Tazarotene-Induced Gene 3 (TIG3) Induces Apoptosis in Melanoma Cells Through the Modulation of Inhibitors of Apoptosis Proteins
Abstract
1. Introduction
2. Materials and Methods
2.1. Gene Expression Analysis in Melanoma Tissues
2.2. Cell Culture and Gene Transfection
2.3. Cell Viability and Cell Death Assays
2.4. RNA-Seq Analysis
2.5. Apoptosis Array Analysis
2.6. Western Blot Analysis
2.7. Flow Cytometry Analysis of Cell Cycle Distribution
2.8. Statistical Analysis
3. Results
3.1. TIG3 Expression Inhibits Cell Growth and Promotes Cell Death in Melanoma Cells
3.2. Identification of TIG3-Regulated Targets Using RNA Sequencing and Protein Array Analyses
3.3. Analysis of TIG3′s Effects on Apoptosis-Related Protein Expression
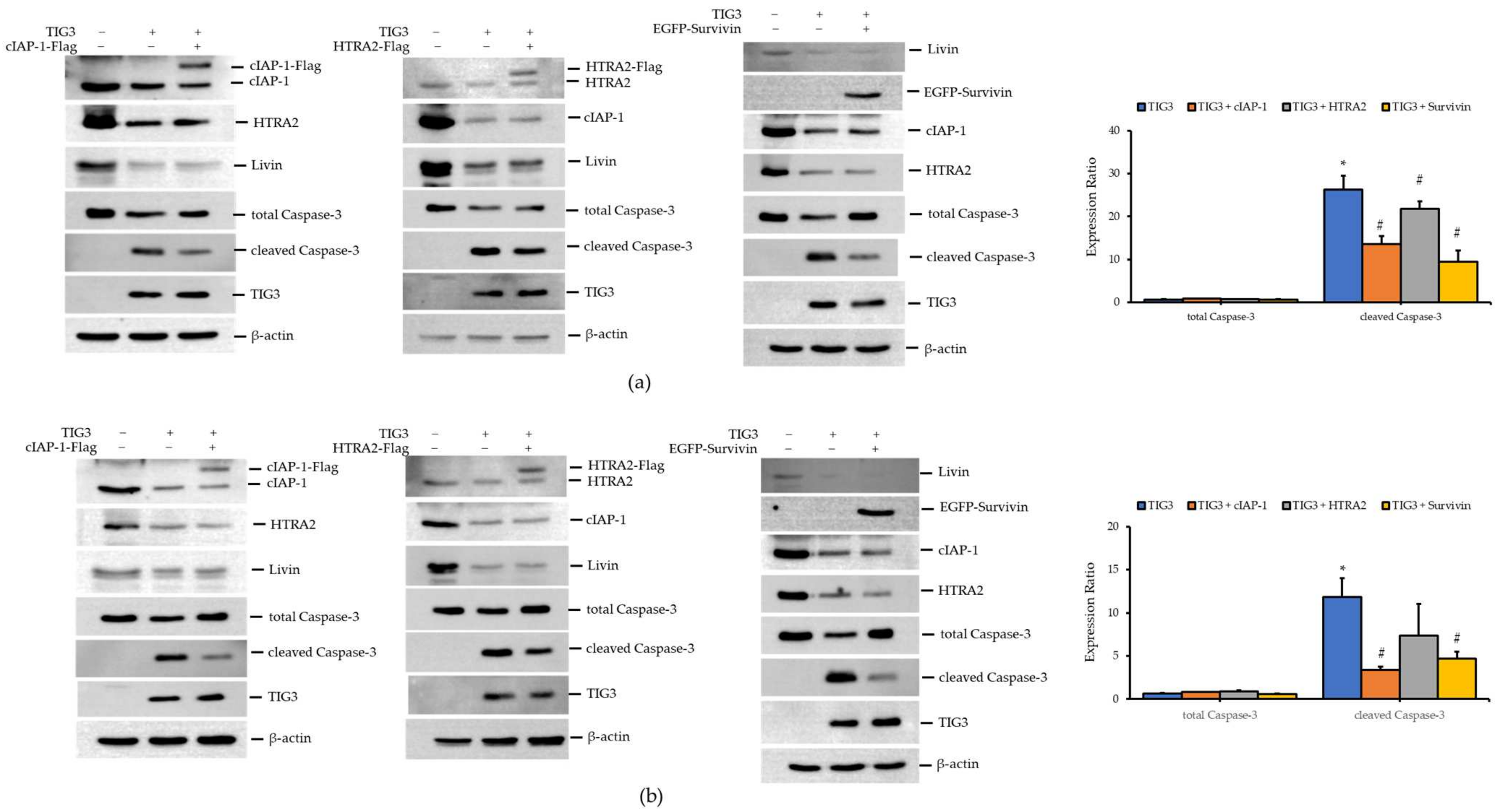
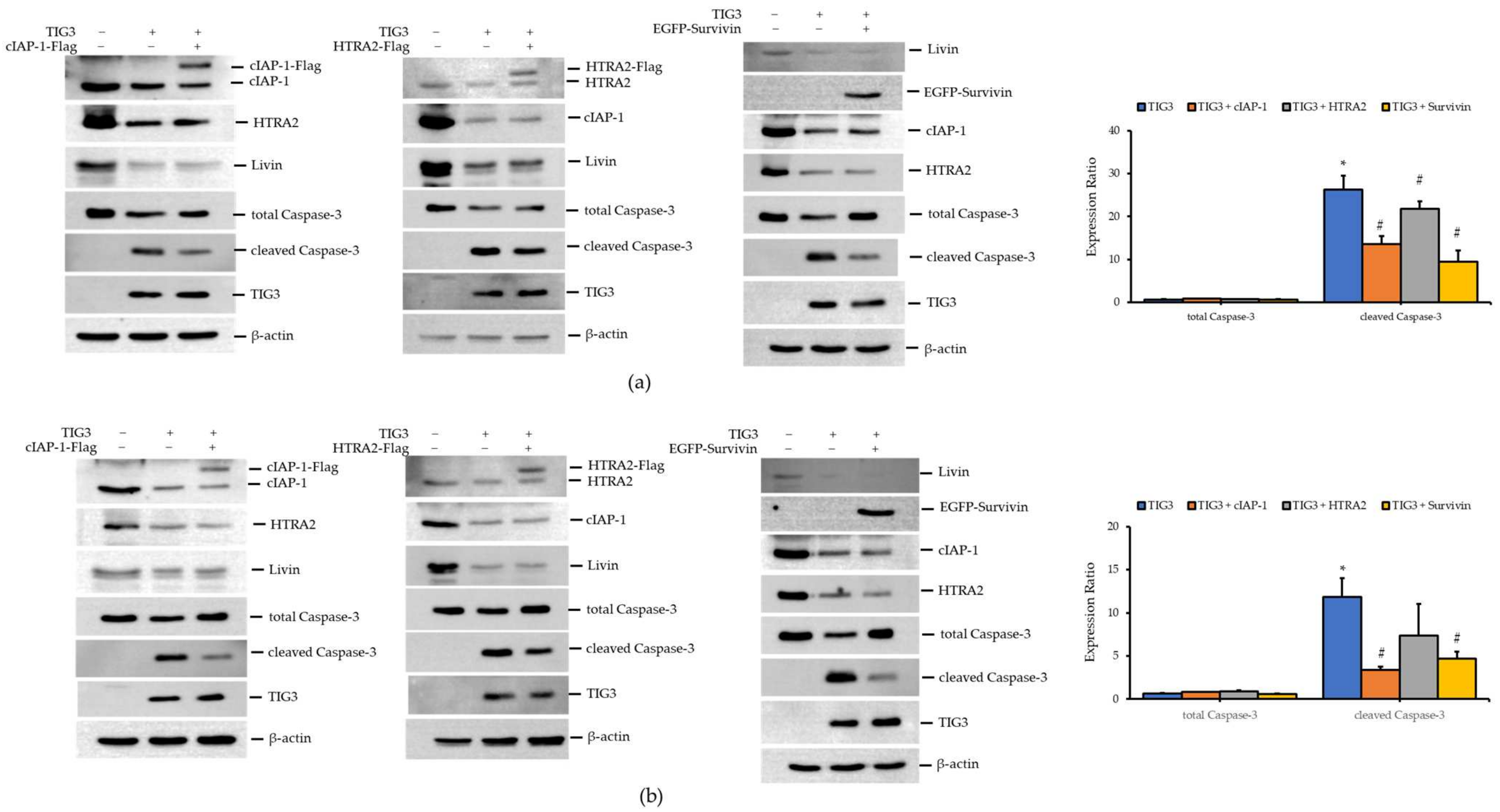
3.4. Impact of Apoptosis-Related Proteins on TIG3-Induced Caspase-3 Activation
3.5. Effects of Apoptosis-Related Proteins on TIG3-Mediated Growth Inhibition and Cell Death
4. Discussion
5. Conclusions
Supplementary Materials
Author Contributions
Funding
Institutional Review Board Statement
Informed Consent Statement
Data Availability Statement
Acknowledgments
Conflicts of Interest
Abbreviations
| MAPK | Mitogen-activated protein kinase |
| RA | Retinoic acid |
| APL | Acute promyelocytic leukemia |
| TIG1 | Tazarotene-induced gene 1 |
| TIG3 | Tazarotene-induced gene 3 |
| RIG1 | Retinoid-induced gene 1 |
| RARRES3 | Retinoic acid receptor responder 3 |
| PLAAT4 | Phospholipase A and acyltransferase 4 |
| RNA-Seq | RNA sequencing |
| cIAP-1 | Cellular inhibitor of apoptosis proteins-1 |
| HTRA2 | High temperature requirement A2 |
| LDH | Lactate dehydrogenase |
| IAP | Inhibitors of Apoptosis Protein |
References
- Arnold, M.; Singh, D.; Laversanne, M.; Vignat, J.; Vaccarella, S.; Meheus, F.; Cust, A.E.; de Vries, E.; Whiteman, D.C.; Bray, F. Global Burden of Cutaneous Melanoma in 2020 and Projections to 2040. JAMA Dermatol. 2022, 158, 495–503. [Google Scholar] [CrossRef] [PubMed]
- Wang, M.; Gao, X.; Zhang, L. Recent global patterns in skin cancer incidence, mortality, and prevalence. Chin. Med. J. 2024, 138, 185–192. [Google Scholar] [CrossRef] [PubMed]
