Insights into Kidney Dysplasia in Duplex Kidneys: From Radiologic Diagnosis to Histopathologic Understanding
Abstract
1. Introduction
2. Materials and Methods
2.1. Ultrasound
2.2. MRI Examination Analysis
2.3. Pathomorphological Analysis
2.4. Statistics
3. Results
3.1. Ultrasound
3.2. Magnetic Resonance Urography
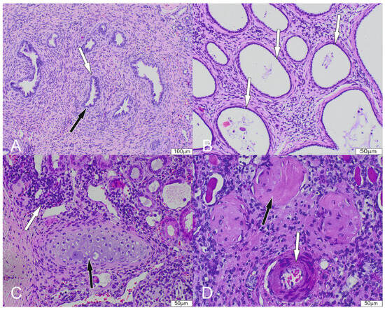
3.3. Histopathology
4. Discussion
Limitations
5. Conclusions
Supplementary Materials
Author Contributions
Funding
Institutional Review Board Statement
Informed Consent Statement
Data Availability Statement
Conflicts of Interest
References
- North American Pediatric Renal Transplant Cooperative Study (NAPRTCS). 2008 Annual Report; NAPRTCS: Rockville, MD, USA, 2008. [Google Scholar]
- Harambat, J.; Van Stralen, K.J.; Kim, J.J.; Tizard, E.J. Epidemiology of Chronic Kidney Disease in Children. Pediatr. Nephrol. 2012, 27, 363–373. [Google Scholar] [CrossRef] [PubMed]
- Atwell, J.D.; Gartell, P.C.; MacIver, A.G. Renal Dysplasia and Duplex Kidneys. Eur. Urol. 1983, 9, 56–68. [Google Scholar] [CrossRef]
- Bonsib, S.M. The Classification of Renal Cystic Diseases and Other Congenital Malformations of the Kidney and Urinary Tract. Arch. Pathol. Lab. Med. 2010, 134, 554–568. [Google Scholar] [CrossRef] [PubMed]
- Chen, R.Y.; Chang, H. Renal Dysplasia. Arch. Pathol. Lab. Med. 2015, 139, 547–551. [Google Scholar] [CrossRef]
- Kakkar, N.; Menon, S.; Radotra, B.D. Histomorphology of Renal Dysplasia—An Autopsy Study. Fetal Pediatr. Pathol. 2006, 25, 73–86. [Google Scholar] [CrossRef] [PubMed]
- Kohl, S.; Avni, F.E.; Boor, P.; Capone, V.; Clapp, W.L.; De Palma, D.; Harris, T.; Heidet, L.; Hilger, A.C.; Liapis, H.; et al. Definition, Diagnosis and Clinical Management of Non-Obstructive Kidney Dysplasia: A Consensus Statement by the ERKNet Working Group on Kidney Malformations. Nephrol. Dial. Transplant. 2022, 37, 2351–2362. [Google Scholar] [CrossRef]
- Montini, G.; Busutti, M.; Yalcinkaya, F.; Woolf, A.S.; Weber, S. A Questionnaire Survey of Radiological Diagnosis and Management of Renal Dysplasia in Children. J. Nephrol. 2018, 31, 95–102. [Google Scholar] [CrossRef] [PubMed]
- Riccabona, M.; Ring, E.; Avni, F. Imaging in Renal Agenesis, Dysplasia, Hypoplasia, and Cystic Diseases of the Kidney. In Medical Radiology; Springer: Cham, Switzerland, 2018; pp. 553–577. [Google Scholar]
- Viteri, B.; Calle-Toro, J.S.; Furth, S.; Darge, K.; Hartung, E.A.; Otero, H. State-of-the-Art Renal Imaging in Children. Pediatrics 2020, 145, e20190829. [Google Scholar] [CrossRef]
- Kirsch, H.; Krüger, P.-C.; John-Kroegel, U.; Waginger, M.; Mentzel, H.-J. Functional MR Urography in Children—Update 2023. In RöFo-Fortschritte auf dem Gebiet der Röntgenstrahlen und der Bildgebenden Verfahren; Georg Thieme Verlag KG: Leipzig, Germany, 2023. [Google Scholar] [CrossRef]
