Polo-like Kinase 1 Expression as a Biomarker in Colorectal Cancer: A Retrospective Two-Center Study
Abstract
1. Introduction
2. Materials and Methods
2.1. Study Design and Participants
2.2. Tissue Sampling and Preparation
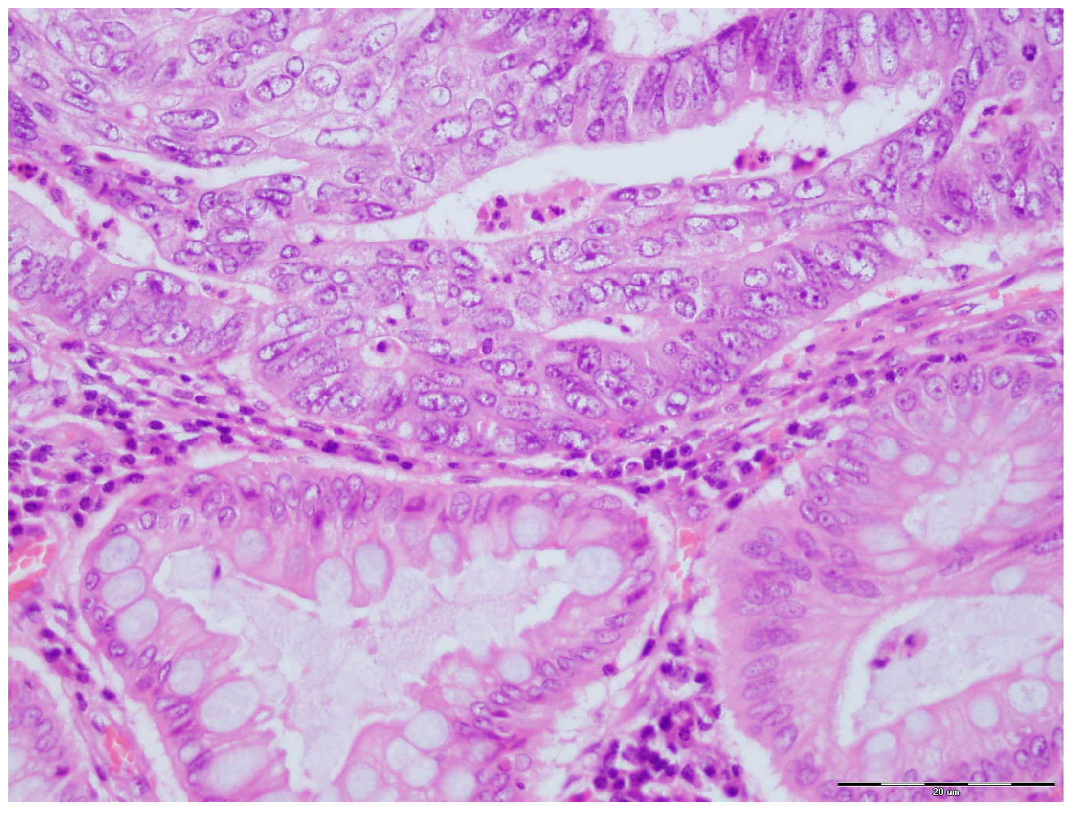
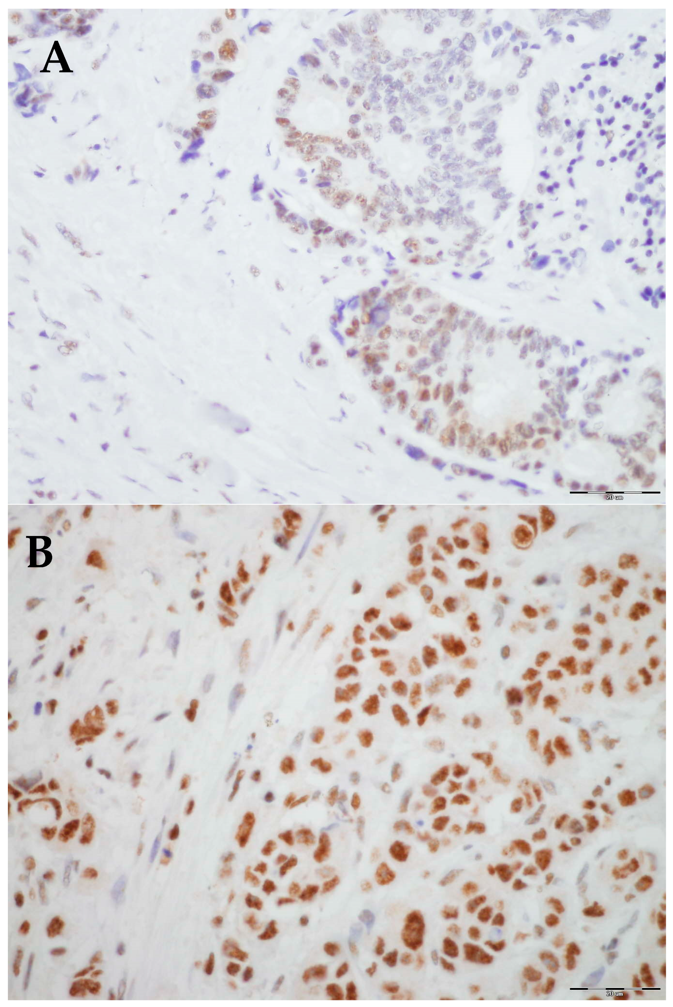
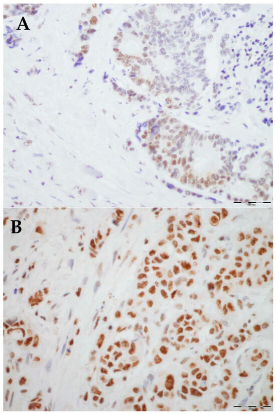
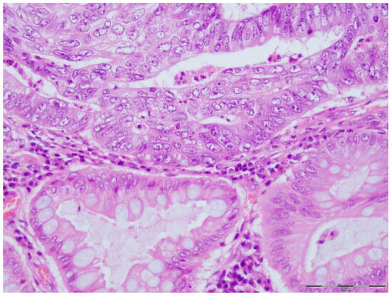
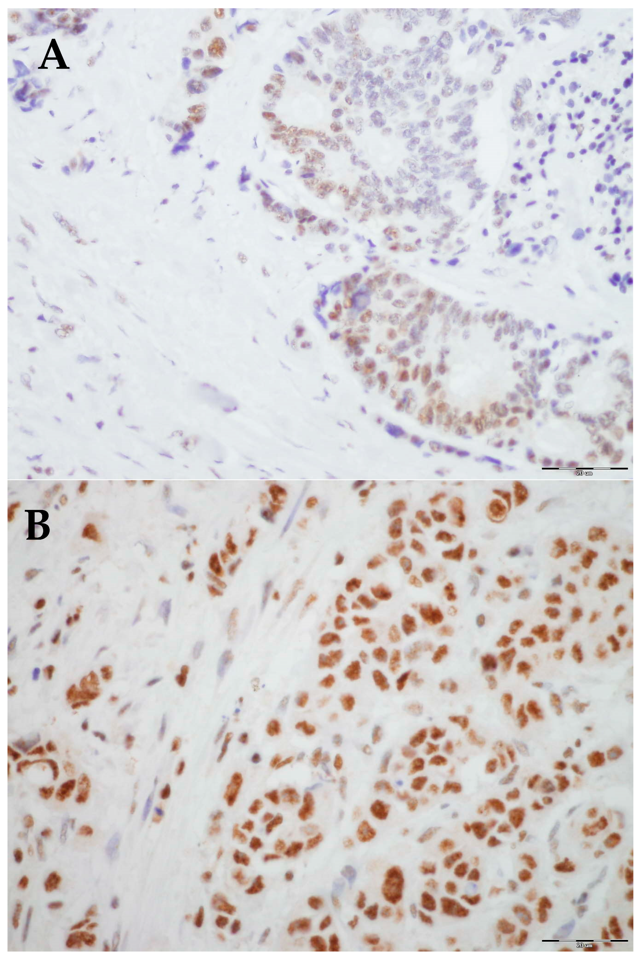
2.3. PLK-1 Immunohistochemistry
2.4. Statistical Analysis
3. Results
4. Discussion
5. Conclusions
Author Contributions
Funding
Institutional Review Board Statement
Informed Consent Statement
Data Availability Statement
Conflicts of Interest
References
- Xi, Y.; Xu, P. Global colorectal cancer burden in 2020 and projections to 2040. Transl. Oncol. 2021, 14, 101174. [Google Scholar] [CrossRef] [PubMed]
- Siegel, R.L.; Miller, K.D.; Wagle, N.S.; Jemal, A. Cancer statistics. CA Cancer J. Clin. 2023, 73, 17–48. [Google Scholar] [CrossRef]
- Siegel, R.L.; Wagle, N.S.; Cercek, A.; Smith, R.A.; Jemal, A. Colorectal cancer statistics. CA Cancer J. Clin. 2023, 73, 233–254. [Google Scholar] [CrossRef] [PubMed]
- Mauri, G.; Sartore-Bianchi, A.; Russo, A.; Marsoni, S.; Bardelli, A.; Siena, S. Early-onset colorectal cancer in young individuals. Mol. Oncol. 2019, 13, 109–131. [Google Scholar] [CrossRef] [PubMed]
- Burnett-Hartman, A.N.; Lee, J.K.; Demb, J.; Gupta, S. An Update on the Epidemiology, Molecular Characterization, Diagnosis, and Screening Strategies for Early-Onset Colorectal Cancer. Gastroenterology 2021, 160, 1041–1049. [Google Scholar] [CrossRef]
- Saraiva, M.R.; Rosa, I.; Claro, I. Early-onset colorectal cancer: A review of current knowledge. World J. Gastroenterol. 2023, 29, 1289–1303. [Google Scholar] [CrossRef]
- Chang, C.-C.; Lin, P.-C.; Lin, C.-C.; Lan, Y.-T.; Lin, H.-H.; Lin, C.-H.; Yang, S.-H.; Liang, W.-Y.; Chen, W.-S.; Jiang, J.-K.; et al. Molecular and Clinicopathological Differences by Age at the Diagnosis of Colorectal Cancer. Int. J. Mol. Sci. 2017, 18, 1441. [Google Scholar] [CrossRef] [PubMed]
