Hypoxia-Regulated CD44 and xCT Expression Contributes to Late Postoperative Epilepsy in Glioblastoma
Abstract
1. Introduction
2. Materials and Methods
2.1. Patients and Study Design
2.2. Imaging Studies
2.3. Surgical Treatment and Tissue Sampling
2.4. Western Blot Analysis
2.5. Measurement of Extracellular Glu Concentrations in Tumor Tissues and GSCs
2.6. GSC Culture
2.7. Establishment of Stable CD44-Knockdown Cells
2.8. Inhibition of xCT Expression by the Treatment with Sulfasalazine (SSZ)
2.9. Hypoxic Treatment
2.10. Statistical Analysis
3. Results
3.1. Clinical Features
3.2. Extracellular Glu Concentration in Tumor Tissues of GBM
3.3. Expression of CD44, xCT, and EAAT2 in the Tumor Core and Periphery
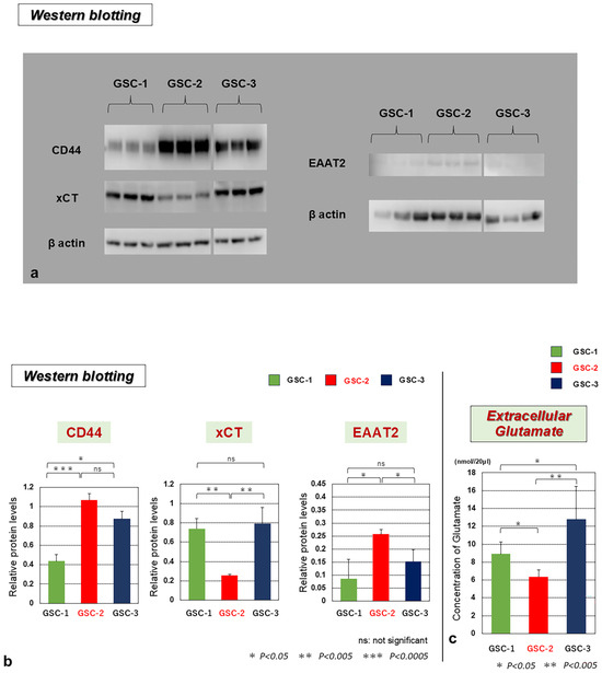
3.4. Extracellular Glu Concentration and Expressions of CD44, xCT and EAAT2 in GSCs
3.5. Effects of CD44 Knockdown on Expressions of xCT and EAAT2, and Extracellular Glu Concentrations
3.6. Inhibitory Effects of Sulfasalazine (SSZ) on xCT
3.7. Effects of Differential Hypoxia on Expressions of CD44, xCT, EAAT2, and Glu Concentration in GSCs
4. Discussion
5. Conclusions
Supplementary Materials
Author Contributions
Funding
Institutional Review Board Statement
Informed Consent Statement
Data Availability Statement
Acknowledgments
Conflicts of Interest
References
- Dewan, M.C.; White-Dzuro, G.A.; Brinson, P.R.; Thompson, R.C.; Chambless, L.B. Perioperative seizure in patients with glioma is associated with longer hospitalization, higher readmission, and decreased overall survival. J. Neurosurg. 2016, 125, 1033–1041. [Google Scholar] [CrossRef]
- Woo, P.Y.; Chan, D.T.; Chan, K.Y.; Wong, W.K.; Po, Y.C.; Kwok, J.C.; Poon, W.S. Risk factors for seizures and antiepileptic drug-associated adverse effects in high-grade glioma patients: A multicentre, retrospective study in Hong Kong. Surg. Pract. 2015, 19, 2–8. [Google Scholar] [CrossRef] [PubMed]
- Manaka, S.; Ishijima, B.; Mayanagi, Y. Postoperative seizures: Epidemiology, pathology, and prophylaxis. Neurol. Med. Chir. 2003, 43, 589–600. [Google Scholar] [CrossRef] [PubMed]
- Chaichana, K.L.; Parker, S.L.; Olivi, A.; Quiñones-Hinojosa, A. Long-term seizure outcomes in adult patients undergoing primary resection of malignant brain astrocytomas. J. Neurosurg. 2009, 111, 282–292. [Google Scholar] [CrossRef] [PubMed]
- Liang, S.; Zhang, J.; Zhang, S.; Fu, X. Epilepsy in adults with supratentorial glioblastoma: Incidence and influence factors and prophylaxis in 184 patients. PLoS ONE 2016, 11, e0158206. [Google Scholar] [CrossRef]
- Nakamura, Y.; Inoue, A.; Nishikawa, M.; Ohnishi, T.; Yano, H.; Kanemura, Y.; Ohtsuka, Y.; Ozaki, S.; Kusakabe, K.; Suehiro, S.; et al. Quantitative measurement of peritumoral concentrations of glutamate, N-acetyl aspartate, and lactate on magnetic resonance spectroscopy predicts glioblastoma-related refractory epilepsy. Acta Neurochir. 2022, 164, 3253–3266. [Google Scholar] [CrossRef]
