Biological, Antifungal, and Physical Efficacy of a Denture Cleanser Formulated with Cnidium officinale Extracts
Abstract
1. Introduction
2. Materials and Methods
2.1. Extraction
2.2. Preparation of Denture Cleansers Containing C. officinale
2.2.1. Evaluation of Antimicrobial Properties
2.2.2. Evaluation of Oral Mucosal Irritation
2.3. Evaluation of Denture Cleanser on Denture Base Resin
2.3.1. Measurement of Microhardness
2.3.2. Measurement of Surface Roughness
2.3.3. Measurement of Color Change
2.3.4. Measurement of Solubility
2.3.5. Evaluation of Biological Properties
2.3.6. Measurement of Polyphenol and Flavonoid Contents
2.4. Statistical Analysis
3. Results
3.1. Antimicrobial and Biological Properties
3.1.1. Evaluation of Antimicrobial Properties
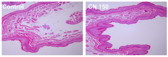
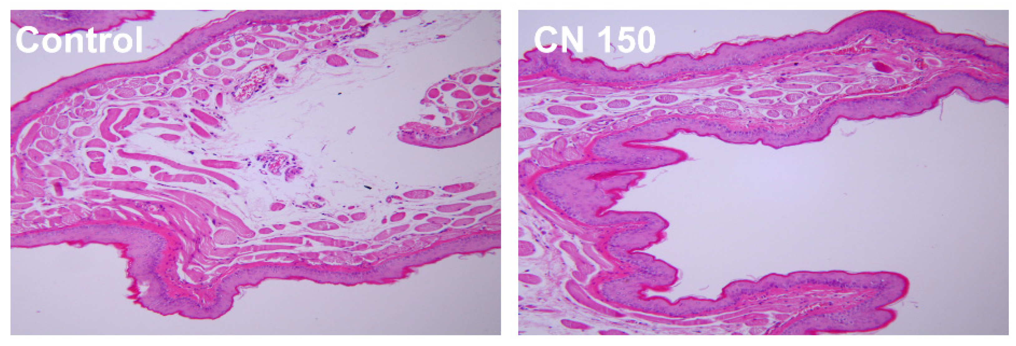
3.1.2. Evaluation of Oral Mucosal Irritation
3.2. Evaluation of Denture Cleanser Effects
3.2.1. Measurement of Microhardness
3.2.2. Measurement of Surface Roughness
3.2.3. Measurement of Solubility
3.2.4. Measurement of Color Change
3.2.5. Evaluation of Biological Properties
3.2.6. Evaluation of Phenolic and Flavonoid Contents
4. Discussion
5. Conclusions
Author Contributions
Funding
Institutional Review Board Statement
Informed Consent Statement
Data Availability Statement
Conflicts of Interest
References
- Altarazi, A.; Haider, J.; Alhotan, A.; Silikas, N.; Devlin, H. Assessing the physical and mechanical properties of 3D printed acrylic material for denture base application. Dent. Mater. 2022, 38, 1841–1854. [Google Scholar] [CrossRef] [PubMed]
- Lee, Y.S.; Kim, J.; Choy, Y.S.; Kim, E.; Yoo, J. Change in Denture Procedures after Implementation of National Health Insurance Coverage for the Elderly in Korea: A Nationwide Database. Int. J. Environ. Res. Public Health 2021, 18, 2283. [Google Scholar] [CrossRef] [PubMed]
- Jun, N.R.; Kim, J.H.; Jang, J.H. Association of Denture Use and Chewing Ability with Cognitive Function Analysed Using Panel Data from Korea Longitudinal Study of Aging (2006–2018). Healthcare 2023, 11, 2505. [Google Scholar] [CrossRef]
- Zhang, K.; Zhang, S.; Shi, Y.; Zhang, L.; Fu, B. Effects of disinfectants on physical properties of denture base resins: A systematic review and meta-analysis. J. Prosthet. Dent. 2024, 131, 841–858. [Google Scholar] [CrossRef]
- Lee, M.J.; Kim, M.J.; Oh, S.H.; Kwon, J.S. Novel Dental Poly (Methyl Methacrylate) Containing Phytoncide for Antifungal Effect and Inhibition of Oral Multispecies Biofilm. Materials 2020, 13, 371. [Google Scholar] [CrossRef]
- Macêdo, L.O.; Campos, D.E.S.; da Nóbrega Alves, D.; Carreiro, A.; de Castro, R.D.; Batista, A.U.D. Effects of long-term cinnamaldehyde immersion on the surface roughness and color of heat-polymerized denture base resin. J. Prosthet. Dent. 2022, 128, 521.e1–521.e8. [Google Scholar] [CrossRef] [PubMed]
- Coelho, I.R.P.; Silva-Lovato, C.H.; Arruda, C.N.F.; Münchow, E.A.; Silveira, G.R.C.; Carvalho, R.F.; Badaró, M.M. Denture cleanser effect on resilient liners with distinct optical characteristics. Am. J. Dent. 2023, 36, 62–68. [Google Scholar]