- Murphy, N.; Ward, H.A.; Jenab, M.; Rothwell, J.A.; Boutron-Ruault, M.-C.; Carbonnel, F.; Kvaskoff, M.; Kaaks, R.; Kühn, T.; Boeing, H.; et al. Heterogeneity of Colorectal Cancer Risk Factors by Anatomical Subsite in 10 European Countries: A Multinational Cohort Study. Clin. Gastroenterol. Hepatol. 2019, 17, 1323–1331.e6. [Google Scholar] [CrossRef]
- Ullah, F.; Pillai, A.B.; Omar, N.; Dima, D.; Harichand, S. Early-Onset Colorectal Cancer: Current Insights. Cancers 2023, 15, 3202. [Google Scholar] [CrossRef] [PubMed]
- Sawicki, T.; Ruszkowska, M.; Danielewicz, A.; Niedźwiedzka, E.; Arłukowicz, T.; Przybyłowicz, K.E. A Review of Colorectal Cancer in Terms of Epidemiology, Risk Factors, Development, Symptoms and Diagnosis. Cancers 2021, 13, 2025. [Google Scholar] [CrossRef]
- Medici, B.; Riccò, B.; Caffari, E.; Zaniboni, S.; Salati, M.; Spallanzani, A.; Garajovà, I.; Benatti, S.; Chiavelli, C.; Dominici, M.; et al. Early Onset Metastatic Colorectal Cancer: Current Insights and Clinical Management of a Rising Condition. Cancers 2023, 15, 3509. [Google Scholar] [CrossRef] [PubMed]
- Akimoto, N.; Ugai, T.; Zhong, R.; Hamada, T.; Fujiyoshi, K.; Giannakis, M.; Wu, K.; Cao, Y.; Ng, K.; Ogino, S. Rising incidence of early-onset colorectal cancer—A call to action. Nat. Rev. Clin. Oncol. 2021, 18, 230–243. [Google Scholar] [CrossRef]
- Siegel, R.L.; Jakubowski, C.D.; Fedewa, S.A.; Davis, A.; Azad, N.S. Colorectal Cancer in the Young: Epidemiology, Prevention, Management. Am. Soc. Clin. Oncol. Educ. Book 2020, 40, e75–e88. [Google Scholar] [CrossRef]
- Chang, S.H.; Patel, N.; Du, M.; Liang, P.S. Trends in Early-onset vs Late-onset Colorectal Cancer Incidence by Race/Ethnicity in the United States Cancer Statistics Database. Clin. Gastroenterol. Hepatol. 2022, 20, e1365–e1377. [Google Scholar] [CrossRef]
- Lieu, C.H.; Renfro, L.A.; de Gramont, A.; Meyers, J.P.; Maughan, T.S.; Seymour, M.T.; Saltz, L.; Goldberg, R.M.; Sargent, D.J.; Eckhardt, S.G.; et al. Association of Age With Survival in Patients With Metastatic Colorectal Cancer: Analysis from the ARCAD Clinical Trials Program. J. Clin. Oncol. 2014, 32, 2975–2982. [Google Scholar] [CrossRef]
- Hawk, N.N.; Long, T.-E.; Imam, M.H.; Mathew, B.M.; Kim, S.; Chen, Z.; Goodman, M.; Sullivan, P.; Brutcher, E.M.; Kauh, J.; et al. Clinicopathologic Features and Outcome of Young Adults with Stage IV Colorectal Cancer. Am. J. Clin. Oncol. 2015, 38, 543–549. [Google Scholar] [CrossRef] [PubMed]
