Protective Role of Thiamine Pyrophosphate Against Erlotinib-Induced Oxidative and Inflammatory Damage in Rat Optic Nerve
Abstract
1. Introduction
2. Materials and Methods
2.1. Animals
2.2. Chemicals
2.3. Experimental Design and Grouping
2.3.1. Experimental Design
2.3.2. Experimental Groups
2.4. Experiment Procedure
2.5. Biochemical Analysis
2.5.1. Preparation of Samples
2.5.2. Determination of MDA, tGSH, SOD, CAT, and Protein in Optic Nerve Tissue
2.5.3. Determination of IL-1β and TNF-α Levels in Optic Nerve Tissue
2.6. Histopathological Analysis
2.7. Statistical Analysis
3. Results
3.1. Biochemical Findings
3.1.1. The Outcomes of the MDA and tGSH Assays in Optic Nerve Tissue
3.1.2. The Outcomes of the SOD and CAT Assays in Optic Nerve Tissue
3.1.3. The Outcomes of the IL-1β and TNF-α Assays in Optic Nerve Tissue
3.2. Histopathological Findings
4. Discussion
5. Conclusions
Limitations
Supplementary Materials
Author Contributions
Funding
Institutional Review Board Statement
Data Availability Statement
Conflicts of Interest
References
- Tang, P.A.; Tsao, M.S.; Moore, M.J. A review of erlotinib and its clinical use. Expert. Opin. Pharmacother. 2006, 7, 177–193. [Google Scholar] [CrossRef]
- Levantini, E.; Maroni, G.; Del Re, M.; Tenen, D.G. EGFR signaling pathway as therapeutic target in human cancers. Semin. Cancer Biol. 2022, 85, 253–275. [Google Scholar] [CrossRef]
- Fu, K.; Xie, F.; Wang, F.; Fu, L. Therapeutic strategies for EGFR-mutated non-small cell lung cancer patients with osimertinib resistance. J. Hematol. Oncol. 2022, 15, 173. [Google Scholar] [CrossRef]
- Wu, Y.L.; Cheng, Y.; Zhou, X.; Lee, K.H.; Nakagawa, K.; Niho, S.; Tsuji, F.; Linke, R.; Rosell, R.; Corral, J.; et al. Dacomitinib versus gefitinib as first-line treatment for patients with EGFR-mutation-positive non-small-cell lung cancer (ARCHER 1050): A randomised, open-label, phase 3 trial. Lancet Oncol. 2017, 18, 1454–1466. [Google Scholar] [CrossRef]
- Dickerson, H.; Diab, A.; Al Musaimi, O. Epidermal Growth Factor Receptor Tyrosine Kinase Inhibitors in Cancer: Current Use and Future Prospects. Int. J. Mol. Sci. 2024, 25, 10008. [Google Scholar] [CrossRef]
- Liu, G.H.; Chen, T.; Zhang, X.; Ma, X.L.; Shi, H.S. Small molecule inhibitors targeting the cancers. MedComm 2022, 3, e181. [Google Scholar] [CrossRef]
- Nagano, T.; Tachihara, M.; Nishimura, Y. Mechanism of Resistance to Epidermal Growth Factor Receptor-Tyrosine Kinase Inhibitors and a Potential Treatment Strategy. Cells 2018, 7, 212. [Google Scholar] [CrossRef]
- Faller, B.A.; Burtness, B. Treatment of pancreatic cancer with epidermal growth factor receptor-targeted therapy. Biologics 2009, 3, 419–428. [Google Scholar][Green Version]
- Galimont-Collen, A.F.; Vos, L.E.; Lavrijsen, A.P.; Ouwerkerk, J.; Gelderblom, H. Classification and management of skin, hair, nail and mucosal side-effects of epidermal growth factor receptor (EGFR) inhibitors. Eur. J. Cancer 2007, 43, 845–851. [Google Scholar] [CrossRef]
