Lengthening Patients Previously Treated for Massive Lower Limb Reconstruction for Bone Tumors with the PRECICE 2 Nail
Abstract
:1. Introduction
2. Materials and Methods
2.1. Planning
- Tumor involving proximal and distal femur, or distal tibia: lengthening was performed on the affected bone opposite to the previous surgery.
- Tumor involving proximal tibia: lengthening was performed on the proximal femur.
- Tumor involving the pelvis: lengthening was performed distally to the femur.
2.2. Patients
- 1 mm per day in 3 steps of 0.33 mm for femoral lengthening or, in cases of planned lengthening, <6 cm;
- 0.66 mm per day in 2 steps of 0.33 mm for tibial lengthening or, in cases of planned lengthening, >6 cm.
2.3. Follow-Up
- Problem (postoperative difficulty that resolved completely without intervention);
- Obstacle (difficulty that required surgery yet resolved completely afterward);
- True complication (intra- or postoperative complication that remained unresolved even after treatment was completed).
- Union;
- Infection;
- Residual deformity;
- Limb length discrepancy.
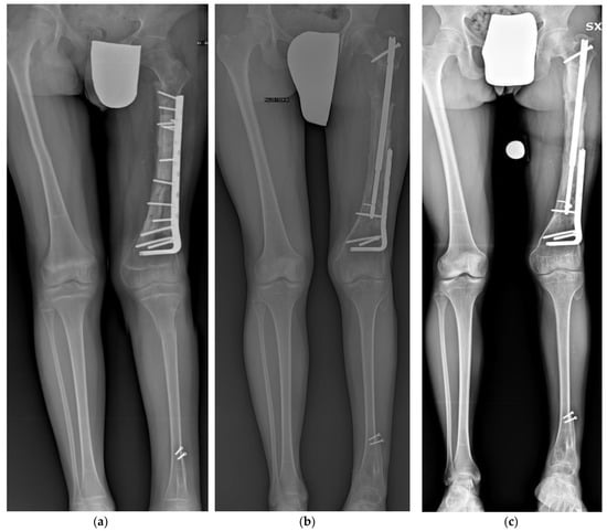
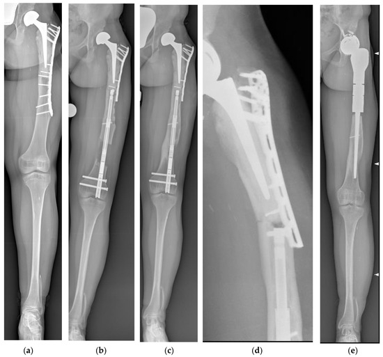
3. Results
3.1. Lengthening
3.2. Role of Chemotherapy
3.3. Difficulties
3.4. Problems
3.5. Obstacles
3.6. Complications
4. Discussion
4.1. Limitations
4.2. Lengthening
4.3. Role of Chemotherapy
4.4. Difficulties
- Failure of the distraction mechanism;
- Failure of the nail’s integrity;
- Complication related to the previous treatment for a bone tumor.
5. Conclusions
Author Contributions
Funding
Institutional Review Board Statement
Informed Consent Statement
Data Availability Statement
Acknowledgments
Conflicts of Interest
References
- Gulabi, D.; Erdem, M.; Bulut, G.; Avci, C.C.; Asci, M. Ipsilateral Distal Femoral and Proximal Tibial Epiphyseal Growth Plate Injury: A Case Report. J. Med. Case Rep. 2013, 7, 146. [Google Scholar] [CrossRef] [PubMed]
- Dorfman, H.D.; Czerniak, B. Bone Cancers. Cancer 1995, 75, 203–210. [Google Scholar] [CrossRef] [PubMed]
- Lewis, V.O. Limb Salvage in the Skeletally Immature Patient. Curr. Oncol. Rep. 2005, 7, 285–292. [Google Scholar] [CrossRef]
- Manfrini, M.; Donati, D.; Colangeli, M.; Campanacci, L. Resurfaced Allograft-Prosthetic Composite for Proximal Tibial Reconstruction in Children. JBJS Essent Surg. Tech 2016, 6, e4. [Google Scholar] [CrossRef] [PubMed]
- Groundland, J.S.; Ambler, S.B.; Houskamp, L.D.J.; Orriola, J.J.; Binitie, O.T.; Letson, G.D. Surgical and Functional Outcomes after Limb-Preservation Surgery for Tumor in Pediatric Patients: A Systematic Review. JBJS Rev. 2016, 4, e2. [Google Scholar] [CrossRef]
- Simpson, A.H.; Cole, A.S.; Kenwright, J. Leg Lengthening over an Intramedullary Nail. J. Bone Jt. Surg. Br. Vol. 1999, 81B, 1041–1045. [Google Scholar] [CrossRef]
- Raschke, M.J.; Mann, J.W.; Oedekoven, G.; Claudi, B.F. Segmental Transport after Unreamed Intramedullary Nailing. Preliminary Report of a “Monorail” System. Clin. Orthop. Relat. Res. 1992, 282, 233–240. [Google Scholar]
- Simpson, A.H.; Kenwright, J. Fracture after Distraction Osteogenesis. J. Bone Jt. Surg. Br. Vol. 2000, 82B, 659–665. [Google Scholar] [CrossRef]
