Posterior Mitral Valve Hypoplasia: Three Clinical Cases and a Review of the Literature
Abstract
1. Introduction
2. Case Reports
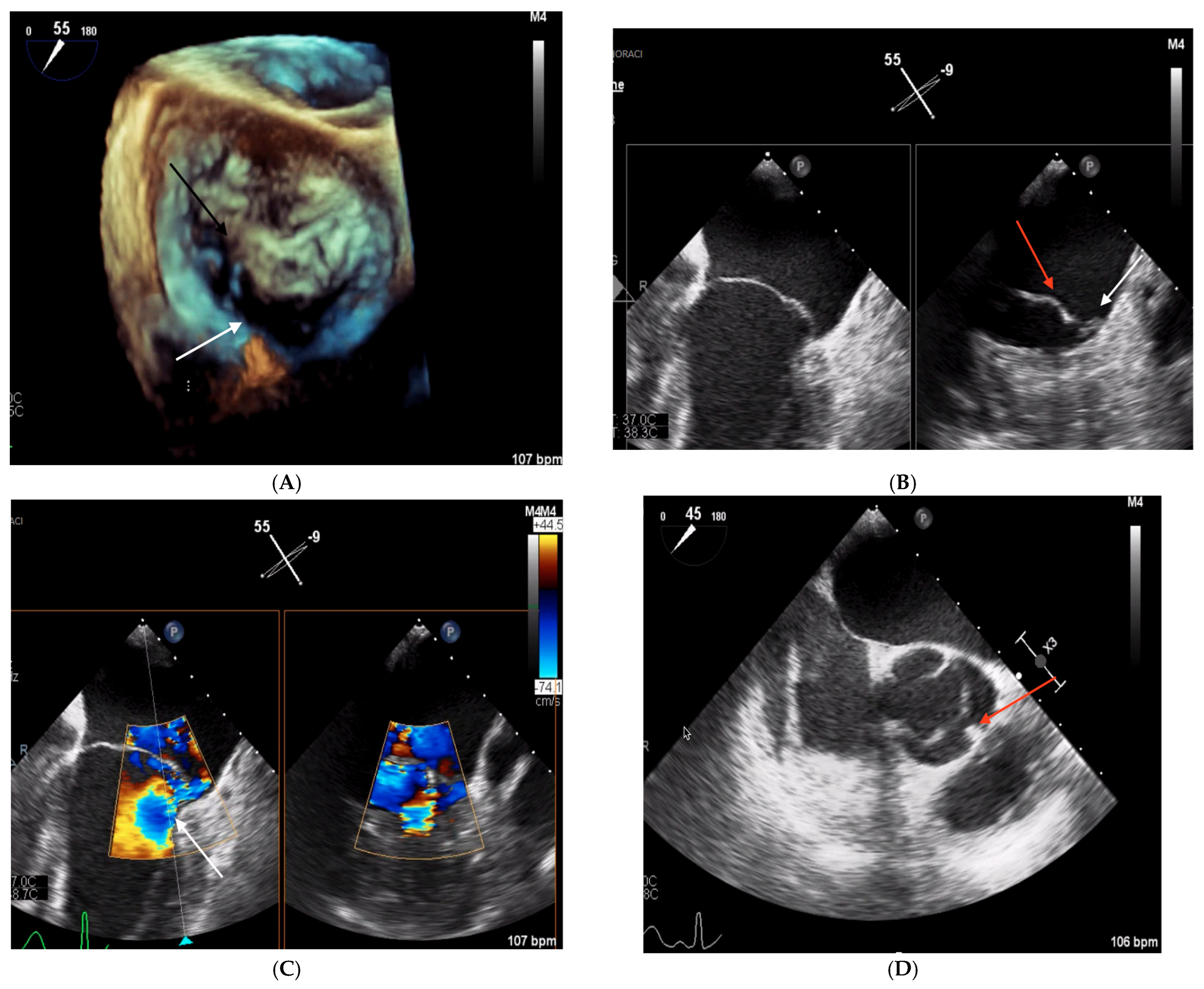
2.1. Clinical Case 1
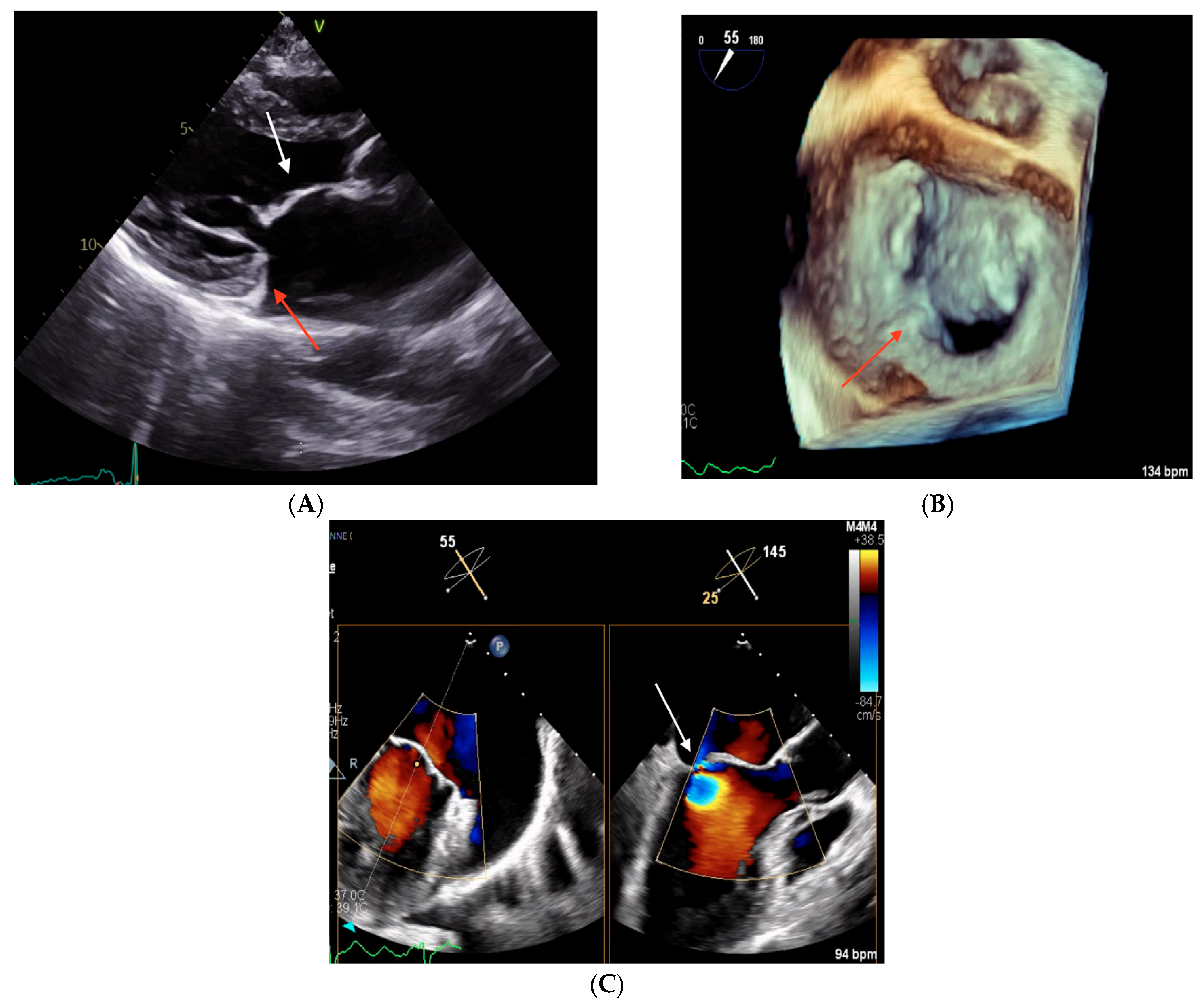
2.2. Clinical Case 2
2.3. Clinical Case 3
3. Discussion
4. Conclusions
Author Contributions
Funding
Institutional Review Board Statement
Informed Consent Statement
Data Availability Statement
Conflicts of Interest
Abbreviations
| AR | Aortic regurgitation |
| ASD | Anterior septal defect |
| BAV | Bicuspid aortic valve |
| ECG | Electrocardiogram |
| ERO | Effective regurgitant orifice |
| LAVi | Indexed left atrial volume |
| LVEDV | left ventricular end-diastolic volume |
| LVEF | left ventricular ejection fraction |
| LVESD | left ventricular end-systolic diameter |
| LVESV | left ventricular end-systolic volume |
| LVNC | Left ventricular non-compaction |
| MR | Mitral regurgitation |
| PML | Posterior mitral leaflet |
| RV | Regurgitant volume |
| TAVR | Transcatheter aortic valve replacement |
| TEER | Transcutaneous edge-to-edge repair |
| TEE | Transesophageal echocardiography |
| TTE | Transthoracic echocardiography |
| VHD | Valvular heart disease |
References
- Iung, B.; Delgado, V.; Rosenhek, R.; Price, S.; Prendergast, B.; Wendler, O.; De Bonis, M.; Tribouilloy, C.; Evangelista, A.; Bogachev-Prokophiev, A.; et al. Contemporary Presentation and Management of Valvular Heart Disease: The EURObservational Research Programme Valvular Heart Disease II Survey. Circulation 2019, 140, 1156–1169. [Google Scholar] [CrossRef] [PubMed]
- Vahanian, A.; Beyersdorf, F.; Praz, F.; Milojevic, M.; Baldus, S.; Bauersachs, J.; Capodanno, D.; Conradi, L.; De Bonis, M.; De Paulis, R.; et al. 2021 ESC/EACTS Guidelines for the management of valvular heart disease. Eur. Heart J. 2021, 43, ehab395. [Google Scholar] [CrossRef]
- Bär, H.; Siegmund, A.; Wolf, D.; Hardt, S.; Katus, H.A.; Mereles, D. Prevalence of asymptomatic mitral valve malformations. Clin. Res. Cardiol. 2009, 98, 305–309. [Google Scholar] [CrossRef]
- Kanagala, P.; Baker, S.; Green, L.; Houghton, A.R. Functionally uni-leaflet mitral valves in a family: A case series. Eur Heart J.-Cardiovasc. Imaging 2010, 11, E27. [Google Scholar] [CrossRef]
