Altered Development of Mesencephalic Dopaminergic Neurons in SIDS: New Insights into Understanding Sudden Infant Death Pathogenesis
Abstract
:1. Introduction
2. Materials and Methods
2.1. Study Subjects
2.1.1. SIDS
2.1.2. Controls
2.2. Information about Infant Death Circumstances and Risk Factors for SIDS
2.3. Ethics Approval
2.4. Autopsy Protocol
2.5. Immunohistochemical Analysis of Tyrosine Hydroxylase (TH) and Dopamine Transporter (DAT)
Quantification of TH and DAT Immunohistochemical Results
2.6. Statistical Methods
3. Results
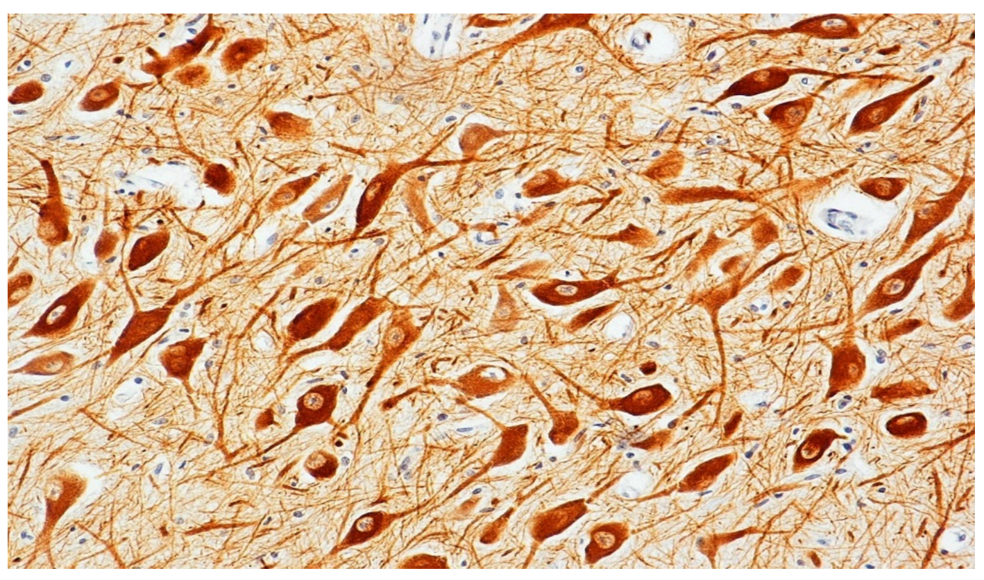
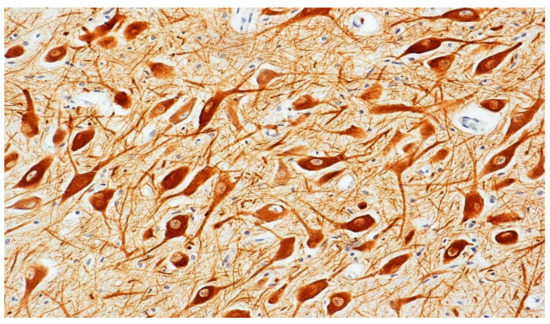
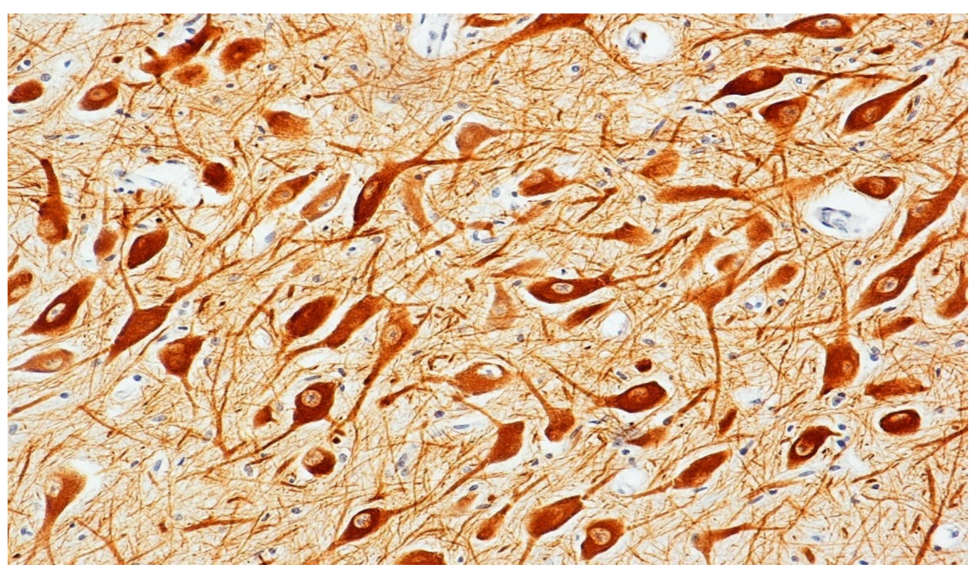
3.1. Immunohistochemical Analysis of the Mesencephalic Dopaminergic (mDA) Neurons in SIDS and Controls
3.1.1. Control Group
3.1.2. SIDS Group
3.2. Morphological Analysis of the Mesencephalic Dopaminergic (mDA) Neurons in SIDS and Controls
3.3. Correlation between Morphological/Immunohistochemical Findings and Maternal Smoking
3.4. Correlation between Morphological/Immunohistochemical Findings and Autoptic Gross Pathology in SIDS
4. Discussion
Future Directions
Funding
Informed Consent Statement
Data Availability Statement
Conflicts of Interest
References
- Willinger, M.; Jamees, L.S.; Catz, C. Defining the sudden infant death syndrome. Pediatr. Pathol. 1991, 11, 677–684. [Google Scholar] [CrossRef]
- Byard, R.W. Sudden Infant Death Syndrome: Definitions. In SIDS Sudden Infant and Early Childhood Death: The Past, the Present and the Future; Duncan, J.R., Byard, R.W., Eds.; Chapter 1; University of Adelaide Press: Adelaide, Australia, 2018. [Google Scholar]
- Filiano, J.J.; Kinney, H.C. A perspective on neuropathologic findings in victims of the sudden infant death syndrome: The triple-risk model. Biol. Neonate 1994, 65, 194–197. [Google Scholar] [CrossRef]
- Mitchell, E.A.; Milerad, J. Smoking and the sudden infant death syndrome. Rev. Environ. Health 2006, 21, 81–103. [Google Scholar] [CrossRef]
- Byard, R.W.; Bright, F.; Vink, R. Why is a prone sleeping position dangerous for certain infants? Forensic Sci. Med. Pathol. 2018, 14, 114–116. [Google Scholar] [CrossRef]
- Ramirez, J.M.; Ramirez, S.C.; Anderson, T.M. Sudden Infant Death Syndrome, Sleep, and the Physiology and Pathophysiology of the Respiratory Network. In SIDS Sudden Infant and Early Childhood Death: The Past, the Present and the Future; Duncan, J.R., Byard, R.W., Eds.; Chapter 27; University of Adelaide Press: Adelaide, Australia, 2018. [Google Scholar]
- Bright, F.M.; Vink, R.; Byard, R.W. Neuropathological Developments in Sudden Infant Death Syndrome. Pediatr. Dev. Pathol. 2018, 21, 515–521. [Google Scholar] [CrossRef]
