McArdle Disease: Clinical, Biochemical, Histological and Molecular Genetic Analysis of 60 Patients
Abstract
1. Introduction
2. Material and Methods
2.1. Patients
2.2. Clinical Characterisation
2.3. Laboratory Studies
2.4. Biochemical and Histological Analysis of Muscle Biopsies
2.5. Molecular Genetic Analysis
2.6. Genotype-Phenotype Correlation
3. Results
3.1. Clinical Features
3.2. Laboratory Tests
3.3. Biochemical Features
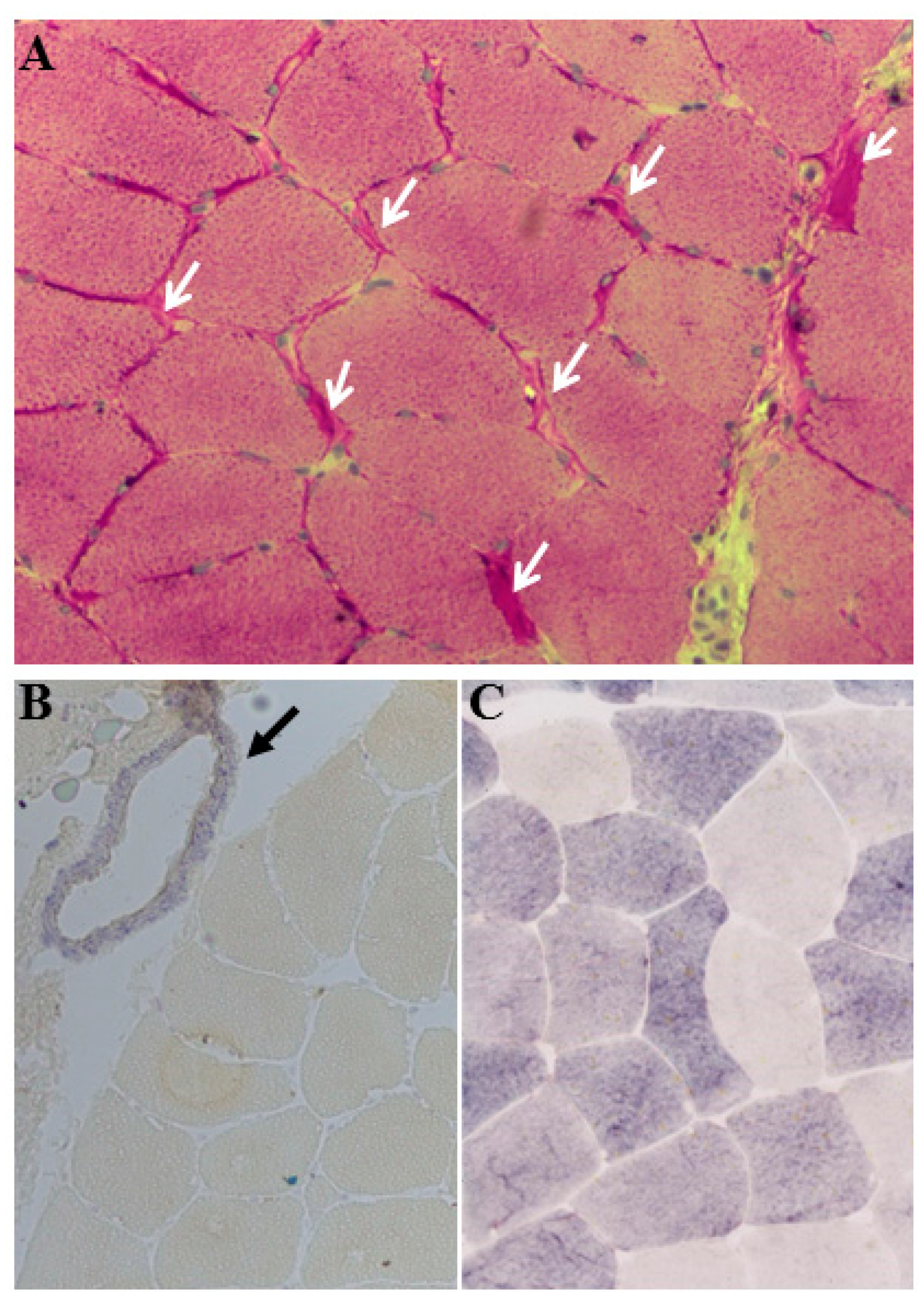
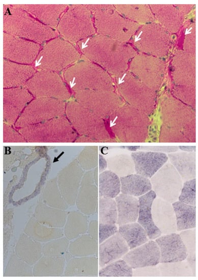
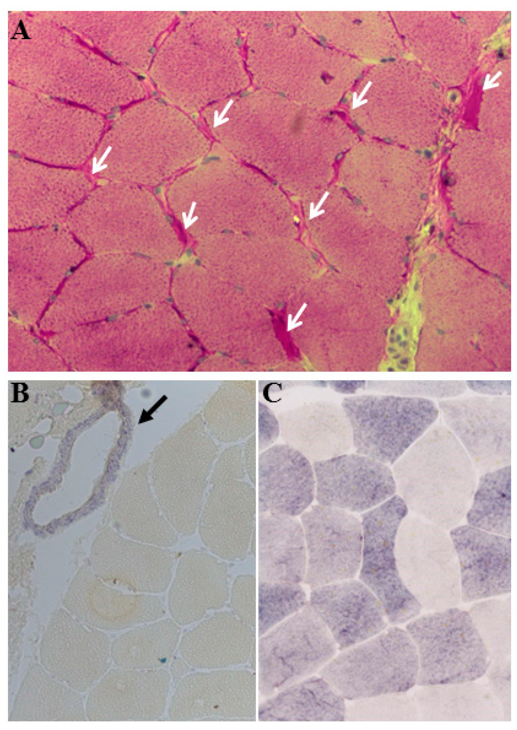
3.4. Histological Findings
3.5. Molecular Genetic Features
3.6. Genotype–Phenotype Correlation
4. Discussion
4.1. Clinical Features
4.2. Laboratory Findings
4.3. Biochemical Features
4.4. Myohistological and Histochemical Features
4.5. Molecular Genetic Features
4.6. Genotype–Phenotype Correlation
5. Conclusions
Author Contributions
Funding
Acknowledgments
Conflicts of Interest
References
- Dimauro, S.; Andreu, A.L.; Bruno, C.; Hadjigeorgiou, G.M. Myophosphorylase deficiency (glycogenosis type V.; McArdle disease). Curr. Mol. Med. 2002, 2, 189–196. [Google Scholar] [CrossRef] [PubMed]
- Deschauer, M.; Morgenroth, A.; Joshi, P.R.; Gläser, D.; Chinnery, P.F.; Aasly, J.; Schreiber, H.; Knape, M.; Zierz, S.; Vorgerd, M. Analysis of spectrum and frequencies of mutations in McArdle disease. Identification of 13 novel mutations. J. Neurol. 2007, 254, 797–802. [Google Scholar] [CrossRef] [PubMed]
- Santalla, A.; Nogales-Gadea, G.; Encinar, A.B.; Vieitez, I.; González-Quintana, A.; Serrano-Lorenzo, P.; Consuegra, I.G.; Asensio, S.; Ballester-Lopez, A.; Pintos-Morell, G.; et al. Genotypic and phenotypic features of all Spanish patients with McArdle disease: A 2016 update. BMC Genom. 2017, 18, 819. [Google Scholar] [CrossRef] [PubMed]
- Nogales-Gadea, G.; Brull, A.; Santalla, A.; Andreu, A.L.; Arenas, J.; Martín, M.A.; Lucia, A.; de Luna, N.; Pinós, T. McArdle Disease: Update of Reported Mutations and Polymorphisms in the PYGM Gene. Hum. Mutat. 2015, 36, 669–678. [Google Scholar] [CrossRef]
- Tsujino, S.; Shanske, S.; DiMauro, S. Molecular genetic heterogeneity of myophosphorylase deficiency (McArdle’s disease). N. Engl. J. Med. 1993, 329, 241–245. [Google Scholar] [CrossRef]
