The Use of Cavitron Ultrasonic Surgical Aspirator for High-Risk Neuroblastoma with Image-Defined Risk Factors in Children
Abstract
1. Introduction
2. Technical Procedure
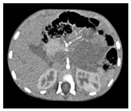
3. Results
4. Discussion
5. Conclusions
Author Contributions
Funding
Institutional Review Board Statement
Informed Consent Statement
Data Availability Statement
Conflicts of Interest
References
- LaQuaglia, M.P.; Gerstle, J.T. Advances in the treatment of pediatric solid tumors: A 50-year perspective. J. Surg. Oncol. 2022, 126, 933–942. [Google Scholar] [CrossRef] [PubMed]
- Brisse, H.J.; McCarville, M.B.; Granata, C.; Krug, K.B.; Wootton-Gorges, S.L.; Kanegawa, K.; Giammarile, F.; Schmidt, M.; Shulkin, B.; Matthay, K.K.; et al. Guidelines for imaging and staging of neuroblastic tumors: Consensus report from the International Neuroblastoma Risk Group Project. Radiology 2011, 261, 243–257. [Google Scholar] [CrossRef] [PubMed]
- Monclair, T.; Brodeur, G.M.; Ambros, P.F.; Brisse, H.J.; Cecchetto, G.; Holmes, K.; Kaneko, M.; London, W.B.; Matthay, K.K.; Nuchtern, J.G.; et al. The International Neuroblastoma Risk Group (INRG) staging system: An INRG Task Force report. J. Clin. Oncol. 2009, 27, 298–303. [Google Scholar] [CrossRef] [PubMed]
- Kiely, E. A technique for excision of abdominal and pelvic neuroblastomas. Ann. R. Coll. Surg. Engl. 2007, 89, 342–348. [Google Scholar] [CrossRef]
- Zwaveling, S.; Tytgat, G.A.; van der Zee, D.C.; Wijnen, M.H.; Heij, H.A. Is complete surgical resection of stage 4 neuroblastoma a prerequisite for optimal survival or may >95% tumour resection suffice? Pediatr. Surg. Int. 2012, 28, 953–959. [Google Scholar] [CrossRef]
- Yang, X.; Chen, J.; Wang, N.; Liu, Z.; Li, F.; Zhou, J.; Tao, B. Impact of extent of resection on survival in high-risk neuroblastoma: A systematic review and meta-analysis. J. Pediatr. Surg. 2019, 54, 1487–1494. [Google Scholar] [CrossRef]
- Williams, J.W.; Hodgson, W.J. Histologic evaluation of tissues sectioned by ultrasonically powered instruments (a preliminary report). Mt. Sinai J. Med. 1979, 46, 105–106. [Google Scholar]
- Loo, R.; Applebaum, H.; Takasugi, J.; Hurwitz, R. Resection of advanced stage neuroblastoma with the cavitron ultrasonic surgical aspirator. J. Pediatr. Surg. 1988, 23, 1135–1138. [Google Scholar] [CrossRef]
- Honda, G.; Ome, Y.; Yoshida, N.; Kawamoto, Y. How to dissect the liver parenchyma: Excavation with cavitron ultrasonic surgical aspirator. J. Hepatobiliary Pancreat. Sci. 2020, 27, 907–912. [Google Scholar] [CrossRef]
- Chung, C.; Boterberg, T.; Lucas, J.; Panoff, J.; Valteau-Couanet, D.; Hero, B.; Bagatell, R.; Hill-Kayser, C.E. Neuroblastoma. Pediatr. Blood Cancer 2021, 68, e28473. [Google Scholar] [CrossRef]
- Fumino, S.; Kimura, K.; Iehara, T.; Nishimura, M.; Nakamura, S.; Souzaki, R.; Nishie, A.; Taguchi, T.; Hosoi, H.; Tajiri, T. Validity of image-defined risk factors in localized neuroblastoma: A report from two centers in Western Japan. J. Pediatr. Surg. 2015, 50, 2102–2106. [Google Scholar] [CrossRef] [PubMed]
