Amelioration of Dextran Sodium Sulfate-Induced Colitis in Mice through Oral Administration of Palmitoylethanolamide
Abstract
1. Introduction
2. Materials and Methods
2.1. Animals
2.2. Experimental Model
2.2.1. PEA Phytosome Preparation
2.2.2. Experimental Groups
- Water + no treatment;
- DSS + no treatment;
- Water + PEA (123 mg/kg, p.o., OD);
- Water + PEA (123 mg/kg, p.o., BID);
- DSS + PEA (123 mg/kg, p.o., OD);
- DSS + PEA (123 mg/kg, p.o., BID).
2.3. Tissue Processing and Histology
2.4. Intravital Microscopy (IVM) of Mouse Colon
2.5. Statistical Analysis
3. Results
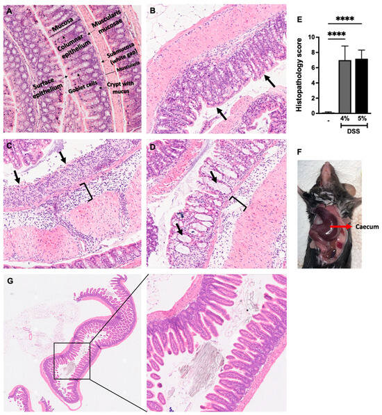
3.1. Mice Administered Dextran Sodium Sulfate (DSS) Exhibit Clinical Signs of Ulcerative Colitis
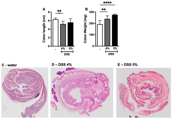
3.2. DSS Administration Decreases Colon Length and Increases Colon Weight
3.3. DSS Administration Increases Colonic Leukocyte Recruitment in Mice
3.4. PEA Administration Ameliorates Clinical Signs of DSS-Induced Colitis in Mice
3.5. PEA Treatment Did Not Attenuate DSS-Induced Decrease in Colon Length and Increase in Colon Weight
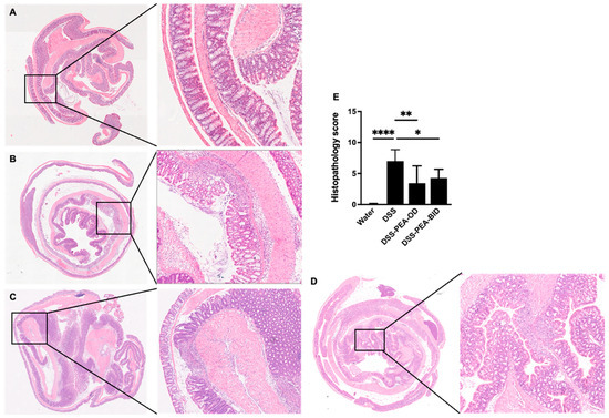
3.6. PEA Treatment Partially Reverses the DSS-Induced Histopathological Changes in the Colon
3.7. PEA Treatment Reduces Leukocyte Recruitment in Mouse Colons in DSS-Induced Colitis
4. Discussion
5. Conclusions and Future Direction
Supplementary Materials
Author Contributions
Funding
Institutional Review Board Statement
Informed Consent Statement
Data Availability Statement
Conflicts of Interest
References
- Zhang, Y.-Z.; Li, Y.-Y. Inflammatory Bowel Disease: Pathogenesis. World J. Gastroenterol. 2014, 20, 91–99. [Google Scholar] [CrossRef] [PubMed]
- Ahluwalia, B.; Moraes, L.; Magnusson, M.K.; Öhman, L. Immunopathogenesis of Inflammatory Bowel Disease and Mechanisms of Biological Therapies. Scand. J. Gastroenterol. 2018, 53, 379–389. [Google Scholar] [CrossRef] [PubMed]
- Kaur, A.; Goggolidou, P. Ulcerative Colitis: Understanding Its Cellular Pathology Could Provide Insights into Novel Therapies. J. Inflamm. 2020, 17, 15. [Google Scholar] [CrossRef] [PubMed]
- Dendrinos, K.; Cerda, S.; Farraye, F.A. The “Cecal Patch” in Patients with Ulcerative Colitis. Gastrointest. Endosc. 2008, 68, 1006–1007, discussion 1007. [Google Scholar] [CrossRef] [PubMed]
- Stevens, C.; Walz, G.; Singaram, C.; Lipman, M.L.; Zanker, B.; Muggia, A.; Antonioli, D.; Peppercorn, M.A.; Strom, T.B. Tumor Necrosis Factor-Alpha, Interleukin-1 Beta, and Interleukin-6 Expression in Inflammatory Bowel Disease. Dig. Dis. Sci. 1992, 37, 818–826. [Google Scholar] [CrossRef] [PubMed]