- Rho, Y.S.; Gilabert, M.; Polom, K.; Aladashvili, A.; Kopeckova, K.; Megdanova, V.; Coleman, N.; Greally, M.; Marrelli, D.; Roviello, F.; et al. Comparing Clinical Characteristics and Out-comes of Young-onset and Late-onset Colorectal Cancer: An International Collaborative Study. Clin. Colorectal Cancer 2017, 16, 334–342. [Google Scholar] [CrossRef] [PubMed]
- Yeo, H.; Betel, D.; Abelson, J.S.; Zheng, X.E.; Yantiss, R.; Shah, M.A. Early-onset Colorectal Cancer is Distinct from Traditional Colorectal Cancer. Clin. Color Cancer 2017, 16, 293–299. [Google Scholar] [CrossRef]
- van Vugt, M.A.T.M.; Medema, R.H. Getting in and out of mitosis with Polo-like kinase-1. Oncogene 2005, 24, 2844–2859. [Google Scholar] [CrossRef]
- Tut, T.G.; Lim, S.H.S.; Dissanayake, I.U.; Descallar, J.; Chua, W.; Ng, W.; de Souza, P.; Shin, J.-S.; Lee, C.S. Upregulated Polo-Like Kinase 1 Expression Correlates with Inferior Survival Outcomes in Rectal Cancer. PLoS ONE 2015, 10, e0129313. [Google Scholar] [CrossRef] [PubMed]
- Takai, N.; Hamanaka, R.; Yoshimatsu, J.; Miyakawa, I. Polo-like kinases (Plks) and cancer. Oncogene 2005, 24, 287–291. [Google Scholar] [CrossRef]
- Weichert, W.; Kristiansen, G.; Schmidt, M.; Gekeler, V.; Noske, A.; Niesporek, S.; Dietel, M.; Denkert, C. Polo-like kinase 1 expression is a prognostic factor in human colon cancer. World J. Gastroenterol. 2005, 11, 5644–5650. [Google Scholar] [CrossRef] [PubMed]
- Macmillan, J.C.; Hudson, J.W.; Bull, S.; Dennis, J.W.; Swallow, C.J. Comparative expression of the mitotic regulators SAK and PLK in colorectal cancer. Ann. Surg. Oncol. 2001, 8, 729–740. [Google Scholar] [CrossRef]
- Rödel, F.; Keppner, S.; Capalbo, G.; Bashary, R.; Kaufmann, M.; Rödel, C.; Strebhardt, K.; Spänkuch, B. Polo-Like Kinase 1 as Predictive Marker and Therapeutic Target for Radiotherapy in Rectal Cancer. Am. J. Pathol. 2010, 177, 918–929. [Google Scholar] [CrossRef]
- Ran, Z.; Chen, W.; Shang, J.; Li, X.; Nie, Z.; Yang, J.; Li, N. Clinicopathological and prognostic implications of polo-like kinase 1 ex-pression in colorectal cancer: A systematic review and meta-analysis. Gene 2019, 721, 144097. [Google Scholar] [CrossRef]
