Chronic Lymphocytic Leukemia (CLL)-Derived Extracellular Vesicles Educate Endothelial Cells to Become IL-6-Producing, CLL-Supportive Cells
Abstract
1. Introduction
2. Materials and Methods
2.1. Patients’ Characteristics
2.2. Cell Lines
2.3. Isolation of EVs
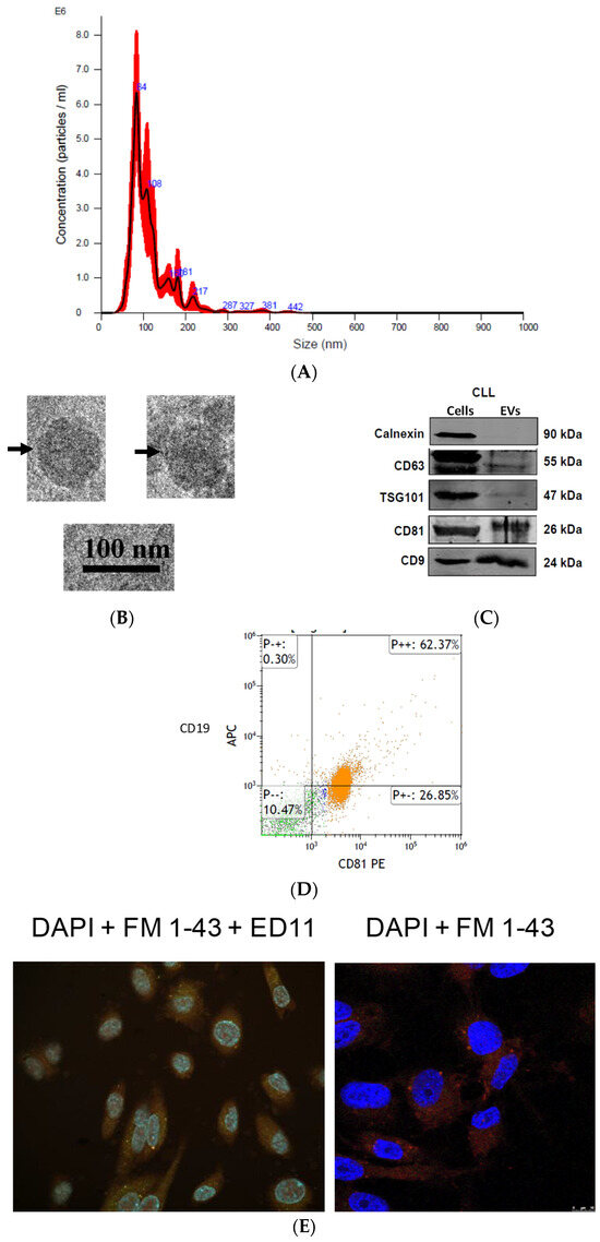
2.4. Nanosight Tracking Analysis of EVs
2.5. Flow Cytometry Analysis
2.6. Electron Microscopy Imaging
2.7. Western Blot Assessing EV Markers
2.8. EV Uptake
2.9. Preparation of Protein Extracts
2.10. Immunoprecipitation
2.11. Western Immunoblotting
2.12. Phosphoproteomic Analysis
2.13. Cell Transfection
2.14. Chromatin Immunoprecipitation (ChIP) Assay
- Forward: 5′-CTACTTCCCTCCCAAGATGCC-3′
- Reverse: 5′-TGCCCTGCTGTGTTTCTCATT-3′
- LEF/TCF distal:
- Forward: 5′-TCCAACATCAGCTGGCTCTTT-3′
- Reverse: 5′-TTGAGTCCCACTGAGCAGACA-3′
- LEF/TCF proximal:
- Forward: 5′-GAGCGATAAACACAAACTCTGCAA-3′
- Reverse: 5′-CTGGAGCCCTGAAATTACTGAAG-3′
- CEBP:
- Forward: 5′-GCAAAGAAACCGATTGTGAAGG-3′
- Reverse: 5′-CCTTGCACAACACCAAAACACT-3′
2.15. Enzyme-Linked Immunosorbent Assay (ELISA) for the Detection of IL-6
2.16. Annexin V Assay
2.17. Statistical Analysis
3. Results
3.1. CLL-EVs Are Taken up by Endothelial Cells
3.2. CLL-EVs Induce Phosphorylation of β-Catenin in Hosting Endothelial Cells
3.3. Upregulation of β-Catenin Induces IL-6 Secretion from Hosting Endothelial Cells
3.4. Endothelial-Cell-Induced IL-6 Drives STAT3 Phosphorylation and Leads to Decreased Rate of Apoptosis of CLL Cells
4. Discussion
Supplementary Materials
Author Contributions
Funding
Institutional Review Board Statement
Informed Consent Statement
Data Availability Statement
Acknowledgments
Conflicts of Interest
Abbreviations
| EVs | extracellular vesicles |
| CLL | chronic lymphocytic leukemia |
| HUVEC | human umbilical vein endothelial cells |
| HAOEC | human endothelial aortic cells |
| NTA | Nanosight tracking analysis |
| TSG101 | tumor susceptibility gene 101 |
| FITC | fluorescein isothiocyanate |
| WBP11 | WW-domain-binding protein 11 |
| ANAT | Advanced Network Analysis Tool |
| CTNNB1 | catenin beta 1 |
| LEF | lymphoid enhancer-binding factor |
| CEBP | CCAAT/enhancer-binding protein |
| ChIP | chromatin immunoprecipitation |
| TFC4 | transcription factor TFIIIC subunit 4 |
| CCND1 | cyclin D1 |
| PPARD | peroxisome proliferator activated receptor delta |
| ASCL2 | achaete-scute complex homolog 2 |
| ABCB1 | ATP-binding cassette subfamily B member 1 |
| BIRC | baculoviral IAP repeat containing |
| TAECs | tumor-associated endothelial cells |
| CML | chronic myeloid leukemia |
| AML | acute myeloid leukemia |
| MDS | myelodysplastic syndromes |
References
- Chiorazzi, N.; Rai, K.R.; Ferrarini, M. Chronic lymphocytic leukemia. N. Engl. J. Med. 2005, 352, 804–815. [Google Scholar] [CrossRef] [PubMed]
