The Acceleration of Diabetic Wound Healing by Low-Intensity Extracorporeal Shockwave Involves in the GSK-3β Pathway
Abstract
1. Introduction
2. Experimental Section
2.1. Animal Model
2.2. Experimental Design
2.3. Estimation of the Wound Healing Area
2.4. Quantitative Real-Time RT-PCR
2.5. Immunohistochemical (IHC) Staining and Histomorphometric Examination
2.6. Data management and Statistical Analysis
3. Results
3.1. ESWT and BIO Treatment Both Accelerated Wound Healing
3.2. ESWT Enhancement of Wound Healing Is Associated with the Expression of Genes in the Canonical and Noncanonical Wnt/β-Catenin Pathways
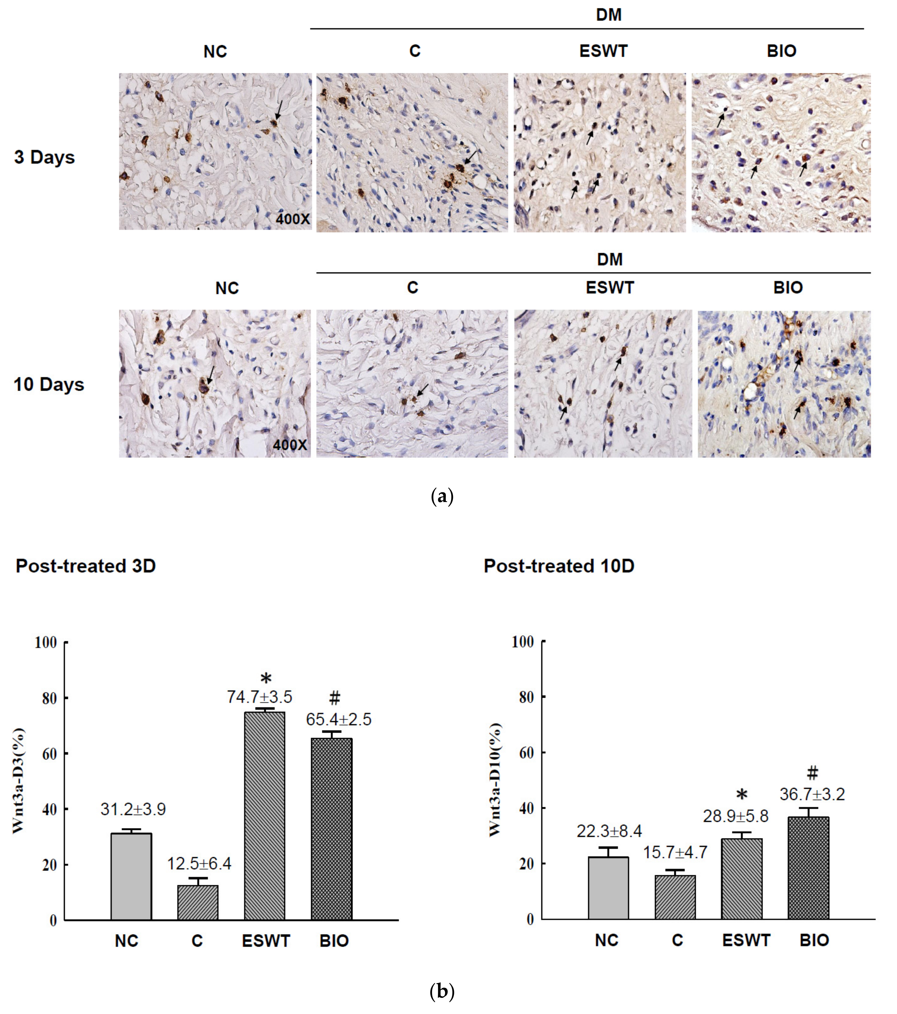
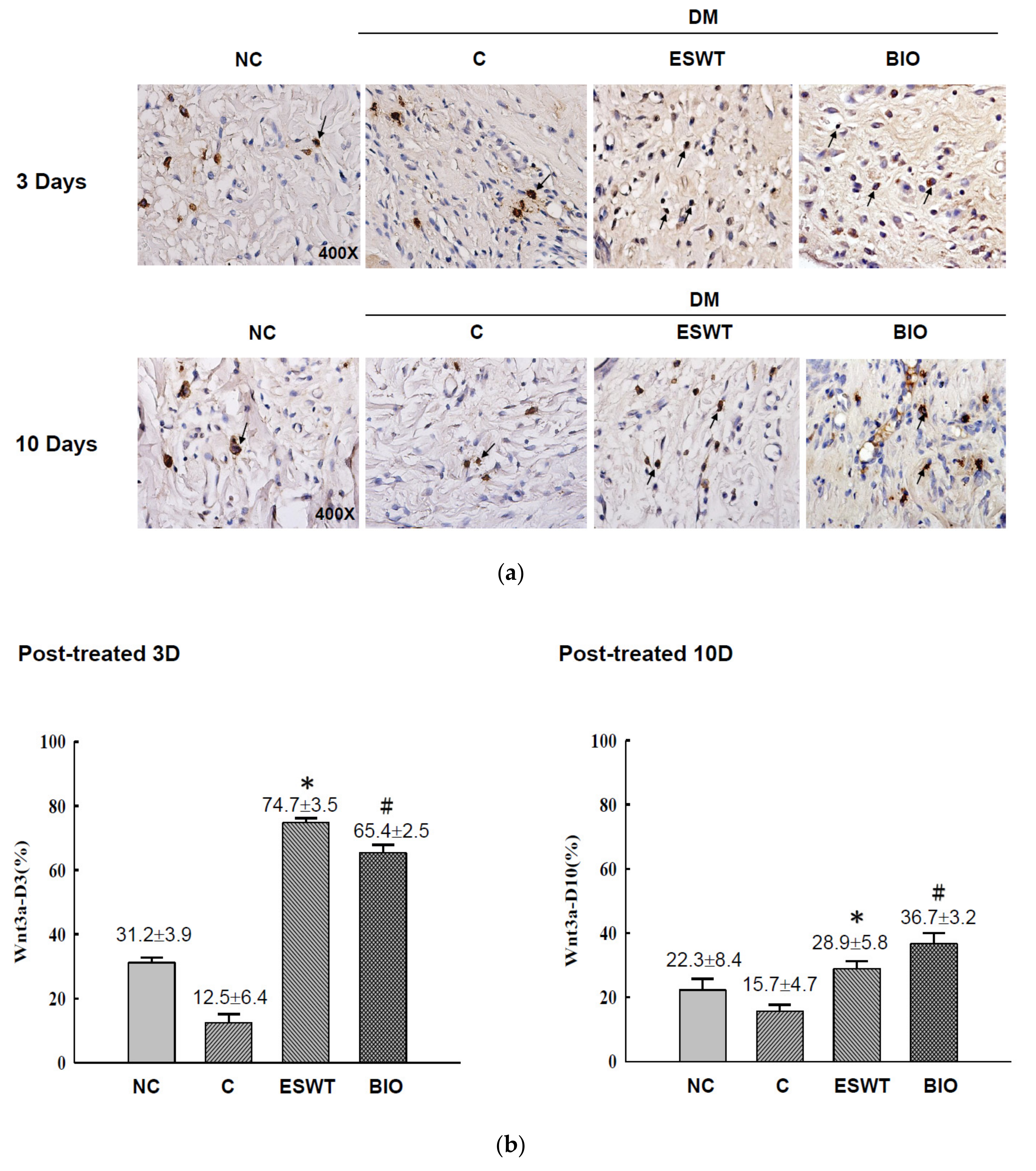
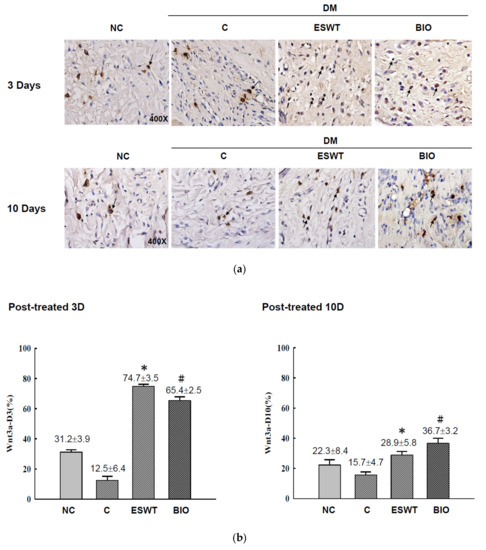
3.3. ESWT Increased the mRNA Expression of Wnt and β-Catenin Genes in Peri-Wounding Tissue
4. Discussion
5. Conclusions
Author Contributions
Funding
Conflicts of Interest
References
- Patel, S.; Srivastava, S.; Singh, M.R.; Singh, D. Mechanistic insight into diabetic wounds: Pathogenesis, molecular targets and treatment strategies to pace wound healing. Biomed. Pharmacother. 2019, 112, 108615. [Google Scholar] [CrossRef]
- Ghanem, E.; Heppert, V.; Spangehl, M.; Abraham, J.; Azzam, K.; Barnes, L.; Burgo, F.J.; Ebeid, W.; Goyal, N.; Guerra, E.; et al. Wound management. J. Orthop. Res. 2014, 32, S108–S119. [Google Scholar] [CrossRef]
- Mohseni, S.; Aalaa, M.; Atlasi, R.; Mohajeri Tehrani, M.R.; Sanjari, M.; Amini, M.R. The effectiveness of negative pressure wound therapy as a novel management of diabetic foot ulcers: An overview of systematic reviews. J. Diabetes. Metab. Disord. 2019, 18, 625–641. [Google Scholar] [CrossRef]
- Cavanagh, P.R.; Lipsky, B.A.; Bradbury, A.W.; Botek, G. Treatment for diabetic foot ulcers. Lancet 2005, 366, 1725–1735. [Google Scholar] [CrossRef]
- Harding, K.G.; Jones, V.; Price, P. Topical treatment: Which dressing to choose. Diabetes. Metab. Res. Rev. 2000, 16, S47–S50. [Google Scholar] [CrossRef]
- Roeckl-Wiedmann, I.; Bennett, M.; Kranke, P. Systematic review of hyperbaric oxygen in the management of chronic wounds. Br. J. Surg. 2005, 92, 24–32. [Google Scholar] [CrossRef]