- Han, D.-P.; Zhu, Q.-L.; Cui, J.-T.; Wang, P.-X.; Qu, S.; Cao, Q.-F.; Zong, Y.-P.; Feng, B.; Zheng, M.-H.; Lu, A.-G. Polo-like kinase 1 is overexpressed in colorectal cancer and participates in the migration and invasion of colorectal cancer cells. Med. Sci. Monit. 2012, 18, BR237–BR246. [Google Scholar] [CrossRef] [PubMed]
- Dunican, D.S.; McWilliam, P.; Tighe, O.; Parle-McDermott, A.; Croke, D.T. Gene expression differences between the microsatellite instability (MIN) and chromosomal instability (CIN) phenotypes in colorectal cancer revealed by high-density cDNA array hybridization. Oncogene 2002, 21, 3253–3257, Erratum in Oncogene 2002, 21, 7912. [Google Scholar] [CrossRef]
- Zhang, W.; Fletcher, L.; Muschel, R.J. The role of Polo-like kinase 1 in the inhibition of centrosome separation after ionizing radi-ation. J. Biol. Chem. 2005, 280, 42994–42999. [Google Scholar] [CrossRef] [PubMed]
- Toyoshima-Morimoto, F.; Taniguchi, E.; Nishida, E. Plk1 promotes nuclear translocation of human Cdc25C during pro-phase. EMBO Rep. 2002, 3, 341–348. [Google Scholar] [CrossRef] [PubMed]
- Yuan, J.; Eckerdt, F.; Bereiter-Hahn, J.; Kurunci-Csacsko, E.; Kaufmann, M.; Strebhardt, K. Cooperative phosphorylation including the activity of polo-like kinase 1 regulates the subcellular localization of cyclin B1. Oncogene 2002, 21, 8282–8292. [Google Scholar] [CrossRef]
- Gelot, C.; Kovacs, M.T.; Miron, S.; Mylne, E.; Haan, A.; Boeffard-Dosierre, L.; Ghouil, R.; Popova, T.; Dingli, F.; Loew, D.; et al. Polθ is phosphorylated by PLK1 to repair dou-ble-strand breaks in mitosis. Nature 2024, 621, 415–422, Erratum in Nature 2023, 626, E13. [Google Scholar] [CrossRef]
- Luo, J.; Emanuele, M.J.; Li, D.; Creighton, C.J.; Schlabach, M.R.; Westbrook, T.F.; Wong, K.-K.; Elledge, S.J. A Genome-wide RNAi Screen Identifies Multiple Synthetic Lethal Interactions with the Ras Oncogene. Cell 2009, 137, 835–848. [Google Scholar] [CrossRef]