- Heper, G.; Yetkin, E.; Senen, K. Absence of Posterior Mitral Leaflet With Secundum Atrial Septal Defect. Ann. Thorac. Surg. 2010, 90, 2055–2057. [Google Scholar] [CrossRef]
- Ozkan, H.; Tiryakioglu, O.; Cetinkaya, A.S.; Uyanik, E.C.; Bozat, T. Agenesis of the Mitral Posterior Leaflet in Elderly. Ann. Thorac. Surg. 2014, 97, 319–321. [Google Scholar] [CrossRef] [PubMed]
- de Agustin, J.A.; de Diego, J.J.G.; Garcia-Fernandez, M.A.; Rodrigo, J.L.; Marcos-Alberca, P.; Almeria, C.; Nuñez-Gil, I.J.; Luaces, M.; Mahia, P.; Macaya, C.; et al. Severe hypoplasia of the posterior mitral leaflet: A rare cause of congenital mitral regurgitation assessed by three-dimensional transesophageal echocardiography. Int. J. Cardiol. 2014, 177, e131–e132. [Google Scholar] [CrossRef]
- Bezgin, T. Mitral valve with a single leaflet. Turk Kardiyol. Dernegi Arsivi-Archives Turk. Soc. Cardiol. 2014, 42, 80–82. [Google Scholar] [CrossRef]
- Saura, D.; Oliva, M.J.; Sanchez-Galian, M.J.; Gonzalez, J.; Caballero, L.; Mateo-Martinez, A.; de la Morena, G. Real-time three-dimensional transesophageal echocardiographic evaluation of the association of bicuspid aortic valve and mitral posterior leaflet hypoplasia. Int. J. Cardiol. 2015, 195, 334–335. [Google Scholar] [CrossRef]
- Yazdan-Ashoori, P.; Rohani, A.; Mulji, A.S.; Van Spall, H.G.C. Hypoplasia of the posterior mitral valve leaflet detected in late adulthood. Eur. Heart J. 2015, 36, 456. [Google Scholar] [CrossRef]
- Joshi, V.; Laurie, K.; Skoyles, J.; Richens, D. Severe Mitral Regurgitation Secondary to Atresia of the Posterior Mitral Valve Leaflet in the Adult: Is Repair Always Best Practice? Thorac. Cardiovasc. Surg. Rep. 2014, 04, 034–036. [Google Scholar] [CrossRef] [PubMed][Green Version]
- Shah, J.; Jain, T.; Shah, S.; Mawri, S.; Ananthasubramaniam, K. Rare Case of Unileaflet Mitral Valve. J. Cardiovasc. Ultrasound 2016, 24, 168. [Google Scholar] [CrossRef] [PubMed]
- Fazlinezhad, A.; Alvandi Azari, M.; Bigdellu, L. Severe Hypoplasia of Posterior Mitral Valve Leaflet Presented with Atypical Chest Pain: A Case Report. Razavi Int. J. Med. 2016, 5, e41501. [Google Scholar] [CrossRef]