- Cheng, J.H.; Wang, C.J. Biological mechanism of shockwave in bone. Int. J. Surg. 2015, 24, 143–146. [Google Scholar] [CrossRef]
- Wang, C.J.; Chen, H.S.; Chen, W.S.; Chen, L.M. Treatment of painful heels using extracorporeal shock wave. J. Formos. Med. Assoc. 2000, 99, 580–583. [Google Scholar]
- Wang, C.J. Extracorporeal shockwave therapy in musculoskeletal disorders. J. Orthop. Surg. Res. 2012, 7, 11. [Google Scholar] [CrossRef]
- Wang, C.J. An overview of shock wave therapy in musculoskeletal disorders. Chang. Gung. Med. J. 2003, 26, 220–232. [Google Scholar]
- Kuo, Y.R.; Wu, W.S.; Hsieh, Y.L.; Wang, F.S.; Wang, C.T.; Chiang, Y.C.; Wang, C.J. Extracorporeal shock wave enhanced extended skin flap tissue survival via increase of topical blood perfusion and associated with suppression of tissue pro-inflammation. J. Surg. Res. 2007, 143, 385–392. [Google Scholar] [CrossRef]
- Liu, T.; Shindel, A.W.; Lin, G.; Lue, T.F. Cellular signaling pathways modulated by low-intensity extracorporeal shock wave therapy. Int. J. Impot. Res. 2019, 31, 170–176. [Google Scholar] [CrossRef]
- Chen, R.F.; Chang, C.H.; Wang, C.T.; Yang, M.Y.; Wang, C.J.; Kuo, Y.R. Modulation of vascular endothelial growth factor and mitogen-activated protein kinase-related pathway involved in extracorporeal shockwave therapy accelerate diabetic wound healing. Wound Repair. Regen. 2019, 27, 69–79. [Google Scholar] [CrossRef]
- Kuo, Y.R.; Wang, C.T.; Wang, F.S.; Chiang, Y.C.; Wang, C.J. Extracorporeal shock-wave therapy enhanced wound healing via increasing topical blood perfusion and tissue regeneration in a rat model of STZ-induced diabetes. Wound Repair. Regen. 2009, 17, 522–530. [Google Scholar] [CrossRef] [PubMed]
- Chen, R.F.; Yang, M.Y.; Wang, C.J.; Wang, C.T.; Kuo, Y.R. Proteomic Analysis of Peri-Wounding Tissue Expressions in Extracorporeal Shock Wave Enhanced Diabetic Wound Healing in a Streptozotocin-Induced Diabetes Model. Int. J. Mol. Sci. 2020, 21, 5445. [Google Scholar] [CrossRef]
- Wang, C.J.; Wu, R.W.; Yang, Y.J. Treatment of diabetic foot ulcers: A comparative study of extracorporeal shockwave therapy and hyperbaric oxygen therapy. Diabetes Res. Clin. Pract. 2011, 92, 187–193. [Google Scholar] [CrossRef] [PubMed]
