T-Large Granular Lymphocytic Leukemia with Hepatosplenic T-Cell Lymphoma? A Rare Case of Simultaneous Neoplastic T-Cell Clones Highlighted by Flow Cytometry and Review of Literature
Abstract
1. Introduction
2. Material and Methods
2.1. Flow Cytometry
2.2. Morphology and Immunohistochemistry (IHC)
3. Results
3.1. November 2014–February 2018 (Other Institute)
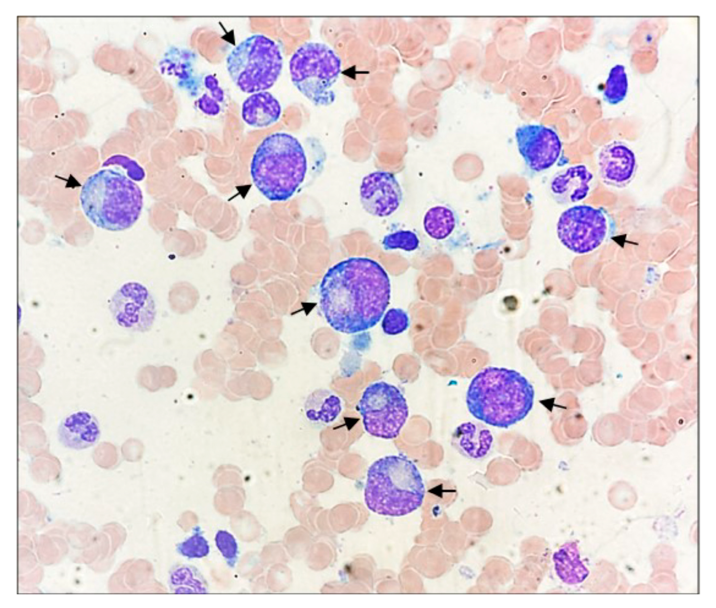
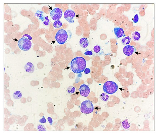
3.2. April 2018–June 2018 (Our Institute)
4. Discussion
5. Conclusions
Author Contributions
Funding
Institutional Review Board Statement
Informed Consent Statement
Data Availability Statement
Conflicts of Interest
References
- Park, S.H.; Lee, Y.J.; Kim, Y.; Kim, H.K.; Lim, J.H.; Jo, J.C. T-large granular lymphocytic leukemia. Blood Res. 2023, 58, S52–S57. [Google Scholar] [CrossRef]
- Alaggio, R.; Amador, C.; Anagnostopoulos, I.; Attygalle, A.D.; de Oliveira Araujo, I.B.; Berti, E.; Bhagat, G.; Borges, A.M.; Boyer, D.; Calaminici, M.; et al. The 5th edition of the World Health Organization Classification of Haematolymphoid Tumours: Lymphoid Neoplasms. Leukemia 2022, 36, 1720–1748. [Google Scholar] [CrossRef] [PubMed]
- Campo, E.; Jaffe, E.S.; Cook, J.R.; Quintanilla-Martinez, L.; Swerdlow, S.H.; Anderson, K.C.; Brousset, P.; Cerroni, L.; de Leval, L.; Dirnhofer, S.; et al. The International Consensus Classification of Mature Lymphoid Neoplasms: A report from the Clinical Advisory Committee. Blood 2022, 140, 1229–1253. [Google Scholar] [CrossRef] [PubMed]
- Drillet, G.; Pastoret, C.; Moignet, A.; Lamy, T.; Marchand, T. Large granular lymphocyte leukemia: An indolent clonal proliferative disease associated with an array of various immunologic disorders. Rev. Med. Interne 2023, 44, 295–306. [Google Scholar] [CrossRef] [PubMed]
- Rahul, E.; Ningombam, A.; Acharya, S.; Tanwar, P.; Ranjan, A.; Chopra, A. Large granular lymphocytic leukemia: A brief review. Am. J. Blood Res. 2022, 12, 17–32. [Google Scholar] [PubMed]
- Schreiber, J.; Pichler, A.; Kornauth, C.; Kaufmann, H.; Staber, P.B.; Hopfinger, G. T-Cell Large Granular Lymphocyte Leukemia: An Interdisciplinary Issue? Front. Oncol. 2022, 12, 805449. [Google Scholar] [CrossRef] [PubMed]
- Giudice, V.; D’Addona, M.; Montuori, N.; Selleri, C. The Value of Flow Cytometry Clonality in Large Granular Lymphocyte Leukemia. Cancers 2021, 13, 4513. [Google Scholar] [CrossRef] [PubMed]
- Gaudio, F.; Masciopinto, P.; Bellitti, E.; Musto, P.; Arcuti, E.; Battisti, O.; Cazzato, G.; Solombrino, A.; Laddaga, F.E.; Specchia, G.; et al. Molecular Features and Diagnostic Challenges in Alpha/Beta T-Cell Large Granular Lymphocyte Leukemia. Int. J. Mol. Sci. 2022, 23, 13392. [Google Scholar] [CrossRef] [PubMed]