- Martín, M.A.; Rubio, J.C.; Wevers, R.A.; Van Engelen, B.G.M.; Steenbergen, G.C.H.; Van Diggelen, O.P.; De Visser, M.; De Die-Smulders, C.; Blázquez, A.; Andreu, A.L.; et al. Molecular analysis of myophosphorylase deficiency in Dutch patients with McArdle’s disease. Ann. Hum. Genet. 2004, 68, 17–22. [Google Scholar] [CrossRef]
- Martinuzzi, A.; Tsujino, S.; Vergani, L.; Schievano, G.; Cadaldini, M.; Bartoloni, L.; Fanin, M.; Siciliano, G.; Shanske, S.; DiMauro, S.; et al. Molecular characterization of myophosphorylase deficiency in a group of patients from northern Italy. J. Neurol. Sci. 1996, 137, 14–19. [Google Scholar] [CrossRef]
- Krawczak, M.; Ball, E.V.; Fenton, I.; Stenson, P.D.; Abeysinghe, S.; Thomas, N.; Cooper, D.N. Human gene mutation database-a biomedical information and research resource. Hum. Mutat. 2000, 15, 45–51. [Google Scholar] [CrossRef]
- Quinlivan, R.; Buckley, J.; James, M.; Twist, A.; Ball, S.; Duno, M.; Vissing, J.; Bruno, C.; Cassandrini, D.; Roberts, M.; et al. McArdle disease: A clinical review. J. Neurol. Neurosurg. Psychiatry 2010, 81, 1182–1188. [Google Scholar] [CrossRef]
- De Castro, M.; Johnston, J.; Biesecker, L. Determining the prevalence of McArdle disease from gene frequency by analysis of next-generation sequencing data. Genet. Med. 2015, 17, 1002–1006. [Google Scholar] [CrossRef]
- Lucia, A.; Ruiz, J.R.; Santalla, A.; Nogales-Gadea, G.; Rubio, J.C.; García-Consuegra, I.; Cabello, A.; Pérez, M.; Teijeira, S.; Vieitez, I.; et al. Genotypic and phenotypic features of McArdle disease: Insights from the Spanish national registry. J. Neurol. Neurosurg. Psychiatry 2012, 83, 322–328. [Google Scholar] [CrossRef] [PubMed]
- Bruno, C.; Cassandrini, D.; Martinuzzi, A.; Toscano, A.; Moggio, M.; Morandi, L.; Servidei, S.; Mongini, T.; Angelini, C.; Musumeci, O.; et al. McArdle disease: The mutation spectrum of PYGM in a large Italian cohort. Hum. Mutat. 2006, 27, 718. [Google Scholar] [CrossRef] [PubMed]
- Vieitez, I.; Teijeira, S.; Fernandez, J.M.; San Millan, B.; Miranda, S.; Ortolano, S.; Louis, S.; Laforet, P.; Navarro, C. Molecular and clinical study of McArdle’s disease in a cohort of 123 European patients. Identification of 20 novel mutations. Neuromuscul. Disord. 2011, 21, 817–823. [Google Scholar] [CrossRef] [PubMed]