- Ahn, D.H.; Barzi, A.; Ridinger, M.; Samuëlsz, E.; Subramanian, R.A.; Croucher, P.J.; Smeal, T.; . Kabbinavar, F.F.; Lenz, H.J. Onvansertib in Combination with FOLFIRI and Bevacizumab in Second-Line Treatment of KRAS-Mutant Metastatic Colorectal Cancer: A Phase Ib Clinical Study. Clin. Cancer Res. 2024, 30, 2039–2047. [Google Scholar] [CrossRef]
- Takahashi, T.; Sano, B.; Nagata, T.; Kato, H.; Sugiyama, Y.; Kunieda, K.; Kimura, M.; Okano, Y.; Saji, S. Polo-like kinase 1 (PLK1) is overexpressed in primary colorectal cancers. Cancer Sci. 2003, 94, 148–152. [Google Scholar] [CrossRef]
- Takai, N.; Miyazaki, T.; Fujisawa, K.; Nasu, K.; Hamanaka, R.; Miyakawa, I. Expression of polo-like kinase in ovarian cancer is asso-ciated with histological grade and clinical stage. Cancer Lett. 2001, 164, 41–49. [Google Scholar] [CrossRef]
- Kneisel, L.; Strebhardt, K.; Bernd, A.; Wolter, M.; Binder, A.; Kaufmann, R. Expression of polo-like kinase (PLK1) in thin melanomas: A novel marker of metastatic disease. J. Cutan. Pathol. 2002, 29, 354–358. [Google Scholar] [CrossRef]
- Yu, Z.; Deng, P.; Chen, Y.; Liu, S.; Chen, J.; Yang, Z.; Chen, J.; Fan, X.; Wang, P.; Cai, Z.; et al. Inhibition of the PLK1-Coupled Cell Cycle Machinery Overcomes Resistance to Oxaliplatin in Colorectal Cancer. Adv. Sci. 2021, 8, 2100759. [Google Scholar] [CrossRef]
- Su, S.; Chhabra, G.; Singh, C.K.; Ndiaye, M.A.; Ahmad, N. PLK1 inhibition-based combination therapies for cancer management. Transl. Oncol. 2022, 16, 101332. [Google Scholar] [CrossRef] [PubMed]
- Wei, X.; Song, M.; Huang, C.; Yu, Q.; Jiang, G.; Jin, G.; Jia, X.; Shi, Z. Effectiveness, safety and pharmacokinetics of Polo-like kinase 1 inhibitors in tumor therapy: A systematic review and meta-analysis. Front. Oncol. 2023, 13, 1062885. [Google Scholar] [PubMed]
- Chiappa, M.; Petrella, S.; Damia, G.; Broggini, M.; Guffanti, F.; Ricci, F. Present and Future Perspective on PLK1 Inhibition in Cancer Treatment. Front. Oncol. 2022, 12, 903016. [Google Scholar] [CrossRef] [PubMed]
- Stebbing, J.; Bullock, A.J. Polo-like Kinase 1 Inhibition in KRAS-Mutated Metastatic Colorectal Cancer. Clin. Cancer Res. 2024, 30, 2005–2007. [Google Scholar] [CrossRef] [PubMed]