- Rozovski, U.; Keating, M.J.; Estrov, Z. Targeting inflammatory pathways in chronic lymphocytic leukemia. Crit. Rev. Oncol. Hematol. 2013, 88, 655–666. [Google Scholar] [CrossRef] [PubMed]
- Yam-Puc, J.C.; Zhang, L.; Zhang, Y.; Toellner, K.M. Role of B-cell receptors for B-cell development and antigen-induced differentiation. F1000Research 2018, 7, 429. [Google Scholar] [CrossRef] [PubMed]
- Liu, T.; Zhang, L.; Joo, D.; Sun, S.C. NF-kappaB signaling in inflammation. Signal Transduct. Target. Ther. 2017, 2, 17023. [Google Scholar] [CrossRef] [PubMed]
- Al Zaid Siddiquee, K.; Turkson, J. STAT3 as a target for inducing apoptosis in solid and hematological tumors. Cell Res. 2008, 18, 254–267. [Google Scholar] [CrossRef] [PubMed]
- Broekgaarden, M.; Weijer, R.; van Gulik, T.M.; Hamblin, M.R.; Heger, M. Tumor cell survival pathways activated by photodynamic therapy: A molecular basis for pharmacological inhibition strategies. Cancer Metastasis Rev. 2015, 34, 643–690. [Google Scholar] [CrossRef] [PubMed]
- Verma, R.; Balakrishnan, L.; Sharma, K.; Khan, A.A.; Advani, J.; Gowda, H.; Tripathy, S.P.; Suar, M.; Pandey, A.; Gandotra, S.; et al. A network map of Interleukin-10 signaling pathway. J. Cell Commun. Signal. 2016, 10, 61–67. [Google Scholar] [CrossRef] [PubMed]
- Lippitz, B.E.; Harris, R.A. Cytokine patterns in cancer patients: A review of the correlation between interleukin 6 and prognosis. Oncoimmunology 2016, 5, e1093722. [Google Scholar] [CrossRef] [PubMed]
- Burger, J.A. Nurture versus nature: The microenvironment in chronic lymphocytic leukemia. Hematol. Am. Soc. Hematol. Educ. Program 2011, 2011, 96–103. [Google Scholar] [CrossRef] [PubMed]
- Burger, J.A.; Quiroga, M.P.; Hartmann, E.; Bürkle, A.; Wierda, W.G.; Keating, M.J.; Rosenwald, A. High-level expression of the T-cell chemokines CCL3 and CCL4 by chronic lymphocytic leukemia B cells in nurselike cell cocultures and after BCR stimulation. Blood 2009, 113, 3050–3058. [Google Scholar] [CrossRef] [PubMed]
- Van der Pol, E.; Boing, A.N.; Harrison, P.; Sturk, A.; Nieuwland, R. Classification, functions, and clinical relevance of extracellular vesicles. Pharmacol. Rev. 2012, 64, 676–705. [Google Scholar] [CrossRef] [PubMed]
- Ramachandran, S.; Palanisamy, V. Horizontal transfer of RNAs: Exosomes as mediators of intercellular communication. Wiley Interdiscip. Rev. RNA 2012, 3, 286–293. [Google Scholar] [CrossRef] [PubMed]
- Paggetti, J.; Haderk, F.; Seiffert, M.; Janji, B.; Distler, U.; Ammerlaan, W.; Kim, Y.J.; Adam, J.; Lichter, P.; Solary, E.; et al. Exosomes released by chronic lymphocytic leukemia cells induce the transition of stromal cells into cancer-associated fibroblasts. Blood 2015, 126, 1106–1117. [Google Scholar] [CrossRef] [PubMed]