- Robert, C.; Grob, J.J.; Stroyakovskiy, D.; Karaszewska, B.; Hauschild, A.; Levchenko, E.; Chiarion Sileni, V.; Schachter, J.; Garbe, C.; Bondarenko, I.; et al. Five-Year Outcomes with Dabrafenib plus Trametinib in Metastatic Melanoma. N. Engl. J. Med. 2019, 381, 626–636. [Google Scholar] [CrossRef]
- Wolchok, J.D.; Chiarion-Sileni, V.; Rutkowski, P.; Cowey, C.L.; Schadendorf, D.; Wagstaff, J.; Queirolo, P.; Dummer, R.; Butler, M.O.; Hill, A.G.; et al. Final, 10-Year Outcomes with Nivolumab plus Ipilimumab in Advanced Melanoma. N. Engl. J. Med. 2025, 392, 11–22. [Google Scholar] [CrossRef]
- Lavudi, K.; Nuguri, S.M.; Olverson, Z.; Dhanabalan, A.K.; Patnaik, S.; Kokkanti, R.R. Targeting the retinoic acid signaling pathway as a modern precision therapy against cancers. Front. Cell Dev. Biol. 2023, 11, 1254612. [Google Scholar] [CrossRef]
- Zhang, Y.-P.; Chu, R.-X.; Liu, H.; Williams, B.O. Vitamin A Intake and Risk of Melanoma: A Meta-Analysis. PLoS ONE 2014, 9, e102527. [Google Scholar] [CrossRef]
- Asgari, M.M.; Brasky, T.M.; White, E. Association of Vitamin A and Carotenoid Intake with Melanoma Risk in a Large Prospective Cohort. J. Investig. Dermatol. 2012, 132, 1573–1582. [Google Scholar] [CrossRef]
- Wang, Y.B.; Sun, B.; Han, B.; Hu, M. Retinoic acid increases the anticancer effect of paclitaxel by inducing differentiation of cancer stem cells in melanoma. Pharmazie 2018, 73, 729–732. [Google Scholar] [CrossRef]
- Chen, M.-C.; Hsu, S.-L.; Lin, H.; Yang, T.-Y. Retinoic acid and cancer treatment. Biomed. Pharmacother. 2014, 4, 22. [Google Scholar] [CrossRef]
- Wang, C.-H.; Wang, L.-K.; Tsai, F.-M. Exploring Potential Therapeutic Applications of Tazarotene: Gene Regulation Mechanisms and Effects on Melanoma Cell Growth. Curr. Issues Mol. Biol. 2025, 47, 237. [Google Scholar] [CrossRef]
- Wang, C.-H.; Tzeng, I.-S.; Wang, L.-K.; Wu, C.-C.; Chen, M.-L.; Kuo, C.-Y.; Shyu, R.-Y.; Tsai, F.-M. Tazarotene-induced Gene 1 Induces Melanoma Cell Death by Triggering Endoplasmic Reticulum Stress Response. Front. Biosci. 2024, 29, 233. [Google Scholar] [CrossRef]
- Wang, C.-H.; Wang, L.-K.; Wu, C.-C.; Chen, M.-L.; Kuo, C.-Y.; Shyu, R.-Y.; Tsai, F.-M. TIG1 Inhibits the mTOR Signaling Pathway in Malignant Melanoma Through the VAC14 Protein. Anticancer Res. 2023, 43, 2635–2643. [Google Scholar] [CrossRef]
