CT-Based Thymic Morphology as an Imaging Surrogate of Immune Ageing and Its Association with Coronary Artery Calcification—A Hypothesis-Generating Observational Study
Abstract
1. Introduction
2. Materials and Methods
2.1. Patient Selection
2.2. CT Imaging Protocol
2.3. Image Analysis of Coronary Artery Calcification
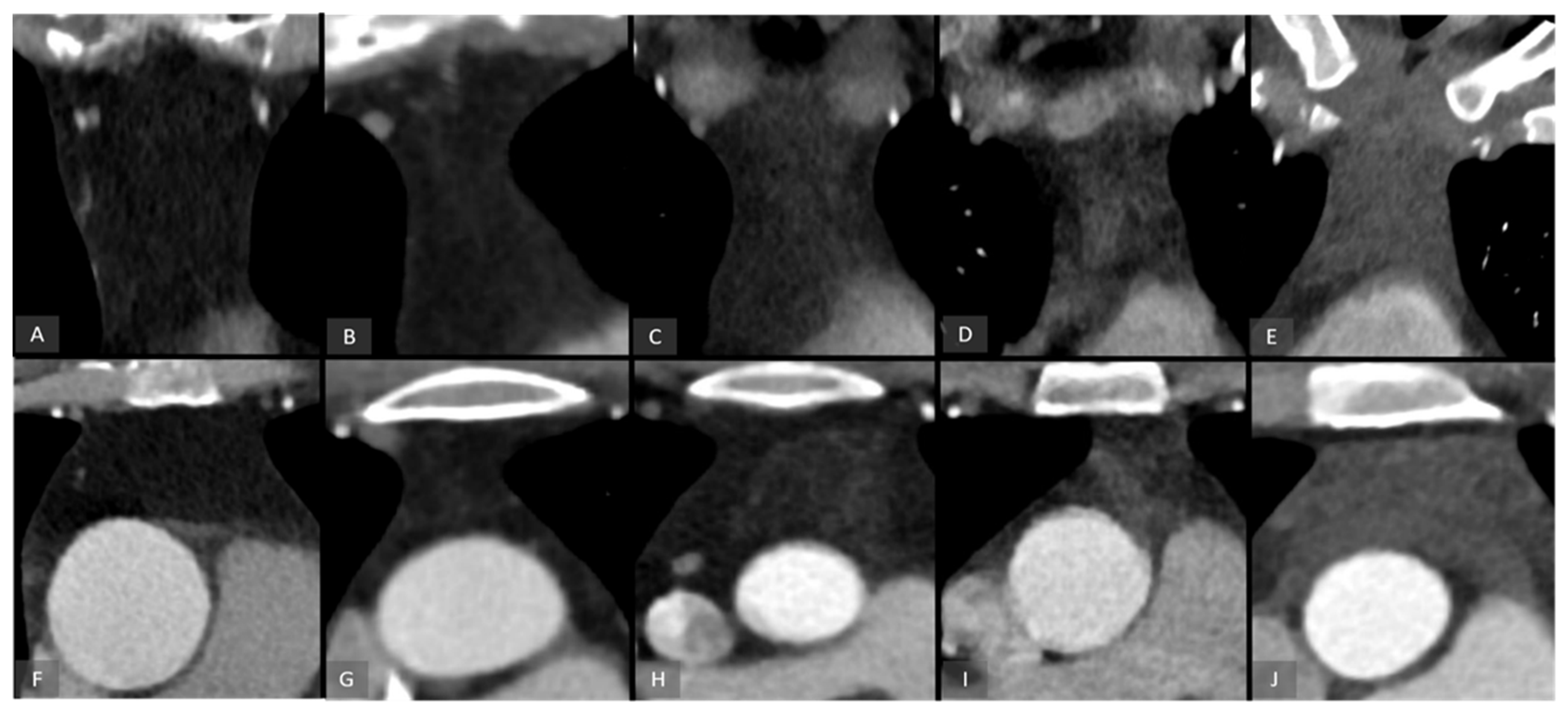
2.4. Image Grading of the Thymic Tissue
- Grade 0: Complete fatty replacement of the thymus;
- Grade 1: Predominantly fatty tissue with minimal residual thymic components (<25%);
- Grade 2: Mixture of residual thymic tissue and fatty tissue components (25–50%);
- Grade 3: Residual thymic tissue with minimal fatty tissue components (50–75%);
- Grade 4: Almost complete residual thymic tissue (>75%).