- Bacich, D.; Braggion, G.; Faggian, G. Hypoplasia of the posterior mitral leaflet: A rare cause of mitral regurgitation in adulthood. Echocardiography 2017, 34, 949–950. [Google Scholar] [CrossRef]
- Parato, V.; Masia, S. Hypoplasia or Absence of Posterior Leaflet: A Rare Congenital Anomaly of The Mitral Valve in Adulthood—Case Series. J. Cardiovasc. Echogr. 2018, 28, 45. [Google Scholar] [CrossRef] [PubMed]
- Arasaratnam, K.; Tomlinson, S.; Dahiya, A.; Lo, A.; Jalali, H.; Prasad, S.B. Surgical Repair of a Unileaflet Mitral Valve: A Rare Congenital Abnormality and a Novel Surgical Approach. CASE 2020, 4, 420–428. [Google Scholar] [CrossRef]
- Kadlečková, A.; Ioniţă, O.R.; Weichet, J.; Kačer, P.; Línková, H. Hypoplasia of the posterior mitral leafl et—Are we familiar with it? Cor Vasa 2021, 63, 502–505. [Google Scholar] [CrossRef]
- Grandez, C.; Skenderi, S. Unileaflet Mitral Valve in Patient With Marfanoid Habitus. CASE 2023, 7, 10–13. [Google Scholar] [CrossRef]
- Emami, E.; Shemshadi, S.; Farrashi, M. Aplastic Posterior Mitral Leaflet with an Unusual Clinical Course. Res. Cardiovasc. Med. 2024, 13, 134–136. [Google Scholar] [CrossRef]
- Karaduman, A. An Echocardiographic Study of a Rare Cause of Mitral Regurgitation: Hypoplastic Posterior Mitral Valve Leaflet. Anatol. J. Cardiol. 2025, 29, 124–131. [Google Scholar] [CrossRef]
- Antit, S.; Soumer, K.; Abdelhedi, M.; Zidi, O.; Zakhama, L. Incidental Findings of Congenital Unileaflet Mitral Valves in Young Patient Presenting Complete Atrioventricular Block. Pediatr. Cardiol. 2025, 46, 1003–1007. [Google Scholar] [CrossRef] [PubMed]
- Remenyi, B.; Gentles, T. Congenital mitral valve lesions: Correlation between morphology and imaging. Ann. Pediatr. Cardiol. 2012, 5, 3. [Google Scholar] [CrossRef] [PubMed]
- Talner, N.S.; Stern, A.M.; Sloan, H.E. Congenital Mitral Insufficiency. Circulation 1961, 23, 339–349. [Google Scholar] [CrossRef] [PubMed]
- Oosthoek, P.W.; Wenink, A.C.; Wisse, L.J.; Gittenberger-de Groot, A.C. Development of the papillary muscles of the mitral valve: Morphogenetic background of parachute-like asymmetric mitral valves and other mitral valve anomalies. J. Thorac. Cardiovasc. Surg. 1998, 116, 36–46. [Google Scholar] [CrossRef]






| Case 1 | Case 2 | Case 3 | |
|---|---|---|---|