- DiSepio, D.; Ghosn, C.; Eckert, R.L.; Deucher, A.; Robinson, N.; Duvic, M.; Chandraratna, R.A.S.; Nagpal, S. Identification and characterization of a retinoid-induced class II tumor suppressor/growth regulatory gene. Proc. Natl. Acad. Sci. 1998, 95, 14811–14815. [Google Scholar] [CrossRef]
- Huang, S.-L.; Shyu, R.-Y.; Yeh, M.-Y.; Jiang, S.-Y. Cloning and characterization of a novel retinoid-inducible gene 1(RIG1) deriving from human gastric cancer cells. Mol. Cell. Endocrinol. 2000, 159, 15–24. [Google Scholar] [CrossRef] [PubMed]
- Jiang, S.-Y.; Chou, J.-M.; Leu, F.-J.; Hsu, Y.-Y.; Shih, Y.-L.; Yu, J.-C.; Lee, M.-S.; Shyu, R.-Y. Decreased expression of type II tumor suppressor gene RARRES3 in tissues of hepatocellular carcinoma and cholangiocarcinoma. World J. Gastroenterol. 2005, 11, 948–953. [Google Scholar] [CrossRef] [PubMed]
- Wang, C.-H.; Wang, L.-K.; Wu, C.-C.; Chen, M.-L.; Lee, M.-C.; Lin, Y.-Y.; Tsai, F.-M. The Ribosomal Protein RPLP0 Mediates PLAAT4-induced Cell Cycle Arrest and Cell Apoptosis. Cell Biochem. Biophys. 2019, 77, 253–260. [Google Scholar] [CrossRef]
- Zhao, J.-Y.; Yuan, X.-K.; Luo, R.-Z.; Wang, L.-X.; Gu, W.; Yamane, D.; Feng, H. Phospholipase A and acyltransferase 4/retinoic acid receptor responder 3 at the intersection of tumor suppression and pathogen restriction. Front. Immunol. 2023, 14, 1107239. [Google Scholar] [CrossRef]
- Shyu, R.-Y.; Chang, S.-C.; Yu, J.-C.; Hsu, S.-J.; Chou, J.-M.; Lee, M.-S.; Jiang, S.-Y. Expression and regulation of retinoid-inducible gene 1 (RIG1) in breast cancer. Anticancer Res. 2005, 25, 2453–2460. [Google Scholar]
- Scharadin, T.M.; Eckert, R.L. TIG3: An Important Regulator of Keratinocyte Proliferation and Survival. J. Investig. Dermatol. 2014, 134, 1811–1816. [Google Scholar] [CrossRef]
- Scharadin, T.M.; Jiang, H.; Jans, R.; Rorke, E.A.; Eckert, R.L.; Santos, J. TIG3 Tumor Suppressor-Dependent Organelle Redistribution and Apoptosis in Skin Cancer Cells. PLoS ONE 2011, 6, e23230. [Google Scholar] [CrossRef]
- Sturniolo, M.T.; Dashti, S.R.; Deucher, A.; Rorke, E.A.; Broome, A.-M.; Chandraratna, R.A.S.; Keepers, T.; Eckert, R.L. A Novel Tumor Suppressor Protein Promotes Keratinocyte Terminal Differentiation via Activation of Type I Transglutaminase. J. Biol. Chem. 2003, 278, 48066–48073. [Google Scholar] [CrossRef] [PubMed]