- Wang, C.J.; Wu, C.T.; Yang, Y.J.; Liu, R.T.; Kuo, Y.R. Long-term outcomes of extracorporeal shockwave therapy for chronic foot ulcers. J. Surg. Res. 2014, 189, 366–372. [Google Scholar] [CrossRef] [PubMed]
- Saraswati, A.P.; Ali Hussaini, S.M.; Krishna, N.H.; Babu, B.N.; Kamal, A. Glycogen synthase kinase-3 and its inhibitors: Potential target for various therapeutic conditions. Eur. J. Med. Chem. 2018, 144, 843–858. [Google Scholar] [CrossRef] [PubMed]
- Cheon, S.S.; Nadesan, P.; Poon, R.; Alman, B.A. Growth factors regulate beta-catenin-mediated TCF-dependent transcriptional activation in fibroblasts during the proliferative phase of wound healing. Exp. Cell Res. 2004, 293, 267–274. [Google Scholar] [CrossRef]
- Carre, A.L.; Hu, M.S.; James, A.W.; Kawai, K.; Galvez, M.G.; Longaker, M.T.; Lorenz, H.P. Beta-Catenin-Dependent Wnt Signaling: A Pathway in Acute Cutaneous Wounding. Plast. Reconstr. Surg. 2018, 141, 669–678. [Google Scholar] [CrossRef]
- Han, Y.; Sun, T.; Han, Y.; Lin, L.; Liu, C.; Liu, J.; Yan, G.; Tao, R. Human umbilical cord mesenchymal stem cells implantation accelerates cutaneous wound healing in diabetic rats via the Wnt signaling pathway. Eur. J. Med. Res. 2019, 24, 10. [Google Scholar] [CrossRef] [PubMed]
- Moon, R.T.; Brown, J.D.; Torres, M. WNTs modulate cell fate and behavior during vertebrate development. Trends. Genet. 1997, 13, 157–162. [Google Scholar] [CrossRef]
- Siar, C.H.; Nagatsuka, H.; Han, P.P.; Buery, R.R.; Tsujigiwa, H.; Nakano, K.; Ng, K.H.; Kawakami, T. Differential expression of canonical and non-canonical Wnt ligands in ameloblastoma. J. Oral. Pathol. Med. 2012, 41, 332–339. [Google Scholar] [CrossRef] [PubMed]
- Lin, C.L.; Wang, J.Y.; Huang, Y.T.; Kuo, Y.H.; Surendran, K.; Wang, F.S. Wnt/beta-catenin signaling modulates survival of high glucose-stressed mesangial cells. J. Am. Soc. Nephrol. 2006, 17, 2812–2820. [Google Scholar] [CrossRef]
- Ishida-Takagishi, M.; Enomoto, A.; Asai, N.; Ushida, K.; Watanabe, T.; Hashimoto, T.; Kato, T.; Weng, L.; Matsumoto, S.; Asai, M.; et al. The Dishevelled-associating protein Daple controls the non-canonical Wnt/Rac pathway and cell motility. Nat. Commun. 2012, 3, 859. [Google Scholar] [CrossRef]