- Kaypetch, R.; Rudrakanjana, P.; Tua-Ngam, P.; Tosrisawatkasem, O.; Thairat, S.; Tonput, P.; Tantivitayakul, P. Effects of two novel denture cleansers on multispecies microbial biofilms, stain removal and the denture surface: An in vitro study. BMC Oral Health 2023, 23, 852. [Google Scholar] [CrossRef]
- Nunes, T.; Silva, M.; Coelho, S.R.G.; Viotto, H.; Pero, A.C. Effectiveness of disinfectant solutions associated or not with brushing on the biofilm control of a 3D printed-denture base resin. J. Appl. Oral Sci. 2023, 31, e20230104. [Google Scholar] [CrossRef]
- Costa, R.T.F.; Pellizzer, E.P.; Vasconcelos, B.; Gomes, J.M.L.; Lemos, C.A.A.; de Moraes, S.L.D. Surface roughness of acrylic resins used for denture base after chemical disinfection: A systematic review and meta-analysis. Gerodontology 2021, 38, 242–251. [Google Scholar] [CrossRef]
- Osman, R.B.; Khoder, G.; Fayed, B.; Kedia, R.A.; Elkareimi, Y.; Alharbi, N. Influence of Fabrication Technique on Adhesion and Biofilm Formation of Candida albicans to Conventional, Milled, and 3D-Printed Denture Base Resin Materials: A Comparative In Vitro Study. Polymers 2023, 15, 1836. [Google Scholar] [CrossRef] [PubMed]
- An, J.; Song, Y.; Zhao, J.; Xu, B. Antifungal efficiency and cytocompatibility of polymethyl methacrylate modified with zinc dimethacrylate. Front. Cell. Infect. Microbiol. 2023, 13, 1138588. [Google Scholar] [CrossRef] [PubMed]
- Pezzotti, G.; Asai, T.; Adachi, T.; Ohgitani, E.; Yamamoto, T.; Kanamura, N.; Boschetto, F.; Zhu, W.; Zanocco, M.; Marin, E.; et al. Antifungal activity of polymethyl methacrylate/Si3N4 composites against Candida albicans. Acta Biomater. 2021, 126, 259–276. [Google Scholar] [CrossRef] [PubMed]
- Cervino, G.; Cicciù, M.; Herford, A.S.; Germanà, A.; Fiorillo, L. Biological and Chemo-Physical Features of Denture Resins. Materials 2020, 13, 3350. [Google Scholar] [CrossRef]
- Lopes Vasconcelos, G.L.; Curylofo, P.A.; Targa Coimbra, F.C.; de Cássia Oliveira, V.; Macedo, A.P.; de Freitas Oliveira Paranhos, H.; Pagnano, V.O. In Vitro Antimicrobial Activity of Effervescent Denture Tablets on the Components of Removable Partial Dentures. Int. J. Prosthodont. 2020, 33, 315–320. [Google Scholar] [CrossRef]
- Aizawa, S.; Yoshida, H.; Umeshita, K.; Watanabe, S.; Takahashi, Y.; Sakane, S.; Sakaguchi, H.; Kataoka, S. Development of an oral mucosal irritation test using a three-dimensional human buccal oral mucosal model. Toxicol. In Vitro 2023, 87, 105519. [Google Scholar] [CrossRef]
- Azevedo, L.; Correia, A.; Almeida, C.F.; Molinero-Mourelle, P.; Correia, M.; Del Río Highsmith, J. Biocompatibility and Effectiveness of a Novel, Organic Olive Oil-Based Denture Adhesive: A Multicenter Randomized and Placebo-Controlled Clinical Trial. Int. J. Environ. Res. Public Health 2021, 18, 3398. [Google Scholar] [CrossRef]
- Yang, S.Y.; Choi, Y.R.; Lee, M.J.; Kang, M.K. Antimicrobial Effects against Oral Pathogens and Cytotoxicity of Glycyrrhiza uralensis Extract. Plants 2020, 9, 838. [Google Scholar] [CrossRef]