- Thomas, S.; Baumgart, D.C. Targeting Leukocyte Migration and Adhesion in Crohn’s Disease and Ulcerative Colitis. Inflammopharmacology 2012, 20, 1–18. [Google Scholar] [CrossRef] [PubMed]
- Abdelbaqi, M.; Chidlow, J.H.; Matthews, K.M.; Pavlick, K.P.; Barlow, S.C.; Linscott, A.J.; Grisham, M.B.; Fowler, M.R.; Kevil, C.G. Regulation of Dextran Sodium Sulfate Induced Colitis by Leukocyte Beta 2 Integrins. Lab. Investig. 2006, 86, 380–390. [Google Scholar] [CrossRef]
- Ley, K.; Laudanna, C.; Cybulsky, M.I.; Nourshargh, S. Getting to the Site of Inflammation: The Leukocyte Adhesion Cascade Updated. Nat. Rev. Immunol. 2007, 7, 678–689. [Google Scholar] [CrossRef] [PubMed]
- Pugliese, D.; Felice, C.; Papa, A.; Gasbarrini, A.; Rapaccini, G.L.; Guidi, L.; Armuzzi, A. Anti TNF-α Therapy for Ulcerative Colitis: Current Status and Prospects for the Future. Expert. Rev. Clin. Immunol. 2017, 13, 223–233. [Google Scholar] [CrossRef]
- Li, J.; Zhang, Z.; Wu, X.; Zhou, J.; Meng, D.; Zhu, P. Risk of Adverse Events After Anti-TNF Treatment for Inflammatory Rheumatological Disease. A Meta-Analysis. Front. Pharmacol. 2021, 12, 746396. [Google Scholar] [CrossRef]
- Petrosino, S.; Iuvone, T.; Di Marzo, V. N-Palmitoyl-Ethanolamine: Biochemistry and New Therapeutic Opportunities. Biochimie 2010, 92, 724–727. [Google Scholar] [CrossRef] [PubMed]
- De Petrocellis, L.; Bisogno, T.; Ligresti, A.; Bifulco, M.; Melck, D.; Di Marzo, V. Effect on Cancer Cell Proliferation of Palmitoylethanolamide, a Fatty Acid Amide Interacting with Both the Cannabinoid and Vanilloid Signalling Systems. Fundam. Clin. Pharmacol. 2002, 16, 297–302. [Google Scholar] [CrossRef] [PubMed]
- Ambrosino, P.; Soldovieri, M.V.; Russo, C.; Taglialatela, M. Activation and Desensitization of TRPV1 Channels in Sensory Neurons by the PPARα Agonist Palmitoylethanolamide. Br. J. Pharmacol. 2013, 168, 1430–1444. [Google Scholar] [CrossRef] [PubMed]
- Di Paola, R.; Impellizzeri, D.; Torre, A.; Mazzon, E.; Cappellani, A.; Faggio, C.; Esposito, E.; Trischitta, F.; Cuzzocrea, S. Effects of Palmitoylethanolamide on Intestinal Injury and Inflammation Caused by Ischemia-Reperfusion in Mice. J. Leukoc. Biol. 2012, 91, 911–920. [Google Scholar] [CrossRef] [PubMed]
- Lo Verme, J.; Fu, J.; Astarita, G.; La Rana, G.; Russo, R.; Calignano, A.; Piomelli, D. The Nuclear Receptor Peroxisome Proliferator-Activated Receptor-Alpha Mediates the Anti-Inflammatory Actions of Palmitoylethanolamide. Mol. Pharmacol. 2005, 67, 15–19. [Google Scholar] [CrossRef] [PubMed]
- Musella, A.; Fresegna, D.; Rizzo, F.R.; Gentile, A.; Bullitta, S.; De Vito, F.; Guadalupi, L.; Centonze, D.; Mandolesi, G. A Novel Crosstalk within the Endocannabinoid System Controls GABA Transmission in the Striatum. Sci. Rep. 2017, 7, 7363. [Google Scholar] [CrossRef] [PubMed]
