas, J. Multi inflammatory syndrome in a 16-year-old male following first dose of m-RNA COVID-19 vaccination. Clin. Infect. Pract. 2022, 14, 100139. [Google Scholar] [CrossRef]
- Nune, A.; Iyengar, K.P.; Goddard, C.; Ahmed, A.E. Multisystem inflammatory syndrome in an adult following the SARS-CoV-2 vaccine (MIS-V). BMJ Case Rep. 2021, 14, e243888. [Google Scholar] [CrossRef]
- Elsaid, M.; Nune, A.; Hesham, D.; Fouad, F.M.; Hassan, H.; Hamouda, H.; Sherif, H.; Abdelwahab, M.M.; Hegazi, N.; El-Rahman, Y.A. Multisystem Inflammatory Syndrome (MIS) following SARS-CoV-2 vaccinations: A systematic review. Trop. Dis. Travel Med. Vaccines 2023, 9, 19. [Google Scholar] [CrossRef]
- Wallukat, G.; Hohberger, B.; Wenzel, K.; Fürst, J.; Schulze-Rothe, S.; Wallukat, A.; Hönicke, A.-S.; Müller, J. Functional autoantibodies against G-protein coupled receptors in patients with persistent Long-COVID-19 symptoms. J. Transl. Autoimmun. 2021, 4, 100100. [Google Scholar] [CrossRef]
- Asher, A.; Tintle, N.L.; Myers, M.; Lockshon, L.; Bacareza, H.; Harris, W.S. Blood omega-3 fatty acids and death from COVID-19: A pilot study. Prostaglandins Leukot. Essent. Fat. Acids 2021, 166, 102250. [Google Scholar] [CrossRef]
- Poggioli, R.; Hirani, K.; Jogani, V.G.; Ricordi, C. Modulation of inflammation and immunity by omega-3 fatty acids: A possible role for prevention and to halt disease progression in autoimmune, viral, and age-related disorders. Eur. Rev. Med. Pharmacol. Sci. 2023, 27, 7380–7400. [Google Scholar] [CrossRef]
- Kim, J.S.; Soto-Diaz, K.; Bingham, T.W.; Steelman, A.J.; Das, A. Role of omega-3 endocannabinoids in the modulation of T-cell activity in a multiple sclerosis experimental autoimmune encephalomyelitis (EAE) model. J. Biol. Chem. 2023, 299, 102886. [Google Scholar] [CrossRef]
- Mokhtari, T.; Hassani, F.; Ghaffari, N.; Ebrahimi, B.; Yarahmadi, A.; Hassanzadeh, G. COVID-19 and multiorgan failure: A narrative review on potential mechanisms. Histochem. J. 2020, 51, 613–628. [Google Scholar] [CrossRef] [PubMed]
- Krishnamoorthy, Y.; Karunakaran, M.; Ganesh, K.; Hariharan, V.S. Association between acute liver injury & severity and mortality of COVID-19 patients: A systematic review and meta-analysis. Heliyon 2023, 9, e20338. [Google Scholar] [CrossRef]
- Forero, K.; Buqaileh, R.; Sunderman, C.; AbouAlaiwi, W. COVID-19 and Neurological Manifestations. Brain Sci. 2023, 13, 1137. [Google Scholar] [CrossRef]
- Bilehjani, E.; Fakhari, S.; Farzin, H.; Tajlil, A.; Nader, N.D. Diagnosis and treatment of cardiovascular manifestations of COVID-19: A narrative review. Acta Cardiol. 2023. online ahead of print. [Google Scholar] [CrossRef]
- Tyagi, K.; Rai, P.; Gautam, A.; Kaur, H.; Kapoor, S.; Suttee, A.; Jaiswal, P.K.; Sharma, A.; Singh, G.; Barnwal, R.P. Neurological manifestations of SARS-CoV-2: Complexity, mechanism and associated disorders. Eur. J. Med. Res. 2023, 28, 307. [Google Scholar] [CrossRef] [PubMed]