- Kim, T.Y.; Kwon, H.C.; Lee, S.Y.; Lee, C.M.; Lee, K.S.; Lee, K.K. Antibacterial Activity of Senkyunolide A Isolated from Cnidium officinale Extract. J. Cosmet. Sci. 2020, 71, 377–383. [Google Scholar]
- Lee, M.J.; Kang, M.K. Analysis of the Antimicrobial, Cytotoxic, and Antioxidant Activities of Cnidium officinale Extracts. Plants 2020, 9, 988. [Google Scholar] [CrossRef]
- Kaypetch, R.; Anuwongnukroh, N.; Dechkunakorn, S.; Wichai, W.; Tua-Ngam, P.; Tantivitayakul, P.; Shrestha, B. Novel vinegar solution for denture-cleansing agent. J. Oral Sci. 2023, 65, 117–120. [Google Scholar] [CrossRef] [PubMed]
- Kamarehei, F.; Mehdiabadi, M.; Naderi, F. Antibacterial effects of natural compounds on biofilm formation of Streptococcus mutans. Clin. Exp. Dent. Res. 2022, 8, 1426–1433. [Google Scholar] [CrossRef]
- Lee, M.J.; Shim, Y.S.; An, S.Y.; Kang, M.K. Surface Characterization, Biocompatibility and Antifungal Efficacy of a Denture-Lining Material Containing Cnidium officinale Extracts. Molecules 2021, 26, 1440. [Google Scholar] [CrossRef] [PubMed]
- Ma, J.; Liu, W.; Wang, X.; Lu, C.; Hao, Z.; Wang, Y.; Ding, Y.; Li, Y. Cnidium officinale Makino: Phytology, Phytochemistry, Toxicology, Pharmacology and Prescriptions (1967–2023). Chem. Biodivers. 2024, 21, e202301639. [Google Scholar] [CrossRef]
- Tran, H.N.K.; Cao, T.Q.; Kim, J.A.; Youn, U.J.; Kim, S.; Woo, M.H.; Min, B.S. Anti-inflammatory activity of compounds from the rhizome of Cnidium officinale. Arch. Pharm. Res. 2018, 41, 977–985. [Google Scholar] [CrossRef]
- ISO 10993-10:2010; Biological Evaluation of Medical Devices, Part 10: Tests for Irritation and Skin Sensitization. International Organization for Standardization: Geneva, Switzerland, 2010.
- Lee, M.J.; Kim, M.J.; Kwon, J.S.; Lee, S.B.; Kim, K.M. Cytotoxicity of Light-Cured Dental Materials according to Different Sample Preparation Methods. Materials 2017, 10, 288. [Google Scholar] [CrossRef] [PubMed]
- Kumar, D.; Mishra, A.K.; Rani, V.; Priyadarshi, S.; Sharma, V.; Kharat, S. Comparison of Mechanical Properties, Physical Properties, and Biocompatibility of Four Different Denture Base Resins: An In vitro Study. J. Pharm. Bioallied Sci. 2023, 15, S964–S967. [Google Scholar] [CrossRef]
- Staszak, K.; Wieczorek, D.; Michocka, K. Effect of Sodium Chloride on the Surface and Wetting Properties of Aqueous Solutions of Cocamidopropyl Betaine. J. Surfactants Deterg. 2015, 18, 321–328. [Google Scholar] [CrossRef]
- Kwon, D.A.; Bak, S.B.; Kim, Y.S.; Kim, S.K.; Lee, H.S. Antioxidant and Anti-Fatigue Effects of a Standardized Botanical Extract Fraction (HemoHIM) in Forced-Exercised Aged Mice. J. Med. Food 2024, 27, 502–509. [Google Scholar] [CrossRef]
- Adil, M.; Ren, X.; Jeong, B.R. Light elicited growth, antioxidant enzymes activities and production of medicinal compounds in callus culture of Cnidium officinale Makino. J. Photochem. Photobiol. B 2019, 196, 111509. [Google Scholar] [CrossRef]
- Faot, F.; Cavalcanti, Y.W.; Mendonça e Bertolini, M.; Pinto Lde, R.; da Silva, W.J.; Cury, A.A. Efficacy of citric acid denture cleanser on the Candida albicans biofilm formed on poly(methyl methacrylate): Effects on residual biofilm and recolonization process. BMC Oral Health 2014, 14, 77. [Google Scholar] [CrossRef] [PubMed]