- Uyama, T.; Sasaki, S.; Sikder, M.M.; Okada-Iwabu, M.; Ueda, N. The PLAAT family as phospholipid-related enzymes. Prog. Lipid Res. 2025, 98, 101331. [Google Scholar] [CrossRef] [PubMed]
- Tsai, F.-M.; Shyu, R.-Y.; Jiang, S.-Y. RIG1 suppresses Ras activation and induces cellular apoptosis at the Golgi apparatus. Cell. Signal. 2007, 19, 989–999. [Google Scholar] [CrossRef]
- Shyu, R.-Y.; Jiang, S.-Y.; Chou, J.-M.; Shih, Y.-L.; Lee, M.-S.; Yu, J.-C.; Chao, P.-C.; Hsu, Y.-J.; Jao, S.-W. RARRES3 expression positively correlated to tumour differentiation in tissues of colorectal adenocarcinoma. Br. J. Cancer 2003, 89, 146–151. [Google Scholar] [CrossRef]
- Wu, C.-C.; Shyu, R.-Y.; Wang, C.-H.; Tsai, T.-C.; Wang, L.-K.; Chen, M.-L.; Jiang, S.-Y.; Tsai, F.-M. Involvement of the prostaglandin D2 signal pathway in retinoid-inducible gene 1 (RIG1)-mediated suppression of cell invasion in testis cancer cells. Biochim. Biophys. Acta BBA Mol. Cell Res. 2012, 1823, 2227–2236. [Google Scholar] [CrossRef]
- Tsai, F.-M.; Shyu, R.-Y.; Jiang, S.-Y. RIG1 inhibits the Ras/mitogen-activated protein kinase pathway by suppressing the activation of Ras. Cell. Signal. 2006, 18, 349–358. [Google Scholar] [CrossRef]
- Tsai, F.-M.; Shyu, R.-Y.; Lin, S.-C.; Wu, C.-C.; Jiang, S.-Y. Induction of apoptosis by the retinoid inducible growth regulator RIG1 depends on the NC motif in HtTA cervical cancer cells. BMC Cell Biol. 2009, 10, 15. [Google Scholar] [CrossRef]
- Huang, S.-L.; Shyu, R.-Y.; Yeh, M.-Y.; Jiang, S.-Y. The retinoid-inducible gene I: Effect on apoptosis and mitogen-activated kinase signal pathways. Anticancer Res. 2002, 22, 799–804. [Google Scholar]
- Rinkenberger, N.; E Abrams, M.; Matta, S.K.; Schoggins, J.W.; Alto, N.M.; Sibley, L.D. Overexpression screen of interferon-stimulated genes identifies RARRES3 as a restrictor of Toxoplasma gondii infection. eLife 2021, 10, e73137. [Google Scholar] [CrossRef]
- Zhu, H.; Lou, F.; Yin, Q.; Gao, Y.; Sun, Y.; Bai, J.; Xu, Z.; Liu, Z.; Cai, W.; Ke, F.; et al. RIG-I antiviral signaling drives interleukin-23 production and psoriasis-like skin disease. EMBO Mol. Med. 2017, 9, 589–604. [Google Scholar] [CrossRef]