- Nishikawa, M.; Inoue, A.; Ohnishi, T.; Yano, H.; Ozaki, S.; Kanemura, Y.; Suehiro, S.; Ohtsuka, Y.; Kohno, S.; Ohue, S.; et al. Hypoxia-induced phenotypic transition from highly invasive to less invasive tumors in glioma stem-like cells: Significance of CD44 and osteopontin as therapeutic targets in glioblastoma. Transl. Oncol. 2021, 14, 101137. [Google Scholar] [CrossRef] [PubMed]
- Roslin, M.; Henriksson, R.; Bergström, P.; Ungerstedt, U.; Bergenheim, A.T. Baseline levels of glucose metabolites, glutamate and glycerol in malignant glioma assessed by stereotactic microdialysis. J. Neurooncol. 2003, 61, 151–160. [Google Scholar] [CrossRef]
- Takano, T.; Lin, J.H.; Arcuino, G.; Gao, Q.; Yang, J.; Nedergaard, M. Glutamate release promotes growth of malignant gliomas. Nat. Med. 2001, 7, 1010–1015. [Google Scholar] [CrossRef]
- Lo, M.; Wang, Y.Z.; Gout, P.W. The x(c)-cystine/glutamate antiporter: A potential target for therapy of cancer and other diseases. J. Cell Physiol. 2008, 215, 593–602. [Google Scholar] [CrossRef]
- de Groot, J.F.; Liu, T.J.; Fuller, G.; Yung, W.K. The excitatory amino acid transporter-2 induces apoptosis and decreases glioma growth in vitro and in vivo. Cancer Res. 2005, 65, 1934–1940. [Google Scholar] [CrossRef]
- Ye, Z.C.; Rothstein, J.D.; Sontheimer, H. Compromised glutamate transport in human glioma cells: Reduction-mislocalization of sodium-dependent glutamate transporters and enhanced activity of cystine-glutamate exchange. J. Neurosci. 1999, 19, 10767–10777. [Google Scholar] [CrossRef] [PubMed]
- Sørensen, M.F.; Heimisdóttir, S.B.; Sørensen, M.D.; Mellegaard, C.S.; Wohlleben, H.; Kristensen, B.W.; Beier, C.P. High expression of cystine-glutamate antiporter xCT (SLC7A11) is an independent biomarker for epileptic seizures at diagnosis in glioma. J. Neurooncol. 2018, 138, 49–53. [Google Scholar] [CrossRef] [PubMed]
- Pines, G.; Danbolt, N.C.; Bjørås, M.; Zhang, Y.; Bendahan, A.; Eide, L.; Koepsell, H.; Storm-Mathisen, J.; Seeberg, E.; Kanner, B.I. Cloning and expression of a rat brain L-glutamate transporter. Nature 1992, 360, 464–467. [Google Scholar] [CrossRef]
- Takeuchi, S.; Wada, K.; Toyooka, T.; Shinomiya, N.; Shimazaki, H.; Nakanishi, K.; Nagatani, K.; Otani, N.; Osada, H.; Uozumi, Y.; et al. Increased xCT expression correlates with tumor invasion and outcome in patients with glioblastomas. Neurosurgery 2013, 72, 33–41. [Google Scholar] [CrossRef] [PubMed]
- Yuen, T.I.; Morokoff, A.P.; Bjorksten, A.; D’Abaco, G.; Paradiso, L.; Finch, S.; Wong, D.; Reid, C.A.; Powell, K.L.; Drummond, K.J.; et al. Glutamate is associated with a higher risk of seizures in patients with gliomas. Neurology 2012, 79, 883–889. [Google Scholar] [CrossRef]