- Song, Y.H.; Kim, M.K.; Park, E.J.; Song, H.J.; Anusavice, K.J.; Park, Y.J. Cytotoxicity of alloying elements and experimental titanium alloys by WST-1 and agar overlay tests. Dent. Mater. 2014, 30, 977–983. [Google Scholar] [CrossRef] [PubMed]
- Asahara, E.; Abe, Y.; Nakamori, K.; Okazaki, Y.; Makita, Y.; Hasebe, A.; Tsuga, K.; Yokoyama, A. Controlled release, antimicrobial activity, and oral mucosa irritation of cetylpyridinium chloride-montmorillonite incorporated in a tissue conditioner. Dent. Mater. J. 2022, 41, 142–149. [Google Scholar] [CrossRef] [PubMed]
- Naoe, T.; Hasebe, A.; Horiuchi, R.; Makita, Y.; Okazaki, Y.; Yasuda, K.; Matsuo, K.; Yoshida, Y.; Tsuga, K.; Abe, Y.; et al. Development of tissue conditioner containing cetylpyridinium chloride montmorillonite as new antimicrobial agent: Pilot study on antimicrobial activity and biocompatibility. J. Prosthodont. Res. 2020, 64, 436–443. [Google Scholar] [CrossRef] [PubMed]







| Test Materials | Decolorization (cm) | Decolorization Index | Lysis Index | Interpretation |
|---|---|---|---|---|
| Positive control | 2.6 ± 0.15 | 4 | 5 | Severely cytotoxic |
| Negative control | 0 | 0 | 0 | Non-cytotoxic |
| CN 100 | 0 | 0 | 0 | Non-cytotoxic |
| CN 150 | 0 | 0 | 0 | Non-cytotoxic |
| Experimental Group | Polyphenol Content (μg/mL) | Flavonoid Content (μg/mL) |
|---|---|---|
| CN 100 | 8.3 ± 2.1 A | 17.1 ± 0.9 B |
| CN 150 | 9.8 ± 2.5 A | 17.4 ± 1.4 B |
Disclaimer/Publisher’s Note: The statements, opinions and data contained in all publications are solely those of the individual author(s) and contributor(s) and not of MDPI and/or the editor(s). MDPI and/or the editor(s) disclaim responsibility for any injury to people or property resulting from any ideas, methods, instructions or products referred to in the content. |
© 2024 by the authors. Licensee MDPI, Basel, Switzerland. This article is an open access article distributed under the terms and conditions of the Creative Commons Attribution (CC BY) license (https://creativecommons.org/licenses/by/4.0/).
Share and Cite
Lee, M.-J.; Yang, S.-Y.; Kang, M.-K. Biological, Antifungal, and Physical Efficacy of a Denture Cleanser Formulated with Cnidium officinale Extracts. Biomedicines 2024, 12, 2029. https://doi.org/10.3390/biomedicines12092029
Lee M-J, Yang S-Y, Kang M-K. Biological, Antifungal, and Physical Efficacy of a Denture Cleanser Formulated with Cnidium officinale Extracts. Biomedicines. 2024; 12(9):2029. https://doi.org/10.3390/biomedicines12092029
Chicago/Turabian StyleLee, Myung-Jin, Song-Yi Yang, and Min-Kyung Kang. 2024. "Biological, Antifungal, and Physical Efficacy of a Denture Cleanser Formulated with Cnidium officinale Extracts" Biomedicines 12, no. 9: 2029. https://doi.org/10.3390/biomedicines12092029
APA StyleLee, M.-J., Yang, S.-Y., & Kang, M.-K. (2024). Biological, Antifungal, and Physical Efficacy of a Denture Cleanser Formulated with Cnidium officinale Extracts. Biomedicines, 12(9), 2029. https://doi.org/10.3390/biomedicines12092029

