Neuroprotective Potential of Bone Marrow-Derived Mesenchymal Stem Cells Following Chemotherapy
Abstract
1. Introduction
2. Materials and Methods
2.1. Chemicals and Reagents
2.2. Preparation of BM-Derived MSCs
2.3. Characterization of BM-Derived MSCs
2.4. Experimental Protocol
- Normal control group (NC): animals were injected with PBS intraperitoneally (ip).
- Cisplatin group (CP): animals were injected with CP ip at a dose of 7.5 mg/kg (Hospira, Warwickshire, UK) to induce neurotoxicity [4].
- Stem cell group (BM-MSCs): animals were injected with CP (7.5 mg/kg, ip) and, on the next day, they were injected intravenously with 2 × 106 BM-MSCs [9].
2.5. Collection of Samples
2.6. Histopathological Evaluation
2.7. Estimation of Oxidative and Nitrosative Stress Markers
2.8. Determination of the Antioxidant Activity
2.9. Determination of the Inflammatory Parameters
2.10. Immunohistochemistry (IHC) Examination for Apoptotic and Cell Proliferation Biomarkers
2.11. Statistical Analysis
3. Results
3.1. Characterization of BM-MSCs
3.2. BM-MSCs Injection Improved the Brain Histopathological Alterations in CP-Intoxicated Rats
3.3. BM-MSCs Injection Suppressed the CP-Induced Brain Oxidative and Nitrosative Stress in Rats
3.4. BM-MSCs Injection Boosted the CP-Induced Antioxidant Depletion in Rats
3.5. BM-MSCs Injection Attenuated the CP-Induced Brain Inflammation in Rats
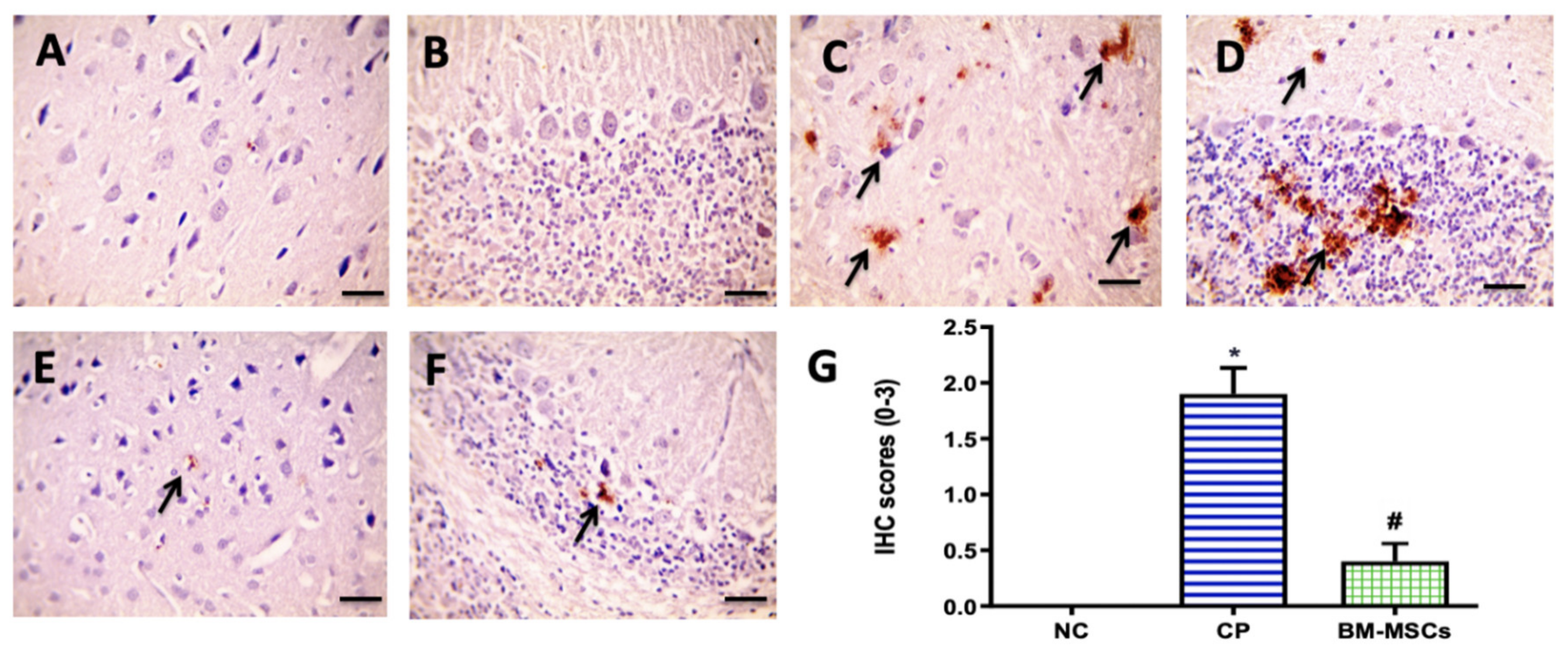
3.6. BM-MSCs Injection Mitigated the CP-Induced Brain Apoptosis in Rats
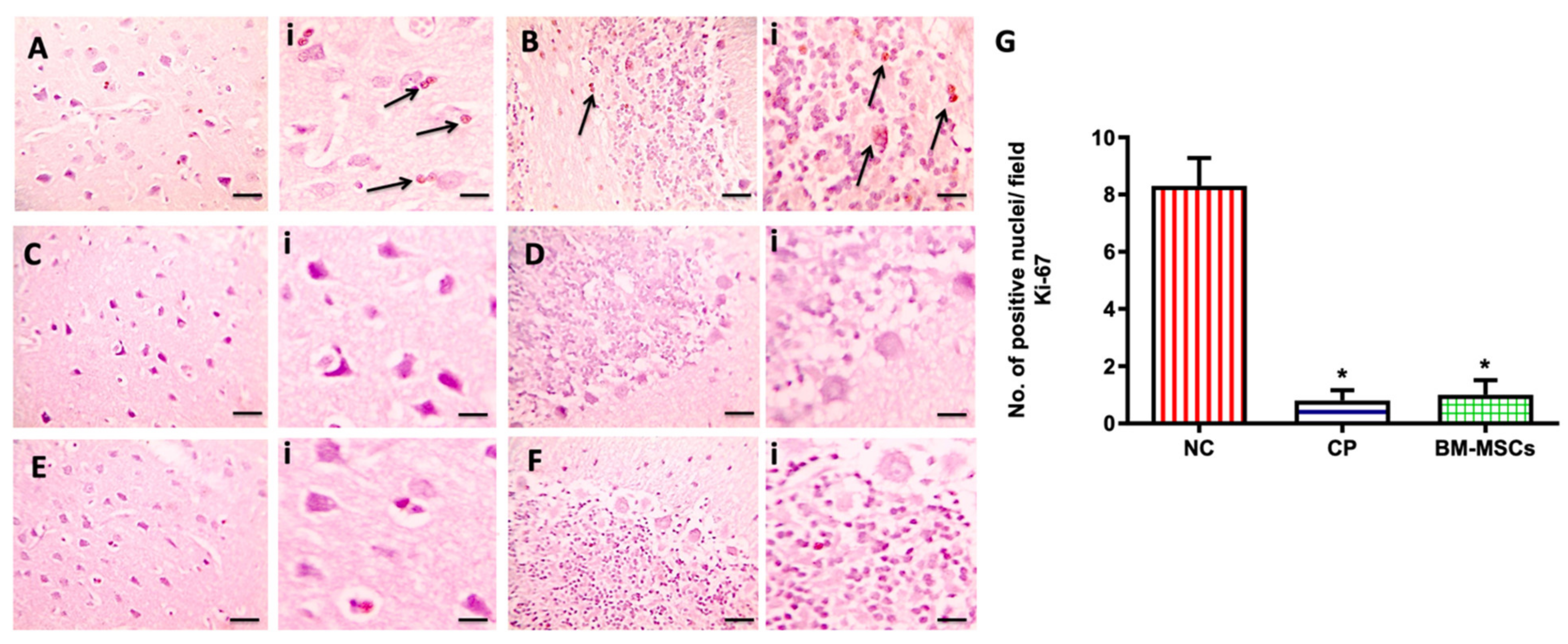
3.7. BM-MSCs Injection Did Not Affect the CP-Induced Downregulation of Brain Proliferation Marker Ki-67 in Rats
4. Discussion
5. Conclusions
Author Contributions
Funding
Institutional Review Board Statement
Informed Consent Statement
Data Availability Statement
Acknowledgments
Conflicts of Interest
References
- Chiu, G.S.; Boukelmoune, N.; Chiang, A.C.; Peng, B.; Rao, V.; Kingsley, C.; Liu, H.-L.; Kavelaars, A.; Kesler, S.R.; Heijnen, C.J. Nasal administration of mesenchymal stem cells restores cisplatin-induced cognitive impairment and brain damage in mice. Oncotarget 2018, 9, 35581. [Google Scholar] [CrossRef]
- Srivastava, R.K.; Singh, P. Stem cell therapies as a therapeutic option to counter chemo brain: A negative effect of cancer treatment. Regen. Med. 2020, 15, 1789–1800. [Google Scholar] [CrossRef]
