Olivetol’s Effects on Metabolic State and Gut Microbiota Functionality in Mouse Models of Alimentary Obesity, Diabetes Mellitus Type 1 and 2, and Hypercholesterolemia
Abstract
1. Introduction
2. Materials and Methods
2.1. Groups of Animals and Feeding
2.2. Body Weight (BW), Food and Water Intake, Fasting Blood Glucose (FBG), Serum Triglyceride (TG), and Cholesterol Levels
2.3. Measurement of Serum Insulin, Leptin, Adiponectin, and Myostatin Levels
2.4. High-Throughput Sequencing Analysis and Reconstruction of Intestinal Microbiota Metabolic Activity
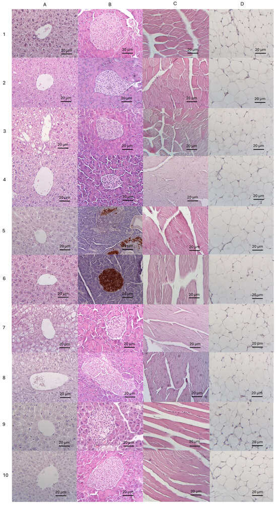
2.5. Histopathology of Mouse Liver, Pancreas, Skeletal Muscle, and Adipose Tissues
2.6. Immunohistochemistry
2.7. Statistical Data Analysis
3. Results
3.1. Body Weight and Hormonal Status
3.2. Fasting Blood Glucose (FBG), Serum Triacylglyceride (TAG) and Cholesterol Levels
3.3. Hormonal Status
3.4. Composition and Alpha Diversity of the Mouse Gut Microbiota
3.5. Taxonomy Composition of Gut Microbial Communities
3.6. Reconstruction of the Metabolic Activity of the Mouse Gut Microbiota
3.7. Histopathology of Mouse Liver, Pancreas, Skeletal Muscle, and Adipose Tissue
4. Discussion
4.1. Olivetol Effects in Mouse Models of Dietary-Induced Obesity and T2DM
4.2. Olivetol Effects in Mouse Models of Hyperlipidemia
4.3. Olivetol Effects in Mouse Models of T1DM
5. Conclusions
6. Patents
Supplementary Materials
Author Contributions
Funding
Institutional Review Board Statement
Informed Consent Statement
Data Availability Statement
Conflicts of Interest
References
- Chew, N.W.S.; Ng, C.H.; Tan, D.J.H.; Kong, G.; Lin, C.; Chin, Y.H.; Lim, W.H.; Huang, D.Q.; Quek, J.; Fu, C.E.; et al. The Global Burden of Metabolic Disease: Data from 2000 to 2019. Cell Metab. 2023, 35, 414–428.e3. [Google Scholar] [CrossRef]
- Alfaris, N.; Alqahtani, A.M.; Alamuddin, N.; Rigas, G. Global Impact of Obesity. Gastroenterol. Clin. N. Am. 2023, 52, 277–293. [Google Scholar] [CrossRef] [PubMed]
- Zhang, H.; Zhou, X.-D.; Shapiro, M.D.; Lip, G.Y.H.; Tilg, H.; Valenti, L.; Somers, V.K.; Byrne, C.D.; Targher, G.; Yang, W.; et al. Global Burden of Metabolic Diseases, 1990–2021. Metabolism 2024, 160, 155999. [Google Scholar] [CrossRef]
- Pirillo, A.; Casula, M.; Olmastroni, E.; Norata, G.D.; Catapano, A.L. Global Epidemiology of Dyslipidaemias. Nat. Rev. Cardiol. 2021, 18, 689–700. [Google Scholar] [CrossRef] [PubMed]
- Saeedi, P.; Petersohn, I.; Salpea, P.; Malanda, B.; Karuranga, S.; Unwin, N.; Colagiuri, S.; Guariguata, L.; Motala, A.A.; Ogurtsova, K.; et al. Global and Regional Diabetes Prevalence Estimates for 2019 and Projections for 2030 and 2045: Results from the International Diabetes Federation Diabetes Atlas, 9th Edition. Diabetes Res. Clin. Pract. 2019, 157, 107843. [Google Scholar] [CrossRef] [PubMed]
- Majety, P.; Lozada Orquera, F.A.; Edem, D.; Hamdy, O. Pharmacological Approaches to the Prevention of Type 2 Diabetes Mellitus. Front. Endocrinol. 2023, 14, 1118848. [Google Scholar] [CrossRef] [PubMed]