- Khrichenko, D.; Darge, K. Functional Analysis in MR Urography—Made Simple. Pediatr. Radiol. 2010, 40, 182–199. [Google Scholar] [CrossRef]
- Bolduc, S.; Upadhyay, J.; Restrepo, R.; Sherman, C.; Farhat, W.; Bägli, D.J.; McLorie, G.A.; Khoury, A.E.; El Ghoneimi, A. The Predictive Value of Diagnostic Imaging for Histological Lesions of the Upper Poles in Duplex Systems with Ureteroceles. BJU Int. 2003, 91, 678–682. [Google Scholar] [CrossRef]
- Gimpel, C.; Avni, E.F.; Breysem, L.; Burgmaier, K.; Caroli, A.; Cetiner, M.; Haffner, D.; Hartung, E.A.; Franke, D.; König, J.; et al. Imaging of Kidney Cysts and Cystic Kidney Diseases in Children: An International Working Group Consensus Statement. Radiology 2019, 290, 769–782. [Google Scholar] [CrossRef] [PubMed]
- Świȩtoń, D.; Grzywińska, M.; Czarniak, P.; Gołȩbiewski, A.; Durawa, A.; Teodorczyk, J.; Kaszubowski, M.; Piskunowicz, M. The Emerging Role of MR Urography in Imaging Megaureters in Children. Front. Pediatr. 2022, 10, 839128. [Google Scholar] [CrossRef] [PubMed]
- Smakal, O.; Sarapatka, J.; Hartmann, I.; Vencalek, O.; Flogelova, H.; Koranda, P.; Student, V. Can Renal Ultrasonography and DMSA Scintigraphy Be Used for the Prediction of Irreversible Histological Lesions of the Upper Pole in Duplex System with Ureteroceles or Ectopic Ureters? Biomed. Pap. 2016, 160, 429–434. [Google Scholar] [CrossRef]
- Viteri, B.; Calle-Toro, J.S.; Ballester, L.; Darge, K.; Furth, S.; Khrichenko, D.; Van Batavia, J.; Otero, H. Potential Benefits of Functional Magnetic Resonance Urography (FMRU) over MAG3 Renal Scan in Children with Obstructive Uropathy. J. Pediatr. Urol. 2021, 17, 659.e1–659.e7. [Google Scholar] [CrossRef]
- Arena, F.; Nicotina, P.A.; Cruccetti, A.; Centonze, A.; Arena, S.; Romeo, G. Can Histologic Changes of the Upper Pole Justify a Conservative Approach in Neonatal Duplex Ectopic Ureterocele? Pediatr. Surg. Int. 2002, 18, 681–684. [Google Scholar] [CrossRef]
- Grande, M.T.; Pérez-Barriocanal, F.; López-Novoa, J.M. Role of Inflammation in Túbulo-Interstitial Damage Associated to Obstructive Nephropathy. J. Inflamm. 2010, 7, 19. [Google Scholar] [CrossRef] [PubMed]
- Meneghesso, D.; Castagnetti, M.; Della Vella, M.; Benetti, E.; Zucchetta, P.; Rigamonti, W.; Murer, L. Clinico-Pathological Correlation in Duplex System Ectopic Ureters and Ureteroceles: Can Preoperative Work-up Predict Renal Histology? Pediatr. Surg. Int. 2012, 28, 309–314. [Google Scholar] [CrossRef]
- Bolduc, S.; Upadhyay, J.; Sherman, C.; Farhat, W.; Bägli, D.J.; Mclorie, G.A.; Khoury, A.E.; El-Ghoneimi, A. Histology of Upper Pole Is Unaffected by Prenatal Diagnosis in Duplex System Ureteroceles. J. Urol. 2002, 168, 1123–1126. [Google Scholar] [CrossRef] [PubMed]