- Hossain, B.; Malik, F.; Khan, A.; Abidi, M.; Marhaba, A.; Oranu, A.; Shumeyko, M.; Hila, A.; Banks, L.; Patel, O.A.; et al. Prevalence and Impact of Gastrointestinal Manifestations in COVID-19 Patients: A Systematic Review. J. Community Hosp. Intern. Med. Perspect. 2023, 13, 39–54. [Google Scholar] [CrossRef]
- Vaňková, L.; Bufka, J.; Křížková, V. Pathophysiological and clinical point of view on Kawasaki disease and MIS-C. Pediatr. Neonatol. 2023, 64, 495–504. [Google Scholar] [CrossRef]
- Yasuhara, J.; Watanabe, K.; Takagi, H.; Sumitomo, N.; Kuno, T. COVID-19 and multisystem inflammatory syndrome in children: A systematic review and meta-analysis. Pediatr. Pulmonol. 2021, 56, 837–848. [Google Scholar] [CrossRef]
- Stasiak, A.; Perdas, E.; Smolewska, E. Risk factors of a severe course of pediatric multi-system inflammatory syndrome temporally associated with COVID-19. Eur. J. Pediatr. 2022, 181, 3733–3738. [Google Scholar] [CrossRef]
- Kundu, A.; Maji, S.; Kumar, S.; Bhattacharya, S.; Chakraborty, P.; Sarkar, J. Clinical aspects and presumed etiology of multisystem inflammatory syndrome in children (MIS-C): A review. Clin. Epidemiol. Glob. Health 2022, 14, 100966. [Google Scholar] [CrossRef]
- Santos, M.O.; Gonçalves, L.C.; Silva, P.A.; Moreira, A.L.; Ito, C.R.; Peixoto, F.A.O.; Wastowski, I.J.; Carneiro, L.C.; Avelino, M.A. Multisystem inflammatory syndrome (MIS-C): A systematic review and meta-analysis of clinical characteristics, treatment, and outcomes. J. Pediatr. 2021, 98, 338–349. [Google Scholar] [CrossRef]
- World Health Organisation. Multisystem Inflammatory Syndrome in Children and Adolescents with COVID-19; World Health Organisation: Geneva, Switzerland, 2020. [Google Scholar]
- Karatzios, C.; Scuccimarri, R.; Chédeville, G.; Basfar, W.; Bullard, J.; Stein, D.R. Multisystem Inflammatory Syndrome following SARS-CoV-2 Vaccination in Two Children. Pediatrics 2022, 150, e2021055956. [Google Scholar] [CrossRef]
- Scheibenbogen, C.; Bellmann-Strobl, J.T.; Heindrich, C.; Wittke, K.; Stein, E.; Franke, C.; Prüss, H.; Preßler, H.; Machule, M.L.; Audebert, H.; et al. Fighting Post-COVID and ME/CFS—Development of curative therapies. Front. Med. 2023, 10, 1194754. [Google Scholar] [CrossRef]
- Sotzny, F.; Filgueiras, I.S.; Kedor, C.; Freitag, H.; Wittke, K.; Bauer, S.; Sepúlveda, N.; Mathias da Fonseca, D.L.; Baiocchi, G.C.; Marques, A.H.C.; et al. Dysregulated autoantibodies targeting vaso- and immunoregulatory receptors in Post COVID Syndrome correlate with symptom severity. Front. Immunol. 2022, 13, 981532. [Google Scholar] [CrossRef]
- Mobasheri, L.; Nasirpour, M.H.; Masoumi, E.; Azarnaminy, A.F.; Jafari, M.; Esmaeili, S.-A. SARS-CoV-2 triggering autoimmune diseases. Cytokine 2022, 154, 155873. [Google Scholar] [CrossRef]
- Liu, Y.; Sawalha, A.H.; Lu, Q. COVID-19 and autoimmune diseases. Curr. Opin. Rheumatol. 2021, 33, 155–162. [Google Scholar] [CrossRef]
- Keka-Sylaj, A.; Ramosaj, A.; Baloku, A.; Zogaj, L.; Gjaka, P. Multisystem Inflammatory Syndrome in Children (MIS-C), Possibly Due to COVID-19 mRNA Vaccination. Vaccines 2023, 11, 956. [Google Scholar] [CrossRef]
