Management of Double-Seropositive Anti-Glomerular Basement Membrane and Anti-Neutrophil Cytoplasmic Antibodies with 100% Crescentic Glomerulonephritis and Nephrotic Range Proteinuria in a Young Female
Abstract
1. Introduction and Background
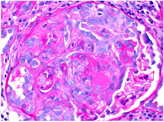
2. Case Presentation
3. Management
4. Adverse Treatment Effects
5. Discussion and Conclusions
Author Contributions
Funding
Institutional Review Board Statement
Informed Consent Statement
Data Availability Statement
Conflicts of Interest
References
- McAdoo, S.P.; Tanna, A.; Hrušková, Z.; Holm, L.; Weiner, M.; Arulkumaran, N.; Kang, A.; Satrapová, V.; Levy, J.; Ohlsson, S.; et al. Patients double-seropositive for ANCA and anti-GBM antibodies have varied renal survival, frequency of relapse, and outcomes compared to single-seropositive patients. Kidney Int. 2017, 92, 693–702. [Google Scholar] [CrossRef] [PubMed]
- Williamson, S.R.; Phillips, C.L.; Andreoli, S.P.; Nailescu, C. A 25-year experience with pediatric anti-glomerular basement membrane disease. Pediatr. Nephrol. 2011, 26, 85–91. [Google Scholar] [CrossRef] [PubMed]
- Helander, L.; Hanna, M.; Annen, K. Pediatric double positive anti-glomerular basement membrane antibody and anti-neutrophil cytoplasmic antibody glomerulonephritis—A case report with review of literature. J. Clin. Apher. 2021, 36, 505–510. [Google Scholar] [CrossRef] [PubMed]
- Rutgers, A.; Slot, M.; van Paassen, P.; van Breda Vriesman, P.; Heeringa, P.; Tervaert, J.W.C. Coexistence of anti-glomerular basement membrane antibodies and myeloperoxidase-ANCAs in crescentic glomerulonephritis. Am. J. Kidney Dis. 2005, 46, 253–262. [Google Scholar] [CrossRef] [PubMed]
- DE Zoysa, J.; Taylor, D.; Thein, H.; Yehia, M. Incidence and features of dual anti-GBM-positive and ANCA-positive patients. Nephrology 2011, 16, 725–729. [Google Scholar] [CrossRef] [PubMed]
- Philip, R.; Dumont, A.; Martin Silva, N.; de Boysson, H.; Aouba, A.; Deshayes, S. ANCA and anti-glomerular basement membrane double-positive patients: A systematic review of the literature. Autoimmun. Rev. 2021, 20, 102885. [Google Scholar] [CrossRef] [PubMed]
- McAdoo, S.P.; Pusey, C.D. Anti-Glomerular Basement Membrane Disease. Clin. J. Am. Soc. Nephrol. 2017, 12, 1162–1172. [Google Scholar] [CrossRef] [PubMed]
- Yang, R.; Cui, Z.; Zhao, J.; Zhao, M.-H. The role of HLA-DRB1 alleles on susceptibility of Chinese patients with anti-GBM disease. Clin. Immunol. 2009, 133, 245–250. [Google Scholar] [CrossRef]
- Olson, S.W.; Arbogast, C.B.; Baker, T.P.; Owshalimpur, D.; Oliver, D.K.; Abbott, K.C.; Yuan, C.M. Asymptomatic autoantibodies associate with future anti-glomerular basement membrane disease. J. Am. Soc. Nephrol. 2011, 22, 1946–1952. [Google Scholar] [CrossRef]
- Kidney Disease: Improving Global Outcomes (KDIGO) Glomerular Diseases Work Group. KDIGO 2021 Clinical Practice Guideline for the Management of Glomerular Diseases. Kidney Int. 2021, 100, S1–S276. [Google Scholar] [CrossRef]
- Jain, R.; Dgheim, H.; Bomback, A.S. Rituximab for Anti–Glomerular Basement Membrane Disease. Kidney Int. Rep. 2018, 4, 614–618. [Google Scholar] [CrossRef]
- Geetha, D.; Specks, U.; Stone, J.H.; Merkel, P.A.; Seo, P.; Spiera, R.; Langford, C.A.; Hoffman, G.S.; Kallenberg, C.G.; Clair, E.W.S.; et al. Rituximab versus cyclophosphamide for ANCA-associated vasculitis with renal involvement. J. Am. Soc. Nephrol. 2015, 26, 976–985. [Google Scholar] [CrossRef]