- Wang, C.; Lu, T.; Wang, L.; Wu, C.; Chen, M.; Kuo, C.; Shyu, R.; Tsai, F. Tazarotene-induced gene 1 interacts with Polo-like kinase 2 and inhibits cell proliferation in HCT116 colorectal cancer cells. Cell Biol. Int. 2021, 45, 2347–2356. [Google Scholar] [CrossRef]
- Zheng, J.; Liu, F.; Du, S.; Li, M.; Wu, T.; Tan, X.; Cheng, W. Mechanism for Regulation of Melanoma Cell Death via Activation of Thermo-TRPV4 and TRPV2. J. Oncol. 2019, 2019, 7362875. [Google Scholar] [CrossRef]
- Deucher, A.; Nagpal, S.; A Chandraratna, R.; Di Sepio, D.; A Robinson, N.; Dashti, S.R.; Eckert, R.L. The carboxy-terminal hydrophobic domain of TIG3, a class II tumor suppressor protein, is required for appropriate cellular localization and optimal biological activity. Int. J. Oncol. 2000, 17, 1195–1398. [Google Scholar] [CrossRef]
- Wang, C.-H.; Shyu, R.-Y.; Wu, C.-C.; Chen, M.-L.; Lee, M.-C.; Lin, Y.-Y.; Wang, L.-K.; Jiang, S.-Y.; Tsai, F.-M. Tazarotene-Induced Gene 1 Interacts with DNAJC8 and Regulates Glycolysis in Cervical Cancer Cells. Mol. Cells 2018, 41, 562–574. [Google Scholar] [CrossRef] [PubMed]
- Cetraro, P.; Plaza-Diaz, J.; MacKenzie, A.; Abadía-Molina, F. A Review of the Current Impact of Inhibitors of Apoptosis Proteins and Their Repression in Cancer. Cancers 2022, 14, 1671. [Google Scholar] [CrossRef] [PubMed]
- Walle, L.V.; Lamkanfi, M.; Vandenabeele, P. The mitochondrial serine protease HtrA2/Omi: An overview. Cell Death Differ. 2008, 15, 453–460. [Google Scholar] [CrossRef]
- Xi, R.C.; Biao, W.S.; Gang, Z.Z. Significant Elevation of Survivin and Livin Expression in Human Colorectal Cancer: Inverse Correlation between Expression and Overall Survival. Onkologie 2011, 34, 428–432. [Google Scholar] [CrossRef]
- Kasof, G.M.; Gomes, B.C. Livin, a Novel Inhibitor of Apoptosis Protein Family Member. J. Biol. Chem. 2001, 276, 3238–3246. [Google Scholar] [CrossRef]
- Wang, J.; Zhang, X.; Wei, P.; Zhang, J.; Niu, Y.; Kang, N.; Zhang, Y.; Zhang, W.; Xing, N. Livin, Survivin and Caspase 3 as early recurrence markers in non-muscle-invasive bladder cancer. World J. Urol. 2014, 32, 1477–1484. [Google Scholar] [CrossRef]
- Gyrd-Hansen, M.; Meier, P. IAPs: From caspase inhibitors to modulators of NF-κB, inflammation and cancer. Nat. Rev. Cancer 2010, 10, 561–574. [Google Scholar] [CrossRef]
- Fulda, S.; Vucic, D. Targeting IAP proteins for therapeutic intervention in cancer. Nat. Rev. Drug Discov. 2012, 11, 109–124. [Google Scholar] [CrossRef] [PubMed]