- Becker, A.; van Wijk, A.; Smit, E.F.; Postmus, P.E. Side-effects of long-term administration of erlotinib in patients with non-small cell lung cancer. J. Thorac. Oncol. 2010, 5, 1477–1480. [Google Scholar] [CrossRef]
- Cohen, M.H.; Johnson, J.R.; Chattopadhyay, S.; Tang, S.; Justice, R.; Sridhara, R.; Pazdur, R. Approval summary: Erlotinib maintenance therapy of advanced/metastatic non-small cell lung cancer (NSCLC). Oncologist 2010, 15, 1344–1351. [Google Scholar] [CrossRef]
- Mangan, M.S. Dramatic Improvement of Severe Cicatricial Ectropion after Discontinuing Long-Term Erlotinib Therapy in a Patient with Lung Cancer. Turk. J. Ophthalmol. 2022, 52, 72–74. [Google Scholar] [CrossRef]
- Salman, A.; Cerman, E.; Seckin, D.; Kanitez, M. Erlotinib induced ectropion following papulopustular rash. J. Dermatol. Case Rep. 2015, 9, 46–48. [Google Scholar] [CrossRef][Green Version]
- Celik, T.; Kosker, M. Ocular side effects and trichomegaly of eyelashes induced by erlotinib: A case report and review of the literature. Cont. Lens Anterior Eye 2015, 38, 59–60. [Google Scholar] [CrossRef]
- Bhatti, M.T.; Salama, A.K.S. Neuro-ophthalmic side effects of molecularly targeted cancer drugs. Eye 2018, 32, 287–301. [Google Scholar] [CrossRef] [PubMed]
- Lim, L.T.; Blum, R.A.; Cheng, C.P.; Hanifudin, A. Bilateral anterior uveitis secondary to erlotinib. Eur. J. Clin. Pharmacol. 2010, 66, 1277–1278. [Google Scholar] [CrossRef]
- Chan, S.; Ahern, E.; Chaudhry, S.; Hughes, B. Bilateral acute anterior uveitis: A rare ocular side effect of erlotinib. BMJ Case Rep. 2019, 12, e232868. [Google Scholar] [CrossRef]
- Klein, K.A.; Azzoli, C.G.; Rifkin, L.M. Bilateral acute simultaneous onset anterior uveitis presumed secondary to erlotinib: A report of two cases. Am. J. Ophthalmol. Case Rep. 2017, 6, 21–23. [Google Scholar] [CrossRef]
- Rao, V.; Schneider, E.; Proia, A.D.; Fekrat, S. Development of bilateral acquired toxoplasmic retinochoroiditis during erlotinib therapy. JAMA Ophthalmol. 2014, 132, 1150–1152. [Google Scholar] [CrossRef] [PubMed]
- Shan, F.; Shao, Z.; Jiang, S.; Cheng, Z. Erlotinib induces the human non-small-cell lung cancer cells apoptosis via activating ROS-dependent JNK pathways. Cancer Med. 2016, 5, 3166–3175. [Google Scholar] [CrossRef] [PubMed]
- Orcutt, K.P.; Parsons, A.D.; Sibenaller, Z.A.; Scarbrough, P.M.; Zhu, Y.; Sobhakumari, A.; Wilke, W.W.; Kalen, A.L.; Goswami, P.; Miller, F.J., Jr.; et al. Erlotinib-mediated inhibition of EGFR signaling induces metabolic oxidative stress through NOX4. Cancer Res. 2011, 71, 3932–3940. [Google Scholar] [CrossRef]
- Lee, H.K.; Noh, M.H.; Hong, S.W.; Kim, S.M.; Kim, S.H.; Kim, Y.S.; Broaddus, V.C.; Hur, D.Y. Erlotinib Activates Different Cell Death Pathways in EGFR-mutant Lung Cancer Cells Grown in 3D Versus 2D Culture Systems. Anticancer. Res. 2021, 41, 1261–1269. [Google Scholar] [CrossRef]