- Capasso, R.; Izzo, A.A.; Fezza, F.; Pinto, A.; Capasso, F.; Mascolo, N.; Di Marzo, V. Inhibitory Effect of Palmitoylethanolamide on Gastrointestinal Motility in Mice. Br. J. Pharmacol. 2001, 134, 945–950. [Google Scholar] [CrossRef] [PubMed]
- Erben, U.; Loddenkemper, C.; Doerfel, K.; Spieckermann, S.; Haller, D.; Heimesaat, M.M.; Zeitz, M.; Siegmund, B.; Kühl, A.A. A Guide to Histomorphological Evaluation of Intestinal Inflammation in Mouse Models. Int. J. Clin. Exp. Pathol. 2014, 7, 4557–4576. [Google Scholar] [PubMed]
- Xu, X.; Lin, S.; Yang, Y.; Gong, X.; Tong, J.; Li, K.; Li, Y. Histological and Ultrastructural Changes of the Colon in Dextran Sodium Sulfate-Induced Mouse Colitis. Exp. Ther. Med. 2020, 20, 1987–1994. [Google Scholar] [CrossRef]
- Lehmann, C.; Götz, F.; Schuster, L.; Zhou, J. Improved Setup for Intestinal Intravital Microscopy in Mice—The “Floating Table”. Minerva Anestesiol. 2013, 79, 102–103. [Google Scholar]
- Schindelin, J.; Arganda-Carreras, I.; Frise, E.; Kaynig, V.; Longair, M.; Pietzsch, T.; Preibisch, S.; Rueden, C.; Saalfeld, S.; Schmid, B.; et al. Fiji: An Open-Source Platform for Biological-Image Analysis. Nat. Methods 2012, 9, 676–682. [Google Scholar] [CrossRef] [PubMed]
- Chassaing, B.; Aitken, J.D.; Malleshappa, M.; Vijay-Kumar, M. Dextran Sulfate Sodium (DSS)-Induced Colitis in Mice. Curr. Protoc. Immunol. 2014, 104, 15.25.1–15.25.14. [Google Scholar] [CrossRef]
- Laroui, H.; Ingersoll, S.A.; Liu, H.C.; Baker, M.T.; Ayyadurai, S.; Charania, M.A.; Laroui, F.; Yan, Y.; Sitaraman, S.V.; Merlin, D. Dextran Sodium Sulfate (DSS) Induces Colitis in Mice by Forming Nano-Lipocomplexes with Medium-Chain-Length Fatty Acids in the Colon. PLoS ONE 2012, 7, e32084. [Google Scholar] [CrossRef]
- Perše, M.; Cerar, A. Dextran Sodium Sulphate Colitis Mouse Model: Traps and Tricks. J. Biomed. Biotechnol. 2012, 2012, 718617. [Google Scholar] [CrossRef] [PubMed]
- Ahn, K.; Johnson, D.S.; Cravatt, B.F. Fatty Acid Amide Hydrolase as a Potential Therapeutic Target for the Treatment of Pain and CNS Disorders. Expert. Opin. Drug Discov. 2009, 4, 763–784. [Google Scholar] [CrossRef]
- Kelly, M.; Hwang, J.M.; Kubes, P. Modulating Leukocyte Recruitment in Inflammation. J. Allergy Clin. Immunol. 2007, 120, 3–10. [Google Scholar] [CrossRef] [PubMed]
- Goebel, S.; Huang, M.; Davis, W.C.; Jennings, M.; Siahaan, T.J.; Alexander, J.S.; Kevil, C.G. VEGF-A Stimulation of Leukocyte Adhesion to Colonic Microvascular Endothelium: Implications for Inflammatory Bowel Disease. Am. J. Physiol. Gastrointest. Liver Physiol. 2006, 290, G648–G654. [Google Scholar] [CrossRef]