- Dasari, S.; Tchounwou, P.B. Cisplatin in cancer therapy: Molecular mechanisms of action. Eur. J. Pharmacol. 2014, 740, 364–378. [Google Scholar] [CrossRef]
- Owoeye, O.; Awoyemi, F.; Ajiboye, E. Ameliorative effects of Raffia hookeri pulp extract on cisplatin-induced brain damage and consequent neurobehavioural changes in Wistar rats. Niger. J. Physiol. Sci. 2018, 33, 75–82. [Google Scholar]
- Kanat, O.; Ertas, H.; Caner, B. Platinum-induced neurotoxicity: A review of possible mechanisms. World J. Clin. Oncol. 2017, 8, 329. [Google Scholar] [CrossRef]
- Owoeye, O.; Adedara, I.A.; Farombi, E.O. Pretreatment with taurine prevented brain injury and exploratory behaviour associated with administration of anticancer drug cisplatin in rats. Biomed. Pharmacother. 2018, 102, 375–384. [Google Scholar] [CrossRef]
- Li, Y.; Zheng, M.; Sah, S.K.; Mishra, A.; Singh, Y. Neuroprotective influence of sitagliptin against cisplatin-induced neurotoxicity, biochemical and behavioral alterations in Wistar rats. Mol. Cell. Biochem. 2019, 455, 91–97. [Google Scholar] [CrossRef]
- Abdelaziz, M.H.; Salah EL-Din, E.Y.; El-Dakdoky, M.H.; Ahmed, T.A. The impact of mesenchymal stem cells on doxorubicin-induced testicular toxicity and progeny outcome of male prepubertal rats. Birth Defects Res. 2019, 111, 906–919. [Google Scholar] [CrossRef]
- Sherif, I.O.; Sabry, D.; Abdel-Aziz, A.; Sarhan, O.M. The role of mesenchymal stem cells in chemotherapy-induced gonadotoxicity. Stem Cell Res. Ther. 2018, 9, 196. [Google Scholar] [CrossRef]
- Sherif, I.O.; Al-Mutabagani, L.A.; Alnakhli, A.M.; Sobh, M.A.; Mohammed, H.E. Renoprotective effects of angiotensin receptor blocker and stem cells in acute kidney injury: Involvement of inflammatory and apoptotic markers. Exp. Biol. Med. 2015, 240, 1572–1579. [Google Scholar] [CrossRef]
- Abushouk, A.I.; Salem, A.M.A.; Saad, A.M.; Afify, A.Y.; Afifi, H.; Afifi, A.; Salem, H.; Ghanem, E.; Abdel-Daim, M.M. Mesenchymal stem cell therapy for doxorubicin-induced cardiomyopathy: Potential mechanisms, governing factors, and implications of the heart stem cell debate. Front. Pharmacol. 2019, 10, 635. [Google Scholar] [CrossRef]