- Ho, H.Y.; Susman, M.W.; Bikoff, J.B.; Ryu, Y.K.; Jonas, A.M.; Hu, L.; Kuruvilla, R.; Greenberg, M.E. Wnt5a-Ror-Dishevelled signaling constitutes a core developmental pathway that controls tissue morphogenesis. Proc. Natl. Acad. Sci. USA 2012, 109, 4044–4051. [Google Scholar] [CrossRef]
- Arnsdorf, E.J.; Tummala, P.; Jacobs, C.R. Non-canonical Wnt signaling and N-cadherin related beta-catenin signaling play a role in mechanically induced osteogenic cell fate. PLoS ONE 2009, 4, e5388. [Google Scholar] [CrossRef]
- Vandenberg, A.L.; Sassoon, D.A. Non-canonical Wnt signaling regulates cell polarity in female reproductive tract development via van gogh-like 2. Development 2009, 136, 1559–1570. [Google Scholar] [CrossRef]
- Grumolato, L.; Liu, G.; Mong, P.; Mudbhary, R.; Biswas, R.; Arroyave, R.; Vijayakumar, S.; Economides, A.N.; Aaronson, S.A. Canonical and noncanonical Wnts use a common mechanism to activate completely unrelated coreceptors. Genes. Dev. 2010, 24, 2517–2530. [Google Scholar] [CrossRef]
- Chen, R.F.; Wang, C.T.; Chen, Y.H.; Chien, C.M.; Lin, S.D.; Lai, C.S.; Wang, C.J.; Kuo, Y.R. Hyaluronic Acid-Povidone-Iodine Compound Facilitates Diabetic Wound Healing in a Streptozotocin-Induced Diabetes Rodent Model. Plast. Reconstr. Surg. 2019, 143, 1371–1382. [Google Scholar] [CrossRef]
- Hiyama, A.; Yokoyama, K.; Nukaga, T.; Sakai, D.; Mochida, J. A complex interaction between Wnt signaling and TNF-alpha in nucleus pulposus cells. Arthritis. Res. Ther. 2013, 15, R189. [Google Scholar] [CrossRef]
- Chen, R.F.; Chang, C.H.; Wang, C.T.; Kuo, Y.R. Suppression of Oxygen Radicals Protects Diabetic Endothelium Damage and Tissue Perfusion in a Streptozotocin-Induced Diabetes Rodent Model. Ann. Plast. Surg. 2019, 82, S18–S22. [Google Scholar] [CrossRef]
- Chen, R.F.; Wang, C.T.; Kuo, Y.R. Reply: Hyaluronic Acid-Povidone-Iodine Compound Facilitates Diabetic Wound Healing in a Streptozotocin-Induced Diabetes Rodent Model. Plast. Reconstr. Surg. 2020, 145, 455e–456e. [Google Scholar] [CrossRef]