- Chi, L.; Li, Y.; Stehno-Bittel, L.; Gao, J.; Morrison, D.C.; Stechschulte, D.J.; Dileepan, K.N. Interleukin-6 production by endothelial cells via stimulation of protease-activated receptors is amplified by endotoxin and tumor necrosis factor-alpha. J. Interf. Cytokine Res. 2001, 21, 231–240. [Google Scholar] [CrossRef] [PubMed]
- Hulkkonen, J.; Vilpo, J.; Vilpo, L.; Hurme, M.; Tampere CLL Group. Diminished production of interleukin-6 in chronic lymphocytic leukaemia (B-CLL) cells from patients at advanced stages of disease. Brit. J. Hematol. 1998, 100, 478–483. [Google Scholar] [CrossRef] [PubMed]
- Song, X.; Ding, Y.; Liu, G.; Yang, X.; Zhao, R.; Zhang, Y.; Zhao, X.; Anderson, G.J.; Nie, G. Cancer Cell-derived Exosomes Induce Mitogen-activated Protein Kinase-dependent Monocyte Survival by Transport of Functional Receptor Tyrosine Kinases. J. Biol. Chem. 2016, 291, 8453–8464. [Google Scholar] [CrossRef] [PubMed]
- Saman, S.; Kim, W.; Raya, M.; Visnick, Y.; Miro, S.; Saman, S.; Jackson, B.; McKee, A.C.; Alvarez, V.E.; Lee, N.C.; et al. Exosome-associated tau is secreted in tauopathy models and is selectively phosphorylated in cerebrospinal fluid in early Alzheimer disease. J. Biol. Chem. 2012, 287, 3842–3849. [Google Scholar] [CrossRef] [PubMed]
- Izquierdo-Useros, N.; Naranjo-Gómez, M.; Erkizia, I.; Puertas, M.C.; Borràs, F.E.; Blanco, J.; Martinez-Picado, J. HIV and mature dendritic cells: Trojan exosomes riding the Trojan horse? PLoS Pathog. 2010, 6, e1000740. [Google Scholar] [CrossRef] [PubMed]
- Zhou, W.; Fong, M.Y.; Min, Y.; Somlo, G.; Liu, L.; Palomares, M.R.; Yu, Y.; Chow, A.; O’Connor, S.T.F.; Wang, S.E.; et al. Cancer-secreted miR-105 destroys vascular endothelial barriers to promote metastasis. Cancer Cell 2014, 25, 501–515. [Google Scholar] [CrossRef] [PubMed]
- Rozovski, U.; Harris, D.M.; Li, P.; Liu, Z.; Jain, P.; Veletic, I.; Ferrajoli, A.; Burger, J.; O’Brien, S.; Bose, P.; et al. Constitutive Phosphorylation of STAT3 by the CK2-BLNK-CD5 Complex. Mol. Cancer Res. 2017, 15, 610–618. [Google Scholar] [CrossRef] [PubMed]
- Gao, D.; Jiang, L. Exosomes in cancer therapy: A novel experimental strategy. Am. J. Cancer Res. 2018, 8, 2165–2175. [Google Scholar] [PubMed]
- Gao, M.; Gao, W.; Papadimitriou, J.M.; Zhang, C.; Gao, J.; Zheng, M. Exosomes-the enigmatic regulators of bone homeostasis. Bone Res. 2018, 6, 36. [Google Scholar] [CrossRef] [PubMed]
- Royo, F.; Falcon-Perez, J.M. Liver extracellular vesicles in health and disease. J. Extracell. Vesicles 2012, 1, 18825. [Google Scholar] [CrossRef] [PubMed]
- Gutkin, A.; Uziel, O.; Beery, E.; Nordenberg, J.; Pinchasi, M.; Goldvaser, H.; Henick, S.; Goldberg, M.; Lahav, M. Tumor cells derived exosomes contain hTERT mRNA and transform nonmalignant fibroblasts into telomerase positive cells. Oncotarget 2016, 7, 59173–59188. [Google Scholar] [CrossRef] [PubMed]