2.5. Statistical Analysis
3. Results
3.1. Linear Regression Analysis
3.2. Kruskal–Wallis Pairwise Comparison
4. Discussion
Supplementary Materials
Author Contributions
Funding
Institutional Review Board Statement
Informed Consent Statement
Data Availability Statement
Conflicts of Interest
Abbreviations
| CI | Confidence interval |
| CT | Computed tomography |
| ECG | Electrocardiogram |
| SBI | Spectral-based imaging |
| Tregs | Regulatory T cells |
| VNC | Virtual non-contrast |
References
- Kologrivova, I.V.; Naryzhnaya, N.V.; Suslova, T.E. Thymus in Cardiometabolic Impairments and Atherosclerosis: Not a Silent Player? Biomedicines 2024, 12, 1408. [Google Scholar] [CrossRef]
- Mor, A.; Planer, D.; Luboshits, G.; Afek, A.; Metzger, S.; Chajek-Shaul, T.; Keren, G.; George, J. Role of naturally occurring CD4+ CD25+ regulatory T cells in experimental atherosclerosis. Arter. Thromb. Vasc. Biol. 2007, 27, 893–900. [Google Scholar] [CrossRef] [PubMed]
- Thomas, R.; Wang, W.; Su, D.-M. Contributions of Age-Related Thymic Involution to Immunosenescence and Inflammaging. Immun. Ageing 2020, 17, 2. [Google Scholar] [CrossRef] [PubMed]
- Hu, W.; Li, J.; Cheng, X. Regulatory T cells and cardiovascular diseases. Chin. Med. J. 2023, 136, 2812–2823. [Google Scholar] [CrossRef]
- Ouyang, X.; Liu, Z. Regulatory T cells and macrophages in atherosclerosis: From mechanisms to clinical significance. Front. Immunol. 2024, 15, 1435021. [Google Scholar] [CrossRef]
- Ait-Oufella, H.; Salomon, B.L.; Potteaux, S.; Robertson, A.-K.L.; Gourdy, P.; Zoll, J.; Merval, R.; Esposito, B.; Cohen, J.L.; Fisson, S.; et al. Natural regulatory T cells control the development of atherosclerosis in mice. Nat. Med. 2006, 12, 178–180. [Google Scholar] [CrossRef] [PubMed]
- Albany, C.J.; Trevelin, S.C.; Giganti, G.; Lombardi, G.; Scottà, C. Getting to the Heart of the Matter: The Role of Regulatory T-Cells (Tregs) in Cardiovascular Disease (CVD) and Atherosclerosis. Front. Immunol. 2019, 10, 2795. [Google Scholar] [CrossRef]
- Mensah, G.A.; Fuster, V.; Murray, C.J.L.; Roth, G.A. Global Burden of Cardiovascular Diseases and Risks, 1990–2022. J. Am. Coll. Cardiol. 2023, 82, 2350–2473. [Google Scholar] [CrossRef]
- Vaduganathan, M.; Mensah, G.A.; Turco, J.V.; Fuster, V.; Roth, G.A. The Global Burden of Cardiovascular Diseases and Risk: A Compass for Future Health. J. Am. Coll. Cardiol. 2022, 80, 2361–2371. [Google Scholar] [CrossRef]
- Mensah, G.A.; Roth, G.A.; Fuster, V. The Global Burden of Cardiovascular Diseases and Risk Factors: 2020 and Beyond. J. Am. Coll. Cardiol. 2019, 74, 2529–2532. [Google Scholar] [CrossRef]
- Simanovsky, N.; Hiller, N.; Loubashevsky, N.; Rozovsky, K. Normal CT characteristics of the thymus in adults. Eur. J. Radiol. 2012, 81, 3581–3586. [Google Scholar] [CrossRef]