- Ho, C.; Lee, P.H.; Hsu, Y.C.; Wang, F.S.; Huang, Y.T.; Lin, C.L. Sustained Wnt/beta-catenin signaling rescues high glucose induction of transforming growth factor-beta1-mediated renal fibrosis. Am. J. Med. Sci. 2012, 344, 374–382. [Google Scholar] [CrossRef]
- Hausner, T.; Nogradi, A. The use of shock waves in peripheral nerve regeneration: New perspectives? Int. Rev. Neurobiol. 2013, 109, 85–98. [Google Scholar] [CrossRef]
- Frairia, R.; Berta, L. Biological effects of extracorporeal shock waves on fibroblasts. A review. Muscles Ligaments. Tendons. J. 2011, 1, 138–147. [Google Scholar]
- Kuo, Y.R.; Wang, C.T.; Wang, F.S.; Yang, K.D.; Chiang, Y.C.; Wang, C.J. Extracorporeal shock wave treatment modulates skin fibroblast recruitment and leukocyte infiltration for enhancing extended skin-flap survival. Wound Repair. Regen. 2009, 17, 80–87. [Google Scholar] [CrossRef]
- Ciampa, A.R.; de Prati, A.C.; Amelio, E.; Cavalieri, E.; Persichini, T.; Colasanti, M.; Musci, G.; Marlinghaus, E.; Suzuki, H.; Mariotto, S. Nitric oxide mediates anti-inflammatory action of extracorporeal shock waves. FEBS Lett. 2005, 579, 6839–6845. [Google Scholar] [CrossRef]
- Qureshi, A.A.; Ross, K.M.; Ogawa, R.; Orgill, D.P. Shock wave therapy in wound healing. Plast. Reconstr. Surg. 2011, 128, 721e–727e. [Google Scholar] [CrossRef]
- Hofmann, A.; Ritz, U.; Hessmann, M.H.; Alini, M.; Rommens, P.M.; Rompe, J.D. Extracorporeal shock wave-mediated changes in proliferation, differentiation, and gene expression of human osteoblasts. J. Trauma 2008, 65, 1402–1410. [Google Scholar] [CrossRef]
- Mannava, A.G.; Tolwinski, N.S. Membrane bound GSK-3 activates Wnt signaling through disheveled and arrow. PLoS ONE 2015, 10, e0121879. [Google Scholar] [CrossRef]
- Kan, W.; Enos, M.D.; Korkmazhan, E.; Muennich, S.; Chen, D.H.; Gammons, M.V.; Vasishtha, M.; Bienz, M.; Dunn, A.R.; Skiniotis, G.; et al. Limited dishevelled/Axin oligomerization determines efficiency of Wnt/beta-catenin signal transduction. Elife 2020, 9, e55015. [Google Scholar] [CrossRef]
- Wang, C.J.; Sun, Y.C.; Wu, C.T.; Weng, L.H.; Wang, F.S. Molecular changes after shockwave therapy in osteoarthritic knee in rats. Shock Waves 2013, 1–7. [Google Scholar] [CrossRef]