- Statuto, T.; Valvano, L.; Calice, G.; Villani, O.; Pietrantuono, G.; Mansueto, G.; D’Arena, G.; Vita, G.; Lalinga, V.; Possidente, L.; et al. Cytofluorimetric and immunohistochemical comparison for detecting bone marrow infiltration in non-Hodgkin lymphomas: A study of 354 patients. Leuk. Res. 2020, 88, 106267. [Google Scholar] [CrossRef] [PubMed]
- Feng, B.; Jorgensen, J.L.; Hu, Y.; Medeiros, L.J.; Wang, S.A. TCR-Vbeta flow cytometric analysis of peripheral blood for assessing clonality and disease burden in patients with T cell large granular lymphocyte leukaemia. J. Clin. Pathol. 2010, 63, 141–146. [Google Scholar] [CrossRef] [PubMed]
- Semenzato, G.; Calabretto, G.; Barilà, G.; Gasparini, V.R.; Teramo, A.; Zambello, R. Not all LGL leukemias are created equal. Blood Rev. 2023, 60, 101058. [Google Scholar] [CrossRef]
- Lamy, T.; Moignet, A.; Loughran, T.P. LGL Leukemia: From Pathogenesis to Treatment. Blood 2017, 129, 1082–1094. [Google Scholar] [CrossRef]
- Chen, Y.H.; Chadburn, A.; Evens, A.M.; Winter, J.N.; Gordon, L.I.; Chenn, A.; Goolsby, C.; Peterson, L. Clinical, Morphologic, Immunophenotypic, and Molecular Cytogenetic Assessment of CD4–/CD8– γδ T-Cell Large Granular Lymphocytic Leukemia. Am. J. Clin. Pathol. 2011, 136, 289–299. [Google Scholar] [CrossRef] [PubMed]
- O’Keefe, C.L.; Plasilova, M.; Wlodarski, M.; Risitano, A.M.; Rodriguez, A.R.; Howe, E.; Young, N.S.; His, E.; Maciejewski, J.P. Molecular Analysis of TCR Clonotypes in LGL: A Clonal Model for Polyclonal Responses. J. Immunol. 2004, 172, 1960–1969. [Google Scholar] [CrossRef] [PubMed]
- Neff, J.L.; Rangan, A.; Jevremovic, D.; Nguyen, P.L.; Chiu, A.; Go, R.S.; Chen, D.; Morice, W.G.; Shi, M. Mixed-phenotype large granular lymphocytic leukemia: A rare subtype in the large granular lymphocytic leukemia spectrum. Hum. Pathol. 2018, 81, 96–104. [Google Scholar] [CrossRef] [PubMed]
- Barilà, G.; Teramo, A.; Calabretto, G.; Vicenzetto, C.; Gasparini, V.R.; Pavan, L.; Leoncin, M.; Vedovato, S.; Frigo, A.C.; Facco, M.; et al. Affiliations expandStat3 mutations impact on overall survival in large granular lymphocyte leukemia: A single-center experience of 205 patients. Leukemia 2020, 34, 1116–1124. [Google Scholar] [CrossRef]
- Ai, K.; Li, M.; Wu, P.; Deng, C.; Huang, X.; Ling, W.; Xu, R.; Geng, S.; Sun, Q.; Weng, J.; et al. Concurrence of Myelodysplastic syndromes and large granular lymphocyte leukemia: Clinicopathological features, mutational profile and gene ontology analysis in a single center. Am. J. Cancer Res. 2021, 11, 1616–1631. [Google Scholar] [PubMed]