- Kopp, N.; Denoroy, L.; Eymin, C.; Gay, N.; Richard, F.; Awano, K.; Gilly, R.; Jordan, D. Studies of neuroregulators in the brain stem of SIDS. Biol. Neonate 1994, 65, 189–193. [Google Scholar] [CrossRef] [PubMed]
- Ozawa, Y.; Takashima, S. Developmental neurotransmitter pathology in the brainstem of sudden infant death syndrome: A review and sleep position. Forensic Sci. Int. 2002, 130, S53–S59. [Google Scholar] [CrossRef]
- Lavezzi, A.M.; Ferrero, S.; Roncati, L.; Matturri, L.; Pusiol, T. Impaired orexin receptor expression in the Kölliker-Fuse nucleus in sudden infant death syndrome: Possible involvement of this nucleus in arousal pathophysiology. Neurol. Res. 2016, 38, 706–716. [Google Scholar] [CrossRef] [PubMed]
- Kinney, H.C.; Filiano, J.J.; White, W.F. Medullary serotonergic network deficiency in the sudden infant death syndrome: Review of a 15-year study of a single dataset. J. Neuropathol. Exp. Neurol. 2001, 60, 228–247. [Google Scholar] [CrossRef] [Green Version]
- Kinney, H.C.; Haynes, R.L. The Serotonin Brainstem Hypothesis for the Sudden Infant Death Syndrome. J. Neuropathol. Exp. Neurol. 2019, 78, 765–779. [Google Scholar] [CrossRef]
- Klein, M.O.; Battagello, D.S.; Cardoso, A.R.; Hauser, D.N.; Bittencourt, J.C.; Correa, R.G. Dopamine: Functions, Signaling, and Association with Neurological Diseases. Cell Mol.Neurobiol. 2019, 39, 31–59. [Google Scholar] [CrossRef]
- Latif, S.; Jahangeer, M.; Maknoon Razia, D.; Ashiq, M.; Ghaffar, A.; Akram, M.; El Allam, A.; Bouyahya, A.; Garipova, L.; Ali Shariati, M.; et al. Dopamine in Parkinson’s disease. Clin. Chim. Acta 2021, 522, 114–126. [Google Scholar] [CrossRef]
- Carlsson, A.; Carlsson, M.L. A dopaminergic deficit hypothesis of schizophrenia: The path to discovery. Dialogues Clin. Neurosci. 2006, 8, 137–142. [Google Scholar]
- Ohno, M. The dopaminergic system in attention deficit/hyperactivity disorder. Congenit. Anom. (Kyoto) 2003, 43, 114–122. [Google Scholar] [CrossRef]
- Dzirasa, K.; Ribeiro, S.; Costa, R.; Santos, L.M.; Lin, S.C.; Grosmark, A.; Sotnikova, T.D.; Gainetdinov, R.R.; Caron, M.G.; Nicolelis, M.A. Dopaminergic control of sleep-wake states. J. Neurosci. 2006, 26, 10577–10589. [Google Scholar] [CrossRef] [Green Version]
- Monti, J.M.; Monti, D. The involvement of dopamine in the modulation of sleep and waking. Sleep Med. Rev. 2007, 11, 113–133. [Google Scholar] [CrossRef]
- Mehta, S.H.; Morgan, J.C.; Sethi, K.D. Sleep disorders associated with Parkinson’s disease: Role of dopamine, epidemiology, and clinical scales of assessment. CNS Spectr. 2008, 13 (Suppl. 4), 6–11. [Google Scholar] [CrossRef]
- Cohrs, S. Sleep Disturbances in Patients with Schizophrenia. CNS Drugs 2008, 22, 939–962. [Google Scholar] [CrossRef]