- Sandstedt, M.; Chung, R.W.S.; Skoglund, C.; Lundberg, A.K.; Östgren, C.J.; Ernerudh, J.; Jonasson, L. Complete fatty degeneration of thymus associates with male sex, obesity and loss of circulating naïve CD8+ T cells in a Swedish middle-aged population. Immun. Ageing 2023, 20, 45. [Google Scholar] [CrossRef]
- Araki, T.; Nishino, M.; Gao, W.; Dupuis, J.; Hunninghake, G.M.; Murakami, T.; Washko, G.R.; O’cOnnor, G.T.; Hatabu, H. Normal thymus in adults: Appearance on CT and associations with age, sex, BMI and smoking. Eur. Radiol. 2016, 26, 15–24. [Google Scholar] [CrossRef]
- Agatston, A.S.; Janowitz, W.R.; Hildner, F.J.; Zusmer, N.R.; Viamonte, M.; Detrano, R. Quantification of coronary artery calcium using ultrafast computed tomography. J. Am. Coll. Cardiol. 1990, 15, 827–832. [Google Scholar] [CrossRef] [PubMed]
- Hale, L.P. Histologic and molecular assessment of human thymus. Ann. Diagn. Pathol. 2004, 8, 50–60. [Google Scholar] [CrossRef]
- Liang, Z.; Dong, X.; Zhang, Z.; Zhang, Q.; Zhao, Y. Age-related thymic involution: Mechanisms and functional impact. Aging Cell 2022, 21, e13671. [Google Scholar] [CrossRef] [PubMed]
- Murray, J.M.; Kaufmann, G.R.; Hodgkin, P.D.; Lewin, S.R.; Kelleher, A.D.; Davenport, M.P.; Zaunders, J.J. Naive T cells are maintained by thymic output in early ages but by proliferation without phenotypic change after age twenty. Immunol. Cell Biol. 2003, 81, 487–495. [Google Scholar] [CrossRef]
- Palmer, S.; Albergante, L.; Blackburn, C.C.; Newman, T.J. Thymic involution and rising disease incidence with age. Proc. Natl. Acad. Sci. USA 2018, 115, 1883–1888. [Google Scholar] [CrossRef]
- Fahy, G.M.; Brooke, R.T.; Watson, J.P.; Good, Z.; Vasanawala, S.S.; Maecker, H.; Leipold, M.D.; Lin, D.T.S.; Kobor, M.S.; Horvath, S. Reversal of epigenetic aging and immunosenescent trends in humans. Aging Cell 2019, 18, e13028. [Google Scholar] [CrossRef]
- Goronzy, J.J.; Weyand, C.M. Aging, autoimmunity and arthritis: T-cell senescence and contraction of T-cell repertoire diversity—Catalysts of autoimmunity and chronic inflammation. Arthritis Res. Ther. 2003, 5, 225–234. [Google Scholar] [CrossRef] [PubMed]
- Gavazzi, G.; Krause, K.-H. Ageing and infection. Lancet Infect. Dis. 2002, 2, 659–666. [Google Scholar] [CrossRef]
- Pawelec, G. Immunosenescence and cancer. Biogerontology 2017, 18, 717–721. [Google Scholar] [CrossRef] [PubMed]
- Huang, S.; Ding, R.; Lin, Y.; He, Z.; Wu, F.; Dai, X.; Chen, Y.; Gui, Y.; Huang, Z.; Wu, Z.; et al. Reduced T-Cell Thymic Export Reflected by sj-TREC in Patients with Coronary Artery Disease. J. Atheroscler. Thromb. 2016, 23, 632–643. [Google Scholar] [CrossRef] [PubMed]
- Jiang, L.; Chen, F.; Hu, X.; Hu, Y.; Wang, Y.; Zhang, W.; Peng, Y.; Cheng, L. Decreased Helios Expression in Regulatory T Cells in Acute Coronary Syndrome. Dis. Markers 2017, 2017, 7909407. [Google Scholar] [CrossRef] [PubMed]