- Gordon, M.D.; Nusse, R. Wnt signaling: Multiple pathways, multiple receptors, and multiple transcription factors. J. Biol. Chem. 2006, 281, 22429–22433. [Google Scholar] [CrossRef]





| NC | C | ESWT | p-Value | |
|---|---|---|---|---|
| Wnt1 | 1.5 ± 0.9 | 1 | 7.6 ± 2.3 | * p < 0.001 |
| Wnt3a | 2.2 ± 0.1 | 1 | 2.0 ± 0.4 | * p < 0.001 |
| Wnt4 | 1.2 ± 0.6 | 1 | 2.6 ± 0.5 | * p < 0.001 |
| Wnt5a | 0.9 ± 0.0 | 1 | 4.6 ± 1.3 | * p < 0.001 |
| Wnt10 | 1.7 ± 0.5 | 1 | 1.5 ± 0.4 | 0.242 |
| β-catenin | 0.8 ± 0.3 | 1 | 1.8 ± 0.1 | * p < 0.001 |
Publisher’s Note: MDPI stays neutral with regard to jurisdictional claims in published maps and institutional affiliations. |
© 2020 by the authors. Licensee MDPI, Basel, Switzerland. This article is an open access article distributed under the terms and conditions of the Creative Commons Attribution (CC BY) license (http://creativecommons.org/licenses/by/4.0/).
Share and Cite
Chen, R.-F.; Lin, Y.-N.; Liu, K.-F.; Wang, C.-T.; Ramachandran, S.; Wang, C.-J.; Kuo, Y.-R. The Acceleration of Diabetic Wound Healing by Low-Intensity Extracorporeal Shockwave Involves in the GSK-3β Pathway. Biomedicines 2021, 9, 21. https://doi.org/10.3390/biomedicines9010021
Chen R-F, Lin Y-N, Liu K-F, Wang C-T, Ramachandran S, Wang C-J, Kuo Y-R. The Acceleration of Diabetic Wound Healing by Low-Intensity Extracorporeal Shockwave Involves in the GSK-3β Pathway. Biomedicines. 2021; 9(1):21. https://doi.org/10.3390/biomedicines9010021
Chicago/Turabian StyleChen, Rong-Fu, Yun-Nan Lin, Keng-Fan Liu, Chun-Ting Wang, Savitha Ramachandran, Ching-Jen Wang, and Yur-Ren Kuo. 2021. "The Acceleration of Diabetic Wound Healing by Low-Intensity Extracorporeal Shockwave Involves in the GSK-3β Pathway" Biomedicines 9, no. 1: 21. https://doi.org/10.3390/biomedicines9010021
APA StyleChen, R.-F., Lin, Y.-N., Liu, K.-F., Wang, C.-T., Ramachandran, S., Wang, C.-J., & Kuo, Y.-R. (2021). The Acceleration of Diabetic Wound Healing by Low-Intensity Extracorporeal Shockwave Involves in the GSK-3β Pathway. Biomedicines, 9(1), 21. https://doi.org/10.3390/biomedicines9010021