- Nagatsu, T. Tyrosine hydroxylase: Human isoforms, structure and regulation in physiology and pathology. Essays Biochem. 1995, 30, 15–35. [Google Scholar]
- Ciliax, B.J.; Heilman, C.; Demchyshyn, L.L.; Pristupa, Z.B.; Ince, E.; Hersch, S.M.; Niznik, H.B.; Levey, A.I. The dopamine transporter: Immunochemical characterization and localization in brain. J. Neurosci. 1995, 15 Pt 1, 1714–1723. [Google Scholar] [CrossRef] [Green Version]
- Gainetdinov, R.R.; Jones, S.R.; Fumagalli, F.; Wightman, R.M.; Caron, M.G. Re-evaluation of the role of the dopamine transporter in dopamine system homeostasis. Brain Res. Rev. 1998, 26, 148–153. [Google Scholar] [CrossRef]
- Jullien, S. Sudden infant death syndrome prevention. BMC Pediatr. 2021, 21 (Suppl. 1), 320. [Google Scholar] [CrossRef] [PubMed]
- Florescu, A.; Ferrence, R.; Einarson, T.; Selby, P.; Soldin, O.; Koren, G. Methods for quantification of exposure to cigarette smoking and environmental tobacco smoke: Focus on developmental toxicology. Ther. Drug. Monit. 2009, 31, 14–30. [Google Scholar] [CrossRef] [PubMed] [Green Version]
- Lavezzi, A.M.; Ferrero, S.; Paradiso, B.; Chamitava, L.; Piscioli, F.; Pusiol, T. Neuropathology of Early Sudden Infant Death Syndrome-Hypoplasia of the Pontine Kolliker-Fuse Nucleus: A Possible Marker of Unexpected Collapse during Skin-to-Skin Care. Am. J. Perinatol. 2019, 36, 460–471. [Google Scholar] [CrossRef]
- Lavezzi, A.M.; Poloniato, A.; Rovelli, R.; Lorioli, L.; Iasi, G.A.; Pusiol, T.; Barera, G.; Ferrero, S. Massive Amniotic Fluid Aspiration in a Case of Sudden Neonatal Death With Severe Hypoplasia of the Retrotrapezoid/Parafacial Respiratory Group. Front. Pediatr. 2019, 7, 116. [Google Scholar] [CrossRef] [Green Version]
- Landis, R.J.; Koch, G.G. The measurement of observer agreement for categorical data. Biometrics. 1977, 33, 159–174. [Google Scholar] [CrossRef] [Green Version]
- Castles, A.; Adams, E.K.; Melvin, C.L.; Kelsch, C.; Boulton, M.L. Effects of smoking during pregnancy. Five meta-analyses. Am. J. Prev. Med. 1999, 16, 208–215. [Google Scholar] [CrossRef]
- Levin, E.D.; Slotkin, T.A. Developmental neurotoxicity of nicotine. In Handbook of Developmental Neurotoxicology; Slikker, W., Chang, L.W., Eds.; Academic Press: San Diego, CA, USA, 1998; pp. 587–615. [Google Scholar]
- Wisborg, K.; Kesmodel, U.; Henriksen, T.B.; Olsen, S.F.; Secher, N.J. Exposure to tobacco smoke in utero and the risk of stillbirth and death in the first year of life. Am. J. Epidemiol. 2001, 154, 322–327. [Google Scholar] [CrossRef] [Green Version]
- Lambers, D.S.; Clark, K.E. The maternal and fetal physiologic effects of nicotine. Semin. Perinatol. 1996, 20, 115–126. [Google Scholar] [CrossRef]