- Zierz, S.; Meessen, S.; Jerusalem, F. Lactate and pyruvate blood levels in the diagnosis of mitochondrial myopathies. Nervenarzt 1989, 60, 545–548. [Google Scholar] [PubMed]
- Hanisch, F.; Eger, K.; Bork, S.; Lehnich, H.; Deschauer, M.; Zierz, S. Lactate production upon short-term non-ischemic forearm exercise in mitochondrial disorders and other myopathies. J. Neurol. 2006, 253, 735–740. [Google Scholar] [CrossRef] [PubMed]
- Bergmeyer, H.U. Phosphorylase a. In Methods of Enzymatic Analysis; Bergmeyer, H.U., Ed.; Elsevier: Amsterdam, The Netherlands, 1974; ISBN 978-0-12-091304-6. [Google Scholar]
- Brull, A.; de Luna, N.; Blanco-Grau, A.; Lucia, A.; Martin, M.A.; Arenas, J.; Martí, R.; Andreu, A.L.; Pinós, T. Phenotype consequences of myophosphorylase dysfunction: Insights from the McArdle mouse model. J. Physiol. 2015, 593, 2693–2706. [Google Scholar] [CrossRef]
- Wokke, J.H.J.; van Doorn, P.A.; Hoogendijk, J.E.; de Visser, M. Neuromuscular Disease: A Case-Based Approach; Cambridge University Press: Cambridge, UK, 2013; ISBN 978-0-511-73590-5. [Google Scholar]
- Kubisch, C.; Wicklein, E.M.; Jentsch, T.J. Molecular diagnosis of McArdle disease: Revised genomic structure of the myophosphorylase gene and identification of a novel mutation. Hum. Mutat. 1998, 12, 27–32. [Google Scholar] [CrossRef]
- Martín, M.A.; Rubio, J.C.; Buchbinder, J.; Fernández-Hojas, R.; del Hoyo, P.; Teijeira, S.; Gámez, J.; Navarro, C.; Fernández, J.M.; Cabello, A.; et al. Molecular heterogeneity of myophosphorylase deficiency (McArdle’s disease): A genotype-phenotype correlation study. Ann. Neurol. 2001, 50, 574–581. [Google Scholar] [CrossRef]
- Di Mauro, S.; Tsujino, S. Nonlysosomal glycogenoses. In Myology, 2nd ed.; Engel, A.G., Franzini-Armstrong, C., Eds.; McGraw-Hill: New York, NY, USA, 1994. [Google Scholar]
- Nadaj-Pakleza, A.A.; Vincitorio, C.M.; Laforêt, P.; Eymard, B.; Dion, E.; Teijeira, S.; Vietez, I.; Jeanpierre, M.; Navarro, C.; Stojkovic, T. Permanent muscle weakness in McArdle disease. Muscle Nerve 2009, 40, 350–357. [Google Scholar] [CrossRef]
- Rommel, O.; Kley, R.A.; Dekomien, G.; Epplen, J.T.; Vorgerd, M.; Hasenbring, M. Muscle pain in myophosphorylase deficiency (McArdle’s disease): The role of gender, genotype, and pain-related coping. Pain 2006, 124, 295–304. [Google Scholar] [CrossRef]