- Woodruff, R.C.; Tong, X.; Khan, S.S.; Shah, N.S.; Jackson, S.L.; Loustalot, F.; Vaughan, A.S. Trends in Cardiovascular Disease Mortality Rates and Excess Deaths, 2010–2022. Am. J. Prev. Med. 2024, 66, 582–589. [Google Scholar] [CrossRef]
- El-Shabasy, R.M.; Farag, M.A. Dissecting Dietary Alkylresorcinols: A Compile of Their Distribution, Biosynthesis, Extraction and Functional Properties. Crit. Rev. Biotechnol. 2024, 44, 581–617. [Google Scholar] [CrossRef]
- Liu, J.; Wang, Y.; Wang, Z.; Hao, Y.; Bai, W.; Wang, Z.; Wang, J. 5-Heptadecylresorcinol, a Biomarker for Whole Grain Rye Consumption, Ameliorates Cognitive Impairments and Neuroinflammation in APP/PS1 Transgenic Mice. Mol. Nutr. Food Res. 2020, 64, e1901218. [Google Scholar] [CrossRef]
- Zhao, Y.; Shi, L.; Hu, C.; Sang, S. Wheat Bran for Colon Cancer Prevention: The Synergy between Phytochemical Alkylresorcinol C21 and Intestinal Microbial Metabolite Butyrate. J. Agric. Food Chem. 2019, 67, 12761–12769. [Google Scholar] [CrossRef] [PubMed]
- Reshma, A.; Tamilanban, T.; Chitra, V.; Subramaniyan, V.; Gupta, G.; Fuloria, N.K.; Sekar, M.; Fuloria, S.; Sahu, R.; Narayanan, J.; et al. Anti-Obesity Effects of Olivetol in Adult Zebrafish Model Induced by Short-Term High-Fat Diet. Sci. Rep. 2023, 13, 18449. [Google Scholar] [CrossRef] [PubMed]
- Zabolotneva, A.A.; Shatova, O.P.; Sadova, A.A.; Shestopalov, A.V.; Roumiantsev, S.A. An Overview of Alkylresorcinols Biological Properties and Effects. J. Nutr. Metab. 2022, 2022, 4667607. [Google Scholar] [CrossRef] [PubMed]
- Oishi, K.; Yamamoto, S.; Itoh, N.; Nakao, R.; Yasumoto, Y.; Tanaka, K.; Kikuchi, Y.; Fukudome, S.; Okita, K.; Takano-Ishikawa, Y. Wheat Alkylresorcinols Suppress High-Fat, High-Sucrose Diet-Induced Obesity and Glucose Intolerance by Increasing Insulin Sensitivity and Cholesterol Excretion in Male Mice. J. Nutr. 2015, 145, 199–206. [Google Scholar] [CrossRef] [PubMed]
- Tu, J.; Liu, G.; Cao, X.; Zhu, S.; Li, Q.; Ji, G.; Han, Y.; Xiao, H. Hypoglycemic Effects of Wheat Bran Alkyresorcinols in High-Fat/High-Sucrose Diet and Low-Dose Streptozotocin-Induced Type 2 Diabetic Male Mice and Protection of Pancreatic β Cells. Food Funct. 2019, 10, 3282–3290. [Google Scholar] [CrossRef] [PubMed]
- Liu, J.; Zhang, D.; Yang, Z.; Hao, Y.; Wang, Z.; Wang, J.; Wang, Z. Wheat Alkylresorcinols Modulate Glucose Homeostasis through Improving GLP-1 Secretion in High-Fat-Diet-Induced Obese Mice. J. Agric. Food Chem. 2023, 71, 16125–16136. [Google Scholar] [CrossRef]
- Stojanović, G.; Zlatanović, I.; Zrnzević, I.; Stanković, M.; Stankov Jovanović, V.; Zlatković, B. Hypogymnia tubulosa Extracts: Chemical Profile and Biological Activities. Nat. Prod. Res. 2018, 32, 2735–2739. [Google Scholar] [CrossRef] [PubMed]