- Guo, X.; Qiu, W.; Li, B.; Qi, Y.; Wang, S.; Zhao, R.; Cheng, B.; Han, X.; Du, H.; Pan, Z.; et al. Hypoxia-Induced Neuronal Activity in Glioma Patients Polarizes Microglia by Potentiating RNA m6A Demethylation. Clin. Cancer Res. 2024, 30, 1160–1174. [Google Scholar] [CrossRef] [PubMed]
- Inoue, A.; Nishikawa, M.; Ohnishi, T.; Yano, H.; Kanemura, Y.; Ohtsuka, Y.; Ozaki, S.; Nakamura, Y.; Matsumoto, S.; Suehiro, S.; et al. Prediction of glioma stemlike cell infiltration in the non-contrast-enhancing area by quantitative measurement of lactate on magnetic resonance spectroscopy in glioblastoma. World Neurosurg. 2021, 153, e76–e95. [Google Scholar] [CrossRef]
- Stupp, R.; Mason, W.P.; van den Bent, M.J.; Weller, M.; Fisher, B.; Taphoorn, M.J.; Belanger, K.; Brandes, A.A.; Marosi, C.; Bogdahn, U.; et al. Radiotherapy plus concomitant and adjuvant temozolomide for glioblastoma. N. Engl. J. Med. 2005, 352, 987–996. [Google Scholar] [CrossRef] [PubMed]
- Ohue, S.; Kohno, S.; Inoue, A.; Yamashita, D.; Harada, H.; Kumon, Y.; Kikuchi, K.; Miki, H.; Ohnishi, T. Accuracy of diffusion tensor magnetic resonance imaging-based tractography for surgery of gliomas near the pyramidal tract: A significant correlation between subcortical electrical stimulation and postoperative tractography. Neurosurgery 2012, 70, 283–293. [Google Scholar] [CrossRef]
- Nishikawa, M.; Inoue, A.; Ohnishi, T.; Kohno, S.; Ohue, S.; Matsumoto, S.; Suehiro, S.; Yamashita, D.; Ozaki, S.; Watanabe, H.; et al. Significance of glioma stem-like cells in the tumor periphery that express high levels of CD44 in tumor invasion, early progression, and poor prognosis in glioblastoma. Stem Cells Int. 2018, 2018, 1–15. [Google Scholar] [CrossRef] [PubMed]
- Schunemann, D.P.; Grivicich, I.; Regner, A.; Leal, L.F.; de Araújo, D.R.; Jotz, G.P.; Fedrigo, C.A.; Simon, D.; da Rocha, A.B. Glutamate promotes cell growth by EGFR signaling on U-87MG human glioblastoma cell line. Pathol. Oncol. Res. 2010, 16, 285–293. [Google Scholar] [CrossRef] [PubMed]
- Prickett, T.D.; Samuels, Y. Molecular pathways: Dysregulated glutamatergic signaling pathways in cancer. Clin. Cancer Res. 2012, 18, 4240–4246. [Google Scholar] [CrossRef] [PubMed]
- Rossi, J.; Cavallieri, F.; Biagini, G.; Rizzi, R.; Russo, M.; Cozzi, S.; Giaccherini, L.; Pisanello, A.; Valzania, F. Epileptogenesis and Tumorigenesis in Glioblastoma: Which Relationship? Medicina 2022, 58, 1349. [Google Scholar] [CrossRef]
- Giese, A.; Loo, M.A.; Tran, N.; Haskett, D.; Coons, S.W.; Berens, M.E. Dichotomy of astrocytoma migration and proliferation. Int. J. Cancer 1996, 67, 275–282. [Google Scholar] [CrossRef]
- Oh, J.; Sahgal, A.; Sanghera, P.; Tsao, M.N.; Davey, P.; Lam, K.; Symons, S.; Aviv, R.; Perry, J.R. Glioblastoma: Patterns of recurrence and efficacy of salvage treatments. Can. J. Neurol. Sci. 2011, 38, 621–625. [Google Scholar] [CrossRef]