- Joshi, P.R.; Deschauer, M.; Zierz, S. Phenotype of carnitine palmitoyltransferase II (CPT II) deficiency: A questionnaire-based survey. J. Clin. Neurosci. 2019, 59, 32–36. [Google Scholar] [CrossRef] [PubMed]
- Petrou, P.; Pantzaris, M.; Dionysiou, M.; Drousiotou, A.; Kyriakides, T. Minimally symptomatic Mcardle disease, expanding the genotype-phenotype spectrum: Minimally Symptomatic McArdle Disease. Muscle Nerve 2015, 52, 891–895. [Google Scholar] [CrossRef] [PubMed]
- Isackson, P.J.; Tarnopolsky, M.; Vladutiu, G.D. A novel mutation in the PYGM gene in a family with pseudo-dominant transmission of McArdle disease. Mol. Genet. Metab. 2005, 85, 239–242. [Google Scholar] [CrossRef] [PubMed]
- Renard, D. Serum CK as a guide to the diagnosis of muscle disease. Pract. Neurol. 2015, 15, 121. [Google Scholar] [CrossRef] [PubMed]
- Rumpf, K.W.; Wagner, H.; Kaiser, H.; Meinck, H.M.; Goebel, H.H.; Scheler, F. Increased ammonia production during forearm ischemic work test in McArdle’s disease. Klin. Wochenschr. 1981, 59, 1319–1320. [Google Scholar] [CrossRef] [PubMed]
- Mineo, I.; Kono, N.; Shimizu, T.; Hara, N.; Yamada, Y.; Sumi, S.; Nonaka, K.; Tarui, S. Excess purine degradation in exercising muscles of patients with glycogen storage disease types V and VII. J. Clin. Invest. 1985, 76, 556–560. [Google Scholar] [CrossRef]
- Coleman, R.A.; Stajich, J.M.; Pact, V.W.; Pericak-Vance, M.A. The ischemic exercise test in normal adults and in patients with weakness and cramps. Muscle Nerve 1986, 9, 216–221. [Google Scholar] [CrossRef]
- Kazemi-Esfarjani, P.; Skomorowska, E.; Jensen, T.D.; Haller, R.G.; Vissing, J. A nonischemic forearm exercise test for McArdle disease. Ann. Neurol. 2002, 52, 153–159. [Google Scholar] [CrossRef]
- Joshi, P.R.; Apitz, T.; Zierz, S. Normal activities of AMP-deaminase and adenylate kinase in patients with McArdle disease. Neurol. Res. 2016, 38, 1052–1055. [Google Scholar] [CrossRef]
- Andersen, S.T.; Dunø, M.; Schwartz, M.; Vissing, J. Do carriers of PYGM mutations have symptoms of McArdle disease? Neurology 2006, 67, 716–718. [Google Scholar] [CrossRef]