- Pflug, N.; Littauer, A.; Beverungen, D.; Sretenovic, A.; Wahnschaffe, L.; Braun, T.; Dechow, A.; Jungherz, D.; Otte, M.; Monecke, A.; et al. Case Report: Large Granular Lymphocyte Leukemia (LGLL)—A Case Series of Challenging Presentations. Front. Oncol. 2022, 11, 775313. [Google Scholar] [CrossRef] [PubMed]
- Clemente, M.J.; Wlodarski, M.W.; Makishima, H.; Viny, A.D.; Bretschneider, I.; Shaik, M.; Bejanyan, N.; Lichtin, A.E.; Hsi, E.D.; Paquette, R.L.; et al. Clonal drift demonstrates unexpected dynamics of the T-cell repertoire in T-large granular lymphocyte leukemia. Blood 2011, 118, 4384–4393. [Google Scholar] [CrossRef] [PubMed]
- Yabe, M.; Medeiros, L.J.; Wang, S.A.; Tang, G.; Bueso-Ramos, C.E.; Jorgensen, J.L.; Bhagat, G.; Chen, W.; Li, S.; Young, K.H.; et al. Distinguishing Between Hepatosplenic T-cell Lymphoma and γδ T-cell Large Granular Lymphocytic Leukemia. Am. J. Surg. Pathol. 2017, 41, 82–93. [Google Scholar] [CrossRef] [PubMed]
- Ok, C.Y.; Yin, C.C.; Yabe, M.; Bueso-Ramos, C.E.; Miranda, R.N.; Medeiros, L.J.; Konoplev, S.N. Lymphoma with features intermediate between aggressive T-Large Granular Lymphocytic Leukemia and Hepatosplenic T-Cell Lymphoma: A diagnostic dilemma? Clin. Lymphoma Myeloma Leuk. 2014, 14, e95–e100. [Google Scholar] [CrossRef] [PubMed]
- Pro, B.; Allen, P.; Behdad, A. Hepatosplenic T-cell lymphoma: A rare but challenging entity. Blood 2020, 136, 2018–2026. [Google Scholar] [CrossRef] [PubMed]
- Chowdhury, Z.; Khonglah, Y.; Raphael, V.; Kalita, P.; Das, U. Hepatosplenic T Cell Lymphoma: Diagnostic Conundrum. Int. J. Hematol. Oncol. Stem Cell Res. 2022, 16, 66–73. [Google Scholar] [CrossRef] [PubMed]
- Yabe, M.; Medeiros, L.J.; Tang, G.; Wang, S.A.; Ahmed, S.; Nieto, Y.; Hu, S.; Bhagat, G.; Oki, Y.; Patel, K.P.; et al. Prognostic factors of hepatosplenic T-cell lymphoma (HSTCL): A clinicopathologic, immunophenotypic, and cytogenetic analysis of 28 patients. Am. J. Surg. Pathol. 2016, 40, 676–688. [Google Scholar] [CrossRef] [PubMed]
- Vinh An, D.T.; Anh, L.L.; Tung, N.T. T-Cell Large Granular Lymphocytic Leukemia: A First Case Report Diagnosed by Flow Cytometry in Vietnam. Cureus 2021, 13, e20249. [Google Scholar] [CrossRef]
- Yabe, M.; Miranda, R.N.; Medeiros, L.J. Hepatosplenic T-cell Lymphoma: A review of clinicopathologic features, pathogenesis, and prognostic factors. Hum Pathol. 2018, 74, 5–16. [Google Scholar] [CrossRef] [PubMed]
- Gorodetskiy, V.; Probatova, N.; Sidorova, Y.; Kupryshina, N.; Obukhova, T.; Vasilyev, V.; Ryzhikova, N.; Sudarikov, A. The non-leukemic T cell large granular lymphocytic leukemia variant with marked splenomegaly and neutropenia in the setting of rheumatoid arthritis-felty syndrome and hepatosplenic T cell lymphoma mask. Am. J. Blood Res. 2021, 11, 227–237. [Google Scholar] [PubMed]