- Ramchatesingh, B.; Villarreal, A.M.; Arcuri, D.; Lagacé, F.; Abu Setah, S.; Touma, F.; Al-Badarin, F.; Litvinov, I.V. The Use of Retinoids for the Prevention and Treatment of Skin Cancers: An Updated Review. Int. J. Mol. Sci. 2022, 23, 12622. [Google Scholar] [CrossRef] [PubMed]
- Vaienti, S.; Calzari, P.; Nazzaro, G. Topical Treatment of Melanoma In Situ, Lentigo Maligna, and Lentigo Maligna Melanoma with Imiquimod Cream: A Systematic Review of the Literature. Dermatol. Ther. 2023, 13, 2187–2215. [Google Scholar] [CrossRef]
- Liu, M.; Bai, R.; Zhang, G.; Liu, X.; Wang, Z.; He, K.; Gan, X.; Zhou, X.; Yin, P.; Zheng, Y.; et al. RARRES1 identified by comprehensive bioinformatic analysis and experimental validation as a promising biomarker in Skin Cutaneous Melanoma. Sci. Rep. 2024, 14, 14113. [Google Scholar] [CrossRef]
- Wang, C.-H.; Wang, L.-K.; Tsai, F.-M. A Novel Role for Tazarotene-induced Gene 1 in Suppressing Melanoma Growth—Schlafen 11. Front. Biosci. 2025, 30, 37895. [Google Scholar] [CrossRef]
- Ye, Q.; Zhuang, X.-Z.; Li, J.; Zhou, X. Targeting the inhibitors of apoptosis proteins (IAPs) to combat drug resistance in cancers. Front. Pharmacol. 2025, 16, 1562167. [Google Scholar] [CrossRef]
- Wolf, P. Inhibitor of apoptosis proteins as therapeutic targets in bladder cancer. Front. Oncol. 2023, 13, 1124600. [Google Scholar] [CrossRef]
- Chang, H.; Schimmer, A.D. Livin/melanoma inhibitor of apoptosis protein as a potential therapeutic target for the treatment of malignancy. Mol. Cancer Ther. 2007, 6, 24–30. [Google Scholar] [CrossRef][Green Version]
- Fei, M.; Luo, Y.; Zhou, J.; Yan, Q. The role of Livin expression in the clinicopathological features and prognosis of lung cancer: A meta-analysis. Transl. Cancer Res. 2021, 10, 99–109. [Google Scholar] [CrossRef]
- Dasgupta, A.; Alvarado, C.S.; Xu, Z.; Findley, H.W. Expression and functional role of inhibitor-of-apoptosis protein livin (BIRC7) in neuroblastoma. Biochem. Biophys. Res. Commun. 2010, 400, 53–59. [Google Scholar] [CrossRef]
- Zadoroznyj, A.; Dubrez, L. Cytoplasmic and Nuclear Functions of cIAP1. Biomolecules 2022, 12, 322. [Google Scholar] [CrossRef]