- Danielyan, L.; Beer-Hammer, S.; Stolzing, A.; Schäfer, R.; Siegel, G.; Fabian, C.; Kahle, P.; Biedermann, T.; Lourhmati, A.; Buadze, M. Intranasal delivery of bone marrow-derived mesenchymal stem cells, macrophages, and microglia to the brain in mouse models of Alzheimer’s and Parkinson’s disease. Cell Transplant. 2014, 23, 123–139. [Google Scholar] [CrossRef]
- Donega, V.; Nijboer, C.H.; Braccioli, L.; Slaper-Cortenbach, I.; Kavelaars, A.; van Bel, F.; Heijnen, C.J. Intranasal administration of human MSC for ischemic brain injury in the mouse: In vitro and in vivo neuroregenerative functions. PLoS ONE 2014, 9, e112339. [Google Scholar] [CrossRef] [PubMed]
- Zhou, Y.; Shao, A.; Xu, W.; Wu, H.; Deng, Y. Advance of stem cell treatment for traumatic brain injury. Front. Cell. Neurosci. 2019, 13, 301. [Google Scholar] [CrossRef] [PubMed]
- Scuteri, A.; Ravasi, M.; Monfrini, M.; Milano, A.; D’AMICO, G.; Miloso, M.; Tredici, G. Human mesenchymal stem cells protect dorsal root ganglia from the neurotoxic effect of cisplatin. Anticancer. Res. 2015, 35, 5383–5389. [Google Scholar]
- Aziz, M.A.; Atta, H.; Mahfouz, S.; Fouad, H.; Roshdy, N.; Ahmed, H.; Rashed, L.; Sabry, D.; Hassouna, A.; Hasan, N. Therapeutic potential of bone marrow-derived mesenchymal stem cells on experimental liver fibrosis. Clin. Biochem. 2007, 40, 893–899. [Google Scholar] [CrossRef] [PubMed]
- Ohkawa, H.; Ohishi, N.; Yagi, K. Assay for lipid peroxides in animal tissues by thiobarbituric acid reaction. Anal. Biochem. 1979, 95, 351–358. [Google Scholar] [CrossRef]
- Montgomery, H.; Dymock, J. Determination of nitric oxide. Analyst 1961, 86, 41–43. [Google Scholar]
- Beutler, E.; Duron, O.; Kelly, M. Glutathione reagent and method-patent. J. Lab. Clin. Med. 1963, 61, 882. [Google Scholar]
- Nishikimi, M.; Roa, N.; Yogi, K. Measurement of superoxide dismutase. Biochem. Biophys. Res. Commun. 1972, 46, 849–854. [Google Scholar] [CrossRef]
- Abdel-Wahab, W.M.; Moussa, F.I. Neuroprotective effect of N-acetylcysteine against cisplatin-induced toxicity in rat brain by modulation of oxidative stress and inflammation. Drug Des. Dev. Ther. 2019, 13, 1155. [Google Scholar] [CrossRef]
- Zaki, S.M.; Mohamed, E.; Motawie, A.G.; Fattah, S.A. N-acetylcysteine versus progesterone on the cisplatin-induced peripheral neurotoxicity. Folia Morphol. 2018, 77, 234–245. [Google Scholar] [CrossRef]