| Antigen | |||||||||||||||
|---|---|---|---|---|---|---|---|---|---|---|---|---|---|---|---|
| TCR | CD3 | CD4 | CD8 | CD2 | CD5 | CD7 | CD10 | CD45 | CD16 | CD56 | CD57 | CD1a | Vβ Restriction | ||
| 2014 | PB | + | + | − | − | − | |||||||||
| BM aspirate | + | + | − | + | + | + | +/− | + | + | + | − | ||||
| 2017 | PB | + | + | +/− | − | + dim | − | ||||||||
| 2018 | BM aspirate | αβ | + | − | + | LD | LD | − | + * | Vβ 21.3 | |||||
| γδ | + | − | + | − | ID | − | +/− ** | not applicable | |||||||
| Our Case | Case 1 [15] | Case 2 [15] | Case 3 [15] | Case 4 [15] | Case 5 [15] | Case 6 [18] | Case 7 [17] | |
|---|---|---|---|---|---|---|---|---|
| Patient Characteristics and Clinical Findings | ||||||||
| Age (year)/sex | 55/M | 79/M | 67/F | 68/M | 72/F | 73/F | 69/M | 47/M |
| Splenomegaly | Yes | No | No | No | Yes | Yes | Yes | NA |
| Lymphadenopathy | Yes | NA | NA | NA | NA | NA | NA | NA |
| Autoimmunity | No | No | No | Polymyalgia rheumatica | Mixed connective tissue disease | Mixed connective tissue disease | Ulcerative colitis; Positive Coombs test | NA |
| Hepatic disorders | Chronic hepatopathy (HBV neg, HCV neg) | NA | NA | NA | NA | NA | No | NA |
| Other neoplasm | No | Prostate carcinoma | No | PCN | B-cell lymphoma | CLL; PCN | No | MDS-MLD |
| Hematologic findings | ||||||||
| Anemia | Yes | Yes | No | Yes | Yes | No | Yes | Yes |
| Hb value (g/dL) | 6 | 10 | 12.7 | 10.4 | 10.1 | 13 | 10.9 | 7.5 |
| Lymphocytosis | Yes | Yes | No | Yes | Yes | Yes | Yes | No |
| Neutropenia | Yes | No | Yes | No | No | Yes | Yes | Yes |
| Thrombocytopenia | No | No | No | No | Yes | No | No | Yes |
| Morphologic and molecular features | ||||||||
| BM involvement (%) | 80% (2014); 35–40% (2018) | 40% | 10% | 30% | 50% | 20% | NA | 63% |
| TCR gene rearrangement | Clonal | Clonal | Clonal | Clonal | Clonal | Clonal | No | Clonal |
| Therapy and Clinical course | ||||||||
| Therapy | CHOP + MTX; CPA + PDN; CyA | MTX; CPA + PDN | None | CPA | CPA | PDN + GCSF + HCQ | MTX; Fludarabine; PDN; CyA; Prednisolone | NA |
| Clinical outcome | Died | No response; progressive cytopenias | Progressive neutopenia | CR for 5 years; then recurrence anemia | CR for 3 years; then recurrence thrombocytopenia and lymphocytosis | PR | CR | NA |
| Antigen | |||||||||||||
|---|---|---|---|---|---|---|---|---|---|---|---|---|---|
| TCR | CD3 | CD8 | CD2 | CD5 | CD7 | CD16 | CD57 | CD94 | KIR Restriction | Vβ Restriction | % Lym | Ref. | |
| Our case | αβ | + | + | dim | dim | + | Vβ 21.3 | 18.5 | |||||
| γδ | + | + | − | +/− | + | 26.5 | |||||||