- Herzenberg, J.E.; Scheufele, L.L.; Paley, D.; Bechtel, R.; Tepper, S. Knee Range of Motion in Isolated Femoral Lengthening. Clin. Orthop. Relat. Res. 1994, 301, 49–54. [Google Scholar] [CrossRef]
- Richard, H.M.; Nguyen, D.C.; Birch, J.G.; Roland, S.D.; Samchukov, M.K.; Cherkashin, A.M. Clinical Implications of Psychosocial Factors on Pediatric External Fixation Treatment and Recommendations. Clin. Orthop. Relat. Res. 2015, 473, 3154–3162. [Google Scholar] [CrossRef]
- Wang, K.; Edwards, E. Intramedullary Skeletal Kinetic Distractor in the Treatment of Leg Length Discrepancy—A Review of 16 Cases and Analysis of Complications. J. Orthop. Trauma 2012, 26, e138–e144. [Google Scholar] [CrossRef] [PubMed]
- Cole, J.D.; Justin, D.; Kasparis, T.; DeVlught, D.; Knobloch, C. The Intramedullary Skeletal Kinetic Distractor (ISKD): First Clinical Results of a New Intramedullary Nail for Lengthening of the Femur and Tibia. Injury 2001, 32 (Suppl. S4), SD129–SD139. [Google Scholar] [CrossRef] [PubMed]
- Singh, S.; Lahiri, A.; Iqbal, M. The Results of Limb Lengthening by Callus Distraction Using an Extending Intramedullary Nail (Fitbone) in Non-Traumatic Disorders. J. Bone Jt. Surg. Br. Vol. 2006, 88B, 938–942. [Google Scholar] [CrossRef] [PubMed]
- Baumgart, R.; Betz, A.; Schweiberer, L. A Fully Implantable Motorized Intramedullary Nail for Limb Lengthening and Bone Transport. Clin. Orthop. Relat. Res. 1997, 343, 135–143. [Google Scholar] [CrossRef]
- Guichet, J.-M.; Deromedis, B.; Donnan, L.T.; Peretti, G.; Lascombes, P.; Bado, F. Gradual Femoral Lengthening with the Albizzia Intramedullary Nail. J. Bone Jt. Surg. Am. 2003, 85, 838–848. [Google Scholar] [CrossRef]
- Paley, D. Problems, Obstacles, and Complications of Limb Lengthening by the Ilizarov Technique. Clin. Orthop. Relat. Res. 1990, 250, 81–104. [Google Scholar] [CrossRef]
- Paley, D. PRECICE Intramedullary Limb Lengthening System. Expert Rev. Med. Devices 2015, 12, 231–249. [Google Scholar] [CrossRef]
- Muratori, F.; Scoccianti, G.; Beltrami, G.; Matera, D.; Capanna, R.; Campanacci, D.A. Is an Intramedullary Nail a Valid Treatment for Limb-Length Discrepancy after Bone Tumor Resection? Case Descriptions. Surg. Technol. Int. 2018, 33, 281–288. [Google Scholar]
- Riganti, S.; Nasto, L.A.; Mannino, S.; Marrè Brunenghi, G.; Boero, S. Correction of Complex Lower Limb Angular Deformities with or without Length Discrepancy in Children Using the TL-HEX Hexapod System: Comparison of Clinical and Radiographical Results. J. Pediatr. Orthop. B 2019, 28, 214–220. [Google Scholar] [CrossRef]
- Merchan, N.; Narvel, R.I.; Gitajn, I.L.; Henderson, E.R. Use of the PRECICE Nail for Distraction Osteogenesis after Tumor Resection. Expert Rev. Med. Devices 2022, 19, 469–475. [Google Scholar] [CrossRef]
- Abdel-Ghani, H.; Ebeid, W.; El-Barbary, H. Management of Combined Nonunion and Limb-Length Discrepancy after Vascularised Fibular Grafting. J. Bone Jt. Surg. Br. Vol. 2010, 92-B, 267–272. [Google Scholar] [CrossRef]
- Kirane, Y.M.; Fragomen, A.T.; Rozbruch, S.R. Precision of the PRECICE® Internal Bone Lengthening Nail. Clin. Orthop. Relat. Res. 2014, 472, 3869–3878. [Google Scholar] [CrossRef] [PubMed]