- Sharma, N.; Bhushan, A.; He, J.; Kaushal, G.; Bhardwaj, V. Metabolic plasticity imparts erlotinib-resistance in pancreatic cancer by upregulating glucose-6-phosphate dehydrogenase. Cancer Metab. 2020, 8, 19. [Google Scholar] [CrossRef]
- Ruan, Y.; Jiang, S.; Musayeva, A.; Gericke, A. Oxidative Stress and Vascular Dysfunction in the Retina: Therapeutic Strategies. Antioxidants 2020, 9, 761. [Google Scholar] [CrossRef]
- Szeleszczuk, L.; Pisklak, D.M.; Grodner, B. Thiamine and Thiamine Pyrophosphate as Non-Competitive Inhibitors of Acetylcholinesterase-Experimental and Theoretical Investigations. Molecules 2025, 30, 412. [Google Scholar] [CrossRef]
- Ranjan Kumar, R.; Jain, R.; Akhtar, S.; Parveen, N.; Ghosh, A.; Sharma, V.; Singh, S. Characterization of thiamine pyrophosphokinase of vitamin B1 biosynthetic pathway as a drug target of Leishmania donovani. J. Biomol. Struct. Dyn. 2024, 42, 5669–5685. [Google Scholar] [CrossRef]
- Stacpoole, P.W.; McCall, C.E. The pyruvate dehydrogenase complex: Life′s essential, vulnerable and druggable energy homeostat. Mitochondrion 2023, 70, 59–102. [Google Scholar] [CrossRef]
- Hong, J.; Cho, D.; Kim, H.J.; Jo, J.; Seong, G.M. Reversible Severe Acute Lactic Acidosis Caused by Thiamine Deficiency in Intensive Care Unit. Case Rep. Crit. Care 2025, 2025, 3211626. [Google Scholar] [CrossRef] [PubMed]
- Sharma, A.; Bist, R.; Bubber, P. Thiamine deficiency induces oxidative stress in brain mitochondria of Mus musculus. J. Physiol. Biochem. 2013, 69, 539–546. [Google Scholar] [CrossRef] [PubMed]
- Liu, D.; Ke, Z.; Luo, J. Thiamine Deficiency and Neurodegeneration: The Interplay Among Oxidative Stress, Endoplasmic Reticulum Stress, and Autophagy. Mol. Neurobiol. 2017, 54, 5440–5448. [Google Scholar] [CrossRef] [PubMed]
- Chauhan, A.; Srivastva, N.; Bubber, P. Thiamine Deficiency Induced Dietary Disparity Promotes Oxidative Stress and Neurodegeneration. Indian. J. Clin. Biochem. 2018, 33, 422–428. [Google Scholar] [CrossRef]
- Ucak, T.; Karakurt, Y.; Tasli, G.; Cimen, F.K.; Icel, E.; Kurt, N.; Ahiskali, I.; Suleyman, H. The effects of thiamine pyrophosphate on ethanol induced optic nerve damage. BMC Pharmacol. Toxicol. 2019, 20, 40. [Google Scholar] [CrossRef]
- Pereira, A.; Adekunle, R.D.; Zaman, M.; Wan, M.J. Association Between Vitamin Deficiencies and Ophthalmological Conditions. Clin. Ophthalmol. 2023, 17, 2045–2062. [Google Scholar] [CrossRef]
- Percie du Sert, N.; Hurst, V.; Ahluwalia, A.; Alam, S.; Avey, M.T.; Baker, M.; Browne, W.J.; Clark, A.; Cuthill, I.C.; Dirnagl, U.; et al. The ARRIVE guidelines 2.0: Updated guidelines for reporting animal research. PLoS Biol. 2020, 18, e3000410. [Google Scholar] [CrossRef]
- Kiani, A.K.; Pheby, D.; Henehan, G.; Brown, R.; Sieving, P.; Sykora, P.; Marks, R.; Falsini, B.; Capodicasa, N.; Miertus, S.; et al. Ethical considerations regarding animal experimentation. J. Prev. Med. Hyg. 2022, 63, E255–E266. [Google Scholar] [CrossRef]