- Imai, S.; Ohama, M.; Suzuki, M.; Katayanagi, Y.; Kayashima, Y.; Tezuka, H. Research Article Short Alkyl Chain-Length Resorcinol Olivetol Protects Against Obesity with Mitochondrial Activation by Pgc-1α Deacetylation. SSRN Electron. J. 2021. [Google Scholar] [CrossRef]
- Lei, L.; Zhao, N.; Zhang, L.; Chen, J.; Liu, X.; Piao, S. Gut Microbiota Is a Potential Goalkeeper of Dyslipidemia. Front. Endocrinol. 2022, 13, 950826. [Google Scholar] [CrossRef]
- Abenavoli, L.; Scarlata, G.G.M.; Scarpellini, E.; Boccuto, L.; Spagnuolo, R.; Tilocca, B.; Roncada, P.; Luzza, F. Metabolic-Dysfunction-Associated Fatty Liver Disease and Gut Microbiota: From Fatty Liver to Dysmetabolic Syndrome. Medicina 2023, 59, 594. [Google Scholar] [CrossRef]
- Schoeler, M.; Caesar, R. Dietary Lipids, Gut Microbiota and Lipid Metabolism. Rev. Endocr. Metab. Disord. 2019, 20, 461–472. [Google Scholar] [CrossRef] [PubMed]
- Jia, X.; Xu, W.; Zhang, L.; Li, X.; Wang, R.; Wu, S. Impact of Gut Microbiota and Microbiota-Related Metabolites on Hyperlipidemia. Front. Cell. Infect. Microbiol. 2021, 11, 634780. [Google Scholar] [CrossRef]
- Gomes, A.C.; Hoffmann, C.; Mota, J.F. The Human Gut Microbiota: Metabolism and Perspective in Obesity. Gut Microbes 2018, 9, 308–325. [Google Scholar] [CrossRef] [PubMed]
- Burke, S.J.; Batdorf, H.M.; Burk, D.H.; Noland, R.C.; Eder, A.E.; Boulos, M.S.; Karlstad, M.D.; Jason Collier, J. Db/Db Mice Exhibit Features of Human Type 2 Diabetes That Are Not Present in Weight-Matched C57BL/6J Mice Fed a Western Diet. J. Diabetes Res. 2017, 2017, 8503754. [Google Scholar] [CrossRef]
- Zabolotneva, A.A.; Kolesnikova, I.M.; Vasiliev, I.Y.; Grigoryeva, T.V.; Roumiantsev, S.A.; Shestopalov, A.V. The Obesogenic Gut Microbiota as a Crucial Factor Defining the Depletion of Predicted Enzyme Abundance for Vitamin B12 Synthesis in the Mouse Intestine. Biomedicines 2024, 12, 1280. [Google Scholar] [CrossRef] [PubMed]
- Zabolotneva, A.A.; Gaponov, A.M.; Roumiantsev, S.A.; Vasiliev, I.Y.; Grigoryeva, T.V.; Kit, O.I.; Zlatnik, E.Y.; Maksimov, A.Y.; Goncharova, A.S.; Novikova, I.A.; et al. Alkylresorcinols as New Modulators of the Metabolic Activity of the Gut Microbiota. Int. J. Mol. Sci. 2023, 24, 14206. [Google Scholar] [CrossRef] [PubMed]
- Bolyen, E.; Rideout, J.R.; Dillon, M.R.; Bokulich, N.A.; Abnet, C.C.; Al-Ghalith, G.A.; Alexander, H.; Alm, E.J.; Arumugam, M.; Asnicar, F.; et al. Reproducible, Interactive, Scalable and Extensible Microbiome Data Science Using QIIME 2. Nat. Biotechnol. 2019, 37, 852–857. [Google Scholar] [CrossRef] [PubMed]
- Douglas, G.M.; Maffei, V.J.; Zaneveld, J.R.; Yurgel, S.N.; Brown, J.R.; Taylor, C.M.; Huttenhower, C.; Langille, M.G.I. PICRUSt2 for Prediction of Metagenome Functions. Nat. Biotechnol. 2020, 38, 685–688. [Google Scholar] [CrossRef]
- Carberry, J.J. Composition of Olivetol and Method of Use to Reduce or Inhibit the Effects of Tetrahydrocannabinol in the Human Body. U.S. Patent 10265277, 18 April 2018. [Google Scholar]
