MSH2 Overexpression Due to an Unclassified Variant in 3’-Untranslated Region in a Patient with Colon Cancer
Abstract
1. Introduction
2. Materials and Methods
2.1. DNA Extraction from Patient Samples
2.2. DNA Amplification and Microsatellite Analysis
2.3. Immunohistochemistry
2.4. RNA and Protein Analysis
2.5. Luciferase Constructs and Reporter Assay
2.6. Statistical Analysis
3. Results
3.1. Selected Patients
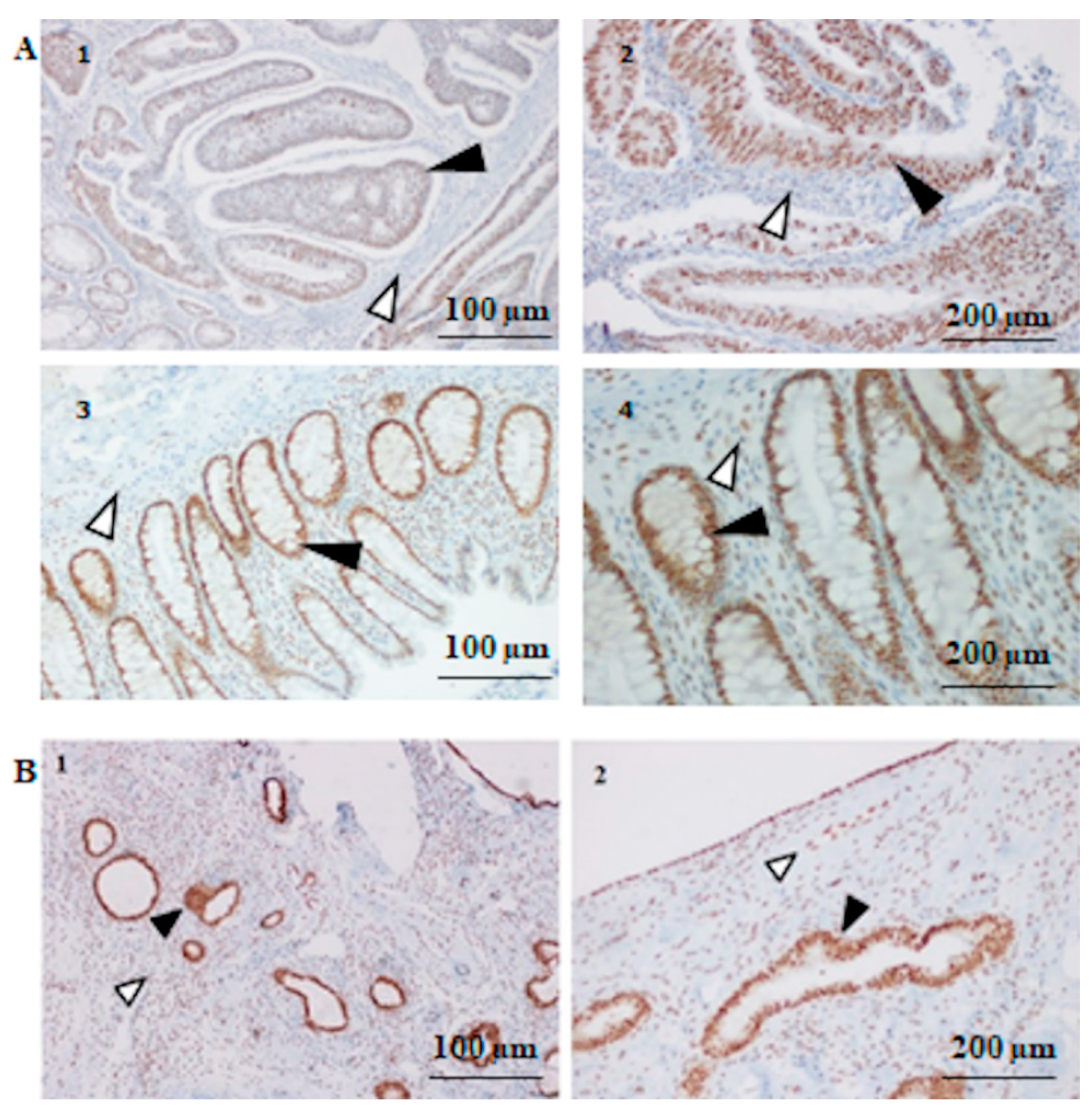
3.2. Microsatellite and Immunohistochemistry Analysis
3.3. Overexpression of MSH2 Gene and Overexpression of MSH2 Protein
3.4. Functional Effect of the MSH2 3′ UTR Variant on Reporter Luciferase Expression
4. Discussion
Author Contributions
Funding
Acknowledgments
Conflicts of Interest
References
- Jiricny, J. The multifaceted mismatch-repair system. Nat. Rev. Mol. Cell Biol. 2006, 5, 335–346. [Google Scholar] [CrossRef] [PubMed]
- Schmidt, M.H.; Pearson, C.E. Disease-associated repeat instability and mismatch repair. DNA Repair 2016, 38, 117–126. [Google Scholar] [CrossRef] [PubMed]
- Zhang, H.; Richards, B. Apoptosis induced by overexpression of hMSH2 or hMLH1. Cancer Res. 1999, 59, 3021–3027. [Google Scholar] [PubMed]
- Frosina, G. Overexpression of enzymes that repair endogenous damage to DNA. Eur. J. Biochem. 2000, 267, 2135–2149. [Google Scholar] [CrossRef] [PubMed]
- Shcherbakova, P.V.; Hall, M.C. Inactivation of DNA mismatch repair by increased expression of yeast MLH1. Mol. Cell Biol. 2001, 21, 940–951. [Google Scholar] [CrossRef]
- Boland, C.R.; Thibodeau, S.N. A National Cancer Institute Workshop on Microsatellite Instability for cancer detection and familial predisposition: Development of international criteria for the determination of microsatellite instability in colorectal cancer. Cancer Res. 1998, 58, 5248–5257. [Google Scholar]
- Duraturo, F.; Liccardo, R. Genetics, diagnosis and treatment of Lynch syndrome: Old lessons and current challenges. Oncol. Lett. 2019, 17, 3048–3054. [Google Scholar] [CrossRef]
- Liccardo, R.; Ragione, D.C. Novel variants of unknown significance in the PMS2 gene identified in patients with hereditary colon cancer. Cancer Manag. Res. 2019, 11, 6719–6725. [Google Scholar] [CrossRef]
- Duraturo, F.; Liccardo, R. Multivariate analysis as a method for evaluating the pathogenicity of novel genetic MLH1 variants in patients with colorectal cancer and microsatellite instability. Int. J. Mol. Med. 2015, 36, 511–517. [Google Scholar] [CrossRef]
- Liccardo, R.; De Rosa, M. Incomplete Segregation of MSH6 Frameshift Variants with Phenotype of Lynch Syndrome. Int. J. Mol. Sci. 2017, 18, 999. [Google Scholar] [CrossRef]
- Duraturo, F.; Cavallo, A. Contribution of large genomic rearrangements in Italian Lynch syndrome patients: Characterization of a novel alu-mediated deletion. Biomed. Res. Int. 2013, 2013, 219897. [Google Scholar] [CrossRef] [PubMed]
- Liccardo, R.; De Rosa, M. Characterization of novel, large duplications in the MSH2 gene of three unrelated Lynch syndrome patients. Cancer Genet. 2018, 221, 19–24. [Google Scholar] [CrossRef]