- Goth, L. A simple method for determination of serum catalase activity and revision of reference range. Clin. Chim. Acta 1991, 196, 143–151. [Google Scholar] [CrossRef]
- Bradford, M.M. A rapid and sensitive method for the quantitation of microgram quantities of protein utilizing the principle of protein-dye binding. Anal. Biochem. 1976, 72, 248–254. [Google Scholar] [CrossRef]
- Gibson-Corley, K.N.; Olivier, A.K.; Meyerholz, D.K. Principles for valid histopathologic scoring in research. Vet. Pathol. 2013, 50, 1007–1015. [Google Scholar] [CrossRef] [PubMed]
- Icel, E.; Suleyman, H.; Yazici, G.N.; Bakan, N.; Sunar, M. Effects of adenosine triphosphate on methanol-induced experimental optic nerve damage in rats: Biochemical and histopathological evaluation. Cutan. Ocul. Toxicol. 2020, 39, 244–248. [Google Scholar] [CrossRef]
- Dinc, K.; Ozyurt, R.; Coban, T.A.; Yazici, G.N.; Suleyman, Z.; Yavuzer, B.; Suleyman, H. The effect of carvacrol on the proinflammatory cytokines, histology, and fertility outcome of cisplatin-related ovarian change in a rat model. Taiwan. J. Obstet. Gynecol. 2023, 62, 256–263. [Google Scholar] [CrossRef]
- Cheung, E.C.; Vousden, K.H. The role of ROS in tumour development and progression. Nat. Rev. Cancer 2022, 22, 280–297. [Google Scholar] [CrossRef]
- Bohm, E.W.; Buonfiglio, F.; Voigt, A.M.; Bachmann, P.; Safi, T.; Pfeiffer, N.; Gericke, A. Oxidative stress in the eye and its role in the pathophysiology of ocular diseases. Redox Biol. 2023, 68, 102967. [Google Scholar] [CrossRef]
- Poljsak, B.; Suput, D.; Milisav, I. Achieving the balance between ROS and antioxidants: When to use the synthetic antioxidants. Oxid. Med. Cell Longev. 2013, 2013, 956792. [Google Scholar] [CrossRef]
- Seen, S.; Tong, L. Dry eye disease and oxidative stress. Acta Ophthalmol. 2018, 96, e412–e420. [Google Scholar] [CrossRef]
- Dammak, A.; Pastrana, C.; Martin-Gil, A.; Carpena-Torres, C.; Peral Cerda, A.; Simovart, M.; Alarma, P.; Huete-Toral, F.; Carracedo, G. Oxidative Stress in the Anterior Ocular Diseases: Diagnostic and Treatment. Biomedicines 2023, 11, 292. [Google Scholar] [CrossRef]
- Chang, K.C.; Liu, P.F.; Chang, C.H.; Lin, Y.C.; Chen, Y.J.; Shu, C.W. The interplay of autophagy and oxidative stress in the pathogenesis and therapy of retinal degenerative diseases. Cell Biosci. 2022, 12, 1–20. [Google Scholar] [CrossRef]
- Cui, X.; Gong, J.; Han, H.; He, L.; Teng, Y.; Tetley, T.; Sinharay, R.; Chung, K.F.; Islam, T.; Gilliland, F.; et al. Relationship between free and total malondialdehyde, a well-established marker of oxidative stress, in various types of human biospecimens. J. Thorac. Dis. 2018, 10, 3088–3097. [Google Scholar] [CrossRef]
- Zablocka-Slowinska, K.; Placzkowska, S.; Skorska, K.; Prescha, A.; Pawelczyk, K.; Porebska, I.; Kosacka, M.; Grajeta, H. Oxidative stress in lung cancer patients is associated with altered serum markers of lipid metabolism. PLoS ONE 2019, 14, e0215246. [Google Scholar] [CrossRef]