- Zagzoog, A.; Cabecinha, A.; Abramovici, H.; Laprairie, R.B. Modulation of Type 1 Cannabinoid Receptor Activity by Cannabinoid By-Products from Cannabis Sativa and Non-Cannabis Phytomolecules. Front. Pharmacol. 2022, 13, 956030. [Google Scholar] [CrossRef]
- Chen, Y.; Zhou, J.; Wang, L. Role and Mechanism of Gut Microbiota in Human Disease. Front. Cell. Infect. Microbiol. 2021, 11, 625913. [Google Scholar] [CrossRef]
- Chae, Y.-R.; Lee, Y.R.; Kim, Y.-S.; Park, H.-Y. Diet-Induced Gut Dysbiosis and Leaky Gut Syndrome. J. Microbiol. Biotechnol. 2024, 34, 747–756. [Google Scholar] [CrossRef] [PubMed]
- Che, X.; Oh, J.-H.; Kang, Y.-J.; Kim, D.-W.; Kim, S.-G.; Choi, J.-Y.; Garagiola, U. 4-Hexylresorcinol Enhances Glut4 Expression and Glucose Homeostasis via AMPK Activation and Histone H3 Acetylation. Int. J. Mol. Sci. 2024, 25, 12281. [Google Scholar] [CrossRef] [PubMed]
- National Toxicology Program. NTP Toxicology and Carcinogenesis Studies of 4-Hexylresorcinol (CAS No. 136-77-6) in F344/N Rats and B6C3F1 Mice (Gavage Studies). Natl. Toxicol. Program. Tech. Rep. Ser. 1988, 330, 1–166. [Google Scholar]
- Yen, G.-C.; Duh, P.-D.; Lin, C.-W. Effects of Resveratrol and 4-Hexylresorcinol on Hydrogen Peroxide-Induced Oxidative DNA Damage in Human Lymphocytes. Free Radic. Res. 2003, 37, 509–514. [Google Scholar] [CrossRef]
- Nikolaev, Y.A.; Tutel’yan, A.V.; Loiko, N.G.; Buck, J.; Sidorenko, S.V.; Lazareva, I.; Gostev, V.; Manzen’yuk, O.Y.; Shemyakin, I.G.; Abramovich, R.A.; et al. The Use of 4-Hexylresorcinol as Antibiotic Adjuvant. PLoS ONE 2020, 15, e0239147. [Google Scholar] [CrossRef] [PubMed]
- Zizzari, P.; He, R.; Falk, S.; Bellocchio, L.; Allard, C.; Clark, S.; Lesté-Lasserre, T.; Marsicano, G.; Clemmensen, C.; Perez-Tilve, D.; et al. CB1 and GLP-1 Receptors Cross Talk Provides New Therapies for Obesity. Diabetes 2021, 70, 415–422. [Google Scholar] [CrossRef] [PubMed]
- Ravinet Trillou, C.; Delgorge, C.; Menet, C.; Arnone, M.; Soubrié, P. CB1 Cannabinoid Receptor Knockout in Mice Leads to Leanness, Resistance to Diet-Induced Obesity and Enhanced Leptin Sensitivity. Int. J. Obes. 2004, 28, 640–648. [Google Scholar] [CrossRef] [PubMed]
- Tam, J.; Cinar, R.; Liu, J.; Godlewski, G.; Wesley, D.; Jourdan, T.; Szanda, G.; Mukhopadhyay, B.; Chedester, L.; Liow, J.-S.; et al. Peripheral Cannabinoid-1 Receptor Inverse Agonism Reduces Obesity by Reversing Leptin Resistance. Cell Metab. 2012, 16, 167–179. [Google Scholar] [CrossRef]
- Hankir, M.K.; Seyfried, F. Partial Leptin Reduction: An Emerging Weight Loss Paradigm. Trends Endocrinol. Metab. 2020, 31, 395–397. [Google Scholar] [CrossRef]
- Mehrpouya-Bahrami, P.; Chitrala, K.N.; Ganewatta, M.S.; Tang, C.; Murphy, E.A.; Enos, R.T.; Velazquez, K.T.; McCellan, J.; Nagarkatti, M.; Nagarkatti, P. Blockade of CB1 Cannabinoid Receptor Alters Gut Microbiota and Attenuates Inflammation and Diet-Induced Obesity. Sci. Rep. 2017, 7, 15645. [Google Scholar] [CrossRef] [PubMed]