- Kašubová, I.; Holubeková, V. Next Generation Sequencing in Molecular Diagnosis of Lynch Syndrome—A Pilot Study Using New Stratification Criteria. Acta Medica (Hradec Kralove) 2018, 61, 98–102. [Google Scholar] [CrossRef] [PubMed]
- Xicola, R.M.; Clark, J.R. Implication of DNA repair genes in Lynch-like syndrome. Fam. Cancer. 2019, 18, 331–342. [Google Scholar] [CrossRef] [PubMed]
- Liccardo, R.; De Rosa, M. Novel Implications in Molecular Diagnosis of Lynch Syndrome. Gastroenterol. Res. Pract. 2017, 2017, 2595098. [Google Scholar]
- Wong, S.; Hui, P. Frequent loss of mutation-specific mismatch repair protein expression in nonneoplastic endometrium of Lynch syndrome patients. Mod. Pathol. 2020, 33, 1172–1181. [Google Scholar] [CrossRef]
- Mao, G.; Pan, X. Evidence that a mutation in the MLH1 3′-untranslated region confers a mutator phenotype and mismatch repair deficiency in patients with relapsed leukemia. J. Biol. Chem. 2008, 283, 3211–3216. [Google Scholar] [CrossRef]
- Caggiano, R.; Cattaneo, F. miR-128 Is Implicated in Stress Responses by Targeting MAFG in Skeletal Muscle Cells. Oxidative Med. Cell. Longev. 2017. [Google Scholar] [CrossRef]
- Turano, M.; Costabile, V. Characterisation of mesenchymal colon tumour-derived cells in tumourspheres as a model for colorectal cancer progression. Int. J. Oncol. 2018, 53, 2379–2396. [Google Scholar] [CrossRef]
- Duraturo, F.; Liccardo, R. Coexistence of MLH3 germline variants in colon cancer patients belonging to families with Lynch syndrome-associated brain tumors. J. Neuro-Oncol. 2016, 129, 577–578. [Google Scholar] [CrossRef]
- Lo Monte, A.I.; Cudia, B.; Liccardo, R.; Izzo, P.; Duraturo, F. Involvement of large rearrangements in MSH6 and PMS2 genes in southern Italian patients with Lynch syndrome. Eur. J. Oncol. 2018, 23, 47–51. [Google Scholar]
- Marra, G.; Iaccarino, I. Mismatch repair deficiency associated with overexpression of the MSH3 gene. Proc. Natl. Acad. Sci. USA 1998, 95, 8568–8573. [Google Scholar] [CrossRef] [PubMed]
- Winnepenninckx, V.; Lazar, V. Melanoma Group of the European Organization for Research and Treatment of Cancer. Gene expression profiling of primary cutaneous melanoma and clinical outcome. J. Natl. Cancer Inst. 2006, 98, 472–482. [Google Scholar] [CrossRef] [PubMed]
- Kauffmann, A.; Rosselli, F. High expression of DNA repair pathways is associated with metastasis in melanoma patients. Oncogene 2008, 27, 565–573. [Google Scholar] [CrossRef]
- Alvino, E.; Passarelli, F. High expression of the mismatch repair protein MSH6 is associated with poor patient survival in melanoma. Am. J. Clin. Pathol. 2014, 142, 121–132. [Google Scholar] [CrossRef]
- Cummins, J.M.; He, Y. The colorectal microRNAome. Proc. Natl. Acad. Sci. USA 2006, 103, 3687–3692. [Google Scholar] [CrossRef]
- Landau, D.A.; Frank, J.S. MicroRNAs in Mutagenesis, Genomic Instability and DNA Repair. Semin. Oncol. 2011, 38, 743–751. [Google Scholar] [CrossRef]