- Nasto, L.A.; Coppa, V.; Riganti, S.; Ruzzini, L.; Manfrini, M.; Campanacci, L.; Palmacci, O.; Boero, S. Clinical Results and Complication Rates of Lower Limb Lengthening in Paediatric Patients Using the PRECICE 2 Intramedullary Magnetic Nail: A Multicentre Study. J. Pediatr. Orthop. B 2019, 29, 611–617. [Google Scholar] [CrossRef] [PubMed]
- Schiedel, F.M.; Vogt, B.; Tretow, H.L.; Schuhknecht, B.; Gosheger, G.; Horter, M.J.; Rödl, R. How Precise Is the PRECICE Compared to the ISKD in Intramedullary Limb Lengthening? Acta Orthop. 2014, 85, 293–298. [Google Scholar] [CrossRef] [PubMed]
- Cosic, F.; Edwards, E. PRECICE Intramedullary Nail in the Treatment of Adult Leg Length Discrepancy. Injury 2020, 51, 1091–1096. [Google Scholar] [CrossRef] [PubMed]
- Hammouda, A.I.; Jauregui, J.J.; Gesheff, M.G.; Standard, S.C.; Conway, J.D.; Herzenberg, J.E. Treatment of Post-Traumatic Femoral Discrepancy with PRECICE Magnetic-Powered Intramedullary Lengthening Nails. J. Orthop. Trauma 2017, 31, 369–374. [Google Scholar] [CrossRef] [PubMed]
- Wagner, P.; Burghardt, R.D.; Green, S.A.; Specht, S.C.; Standard, S.C.; Herzenberg, J.E. PRECICE® Magnetically-Driven, Telescopic, Intramedullary Lengthening Nail: Pre-Clinical Testing and First 30 Patients. SICOT J. 2017, 3, 19. [Google Scholar] [CrossRef]
- Price, C.T.; Mann, J.W. Experience with the Orthofix Device for Limb Lengthening. Orthop. Clin. N. Am. 1991, 22, 651–661. [Google Scholar] [CrossRef]
- Bonnard, C.; Favard, L.; Sollogoub, I.; Glorion, B. Limb Lengthening in Children Using the Ilizarov Method. Clin. Orthop. Relat. Res. 1993, 293, 83–88. [Google Scholar] [CrossRef]
- Dinçyürek, H.; Kocaoğlu, M.; Eralp, I.L.; Bilen, F.E.; Dikmen, G.; Eren, I. Functional Results of Lower Extremity Lengthening by Motorized Intramedullary Nails. Acta Orthop. Traumatol. Turc. 2012, 46, 42–49. [Google Scholar] [CrossRef]
- Krieg, A.H.; Lenze, U.; Speth, B.M.; Hasler, C.C. Intramedullary Leg Lengthening with a Motorized Nail. Acta Orthop. 2011, 82, 344–350. [Google Scholar] [CrossRef] [PubMed]
- Ilizarov, G.A. The Tension-Stress Effect on the Genesis and Growth of Tissues: Part II. The Influence of the Rate and Frequency of Distraction. Clin. Orthop. Relat. Res. 1989, 238, 263–285. [Google Scholar] [CrossRef]
- Ilizarov, G.A. Clinical Application of the Tension-Stress Effect for Limb Lengthening. Clin. Orthop. Relat. Res. 1990, 250, 8–26. [Google Scholar] [CrossRef]
- Donnan, L.T.; Saleh, M.; Rigby, A.S. Acute Correction of Lower Limb Deformity and Simultaneous Lengthening with a Monolateral Fixator. J. Bone Jt. Surg. Br. Vol. 2003, 85B, 254–260. [Google Scholar] [CrossRef] [PubMed]
- Kenawey, M.; Krettek, C.; Liodakis, E.; Meller, R.; Hankemeier, S. Insufficient Bone Regenerate after Intramedullary Femoral Lengthening: Risk Factors and Classification System. Clin. Orthop. Relat. Res. 2011, 469, 264–273. [Google Scholar] [CrossRef]
- Laffosse, J.-M.; Accadbled, F.; Abid, A.; Kany, J.; Darodes, P.; Sales De Gauzy, J. Reconstruction of long bone defects with a vascularized fibular graft after tumor resection in children and adolescents: Thirteen cases with 50-month follow-up. Rev. Chir. Orthop. Reparatrice Appar. Mot. 2007, 93, 555–563. [Google Scholar] [CrossRef]
- Dick, H.M.; Strauch, R.J. Infection of Massive Bone Allografts. Clin. Orthop. Relat. Res. 1994, 306, 46–53. [Google Scholar]