- Zhang, J.; Webster, J.D.; Dugger, D.L.; Goncharov, T.; Roose-Girma, M.; Hung, J.; Kwon, Y.C.; Vucic, D.; Newton, K.; Dixit, V.M. Ubiquitin Ligases cIAP1 and cIAP2 Limit Cell Death to Prevent Inflammation. Cell Rep. 2019, 27, 2679–2689.e3. [Google Scholar] [CrossRef]
- Augello, C.; Caruso, L.; Maggioni, M.; Donadon, M.; Montorsi, M.; Santambrogio, R.; Torzilli, G.; Vaira, V.; Pellegrini, C.; Roncalli, M.; et al. Inhibitors of apoptosis proteins (IAPs) expression and their prognostic significance in hepatocellular carcinoma. BMC Cancer 2009, 9, 125. [Google Scholar] [CrossRef] [PubMed]
- Liang, J.; Zhao, W.; Tong, P.; Li, P.; Zhao, Y.; Li, H.; Liang, J. Comprehensive molecular characterization of inhibitors of apoptosis proteins (IAPs) for therapeutic targeting in cancer. BMC Med. Genom. 2020, 13, 7. [Google Scholar] [CrossRef] [PubMed]
- Wang, H.; Liu, M.; Zeng, X.; Zheng, Y.; Wang, Y.; Zhou, Y. Cell death affecting the progression of gastric cancer. Cell Death Discov. 2022, 8, 377. [Google Scholar] [CrossRef]
- Wang, S.; Bai, L.; Lu, J.; Liu, L.; Yang, C.-Y.; Sun, H. Targeting Inhibitors of Apoptosis Proteins (IAPs) For New Breast Cancer Therapeutics. J. Mammary Gland. Biol. Neoplasia 2012, 17, 217–228. [Google Scholar] [CrossRef]
- Fulda, S. Smac Mimetics to Therapeutically Target IAP Proteins in Cancer. Int. Rev. Cell Mol. Biol. 2017, 330, 157–169. [Google Scholar] [CrossRef]
- Burton, A.M.; Ligman, B.R.; Kearney, C.A.; Murray, S.E. SMAC mimetics inhibit human T cell proliferation and fail to augment type 1 cytokine responses. Cell. Immunol. 2023, 384, 104674. [Google Scholar] [CrossRef]
- Liu, Q.; Yan, X.; Yuan, Y.; Li, R.; Zhao, Y.; Fu, J.; Wang, J.; Su, J. HTRA2/OMI-Mediated Mitochondrial Quality Control Alters Macrophage Polarization Affecting Systemic Chronic Inflammation. Int. J. Mol. Sci. 2024, 25, 1577. [Google Scholar] [CrossRef]
- Rosochowicz, M.A.; Kulcenty, K.; Suchorska, W.M. Exploring the Role of HtrA Family Genes in Cancer: A Systematic Review. Mol. Diagn. Ther. 2024, 28, 347–377. [Google Scholar] [CrossRef]
- Wu, L.; Li, X.; Li, Z.; Cheng, Y.; Wu, F.; Lv, C.; Zhang, W.; Tang, W. HtrA serine proteases in cancers: A target of interest for cancer therapy. Biomed. Pharmacother. 2021, 139, 111603. [Google Scholar] [CrossRef]