- Gosav, E.M.; Tanase, D.M.; Ouatu, A.; Buliga-Finis, O.N.; Popescu, D.; Dascalu, C.G.; Dima, N.; Badescu, M.C.; Rezus, C. The Role of Neutrophil-to-Lymphocyte Ratio and Platelet-to-Lymphocyte Ratio in Predicting Atrial Fibrillation and Its Comorbidities. Life 2025, 15, 960. [Google Scholar] [CrossRef] [PubMed]
- Gibson, P.H.; Croal, B.L.; Cuthbertson, B.H.; Small, G.R.; Ifezulike, A.I.; Gibson, G.; Jeffrey, R.R.; Buchan, K.G.; El-Shafei, H.; Hillis, G.S. Preoperative neutrophil-lymphocyte ratio and outcome from coronary artery bypass grafting. Am. Heart J. 2007, 154, 995–1002. [Google Scholar] [CrossRef] [PubMed]
- Bhat, T.; Teli, S.; Rijal, J.; Bhat, H.; Raza, M.; Khoueiry, G.; Meghani, M.; Akhtar, M.; Costantino, T. Neutrophil to lymphocyte ratio and cardiovascular diseases: A review. Expert Rev. Cardiovasc. Ther. 2013, 11, 55–59. [Google Scholar] [CrossRef] [PubMed]
- Buonacera, A.; Stancanelli, B.; Colaci, M.; Malatino, L. Neutrophil to Lymphocyte Ratio: An Emerging Marker of the Relationships between the Immune System and Diseases. Int. J. Mol. Sci. 2022, 23, 3636. [Google Scholar] [CrossRef]
- Sharma, S.P.; van der Bie, J.; van Straten, M.; Hirsch, A.; Bos, D.; Dijkshoorn, M.L.; Booij, R.; Budde, R.P.J. Coronary calcium scoring on virtual non-contrast and virtual non-iodine reconstructions compared to true non-contrast images using photon-counting computed tomography. Eur. Radiol. 2024, 34, 3699–3707. [Google Scholar] [CrossRef] [PubMed]
- Yang, P.; Zhao, R.; Deng, W.; An, S.; Li, Y.; Sheng, M.; Chen, X.; Qian, Y.; Yu, Y.; Mu, D.; et al. Feasibility and accuracy of coronary artery calcium score on virtual non-contrast images derived from a dual-layer spectral detector CT: A retrospective multicenter study. Front. Cardiovasc. Med. 2023, 10, 1114058. [Google Scholar] [CrossRef]
- Langenbach, I.; Wienemann, H.; Klein, K.; Scholtz, J.; Pennig, L.; Langzam, E.; Pahn, G.; Holz, J.; Maintz, D.; Naehle, C.; et al. Coronary calcium scoring using virtual non-contrast reconstructions on a dual-layer spectral CT system: Feasibility in the clinical practice. Eur. J. Radiol. 2023, 159, 110681. [Google Scholar] [CrossRef] [PubMed]
- Drabkin, M.J.; Meyer, J.I.; Kanth, N.; Lobel, S.; Fogel, J.; Grossman, J.; Krumenacker, J.H. Age-stratified Patterns of Thymic Involution on Multidetector CT. J. Thorac. Imaging 2018, 33, 409–416. [Google Scholar] [CrossRef] [PubMed]




| Overall (n = 206) | Male (n = 126) | Female (n = 80) | p | |
|---|---|---|---|---|
| Age | 54.6 ± 6.8 | 54.5 ± 6.5 | 54.7 ± 7.2 | 0.694 |
| Mean Agatston Score | 41.9 (0–963.9) | 57.1 (0–963.2) | 18.1 (0–895.8) | n.a. |
| Median Agatstson Score | 0, IQR 11.6 | 0.4 IQR 31.1 | 0, IQR 3.1 | 0.007 * |