- Touzot, M.; Poisson, J.; Faguer, S.; Ribes, D.; Cohen, P.; Geffray, L.; Anguel, N.; François, H.; Karras, A.; Cacoub, P.; et al. Rituximab in anti-GBM disease: A retrospective study of 8 patients. J. Autoimmun. 2015, 60, 74–79. [Google Scholar] [CrossRef] [PubMed]
- Mukhtyar, C.; Lee, R.; Brown, D.; Carruthers, D.; Dasgupta, B.; Dubey, S.; Flossmann, O.; Hall, C.; Hollywood, J.; Jayne, D.; et al. Modification and validation of the Birmingham Vasculitis Activity Score (version 3). Ann. Rheum. Dis. 2009, 68, 1827–1832. [Google Scholar] [CrossRef] [PubMed]
- Prendecki, M.; Pusey, C. Plasma exchange in anti-glomerular basement membrane disease. La Presse Médicale 2019, 48 Pt 2, 328–337. [Google Scholar] [CrossRef] [PubMed]
- Hu, X.; Shen, C.; Meng, T.; Ooi, J.D.; Eggenhuizen, P.J.; Zhou, Y.-O.; Luo, H.; Chen, J.-B.; Lin, W.; Gong, Y.; et al. Clinical features and prognosis of MPO-ANCA and anti-GBM double-seropositive patients. Front. Immunol. 2022, 13, 991469. [Google Scholar] [CrossRef] [PubMed]
- Walsh, M.; Merkel, P.A.; Peh, C.-A.; Szpirt, W.M.; Puéchal, X.; Fujimoto, S.; Hawley, C.M.; Khalidi, N.; Floßmann, O.; Wald, R.; et al. Plasma Exchange and Glucocorticoids in Severe ANCA-Associated Vasculitis. N. Engl. J. Med. 2020, 382, 622–631. [Google Scholar] [CrossRef]
- Bell, S.; Lattanzio, N.; Abdelal, Q.; Teklie, Y.; Alkayali, T.; Wiese-Rometsch, W.; Sastry, A. A Rare Case of Double Antibody-Positive Rapidly Progressive Glomerulonephritis: A Therapeutic Challenge. J. Investig. Med. High Impact Case Rep. 2021, 9, 232470962110131. [Google Scholar] [CrossRef]
- Rajah, F.T.; Alhabobi, A.; Aloudah, N.M.; Osman, A.; Elhassan, E.A. Splenic Infarcts and Pulmonary Renal Syndrome in a Young Patient with Double-Positive Anti-GBM and ANCA-Associated Vasculitis. Saudi J. Kidney Dis. Transplant. 2021, 32, 240–244. [Google Scholar] [CrossRef]
- Uto, K.; Yanagi, S.; Tsubouchi, H.; Matsumoto, N.; Nakazato, M. Successful treatment of steroid-refractory double-positive ANCA and anti-GBM disease with a combination of plasma exchange and immunosuppression: A case report and literature review. Respir. Med. Case Rep. 2018, 25, 242–246. [Google Scholar] [CrossRef]
- Pacheco, M.; Silva, J.E.; Silva, C.; Soares, N.; Almeida, J. Double-Positive Anti-GBM and ANCA-MPO Vasculitis Presenting with Crescentic Glomerulonephritis. Cureus 2021, 13, e14806. [Google Scholar] [CrossRef] [PubMed]
- Nasr, R.; Balasubramanian, P.; Desiderio, L.; Abdelattif, M. A Rare Case of Nephrotic-Range Proteinuria in Antineutrophil Cytoplasmic Antibodies (ANCA)-Associated Vasculitis. Cureus 2022, 14, e24889. [Google Scholar] [CrossRef] [PubMed]
- Greco, A.; Rizzo, M.I.; De Virgilio, A.; Gallo, A.; Fusconi, M.; Pagliuca, G.; Martellucci, S.; Turchetta, R.; Longo, L.; De Vincentiis, M. Goodpasture’s syndrome: A clinical update. Autoimmun. Rev. 2015, 14, 246–253. [Google Scholar] [CrossRef] [PubMed]
- Okafor, C.C.; Balogun, R.A.; Bourne, D.T.; Alhussain, T.O.; Abdel-Rahman, E.M. An unusual case of anti-glomerular basement membrane disease presenting with nephrotic syndrome. Int. Urol. Nephrol. 2011, 43, 1249–1253. [Google Scholar] [CrossRef] [PubMed]
- Mami, I.; Ghzel, E.; Abida, R.; Hlaoui, F.; Jebali, H.; Rais, L.; Beji, S.; Hamida, F.B.; Fatma, L.B.; Zouaghi, K. Anti-glomerular basement membrane disease with intense nephrotic syndrome: A new case report. Pan Afr. Med. J. 2021, 39, 243. [Google Scholar]
- Bharati, J.; Yang, Y.; Sharma, P.; Jhaveri, K.D. Atypical Anti-Glomerular Basement Membrane Disease. Kidney Int. Rep. 2023, 8, 1151–1161. [Google Scholar] [CrossRef] [PubMed]