- Shyu, R.-Y.; Wang, C.-H.; Wu, C.-C.; Chen, M.-L.; Lee, M.-C.; Wang, L.-K.; Jiang, S.-Y.; Tsai, F.-M. Tazarotene-Induced Gene 1 Enhanced Cervical Cell Autophagy through Transmembrane Protein 192. Mol. Cells 2016, 39, 877–887. [Google Scholar] [CrossRef]
- Morgan, M.J.; Kim, Y.-S. Roles of RIPK3 in necroptosis, cell signaling, and disease. Exp. Mol. Med. 2022, 54, 1695–1704. [Google Scholar] [CrossRef]
- Kang, S.; Louboutin, J.-P.; Datta, P.; Landel, C.P.; Martinez, D.; Zervos, A.S.; Strayer, D.S.; Fernandes-Alnemri, T.; Alnemri, E.S. Loss of HtrA2/Omi activity in non-neuronal tissues of adult mice causes premature aging. Cell Death Differ. 2012, 20, 259–269. [Google Scholar] [CrossRef]





Disclaimer/Publisher’s Note: The statements, opinions and data contained in all publications are solely those of the individual author(s) and contributor(s) and not of MDPI and/or the editor(s). MDPI and/or the editor(s) disclaim responsibility for any injury to people or property resulting from any ideas, methods, instructions or products referred to in the content. |
© 2025 by the authors. Licensee MDPI, Basel, Switzerland. This article is an open access article distributed under the terms and conditions of the Creative Commons Attribution (CC BY) license (https://creativecommons.org/licenses/by/4.0/).
Share and Cite
Wang, C.-H.; Wang, L.-K.; Tsai, F.-M. Tazarotene-Induced Gene 3 (TIG3) Induces Apoptosis in Melanoma Cells Through the Modulation of Inhibitors of Apoptosis Proteins. Biomedicines 2025, 13, 1749. https://doi.org/10.3390/biomedicines13071749
Wang C-H, Wang L-K, Tsai F-M. Tazarotene-Induced Gene 3 (TIG3) Induces Apoptosis in Melanoma Cells Through the Modulation of Inhibitors of Apoptosis Proteins. Biomedicines. 2025; 13(7):1749. https://doi.org/10.3390/biomedicines13071749
Chicago/Turabian StyleWang, Chun-Hua, Lu-Kai Wang, and Fu-Ming Tsai. 2025. "Tazarotene-Induced Gene 3 (TIG3) Induces Apoptosis in Melanoma Cells Through the Modulation of Inhibitors of Apoptosis Proteins" Biomedicines 13, no. 7: 1749. https://doi.org/10.3390/biomedicines13071749
APA StyleWang, C.-H., Wang, L.-K., & Tsai, F.-M. (2025). Tazarotene-Induced Gene 3 (TIG3) Induces Apoptosis in Melanoma Cells Through the Modulation of Inhibitors of Apoptosis Proteins. Biomedicines, 13(7), 1749. https://doi.org/10.3390/biomedicines13071749