- Sosnowska-Sienkiewicz, P.; Mańkowski, P.; Wojas, A.; Jończyk-Potoczna, K.; Januszkiewicz-Lewandowska, D. The Important Role of the Radiologist in Determining the Indications for the Surgical Treatment of Neuroblastoma with Vascular Image-Defined Risk Factors: A Case Report. Medicina (Kaunas) 2021, 57, 279. [Google Scholar] [CrossRef] [PubMed]
- Lucas, J.T., Jr.; McCarville, M.B.; Cooper, D.A.; Doubrovin, M.; Wakefield, D.; Santiago, T.; Li, Y.; Li, X.; Krasin, M.; Santana, V.; et al. Implications of Image-Defined Risk Factors and Primary-Site Response on Local Control and Radiation Treatment Delivery in the Management of High-Risk Neuroblastoma: Is There a Role for De-escalation of Adjuvant Primary-Site Radiation Therapy? Int. J. Radiat. Oncol. Biol. Phys. 2019, 103, 869–877. [Google Scholar] [CrossRef] [PubMed]
- Irtan, S.; Brisse, H.J.; Minard-Colin, V.; Schleiermacher, G.; Canale, S.; Sarnacki, S. Minimally invasive surgery of neuroblastic tumors in children: Indications depend on anatomical location and image-defined risk factors. Pediatr. Blood Cancer 2015, 62, 257–261. [Google Scholar] [CrossRef]
- Tanaka, Y.; Kawashima, H.; Mori, M.; Fujiogi, M.; Suzuki, K.; Amano, H.; Morita, K.; Arakawa, Y.; Koh, K.; Oguma, E.; et al. Contraindications and image-defined risk factors in laparoscopic resection of abdominal neuroblastoma. Pediatr. Surg. Int. 2016, 32, 845–850. [Google Scholar] [CrossRef]
- Froeba-Pohl, A.; von Schweinitz, D.; Muehling, J.; Paolini, M.; Hubertus, J. Implication of Image-Defined Risk Factors for the Extent of Surgical Resection and Clinical Outcome in Patients with Pelvic Neuroblastoma. Eur. J. Pediatr. Surg. 2021, 31, 362–366. [Google Scholar] [CrossRef]
- Günther, P.; Holland-Cunz, S.; Schupp, C.J.; Stockklausner, C.; Hinz, U.; Schenk, J.P. Significance of image-defined risk factors for surgical complications in patients with abdominal neuroblastoma. Eur. J. Pediatr. Surg. 2011, 21, 314–317. [Google Scholar] [CrossRef]
- Liu, T.; Lv, Z.; Xu, W.; Liu, J.; Sheng, Q. Role of image-defined risk factors in predicting surgical complications of localized neuroblastoma. Pediatr. Surg. Int. 2020, 36, 1167–1172. [Google Scholar] [CrossRef]
- Yoneda, A.; Nishikawa, M.; Uehara, S.; Oue, T.; Usui, N.; Inoue, M.; Fukuzawa, M.; Okuyama, H. Can Image-Defined Risk Factors Predict Surgical Complications in Localized Neuroblastoma? Eur. J. Pediatr. Surg. 2016, 26, 117–122. [Google Scholar]
- Zhang, A.A.; Pan, C.; Xu, M.; Wang, X.X.; Ye, Q.D.; Gao, Y.J.; Tang, J.Y. Association of image-defined risk factors, tumor resectability, and prognosis in children with localized neuroblastoma. World J. Pediatr. 2019, 15, 572–579. [Google Scholar] [CrossRef]
- Temple, W.C.; Vo, K.T.; Matthay, K.K.; Balliu, B.; Coleman, C.; Michlitsch, J.; Phelps, A.; Behr, S.; Zapala, M.A. Association of image-defined risk factors with clinical features, histopathology, and outcomes in neuroblastoma. Cancer Med. 2021, 10, 2232–2241. [Google Scholar] [CrossRef] [PubMed]