- Cruickshank, G.S.; Rampling, R. Peri-tumoural hypoxia in human brain: Peroperative measurement of the tissue oxygen tension around malignant brain tumours. Acta Neurochir. Suppl. 1994, 60, 375–377. [Google Scholar]
- Musah-Eroje, A.; Watson, S. Adaptive changes of glioblastoma cells following exposure to hypoxic (1% oxygen) tumour microenvironment. Int. J. Mol. Sci. 2019, 20, 2091. [Google Scholar] [CrossRef] [PubMed]
- Ishimoto, T.; Nagano, O.; Yae, T.; Tamada, M.; Motohara, T.; Oshima, H.; Oshima, M.; Ikeda, T.; Asaba, R.; Yagi, H.; et al. CD44 variant regulates redox status in cancer cells by stabilizing the xCT subunit of system xc(-) and thereby promotes tumor growth. Cancer Cell 2011, 19, 387–400. [Google Scholar] [CrossRef]
- Buckingham, S.C.; Campbell, S.L.; Haas, B.R.; Montana, V.; Robel, S.; Ogunrinu, T.; Sontheimer, H. Glutamate release by primary brain tumors induces epileptic activity. Nat. Med. 2011, 17, 1269–1274. [Google Scholar] [CrossRef]
- Lange, F.; Weßlau, K.; Porath, K.; Hörnschemeyer, M.F.; Bergner, C.; Krause, B.J.; Mullins, C.S.; Linnebacher, M.; Köhling, R.; Kirschstein, T. AMPA receptor antagonist perampanel affects glioblastoma cell growth and glutamate release in vitro. PLoS ONE 2019, 14, e0211644. [Google Scholar] [CrossRef]
- Salmaggi, A.; Corno, C.; Maschio, M.; Donzelli, S.; D’Urso, A.; Perego, P.; Ciusani, E. Synergistic effect of perampanel and temozolomide in human glioma cell lines. J. Pers. Med. 2021, 11, 390. [Google Scholar] [CrossRef] [PubMed]
- Izumoto, S.; Miyauchi, M.; Tasaki, T.; Okuda, T.; Nakagawa, N.; Nakano, N.; Kato, A.; Fujita, M. Seizures and tumor progression in glioma patients with uncontrollable epilepsy treated with perampanel. Anticancer Res. 2018, 38, 4361–4366. [Google Scholar] [CrossRef]
- Tatsuoka, J.; Sano, E.; Hanashima, Y.; Yagi, C.; Yamamuro, S.; Sumi, K.; Hara, H.; Takada, K.; Kanemaru, K.; Komine-Aizawa, S.; et al. Anti-tumor effects of perampanel in malignant glioma cells. Oncol. Lett. 2022, 24, 421. [Google Scholar] [CrossRef]








| Sample | Age (y) | Sex | Epilepsy (Pre-Op) | Epilepsy (Post-Op) | Image Type | Glu | xCT | EAAT2 | CD44 | |||||
|---|---|---|---|---|---|---|---|---|---|---|---|---|---|---|
| Core | Peri | Total | Core | Peri | Core | Peri | Core | Peri | ||||||
| 1 | 71 | M | (+) | H | 0.863 | 1.406 | 2.269 | 1.696 | 2.013 | 3.875 | 8.888 | 6.49 | 1.69 | |
| 2 | 70 | F | (+) | L | 1.649 | 1.616 | 3.265 | 0.289 | 0.284 | 2.206 | 7.048 | 6.986 | 0.548 | |
| 3 | 74 | M | L | 0.415 | 0.311 | 0.726 | 0.297 | 0.107 | 9.77 | 5.569 | 1.103 | 1.259 | ||
| 4 | 49 | M | H | 0.321 | 1.831 | 2.069 | 0.044 | 0.024 | 3.957 | 7.481 | 8.757 | 0.297 | ||
| 5 | 73 | F | L | 0.638 | 0.868 | 0.882 | 0.047 | 0.047 | 1.824 | 2.168 | 6.815 | 2.674 | ||
| 6 | 62 | M | (+) | (+) | H | 1.088 | 0.849 | 1.938 | 0.254 | 0.176 | 1.259 | 0.711 | 2.32 | 6.483 |