- Mankin, H.J.; Hornicek, F.J.; Raskin, K.A. Infection in Massive Bone Allografts. Clin. Orthop. Relat. Res. 2005, 432, 210–216. [Google Scholar] [CrossRef]
- Pesenti, S.; Iobst, C.A.; Launay, F. Evaluation of the External Fixator TrueLok Hexapod System for Tibial Deformity Correction in Children. Orthop. Traumatol. Surg. Res. 2017, 103, 761–764. [Google Scholar] [CrossRef]
- Eidelman, M.; Bialik, V.; Katzman, A. Correction of Deformities in Children Using the Taylor Spatial Frame. J. Pediatr. Orthop. B 2006, 15, 387–395. [Google Scholar] [CrossRef]
- Paley, D.; Catagni, M.A.; Argnani, F.; Villa, A.; Benedetti, G.B.; Cattaneo, R. Ilizarov Treatment of Tibial Nonunions with Bone Loss. Clin. Orthop. Relat. Res. 1989, 241, 146–165. [Google Scholar] [CrossRef]
- Accadbled, F.; Thévenin Lemoine, C.; Poinsot, E.; Baron Trocellier, T.; Dauzere, F.; Sales de Gauzy, J. Bone Reconstruction after Malignant Tumour Resection Using a Motorized Lengthening Intramedullary Nail in Adolescents: Preliminary Results. J. Child. Orthop. 2019, 13, 324–329. [Google Scholar] [CrossRef]
- Lee, D.H.; Kim, S.; Lee, J.W.; Park, H.; Kim, T.Y.; Kim, H.W. A Comparison of the Device-Related Complications of Intramedullary Lengthening Nails Using a New Classification System. BioMed Res. Int. 2017, 2017, 8032510. [Google Scholar] [CrossRef] [PubMed]
- Lee, D.H.; Ryu, K.J.; Song, H.R.; Han, S.-H. Complications of the Intramedullary Skeletal Kinetic Distractor (ISKD) in Distraction Osteogenesis. Clin. Orthop. Relat. Res. 2014, 472, 3852–3859. [Google Scholar] [CrossRef] [PubMed]
- Szymczuk, V.L.; Hammouda, A.I.; Gesheff, M.G.; Standard, S.C.; Herzenberg, J.E. Lengthening with Monolateral External Fixation versus Magnetically Motorized Intramedullary Nail in Congenital Femoral Deficiency. J. Pediatr. Orthop. 2019, 39, 458–465. [Google Scholar] [CrossRef]
- Shabtai, L.; Specht, S.C.; Standard, S.C.; Herzenberg, J.E. Internal Lengthening Device for Congenital Femoral Deficiency and Fibular Hemimelia. Clin. Orthop. Relat. Res. 2014, 472, 3860–3868. [Google Scholar] [CrossRef]


| Site | Age (y)/Sex | LLD Etiology | LLD (mm) | Gained Length (mm) | Residual LLD (mm) | CHT |
|---|---|---|---|---|---|---|
| Tibia | 11/F | Proximal tibia composite prosthesis for OS | 30 | 40 | 10 | Yes |
| Femur (A) | 13/M | Femoral intercalary reconstruction for OS | 52 | 49 | 15 | Yes |
| Femur (R) | 15/F | Proximal femur composite prosthesis for OS | 50 | 40 | 15 | Yes |
| Femur (A) | 15/F | Ollier disease | 45 | 45 | 0 | No |
| Femur (R) | 17/F | Polyostotic fibrous dysplasia | 80 | 50 | 10 | No |
| Femur (A) | 17/M | Multiple exostoses | 30 | 30 | 0 | No |
| Femur (A) | 18/M | Femoral intercalary reconstruction for OS | 70 | 60 | 28 | Yes |
| Femur (A) | 18/F | Proximal femur curettage and bone grafting for UBC | 32 | 31 | 5 | No |
| Femur (A) | 18/F | Partial distal femur resection for Parosteal OS | 30 | 45 | 0 | No |
| Femur (R) | 18/M | Pelvic reconstruction | 40 | 40 | 10 | Yes |
| Femur (R) (*) | 18/M | Pelvic reconstruction | 120 | 50 + 50 | 20 (**) | Yes |
| Tibia | 19/M | Multiple exostoses | 50 | 50 | 0 | No |
| Femur (A) | 19/F | Proximal tibia composite prosthesis for OS | 40 | 30 | 10 | Yes |
| Femur (R) | 20/M | Femoral intercalary reconstruction for ES | 70 | 70 | 12 | Yes |