- Giannotta, G.; Murrone, A.; Giannotta, N. COVID-19 mRNA Vaccines: The Molecular Basis of Some Adverse Events. Vaccines 2023, 11, 747. [Google Scholar] [CrossRef] [PubMed]
- Dotan, A.; Muller, S.; Kanduc, D.; David, P.; Halpert, G.; Shoenfeld, Y. The SARS-CoV-2 as an instrumental trigger of autoimmunity. Autoimmun. Rev. 2021, 20, 102792. [Google Scholar] [CrossRef]
- Urena Neme, A.P.; De Camps Martinez, E.R.; Matos Noboa, C.; Guerra, M.A.R.; Ureña, P.; Velasquez, P.E.U. Reversible Autoimmune Cardiomyopathy Secondary to a Vaccine-Induced Multisystem Inflammatory Syndrome. Cureus 2022, 14, e25170. [Google Scholar] [CrossRef]
- Santilli, V.; Manno, E.C.; Giancotta, C.; Rossetti, C.; Cotugno, N.; Amodio, D.; Rotulo, G.A.; Deodati, A.; Bianchi, R.; Lucignani, G.; et al. Two Pediatric Cases of Multisystem Inflammatory Syndrome with Overlapping Neurological Involvement following SARS-CoV-2 Vaccination and Unknown SARS-CoV2 Infection: The Importance of Pre-Vaccination History. Vaccines 2022, 10, 1136. [Google Scholar] [CrossRef]
- Chang, R.; Chen, T.Y.-T.; Wang, S.-I.; Hung, Y.-M.; Chen, H.-Y.; Wei, C.-C.J. Risk of autoimmune diseases in patients with COVID-19: A retrospective cohort study. eClinicalMedicine 2023, 56, 101783. [Google Scholar] [CrossRef]
- Hébert, S.; Schmidt, M.; Wallukat, G.; Ponader, R.; Topf, G.; Rieger, D.; Klinge, J.; Vermehren, J.; Fusch, C.; Grillhoesl, C.; et al. Multisystem Inflammatory Syndrome in Children” (MIS-C) after COVID-19 infection in the Metropolitan Area Nuremberg-Erlangen with a case of MIS-C like disease following SARS-CoV-2 mRNA vaccination. Z. Geburtshilfe Neonatol. 2023, 227, e76–e77. [Google Scholar]
- Buchhorn, R.; Meyer, C.; Schulze-Forster, K.; Junker, J.; Heidecke, H. Autoantibody Release in Children after Corona Virus mRNA Vaccination: A Risk Factor of Multisystem Inflammatory Syndrome? Vaccines 2021, 9, 1353. [Google Scholar] [CrossRef]
- Hohberger, B.; Ganslmayer, M.; Lucio, M.; Kruse, F.; Hoffmanns, J.; Moritz, M.; Rogge, L.; Heltmann, F.; Szewczykowski, C.; Fürst, J.; et al. Retinal Microcirculation as a Correlate of a Systemic Capillary Impairment after Severe Acute Respiratory Syndrome Coronavirus 2 Infection. Front. Med. 2021, 8, 676554. [Google Scholar] [CrossRef]
- Kell, D.B.; Pretorius, E. Are fibrinaloid microclots a cause of autoimmunity in Long COVID and other post-infection diseases? Biochem. J. 2023, 480, 1217–1240. [Google Scholar] [CrossRef]
- Hohberger, B.; Hosari, S.; Wallukat, G.; Kunze, R.; Krebs, J.; Müller, M.; Hennig, T.; Lämmer, R.; Horn, F.; Muñoz, L.E.; et al. Agonistic autoantibodies against ß2-adrenergic receptor influence retinal microcirculation in glaucoma suspects and patients. PLoS ONE 2021, 16, e0249202. [Google Scholar] [CrossRef]
- Hohberger, B.; Harrer, T.; Mardin, C.; Kruse, F.; Hoffmanns, J.; Rogge, L.; Heltmann, F.; Moritz, M.; Szewczykowski, C.; Schottenhamml, J.; et al. Case Report: Neutralization of Autoantibodies Targeting G-Protein-Coupled Receptors Improves Capillary Impairment and Fatigue Symptoms after COVID-19 Infection. Front. Med. 2021, 8, 754667. [Google Scholar] [CrossRef]