- Bartram, C.; Edwards, R.H.; Clague, J.; Beynon, R.J. McArdle’s disease: A nonsense mutation in exon 1 of the muscle glycogen phosphorylase gene explains some but not all cases. Hum. Mol. Genet. 1993, 2, 1291–1293. [Google Scholar] [CrossRef] [PubMed]
- Gurgel-Giannetti, J.; Nogales-Gadea, G.; van der Linden, H.; Bellard, T.M.R.; Brasileiro Filho, G.; Giannetti, A.V.; de Castro Concentino, E.L.; Vainzof, M. Clinical and molecular characterization of McArdle’s disease in Brazilian patients. Neuromolecular Med. 2013, 15, 470–475. [Google Scholar] [CrossRef] [PubMed]
- Sugie, H.; Sugie, Y.; Ito, M.; Fukuda, T.; Nonaka, I.; Igarashi, Y. Genetic analysis of Japanese patients with myophosphorylase deficiency (McArdle’s disease): Single-codon deletion in exon 17 is the predominant mutation. Clin. Chim. Acta Int. J. Clin. Chem. 1995, 236, 81–86. [Google Scholar] [CrossRef]
- Vissing, J.; Duno, M.; Schwartz, M.; Haller, R.G. Splice mutations preserve myophosphorylase activity that ameliorates the phenotype in McArdle disease. Brain J. Neurol. 2009, 132, 1545–1552. [Google Scholar] [CrossRef] [PubMed]
- García-Consuegra, I.; Asensio-Peña, S.; Ballester-Lopez, A.; Francisco-Velilla, R.; Pinos, T.; Pintos-Morell, G.; Coll-Cantí, J.; González-Quintana, A.; Andreu, A.L.; Arenas, J.; et al. Missense mutations have unexpected consequences: The McArdle disease paradigm. Hum. Mutat. 2018, 39, 1338–1343. [Google Scholar] [CrossRef] [PubMed]


| Patient (Gender) | Genotype | Onset | Family History | Permanent Weakness | Cramps | Masticatory Muscle Involvement |
|---|---|---|---|---|---|---|
| 1 (M) | p.Arg50Ter/p.Arg50Ter | Childhood | − | Thighs | − | − |
| 2 (M) | p.Arg50Ter/p.Arg50Ter | Childhood | − | Arms, legs | + | − |
| 3 (F) | p.Arg50Ter/p.Arg50Ter | Childhood | − | Thighs | − | − |
| 4 (M) | p.Arg50Ter/p.Arg50Ter | Childhood | Brother | Thighs, Arms | − | − |
| 5 (F) | p.Arg50Ter/p.Arg50Ter | Childhood | − | Legs | − | − |
| 6 (M) | p.Arg50Ter/p.Arg50Ter | Childhood | − | Arms, legs | − | − |
| 7 (M) | p.Arg50Ter/p.Arg50Ter | Adolescence | − | Arms, legs | − | − |
| 8 (M) | p.Arg50Ter/p.Arg50Ter | Late (50 Yrs.) | Cousin | Shoulder, arm | − | − |
| 9 (M) | p.Arg50Ter/p.Arg50Ter | Late (50 Yrs.) | − | Arms, legs | − | − |
| 10 (M) | p.Arg50Ter/p.Arg50Ter | Childhood | − | n.a. | − | − |