- Bamias, G.; Clark, D.J.; Rivera-Nieves, J. Leukocyte Traffic Blockade as a Therapeutic Strategy in Inflammatory Bowel Disease. Curr. Drug Targets 2013, 14, 1490–1500. [Google Scholar] [CrossRef]
- Andresen, S.R.; Bing, J.; Hansen, R.M.; Biering-Sørensen, F.; Johannesen, I.L.; Hagen, E.M.; Rice, A.S.C.; Nielsen, J.F.; Bach, F.W.; Finnerup, N.B. Ultramicronized Palmitoylethanolamide in Spinal Cord Injury Neuropathic Pain: A Randomized, Double-Blind, Placebo-Controlled Trial. Pain 2016, 157, 2097–2103. [Google Scholar] [CrossRef]
- Noce, A.; Albanese, M.; Marrone, G.; Di Lauro, M.; Pietroboni Zaitseva, A.; Palazzetti, D.; Guerriero, C.; Paolino, A.; Pizzenti, G.; Di Daniele, F.; et al. Ultramicronized Palmitoylethanolamide (Um-PEA): A New Possible Adjuvant Treatment in COVID-19 Patients. Pharmaceuticals 2021, 14, 336. [Google Scholar] [CrossRef]
- Marcucci, M.; Germini, F.; Coerezza, A.; Andreinetti, L.; Bellintani, L.; Nobili, A.; Rossi, P.D.; Mari, D. Efficacy of Ultra-Micronized Palmitoylethanolamide (Um-PEA) in Geriatric Patients with Chronic Pain: Study Protocol for a Series of N-of-1 Randomized Trials. Trials 2016, 17, 369. [Google Scholar] [CrossRef] [PubMed]
- Rossi, G.C.M.; Scudeller, L.; Lumini, C.; Bettio, F.; Picasso, E.; Ruberto, G.; Briola, A.; Mirabile, A.; Paviglianiti, A.; Pasinetti, G.M.; et al. Effect of Palmitoylethanolamide on Inner Retinal Function in Glaucoma: A Randomized, Single Blind, Crossover, Clinical Trial by Pattern-Electroretinogram. Sci. Rep. 2020, 10, 10468. [Google Scholar] [CrossRef] [PubMed]
- Post, J.M.; Loch, S.; Lerner, R.; Remmers, F.; Lomazzo, E.; Lutz, B.; Bindila, L. Antiepileptogenic Effect of Subchronic Palmitoylethanolamide Treatment in a Mouse Model of Acute Epilepsy. Front. Mol. Neurosci. 2018, 11, 67. [Google Scholar] [CrossRef] [PubMed]
- Gatti, A.; Lazzari, M.; Gianfelice, V.; Di Paolo, A.; Sabato, E.; Sabato, A.F. Palmitoylethanolamide in the Treatment of Chronic Pain Caused by Different Etiopathogenesis. Pain. Med. 2012, 13, 1121–1130. [Google Scholar] [CrossRef] [PubMed]
- Cordaro, M.; Impellizzeri, D.; Gugliandolo, E.; Siracusa, R.; Crupi, R.; Esposito, E.; Cuzzocrea, S. Adelmidrol, a Palmitoylethanolamide Analogue, as a New Pharmacological Treatment for the Management of Inflammatory Bowel Disease. Mol. Pharmacol. 2016, 90, 549–561. [Google Scholar] [CrossRef] [PubMed]
- Esposito, G.; Capoccia, E.; Turco, F.; Palumbo, I.; Lu, J.; Steardo, A.; Cuomo, R.; Sarnelli, G.; Steardo, L. Palmitoylethanolamide Improves Colon Inflammation through an Enteric Glia/Toll like Receptor 4-Dependent PPAR-α Activation. Gut 2014, 63, 1300–1312. [Google Scholar] [CrossRef]