- Brandsma, E.; Kloosterhuis, N.J.; Koster, M.; Dekker, D.C.; Gijbels, M.J.J.; van der Velden, S.; Ríos-Morales, M.; van Faassen, M.J.R.; Loreti, M.G.; de Bruin, A.; et al. A Proinflammatory Gut Microbiota Increases Systemic Inflammation and Accelerates Atherosclerosis. Circ. Res. 2019, 124, 94–100. [Google Scholar] [CrossRef]
- Li, J.; Lin, S.; Vanhoutte, P.M.; Woo, C.W.; Xu, A. Akkermansia muciniphila Protects Against Atherosclerosis by Preventing Metabolic Endotoxemia-Induced Inflammation in Apoe −/− Mice. Circulation 2016, 133, 2434–2446. [Google Scholar] [CrossRef] [PubMed]
- Vass, Z.; Shenker-Horváth, K.; Bányai, B.; Vető, K.N.; Török, V.; Gém, J.B.; Nádasy, G.L.; Kovács, K.B.; Horváth, E.M.; Jakus, Z.; et al. Investigating the Role of Cannabinoid Type 1 Receptors in Vascular Function and Remodeling in a Hypercholesterolemic Mouse Model with Low-Density Lipoprotein–Cannabinoid Type 1 Receptor Double Knockout Animals. Int. J. Mol. Sci. 2024, 25, 9537. [Google Scholar] [CrossRef]
- Duan, F.F.; Liu, J.H.; March, J.C. Engineered Commensal Bacteria Reprogram Intestinal Cells Into Glucose-Responsive Insulin-Secreting Cells for the Treatment of Diabetes. Diabetes 2015, 64, 1794–1803. [Google Scholar] [CrossRef] [PubMed]
- Perakakis, N.; Farr, O.M.; Mantzoros, C.S. Leptin in Leanness and Obesity. J. Am. Coll. Cardiol. 2021, 77, 745–760. [Google Scholar] [CrossRef]
- Peng, J.; Yin, L.; Wang, X. Central and Peripheral Leptin Resistance in Obesity and Improvements of Exercise. Horm. Behav. 2021, 133, 105006. [Google Scholar] [CrossRef] [PubMed]
- Friedman, J.M. Leptin and the Endocrine Control of Energy Balance. Nat. Metab. 2019, 1, 754–764. [Google Scholar] [CrossRef] [PubMed]
- Liu, L.; Lin, J.; Yin, M.; Liu, L.; Gao, J.; Liu, X.; Zhu, J.; Wu, A. Association of the Fat Mass Index with Hepatic Steatosis and Fibrosis: Evidence from NHANES 2017–2018. Sci. Rep. 2024, 14, 6943. [Google Scholar] [CrossRef]
- Isaacs, S. Nonalcoholic Fatty Liver Disease. Endocrinol. Metab. Clin. N. Am. 2023, 52, 149–164. [Google Scholar] [CrossRef] [PubMed]
- Grander, C.; Grabherr, F.; Tilg, H. Non-Alcoholic Fatty Liver Disease: Pathophysiological Concepts and Treatment Options. Cardiovasc. Res. 2023, 119, 1787–1798. [Google Scholar] [CrossRef]
- Li, N.; Yang, Q.; Walker, R.G.; Thompson, T.B.; Du, M.; Rodgers, B.D. Myostatin Attenuation In Vivo Reduces Adiposity, but Activates Adipogenesis. Endocrinology 2016, 157, 282–291. [Google Scholar] [CrossRef]
- Kim, H.S.; Liang, L.; Dean, R.G.; Hausman, D.B.; Hartzell, D.L.; Baile, C.A. Inhibition of Preadipocyte Differentiation by Myostatin Treatment in 3T3-L1 Cultures. Biochem. Biophys. Res. Commun. 2001, 281, 902–906. [Google Scholar] [CrossRef] [PubMed]
- Hirai, S.; Matsumoto, H.; Hino, N.; Kawachi, H.; Matsui, T.; Yano, H. Myostatin Inhibits Differentiation of Bovine Preadipocyte. Domest. Anim. Endocrinol. 2007, 32, 1–14. [Google Scholar] [CrossRef]