- Lichtensteiger, W.; Ribary, U.; Schiumpf, M.; Odermatt, B.; Widemer, H.R. Prenatal adverse effects of nicotine on the developing brain. Prog. Brain Res. 1988, 73, 137–157. [Google Scholar]
- Slotkin, T.A.; Cho, H.; Whitmore, W.L. Effects of prenatal nicotine exposure on neuronal development: Selective actions on central and peripheral catecholaminergic pathways. Brain Res. Bull. 1987, 18, 601–611. [Google Scholar] [CrossRef]
- Blood-Siegfried, J.; Rende, E.K. The long-term effects of prenatal nicotine exposure on neurologic development. J. Midwifery Women’s Health 2010, 55, 143–152. [Google Scholar] [CrossRef] [Green Version]
- Ernst, M.; Moolchan, E.T.; Robinson, M.L. Behavioral and neural consequences of prenatal exposure to nicotine. J. Am. Acad. Child. Adolesc. Psychiatry 2001, 40, 630–641. [Google Scholar] [CrossRef]
- Ribary, U.; Lichtensteiger, W. Effects of acute and chronic prenatal nicotine treatment on central catecholamine systems of male and female rat fetuses and offspring. J. Pharmacol. Exp. Ther. 1989, 248, 786–792. [Google Scholar]
- Navarro, H.A.; Seidler, F.J.; Whitmore, W.L.; Slotkin, T.A. Prenatal exposure to nicotine via maternal infusions: Effects on development of catecholamine systems. J. Pharmacol. Exp. Ther. 1988, 244, 940–944. [Google Scholar]
- Muneoka, K.; Nakatsu, T.; Fuji, J.; Ogawa, T.; Takigawa, M. Prenatal administration of nicotine results in dopaminergic alterations in the neocortex. Neurotoxicol. Teratol. 1999, 21, 603–609. [Google Scholar] [CrossRef]
- Oliff, H.S.; Gallardo, K.A. The effect of nicotine on developing brain catecholamine systems. Front. Biosci. 1999, 4, D883–D897. [Google Scholar] [CrossRef] [Green Version]
- Keller, R.F.; Kazemi, T.; Dragomir, A.; Akay, Y.M.; Akay, M. Comparison between dopaminergic and non-dopaminergic neurons in the VTA following chronic nicotine exposure during pregnancy. Sci. Rep. 2019, 9, 445. [Google Scholar] [CrossRef] [Green Version]
- Mazei-Robison, M.S.; Couch, R.S.; Shelto, R.C.; Stein, M.A.; Blakely, R.D. Sequence variation in the human dopamine transporter gene in children with attention deficit hyperactivity disorder. Neuropharmacology 2005, 49, 724–736. [Google Scholar] [CrossRef]
- Magistrelli, L.; Ferrari, M.; Furgiuele, A.; Milner, A.V.; Contaldi, E.; Comi, C.; Cosentino, M.; Marino, F. Polymorphisms of Dopamine Receptor Genes and Parkinson’s Disease: Clinical Relevance and Future Perspectives. Int. J. Mol. Sci. 2021, 22, 3781. [Google Scholar] [CrossRef]
- Arinami, T.; Gao, M.; Hamaguchi, H.; Toru, M. A functional polymorphism in the promoter region of the dopamine D2 receptor gene is associated with schizophrenia. Hum. Mol. Genet. 1997, 6, 577–582. [Google Scholar] [CrossRef] [PubMed]



| SIDS | CONTROLS | |
|---|---|---|
| Number of cases | 36 | 26 |
| Sex, male/female | 21/15 | 16/10 |