- Poyil, P.K.; Siraj, A.K.; Padmaja, D.; Parvathareddy, S.K.; Alobaisi, K.; Thangavel, S.; Begum, R.; Diaz, R.; Al-Dayel, F.; Al-Kuraya, K.S. Polo-like Kinase Predicts Lymph Node Me-tastasis in Middle Eastern Colorectal Cancer Patients; Its Inhibition Reverses 5-Fu Resistance in Colorectal Cancer Cells. Cells 2024, 13, 1700. [Google Scholar] [CrossRef] [PubMed]









| Staining Intensity | % Positive Tumor Cells | Weighted Score | |||||||||
|---|---|---|---|---|---|---|---|---|---|---|---|
| Total N (%) | <50 N (%) | ≥50 N (%) | Total N (%) | <50 N (%) | ≥50 N (%) | Total N (%) | <50 N (%) | ≥50 N (%) | |||
| No reaction (0) | 2 (1.4) | 1 (1.5) | 1 (1.3) | 0–5% (0) | 2 (1.4) | 1 (1.5) | 1 (1.3) | 0–3 | 16 (11.0) | 8 (11.9) | 8 (10.1) |
| Weak (1) | 16 (11.0) | 8 (11.9) | 8 (10.1) | 6–25% (1) | 8 (5.5) | 1(1.5) | 7 (8.9) | 4–6 | 60 (41.1) | 16 (23.9) | 44 (55.7) |
| Moderate (2) | 64 (43.8) | 19 (28.4) | 45 (57.0) | 26–50% (2) | 22 (15.1) | 5 (7.5) | 18 (22.8) | 7–9 | 18 (12.3) | 8 (11.9) | 10 (12.7) |
| Intense (3) | 64 (43.8) | 39 (58.2) | 25 (31.6) | 51–75% (3) | 59 (40.4) | 22 (32.8) | 36 (45.6) | 12 | 52 (35.6) | 35 (52.2) | 17 (21.5) |
| >75% (4) | 55 (37.7) | 38 (56.7) | 17 (21.5) | ||||||||
| Parameter | Total Population (N = 146) | Age < 50 years (N = 67) | Age ≥ 50 years (N = 79) | p * |
|---|---|---|---|---|
| Age, years | 56 (44–68) | 43 (40–47) | 67 (62–75) | 0.839 |
| Female sex, n (%) | 73 (50) | 44 (65.7) | 29 (36.7) | <0.001 |
| Follow-up, months | 38 (23–67) | 39 (24–73) | 37 (22–60) | 0.459 |
| ECOG at the time of diagnosis, n (%) | ||||
| 0 | 60 (40.8) | 26 (76.5) | 34 (48.6) | |
| 1 | 40 (27.2) | 8 (23.5) | 32 (45.7) | 0.019 |
| 2 | 4 (2.7) | 0 (0) | 4 (5.7) | |
| Biological therapy, n (%) | ||||
| No therapy | 33 (22.6) | 9 (14.1) | 24 (32) | 0.560 |
| Bevacizumab | 68 (48.9) | 35 (54.7) | 33 (44.0) | 0.273 |
| EGFR inhibitor | 38 (27.3) | 20 (31.3) | 18 (24.0) | 0.435 |
| Primary tumor localization, n (%) | ||||
| Left | 113 (77.4) | 53 (79.1) | 59 (74.7) | 0.273 |
| Right | 34 (23.3) | 14 (20.9) | 20 (25.3) | |
| Metastatic at diagnosis, n (%) | 67 (45.9) | 23 (34.3) | 43 (54.4) | 0.015 |
| Metastasis localization, n (%) | ||||
| Liver | 106 (72.6) | 57 (85.1) | 49 (62.0) | 0.002 |
| Lungs | 76 (52.1) | 39 (58.2) | 37 (46.8) | 0.170 |
| Bones | 20 (13.7) | 11 (16.4) | 9 (11.4) | 0.379 |