- Doery, A.J.; Ang, E.; Ditchfield, M.R. Duplex Kidney: Not Just a Drooping Lily. J. Med. Imaging Radiat. Oncol. 2015, 59, 149–153. [Google Scholar] [CrossRef]
- Wu, C.; Ji, F.; Zhang, H.; Yao, Z.; Li, L.; Yan, B. Treatment for Complete Bilateral Duplex Kidneys with Severe Hydronephrosis and Ureterectasis of the Upper Moiety in a Child: A Case Report and Literature Review. Front. Surg. 2022, 9, 1019161. [Google Scholar] [CrossRef]
- Dino, M.S.; Tefera, A.T.; Gebreselassie, K.H.; Akkasa, S.S.; Mummed, F.O. Complete Duplex of the Left Ureter with Lower Moiety Hydronephrosis Secondary to Ureteral Stone in Adult. Case Rep. Urol. 2022, 2022, 6552889. [Google Scholar] [CrossRef] [PubMed]






| Patient Number | Age (months) | Resected Pole | Ectopic Ureter | Ureterocele | Vesicoureteral Reflux | Recurrent UTI | DRF of the Resected Pole * | DRF of the Remnant Pole of the Operated Kidney * |
|---|---|---|---|---|---|---|---|---|
| 1 | 9 | Right upper | No | Yes | Yes | Yes | 12.0% | 35.7% |
| 2 | 10 | Left upper | No | Yes | No | No | 11.0% | 30.0% |
| 3 | 18 | Left upper | Yes | No | No | No | n.d. | n.d. |
| 4 | 20 | Left lower | No | No | Yes | Yes | 2.6% | 37.0% |
| 5R | 13 | Right upper | No | No | No | No | 7.0% | 44.7% |
| 5L | 13 | Left upper | No | No | No | No | 6.6% | 41.0% |
| 6 | 14 | Left lower | No | No | Yes | Yes | 10.0% | 36.0% |
| 7 | 11 | Left upper | No | No | Yes | Yes | 9.0% | 33.3% |
| 8 | 8 | Right upper | Yes | No | No | Yes | 5.5% | 39.0% |
| 9 | 24 | Right lower | No | No | No | No | 13.0% | 19.3% |
| 10 | 44 | Right lower | No | No | Yes | No | n.d. | n.d. |
| 11LL | 57 | Left lower | No | No | Yes | Yes | n.d. | n.d. |
| 11LU | 19 | Left upper | No | Yes | No | Yes | n.d. | n.d. |
| 12 | 22 | Left upper | No | No | No | Yes | 3.0% | 39.0% |
| 13 | 19 | Left lower | No | No | Yes | Yes | n.d. | n.d. |
| 14 | 20 | Left upper | Yes | No | No | No | 8.0% | 47.0% |
| 15 | 57 | Left upper | Yes | No | No | No | n.d. | n.d. |
| 16 | 216 | Right upper | No | Yes | No | Yes | 8.0% | 39.0% |
| 17 | 11 | Left upper | Yes | No | No | Yes | 5.5% | 38.0% |
| 18 | 16 | Left lower | No | No | Yes | No | 14.0% | 27.0% |
| 19 | 53 | Right upper | Yes | No | Yes | Yes | 3.9% | 38.8% |
| 20 | 7 | Left upper | Yes | No | Yes | Yes | n.d. | n.d. |
| 21R | 6 | Right upper | Yes | No | No | Yes | 14.0% | 36.5% |
| 21L | 6 | Left upper | Yes | No | No | Yes | 11.0% | 38.0% |
| Initials | Increased T2WI Signal of Renal Parenchyma in MRI | Increased Echogenicity of Renal Parenchyma in US | CMD * | Cysts | Residual Renal Urine Excretion in the Affected Pole in MRI ** | ||
|---|---|---|---|---|---|---|---|
| MRI | US | MRI | US | ||||
| 1 | Yes | Yes | 1 | 0 | No | No | No |
| 2 | Yes | Yes | 1 | 1 | Yes | No | Yes |
| 3 | Yes | Yes | 1 | 1 | No | No | n.d. |
| 4 | Yes | No | 1 | 2 | No | No | Yes |
| 5R | Yes | Yes | 1 | 1 | Yes | No | No |