- Parhar, D.; Joharifard, S.; Lo, A.C.; Schlosser, M.P.; Daodu, O.O. How well do image-defined risk factors (IDRFs) predict surgical outcomes and survival in patients with neuroblastoma? A systematic review and meta-analysis. Pediatr. Surg. Int. 2020, 36, 897–907. [Google Scholar] [CrossRef] [PubMed]
- Wang, H.; Chen, X.; Zhu, J.; Zhang, K.; Lu, J.; Zhang, L.; Ding, H. Changes in image-defined risk factors with neoadjuvant chemotherapy in pediatric abdominal neuroblastoma. Abdom. Radiol. (N. Y.) 2022, 47, 3520–3530. [Google Scholar] [CrossRef] [PubMed]
- Chui, C. Effects of preoperative chemotherapy on neuroblastoma with MYCN amplification: A surgeon’s perspective. World J. Pediatr. Surg. 2020, 3, e000129. [Google Scholar] [CrossRef] [PubMed]
- Mansfield, S.A.; McCarville, M.B.; Lucas, J.T., Jr.; Krasin, M.J.; Federico, S.M.; Santana, V.M.; Furman, W.L.; Davidoff, A.M. Impact of Neoadjuvant Chemotherapy on Image-Defined Risk Factors in High-Risk Neuroblastoma. Ann. Surg. Oncol. 2022, 29, 661–670. [Google Scholar] [CrossRef]
- Irtan, S.; Brisse, H.J.; Minard-Colin, V.; Schleiermacher, G.; Galmiche-Rolland, L.; Le Cossec, C.; Elie, C.; Canale, S.; Michon, J.; Valteau-Couanet, D.; et al. Image-defined risk factor assessment of neurogenic tumors after neoadjuvant chemotherapy is useful for predicting intra-operative risk factors and the completeness of resection. Pediatr. Blood Cancer 2015, 62, 1543–1549. [Google Scholar] [CrossRef]
- Avanzini, S.; Pio, L.; Erminio, G.; Granata, C.; Holmes, K.; Gambart, M.; Buffa, P.; Castel, V.; Couanet, D.V.; Garaventa, A.; et al. Image-defined risk factors in unresectable neuroblastoma: SIOPEN study on incidence, chemotherapy-induced variation, and impact on surgical outcomes. Pediatr. Blood Cancer 2017, 64, e26605. [Google Scholar] [CrossRef]
- Holmes, K.; Pötschger, U.; Pearson, A.D.J.; Sarnacki, S.; Cecchetto, G.; Gomez-Chacon, J.; Squire, R.; Freud, E.; Bysiek, A.; Matthyssens, L.E.; et al. Influence of Surgical Excision on the Survival of Patients With Stage 4 High-Risk Neuroblastoma: A Report From the HR-NBL1/SIOPEN Study. J. Clin. Oncol. 2020, 38, 2902–2915. [Google Scholar] [CrossRef]
- Fahy, A.S.; Roberts, A.; Nasr, A.; Irwin, M.S.; Gerstle, J.T. Long term outcomes after concurrent ipsilateral nephrectomy versus kidney-sparing surgery for high-risk, intraabdominal neuroblastoma. J. Pediatr. Surg. 2019, 54, 1632–1637. [Google Scholar] [CrossRef]
- von Allmen, D.; Davidoff, A.M.; London, W.B.; Van Ryn, C.; Haas-Kogan, D.A.; Kreissman, S.G.; Khanna, G.; Rosen, N.; Park, J.R.; La Quaglia, M.P. Impact of Extent of Resection on Local Control and Survival in Patients From the COG A3973 Study with High-Risk Neuroblastoma. J. Clin. Oncol. 2017, 35, 208–216. [Google Scholar] [CrossRef]
- Boia, E.S.; David, V.L. The Financial Burden of Setting up a Pediatric Robotic Surgery Program. Medicina (Kaunas) 2019, 55, 739. [Google Scholar] [CrossRef] [PubMed]
- Cheng, J.S.; Ivan, M.E.; Stapleton, C.J.; Quinones-Hinojosa, A.; Gupta, N.; Auguste, K.I. Intraoperative changes in transcranial motor evoked potentials and somatosensory evoked potentials predicting outcome in children with intramedullary spinal cord tumors. J. Neurosurg. Pediatr. 2014, 13, 591–599. [Google Scholar] [CrossRef] [PubMed]