| LVEDV, mL | 241 | 92 | 105 |
| LVESV, mL | 84 | 33 | 29 |
| LVEF, % | 65 | 64 | 70 |
| LVESD, mm | 43 | 23 | |
| LAVi, mL/m² | 50 | 77 | 68 |
| ERO, cm² | 0.9 cm² | 0.42 cm² | 0.51 |
| RV, mL | 95 | 85 | 72 |
| AuthorsJournal DOI Number | N° of Cases | Age | Gender | Presentation Mitral Regurgitation Entity; Concomitant Heart Disease Disease/Symptoms at Presentation | Management |
|---|---|---|---|---|---|
| Bär, H. et al. (2009) [3] | 3 | Case 1: 62 yo | Woman | (1) Mild-to-moderate MR/Asymptomatic | Clinical follow-up |
| Case 2: 62 yo | Man | (2) No MR (previous aortic valve surgery)/Asymptomatic | |||
| Case 3: 72 yo | Woman | (3) Mild MR/Mild AR (tricuspid valve)/Asymptomatic | |||
| Kanagala, P. et al. (2010) [4] | 3 (familial) | Case 1: 18 yo | Woman | (1) Mild MR/Asymptomatic | Clinical follow-up |
| Case 2: 17 yo | Woman | (2) Mild MR/Asymptomatic | |||
| Case 3: 4- yo | Woman | (3) Mild MR/Asymptomatic | |||
| Heper, G. et al. (2010) [5] | 1 | 54 yo | Woman | Mild MR;ASD ostrium secundum type/Asymptomatic | Clinical follow-up |
| Okzan, H. et al. (2014) [6] | 1 | 62 yo | Male | Severe MR/Dyspnea | MVR |
| de Agustin, J.A. et al (2014) [7] | 1 | 73 yo | Woman | Severe MR/Dyspnea | MVR |
| Bezgin, T. et al. (2014) [8] | 1 | 45 yo | Woman | Mild MR/Obstructive SAM | Betablocker therapy for dynamic LVOT |
| Saura, D. et al. (2015) [9] | 1 | 51 yo | Male | Severe MR/Acute pulmonary oedema | MVR |
| Yazdan-Ashoori, P. et al. (2015) [10] | 1 | 76 yo | Male | Severe MR/Acute pulmonary oedema | Mitral valve repair |
| Joshi, V. et al. (2014) [11] | 1 | 66 yo | W | Severe MR/Dyspnea | MVR |
| Shah, J. et al. (2016) [12] | 1 | 22 yo | Man | No MR/Asymptomatic | Clinical follow-up |
| Fazlinezhad, A. et al. (2017) [13] | 1 | 24 yo | Man | Mild MR/Asymptomatic | Clinical follow-up |
| Bacich, D. et al. (2017) [14] | 1 | 69 yo | Woman | Severe MR/Dyspnea | MVR |
| Parato, V.M. et al. (2018) [15] | 2 | Case 1 35 yo | Man | (1) Severe MR, LVNC, BAV/Dyspnea | (1) MVR |
| Case 2 : 21 yo | Man | (2) Trace MR/Asymptomatic | (2) Clinical follow-up | ||
| Arasaratnam, K. et al. (2020) [16] | 1 | 65 | Woman | Severe MR/Dyspnea | MVR |
| Kadlečková, A. et al. (2021) [17] | 2 | Case 1: 59 yo Case 2: 48 yo | (1) Men | (1) Mild MR/Asymptomatic | (1) MVR, AVR |