| Case 1 | αβ | + | + | − | dim | + | + | 77 | [15] | ||||
| γδ | dim | dim | dim | + | +/− | CD158a | 14 | ||||||
| Case 2 | αβ | + | + | − | dim | +/− | 21 | ||||||
| γδ | + | dim | +/− | + | +/− | +/− | 32 | ||||||
| Case 3 | αβ | + | + | dim | +/− | +/− | +/− | 85 | |||||
| γδ | + | dim | +/− | + | +/− | CD158b | 5 | ||||||
| Case 4 | αβ | + | + | +/− | +/− | Vβ13.2 | 11 | ||||||
| γδ | + | dim | dim | dim | +/− | + | 71 | ||||||
| Case 5 | αβ | + | + | − | +/− | +/− | 67 | ||||||
| γδ | + | dim | − | + | + | 5 | |||||||
| Case 6 (PB) | αβ | + | + | dim | dim | 74 | [18] | ||||||
| γδ | + | − | + | 16 | |||||||||
| Case Report (Years) | T-LGLL | HSTCL | |
|---|---|---|---|
| Patient Characteristics and Clinical Findings | |||
| Age (year)/sex | 55/M | 45–75/No predilection [8,25] | 35/M < F [21,26] |
| Initial symptoms | No | Fatigue (20–30%), Infection (15–39%), Asymptomatic cytopenia, Autoimmune disorders (15–40%), B symptoms (20–30%) [1,6] | B symptoms, cytopenia [22] |
| Splenomegaly | Yes (since 2014) | Yes (25–50%) [1] | Yes (97–100%) [22] |
| Lymphadenopathy | Yes (since 2014) | Yes (very rare) [1] | Non common (15%) [21] |
| Autoimmunity | No | Yes (15–40%) [8]: Lupus erythematosus, RA, Sjögren’s syndrome, autoimmune thyroid disorders, coagulopathy, and IBM [1,8] | Non common (2–27%) [22] |
| Hepatic disorders | Chronic hepatopathy (HBV neg, HCV neg; since 2017) | Hepatomegaly (very rare) [1] | Hepatomegaly (40–80%) [22] |
| Hypertension | arterial (since 2017) | pulmonary artery hypertension [1] | NA |
| Hematologic findings | |||
| Anemia | Yes (since 2014) | Yes (10–30%) [6] | Yes (73–84%) [22] |
| Hb value (g/dL) | 6 | <11 (24–40%) [8] <8 (6–22%) [8] | NA |
| Lymphocytosis | Yes (since 2009) | Yes (50%) [6] | Non common [26] |
| Neutropenia | Yes (2018) | Yes (50%) [1,8] | Yes (36–85%) [22] |
| Thrombocytopenia | No | Yes (<25%) [6] | Yes (45–95%) [22] |
| Morphologic features | |||
| PB lymphocytes | Small granulated, some of these hand mirror | Large and granulated [1,6,8,22] | Small, intermediate, or large devoid of azurophilic granules [22] |
| BM involvement (%) | 80% (2014) 35–40% (2018) | <50% [1] | Yes (% NA) |
| Splenic involvement | NA | Yes | Yes [22] |
| Molecular and genetic data | |||
| TCR gene rearrangement | Clonal | Clonal [21] | Clonal [21] |
| Genomic features | NA | Gene mutations in JAK/STAT pathway: STAT3 (30–40%), STAT5b (2%) [6,8] | Isochromosome 7q (25–70%) trisomy 8 (8–53%) [22] Gene mutations in JAK/STAT pathway: STAT3 (9–9.5%), STAT5B (31–33%) [26] |
| Therapy and Clinical course | |||