| 7 | 76 | F | L | 1.045 | 0.089 | 1.089 | 0.131 | 0.032 | 1.482 | 1.363 | 1.449 | 0.493 | ||
| 8 | 74 | F | L | 0.429 | 0.497 | 0.926 | 0.224 | 0.228 | 1.147 | 1.706 | 0.606 | 0.831 | ||
| 9 | 85 | F | H | 0.531 | 0.834 | 1.365 | 0.052 | 0.042 | 1.229 | 0.285 | 3.11 | 0.171 | ||
| 10 | 75 | F | H | 0.535 | 0.895 | 1.495 | 0.084 | 0.057 | 0.911 | 0.285 | 0.012 | 0.003 | ||
| 11 | 81 | M | H | 0.271 | 0.424 | 0.696 | 0.37 | 0.069 | 0.082 | 1.605 | 7.467 | 3.021 | ||
| 12 | 46 | M | (+) | (+) | H | 0.501 | 0.93 | 1.431 | 0.467 | 0.794 | 0.77 | 0.185 | 4.398 | 9.76 |
| 13 | 60 | F | H | 0.418 | 2.812 | 3.23 | 0.044 | 0.019 | 0.006 | 0.143 | 0.617 | 0.232 | ||
| 14 | 76 | M | H | 1.011 | 0.8945 | 1.905 | 0.002 | 0.004 | 0.242 | 0.18 | 0.645 | 0.456 | ||
Disclaimer/Publisher’s Note: The statements, opinions and data contained in all publications are solely those of the individual author(s) and contributor(s) and not of MDPI and/or the editor(s). MDPI and/or the editor(s) disclaim responsibility for any injury to people or property resulting from any ideas, methods, instructions or products referred to in the content. |
© 2025 by the authors. Licensee MDPI, Basel, Switzerland. This article is an open access article distributed under the terms and conditions of the Creative Commons Attribution (CC BY) license (https://creativecommons.org/licenses/by/4.0/).
Share and Cite
Kusakabe, K.; Inoue, A.; Ohnishi, T.; Nakamura, Y.; Ohtsuka, Y.; Nishikawa, M.; Yano, H.; Choudhury, M.E.; Murata, M.; Matsumoto, S.; et al. Hypoxia-Regulated CD44 and xCT Expression Contributes to Late Postoperative Epilepsy in Glioblastoma. Biomedicines 2025, 13, 372. https://doi.org/10.3390/biomedicines13020372
Kusakabe K, Inoue A, Ohnishi T, Nakamura Y, Ohtsuka Y, Nishikawa M, Yano H, Choudhury ME, Murata M, Matsumoto S, et al. Hypoxia-Regulated CD44 and xCT Expression Contributes to Late Postoperative Epilepsy in Glioblastoma. Biomedicines. 2025; 13(2):372. https://doi.org/10.3390/biomedicines13020372
Chicago/Turabian StyleKusakabe, Kosuke, Akihiro Inoue, Takanori Ohnishi, Yawara Nakamura, Yoshihiro Ohtsuka, Masahiro Nishikawa, Hajime Yano, Mohammed E. Choudhury, Motoki Murata, Shirabe Matsumoto, and et al. 2025. "Hypoxia-Regulated CD44 and xCT Expression Contributes to Late Postoperative Epilepsy in Glioblastoma" Biomedicines 13, no. 2: 372. https://doi.org/10.3390/biomedicines13020372
APA StyleKusakabe, K., Inoue, A., Ohnishi, T., Nakamura, Y., Ohtsuka, Y., Nishikawa, M., Yano, H., Choudhury, M. E., Murata, M., Matsumoto, S., Suehiro, S., Yamashita, D., Shigekawa, S., Watanabe, H., & Kunieda, T. (2025). Hypoxia-Regulated CD44 and xCT Expression Contributes to Late Postoperative Epilepsy in Glioblastoma. Biomedicines, 13(2), 372. https://doi.org/10.3390/biomedicines13020372