| 5L | Yes | Yes | 1 | 0 | No | No | Yes |
| 6 | Yes | Yes | 0 | 0 | No | No | Yes |
| 7 | No | Yes | 1 | 1 | Yes | No | Yes |
| 8 | Yes | No | 1 | 1 | Yes | No | No |
| 9 | Yes | Yes | 1 | 0 | No | No | Yes |
| 10 | Yes | Yes | 1 | 2 | No | No | n.d. |
| 11LL | No | Yes | 1 | 1 | No | No | n.d. |
| 11LU | No | Yes | 0 | 0 | Yes | Yes | n.d. |
| 12 | Yes | Yes | 1 | 1 | Yes | No | Yes |
| 13 | Yes | No | 1 | 1 | Yes | No | n.d. |
| 14 | Yes | Yes | 1 | 0 | No | No | Yes |
| 15 | Yes | Yes | 1 | 0 | Yes | Yes | n.d. |
| 16 | Yes | Yes | 1 | 0 | No | No | Yes |
| 17 | Yes | No | 1 | 1 | Yes | No | Yes |
| 18 | Yes | Yes | 1 | 1 | No | No | Yes |
| 19 | Yes | No | 1 | 1 | No | No | No |
| 20 | Yes | No | 1 | 1 | No | No | n.d. |
| 21R | Yes | Yes | 2 | 2 | No | No | Yes |
| 21L | Yes | Yes | 2 | 2 | No | No | Yes |
Disclaimer/Publisher’s Note: The statements, opinions and data contained in all publications are solely those of the individual author(s) and contributor(s) and not of MDPI and/or the editor(s). MDPI and/or the editor(s) disclaim responsibility for any injury to people or property resulting from any ideas, methods, instructions or products referred to in the content. |
© 2024 by the authors. Licensee MDPI, Basel, Switzerland. This article is an open access article distributed under the terms and conditions of the Creative Commons Attribution (CC BY) license (https://creativecommons.org/licenses/by/4.0/).
Share and Cite
Świętoń, D.; Buczkowski, K.; Czarniak, P.; Gołębiewski, A.; Grzywińska, M.; Kujawa, M.J.; Back, S.J.; Piskunowicz, M.; Iżycka-Świeszewska, E. Insights into Kidney Dysplasia in Duplex Kidneys: From Radiologic Diagnosis to Histopathologic Understanding. Biomedicines 2024, 12, 1126. https://doi.org/10.3390/biomedicines12051126
Świętoń D, Buczkowski K, Czarniak P, Gołębiewski A, Grzywińska M, Kujawa MJ, Back SJ, Piskunowicz M, Iżycka-Świeszewska E. Insights into Kidney Dysplasia in Duplex Kidneys: From Radiologic Diagnosis to Histopathologic Understanding. Biomedicines. 2024; 12(5):1126. https://doi.org/10.3390/biomedicines12051126
Chicago/Turabian StyleŚwiętoń, Dominik, Kamil Buczkowski, Piotr Czarniak, Andrzej Gołębiewski, Małgorzata Grzywińska, Mariusz J. Kujawa, Susan J. Back, Maciej Piskunowicz, and Ewa Iżycka-Świeszewska. 2024. "Insights into Kidney Dysplasia in Duplex Kidneys: From Radiologic Diagnosis to Histopathologic Understanding" Biomedicines 12, no. 5: 1126. https://doi.org/10.3390/biomedicines12051126
APA StyleŚwiętoń, D., Buczkowski, K., Czarniak, P., Gołębiewski, A., Grzywińska, M., Kujawa, M. J., Back, S. J., Piskunowicz, M., & Iżycka-Świeszewska, E. (2024). Insights into Kidney Dysplasia in Duplex Kidneys: From Radiologic Diagnosis to Histopathologic Understanding. Biomedicines, 12(5), 1126. https://doi.org/10.3390/biomedicines12051126