- Li, F.; Yang, H.; Duan, Y.; Yin, Y. Myostatin Regulates Preadipocyte Differentiation and Lipid Metabolism of Adipocyte via ERK1/2. Cell Biol. Int. 2011, 35, 1141–1146. [Google Scholar] [CrossRef] [PubMed]
- Braga, M.; Reddy, S.T.; Vergnes, L.; Pervin, S.; Grijalva, V.; Stout, D.; David, J.; Li, X.; Tomasian, V.; Reid, C.B.; et al. Follistatin Promotes Adipocyte Differentiation, Browning, and Energy Metabolism. J. Lipid Res. 2014, 55, 375–384. [Google Scholar] [CrossRef]
- Braga, M.; Pervin, S.; Norris, K.; Bhasin, S.; Singh, R. Inhibition of in Vitro and in Vivo Brown Fat Differentiation Program by Myostatin. Obesity 2013, 21, 1180–1188. [Google Scholar] [CrossRef]
- Lu, J.; Wei, C.; Zhang, X.; Xu, L.; Zhang, S.; Liu, J.; Cao, J.; Zhao, F.; Zhang, L.; Li, B.; et al. The Effect of Myostatin Silencing by Lentiviral-Mediated RNA Interference on Goat Fetal Fibroblasts. Mol. Biol. Rep. 2013, 40, 4101–4108. [Google Scholar] [CrossRef]
- Martella, E.; Bellotti, C.; Dozza, B.; Perrone, S.; Donati, D.; Lucarelli, E. Secreted Adiponectin as a Marker to Evaluate in Vitro the Adipogenic Differentiation of Human Mesenchymal Stromal Cells. Cytotherapy 2014, 16, 1476–1485. [Google Scholar] [CrossRef] [PubMed]
- Hasani, A.; Ebrahimzadeh, S.; Hemmati, F.; Khabbaz, A.; Hasani, A.; Gholizadeh, P. The Role of Akkermansia muciniphila in Obesity, Diabetes and Atherosclerosis. J. Med. Microbiol. 2021, 70, 001435. [Google Scholar] [CrossRef]
- Cani, P.D.; Depommier, C.; Derrien, M.; Everard, A.; de Vos, W.M. Akkermansia Muciniphila: Paradigm for next-Generation Beneficial Microorganisms. Nat. Rev. Gastroenterol. Hepatol. 2022, 19, 625–637. [Google Scholar] [CrossRef] [PubMed]
- Everard, A.; Belzer, C.; Geurts, L.; Ouwerkerk, J.P.; Druart, C.; Bindels, L.B.; Guiot, Y.; Derrien, M.; Muccioli, G.G.; Delzenne, N.M.; et al. Cross-Talk between Akkermansia muciniphila and Intestinal Epithelium Controls Diet-Induced Obesity. Proc. Natl. Acad. Sci. USA 2013, 110, 9066–9071. [Google Scholar] [CrossRef]
- Depommier, C.; Everard, A.; Druart, C.; Plovier, H.; Van Hul, M.; Vieira-Silva, S.; Falony, G.; Raes, J.; Maiter, D.; Delzenne, N.M.; et al. Supplementation with Akkermansia muciniphila in Overweight and Obese Human Volunteers: A Proof-of-Concept Exploratory Study. Nat. Med. 2019, 25, 1096–1103. [Google Scholar] [CrossRef] [PubMed]
- Torikai, H.; Chen, M.-H.; Jin, L.; He, J.; Angle, J.F.; Shi, W. Atherogenesis in Apoe−/− and Ldlr−/− Mice with a Genetically Resistant Background. Cells 2023, 12, 1255. [Google Scholar] [CrossRef] [PubMed]
- Yang, J.-Y.; Lee, Y.-S.; Kim, Y.; Lee, S.-H.; Ryu, S.; Fukuda, S.; Hase, K.; Yang, C.-S.; Lim, H.S.; Kim, M.-S.; et al. Gut Commensal Bacteroides acidifaciens Prevents Obesity and Improves Insulin Sensitivity in Mice. Mucosal Immunol. 2017, 10, 104–116. [Google Scholar] [CrossRef] [PubMed]