- Trivedi, S.; Lal, N.; Mahdi, A.A.; Mittal, M.; Singh, B.; Pandey, S. Evaluation of antioxidant enzymes activity and malondialdehyde levels in patients with chronic periodontitis and diabetes mellitus. J. Periodontol. 2014, 85, 713–720. [Google Scholar] [CrossRef]
- Lin, W.; Wang, X.; Diao, M.; Wang, Y.; Zhao, R.; Chen, J.; Liao, Y.; Long, Q.; Meng, Y. Promoting reactive oxygen species accumulation to overcome tyrosine kinase inhibitor resistance in cancer. Cancer Cell Int. 2024, 24, 239. [Google Scholar] [CrossRef]
- Goc, Z.; Szaroma, W.; Kapusta, E.; Dziubek, K. Protective effects of melatonin on the activity of SOD, CAT, GSH-Px and GSH content in organs of mice after administration of SNP. Chin. J. Physiol. 2017, 60, 1–10. [Google Scholar] [CrossRef]
- Ozawa, Y. Oxidative stress in the light-exposed retina and its implication in age-related macular degeneration. Redox Biol. 2020, 37, 101779. [Google Scholar] [CrossRef]
- Nebbioso, M.; Franzone, F.; Lambiase, A.; Bonfiglio, V.; Limoli, P.G.; Artico, M.; Taurone, S.; Vingolo, E.M.; Greco, A.; Polimeni, A. Oxidative Stress Implication in Retinal Diseases-A Review. Antioxidants 2022, 11, 1790. [Google Scholar] [CrossRef]
- Kumar, M.; Murugesan, S.; Ibrahim, N.; Elawad, M.; Al Khodor, S. Predictive biomarkers for anti-TNF alpha therapy in IBD patients. J. Transl. Med. 2024, 22, 284. [Google Scholar] [CrossRef]
- Breder, C.D.; Tsujimoto, M.; Terano, Y.; Scott, D.W.; Saper, C.B. Distribution and characterization of tumor necrosis factor-alpha-like immunoreactivity in the murine central nervous system. J. Comp. Neurol. 1993, 337, 543–567. [Google Scholar] [CrossRef]
- Tezel, G.; Yang, X.; Luo, C.; Peng, Y.; Sun, S.L.; Sun, D. Mechanisms of immune system activation in glaucoma: Oxidative stress-stimulated antigen presentation by the retina and optic nerve head glia. Investig. Ophthalmol. Vis. Sci. 2007, 48, 705–714. [Google Scholar] [CrossRef]
- Stanam, A.; Gibson-Corley, K.N.; Love-Homan, L.; Ihejirika, N.; Simons, A.L. Interleukin-1 blockade overcomes erlotinib resistance in head and neck squamous cell carcinoma. Oncotarget 2016, 7, 76087–76100. [Google Scholar] [CrossRef]
- Tamer, S.A.; Kose, F.; Yanar, S.; Budak, O.; Bagci, C. Anti-Inflammatory Effects of Spexin on Acetic Acid-Induced Colitis in Rats via Modulating the NF-kappaB/NLRP3 Inflammasome Pathway. J. Biochem. Mol. Toxicol. 2025, 39, e70285. [Google Scholar] [CrossRef]
- Turan, M.I.; Siltelioglu Turan, I.; Mammadov, R.; Altinkaynak, K.; Kisaoglu, A. The effect of thiamine and thiamine pyrophosphate on oxidative liver damage induced in rats with cisplatin. Biomed. Res. Int. 2013, 2013, 783809. [Google Scholar] [CrossRef]
- Yeter, B.; Mammadov, R.; Koc, Z.; Bulut, S.; Tastan, T.B.; Gulaboglu, M.; Suleyman, H. Protective effects of thiamine pyrophosphate and cinnamon against oxidative liver damage induced by an isoniazid and rifampicin combination in rats. Investig. Clin. 2024, 65, 321–334. [Google Scholar] [CrossRef]