- Tao, L.; Huang, G.; Song, H.; Chen, Y.; Chen, L. Cancer associated fibroblasts: An essential role in the tumor microenvironment. Oncol. Lett. 2017, 14, 2611–2620. [Google Scholar] [CrossRef]
- Dudley, A.C. Tumor endothelial cells. Cold Spring Harb. Perspect. Med. 2012, 2, a006536. [Google Scholar] [CrossRef] [PubMed]
- Skog, J.; Würdinger, T.; Van Rijn, S.; Meijer, D.H.; Gainche, L.; Curry, W.T., Jr.; Carter, B.S.; Krichevsky, A.M.; Breakefield, X.O. Glioblastoma microvesicles transport RNA and proteins that promote tumour growth and provide diagnostic biomarkers. Nat. Cell Biol. 2008, 10, 1470–1476. [Google Scholar] [CrossRef] [PubMed]
- Gong, X.H.; Liu, H.; Wang, S.J.; Liang, S.W.; Wang, G.G. Exosomes derived from SDF1-overexpressing mesenchymal stem cells inhibit ischemic myocardial cell apoptosis and promote cardiac endothelial microvascular regeneration in mice with myocardial infarction. J. Cell. Physiol. 2019, 234, 13878–13893. [Google Scholar] [CrossRef] [PubMed]
- Ma, J.; Zhao, Y.; Sun, L.; Sun, X.; Zhao, X.; Sun, X.; Qian, H.; Xu, W.; Zhu, W. Exosomes Derived from Akt-Modified Human Umbilical Cord Mesenchymal Stem Cells Improve Cardiac Regeneration Promote Angiogenesis via Activating Platelet-Derived Growth Factor, D. Stem Cells Transl. Med. 2017, 6, 51–59. [Google Scholar] [CrossRef] [PubMed]
- Ribatti, D.; Nico, B.; Crivellato, E.; Roccaro, A.M.; Vacca, A. The history of the angiogenic switch concept. Leukemia 2007, 21, 44–52. [Google Scholar] [CrossRef] [PubMed]
- Trujillo, A.; McGee, C.; Cogle, C.R. Angiogenesis in acute myeloid leukemia and opportunities for novel therapies. J. Oncol. 2012, 2012, 128608. [Google Scholar] [CrossRef] [PubMed]
- Medinger, M.; Mross, K. Clinical trials with anti-angiogenic agents in hematological malignancies. J. Angiogenes Res. 2010, 2, 10. [Google Scholar] [CrossRef] [PubMed]
- Solimando, A.G.; Summa, S.; Vacca, A.; Ribatti, D. Cancer-Associated Angiogenesis: The Endothelial Cell as a Checkpoint for Immunological Patrolling. Cancers 2020, 12, 3380. [Google Scholar] [CrossRef] [PubMed]
- Rickman, M.; Ghim, M.; Pang, K.; von Huelsen Rocha, A.C.; Drudi, E.M.; Sureda-Vives, M.; Ayoub, N.; Tajadura-Ortega, V.; George, S.J.; Weinberg, P.D.; et al. Disturbed flow increases endothelial inflammation and permeability via a Frizzled-4-β-catenin-dependent pathway. J. Cell Sci. 2023, 136, jcs260449. [Google Scholar] [CrossRef] [PubMed]
- Najafi, S.M.A. The Canonical Wnt Signaling (Wnt/β-Catenin Pathway): A Potential Target for Cancer Prevention and Therapy. Iran. Biomed. J. 2020, 24, 269–280. [Google Scholar] [CrossRef] [PubMed] [PubMed Central]







| Characteristics | Data |
|---|---|
| median age Years (range) | 71 (52–89) |
| median white blood cell counts ×109/L (range) | 66 (14–292) |
| median absolute lymphocyte count ×109/L range) | 54 (9–281) |
| Rai stage N (%) | |
| Rai = 0 | 27 (60) |