| Femur (R) | 24/F | Proximal femur curettage and bone grafting for ABC | 35 | 25 | 0 | No |
| Tibia | 25/M | Proximal tibia composite prosthesis for ES | 100 | 80 | 30 | Yes |
| Femur (R) | 28/M | Rotationplasty | 60 | 35 | 0 | Yes |
| Femur (A) | 32/M | Distal femur resection | 45 | 50 | 0 | Yes |
| ASAMI Bone Score | Number of Patients | % | ASAMI Functional Score | Number of Patients | % |
|---|---|---|---|---|---|
| Excellent | 14 | 82% | Excellent | 13 | 76% |
| Good | 1 | 6% | Good | 2 | 12% |
| Fair | 0 | 0% | Fair | 0 | 0% |
| Poor | 2 | 12% | Poor | 2 | 12% |
| Device | Number of Limbs | DI (Days/cm) | CI (Days/cm) | Delayed Consolidation No. (%) | Stress Fracture | Implant-Related Complication (%) | |
|---|---|---|---|---|---|---|---|
| Dinçyürek et al., 2012 [30] | FITBONE | 15 | 12 | 43.7 | 3 (20%) | 0 | 13.3% |
| Krieg et al., 2011 [31] | FITBONE | 32 | 10.6 | 41.5 | 2 (6.25%) | 0 | 12.5% |
| Kirane et al., 2014 [22] | PRECICE | 24 | NR | NR | 2 (8.3%) | 0 | 4% |
| Wagner et al., 2017 [27] | PRECICE | 30 | 22.4 | 36.4 | 4 (13.3%) | 0 | 0 |
| Accadbled et al., 2019 [42] | FITBONE | 8 | NR | 48.4 | NR | 0 | 18% |
| Nasto et al., 2020 [23] | PRECICE 2 | 26 | 11.9 | 25.1 | 2 (7.69%) | 1 | 3% |
| Present Study | PRECICE 2 | 18 | 12 | 31 | 3 (17.64%) | 1 | 5% |
Disclaimer/Publisher’s Note: The statements, opinions and data contained in all publications are solely those of the individual author(s) and contributor(s) and not of MDPI and/or the editor(s). MDPI and/or the editor(s) disclaim responsibility for any injury to people or property resulting from any ideas, methods, instructions or products referred to in the content. |
© 2023 by the authors. Licensee MDPI, Basel, Switzerland. This article is an open access article distributed under the terms and conditions of the Creative Commons Attribution (CC BY) license (https://creativecommons.org/licenses/by/4.0/).
Share and Cite
Campanacci, L.; Cevolani, L.; Focaccia, M.; Di Gennaro, G.L.; Dozza, B.; Staals, E.; Zuccheri, F.; Bianchi, G.; Donati, D.M.; Manfrini, M. Lengthening Patients Previously Treated for Massive Lower Limb Reconstruction for Bone Tumors with the PRECICE 2 Nail. Children 2023, 10, 1772. https://doi.org/10.3390/children10111772
Campanacci L, Cevolani L, Focaccia M, Di Gennaro GL, Dozza B, Staals E, Zuccheri F, Bianchi G, Donati DM, Manfrini M. Lengthening Patients Previously Treated for Massive Lower Limb Reconstruction for Bone Tumors with the PRECICE 2 Nail. Children. 2023; 10(11):1772. https://doi.org/10.3390/children10111772
Chicago/Turabian StyleCampanacci, Laura, Luca Cevolani, Marco Focaccia, Giovanni Luigi Di Gennaro, Barbara Dozza, Eric Staals, Federica Zuccheri, Giuseppe Bianchi, Davide Maria Donati, and Marco Manfrini. 2023. "Lengthening Patients Previously Treated for Massive Lower Limb Reconstruction for Bone Tumors with the PRECICE 2 Nail" Children 10, no. 11: 1772. https://doi.org/10.3390/children10111772
APA StyleCampanacci, L., Cevolani, L., Focaccia, M., Di Gennaro, G. L., Dozza, B., Staals, E., Zuccheri, F., Bianchi, G., Donati, D. M., & Manfrini, M. (2023). Lengthening Patients Previously Treated for Massive Lower Limb Reconstruction for Bone Tumors with the PRECICE 2 Nail. Children, 10(11), 1772. https://doi.org/10.3390/children10111772