- Wu, L.; Yan, Q.; Chen, F.; Cao, C.; Wang, S. Bupleuri Radix Extract Ameliorates Impaired Lipid Metabolism in High-Fat Diet-Induced Obese Mice via Gut Microbia-Mediated Regulation of FGF21 Signaling Pathway. Biomed. Pharmacother. 2021, 135, 111187. [Google Scholar] [CrossRef] [PubMed]
- Aoki, R.; Onuki, M.; Hattori, K.; Ito, M.; Yamada, T.; Kamikado, K.; Kim, Y.-G.; Nakamoto, N.; Kimura, I.; Clarke, J.M.; et al. Commensal Microbe-Derived Acetate Suppresses NAFLD/NASH Development via Hepatic FFAR2 Signalling in Mice. Microbiome 2021, 9, 188. [Google Scholar] [CrossRef]
- Wang, H.; Wang, Q.; Yang, C.; Guo, M.; Cui, X.; Jing, Z.; Liu, Y.; Qiao, W.; Qi, H.; Zhang, H.; et al. Bacteroides Acidifaciens in the Gut Plays a Protective Role against CD95-Mediated Liver Injury. Gut Microbes 2022, 14, 2027853. [Google Scholar] [CrossRef] [PubMed]
- Rao, Y.; Kuang, Z.; Li, C.; Guo, S.; Xu, Y.; Zhao, D.; Hu, Y.; Song, B.; Jiang, Z.; Ge, Z.; et al. Gut Akkermansia muciniphila Ameliorates Metabolic Dysfunction-Associated Fatty Liver Disease by Regulating the Metabolism of L-Aspartate via Gut-Liver Axis. Gut Microbes 2021, 13, 1–19. [Google Scholar] [CrossRef] [PubMed]
- Wu, W.; Kaicen, W.; Bian, X.; Yang, L.; Ding, S.; Li, Y.; Li, S.; Zhuge, A.; Li, L. Akkermansia muciniphila Alleviates high-fat-diet-related Metabolic-associated Fatty Liver Disease by Modulating Gut Microbiota and Bile Acids. Microb. Biotechnol. 2023, 16, 1924–1939. [Google Scholar] [CrossRef]
- Wu, W.; Lv, L.; Shi, D.; Ye, J.; Fang, D.; Guo, F.; Li, Y.; He, X.; Li, L. Protective Effect of Akkermansia muciniphila against Immune-Mediated Liver Injury in a Mouse Model. Front. Microbiol. 2017, 8, 1804. [Google Scholar] [CrossRef]
- Delovitch, T.L.; Singh, B. The Nonobese Diabetic Mouse as a Model of Autoimmune Diabetes: Immune Dysregulation Gets the NOD. Immunity 1997, 7, 727–738. [Google Scholar] [CrossRef] [PubMed]
- Clark, A.L.; Yan, Z.; Chen, S.X.; Shi, V.; Kulkarni, D.H.; Diwan, A.; Remedi, M.S. High-fat Diet Prevents the Development of Autoimmune Diabetes in <scp>NOD</Scp> Mice. Diabetes Obes. Metab. 2021, 23, 2455–2465. [Google Scholar] [CrossRef] [PubMed]
- Bilal, M.; Nawaz, A.; Kado, T.; Aslam, M.R.; Igarashi, Y.; Nishimura, A.; Watanabe, Y.; Kuwano, T.; Liu, J.; Miwa, H.; et al. Fate of Adipocyte Progenitors during Adipogenesis in Mice Fed a High-Fat Diet. Mol. Metab. 2021, 54, 101328. [Google Scholar] [CrossRef] [PubMed]
- Larsen, J.M. The Immune Response to Prevotella Bacteria in Chronic Inflammatory Disease. Immunology 2017, 151, 363–374. [Google Scholar] [CrossRef] [PubMed]










| Type of Mice | Number of Animals in the Group | Diet Type |
|---|---|---|
| C57BL/6SPF | 10 | SD |
| C57BL/6SPF | 10 | HFD |
| C57BL/6SPF | 10 | SD + Olivetol |
| C57BL/6SPF | 10 | HFD + Olivetol |
| ldlr(−/−) | 10 | SD |
| ldlr(−/−) | 10 | SD + Olivetol |
| NOD | 10 | SD |
| NOD | 10 | SD + Olivetol |