| Rai = 1 | 7 (16) |
| Rai = 2 | 6 (13) |
| Rai = 3 | 1 (2) |
| Rai = 4 | 4 (9) |
| β2M (mg/L) N (%) | |
| <4 | 10 (30) |
| >4 | 23 (70) |
| Not taken | 12 |
| IGHV mutation N (%) | |
| Mutated | 10 (22) |
| Unmutated | 20 (44) |
| unknown | 15 (33) |
| FISH result N | |
| Del17p/11q/tri12/13q/negative/unknown | 3/7/6/15/4/19 |
| Comorbidities N (%) | |
| ischemic heart disease | 10 (22) |
| Diabetes Mellitus | 9 (20) |
| hypertension | 4 (9) |
| cerebrovascular accident | 0 (0) |
| Patients with other malignancies N (%) | 9 (20) |
| Type of other malignancies * (N) | 6 |
| Mean ejection fraction % (S.D.) | 58 (9.7) |
| Drugs N (%) | |
| Aspirin | 18 (40) |
| Statins | 20 (44) |
| Metformin | 7 (15) |
Disclaimer/Publisher’s Note: The statements, opinions and data contained in all publications are solely those of the individual author(s) and contributor(s) and not of MDPI and/or the editor(s). MDPI and/or the editor(s) disclaim responsibility for any injury to people or property resulting from any ideas, methods, instructions or products referred to in the content. |
© 2024 by the authors. Licensee MDPI, Basel, Switzerland. This article is an open access article distributed under the terms and conditions of the Creative Commons Attribution (CC BY) license (https://creativecommons.org/licenses/by/4.0/).
Share and Cite
Uziel, O.; Lipshtein, L.; Sarsor, Z.; Beery, E.; Bogen, S.; Lahav, M.; Regev, A.; Kliminski, V.; Sharan, R.; Gervits, A.; et al. Chronic Lymphocytic Leukemia (CLL)-Derived Extracellular Vesicles Educate Endothelial Cells to Become IL-6-Producing, CLL-Supportive Cells. Biomedicines 2024, 12, 1381. https://doi.org/10.3390/biomedicines12071381
Uziel O, Lipshtein L, Sarsor Z, Beery E, Bogen S, Lahav M, Regev A, Kliminski V, Sharan R, Gervits A, et al. Chronic Lymphocytic Leukemia (CLL)-Derived Extracellular Vesicles Educate Endothelial Cells to Become IL-6-Producing, CLL-Supportive Cells. Biomedicines. 2024; 12(7):1381. https://doi.org/10.3390/biomedicines12071381
Chicago/Turabian StyleUziel, Orit, Lian Lipshtein, Zinab Sarsor, Einat Beery, Shaked Bogen, Meir Lahav, Alon Regev, Vitali Kliminski, Roded Sharan, Asia Gervits, and et al. 2024. "Chronic Lymphocytic Leukemia (CLL)-Derived Extracellular Vesicles Educate Endothelial Cells to Become IL-6-Producing, CLL-Supportive Cells" Biomedicines 12, no. 7: 1381. https://doi.org/10.3390/biomedicines12071381
APA StyleUziel, O., Lipshtein, L., Sarsor, Z., Beery, E., Bogen, S., Lahav, M., Regev, A., Kliminski, V., Sharan, R., Gervits, A., Signorini, L. F., Shimony, S., Raanani, P., & Rozovski, U. (2024). Chronic Lymphocytic Leukemia (CLL)-Derived Extracellular Vesicles Educate Endothelial Cells to Become IL-6-Producing, CLL-Supportive Cells. Biomedicines, 12(7), 1381. https://doi.org/10.3390/biomedicines12071381