- Sarnelli, G.; D’Alessandro, A.; Iuvone, T.; Capoccia, E.; Gigli, S.; Pesce, M.; Seguella, L.; Nobile, N.; Aprea, G.; Maione, F.; et al. Palmitoylethanolamide Modulates Inflammation-Associated Vascular Endothelial Growth Factor (VEGF) Signaling via the Akt/mTOR Pathway in a Selective Peroxisome Proliferator-Activated Receptor Alpha (PPAR-α)-Dependent Manner. PLoS ONE 2016, 11, e0156198. [Google Scholar] [CrossRef] [PubMed]
- Borrelli, F.; Romano, B.; Petrosino, S.; Pagano, E.; Capasso, R.; Coppola, D.; Battista, G.; Orlando, P.; Di Marzo, V.; Izzo, A.A. Palmitoylethanolamide, a Naturally Occurring Lipid, Is an Orally Effective Intestinal Anti-Inflammatory Agent. Br. J. Pharmacol. 2015, 172, 142–158. [Google Scholar] [CrossRef]
- Okayasu, I.; Hatakeyama, S.; Yamada, M.; Ohkusa, T.; Inagaki, Y.; Nakaya, R. A Novel Method in the Induction of Reliable Experimental Acute and Chronic Ulcerative Colitis in Mice. Gastroenterology 1990, 98, 694–702. [Google Scholar] [CrossRef]
- Ordás, I.; Eckmann, L.; Talamini, M.; Baumgart, D.C.; Sandborn, W.J. Ulcerative Colitis. Lancet 2012, 380, 1606–1619. [Google Scholar] [CrossRef]
- Peritore, A.F.; D’Amico, R.; Cordaro, M.; Siracusa, R.; Fusco, R.; Gugliandolo, E.; Genovese, T.; Crupi, R.; Di Paola, R.; Cuzzocrea, S.; et al. PEA/Polydatin: Anti-Inflammatory and Antioxidant Approach to Counteract DNBS-Induced Colitis. Antioxidants 2021, 10, 464. [Google Scholar] [CrossRef] [PubMed]
- Vowinkel, T.; Wood, K.C.; Stokes, K.Y.; Russell, J.; Tailor, A.; Anthoni, C.; Senninger, N.; Krieglstein, C.F.; Granger, D.N. Mechanisms of Platelet and Leukocyte Recruitment in Experimental Colitis. Am. J. Physiol. Gastrointest. Liver Physiol. 2007, 293, G1054–G1060. [Google Scholar] [CrossRef] [PubMed]
- Habtezion, A.; Nguyen, L.P.; Hadeiba, H.; Butcher, E.C. Leukocyte Trafficking to the Small Intestine and Colon. Gastroenterology 2016, 150, 340–354. [Google Scholar] [CrossRef] [PubMed]
- Maruta, K.; Watanabe, C.; Hozumi, H.; Kurihara, C.; Furuhashi, H.; Takajo, T.; Okada, Y.; Shirakabe, K.; Higashiyama, M.; Komoto, S.; et al. Nicotine Treatment Ameliorates DSS-Induced Colitis by Suppressing MAdCAM-1 Expression and Leukocyte Recruitment. J. Leukoc. Biol. 2018, 104, 1013–1022. [Google Scholar] [CrossRef] [PubMed]
- Gabrielsson, L.; Mattsson, S.; Fowler, C.J. Palmitoylethanolamide for the Treatment of Pain: Pharmacokinetics, Safety and Efficacy. Br. J. Clin. Pharmacol. 2016, 82, 932–942. [Google Scholar] [CrossRef]








| Score | Diarrhea Score | Visible Fecal Blood Score | Eye Opening | Posture | Fur | Motor |
|---|---|---|---|---|---|---|
| 0 | Normal pellets | No blood | Open | No hunch | No change | Active |