- Bartel, D.P. MicroRNAs: Target recognition and regulatory functions. Cell 2009, 136, 215–233. [Google Scholar] [CrossRef]
- Fabian, M.R.; Sonenberg, N. Regulation of mRNA translation and stability by microRNAs. Annu. Rev. Biochem. 2010, 79, 351–379. [Google Scholar] [CrossRef]
- Valeri, N.; Gasparini, P. MicroRNA-21 induces resistance to 5-fluorouracil by down-regulating human DNA MutS homolog 2 (hMSH2). Proc. Natl. Acad. Sci. USA 2010, 107, 21098–21103. [Google Scholar] [CrossRef]
- Svrcek, M.; El-Murr, N. Overexpression of microRNAs-155 and 21 targeting mismatch repair proteins in inflammatory bowel diseases. Carcinogenesis 2013, 34, 828–834. [Google Scholar] [CrossRef] [PubMed]
- Mao, G.; Lee, S. Modulation of microRNA processing by mismatch repair protein MutLα. Cell Res. 2012, 22, 973–985. [Google Scholar] [CrossRef] [PubMed]
- Sarasin, A.; Kauffmann, A. Overexpression of DNA repair genes is associated with metastasis: A new hypothesis. Mutat. Res. 2008, 659, 49–55. [Google Scholar] [CrossRef] [PubMed]
- Wilczak, W.; Rashed, S. Up-regulation of mismatch repair genes MSH6, PMS2 and MLH1 parallels development of genetic instability and is linked to tumor aggressiveness and early PSA recurrence in prostate cancer. Carcinogenesis 2017, 38, 19–27. [Google Scholar] [CrossRef]
- Chakraborty, U.; Dinh, T.A. Genomic Instability Promoted by Overexpression of Mismatch Repair Factors in Yeast: A Model for Understanding Cancer Progression. Genetics 2018, 209, 439–456. [Google Scholar] [CrossRef] [PubMed]





© 2020 by the authors. Licensee MDPI, Basel, Switzerland. This article is an open access article distributed under the terms and conditions of the Creative Commons Attribution (CC BY) license (http://creativecommons.org/licenses/by/4.0/).
Share and Cite
Liccardo, R.; Nolano, A.; Lambiase, M.; Della Ragione, C.; De Rosa, M.; Izzo, P.; Duraturo, F. MSH2 Overexpression Due to an Unclassified Variant in 3’-Untranslated Region in a Patient with Colon Cancer. Biomedicines 2020, 8, 167. https://doi.org/10.3390/biomedicines8060167
Liccardo R, Nolano A, Lambiase M, Della Ragione C, De Rosa M, Izzo P, Duraturo F. MSH2 Overexpression Due to an Unclassified Variant in 3’-Untranslated Region in a Patient with Colon Cancer. Biomedicines. 2020; 8(6):167. https://doi.org/10.3390/biomedicines8060167
Chicago/Turabian StyleLiccardo, Raffaella, Antonio Nolano, Matilde Lambiase, Carlo Della Ragione, Marina De Rosa, Paola Izzo, and Francesca Duraturo. 2020. "MSH2 Overexpression Due to an Unclassified Variant in 3’-Untranslated Region in a Patient with Colon Cancer" Biomedicines 8, no. 6: 167. https://doi.org/10.3390/biomedicines8060167
APA StyleLiccardo, R., Nolano, A., Lambiase, M., Della Ragione, C., De Rosa, M., Izzo, P., & Duraturo, F. (2020). MSH2 Overexpression Due to an Unclassified Variant in 3’-Untranslated Region in a Patient with Colon Cancer. Biomedicines, 8(6), 167. https://doi.org/10.3390/biomedicines8060167