- Matsunami, M.; Fukuda, A.; Sasaki, K.; Uchida, H.; Shigeta, T.; Hirata, Y.; Kanazawa, H.; Horikawa, R.; Nakazawa, A.; Suzuki, T.; et al. Living donor domino liver transplantation using a maple syrup urine disease donor: A case series of three children—The first report from Japan. Pediatr. Transplant. 2016, 20, 633–639. [Google Scholar] [CrossRef] [PubMed]
- Pio, L.; Musleh, L.; Paraboschi, I.; Pistorio, A.; Mantica, G.; Clermidi, P.; Leonelli, L.; Mattioli, G.; Sarnacki, S.; Blanc, T. Learning curve for robotic surgery in children: A systematic review of outcomes and fellowship programs. J. Robot. Surg. 2020, 14, 531–541. [Google Scholar] [CrossRef] [PubMed]
- Doron, O.; Langer, D.J.; Paldor, I. Acquisition of Basic Micro-Neurosurgical Skills Using Cavitron Ultrasonic Aspirator in Low-Cost Readily Available Models: The Egg Model. World Neurosurg. 2021, 151, 155–162. [Google Scholar] [CrossRef]
- van der Steeg, A.F.W.; Jans, M.; Tytgat, G.; Fiocco, M.F.; van de Ven, C.; van Scheltinga, C.E.T.; Pieters, R.; van Noesel, M.M.; van Dijk, A.H.; Hulsker, C.C.C.; et al. The results of concentration of care: Surgical outcomes of neuroblastoma in the Netherlands. Eur. J. Surg. Oncol. 2022; in press. [Google Scholar] [CrossRef]



Disclaimer/Publisher’s Note: The statements, opinions and data contained in all publications are solely those of the individual author(s) and contributor(s) and not of MDPI and/or the editor(s). MDPI and/or the editor(s) disclaim responsibility for any injury to people or property resulting from any ideas, methods, instructions or products referred to in the content. |
© 2023 by the authors. Licensee MDPI, Basel, Switzerland. This article is an open access article distributed under the terms and conditions of the Creative Commons Attribution (CC BY) license (https://creativecommons.org/licenses/by/4.0/).
Share and Cite
Pio, L.; Guérin, F.; Martucci, C.; Martelli, H.; Gauthier, F.; Branchereau, S. The Use of Cavitron Ultrasonic Surgical Aspirator for High-Risk Neuroblastoma with Image-Defined Risk Factors in Children. Children 2023, 10, 89. https://doi.org/10.3390/children10010089
Pio L, Guérin F, Martucci C, Martelli H, Gauthier F, Branchereau S. The Use of Cavitron Ultrasonic Surgical Aspirator for High-Risk Neuroblastoma with Image-Defined Risk Factors in Children. Children. 2023; 10(1):89. https://doi.org/10.3390/children10010089
Chicago/Turabian StylePio, Luca, Florent Guérin, Cristina Martucci, Helene Martelli, Frédéric Gauthier, and Sophie Branchereau. 2023. "The Use of Cavitron Ultrasonic Surgical Aspirator for High-Risk Neuroblastoma with Image-Defined Risk Factors in Children" Children 10, no. 1: 89. https://doi.org/10.3390/children10010089
APA StylePio, L., Guérin, F., Martucci, C., Martelli, H., Gauthier, F., & Branchereau, S. (2023). The Use of Cavitron Ultrasonic Surgical Aspirator for High-Risk Neuroblastoma with Image-Defined Risk Factors in Children. Children, 10(1), 89. https://doi.org/10.3390/children10010089