| 1 | Slightly loose | Slightly bloody | Intermediate | mild hunching | Ruffled (Harsh) | No move for 2 s |
| 2 | Loose | Blood | Half | Moderate hunching | Piloerection | No move for 5 s |
| 3 | Very loose | Very bloody | Half + Discharge | Severe hunching | Ruffled/Pilo | No move for 10 s |
| Score | Extent of Inflammation | Inflammatory Cell Infiltration (Intact/Undamaged Epithelium) | Inflammatory Cell Infiltration (Epithelial Erosion) | Loss of Epithelium and Crypts, Crypts Filled with Mucus | Increased Space between MM and SM Due to Oedema |
|---|---|---|---|---|---|
| 0 | No evidence of inflammation | ||||
| 1 | Mucosa | ||||
| 2 | Mucosa + muscularis mucosae (MM) | Focal | Focal | Crypt filled with mucus | One-third |
| 3 | Mucosa + MM + submucosa (SM) | Multifocal | Multifocal | Epithelial erosion | Two-thirds |
| 4 | Mucosa + MM + SM + muscularis | Diffuse | Diffuse | Loss of crypt + ulceration | Full |
Disclaimer/Publisher’s Note: The statements, opinions and data contained in all publications are solely those of the individual author(s) and contributor(s) and not of MDPI and/or the editor(s). MDPI and/or the editor(s) disclaim responsibility for any injury to people or property resulting from any ideas, methods, instructions or products referred to in the content. |
© 2024 by the authors. Licensee MDPI, Basel, Switzerland. This article is an open access article distributed under the terms and conditions of the Creative Commons Attribution (CC BY) license (https://creativecommons.org/licenses/by/4.0/).
Share and Cite
Trivedi, P.; Myers, T.; Ray, B.; Allain, M.; Zhou, J.; Kelly, M.; Lehmann, C. Amelioration of Dextran Sodium Sulfate-Induced Colitis in Mice through Oral Administration of Palmitoylethanolamide. Biomedicines 2024, 12, 1000. https://doi.org/10.3390/biomedicines12051000
Trivedi P, Myers T, Ray B, Allain M, Zhou J, Kelly M, Lehmann C. Amelioration of Dextran Sodium Sulfate-Induced Colitis in Mice through Oral Administration of Palmitoylethanolamide. Biomedicines. 2024; 12(5):1000. https://doi.org/10.3390/biomedicines12051000
Chicago/Turabian StyleTrivedi, Purvi, Tanya Myers, Bithika Ray, Matthew Allain, Juan Zhou, Melanie Kelly, and Christian Lehmann. 2024. "Amelioration of Dextran Sodium Sulfate-Induced Colitis in Mice through Oral Administration of Palmitoylethanolamide" Biomedicines 12, no. 5: 1000. https://doi.org/10.3390/biomedicines12051000
APA StyleTrivedi, P., Myers, T., Ray, B., Allain, M., Zhou, J., Kelly, M., & Lehmann, C. (2024). Amelioration of Dextran Sodium Sulfate-Induced Colitis in Mice through Oral Administration of Palmitoylethanolamide. Biomedicines, 12(5), 1000. https://doi.org/10.3390/biomedicines12051000