- Luo, A.; Li, J.; Yang, Q.; Wang, C.; Niu, J.; Ye, L.; Rong, R.; Shao, Y. Effects of erlotinib on histopathology and ultrastructure of corneal epithelium in mice. Recent. Adv. Ophthalmol. 2017, 401–405. [Google Scholar] [CrossRef]
- Cinici, E.; Ahiskali, I.; Cetin, N.; Suleyman, B.; Kukula, O.; Altuner, D.; Coban, A.; Balta, H.; Kuzucu, M.; Suleyman, H. Effect of thiamine pyrophosphate on retinopathy induced by hyperglycemia in rats: A biochemical and pathological evaluation. Indian J. Ophthalmol. 2016, 64, 434–439. [Google Scholar] [CrossRef] [PubMed]
- Cinici, E.; Cetin, N.; Ahiskali, I.; Suleyman, B.; Altuner, D.; Alp, H.H.; Sener, E.; Calik, I.; Suleyman, H. The effect of thiamine pyrophosphate on ethambutol-induced ocular toxicity. Cutan. Ocul. Toxicol. 2016, 35, 222–227. [Google Scholar] [CrossRef] [PubMed]
- Cinici, E.; Mammadov, R.; Findik, H.; Suleyman, B.; Cetin, N.; Calik, I.; Balta, H.; Hakki Tas, I.; Sener, E.; Altuner, D. The Protective Effect of Thiamine Pryophosphate Against Sugar-Induced Retinal Neovascularisation in Rats. Int. J. Vitam. Nutr. Res. 2018, 88, 137–143. [Google Scholar] [CrossRef]
- Cicek, I.; Somuncu, A.M.; Altuner, D.; Suleyman, B.; Mammadov, R.; Bulut, S.; Coban, T.A.; Bal Tastan, T.; Suleyman, H. Lacidipine, thiamine pyrophosphate and their combination on the ocular ischemic syndrome induced by bilateral common carotid artery ligation. Int. J. Ophthalmol. 2024, 17, 815–821. [Google Scholar] [CrossRef]



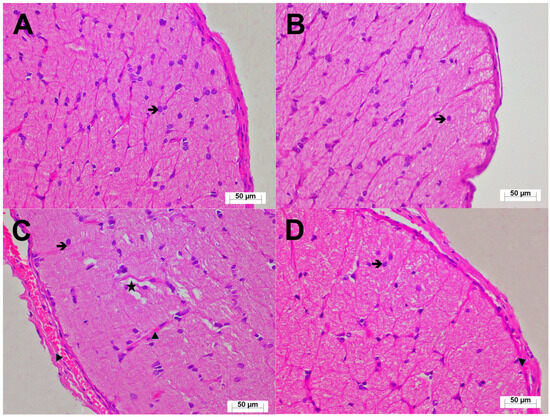
: astrocyte). (B) Optic nerve tissue from the TPPG with preserved histological appearance (H&E, ×400;
: astrocyte). (C) Optic nerve tissue from the ERTG demonstrating increased hypertrophic/degenerative astrocytes (
), marked edema (★), pronounced vascular congestion (▶: blood capillary) (H&E, ×400). (D) Optic nerve tissue from the ERTPG showing nearly normal histological appearance with astrocytes of normal morphology (
) and occasional vascular congestion (▶: blood capillary) (H&E, ×400). Abbreviations: HG: healthy group; TPPG: TPP alone group; TPP: thiamine pyrophosphate; ERTG: erlotinib alone group; ERTPG: erlotinib + TPP group.
: astrocyte). (B) Optic nerve tissue from the TPPG with preserved histological appearance (H&E, ×400;
: astrocyte). (C) Optic nerve tissue from the ERTG demonstrating increased hypertrophic/degenerative astrocytes (
), marked edema (★), pronounced vascular congestion (▶: blood capillary) (H&E, ×400). (D) Optic nerve tissue from the ERTPG showing nearly normal histological appearance with astrocytes of normal morphology (
) and occasional vascular congestion (▶: blood capillary) (H&E, ×400). Abbreviations: HG: healthy group; TPPG: TPP alone group; TPP: thiamine pyrophosphate; ERTG: erlotinib alone group; ERTPG: erlotinib + TPP group.