- Lukitsch, I.; Kehr, J.; Chaykovska, L.; Wallukat, G.; Nieminen-Kelhä, M.; Batuman, V.; Dragun, D.; Gollasch, M. Renal ischemia and transplantation predispose to vascular constriction mediated by angiotensin II type 1 receptor-activating antibodies. Transplantation 2012, 94, 8–13. [Google Scholar] [CrossRef]
- Okruhlicova, L.; Morwinski, R.; Schulze, W.; Bartel, S.; Weismann, P.; Tribulova, N.; Wallukat, G. Autoantibodies against G-protein-coupled receptors modulate heart mast cells. Cell Mol. Immunol. 2007, 4, 127–133. [Google Scholar] [PubMed]



Disclaimer/Publisher’s Note: The statements, opinions and data contained in all publications are solely those of the individual author(s) and contributor(s) and not of MDPI and/or the editor(s). MDPI and/or the editor(s) disclaim responsibility for any injury to people or property resulting from any ideas, methods, instructions or products referred to in the content. |
© 2023 by the authors. Licensee MDPI, Basel, Switzerland. This article is an open access article distributed under the terms and conditions of the Creative Commons Attribution (CC BY) license (https://creativecommons.org/licenses/by/4.0/).
Share and Cite
Schmidt, M.; Hébert, S.; Wallukat, G.; Ponader, R.; Krickau, T.; Galiano, M.; Reutter, H.; Woelfle, J.; Agaimy, A.; Mardin, C.; et al. “Multisystem Inflammatory Syndrome in Children”-Like Disease after COVID-19 Vaccination (MIS-V) with Potential Significance of Functional Active Autoantibodies Targeting G-Protein-Coupled Receptors (GPCR-fAAb) for Pathophysiology and Therapy. Children 2023, 10, 1836. https://doi.org/10.3390/children10121836
Schmidt M, Hébert S, Wallukat G, Ponader R, Krickau T, Galiano M, Reutter H, Woelfle J, Agaimy A, Mardin C, et al. “Multisystem Inflammatory Syndrome in Children”-Like Disease after COVID-19 Vaccination (MIS-V) with Potential Significance of Functional Active Autoantibodies Targeting G-Protein-Coupled Receptors (GPCR-fAAb) for Pathophysiology and Therapy. Children. 2023; 10(12):1836. https://doi.org/10.3390/children10121836
Chicago/Turabian StyleSchmidt, Marius, Steven Hébert, Gerd Wallukat, Rolf Ponader, Tobias Krickau, Matthias Galiano, Heiko Reutter, Joachim Woelfle, Abbas Agaimy, Christian Mardin, and et al. 2023. "“Multisystem Inflammatory Syndrome in Children”-Like Disease after COVID-19 Vaccination (MIS-V) with Potential Significance of Functional Active Autoantibodies Targeting G-Protein-Coupled Receptors (GPCR-fAAb) for Pathophysiology and Therapy" Children 10, no. 12: 1836. https://doi.org/10.3390/children10121836
APA StyleSchmidt, M., Hébert, S., Wallukat, G., Ponader, R., Krickau, T., Galiano, M., Reutter, H., Woelfle, J., Agaimy, A., Mardin, C., Hoerning, A., & Hohberger, B. (2023). “Multisystem Inflammatory Syndrome in Children”-Like Disease after COVID-19 Vaccination (MIS-V) with Potential Significance of Functional Active Autoantibodies Targeting G-Protein-Coupled Receptors (GPCR-fAAb) for Pathophysiology and Therapy. Children, 10(12), 1836. https://doi.org/10.3390/children10121836