| Postnatal age in weeks, range (mean) | 4–30 (15.8) | 5–27 (15.0) |
| Died during sleep | 30 | 3 |
| maternal smoking, yes/no | 25/11 | 5/21 |
| Cases | TH | DAT | ||||||||||
|---|---|---|---|---|---|---|---|---|---|---|---|---|
| SNpc | PAGsm | SNpc | PAGsm | |||||||||
| + | ++ | +++ | + | ++ | +++ | + | ++ | +++ | + | ++ | +++ | |
| SIDS (36) | 28 | 7 | 1 | 28 | 8 | 0 | 28 | 4 | 4 | 28 | 5 | 3 |
| (78%) | (19%) | (3%) | (78%) | (22%) | (0%) | (78%) | (11%) | (11%) | (78%) | (14%) | (8%) | |
| CONTROLS (26) | 1 | 10 | 15 | 1 | 13 | 12 | 1 | 5 | 20 | 1 | 11 | 14 |
| (4%) | (38%) | (58%) | (4%) | (50%) | (46%) | (4%) | (19%) | (77%) | (4%) | (42%) | (54%) | |
| CASES | MATERNAL SMOKING Yes a No | |
|---|---|---|
| SIDS (n.36) | 25 (69%) 11 (31%) | |
| SNpc cytoarchitecture | normal (n.13) | 4 (11%) 9 (25%) |
| hypoplasia (n.23) | 21 (58%) 2 (6%) | |
| PAGsm cytoarchitecture | normal (n.16) | 6 (17%) 10 (27%) |
| hypoplasia (n.20) | 19 (53%) 1 (3%) | |
| TH/DAT immunoexpression | score ++/+++ (n.8) | 6 (17%) 2 (6%) |
| score + (n.28) | 19 (53%) 9 (25%) | |
| CONTROLS (n.26) | 5 (19%) 21 (69%) | |
| SNpc ytoarchitecture | normal (n.26) | 5 (19%) 21 (81%) |
| hypoplasia (n.0) | 0 (0%) 0 (0%) | |
| PAGsm cytoarchitecture | normal (n.26) | 5 (19%) 21 (81%) |
| hypoplasia (n.0) | 0 (0%) 0 (0%) | |
| TH/DAT immunoexpression | score ++/+++ (n.25) | 4 (15%) 21 (81%) |
| score + (n.1) | 1 (4%) 0 (0%) | |
Publisher’s Note: MDPI stays neutral with regard to jurisdictional claims in published maps and institutional affiliations. |
© 2021 by the author. Licensee MDPI, Basel, Switzerland. This article is an open access article distributed under the terms and conditions of the Creative Commons Attribution (CC BY) license (https://creativecommons.org/licenses/by/4.0/).
Share and Cite
Lavezzi, A.M. Altered Development of Mesencephalic Dopaminergic Neurons in SIDS: New Insights into Understanding Sudden Infant Death Pathogenesis. Biomedicines 2021, 9, 1534. https://doi.org/10.3390/biomedicines9111534
Lavezzi AM. Altered Development of Mesencephalic Dopaminergic Neurons in SIDS: New Insights into Understanding Sudden Infant Death Pathogenesis. Biomedicines. 2021; 9(11):1534. https://doi.org/10.3390/biomedicines9111534
Chicago/Turabian StyleLavezzi, Anna Maria. 2021. "Altered Development of Mesencephalic Dopaminergic Neurons in SIDS: New Insights into Understanding Sudden Infant Death Pathogenesis" Biomedicines 9, no. 11: 1534. https://doi.org/10.3390/biomedicines9111534
APA StyleLavezzi, A. M. (2021). Altered Development of Mesencephalic Dopaminergic Neurons in SIDS: New Insights into Understanding Sudden Infant Death Pathogenesis. Biomedicines, 9(11), 1534. https://doi.org/10.3390/biomedicines9111534