| Peritoneum | 34 (23.3) | 21 (31.3) | 13 (16.5) | 0.034 |
| Grade, n (%) | ||||
| Low | 64 (43.8) | 12 (17.9) | 51 (64.6) | <0.001 |
| High | 82 (56.2) | 55 (82.1) | 28 (35.4) | |
| RAS mutation, n (%) | 75 (51.4) | 35 (56.5) | 40 (53.3) | 0.715 |
| BRAF mutation, n (%) | 4 (2.7) | 0 (0) | 4 (5.1) | 0.140 |
Disclaimer/Publisher’s Note: The statements, opinions and data contained in all publications are solely those of the individual author(s) and contributor(s) and not of MDPI and/or the editor(s). MDPI and/or the editor(s) disclaim responsibility for any injury to people or property resulting from any ideas, methods, instructions or products referred to in the content. |
© 2024 by the authors. Licensee MDPI, Basel, Switzerland. This article is an open access article distributed under the terms and conditions of the Creative Commons Attribution (CC BY) license (https://creativecommons.org/licenses/by/4.0/).
Share and Cite
Jajac Brucic, L.; Bisof, V.; Soce, M.; Skelin, M.; Krecak, I.; Nadinic, A.; Vrbicic, B.; Puljiz, Z.; Hancic, S.; Gasparov, S. Polo-like Kinase 1 Expression as a Biomarker in Colorectal Cancer: A Retrospective Two-Center Study. Biomedicines 2025, 13, 54. https://doi.org/10.3390/biomedicines13010054
Jajac Brucic L, Bisof V, Soce M, Skelin M, Krecak I, Nadinic A, Vrbicic B, Puljiz Z, Hancic S, Gasparov S. Polo-like Kinase 1 Expression as a Biomarker in Colorectal Cancer: A Retrospective Two-Center Study. Biomedicines. 2025; 13(1):54. https://doi.org/10.3390/biomedicines13010054
Chicago/Turabian StyleJajac Brucic, Lana, Vesna Bisof, Majana Soce, Marko Skelin, Ivan Krecak, Andjela Nadinic, Branka Vrbicic, Zivana Puljiz, Suzana Hancic, and Slavko Gasparov. 2025. "Polo-like Kinase 1 Expression as a Biomarker in Colorectal Cancer: A Retrospective Two-Center Study" Biomedicines 13, no. 1: 54. https://doi.org/10.3390/biomedicines13010054
APA StyleJajac Brucic, L., Bisof, V., Soce, M., Skelin, M., Krecak, I., Nadinic, A., Vrbicic, B., Puljiz, Z., Hancic, S., & Gasparov, S. (2025). Polo-like Kinase 1 Expression as a Biomarker in Colorectal Cancer: A Retrospective Two-Center Study. Biomedicines, 13(1), 54. https://doi.org/10.3390/biomedicines13010054