| (2) Man | (2) Severe MR; BAV; PFO, LVNC; previous ductus arteriosus surgery/AF | ||||
| Grandez, C. et al. (2022) [18] | 1 | 22 yo | Man | No MR; Marphanoid habitus/ Asymptomatic | Clinical follow-up |
| Emami, E. et al. (2024) [19] | 1 | 72 yo | Man | Severe MR, BAV already treated by AVR | Not indicated |
| Karaduman, A. et al. (2025) [20] | 44 | Median age: 31 yo (23-44.5) | 22 men 22 women | 14 moderate MR 11 severe MR 22 symptomatic (dyspnea) Concomitant disease: 13 BAV 2 unicuspid unicommissural aortic valve 7 ASD ostium secundum type 1 ASD ostrium primum type | 7 MVR 14 MVR + other surgery 23 clinical follow-up |
| Antit, S. et al. (2025) [21] | 1 | 30 yo | Man | No MR/Complete AV block | Clinical follow-up |
Disclaimer/Publisher’s Note: The statements, opinions and data contained in all publications are solely those of the individual author(s) and contributor(s) and not of MDPI and/or the editor(s). MDPI and/or the editor(s) disclaim responsibility for any injury to people or property resulting from any ideas, methods, instructions or products referred to in the content. |
© 2025 by the authors. Licensee MDPI, Basel, Switzerland. This article is an open access article distributed under the terms and conditions of the Creative Commons Attribution (CC BY) license (https://creativecommons.org/licenses/by/4.0/).
Share and Cite
Koenig, B.; Ionescu, A.; Galli, E. Posterior Mitral Valve Hypoplasia: Three Clinical Cases and a Review of the Literature. Biomedicines 2025, 13, 1078. https://doi.org/10.3390/biomedicines13051078
Koenig B, Ionescu A, Galli E. Posterior Mitral Valve Hypoplasia: Three Clinical Cases and a Review of the Literature. Biomedicines. 2025; 13(5):1078. https://doi.org/10.3390/biomedicines13051078
Chicago/Turabian StyleKoenig, Baudouin, Alin Ionescu, and Elena Galli. 2025. "Posterior Mitral Valve Hypoplasia: Three Clinical Cases and a Review of the Literature" Biomedicines 13, no. 5: 1078. https://doi.org/10.3390/biomedicines13051078
APA StyleKoenig, B., Ionescu, A., & Galli, E. (2025). Posterior Mitral Valve Hypoplasia: Three Clinical Cases and a Review of the Literature. Biomedicines, 13(5), 1078. https://doi.org/10.3390/biomedicines13051078