| Therapy | CHOP + MTX (2014), CPA + PDN (2014–2015 and since march 2018), CyA (2015–February 2018), CHOP (April–May 2018) | MTX; CPA (50–100 mg per day, OR), CyA (3 mg/kg per day orally), Purina analogs (second line therapy) [1] | CHOP/CHOP-like regimens; CPA/PDN followed by allogeneic or autologous transplantation [22] |
| Clinical course | Died (June 2018) | Indolent [1,8] | Aggressive |
Disclaimer/Publisher’s Note: The statements, opinions and data contained in all publications are solely those of the individual author(s) and contributor(s) and not of MDPI and/or the editor(s). MDPI and/or the editor(s) disclaim responsibility for any injury to people or property resulting from any ideas, methods, instructions or products referred to in the content. |
© 2024 by the authors. Licensee MDPI, Basel, Switzerland. This article is an open access article distributed under the terms and conditions of the Creative Commons Attribution (CC BY) license (https://creativecommons.org/licenses/by/4.0/).
Share and Cite
Libonati, R.; Soda, M.; Statuto, T.; Valvano, L.; D’Auria, F.; D’Arena, G.; Pietrantuono, G.; Villani, O.; Mansueto, G.R.; D’Agostino, S.; et al. T-Large Granular Lymphocytic Leukemia with Hepatosplenic T-Cell Lymphoma? A Rare Case of Simultaneous Neoplastic T-Cell Clones Highlighted by Flow Cytometry and Review of Literature. Biomedicines 2024, 12, 993. https://doi.org/10.3390/biomedicines12050993
Libonati R, Soda M, Statuto T, Valvano L, D’Auria F, D’Arena G, Pietrantuono G, Villani O, Mansueto GR, D’Agostino S, et al. T-Large Granular Lymphocytic Leukemia with Hepatosplenic T-Cell Lymphoma? A Rare Case of Simultaneous Neoplastic T-Cell Clones Highlighted by Flow Cytometry and Review of Literature. Biomedicines. 2024; 12(5):993. https://doi.org/10.3390/biomedicines12050993
Chicago/Turabian StyleLibonati, Rossana, Michela Soda, Teodora Statuto, Luciana Valvano, Fiorella D’Auria, Giovanni D’Arena, Giuseppe Pietrantuono, Oreste Villani, Giovanna Rosaria Mansueto, Simona D’Agostino, and et al. 2024. "T-Large Granular Lymphocytic Leukemia with Hepatosplenic T-Cell Lymphoma? A Rare Case of Simultaneous Neoplastic T-Cell Clones Highlighted by Flow Cytometry and Review of Literature" Biomedicines 12, no. 5: 993. https://doi.org/10.3390/biomedicines12050993
APA StyleLibonati, R., Soda, M., Statuto, T., Valvano, L., D’Auria, F., D’Arena, G., Pietrantuono, G., Villani, O., Mansueto, G. R., D’Agostino, S., Di Somma, M. D., Telesca, A., & Vilella, R. (2024). T-Large Granular Lymphocytic Leukemia with Hepatosplenic T-Cell Lymphoma? A Rare Case of Simultaneous Neoplastic T-Cell Clones Highlighted by Flow Cytometry and Review of Literature. Biomedicines, 12(5), 993. https://doi.org/10.3390/biomedicines12050993