- Chen, M.; Li, X.; Zhang, X.; He, X.; Lai, L.; Liu, Y.; Zhu, G.; Li, W.; Li, H.; Fang, Q. The inhibitory effect of mesenchymal stem cell on blood–brain barrier disruption following intracerebral hemorrhage in rats: Contribution of TSG-6. J. Neuroinflamm. 2015, 12, 1–14. [Google Scholar] [CrossRef]
- Cankara, F.N.; Günaydın, C.; Çelik, Z.B.; Şahin, Y.; Pekgöz, Ş.; Erzurumlu, Y.; Gülle, K. Agomelatine confers neuroprotection against cisplatin-induced hippocampal neurotoxicity. Metab. Brain Dis. 2021, 36, 339–349. [Google Scholar] [CrossRef]
- Arafa, M.H.; Atteia, H.H. Protective role of epigallocatechin gallate in a rat model of cisplatin-induced cerebral inflammation and oxidative damage: Impact of modulating NF-κB and Nrf2. Neurotox. Res. 2020, 37, 380–396. [Google Scholar] [CrossRef]
- Chtourou, Y.; Aouey, B.; Kebieche, M.; Fetoui, H. Protective role of naringin against cisplatin induced oxidative stress, inflammatory response and apoptosis in rat striatum via suppressing ROS-mediated NF-κB and P53 signaling pathways. Chem. Biol. Interact. 2015, 239, 76–86. [Google Scholar] [CrossRef] [PubMed]
- Khadrawy, Y.A.; El-Gizawy, M.M.; Sorour, S.M.; Sawie, H.G.; Hosny, E.N. Effect of curcumin nanoparticles on the cisplatin-induced neurotoxicity in rat. Drug Chem. Toxicol. 2019, 42, 194–202. [Google Scholar] [CrossRef]
- Kamisli, S.; Ciftci, O.; Kaya, K.; Cetin, A.; Kamisli, O.; Ozcan, C. Hesperidin protects brain and sciatic nerve tissues against cisplatin-induced oxidative, histological and electromyographical side effects in rats. Toxicol. Ind. Health 2015, 31, 841–851. [Google Scholar] [CrossRef] [PubMed]
- Yang, Z.; Cai, X.; Xu, A.; Xu, F.; Liang, Q. Bone marrow stromal cell transplantation through tail vein injection promotes angiogenesis and vascular endothelial growth factor expression in cerebral infarct area in rats. Cytotherapy 2015, 17, 1200–1212. [Google Scholar] [CrossRef] [PubMed]
- Manohar, S.; Jamesdaniel, S.; Salvi, R. Cisplatin inhibits hippocampal cell proliferation and alters the expression of apoptotic genes. Neurotox. Res. 2014, 25, 369–380. [Google Scholar] [CrossRef][Green Version]
- Krarup-Hansen, A.; Helweg-Larsen, S.; Schmalbruch, H.; Rørth, M.; Krarup, C. Neuronal involvement in cisplatin neuropathy: Prospective clinical and neurophysiological studies. Brain 2007, 130, 1076–1088. [Google Scholar] [CrossRef]