| 11 (F) | p.Arg50Ter/p.Arg50Ter | Childhood | Father | n.a. | − | − |
| 12 (F) | p.Arg50Ter/p.Arg50Ter | Childhood | − | n.a. | − | − |
| 13 (F) | p.Arg50Ter/p.Arg50Ter | Childhood | − | n.a. | − | − |
| 14 (F) | p.Arg50Ter/p.Arg50Ter | Childhood | − | n.a. | − | − |
| 15 (M) | p.Arg50Ter/p.Asp129His | Childhood | − | Thighs, calves | − | − |
| 16 (F) | p.Arg50Ter/p.Arg139Trp | Childhood | − | Arms, legs, | − | + |
| 17 (M) | p.Arg50Ter/p.Glu655Lys | Childhood | − | Arms, legs, back | − | − |
| 18 (F) | p.Arg50Ter/p.Gly686Arg | Childhood | Sister | Arms, legs | − | − |
| 19 (F) | p.Arg50Ter/p.Gly686Arg | Youth | − | Arms, legs | − | − |
| 20 (M) | p.Met1Val/p.Met1Val | Adolescence | Several | Shoulders | − | − |
| 21 (F) | p.Met1Val/p.Met1Val | Youth | − | Arms, legs | − | − |
| 22 (M) | c.25delG/c.25delG | Youth | Several | Arms, legs | − | − |
| 23 (F) | p.Tyr85Ter/p.Arg94Trp | Childhood | − | Arms, legs | + | + |
| 24 (F) | p.Arg94Trp/p.Arg94Trp | Late (63 Yrs.) | − | Thighs, Toe | + | − |
| 25 (F) | p.Arg270Ter/p.Arg270Ter | Childhood | Brother | Arms, legs | + | − |
| 26 (M) | IVS6-2A>T/IVS6-2A>T | Childhood | Sister | Shoulders | − | − |
| 27 (F) | p.Gln337Arg/p.Gln337Arg | Childhood | − | Arms, legs, back | − | − |
| 28 (F) | p.Tyr574Ter/c.1948delC | Childhood | − | Arms, legs, | − | + |
| 29 (M) | p.Met680Val/c.2262delA | Childhood | Several | Shoulders | − | − |
| Clinical features | Present Study (n = 60) | Other Studies [20,21] (n = 166) | |
|---|---|---|---|
| n (%) | n (%) | p | |
| Exercise intolerance | 60 (100) | 146/166 (89) | n.s. |
| Permanent weakness | 28 (47) | 46/166 (28) | 0.02 |
| Age at onset (Years) | |||
| <15 | 52 (87) | 94/112 (85) | n.s. |
| 15–30 | 5 (8) | 10/112 (9) | n.s. |
| >30 | 3 (5) | 6/112 (6) | n.s |
| Age at diagnosis (Years) | |||
| <10 | 0 (0) | 5/112 (4) | n.s. |
| 10–30 | 19 (32) | 55/112 (50) | 0.028 |
| 30–50 | 32 (53) | 30/112 (27) | <0.001 |
| >50 | 9 (15) | 21/112 (19) | n.s. |
| Positive family history | 15 (25) | 51/112 (53) | 0.026 |
| CK elevation | 33/33 (100) | 54/54 (100) | n.s. |
| Second wind | 19/34 (56) | n.a. | - |
| No. of Patients | Allele 1 | Allele 2 | Ethnic Origin |
|---|---|---|---|
| 27 | p.Arg50Ter | p.Arg50Ter | Germany (n = 23), UK (n = 4) |
| 4 | p.Arg50Ter | p.Arg270Ter | Germany (n = 4) |