| Posthoc Test p-Values | ||||||
|---|---|---|---|---|---|---|
| Group Comparisons | MDA | tGSH | SOD | CAT | IL-1β | TNF-α |
| HG vs. TPPG | 0.847 | 0.933 | 0.824 | 0.367 | 0.806 | 0.764 |
| HG vs. ERTG | <0.001 | <0.001 | <0.001 | <0.001 | <0.001 | <0.001 |
| HG vs. ERTPG | 0.607 | 0.834 | 0.415 | 0.579 | 0.743 | 0.117 |
| TPPG vs. ERTG | <0.001 | <0.001 | <0.001 | <0.001 | <0.001 | <0.001 |
| TPPG vs. ERTPG | 0.201 | 0.494 | 0.102 | 0.036 | 0.254 | 0.016 |
| ERTG vs. ERTPG | <0.001 | <0.001 | <0.001 | <0.001 | <0.001 | 0.002 |
| F value | 63.164 | 86.605 | 114.771 | 237.632 | 67.221 | 23.319 |
| df (df1/df2) | 3/20 | 3/20 | 3/20 | 3/20 | 3/20 | 3/20 |
| p | <0.001 | <0.001 | <0.001 | <0.001 | <0.001 | <0.001 |
| Histopathological Grading Data | |||
|---|---|---|---|
| Groups | Increase in Astrocyte Cell Population | Edema | Vascular Dilatation/Congestion |
| HG | 0 (0–0) | 0 (0–0) | 0 (0–0) |
| TPPG | 0 (0–0) | 0 (0–0) | 0 (0–0) |
| ERTG | 2 (1–3) | 2 (1–3) | 2 (1–3) |
| ERTPG | 0 (0–2) | 0 (0–1) | 0 (0–2) |
| Group comparisons | p-values | ||
| HG vs. TPPG | 1.000 | 1.000 | 1.000 |
| HG vs. ERTG | <0.001 | <0.001 | <0.001 |
| HG vs. ERTPG | 0.150 | 0.085 | 0.005 |
| TPPG vs. ERTG | <0.001 | <0.001 | <0.001 |
| TPPG vs. ERTPG | 0.150 | 0.085 | 0.005 |
| ERTG vs. ERTPG | <0.001 | <0.001 | <0.001 |
| KW | 115.923 | 119.259 | 113.115 |
| df | 3 | 3 | 3 |
| Total n | 144 | 144 | 144 |
| p-value | <0.001 | <0.001 | <0.001 |
Disclaimer/Publisher’s Note: The statements, opinions and data contained in all publications are solely those of the individual author(s) and contributor(s) and not of MDPI and/or the editor(s). MDPI and/or the editor(s) disclaim responsibility for any injury to people or property resulting from any ideas, methods, instructions or products referred to in the content. |
© 2025 by the authors. Licensee MDPI, Basel, Switzerland. This article is an open access article distributed under the terms and conditions of the Creative Commons Attribution (CC BY) license (https://creativecommons.org/licenses/by/4.0/).
Share and Cite
Karatas, E.; Yavuzer, B.; Demir, O.; Sezgin, E.T.; Hendem, E.; Cinici, E.; Coban, T.A.; Suleyman, H. Protective Role of Thiamine Pyrophosphate Against Erlotinib-Induced Oxidative and Inflammatory Damage in Rat Optic Nerve. Biomedicines 2025, 13, 2614. https://doi.org/10.3390/biomedicines13112614
Karatas E, Yavuzer B, Demir O, Sezgin ET, Hendem E, Cinici E, Coban TA, Suleyman H. Protective Role of Thiamine Pyrophosphate Against Erlotinib-Induced Oxidative and Inflammatory Damage in Rat Optic Nerve. Biomedicines. 2025; 13(11):2614. https://doi.org/10.3390/biomedicines13112614
Chicago/Turabian StyleKaratas, Ezgi, Bulent Yavuzer, Ozlem Demir, Esra Tuba Sezgin, Engin Hendem, Emine Cinici, Taha Abdulkadir Coban, and Halis Suleyman. 2025. "Protective Role of Thiamine Pyrophosphate Against Erlotinib-Induced Oxidative and Inflammatory Damage in Rat Optic Nerve" Biomedicines 13, no. 11: 2614. https://doi.org/10.3390/biomedicines13112614
APA StyleKaratas, E., Yavuzer, B., Demir, O., Sezgin, E. T., Hendem, E., Cinici, E., Coban, T. A., & Suleyman, H. (2025). Protective Role of Thiamine Pyrophosphate Against Erlotinib-Induced Oxidative and Inflammatory Damage in Rat Optic Nerve. Biomedicines, 13(11), 2614. https://doi.org/10.3390/biomedicines13112614