- Al-Massri, K.F.; Ahmed, L.A.; El-Abhar, H.S. Mesenchymal stem cells therapy enhances the efficacy of pregabalin and prevents its motor impairment in paclitaxel-induced neuropathy in rats: Role of Notch1 receptor and JAK/STAT signaling pathway. Behav. Brain Res. 2019, 360, 303–311. [Google Scholar] [CrossRef]
- Evangelista, A.F.; Vannier-Santos, M.A.; de Assis Silva, G.S.; Silva, D.N.; Juiz, P.J.L.; Nonaka, C.K.V.; Dos Santos, R.R.; Soares, M.B.P.; Villarreal, C.F. Bone marrow-derived mesenchymal stem/stromal cells reverse the sensorial diabetic neuropathy via modulation of spinal neuroinflammatory cascades. J. Neuroinflamm. 2018, 15, 1–17. [Google Scholar] [CrossRef] [PubMed]
- Stavely, R.; Nurgali, K. The emerging antioxidant paradigm of mesenchymal stem cell therapy. Stem Cells Transl. Med. 2020, 9, 985–1006. [Google Scholar] [CrossRef]
- Zin’kova, N.; Gilerovich, E.; Sokolova, I.; Viide, S.; Shvedova, E.; Alexandrov, G.; Kruglyakov, P.; Polyntsev, D. Mesenchymal stem cell therapy of brain ischemic stroke in rats. Cell Tissue Biol. 2007, 1, 389–398. [Google Scholar] [CrossRef]








Publisher’s Note: MDPI stays neutral with regard to jurisdictional claims in published maps and institutional affiliations. |
© 2021 by the authors. Licensee MDPI, Basel, Switzerland. This article is an open access article distributed under the terms and conditions of the Creative Commons Attribution (CC BY) license (https://creativecommons.org/licenses/by/4.0/).
Share and Cite
Sherif, I.O.; Al-Shaalan, N.H.; Sabry, D. Neuroprotective Potential of Bone Marrow-Derived Mesenchymal Stem Cells Following Chemotherapy. Biomedicines 2021, 9, 750. https://doi.org/10.3390/biomedicines9070750
Sherif IO, Al-Shaalan NH, Sabry D. Neuroprotective Potential of Bone Marrow-Derived Mesenchymal Stem Cells Following Chemotherapy. Biomedicines. 2021; 9(7):750. https://doi.org/10.3390/biomedicines9070750
Chicago/Turabian StyleSherif, Iman O., Nora H. Al-Shaalan, and Dina Sabry. 2021. "Neuroprotective Potential of Bone Marrow-Derived Mesenchymal Stem Cells Following Chemotherapy" Biomedicines 9, no. 7: 750. https://doi.org/10.3390/biomedicines9070750
APA StyleSherif, I. O., Al-Shaalan, N. H., & Sabry, D. (2021). Neuroprotective Potential of Bone Marrow-Derived Mesenchymal Stem Cells Following Chemotherapy. Biomedicines, 9(7), 750. https://doi.org/10.3390/biomedicines9070750