- Zhong, Z.; Tan, J.; Tang, Y.; Li, Z.; Qin, W. Goodpasture syndrome manifesting as nephrotic-range proteinuria with anti-glomerular basement membrane antibody seronegativity: A case report. Medicine 2020, 99, e22341. [Google Scholar] [CrossRef] [PubMed]
- Meisels, I.S.; Stillman, I.E.; Kuhlik, A.B. Anti-glomerular basement membrane disease and dual positivity for antineutrophil cytoplasmic antibody in a patient with membranous nephropathy. Am. J. Kidney Dis. 1998, 32, 646–648. [Google Scholar] [CrossRef]
- Xu, P.-C.; Chen, T.; Gao, S.; Hu, S.-Y.; Wei, L.; Yan, T.-K. Clinical and pathologic characteristics of pauci-immune anti-myeloperoxidase antibody associated glomerulonephritis with nephrotic range proteinuria. Ren. Fail. 2018, 40, 554–560. [Google Scholar] [CrossRef]


| Day 1 | Day 5 | Day 9 | Day 13 | Day 20 (Discharge Day) | 2 Weeks Post-Discharge | 3 Weeks Post-Discharge | |
|---|---|---|---|---|---|---|---|
| Serum creatinine (mg/dL) | 6.05 | 7.0 | 4.6 | 4.0 | 2.7 | 3.1 | 2.4 | 
| BUN (mg/dL) | 47 | 59 | 55 | 63 | 56 | 74 | 58 | 
| K (mmol/L) | 5.0 | 5.6 | 3.9 | 4.5 | 5.1 | 4.6 | 3.9 | 
| EGFR (mL/min) | 10 | 8 | 13 | 16 | 25 | 22 | 29 | 
| Anti-GBM (AI) (normal < 1.0) | >8.0 | 3.2 | 0.7 | 1.4 | 1.3 | ||
| ANCA Proteinase 3 (AI) | <0.2 (normal) | <0.2 (normal) | <0.2 (normal) | ||||
| ANCA, MPO (AI) | 6.9 | 0.3 | <0.2 (normal) | ||||
| Urine protein/creatinine ratio | 12.87 | 4.25 | 7.1 | ||||
| C3, C4 | Negative | ||||||
| IgA | WNL | ||||||
|  |  | ||||||
| Rituximab Days 5 and 19 | |||||||
| Disclaimer/Publisher’s Note: The statements, opinions and data contained in all publications are solely those of the individual author(s) and contributor(s) and not of MDPI and/or the editor(s). MDPI and/or the editor(s) disclaim responsibility for any injury to people or property resulting from any ideas, methods, instructions or products referred to in the content. | 
© 2024 by the authors. Licensee MDPI, Basel, Switzerland. This article is an open access article distributed under the terms and conditions of the Creative Commons Attribution (CC BY) license (https://creativecommons.org/licenses/by/4.0/).
Share and Cite
Kunaprayoon, L.; Scheffel, E.T.C.; Abdel-Rahman, E.M. Management of Double-Seropositive Anti-Glomerular Basement Membrane and Anti-Neutrophil Cytoplasmic Antibodies with 100% Crescentic Glomerulonephritis and Nephrotic Range Proteinuria in a Young Female. Biomedicines 2024, 12, 906. https://doi.org/10.3390/biomedicines12040906
Kunaprayoon L, Scheffel ETC, Abdel-Rahman EM. Management of Double-Seropositive Anti-Glomerular Basement Membrane and Anti-Neutrophil Cytoplasmic Antibodies with 100% Crescentic Glomerulonephritis and Nephrotic Range Proteinuria in a Young Female. Biomedicines. 2024; 12(4):906. https://doi.org/10.3390/biomedicines12040906
Chicago/Turabian StyleKunaprayoon, Lalida, Emily T. C. Scheffel, and Emaad M. Abdel-Rahman. 2024. "Management of Double-Seropositive Anti-Glomerular Basement Membrane and Anti-Neutrophil Cytoplasmic Antibodies with 100% Crescentic Glomerulonephritis and Nephrotic Range Proteinuria in a Young Female" Biomedicines 12, no. 4: 906. https://doi.org/10.3390/biomedicines12040906
APA StyleKunaprayoon, L., Scheffel, E. T. C., & Abdel-Rahman, E. M. (2024). Management of Double-Seropositive Anti-Glomerular Basement Membrane and Anti-Neutrophil Cytoplasmic Antibodies with 100% Crescentic Glomerulonephritis and Nephrotic Range Proteinuria in a Young Female. Biomedicines, 12(4), 906. https://doi.org/10.3390/biomedicines12040906
 
        



 
       