| 2 | p.Arg50Ter | p.Gly486Asp | Both Norway |
| 2 | p.Arg50Ter | p.Gly686Arg | Both Germany |
| 2 | p.Arg50Ter | c.1239+1G>A* | Both Germany |
| 2 | p.Met1Val | p.Met1Val | Turkey (n = 1), Lebanon (n = 1) |
| 1 | p.Arg50Ter | p.Asp129His | Germany |
| 1 | p.Arg50Ter | p.Arg139Trp | Germany |
| 1 | p.Arg50Ter | p.Glu655Lys | Germany |
| 1 | p.Arg50Ter | c2262delA | Germany |
| 1 | c.25delG | c.25delG | Germany |
| 1 | c.78_79delTG | c.78_79delTG | Germany |
| 1 | p.Tyr85Ter | p.Arg94Trp | Germany |
| 1 | p.Arg94Trp | p.Arg94Trp | UK |
| 1 | p.Gly157Val | p.Glu349Lys | Germany |
| 1 | p.Gly205Ser | p. Arg576Ter | Germany |
| 1 | p.Arg270Ter | p.Glu349Lys | Germany |
| 1 | p.Arg270Ter | p.Arg270Ter | Italy |
| 1 | c.772-2A>T* | c.772-2A>T* | Germany |
| 1 | p.Gln337Arg | p.Gln337Arg | Germany |
| 1 | p.Glu384Lys | c.1155_1156delGG | Germany |
| 1 | p.Ser450Leu | p.Ser450Leu | Syria |
| 1 | p.Leu397Pro | c2262delA | Germany |
| 1 | p.Arg570Trp | p.Gly686Arg | Austria |
| 1 | p.Tyr574Ter | c.1948delC | Germany |
| 1 | p.Gln666Glu | c.2262delA | Germany |
| 1 | p.Met680Val | c2262delA | Turkey |
© 2020 by the authors. Licensee MDPI, Basel, Switzerland. This article is an open access article distributed under the terms and conditions of the Creative Commons Attribution (CC BY) license (http://creativecommons.org/licenses/by/4.0/).
Share and Cite
Joshi, P.R.; Deschauer, M.; Zierz, S. McArdle Disease: Clinical, Biochemical, Histological and Molecular Genetic Analysis of 60 Patients. Biomedicines 2020, 8, 33. https://doi.org/10.3390/biomedicines8020033
Joshi PR, Deschauer M, Zierz S. McArdle Disease: Clinical, Biochemical, Histological and Molecular Genetic Analysis of 60 Patients. Biomedicines. 2020; 8(2):33. https://doi.org/10.3390/biomedicines8020033
Chicago/Turabian StyleJoshi, Pushpa Raj, Marcus Deschauer, and Stephan Zierz. 2020. "McArdle Disease: Clinical, Biochemical, Histological and Molecular Genetic Analysis of 60 Patients" Biomedicines 8, no. 2: 33. https://doi.org/10.3390/biomedicines8020033
APA StyleJoshi, P. R., Deschauer, M., & Zierz, S. (2020). McArdle Disease: Clinical, Biochemical, Histological and Molecular Genetic Analysis of 60 Patients. Biomedicines, 8(2), 33. https://doi.org/10.3390/biomedicines8020033