| db/db | 10 | SD |
| db/db | 10 | SD + Olivetol |
| Group | Mean Body Weight After 90 Days of Feeding, g | Standard Deviation |
|---|---|---|
| BL/SD | 28.5 | 2.50 |
| BL/SD + C5 | 28.4 | 2.19 |
| BL/HFD | 34.8 | 1.37 |
| BL/HFD + C5 | 30.6 | 3.82 |
| NOD/SD | 28.3 | 1.93 |
| NOD/SD + C5 | 27.2 | 2.92 |
| DB/SD | 55.8 | 8.79 |
| DB/SD + C5 | 54.1 | 8.48 |
| LDLR/SD | 24.7 | 2.35 |
| LDLR/SD + C5 | 22.4 | 1.29 |
| BW | GLC | TAG | CH | INS | LPT | ADN | MSTN | |
|---|---|---|---|---|---|---|---|---|
| BL/SD | - | - | ![]() | - | - | - | - | ![]() |
| BL/HFD | ![]() | - | - | - | - | ![]() | ![]() | ![]() |
| NOD/SD | - | - | ![]() | - | - | - | ![]() | - |
| DB/SD | - | ![]() | - | - | - | ![]() | ![]() | ![]() |
| LDLR/SD | ![]() | - | ![]() | ![]() | - | - | - | - |
Disclaimer/Publisher’s Note: The statements, opinions and data contained in all publications are solely those of the individual author(s) and contributor(s) and not of MDPI and/or the editor(s). MDPI and/or the editor(s) disclaim responsibility for any injury to people or property resulting from any ideas, methods, instructions or products referred to in the content. |
© 2025 by the authors. Licensee MDPI, Basel, Switzerland. This article is an open access article distributed under the terms and conditions of the Creative Commons Attribution (CC BY) license (https://creativecommons.org/licenses/by/4.0/).
Share and Cite
Zabolotneva, A.A.; Popruga, K.E.; Makarov, V.V.; Yudin, S.M.; Gaponov, A.M.; Roumiantsev, S.A.; Shestopalov, A.V. Olivetol’s Effects on Metabolic State and Gut Microbiota Functionality in Mouse Models of Alimentary Obesity, Diabetes Mellitus Type 1 and 2, and Hypercholesterolemia. Biomedicines 2025, 13, 183. https://doi.org/10.3390/biomedicines13010183
Zabolotneva AA, Popruga KE, Makarov VV, Yudin SM, Gaponov AM, Roumiantsev SA, Shestopalov AV. Olivetol’s Effects on Metabolic State and Gut Microbiota Functionality in Mouse Models of Alimentary Obesity, Diabetes Mellitus Type 1 and 2, and Hypercholesterolemia. Biomedicines. 2025; 13(1):183. https://doi.org/10.3390/biomedicines13010183
Chicago/Turabian StyleZabolotneva, Anastasia A., Katerina E. Popruga, Valentin V. Makarov, Sergei M. Yudin, Andrei M. Gaponov, Sergei A. Roumiantsev, and Aleksandr V. Shestopalov. 2025. "Olivetol’s Effects on Metabolic State and Gut Microbiota Functionality in Mouse Models of Alimentary Obesity, Diabetes Mellitus Type 1 and 2, and Hypercholesterolemia" Biomedicines 13, no. 1: 183. https://doi.org/10.3390/biomedicines13010183
APA StyleZabolotneva, A. A., Popruga, K. E., Makarov, V. V., Yudin, S. M., Gaponov, A. M., Roumiantsev, S. A., & Shestopalov, A. V. (2025). Olivetol’s Effects on Metabolic State and Gut Microbiota Functionality in Mouse Models of Alimentary Obesity, Diabetes Mellitus Type 1 and 2, and Hypercholesterolemia. Biomedicines, 13(1), 183. https://doi.org/10.3390/biomedicines13010183