| Thymus Grade 0 | 69 (33.5%) | 51 (40.5%) | 18 (22.5%) | 0.011 * |
| Thymus Grade 1 | 65 (31.5%) | 35 (27.8%) | 30 (37.5%) | 0.162 |
| Thymus Grade 2 | 44 (21.4%) | 26 (20.6%) | 18 (22.5%) | 0.758 |
| Thymus Grade 3 | 22 (10.7%) | 12 (9.5%) | 10 (12.5%) | 0.502 |
| Thymus Grade 4 | 6 (3.9%) | 2 (1.6%) | 4 (5.0%) | 0.207 |
| Adjustment | Beta | p | 95% CI Lower | 95% CI Upper |
|---|---|---|---|---|
| Unadjusted | −28.8 | 0.001 * | −45.3 | −12.3 |
| Adjusted for Age | −25.2 | 0.01 * | −44.5 | −6.0 |
| Adjusted for Age and Sex | −22.2 | 0.03 * | −41.7 | −2.6 |
| Interaction Effects | ||||
| Age Interaction Effect | −0.7 | 0.402 | −2.4 | 0.95 |
| Sex Interaction Effect | 5.8 | 0.614 | −16.8 | 28.3 |
Disclaimer/Publisher’s Note: The statements, opinions and data contained in all publications are solely those of the individual author(s) and contributor(s) and not of MDPI and/or the editor(s). MDPI and/or the editor(s) disclaim responsibility for any injury to people or property resulting from any ideas, methods, instructions or products referred to in the content. |
© 2026 by the authors. Licensee MDPI, Basel, Switzerland. This article is an open access article distributed under the terms and conditions of the Creative Commons Attribution (CC BY) license.
Share and Cite
Walther, I.L.; Mostafa, K.; Horr, A.; Freitag-Wolf, S.; Seoudy, H.; Müller, O.J.; Krutmann, S.; Jansen, O.; Langguth, P. CT-Based Thymic Morphology as an Imaging Surrogate of Immune Ageing and Its Association with Coronary Artery Calcification—A Hypothesis-Generating Observational Study. Biomedicines 2026, 14, 883. https://doi.org/10.3390/biomedicines14040883
Walther IL, Mostafa K, Horr A, Freitag-Wolf S, Seoudy H, Müller OJ, Krutmann S, Jansen O, Langguth P. CT-Based Thymic Morphology as an Imaging Surrogate of Immune Ageing and Its Association with Coronary Artery Calcification—A Hypothesis-Generating Observational Study. Biomedicines. 2026; 14(4):883. https://doi.org/10.3390/biomedicines14040883
Chicago/Turabian StyleWalther, Isabella Luisa, Karim Mostafa, Agreen Horr, Sandra Freitag-Wolf, Hatim Seoudy, Oliver J. Müller, Sarah Krutmann, Olav Jansen, and Patrick Langguth. 2026. "CT-Based Thymic Morphology as an Imaging Surrogate of Immune Ageing and Its Association with Coronary Artery Calcification—A Hypothesis-Generating Observational Study" Biomedicines 14, no. 4: 883. https://doi.org/10.3390/biomedicines14040883
APA StyleWalther, I. L., Mostafa, K., Horr, A., Freitag-Wolf, S., Seoudy, H., Müller, O. J., Krutmann, S., Jansen, O., & Langguth, P. (2026). CT-Based Thymic Morphology as an Imaging Surrogate of Immune Ageing and Its Association with Coronary Artery Calcification—A Hypothesis-Generating Observational Study. Biomedicines, 14(4), 883. https://doi.org/10.3390/biomedicines14040883

